JavaScript is disabled in your browser. Please enable JavaScript to view this website.
AB97080

Goat Anti-Rabbit IgG H&L (HRP) preadsorbed

Goat Anti-Rabbit IgG H&L (HRP) preadsorbed

4

(3 Reviews)

|

(214 Publications)

Goat Anti-Rabbit IgG H&L (HRP) is a preadsorbed secondary antibody for chemiluminescent detection. Ideal for Western blot. Suitable for Western blot, IHC, ELISA and ICC.

- Preadsorbed to prevent cross-reactivity and reduce background staining
- Reacts specifically with Rabbit IgG and with light chains common to other Rabbit immunoglobulins
- Cited in over 210 publications

查看别名

Ig gamma 1 chain C region, Ig gamma 3 chain C region, Ig gamma 4 chain C region, Ig gamma chain C region, Ig gamma-2 chain C region, Ig kappa-b4 chain C region, Ig kappa-b5 chain C region, Ig kappa-b9 chain C region, Ig lambda chain C region, Immunoglobin heavy constant gamma 1, Immunoglobulin G, K-BAS

41 Images
Western blot - Goat Anti-Rabbit IgG H&L (HRP) preadsorbed (AB97080)
  • WB

Unknown

Western blot - Goat Anti-Rabbit IgG H&L (HRP) preadsorbed (AB97080)

The band observed at 75 kDa could potentially be a cleaved form of GRP78 BiP due to the presence of a 18 amino acid signal peptide.

All lanes:

Western blot - Anti-GRP78 BiP antibody (<a href='/products/primary-antibodies/grp78-bip-antibody-ab32618'>ab32618</a>) at 1 µg/mL

Lane 1:

Liver (Mouse) Tissue Lysate at 10 µg

Lane 2:

CHO-K1 cell lysate Whole Cell Lysate at 10 µg

Lane 3:

HeLa (Human epithelial carcinoma cell line) Whole Cell Lysate at 10 µg

Secondary

All lanes:

Western blot - Goat Anti-Rabbit IgG H&L (HRP) preadsorbed (ab97080) at 1/5000 dilution

Predicted band size: 72 kDa

Observed band size: 75 kDa

true

Exposure time: 30s

Western blot - Goat Anti-Rabbit IgG H&L (HRP) preadsorbed (AB97080)
  • WB

Unknown

Western blot - Goat Anti-Rabbit IgG H&L (HRP) preadsorbed (AB97080)

All lanes:

Western blot - Anti-DKK1 antibody (<a href='/products/primary-antibodies/dkk1-antibody-ab93017'>ab93017</a>) at 1 µg/mL

Lane 1:

PC-3 whole cell lysate (<a href='/products/unavailable/pc-3-whole-cell-lysate-ab3954'>ab3954</a>) at 10 µg

Lane 2:

MCF7 (Human breast adenocarcinoma cell line) Whole Cell Lysate at 10 µg

Lane 3:

MDA-MB-231 (Human breast adenocarcinoma cell line) Whole Cell Lysate at 10 µg

Secondary

All lanes:

Western blot - Goat Anti-Rabbit IgG H&L (HRP) preadsorbed (ab97080) at 1/5000 dilution

Predicted band size: 29 kDa

Observed band size: 38 kDa

false

Western blot - Goat Anti-Rabbit IgG H&L (HRP) preadsorbed (AB97080)
  • WB

Unknown

Western blot - Goat Anti-Rabbit IgG H&L (HRP) preadsorbed (AB97080)

All lanes:

Western blot - Anti-Nova1 antibody (<a href='/products/primary-antibodies/nova1-antibody-ab94511'>ab94511</a>) at 1 µg/mL

Lane 1:

HeLa (Human epithelial carcinoma cell line) Whole Cell Lysate at 10 µg

Lane 2:

Jurkat (Human T cell lymphoblast-like cell line) Whole Cell Lysate at 10 µg

Lane 3:

MCF7 (Human breast adenocarcinoma cell line) Whole Cell Lysate at 10 µg

Lane 4:

A431 (Human epithelial carcinoma cell line) Whole Cell Lysate at 10 µg

Secondary

All lanes:

Western blot - Goat Anti-Rabbit IgG H&L (HRP) preadsorbed (ab97080) at 1/5000 dilution

Predicted band size: 52 kDa

Observed band size: 15 kDa,27 kDa,50 kDa

true

Exposure time: 4min

Western blot - Goat Anti-Rabbit IgG H&L (HRP) preadsorbed (AB97080)
  • WB

Unknown

Western blot - Goat Anti-Rabbit IgG H&L (HRP) preadsorbed (AB97080)

All lanes:

Western blot - Anti-RICTOR antibody (<a href='/products/primary-antibodies/rictor-antibody-ab105469'>ab105469</a>) at 1 µg/mL

Lane 1:

HeLa (Human epithelial carcinoma cell line) Whole Cell Lysate at 10 µg

Lane 2:

Jurkat (Human T cell lymphoblast-like cell line) Whole Cell Lysate at 10 µg

Lane 3:

HepG2 (Human hepatocellular liver carcinoma cell line) Whole Cell Lysate at 10 µg

Lane 4:

HEK293 (Human embryonic kidney cell line) Whole Cell Lysate at 10 µg

Lane 5:

NIH 3T3 (Mouse embryonic fibroblast cell line) Whole Cell Lysate at 10 µg

Secondary

All lanes:

Western blot - Goat Anti-Rabbit IgG H&L (HRP) preadsorbed (ab97080) at 1/5000 dilution

Predicted band size: 192 kDa

Observed band size: 192 kDa,37 kDa,52 kDa

true

Exposure time: 1min

Western blot - Goat Anti-Rabbit IgG H&L (HRP) preadsorbed (AB97080)
  • WB

Unknown

Western blot - Goat Anti-Rabbit IgG H&L (HRP) preadsorbed (AB97080)

Abcam recommends using a transfer buffer including 20% Ethanol and SDS as well as unheating tissue lysates for this product. Abcam welcomes customer feedback and would appreciate any comments regarding this product and the data presented above.

All lanes:

Western blot - Anti-NuMA antibody (<a href='/products/primary-antibodies/numa-antibody-ab86129'>ab86129</a>) at 1 µg/mL

All lanes:

MCF7 (Human breast adenocarcinoma cell line) Whole Cell Lysate at 10 µg

Secondary

All lanes:

Western blot - Goat Anti-Rabbit IgG H&L (HRP) preadsorbed (ab97080) at 1/5000 dilution

Predicted band size: 238 kDa

Observed band size: 171 kDa,235 kDa,35 kDa,65 kDa

true

Exposure time: 16min

Western blot - Goat Anti-Rabbit IgG H&L (HRP) preadsorbed (AB97080)
  • WB

Unknown

Western blot - Goat Anti-Rabbit IgG H&L (HRP) preadsorbed (AB97080)

The predicted molecular weight of GPCR TGR5 is 35 kDa (SwissProt), however we expect to observe a banding pattern at 33 kDa. Abcam welcomes customer feedback and would appreciate any comments regarding this product and the data presented above.

All lanes:

Western blot - Anti-GPCR TGR5 antibody (<a href='/products/primary-antibodies/gpcr-tgr5-antibody-ab114081'>ab114081</a>) at 1 µg/mL

Lane 1:

HepG2 (Human hepatocellular liver carcinoma cell line) Whole Cell Lysate at 10 µg

Lane 2:

Caco 2 (Human colonic carcinoma cell line) Whole Cell Lysate at 10 µg

Secondary

All lanes:

Western blot - Goat Anti-Rabbit IgG H&L (HRP) preadsorbed (ab97080) at 1/5000 dilution

Predicted band size: 35 kDa

Observed band size: 33 kDa,68 kDa,71 kDa

true

Exposure time: 2min

Western blot - Goat Anti-Rabbit IgG H&L (HRP) preadsorbed (AB97080)
  • WB

Unknown

Western blot - Goat Anti-Rabbit IgG H&L (HRP) preadsorbed (AB97080)

All lanes:

Western blot - Anti-Neuraminidase antibody (<a href='/products/primary-antibodies/neuraminidase-antibody-ab98178'>ab98178</a>) at 1/250 dilution

All lanes:

Human heart tissue lysate - total protein (<a href='/products/unavailable/human-heart-tissue-lysate-total-protein-ab29431'>ab29431</a>) at 10 µg

Secondary

All lanes:

Western blot - Goat Anti-Rabbit IgG H&L (HRP) preadsorbed (ab97080) at 1/5000 dilution

Predicted band size: 45 kDa

Observed band size: 45 kDa

true

Exposure time: 8min

Western blot - Goat Anti-Rabbit IgG H&L (HRP) preadsorbed (AB97080)
  • WB

Unknown

Western blot - Goat Anti-Rabbit IgG H&L (HRP) preadsorbed (AB97080)

The band observed at 20 kDa could potentially be a cleaved form of CD79a due to the presence of a 32 amino acid signal peptide.

All lanes:

Western blot - Anti-CD79a antibody (<a href='/products/primary-antibodies/cd79a-antibody-ab88525'>ab88525</a>) at 1 µg/mL

All lanes:

Human spleen tissue lysate - total protein (<a href='/products/unavailable/human-spleen-tissue-lysate-total-protein-ab29699'>ab29699</a>) at 10 µg

Secondary

All lanes:

Western blot - Goat Anti-Rabbit IgG H&L (HRP) preadsorbed (ab97080) at 1/5000 dilution

Predicted band size: 25 kDa

Observed band size: 20 kDa,27 kDa,49 kDa,73 kDa

true

Exposure time: 8min

Western blot - Goat Anti-Rabbit IgG H&L (HRP) preadsorbed (AB97080)
  • WB

Unknown

Western blot - Goat Anti-Rabbit IgG H&L (HRP) preadsorbed (AB97080)

All lanes:

Western blot - Anti-TCF3 / E2A (phospho T355) antibody (<a href='/products/primary-antibodies/tcf3-e2a-phospho-t355-antibody-ab85772'>ab85772</a>) at 1 µg/mL

Lane 1:

HeLa (Human epithelial carcinoma cell line) Whole Cell Lysate at 10 µg

Lane 2:

HepG2 (Human hepatocellular liver carcinoma cell line) Whole Cell Lysate at 10 µg

Lane 3:

HeLa (Human epithelial carcinoma cell line) Whole Cell Lysate at 10 µg with Human TCF3 / E2A peptide (<a href='/products/unavailable/human-tcf3-e2a-peptide-ab118180'>ab118180</a>)

Lane 4:

HepG2 (Human hepatocellular liver carcinoma cell line) Whole Cell Lysate at 10 µg with Human TCF3 / E2A peptide (<a href='/products/unavailable/human-tcf3-e2a-peptide-ab118180'>ab118180</a>)

Lane 5:

HeLa (Human epithelial carcinoma cell line) Whole Cell Lysate at 10 µg with Human TCF3 / E2A (phospho T355) peptide (<a href='/products/unavailable/human-tcf3-e2a-phospho-t355-peptide-ab103576'>ab103576</a>)

Lane 6:

HepG2 (Human hepatocellular liver carcinoma cell line) Whole Cell Lysate at 10 µg with Human TCF3 / E2A (phospho T355) peptide (<a href='/products/unavailable/human-tcf3-e2a-phospho-t355-peptide-ab103576'>ab103576</a>)

Secondary

All lanes:

Western blot - Goat Anti-Rabbit IgG H&L (HRP) preadsorbed (ab97080) at 1/5000 dilution

Predicted band size: 67 kDa

Observed band size: 40 kDa,80 kDa

true

Exposure time: 20min

Western blot - Goat Anti-Rabbit IgG H&L (HRP) preadsorbed (AB97080)
  • WB

Unknown

Western blot - Goat Anti-Rabbit IgG H&L (HRP) preadsorbed (AB97080)

All lanes:

Western blot - Anti-BMP4 antibody (<a href='/products/primary-antibodies/bmp4-antibody-ab39973'>ab39973</a>) at 1 µg/mL

Lane 1:

Human brain tissue lysate - total protein (<a href='/products/unavailable/human-brain-tissue-lysate-total-protein-ab29466'>ab29466</a>) at 10 µg

Lane 2:

Brain (Mouse) Tissue Lysate at 10 µg

Lane 3:

Brain (Rat) Tissue Lysate at 10 µg

Secondary

All lanes:

Western blot - Goat Anti-Rabbit IgG H&L (HRP) preadsorbed (ab97080) at 1/5000 dilution

Predicted band size: 47 kDa

Observed band size: 42 kDa,47 kDa

false

Western blot - Goat Anti-Rabbit IgG H&L (HRP) preadsorbed (AB97080)
  • WB

Unknown

Western blot - Goat Anti-Rabbit IgG H&L (HRP) preadsorbed (AB97080)

This Otx1 recombinant protein has a GST tag causing it to run at ~74kDa.

All lanes:

Western blot - Anti-Otx1 + Otx2 antibody (<a href='/products/primary-antibodies/otx1-otx2-antibody-ab21990'>ab21990</a>) at 1 µg/mL

All lanes:

OTX1 (Human) - Recombinant Protein at 0.1 µg

Secondary

All lanes:

Western blot - Goat Anti-Rabbit IgG H&L (HRP) preadsorbed (ab97080) at 1/5000 dilution

Predicted band size: 31.6 kDa

Observed band size: 74 kDa

true

Western blot - Goat Anti-Rabbit IgG H&L (HRP) preadsorbed (AB97080)
  • WB

Unknown

Western blot - Goat Anti-Rabbit IgG H&L (HRP) preadsorbed (AB97080)

The predicted molecular weight of TXNRD1 is 71 kDa (SwissProt), however we expect to observe a banding pattern around 60 kDa. Abcam welcomes customer feedback and would appreciate any comments regarding this product and the data presented above.

All lanes:

Western blot - Anti-TXNRD1 antibody (<a href='/products/primary-antibodies/txnrd1-antibody-ab113904'>ab113904</a>) at 1 µg/mL

Lane 1:

Human testis tissue lysate - total protein (<a href='/products/unavailable/human-testis-tissue-lysate-total-protein-ab30257'>ab30257</a>) at 20 µg

Lane 2:

Human spleen tissue lysate - total protein (<a href='/products/unavailable/human-spleen-tissue-lysate-total-protein-ab29699'>ab29699</a>) at 20 µg

Lane 3:

HepG2 (Human hepatocellular liver carcinoma cell line) Whole Cell Lysate at 20 µg

Lane 4:

MCF7 (Human breast adenocarcinoma cell line) Whole Cell Lysate at 20 µg

Lane 5:

HeLa (Human epithelial carcinoma cell line) Whole Cell Lysate at 20 µg

Lane 6:

HEK293 (Human embryonic kidney cell line) Whole Cell Lysate at 20 µg

Secondary

All lanes:

Western blot - Goat Anti-Rabbit IgG H&L (HRP) preadsorbed (ab97080) at 1/5000 dilution

Predicted band size: 71 kDa

Observed band size: 150 kDa,37 kDa,60 kDa,65 kDa

true

Exposure time: 8min

Western blot - Goat Anti-Rabbit IgG H&L (HRP) preadsorbed (AB97080)
  • WB

Unknown

Western blot - Goat Anti-Rabbit IgG H&L (HRP) preadsorbed (AB97080)

Abcam recommends using milk as the blocking agent. Abcam welcomes customer feedback and would appreciate any comments regarding this product and the data presented above.

All lanes:

Western blot - Anti-HDAC4 antibody (<a href='/products/primary-antibodies/hdac4-antibody-ab111318'>ab111318</a>) at 1 µg/mL

Lane 1:

HeLa (Human epithelial carcinoma cell line) Whole Cell Lysate at 25 µg

Lane 2:

HEK293 (Human embryonic kidney cell line) Whole Cell Lysate at 25 µg

Lane 3:

U2OS (Human osteosarcoma cell line) Whole Cell Lysate at 25 µg

Lane 4:

HepG2 (Human hepatocellular liver carcinoma cell line) Whole Cell Lysate at 25 µg

Lane 5:

NIH 3T3 (Mouse embryonic fibroblast cell line) Whole Cell Lysate at 25 µg

Secondary

All lanes:

Western blot - Goat Anti-Rabbit IgG H&L (HRP) preadsorbed (ab97080) at 1/5000 dilution

Predicted band size: 119 kDa

Observed band size: 119 kDa

true

Exposure time: 12min

Western blot - Goat Anti-Rabbit IgG H&L (HRP) preadsorbed (AB97080)
  • WB

Unknown

Western blot - Goat Anti-Rabbit IgG H&L (HRP) preadsorbed (AB97080)

All lanes:

Western blot - Anti-SOX7 antibody (<a href='/products/primary-antibodies/sox7-antibody-ab94397'>ab94397</a>) at 1 µg/mL

All lanes:

Human heart tissue lysate - total protein (<a href='/products/unavailable/human-heart-tissue-lysate-total-protein-ab29431'>ab29431</a>) at 10 µg

Secondary

All lanes:

Western blot - Goat Anti-Rabbit IgG H&L (HRP) preadsorbed (ab97080) at 1/5000 dilution

Predicted band size: 42 kDa

Observed band size: 42 kDa,58 kDa

true

Exposure time: 16min

Western blot - Goat Anti-Rabbit IgG H&L (HRP) preadsorbed (AB97080)
  • WB

Unknown

Western blot - Goat Anti-Rabbit IgG H&L (HRP) preadsorbed (AB97080)

The predicted molecular weight of SATB1 is 86 kDa (SwissProt), however we expect to observe a banding pattern at 100 kDa. Abcam welcomes customer feedback and would appreciate any comments regarding this product and the data presented above.

All lanes:

Western blot - Anti-SATB1 antibody (<a href='/products/primary-antibodies/satb1-antibody-ab101085'>ab101085</a>) at 1 µg/mL

All lanes:

Jurkat (Human T cell lymphoblast-like cell line) Whole Cell Lysate at 10 µg

Secondary

All lanes:

Western blot - Goat Anti-Rabbit IgG H&L (HRP) preadsorbed (ab97080) at 1/5000 dilution

Predicted band size: 85 kDa

Observed band size: 100 kDa,130 kDa,45 kDa

true

Exposure time: 3min

Western blot - Goat Anti-Rabbit IgG H&L (HRP) preadsorbed (AB97080)
  • WB

Unknown

Western blot - Goat Anti-Rabbit IgG H&L (HRP) preadsorbed (AB97080)

All lanes:

Western blot - Anti-Cytokeratin 10 antibody (<a href='/products/primary-antibodies/cytokeratin-10-antibody-ab111447'>ab111447</a>) at 1 µg/mL

All lanes:

Human skin tissue lysate - total protein (<a href='/products/unavailable/human-skin-tissue-lysate-total-protein-ab30166'>ab30166</a>) at 10 µg

Secondary

All lanes:

Western blot - Goat Anti-Rabbit IgG H&L (HRP) preadsorbed (ab97080) at 1/5000 dilution

Predicted band size: 59 kDa

Observed band size: 62 kDa

true

Exposure time: 16min

Western blot - Goat Anti-Rabbit IgG H&L (HRP) preadsorbed (AB97080)
  • WB

Unknown

Western blot - Goat Anti-Rabbit IgG H&L (HRP) preadsorbed (AB97080)

All lanes:

Western blot - Anti-XAF1 antibody (<a href='/products/primary-antibodies/xaf1-antibody-ab110729'>ab110729</a>) at 1 µg/mL

All lanes:

Human liver tissue lysate - total protein (<a href='/products/unavailable/human-liver-tissue-lysate-total-protein-ab29889'>ab29889</a>) at 10 µg

Secondary

All lanes:

Western blot - Goat Anti-Rabbit IgG H&L (HRP) preadsorbed (ab97080) at 1/5000 dilution

Predicted band size: 35 kDa

Observed band size: 37 kDa

true

Exposure time: 1min

Western blot - Goat Anti-Rabbit IgG H&L (HRP) preadsorbed (AB97080)
  • WB

Unknown

Western blot - Goat Anti-Rabbit IgG H&L (HRP) preadsorbed (AB97080)

All lanes:

Western blot - Anti-RKIP antibody (<a href='/products/primary-antibodies/rkip-antibody-ab109101'>ab109101</a>) at 1 µg/mL

Lane 1:

Mouse Hippocampus Tissue Lysate at 10 µg

Lane 2:

Human brain tissue lysate - total protein (<a href='/products/unavailable/human-brain-tissue-lysate-total-protein-ab29466'>ab29466</a>) at 10 µg

Lane 3:

Human spinal cord tissue lysate - total protein (<a href='/products/unavailable/human-spinal-cord-tissue-lysate-total-protein-ab29188'>ab29188</a>) at 10 µg

Lane 4:

HeLa (Human epithelial carcinoma cell line) Whole Cell Lysate at 10 µg

Lane 5:

A549 (Human lung adenocarcinoma epithelial cell line) Whole Cell Lysate at 10 µg

Lane 6:

HepG2 (Human hepatocellular liver carcinoma cell line) Whole Cell Lysate at 10 µg

Lane 7:

A431 (Human epithelial carcinoma cell line) Whole Cell Lysate at 10 µg

Lane 8:

HL60 (Human promyelocytic leukemia cell line) Whole Cell Lysate at 10 µg

Secondary

All lanes:

Western blot - Goat Anti-Rabbit IgG H&L (HRP) preadsorbed (ab97080) at 1/5000 dilution

Predicted band size: 21 kDa

Observed band size: 18 kDa,21 kDa,34 kDa

true

Exposure time: 30s

Western blot - Goat Anti-Rabbit IgG H&L (HRP) preadsorbed (AB97080)
  • WB

Unknown

Western blot - Goat Anti-Rabbit IgG H&L (HRP) preadsorbed (AB97080)

All lanes:

Western blot - Anti-ADAMTS1 antibody (<a href='/products/primary-antibodies/adamts1-antibody-ab113847'>ab113847</a>) at 1 µg/mL

Lane 1:

U2OS (Human osteosarcoma cell line) Whole Cell Lysate at 10 µg

Lane 2:

A549 (Human lung adenocarcinoma epithelial cell line) Whole Cell Lysate at 10 µg

Secondary

All lanes:

Western blot - Goat Anti-Rabbit IgG H&L (HRP) preadsorbed (ab97080) at 1/5000 dilution

Predicted band size: 105 kDa

Observed band size: 105 kDa,80 kDa

true

Exposure time: 16min

Western blot - Goat Anti-Rabbit IgG H&L (HRP) preadsorbed (AB97080)
  • WB

Unknown

Western blot - Goat Anti-Rabbit IgG H&L (HRP) preadsorbed (AB97080)

CD40 contains a number of potential glycosylation sites (SwissProt) which may explain its migration at a higher molecular weight than predicted. The predicted molecular weight of CD40 is 31 kDa (SwissProt), however we expect to observe a banding pattern around 43 kDa. Abcam welcomes customer feedback and would appreciate any comments regarding this product and the data presented above.

All lanes:

Western blot - Anti-CD40 antibody (<a href='/products/primary-antibodies/cd40-antibody-ab113701'>ab113701</a>) at 1 µg/mL

Lane 1:

Human spleen tissue lysate - total protein (<a href='/products/unavailable/human-spleen-tissue-lysate-total-protein-ab29699'>ab29699</a>) at 10 µg

Lane 2:

Human thymus tissue lysate - total protein (<a href='/products/unavailable/human-thymus-tissue-lysate-total-protein-ab30146'>ab30146</a>) at 10 µg

Secondary

All lanes:

Western blot - Goat Anti-Rabbit IgG H&L (HRP) preadsorbed (ab97080) at 1/5000 dilution

Predicted band size: 30 kDa

Observed band size: 105 kDa,41 kDa,43 kDa

true

Exposure time: 10min

Western blot - Goat Anti-Rabbit IgG H&L (HRP) preadsorbed (AB97080)
  • WB

Unknown

Western blot - Goat Anti-Rabbit IgG H&L (HRP) preadsorbed (AB97080)

EDG6/S1PR4 contains a number of potential glycosylation sites (SwissProt) which may explain its migration at a higher molecular weight than predicted.

All lanes:

Western blot - Anti-EDG6/S1PR4 antibody (<a href='/products/primary-antibodies/edg6-s1pr4-antibody-ab126392'>ab126392</a>) at 1 µg/mL

Lane 1:

HEK293 (Human embryonic kidney cell line) Whole Cell Lysate at 10 µg

Lane 2:

Jurkat (Human T cell lymphoblast-like cell line) Whole Cell Lysate at 10 µg

Secondary

All lanes:

Western blot - Goat Anti-Rabbit IgG H&L (HRP) preadsorbed (ab97080) at 1/5000 dilution

Predicted band size: 42 kDa

Observed band size: 22 kDa,30 kDa,36 kDa,48 kDa

true

Exposure time: 30s

Western blot - Goat Anti-Rabbit IgG H&L (HRP) preadsorbed (AB97080)
  • WB

Unknown

Western blot - Goat Anti-Rabbit IgG H&L (HRP) preadsorbed (AB97080)

All lanes:

Western blot - Anti-PSPC1 antibody (<a href='/products/primary-antibodies/pspc1-antibody-ab104238'>ab104238</a>) at 1 µg/mL

Lane 1:

HEK293 (Human embryonic kidney cell line) Whole Cell Lysate at 10 µg

Lane 2:

U2OS (Human osteosarcoma cell line) Whole Cell Lysate at 10 µg

Secondary

All lanes:

Western blot - Goat Anti-Rabbit IgG H&L (HRP) preadsorbed (ab97080) at 1/5000 dilution

Predicted band size: 59 kDa

Observed band size: 62 kDa

true

Exposure time: 2min

Western blot - Goat Anti-Rabbit IgG H&L (HRP) preadsorbed (AB97080)
  • WB

Unknown

Western blot - Goat Anti-Rabbit IgG H&L (HRP) preadsorbed (AB97080)

All lanes:

Western blot - Anti-Chk1 antibody (<a href='/products/primary-antibodies/chk1-antibody-ab94777'>ab94777</a>) at 1 µg/mL

Lane 1:

HeLa (Human epithelial carcinoma cell line) Whole Cell Lysate at 10 µg

Lane 2:

Gamma Irradiated HeLa Whole Cell Lysate at 10 µg

Secondary

All lanes:

Western blot - Goat Anti-Rabbit IgG H&L (HRP) preadsorbed (ab97080) at 1/5000 dilution

Predicted band size: 54 kDa

Observed band size: 56 kDa,75 kDa

true

Exposure time: 4min

Western blot - Goat Anti-Rabbit IgG H&L (HRP) preadsorbed (AB97080)
  • WB

Unknown

Western blot - Goat Anti-Rabbit IgG H&L (HRP) preadsorbed (AB97080)

All lanes:

Western blot - Anti-Histone H2A antibody - ChIP Grade (<a href='/products/primary-antibodies/histone-h2a-antibody-chip-grade-ab88770'>ab88770</a>) at 1 µg/mL

Lane 1:

HeLa (Human epithelial carcinoma cell line) Whole Cell Lysate at 10 µg

Lane 2:

NIH 3T3 (Mouse embryonic fibroblast cell line) Whole Cell Lysate at 10 µg

Secondary

All lanes:

Western blot - Goat Anti-Rabbit IgG H&L (HRP) preadsorbed (ab97080) at 1/5000 dilution

Predicted band size: 14 kDa

Observed band size: 100 kDa,17 kDa,36 kDa

true

Exposure time: 30s

Western blot - Goat Anti-Rabbit IgG H&L (HRP) preadsorbed (AB97080)
  • WB

Unknown

Western blot - Goat Anti-Rabbit IgG H&L (HRP) preadsorbed (AB97080)

All lanes:

Western blot - Anti-UBC4 antibody (<a href='/products/primary-antibodies/ubc4-antibody-ab125946'>ab125946</a>) at 1 µg/mL

Lane 1:

HeLa (Human epithelial carcinoma cell line) Whole Cell Lysate at 10 µg

Lane 2:

Jurkat (Human T cell lymphoblast-like cell line) Whole Cell Lysate at 10 µg

Lane 3:

HEK293 (Human embryonic kidney cell line) Whole Cell Lysate at 10 µg

Lane 4:

NIH 3T3 (Mouse embryonic fibroblast cell line) Whole Cell Lysate at 10 µg

Lane 5:

HepG2 (Human hepatocellular liver carcinoma cell line) Whole Cell Lysate at 10 µg

Lane 6:

MCF7 (Human breast adenocarcinoma cell line) Whole Cell Lysate at 10 µg

Secondary

All lanes:

Western blot - Goat Anti-Rabbit IgG H&L (HRP) preadsorbed (ab97080) at 1/5000 dilution

Predicted band size: 16 kDa

Observed band size: 102 kDa,16 kDa,95 kDa

true

Exposure time: 8min

Western blot - Goat Anti-Rabbit IgG H&L (HRP) preadsorbed (AB97080)
  • WB

Unknown

Western blot - Goat Anti-Rabbit IgG H&L (HRP) preadsorbed (AB97080)

All lanes:

Western blot - Anti-CD34 antibody - Hematopoietic Stem Cell Marker (<a href='/products/primary-antibodies/cd34-antibody-hematopoietic-stem-cell-marker-ab150060'>ab150060</a>) at 1 µg/mL

Lane 1:

Lung (Human) Tissue Lysate at 20 µg

Lane 2:

Lung (Human) Whole Cell Lysate - fetal normal tissue (<a href='/products/unavailable/lung-human-whole-cell-lysate-fetal-normal-tissue-ab30282'>ab30282</a>) at 20 µg

Secondary

All lanes:

Western blot - Goat Anti-Rabbit IgG H&L (HRP) preadsorbed (ab97080) at 1/5000 dilution

Predicted band size: 40 kDa

Observed band size: 41 kDa,43 kDa,55 kDa,90 kDa

true

Exposure time: 12min

Western blot - Goat Anti-Rabbit IgG H&L (HRP) preadsorbed (AB97080)
  • WB

Unknown

Western blot - Goat Anti-Rabbit IgG H&L (HRP) preadsorbed (AB97080)

Abcam recommends loading unheated lysates and using 20% Ethanol and 0.04% SDS in the transfer buffer to obtain a positive signal for this antibody. Abcam welcomes customer feedback and would appreciate any comments regarding this product and the data presented above

All lanes:

Western blot - Anti-CSB antibody (<a href='/products/primary-antibodies/csb-antibody-ab87835'>ab87835</a>) at 1 µg/mL

All lanes:

HeLa Whole Cell Lysate - Irradiated (5Gy) at 10 µg

Secondary

All lanes:

Western blot - Goat Anti-Rabbit IgG H&L (HRP) preadsorbed (ab97080) at 1/5000 dilution

Predicted band size: 168 kDa

Observed band size: 175 kDa,300 kDa,50 kDa

true

Exposure time: 150s

Western blot - Goat Anti-Rabbit IgG H&L (HRP) preadsorbed (AB97080)
  • WB

Unknown

Western blot - Goat Anti-Rabbit IgG H&L (HRP) preadsorbed (AB97080)

All lanes:

Western blot - Anti-Filamin A antibody (<a href='/products/primary-antibodies/filamin-a-antibody-ab111620'>ab111620</a>) at 1 µg/mL

Lane 1:

HeLa (Human epithelial carcinoma cell line) Whole Cell Lysate at 10 µg

Lane 2:

HUVEC (Human Umbilical Vein Endothelial Cell) Whole Cell Lysate at 10 µg

Lane 3:

HepG2 (Human hepatocellular liver carcinoma cell line) Whole Cell Lysate at 10 µg

Lane 4:

U2OS (Human osteosarcoma cell line) Whole Cell Lysate at 10 µg

Lane 5:

HT 1080 (Human fibrosarcoma) Whole Cell Lysate at 10 µg

Lane 6:

MCF7 (Human breast adenocarcinoma cell line) Whole Cell Lysate at 10 µg

Secondary

All lanes:

Western blot - Goat Anti-Rabbit IgG H&L (HRP) preadsorbed (ab97080) at 1/5000 dilution

Predicted band size: 281 kDa

Observed band size: 162 kDa,280 kDa,64 kDa,85 kDa

true

Exposure time: 30s

Western blot - Goat Anti-Rabbit IgG H&L (HRP) preadsorbed (AB97080)
  • WB

Unknown

Western blot - Goat Anti-Rabbit IgG H&L (HRP) preadsorbed (AB97080)

This blot was produced using a 3-8% Tris Acetate gel under the TA buffer system. The gel was run at 150V for 60 minutes before being transferred onto a Nitrocellulose membrane at 30V for 70 minutes. The membrane was then blocked for an hour using 5% Bovine Serum Albumin before being incubated with ab113541 overnight at 4°C. Antibody binding was detected using an anti-rabbit antibody conjugated to HRP, and visualised using ECL development solution.

All lanes:

Western blot - Anti-Rotatin antibody (<a href='/products/primary-antibodies/rotatin-antibody-ab113541'>ab113541</a>) at 1 µg/mL

Lane 1:

HeLa (Human epithelial carcinoma cell line) Nuclear Lysate at 10 µg

Lane 2:

Jurkat nuclear extract lysate (<a href='/products/unavailable/jurkat-nuclear-extract-lysate-ab14844'>ab14844</a>) at 10 µg

Secondary

All lanes:

Western blot - Goat Anti-Rabbit IgG H&L (HRP) preadsorbed (ab97080) at 1/5000 dilution

Predicted band size: 249 kDa

Observed band size: 100 kDa,270 kDa,56 kDa,73 kDa

true

Exposure time: 4min

Western blot - Goat Anti-Rabbit IgG H&L (HRP) preadsorbed (AB97080)
  • WB

Unknown

Western blot - Goat Anti-Rabbit IgG H&L (HRP) preadsorbed (AB97080)

The band observed at 14 kDa could potentially be a cleaved form of REG1 alpha due to the presence of a 25 amino acid signal peptide.

All lanes:

Western blot - Anti-REG1 alpha antibody (<a href='/products/primary-antibodies/reg1-alpha-antibody-ab47099'>ab47099</a>) at 1 µg/mL

All lanes:

Human pancreas tissue lysate - total protein (<a href='/products/unavailable/human-pancreas-tissue-lysate-total-protein-ab29816'>ab29816</a>) at 10 µg

Secondary

All lanes:

Western blot - Goat Anti-Rabbit IgG H&L (HRP) preadsorbed (ab97080) at 1/5000 dilution

Predicted band size: 19 kDa

true

Exposure time: 30s

Western blot - Goat Anti-Rabbit IgG H&L (HRP) preadsorbed (AB97080)
  • WB

Unknown

Western blot - Goat Anti-Rabbit IgG H&L (HRP) preadsorbed (AB97080)

All lanes:

Western blot - Anti-Cofilin (phospho S3) antibody (<a href='/products/primary-antibodies/cofilin-phospho-s3-antibody-ab100836'>ab100836</a>) at 1 µg/mL

Lane 1:

Jurkat (Human T cell lymphoblast-like cell line) Whole Cell Lysate at 15 µg

Lane 2:

SHSY-5Y (Human neuroblastoma cell line) Whole Cell Lysate at 15 µg

Lane 3:

Jurkat (Human T cell lymphoblast-like cell line) Whole Cell Lysate at 15 µg with Immunizing peptide

Lane 4:

SHSY-5Y (Human neuroblastoma cell line) Whole Cell Lysate at 15 µg with Immunizing peptide

Lane 5:

Jurkat (Human T cell lymphoblast-like cell line) Whole Cell Lysate at 15 µg with Non modified peptide

Lane 6:

SHSY-5Y (Human neuroblastoma cell line) Whole Cell Lysate at 15 µg with Non modified peptide

Secondary

All lanes:

Western blot - Goat Anti-Rabbit IgG H&L (HRP) preadsorbed (ab97080) at 1/5000 dilution

Predicted band size: 18 kDa

Observed band size: 110 kDa,150 kDa,20 kDa,33 kDa

true

Exposure time: 180s

Western blot - Goat Anti-Rabbit IgG H&L (HRP) preadsorbed (AB97080)
  • WB

Unknown

Western blot - Goat Anti-Rabbit IgG H&L (HRP) preadsorbed (AB97080)

All lanes:

Western blot - Anti-non-muscle Myosin IIA antibody (<a href='/products/primary-antibodies/non-muscle-myosin-iia-antibody-ab75590'>ab75590</a>) at 1 µg/mL

Lane 1:

HeLa (Human epithelial carcinoma cell line) whole cell lysate at 10 µg

Lane 2:

HL-60 (Human promyelocytic leukemia cell line) whole cell lysate at 10 µg

Lane 3:

Jurkat (Human T cell lymphoblast-like cell line) whole cell lysate at 10 µg

Lane 4:

HEK-293 (Human embryonic kidney cell line) whole cell lysate at 10 µg

Lane 5:

Human kidney tissue lysate - total protein (<a href='/products/unavailable/human-kidney-tissue-lysate-total-protein-ab30203'>ab30203</a>) at 10 µg

Secondary

All lanes:

Western blot - Goat Anti-Rabbit IgG H&L (HRP) preadsorbed (ab97080) at 1/5000 dilution

Predicted band size: 227 kDa

Observed band size: 100 kDa,227 kDa,35 kDa,45 kDa

true

Exposure time: 30s

Western blot - Goat Anti-Rabbit IgG H&L (HRP) preadsorbed (AB97080)
  • WB

Unknown

Western blot - Goat Anti-Rabbit IgG H&L (HRP) preadsorbed (AB97080)

All lanes:

Western blot - Anti-SOX5 antibody (<a href='/products/primary-antibodies/sox5-antibody-ab94396'>ab94396</a>) at 1 µg/mL

All lanes:

Human brain tissue lysate - total protein (<a href='/products/unavailable/human-brain-tissue-lysate-total-protein-ab29466'>ab29466</a>) at 10 µg

Secondary

All lanes:

Western blot - Goat Anti-Rabbit IgG H&L (HRP) preadsorbed (ab97080) at 1/5000 dilution

Predicted band size: 84 kDa

Observed band size: 24 kDa,28 kDa,55 kDa,84 kDa

true

Exposure time: 5min

Western blot - Goat Anti-Rabbit IgG H&L (HRP) preadsorbed (AB97080)
  • WB

Unknown

Western blot - Goat Anti-Rabbit IgG H&L (HRP) preadsorbed (AB97080)

All lanes:

Western blot - Anti-RAB7 antibody (<a href='/products/primary-antibodies/rab7-antibody-ab77993'>ab77993</a>) at 1 µg/mL

Lane 1:

Human brain tissue lysate - total protein (<a href='/products/unavailable/human-brain-tissue-lysate-total-protein-ab29466'>ab29466</a>) at 10 µg

Lane 2:

A431 (Human epithelial carcinoma cell line) Whole Cell Lysate at 10 µg

Secondary

All lanes:

Western blot - Goat Anti-Rabbit IgG H&L (HRP) preadsorbed (ab97080) at 1/5000 dilution

Observed band size: 23 kDa,34 kDa,49 kDa

true

Exposure time: 1min

Western blot - Goat Anti-Rabbit IgG H&L (HRP) preadsorbed (AB97080)
  • WB

Unknown

Western blot - Goat Anti-Rabbit IgG H&L (HRP) preadsorbed (AB97080)

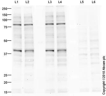
ab101898 detects a band at approximately 170-kDa. While this differs to its predicted molecular weight of 151-kDa, this band has been observed in the literature (PMID : 21055983).

All lanes:

Western blot - Anti-NFKBIL2 antibody (<a href='/products/primary-antibodies/nfkbil2-antibody-ab101898'>ab101898</a>) at 1 µg/mL

Lane 1:

HeLa (Human epithelial carcinoma cell line) Whole Cell Lysate at 10 µg

Lane 2:

HeLa (Human epithelial carcinoma cell line) Nuclear Lysate at 10 µg

Secondary

All lanes:

Western blot - Goat Anti-Rabbit IgG H&L (HRP) preadsorbed (ab97080) at 1/5000 dilution

Predicted band size: 151 kDa

Observed band size: 175 kDa,43 kDa,67 kDa,80 kDa

true

Exposure time: 20min

Western blot - Goat Anti-Rabbit IgG H&L (HRP) preadsorbed (AB97080)
  • WB

Project1662****

Western blot - Goat Anti-Rabbit IgG H&L (HRP) preadsorbed (AB97080)

Human MAFA has a predicted molecular weight of 37 kDa (Swiss-Prot data). Some publications suggest that the human protein should be detected at 47 kDa (PMID 12011435). Our data shows that ab26405 detects a band at 36 kDa in human brain, which is similar to that seen in other publications [PMID : 14680841, PMID : 18159220 (expression profile)]. Abcam welcomes customer feedback and would appreciate any comments regarding this product and the data presented above.

All lanes:

Western blot - Anti-MafA antibody (<a href='/products/primary-antibodies/mafa-antibody-ab26405'>ab26405</a>) at 1 µg/mL

All lanes:

Brain (Human) Tissue Lysate at 20 µg

Secondary

All lanes:

Western blot - Goat Anti-Rabbit IgG H&L (HRP) preadsorbed (ab97080) at 1/5000 dilution

Predicted band size: 36 kDa

Observed band size: 36 kDa

false

Western blot - Goat Anti-Rabbit IgG H&L (HRP) preadsorbed (AB97080)
  • WB

Unknown

Western blot - Goat Anti-Rabbit IgG H&L (HRP) preadsorbed (AB97080)

All lanes:

Western blot - Anti-PBX1/PRL antibody (<a href='/products/primary-antibodies/pbx1-prl-antibody-ab97994'>ab97994</a>) at 1 µg/mL

Lane 1:

HeLa (Human epithelial carcinoma cell line) Whole Cell Lysate at 10 µg

Lane 2:

Jurkat (Human T cell lymphoblast-like cell line) Whole Cell Lysate at 10 µg

Lane 3:

HL60 (Human promyelocytic leukemia cell line) Whole Cell Lysate at 10 µg

Lane 4:

K562 (Human erythromyeloblastoid leukemia cell line) Whole Cell Lysate at 10 µg

Lane 5:

MOLT4 (Human acute lymphoblastic leukemia cell line) Whole Cell Lysate at 10 µg

Lane 6:

HeLa (Human epithelial carcinoma cell line) Whole Cell Lysate at 10 µg with immunizing peptide

Lane 7:

Jurkat (Human T cell lymphoblast-like cell line) Whole Cell Lysate at 10 µg with immunizing peptide

Lane 8:

HL60 (Human promyelocytic leukemia cell line) Whole Cell Lysate at 10 µg with immunizing peptide

Lane 9:

K562 (Human erythromyeloblastoid leukemia cell line) Whole Cell Lysate at 10 µg with immunizing peptide

Lane 10:

MOLT4 (Human acute lymphoblastic leukemia cell line) Whole Cell Lysate at 10 µg with immunizing peptide

Secondary

All lanes:

Western blot - Goat Anti-Rabbit IgG H&L (HRP) preadsorbed (ab97080) at 1/5000 dilution

Predicted band size: 47 kDa

Observed band size: 37 kDa,50 kDa,75 kDa

true

Exposure time: 12min

Western blot - Goat Anti-Rabbit IgG H&L (HRP) preadsorbed (AB97080)
  • WB

Unknown

Western blot - Goat Anti-Rabbit IgG H&L (HRP) preadsorbed (AB97080)

This blot was produced using a 4-12% Bis-tris gel under the MOPS buffer system. The gel was run at 200V for 50 minutes before being transferred onto a Nitrocellulose membrane at 30V for 70 minutes. The membrane was then blocked for an hour using 5% Bovine Serum Albumin before being incubated with ab124296 overnight at 4°C. Antibody binding was detected using an anti-rabbit antibody conjugated to HRP, and visualised using ECL development solution.

All lanes:

Western blot - Anti-Ceramide glucosyltransferase antibody (<a href='/products/primary-antibodies/ceramide-glucosyltransferase-antibody-ab124296'>ab124296</a>) at 1 µg/mL

Lane 1:

Human brain tissue lysate - total protein (<a href='/products/unavailable/human-brain-tissue-lysate-total-protein-ab29466'>ab29466</a>) at 10 µg

Lane 2:

Brain (Mouse) Tissue Lysate at 10 µg

Lane 3:

Brain (Rat) Tissue Lysate at 10 µg

Lane 4:

Spleen (Mouse) Tissue Lysate at 10 µg

Lane 5:

Spleen (Rat) Tissue Lysate at 10 µg

Lane 6:

MCF7 (Human breast adenocarcinoma cell line) Whole Cell Lysate at 10 µg

Lane 7:

A375 (Human melanoma cell line) Whole Cell Lysate at 10 µg

Secondary

All lanes:

Western blot - Goat Anti-Rabbit IgG H&L (HRP) preadsorbed (ab97080) at 1/5000 dilution

Predicted band size: 45 kDa

Observed band size: 12 kDa,36 kDa,48 kDa,68 kDa

true

Exposure time: 30s

Western blot - Goat Anti-Rabbit IgG H&L (HRP) preadsorbed (AB97080)
  • WB

Unknown

Western blot - Goat Anti-Rabbit IgG H&L (HRP) preadsorbed (AB97080)

All lanes:

Western blot - Anti-GST3 / GST pi antibody (<a href='/products/primary-antibodies/gst3-gst-pi-antibody-ab117885'>ab117885</a>) at 1 µg/mL

Lane 1:

Human prostate tissue lysate (cirrhosis) - total protein (<a href='/products/unavailable/human-prostate-tissue-lysate-cirrhosis-total-protein-ab30307'>ab30307</a>) at 10 µg

Lane 2:

PC3 (Human prostate carcinoma cell line) Whole Cell Lysate at 10 µg

Lane 3:

HeLa (Human epithelial carcinoma cell line) Whole Cell Lysate at 10 µg

Lane 4:

HEK293 (Human embryonic kidney cell line) Whole Cell Lysate at 10 µg

Lane 5:

Jurkat (Human T cell lymphoblast-like cell line) Whole Cell Lysate at 10 µg

Lane 6:

K562 (Human erythromyeloblastoid leukemia cell line) Whole Cell Lysate at 10 µg

Lane 7:

Human kidney tissue lysate - total protein (<a href='/products/unavailable/human-kidney-tissue-lysate-total-protein-ab30203'>ab30203</a>) at 10 µg

Secondary

All lanes:

Western blot - Goat Anti-Rabbit IgG H&L (HRP) preadsorbed (ab97080) at 1/5000 dilution

Predicted band size: 23 kDa

Observed band size: 23 kDa

true

Exposure time: 30s

Western blot - Goat Anti-Rabbit IgG H&L (HRP) preadsorbed (AB97080)
  • WB

Unknown

Western blot - Goat Anti-Rabbit IgG H&L (HRP) preadsorbed (AB97080)

All lanes:

Western blot - Anti-Claudin 4 antibody (<a href='/products/primary-antibodies/claudin-4-antibody-ab15104'>ab15104</a>) at 1 µg/mL

All lanes:

SHSY-5Y (Human neuroblastoma cell line) Whole Cell Lysate at 10 µg

Secondary

All lanes:

Western blot - Goat Anti-Rabbit IgG H&L (HRP) preadsorbed (ab97080) at 1/5000 dilution

Predicted band size: 22 kDa

Observed band size: 125 kDa,20 kDa,34 kDa,35 kDa

true

Exposure time: 30s

Western blot - Goat Anti-Rabbit IgG H&L (HRP) preadsorbed (AB97080)
  • WB

Unknown

Western blot - Goat Anti-Rabbit IgG H&L (HRP) preadsorbed (AB97080)

All lanes:

Western blot - Anti-Caspase-10/CASP-10 antibody (<a href='/products/primary-antibodies/caspase-10-casp-10-antibody-ab92844'>ab92844</a>) at 1 µg/mL

Lane 1:

HeLa (Human epithelial carcinoma cell line) Whole Cell Lysate at 10 µg

Lane 2:

A431 (Human epithelial carcinoma cell line) Whole Cell Lysate at 10 µg

Lane 3:

Lung (Human) Tissue Lysate at 10 µg

Lane 4:

Human kidney tissue lysate - total protein (<a href='/products/unavailable/human-kidney-tissue-lysate-total-protein-ab30203'>ab30203</a>) at 10 µg

Secondary

All lanes:

Western blot - Goat Anti-Rabbit IgG H&L (HRP) preadsorbed (ab97080) at 1/5000 dilution

Predicted band size: 58 kDa

Observed band size: 53 kDa,59 kDa

true

Exposure time: 3min

关键信息

宿主种属

Goat

靶标种属

Rabbit

靶标亚型

IgG

靶标特异性

Heavy & Light chains

最低交叉反应

Mouse, Rat, Horse, Chicken, Cow, Human, Pig

预吸附

Yes

偶联物

HRP

激发波长/发射波长
应用

ICC, ELISA, WB, IHC-P

applications

克隆

Polyclonal

亚型

IgG

特异性

By immunoelectrophoresis and ELISA this antibody reacts specifically with Rabbit IgG and with light chains common to other Rabbit immunoglobulins. No antibody was detected against non immunoglobulin serum proteins. Reduced cross-reactivity to bovine, chicken, goat, horse, human, mouse, pig and rat IgG was detected.

反应性数据

{ "title": "Reactivity Data", "filters": { "stats": ["", "Reactivity", "Dilution Info", "Notes"] }, "values": { "ICC": { "reactivity":"TESTED_AND_REACTS", "dilution-info":"", "notes":"<p></p>" }, "IHC-P": { "reactivity":"TESTED_AND_REACTS", "dilution-info":"1/200 - 1/5000", "notes":"<p></p>" }, "ELISA": { "reactivity":"TESTED_AND_REACTS", "dilution-info":"1/25000 - 1/75000", "notes":"<p>as primary.</p>" }, "WB": { "reactivity":"TESTED_AND_REACTS", "dilution-info":"1/5000 - 1/50000", "notes":"<p>Colorimetric: 1/5000 - 1/30000; Chemiluminescent: 1/10000 - 1/50000.</p>" } } }

您可能对以下产品感兴趣:

AB97040

Goat Anti-Mouse IgG H&L (HRP) preadsorbed

5

2 Reviews

查看产品
AB119211

InstantBlue® Coomassie Protein Stain (ISB1L)

5

5 Reviews

查看产品
为什么推荐这个?

我们推荐这个产品,因为它经常被用于相同的实验或相关的研究。

我们建议您务必查阅产品说明书,以确认其是否符合您的实验需求;若有疑问,也可联系我们的技术团队获取协助。

产品详情

性能和储存信息

形式
Liquid
纯化工艺
Affinity purification Immunogen
纯化说明
Antiserum was cross absorbed using bovine, chicken, horse, human, mouse, pig and rat immunosorbents to remove cross reactive antibodies. This antibody was isolated by affinity chromatography using antigen coupled to agarose beads and conjugated to Horse Radish Peroxidase (HRP).
存储溶液
pH: 6.8 - 7.4 Preservative: 0.05% CMIT/MIT based preservative Constituents: 0.2% BSA
运输条件
Blue Ice
推荐的短期储存条件
+4°C
推荐的长期储存条件
+4°C

产品实验方案

文献 (214)

Recent publications for all applications. Explore the full list and refine your search

Aging 16:2061-2076 PubMed38309281

2024

LncRNA MEG3 inhibits the proliferation and migration abilities of colorectal cancer cells by competitively suppressing MiR-31 and reducing the binding of MiR-31 to target gene SFRP1.

Applications

Unspecified application

Species

Unspecified reactive species

Zheli Li,Zhi Zhao,Gang Zhang,Yufeng Liu,Shaohua Zheng

Cell biology international 48:626-637 PubMed38263609

2024

LRP8 promotes tumorigenesis in ovarian cancer through inhibiting p53 signaling.

Applications

Unspecified application

Species

Unspecified reactive species

Yan Xu,Yang Zhou,Xiling Yi,Xiaocui Nie

Experimental and therapeutic medicine 27:8 PubMed38223326

2024

Butorphanol inhibits ferroptosis to attenuate PC12 cell injury by blocking JNK/p38 signaling.

Applications

Unspecified application

Species

Unspecified reactive species

Lulu Ji,Qing She,Ping Zhou,Yibin Qin

Histology and histopathology 39:959-967 PubMed38193235

2024

Notoginsenoside Fc alleviates oxidized low-density lipoprotein-induced endothelial cell dysfunction and upregulates PPAR-γ .

Applications

Unspecified application

Species

Unspecified reactive species

Yuanhao Zhang,Kui Liu,Dile Wang

Biomolecules & biomedicine 24:848-856 PubMed38149831

2023

Hypomethylation of the promoter region contributes to the occurrence and development of ovarian endometriosis via the AKT/mTOR/4EBP1 signaling pathway.

Applications

Unspecified application

Species

Unspecified reactive species

Yuzhen Qin,Yishuai Li,Yali Hao,Yan Li,Shan Kang

BMC cancer 23:1262 PubMed38129809

2023

GRB7 plays a promoting role in the progression of gastric cancer.

Applications

Unspecified application

Species

Unspecified reactive species

Guomin Zhu,Hu Cai,Qiang Xiao,Shukun Zeng,Xiaohua Jiang,Donglan Liu

European journal of histochemistry : EJH 67: PubMed38058290

2023

Pre-treatment with galectin-1 attenuates lipopolysaccharide-induced myocarditis by regulating the Nrf2 pathway.

Applications

Unspecified application

Species

Unspecified reactive species

Liying Shen,Kongjie Lu,Zhenfeng Chen,Yingwei Zhu,Cong Zhang,Li Zhang

Scientific reports 13:21142 PubMed38036591

2023

Low-dose brain radiation: lowering hyperphosphorylated-tau without increasing DNA damage or oncogenic activation.

Applications

Unspecified application

Species

Unspecified reactive species

Diego Iacono,Erin K Murphy,Cheryl D Stimpson,Daniel P Perl,Regina M Day

Cancers 15: PubMed37958297

2023

Acts as an Oncogene in Bladder Cancer.

Applications

Unspecified application

Species

Unspecified reactive species

Ning Huang,Lei Peng,Jiaping Yang,Jinqian Li,Sheng Zhang,Mingjuan Sun

Heliyon 9:e21170 PubMed37886757

2023

AGEs induce high expression of Dll4 via endoplasmic reticulum stress PERK signaling-mediated internal ribosomal entry site mechanism in macrophages.

Applications

Unspecified application

Species

Unspecified reactive species

Yanpeng Ma,Shixiang Zheng,Xiqiang Wang,Ling Zhu,Junkui Wang,Shuo Pan,Yong Zhang,Zhongwei Liu
View all publications

Abcam Product Promise

我们致力于为您的研究提供高质量的试剂,为您科研的每一步提供支持。若我们的产品未能达到预期性能,我们向您提供 Abcam Product Promise 保障。
详情请参阅我们的条款与条件。

关联产品

Select an associated product type
Alternative Product
Secondary Antibodies

AB6717

Goat Anti-Rabbit IgG H&L (FITC)

secondary-antibodies

goat-rabbit-igg-h-l-fitc-ab6717

5

(2 reviews)

Alternative Product
Secondary Antibodies

AB175471

Goat Anti-Rabbit IgG H&L (Alexa Fluor® 568)

secondary-antibodies

goat-rabbit-igg-h-l-alexa-fluor-568-ab175471

5

(1 reviews)

Alternative Product
Secondary Antibodies

AB150077

Goat Anti-Rabbit IgG H&L (Alexa Fluor® 488)

secondary-antibodies

goat-rabbit-igg-h-l-alexa-fluor-488-ab150077

5

(20 reviews)

Alternative Product
Secondary Antibodies

AB150079

Goat Anti-Rabbit IgG H&L (Alexa Fluor® 647)

secondary-antibodies

goat-rabbit-igg-h-l-alexa-fluor-647-ab150079

3

(1 reviews)

Alternative Product
Secondary Antibodies

AB150080

Goat Anti-Rabbit IgG H&L (Alexa Fluor® 594)

secondary-antibodies

goat-rabbit-igg-h-l-alexa-fluor-594-ab150080

5

(3 reviews)

Alternative Product
Secondary Antibodies

AB205718

Goat Anti-Rabbit IgG H&L (HRP)

secondary-antibodies

goat-rabbit-igg-h-l-hrp-ab205718

5

(8 reviews)

Please note: All products are 'FOR RESEARCH USE ONLY. NOT FOR USE IN DIAGNOSTIC OR THERAPEUTIC PROCEDURES'.

For licensing inquiries, please contact partnerships@abcam.com