JavaScript is disabled in your browser. Please enable JavaScript to view this website.
AB99697

Mouse monoclonal [SB62a] Anti-Rabbit IgG light chain (HRP)

Mouse monoclonal [SB62a] Anti-Rabbit IgG light chain (HRP)

5

(1 Review)

|

(81 Publications)

Mouse Anti-Rabbit IgG light chain (HRP) is a secondary antibody for chemiluminescent detection. Ideal for Western blot. Suitable for Western blot, IHC and ELISA.

- Reacts with the light chain of Rabbit IgG
- Does not bind to the reduced and denatured Rabbit IgG heavy chain band (50kD)
- Cited in over 80 publications

查看别名

Ig gamma 1 chain C region, Ig gamma 3 chain C region, Ig gamma 4 chain C region, Ig gamma chain C region, Ig gamma-2 chain C region, Ig kappa-b4 chain C region, Ig kappa-b5 chain C region, Ig kappa-b9 chain C region, Ig lambda chain C region, Immunoglobin heavy constant gamma 1, Immunoglobulin G, K-BAS

7 Images
Immunohistochemistry (Formalin/PFA-fixed paraffin-embedded sections) - Mouse monoclonal [SB62a] Anti-Rabbit IgG light chain (HRP) (AB99697)
  • IHC-P

Unknown

Immunohistochemistry (Formalin/PFA-fixed paraffin-embedded sections) - Mouse monoclonal [SB62a] Anti-Rabbit IgG light chain (HRP) (AB99697)

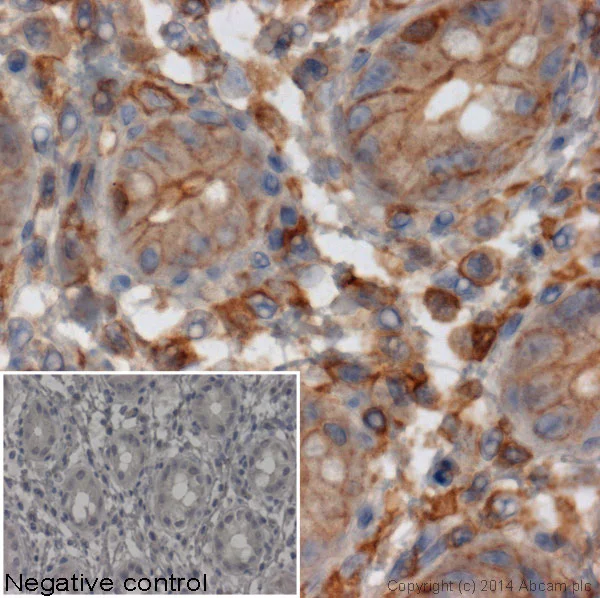
IHC image of beta actin staining in human colon formalin fixed paraffin embedded tissue section*. The section was pre-treated using pressure cooker heat mediated antigen retrieval with sodium citrate buffer (pH6) for 30mins. The section was incubated with ab8227, 3μg/ml overnight at +4°C. An HRP-conjugated secondary (ab99697, 1/8000 dilution) was used for 1hr at room temperature. The section was counterstained with haematoxylin and mounted with DPX.

The inset negative control image is secondary-only at 1/4000 dilution.

*Tissue obtained from the Human Research Tissue Bank, supported by the NIHR Cambridge Biomedical Research Centre

Immunoprecipitation - Mouse monoclonal [SB62a] Anti-Rabbit IgG light chain (HRP) (AB99697)
  • IP

Unknown

Immunoprecipitation - Mouse monoclonal [SB62a] Anti-Rabbit IgG light chain (HRP) (AB99697)

LAP2 alpha was immunoprecipitated using 0.5mg Hela whole cell extract, 5µg of Rabbit polyclonal to LAP2 alpha (ab5162)and 50µl of protein G magnetic beads (lane 1). The antibody was incubated with the Protein G beads for 10min under agitation. No antibody was added to the control (lane 2). Hela whole cell extract diluted in RIPA buffer was added to each sample and incubated for 10min under agitation. Proteins were eluted by addition of 40µl SDS loading buffer and incubated for 10min at 70oC; 10µl of each sample was separated on a SDS PAGE gel, transferred to a nitrocellulose membrane, blocked with 5% BSA and probed with ab5162. Secodary : Mouse monoclonal [SB62a] Secondary Antibody to Rabbit IgG light chain (HRP) (ab99697).
Bands : 83kDa : LAP2 alpha.

Secondary

All lanes:

Immunoprecipitation - Mouse monoclonal [SB62a] Anti-Rabbit IgG light chain (HRP) (ab99697)

false

Immunoprecipitation - Mouse monoclonal [SB62a] Anti-Rabbit IgG light chain (HRP) (AB99697)
  • IP

Unknown

Immunoprecipitation - Mouse monoclonal [SB62a] Anti-Rabbit IgG light chain (HRP) (AB99697)

Rad21 was immunoprecipitated using 0.5mg Hela whole cell extract, 5ug of Rabbit polyclonal to Rad21and 50µl of protein G magnetic beads (lane 1). The antibody was incubated with the Protein G beads for 10min under agitation. No antibody was added to the control (lane 2). Hela whole cell extractdiluted in RIPA buffer was added to each sample and incubated for 10min under agitation. Proteins were eluted by addition of 40µl SDS loading buffer and incubated for 10min at 70oC; 10µl of each sample was separated on a SDS PAGE gel, transferred to a nitrocellulose membrane, blocked with 5% BSA and probed with ab42478. Secondary : Mouse monoclonal [SB62a] Secondary Antibody to Rabbit IgG light chain (HRP) (ab99697) .. Band : 100kDa : Rad21; Non specific - 50kDa : We are unsure as to the identity of this extra band. Although the predicted band size is 75kDa based on Swiss-prot data, a band of 120kDa has been previously observed. Mol Cell Biol. 2002 Dec;22(23) : 8267-77 PMID : 12417729. Th

Secondary

All lanes:

Immunoprecipitation - Mouse monoclonal [SB62a] Anti-Rabbit IgG light chain (HRP) (ab99697)

false

Immunoprecipitation - Mouse monoclonal [SB62a] Anti-Rabbit IgG light chain (HRP) (AB99697)
  • IP

Unknown

Immunoprecipitation - Mouse monoclonal [SB62a] Anti-Rabbit IgG light chain (HRP) (AB99697)

Catalase was immunoprecipitated using 0.5mg Hela whole cell extract, 5µg of Rabbit polyclonal to Catalase (ab1877) and 50µl of protein G magnetic beads (lane 1). The antibody was incubated with the Protein G beads for 10min under agitation. No antibody was added to the control (lane 2). Hela whole cell extract diluted in RIPA buffer was added to each sample and incubated for 10min under agitation. Proteins were eluted by addition of 40µl SDS loading buffer and incubated for 10min at 70oC; 10µl of each sample was separated on a SDS PAGE gel, transferred to a nitrocellulose membrane, blocked with 5% BSA and probed with ab1877. Secodary : Mouse monoclonal [SB62a] Secondary Antibody to Rabbit IgG light chain (HRP) (ab99697). Bands : 60kDa : Catalase

Secondary

All lanes:

Immunoprecipitation - Mouse monoclonal [SB62a] Anti-Rabbit IgG light chain (HRP) (ab99697)

false

Western blot - Mouse monoclonal [SB62a] Anti-Rabbit IgG light chain (HRP) (AB99697)
  • WB

Unknown

Western blot - Mouse monoclonal [SB62a] Anti-Rabbit IgG light chain (HRP) (AB99697)

All lanes : Anti-beta Actin antibody - Loading Control (ab8227) at 1 μg/ml

Lanes 1-6 : HeLa (Human epithelial carcinoma cell line) Whole Cell Lysate (ab27252)
Lysates/proteins at 10 μg per lane.

Secondary
Lanes 1 - 2 : Mouse monoclonal [SB62a] Secondary Antibody to Rabbit IgG light chain (HRP) (ab99697) at 1/2000 dilution
Lanes 3 - 4 : Mouse monoclonal [SB62a] Secondary Antibody to Rabbit IgG light chain (HRP) (ab99697) at 1/10000 dilution
Lanes 5 - 6 : Mouse monoclonal [SB62a] Secondary Antibody to Rabbit IgG light chain (HRP) (ab99697) at 1/20000 dilution

Developed using the ECL technique.

Performed under reducing conditions.

Secondary

All lanes:

Western blot - Mouse monoclonal [SB62a] Anti-Rabbit IgG light chain (HRP) (ab99697)

false

Western blot - Mouse monoclonal [SB62a] Anti-Rabbit IgG light chain (HRP) (AB99697)
  • WB

Unknown

Western blot - Mouse monoclonal [SB62a] Anti-Rabbit IgG light chain (HRP) (AB99697)

Lane 1 : Rabbit IgG loaded at 1ug/well
ab99697 diluted to 1 : 2000

Secondary

All lanes:

Western blot - Mouse monoclonal [SB62a] Anti-Rabbit IgG light chain (HRP) (ab99697)

false

Western blot - Mouse monoclonal [SB62a] Anti-Rabbit IgG light chain (HRP) (AB99697)
  • WB

Unknown

Western blot - Mouse monoclonal [SB62a] Anti-Rabbit IgG light chain (HRP) (AB99697)

Western blot showing that Mouse monoclonal [SB62a] Secondary Antibody to Rabbit IgG light chain (HRP) (ab99697) specifically binds to light-chains

Left blot : Coomassie stain showing the rabbit heavy (~50kDa) and light-chains (~25 kDa)

Lane 1 : 10 µg rabbit monoclonal was loaded
Lane 2 : 5 µg rabbit monoclonal was loaded
Lane 3 : 2 µg rabbit monoclonal was loaded

Right blot : WB using Mouse monoclonal [SB62a] Secondary Antibody to Rabbit IgG light chain (HRP) (ab99697) as secondary antibody at 1/10,000

Lane 1 : 1 µg rabbit monoclonal was loaded
Lane 2 : 0.5 µg rabbit monoclonal was loaded
Lane 3 : 0.25 µg rabbit monoclonal was loaded

Secondary

All lanes:

Western blot - Mouse monoclonal [SB62a] Anti-Rabbit IgG light chain (HRP) (ab99697)

false

不同偶联物与剂型 (2)

  • Unconjugated

    Mouse monoclonal [SB62a] Anti-Rabbit IgG light chain

  • Alkaline Phosphatase

    Mouse monoclonal [SB62a] Anti-Rabbit IgG light chain (Alkaline Phosphatase)

关键信息

宿主种属

Mouse

靶标种属

Rabbit

靶标亚型

IgG

靶标特异性

Light chain

最低交叉反应
预吸附

No

偶联物

HRP

激发波长/发射波长
应用

IHC-P, ELISA, WB

applications

克隆

Monoclonal

克隆号

SB62a

亚型

IgG2b

轻链类型

lambda

特异性

ab99697 reacts with the light chain of Rabbit IgG primary antibodies and does not bind to the reduced and denatured Rabbit IgG heavy chain band (50kD).

反应性数据

{ "title": "Reactivity Data", "filters": { "stats": ["", "Reactivity", "Dilution Info", "Notes"] }, "values": { "ELISA": { "reactivity":"TESTED_AND_REACTS", "dilution-info":"1/4000 - 1/8000", "notes":"<p></p>" }, "IHC-P": { "reactivity":"TESTED_AND_REACTS", "dilution-info":"1/8000", "notes":"<p></p>" }, "WB": { "reactivity":"TESTED_AND_REACTS", "dilution-info":"", "notes":"<p>Note: This antibody is not recommended for sensitive or quantitative detection of the reduced and denatured rabbit heavy chains in western blot.</p>" } } }

您可能对以下产品感兴趣:

AB102890

4

3 Reviews

查看产品
AB119211

InstantBlue® Coomassie Protein Stain (ISB1L)

5

5 Reviews

查看产品
为什么推荐这个?

我们推荐这个产品,因为它经常被用于相同的实验或相关的研究。

我们建议您务必查阅产品说明书,以确认其是否符合您的实验需求;若有疑问,也可联系我们的技术团队获取协助。

产品详情

性能和储存信息

形式
Liquid
纯化工艺
Affinity purification Protein A
存储溶液
pH: 7.4 Constituents: 50% Glycerol (glycerin, glycerine), 50% PBS
运输条件
Blue Ice
推荐的短期储存条件
+4°C
推荐的长期储存条件
+4°C

产品实验方案

文献 (81)

Recent publications for all applications. Explore the full list and refine your search

Heliyon 10:e23478 PubMed38226283

2024

Comparison of neutralization potency across passive immunotherapy approaches as potential treatments for emerging infectious diseases.

Applications

Unspecified application

Species

Unspecified reactive species

Hossein Ranjbaran,Yahya Ehteshaminia,Mohammadreza Nadernezhad,Seyedeh Farzaneh Jalali,Farhad Jadidi-Niaragh,Abdol Sattar Pagheh,Seyed Ehsan Enderami,Saeid Abedian Kenari,Hadi Hassannia

Nature cell biology 25:1359-1368 PubMed37640841

2023

RBFOX2 recognizes N-methyladenosine to suppress transcription and block myeloid leukaemia differentiation.

Applications

Unspecified application

Species

Unspecified reactive species

Xiaoyang Dou,Yu Xiao,Chao Shen,Kitty Wang,Tong Wu,Chang Liu,Yini Li,Xianbin Yu,Jun Liu,Qing Dai,Kinga Pajdzik,Chang Ye,Ruiqi Ge,Boyang Gao,Jianhua Yu,Shuying Sun,Mengjie Chen,Jianjun Chen,Chuan He

Cell & bioscience 13:119 PubMed37381060

2023

Spatiotemporal control of genome engineering in cone photoreceptors.

Applications

Unspecified application

Species

Unspecified reactive species

Nan-Kai Wang,Pei-Kang Liu,Yang Kong,Yun-Ju Tseng,Laura A Jenny,Nicholas D Nolan,Nelson Chen,Hung-Hsi Wang,Chun Wei Hsu,Wan-Chun Huang,Janet R Sparrow,Chyuan-Sheng Lin,Stephen H Tsang

Cell reports 42:112419 PubMed37074914

2023

Time-dependent regulation of cytokine production by RNA binding proteins defines T cell effector function.

Applications

Unspecified application

Species

Unspecified reactive species

Branka Popović,Benoît P Nicolet,Aurélie Guislain,Sander Engels,Anouk P Jurgens,Natali Paravinja,Julian J Freen-van Heeren,Floris P J van Alphen,Maartje van den Biggelaar,Fiamma Salerno,Monika C Wolkers

Life sciences 320:121525 PubMed36841470

2023

Enhancement of immunogenicity and neutralizing responses against SARS-CoV-2 spike protein using the Fc fusion fragment.

Applications

Unspecified application

Species

Unspecified reactive species

Yahya Ehteshaminia,Seyedeh Farzaneh Jalali,Farhad Jadidi-Niaragh,Seyed Ehsan Enderami,Abdol Sattar Pagheh,Esmaeil Akbari,Saeid Abedian Kenari,Hadi Hassannia

Arthritis research & therapy 24:261 PubMed36443856

2022

Epigenetic modification of miR-217 promotes intervertebral disc degeneration by targeting the FBXO21-ERK signalling pathway.

Applications

Unspecified application

Species

Unspecified reactive species

Zhonghui Chen,Jianghua Ming,Yajing Liu,Geliang Hu,Qi Liao

Cell biology international 46:1775-1786 PubMed35989486

2022

Effects of GABA receptor positive allosteric modulator BHF177 and IRS-1 on apoptosis of hippocampal neurons in rats with refractory epilepsy via the PI3K/Akt pathway.

Applications

Unspecified application

Species

Unspecified reactive species

Peng Wang,Shanji Nan,Yizhi Zhang,Jia Fan

Molecular and clinical oncology 17:138 PubMed35949892

2022

Nafamostat mesylate prevents metastasis and dissemination of neuroblastoma through vascular endothelial growth factor inhibition.

Applications

Unspecified application

Species

Unspecified reactive species

Mari Morimoto,Hidemi Toyoda,Kaori Niwa,Ryo Hanaki,Taro Okuda,Daisuke Nakato,Keishiro Amano,Shotaro Iwamoto,Masahiro Hirayama

Frontiers in cellular neuroscience 16:866020 PubMed35685988

2022

MicroRNA-582-5p Contributes to the Maintenance of Neural Stem Cells Through Inhibiting Secretory Protein FAM19A1.

Applications

Unspecified application

Species

Unspecified reactive species

Yu-Fei Zhang,Xin-Xin Li,Xiu-Li Cao,Chen-Chen Ji,Xiang-Yu Gao,Dan Gao,Hua Han,Fei Yu,Min-Hua Zheng

Cell death & disease 13:352 PubMed35428760

2022

RNF8 up-regulates AR/ARV7 action to contribute to advanced prostate cancer progression.

Applications

Unspecified application

Species

Unspecified reactive species

Tingting Zhou,Shengli Wang,Xiaoyu Song,Wensu Liu,Fang Dong,Yunlong Huo,Renlong Zou,Chunyu Wang,Siyi Zhang,Wei Liu,Ge Sun,Lin Lin,Kai Zeng,Xiang Dong,Qiqiang Guo,Fei Yi,Zhuo Wang,Xiaoman Li,Bo Jiang,Liu Cao,Yue Zhao
View all publications

Abcam Product Promise

我们致力于为您的研究提供高质量的试剂,为您科研的每一步提供支持。若我们的产品未能达到预期性能,我们向您提供 Abcam Product Promise 保障。
详情请参阅我们的条款与条件。

关联产品

Select an associated product type
Alternative Version
Secondary Antibodies

AB99696

Mouse monoclonal [SB62a] Anti-Rabbit IgG light chain (Alkaline Phosphatase)

secondary-antibodies

mouse-monoclonal-sb62a-rabbit-igg-light-chain-alkaline-phosphatase-ab99696

0

(0 reviews)

Please note: All products are 'FOR RESEARCH USE ONLY. NOT FOR USE IN DIAGNOSTIC OR THERAPEUTIC PROCEDURES'.

For licensing inquiries, please contact partnerships@abcam.com