JavaScript is disabled in your browser. Please enable JavaScript to view this website.
AB6734

Rabbit Anti-Rat IgG H&L (HRP)

Rabbit Anti-Rat IgG H&L (HRP)

5

(2 Reviews)

|

(144 Publications)

Rabbit Anti-Rat IgG H&L (HRP) is a secondary antibody for chemiluminescent detection. Ideal for Western blot. Suitable for Western blot, IHC, ICC/IF, ELISA and more.

- Cited in over 120 publications

查看别名

Ig gamma-1 chain C region

5 Images
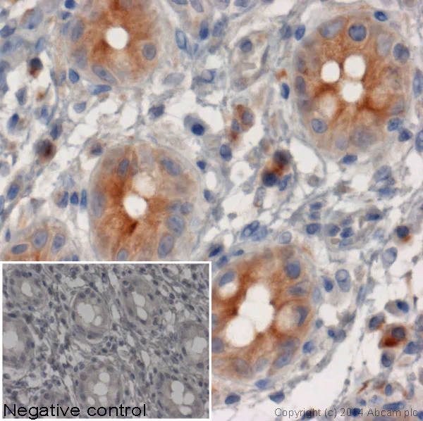
Immunohistochemistry (Formalin/PFA-fixed paraffin-embedded sections) - Rabbit Anti-Rat IgG H&L (HRP) (AB6734)
  • IHC-P

Unknown

Immunohistochemistry (Formalin/PFA-fixed paraffin-embedded sections) - Rabbit Anti-Rat IgG H&L (HRP) (AB6734)

IHC image of alpha tubulin staining in human colon formalin fixed paraffin embedded tissue section*. The section was pre-treated using pressure cooker heat mediated antigen retrieval with sodium citrate buffer (pH6) for 30mins. The section was incubated with ab64332, 5μg/ml overnight at +4°C. An HRP-conjugated secondary (ab6734, 1/500 dilution) was used for 1hr at room temperature. The section was counterstained with haematoxylin and mounted with DPX.

The inset negative control image is taken from an identical assay without primary antibody.

*Tissue obtained from the Human Research Tissue Bank, supported by the NIHR Cambridge Biomedical Research Centre

ELISA - Rabbit Anti-Rat IgG H&L (HRP) (AB6734)
  • ELISA

Supplier Data

ELISA - Rabbit Anti-Rat IgG H&L (HRP) (AB6734)

ELISA results of ab6734 against purified Rat IgG protein. Each well was coated in duplicate with 1.0 µg of Rat IgG [Green Line]. The starting dilution of antibody was 5 µg/ml and the X-axis represents the Log10 of a 3-fold dilution. The titer is 1/41,800. This titration is a 4-parameter curve fit where the IC50 is defined as the titer of the antibody. Assay performed using 3% fish gelatin as blocking buffer and TMB substrate.

Western blot - Rabbit Anti-Rat IgG H&L (HRP) (AB6734)
  • WB

Unknown

Western blot - Rabbit Anti-Rat IgG H&L (HRP) (AB6734)

Lanes 1 and 3:

Western blot - Anti-Tubulin antibody [YL1/2] - Loading Control (<a href='/products/primary-antibodies/tubulin-antibody-yl1-2-loading-control-ab6160'>ab6160</a>) at 1/5000 dilution

Lanes 2 and 4:

Western blot - Anti-Tubulin antibody [YL1/2] - Loading Control (<a href='/products/primary-antibodies/tubulin-antibody-yl1-2-loading-control-ab6160'>ab6160</a>) at 1/10000 dilution

Lanes 1 - 2:

HeLa (Human epithelial carcinoma cell line) whole cell lysate at 20 µg

Lanes 3 - 4:

Western blot - BALB/3T3 whole cell lysate (<a href='/products/cell-lysates/balb-3t3-whole-cell-lysate-ab7901'>ab7901</a>) at 20 µg

Secondary

All lanes:

Western blot - Rabbit Anti-Rat IgG H&L (HRP) (ab6734) at 1/2000 dilution

Predicted band size: 50 kDa

Observed band size: 17 kDa,34 kDa,52 kDa,80 kDa

false

Exposure time: 10s

Immunohistochemistry (Frozen sections) - Rabbit Anti-Rat IgG H&L (HRP) (AB6734)
  • IHC-Fr

AbReview30384****

Immunohistochemistry (Frozen sections) - Rabbit Anti-Rat IgG H&L (HRP) (AB6734)

ab6326 staining BrdU in mouse small intestine tissue sections by Immunohistochemistry (IHC-Fr - frozen sections). Tissue was fixed with acetone and blocked with protein blocking solution for 1 hour at room temperature. Samples were incubated with primary antibody (1/100) in Ab diluent for 1 hour. A HRP-conjugated rabbit anti-rat IgG H&L (ab6734) (1/500) was used as the secondary antibody.

This image is courtesy of an anonymous Abreview.

Western blot - Rabbit Anti-Rat IgG H&L (HRP) (AB6734)
  • WB

Unknown

Western blot - Rabbit Anti-Rat IgG H&L (HRP) (AB6734)

ab6734 was used at dilution 1/5000 with the primary antibody ab33731 in WB. See the review on ab33731.

Secondary

All lanes:

Western blot - Rabbit Anti-Rat IgG H&L (HRP) (ab6734)

false

关键信息

宿主种属

Rabbit

靶标种属

Rat

靶标亚型

IgG

靶标特异性

Heavy & Light chains

最低交叉反应
预吸附

No

偶联物

HRP

激发波长/发射波长
应用

ELISA, IHC-P, WB, IHC-Fr

applications

克隆

Polyclonal

亚型

IgG

反应性数据

{ "title": "Reactivity Data", "filters": { "stats": ["", "Reactivity", "Dilution Info", "Notes"] }, "values": { "IHC-Fr": { "reactivity":"TESTED_AND_REACTS", "dilution-info":"", "notes":"<p></p>" }, "IHC-P": { "reactivity":"TESTED_AND_REACTS", "dilution-info":"", "notes":"<p></p>" }, "ELISA": { "reactivity":"TESTED_AND_REACTS", "dilution-info":"1/170000", "notes":"<p></p>" }, "WB": { "reactivity":"TESTED_AND_REACTS", "dilution-info":"1/1000 - 1/5000", "notes":"<p></p>" } } }

产品详情

This antibody reacts with the heavy and light chains of Rat IgG

When it comes to advancing your immunohistochemistry (IHC) research, Abcam offers comprehensive suite of IHC kits and secondary antibodies, designed to deliver precise and reliable results.

性能和储存信息

形式
Liquid
纯化工艺
Affinity purification
纯化说明
Secondary Antibody Conjugated was prepared from monospecific antiserum by immunoaffinity chromatography using Rat IgG coupled to agarose beads followed by solid phase adsorption(s) to remove any unwanted reactivities.
存储溶液
Preservative: 0.01% Gentamicin sulphate Constituents: 1% BSA, 0.88% Sodium chloride, 0.424% Potassium phosphate solution
运输条件
Blue Ice
推荐的短期储存条件
+4°C
推荐的长期储存条件
+4°C

产品实验方案

文献 (144)

Recent publications for all applications. Explore the full list and refine your search

Molecular medicine reports 32: PubMed40999987

2025

Curcumin exerts therapeutic effects on colorectal cancer by inducing pyroptosis through caspase‑1 activation.

Applications

Unspecified application

Species

Unspecified reactive species

Jiajie Zhu,Liangjun Yang,Zheng Fang,Jiabin Chen,Yeqian Wu,Haiyan Liu,Shan Liu,Baoying Fei

Sultan Qaboos University medical journal 25:552-565 PubMed40717931

2025

IL-6 Induces CD45 Expression on Myeloid Cells.

Applications

Unspecified application

Species

Unspecified reactive species

Maryam Ahmed Al Barashdi,Ahlam Ali,Mary Frances McMullin,Ken Mills

Nature 645:254-261 PubMed40670786

2025

Imidazole propionate is a driver and therapeutic target in atherosclerosis.

Applications

Unspecified application

Species

Unspecified reactive species

Annalaura Mastrangelo,Iñaki Robles-Vera,Diego Mañanes,Miguel Galán,Marcos Femenía-Muiña,Ana Redondo-Urzainqui,Rafael Barrero-Rodríguez,Eleftheria Papaioannou,Joaquín Amores-Iniesta,Ana Devesa,Manuel Lobo-González,Alba Carreras,Katharina R Beck,Sophie Ivarsson,Anders Gummesson,Georgios Georgiopoulos,Manuel Rodrigo-Tapias,Sarai Martínez-Cano,Ivan Fernández-López,Vanessa Nuñez,Alessia Ferrarini,Naohiro Inohara,Kimon Stamatelopoulos,Alberto Benguría,Danay Cibrian,Francisco Sánchez-Madrid,Vanesa Alonso-Herranz,Ana Dopazo,Coral Barbas,Jesús Vázquez,Juan Antonio López,Alicia González-Martín,Gabriel Nuñez,Konstantinos Stellos,Göran Bergström,Fredrik Bäckhed,Valentín Fuster,Borja Ibañez,David Sancho

Cell death discovery 11:325 PubMed40664639

2025

Fat-cartilage axis: the regulation of IL-6/Osteopontin signaling in osteoarthritis of mice.

Applications

Unspecified application

Species

Unspecified reactive species

Bing-Yang Dai,Zhong-Lian Huang,Ming-Gui Bao,Hong-Jiang Chen,Xiao-Hui Lu,Jun Hu

Scientific reports 15:19950 PubMed40481048

2025

CircRNA_1809 promotes the osteogenic differentiation of bone marrow mesenchymal stem cells through miR-370-3p.

Applications

Unspecified application

Species

Unspecified reactive species

Lei Zhang,Yidan Xu,Ningning Liu,Mengjie Xu,Refeina Tuerxun,Mireyeti Shahatibieke,Yuan Yao

The Tohoku journal of experimental medicine : PubMed39938906

2025

Fructus Gardenia Extract Improves Cerebral Ischemia-Reperfusion Injury via RIPK1-RIPK3-MLKL Axis.

Applications

Unspecified application

Species

Unspecified reactive species

Shengyu Jin,Ke Wang,Zhangfeng Shen,Bing Hu,Qian Dou,Dongdong Xu,Yuhao Chen,Jiamin Yan,Jing Liu

Cell reports. Medicine 6:101927 PubMed39914384

2025

Disrupting AGR2/IGF1 paracrine and reciprocal signaling for pancreatic cancer therapy.

Applications

Unspecified application

Species

Unspecified reactive species

Hongzhen Li,Zhiheng Zhang,Zhao Shi,Siqi Zhou,Shuang Nie,Yuanyuan Yu,Lingling Zhang,Yifeng Sun,Chao Fang,Jingxiong Hu,Yiqi Niu,Kathleen Schuck,Lei Wang,Kuirong Jiang,Zipeng Lu,Christoph Kahlert,Susanne Roth,Martin Loos,Ingrid Herr,Yoshiaki Sunami,Jörg Kleeff,Helmut Friess,Maximilian Reichert,Zahra Dantes,Xiaoping Zou,Christoph W Michalski,Shanshan Shen,Bo Kong

PLoS pathogens 21:e1012857 PubMed39899594

2025

Iron-mediated post-transcriptional regulation in Toxoplasma gondii.

Applications

Unspecified application

Species

Unspecified reactive species

Megan A Sloan,Adam Scott,Dana Aghabi,Lucia Mrvova,Clare R Harding

Molecular medicine reports 31: PubMed39540350

2024

Silencing PPAP2C inhibits lung adenocarcinoma migration and invasion via the ERK/JNK pathway.

Applications

Unspecified application

Species

Unspecified reactive species

Yi Li,Wenhui Dang,Ting Jiao,Mengying Zhang,Wei Li

Journal of cardiovascular translational research 17:1427-1441 PubMed39046654

2024

Inhibition of Hsp90 K284 Acetylation Aalleviates Cardiac Injury After Ischemia-Reperfusion Injury.

Applications

Unspecified application

Species

Unspecified reactive species

Dongyu Zhan,Na Zhang,Li Zhao,Zhirui Sun,Chunyang Cang
View all publications

Abcam Product Promise

我们致力于为您的研究提供高质量的试剂,为您科研的每一步提供支持。若我们的产品未能达到预期性能,我们向您提供 Abcam Product Promise 保障。
详情请参阅我们的条款与条件。

Please note: All products are 'FOR RESEARCH USE ONLY. NOT FOR USE IN DIAGNOSTIC OR THERAPEUTIC PROCEDURES'.

For licensing inquiries, please contact partnerships@abcam.com