JavaScript is disabled in your browser. Please enable JavaScript to view this website.
AB6747

Rabbit Anti-Sheep IgG H&L (HRP)

Rabbit Anti-Sheep IgG H&L (HRP)

5

(1 Review)

|

(62 Publications)

Rabbit Anti-Sheep IgG H&L (HRP) is a secondary antibody for chemiluminescent detection. Ideal for Western blot. Suitable for Western blot, IHC, ICC, ELISA and more.

- Cited in over 50 publications

查看别名

Ig gamma 1 chain C region, Ig gamma 3 chain C region, Ig gamma 4 chain C region, Ig gamma-2 chain C region, Immunoglobin heavy constant gamma 1, Immunoglobulin G

5 Images
Immunohistochemistry (Formalin/PFA-fixed paraffin-embedded sections) - Rabbit Anti-Sheep IgG H&L (HRP) (AB6747)
  • IHC-P

PubMed

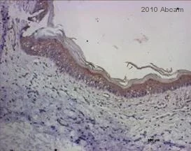
Immunohistochemistry (Formalin/PFA-fixed paraffin-embedded sections) - Rabbit Anti-Sheep IgG H&L (HRP) (AB6747)

Representative immunohistochemical staining of parietal peritoneum tissue sections displaying HA in brown color (A-D). HA is dramatically reduced in the peritoneum from mice treated with PDF (B) compared to tissue from untreated mice (A) and mice pretreated with H398 2 hours before application of PDF (C) or PBS (D) (Scale bar : 100μm). The secondary antibody was Rabbit Anti-Sheep IgG H&L (HRP) (ab6747) at 1/100 dilution.

Kälble F et al. Selective Blocking of TNF Receptor 1 Attenuates Peritoneal Dialysis Fluid Induced Inflammation of the Peritoneum in Mice. PLoS One 11:e0163314 (2016).

Immunohistochemistry (Formalin/PFA-fixed paraffin-embedded sections) - Rabbit Anti-Sheep IgG H&L (HRP) (AB6747)
  • IHC-P

Unknown

Immunohistochemistry (Formalin/PFA-fixed paraffin-embedded sections) - Rabbit Anti-Sheep IgG H&L (HRP) (AB6747)

ab6747 was used at dilution 1/100 with the primary antibody ab53842 in IHC-P. See the review on ab53842.

ELISA - Rabbit Anti-Sheep IgG H&L (HRP) (AB6747)
  • ELISA

Supplier Data

ELISA - Rabbit Anti-Sheep IgG H&L (HRP) (AB6747)

ELISA results of ab6747 against purified Sheep IgG. Each well was coated in duplicate with 1.0 µg of Sheep IgG. The starting dilution of antibody was 5 µg/ml and the X-axis represents the Log10 of a 3-fold dilution. This titration is a 4-parameter curve fit where the IC50 is defined as the titer of the antibody. Assay performed using 3% fish gelatin as blocking buffer and TMB substrate.

Western blot - Rabbit Anti-Sheep IgG H&L (HRP) (AB6747)
  • WB

Unknown

Western blot - Rabbit Anti-Sheep IgG H&L (HRP) (AB6747)

ab6747 was used at dilution 1/2000 with the primary antibody ab7832 in WB. See the review on ab7832.

Secondary

All lanes:

Western blot - Rabbit Anti-Sheep IgG H&L (HRP) (ab6747)

false

Western blot - Rabbit Anti-Sheep IgG H&L (HRP) (AB6747)
  • WB

Supplier Data

Western blot - Rabbit Anti-Sheep IgG H&L (HRP) (AB6747)

Western blot analysis of ab6747 used as a secondary antibody at 1/1000 dilution overnight at 2-8°C.

All lanes:

Sheep IgG

Secondary

All lanes:

Western blot - Rabbit Anti-Sheep IgG H&L (HRP) (ab6747) at 1/1000 dilution

false

关键信息

宿主种属

Rabbit

靶标种属

Sheep

靶标亚型

IgG

靶标特异性

Heavy & Light chains

最低交叉反应
预吸附

No

偶联物

HRP

激发波长/发射波长
应用

IHC-P, Dot, ICC, IM, WB, ELISA, IHC-Fr

applications

克隆

Polyclonal

亚型

IgG

反应性数据

{ "title": "Reactivity Data", "filters": { "stats": ["", "Reactivity", "Dilution Info", "Notes"] }, "values": { "Dot": { "reactivity":"NO_EXPERIMENTAL_DATA_EXPECTED_TO_REACT", "dilution-info":"", "notes":"<p></p>" }, "ELISA": { "reactivity":"TESTED_AND_REACTS", "dilution-info":"", "notes":"<p></p>" }, "IHC-Fr": { "reactivity":"NO_EXPERIMENTAL_DATA_EXPECTED_TO_REACT", "dilution-info":"", "notes":"<p></p>" }, "IHC-P": { "reactivity":"TESTED_AND_REACTS", "dilution-info":"", "notes":"<p></p>" }, "IM": { "reactivity":"NO_EXPERIMENTAL_DATA_EXPECTED_TO_REACT", "dilution-info":"", "notes":"<p></p>" }, "ICC": { "reactivity":"NO_EXPERIMENTAL_DATA_EXPECTED_TO_REACT", "dilution-info":"1/500 - 1/2500", "notes":"<p></p>" }, "WB": { "reactivity":"TESTED_AND_REACTS", "dilution-info":"1/1000 - 1/5000", "notes":"<p></p>" } } }

产品详情

This antibody reacts with the heavy and light chains of Sheep IgG

When it comes to advancing your immunohistochemistry (IHC) research, Abcam offers comprehensive suite of IHC kits and secondary antibodies, designed to deliver precise and reliable results.

性能和储存信息

形式
Liquid
纯化工艺
Affinity purification
纯化说明
This product was prepared from monospecific antiserum by immunoaffinity chromatography using Sheep IgG coupled to agarose beads followed by solid phase adsorption(s) to remove any unwanted reactivities.
存储溶液
Preservative: 0.01% Gentamicin sulphate Constituents: 1% BSA, 0.88% Sodium chloride, 0.424% Potassium phosphate solution
运输条件
Blue Ice
推荐的短期储存条件
+4°C
推荐的长期储存条件
+4°C

产品实验方案

文献 (62)

Recent publications for all applications. Explore the full list and refine your search

Scientific reports 15:30601 PubMed40835871

2025

Evaluation of Chlamydia pecorum major outer membrane protein vaccine a management tool in wild koala (Phascolarctos cinereus) populations.

Applications

Unspecified application

Species

Unspecified reactive species

Sarah J Simpson,Damien P Higgins,Peter Timms,Alana Kidd,Mathew S Crowther,Valentina S A Mella,Samuel Phillips,Mark B Krockenberger

Plant biotechnology journal 23:2673-2688 PubMed40249859

2025

Identification of HSSP1 as a regulator of soybean protein content through QTL analysis and Soy-SPCC network.

Applications

Unspecified application

Species

Unspecified reactive species

Huilin Tian,Yanbin Yin,Xin Li,Zhanguo Zhang,Shaowei Feng,Song Jin,Xue Han,Mingliang Yang,Chang Xu,Limin Hu,Chunyan Liu,Fanjiang Kong,Qingshan Chen,Zhaoming Qi

CytoJournal 21:61 PubMed39917006

2025

Preliminary study on the cellular and molecular mechanisms of Cms1 ribosomal small subunit homolog promoting hepatocellular carcinoma progression via activation of the homolog family member A/yes-associated protein 1 signaling pathway.

Applications

Unspecified application

Species

Unspecified reactive species

Yao Zheng,Aiyun Wang,Shuaijun Yu,Benzun Wei,Xiao Lyu

International journal of molecular sciences 25: PubMed39596313

2024

Acute Paraoxon-Induced Neurotoxicity in a Mouse Survival Model: Oxidative Stress, Dopaminergic System Alterations and Memory Deficits.

Applications

Unspecified application

Species

Unspecified reactive species

Edurne Urquizu,Selma Paratusic,Júlia Goyenechea,Cristian Gómez-Canela,Berta Fumàs,David Pubill,Demetrio Raldúa,Jordi Camarasa,Elena Escubedo,Raúl López-Arnau

International journal of molecular sciences 25: PubMed39201420

2024

Recombinant Subunit Vaccine Candidate against the Bovine Viral Diarrhea Virus.

Applications

Unspecified application

Species

Unspecified reactive species

Verónica Avello,Santiago Salazar,Eddy E González,Paula Campos,Viana Manríque,Christian Mathieu,Florence Hugues,Ignacio Cabezas,Paula Gädicke,Natalie C Parra,Jannel Acosta,Oliberto Sánchez,Alaín González,Raquel Montesino

Molecular cell 84:2618-2633.e10 PubMed39025073

2024

The splicing factor CCAR1 regulates the Fanconi anemia/BRCA pathway.

Applications

Unspecified application

Species

Unspecified reactive species

Naoya Harada,Shuhei Asada,Lige Jiang,Huy Nguyen,Lisa Moreau,Ryan J Marina,Karen Adelman,Divya R Iyer,Alan D D'Andrea

iScience 27:109698 PubMed38655198

2024

Asparagine endopeptidase deficiency mitigates radiation-induced brain injury by suppressing microglia-mediated neuronal senescence.

Applications

Unspecified application

Species

Unspecified reactive species

Ouwen Qiu,Jianyi Zhao,Zhonggang Shi,Huan Li,Siyuan Wang,Keman Liao,Minchao Tang,Jieqiong Xie,Xi Huang,Wenrui Zhang,Li Zhou,Xi Yang,Zhiyi Zhou,Lei Xu,Renhua Huang,Yifeng Miao,Yongming Qiu,Yingying Lin

International journal of molecular sciences 25: PubMed38256161

2024

Thymosin β4 Regulates the Differentiation of Thymocytes by Controlling the Cytoskeletal Rearrangement and Mitochondrial Transfer of Thymus Epithelial Cells.

Applications

Unspecified application

Species

Unspecified reactive species

Yuyuan Ying,Nana Tao,Fengjie Zhang,Xunuo Wen,Meiru Zhou,Jianli Gao

Scientific reports 13:15087 PubMed37699951

2023

Efficacy of a synthetic peptide Chlamydia pecorum major outer membrane protein vaccine in a wild koala (Phascolarctos cinereus) population.

Applications

Unspecified application

Species

Unspecified reactive species

Sarah J Simpson,Damien P Higgins,Peter Timms,Valentina S A Mella,Mathew S Crowther,Cristina M Fernandez,Clare McArthur,Samuel Phillips,Mark B Krockenberger

Environmental toxicology 38:1565-1576 PubMed37052456

2023

Silencing circular RNA hsa_circABCC1 inhibits osteosarcoma progression through down-regulating HDAC4 via sponging miR-591.

Applications

Unspecified application

Species

Unspecified reactive species

Kai Wang,Na Wang,Jingsheng Liu,Jianwei Zhou,Shuanhu Lei,Haiyuan Yue,Haijun Feng,Kai Feng,Xuewen Kang
View all publications

Abcam Product Promise

我们致力于为您的研究提供高质量的试剂,为您科研的每一步提供支持。若我们的产品未能达到预期性能,我们向您提供 Abcam Product Promise 保障。
详情请参阅我们的条款与条件。

Please note: All products are 'FOR RESEARCH USE ONLY. NOT FOR USE IN DIAGNOSTIC OR THERAPEUTIC PROCEDURES'.

For licensing inquiries, please contact partnerships@abcam.com