JavaScript is disabled in your browser. Please enable JavaScript to view this website.
AB214880

Goat Anti-Rabbit IgG H&L (HRP polymer)

Goat Anti-Rabbit IgG H&L (HRP polymer)

5

(3 Reviews)

|

(68 Publications)

Goat Anti-Rabbit IgG H&L (HRP polymer) is a secondary antibody that is ideal for tissue imaging. Suitable for IHC and more.

- Reacts with heavy (gamma) chains on rabbit IgG and light chains on all rabbit immunoglobulins
- No cross-reactivity is observed with non-immunoglobulin rabbit serum proteins, serum proteins from Human, Mouse or Rat
- Cited in over 40 publications

查看别名

Ig gamma 1 chain C region, Ig gamma 3 chain C region, Ig gamma 4 chain C region, Ig gamma chain C region, Ig gamma-2 chain C region, Ig kappa-b4 chain C region, Ig kappa-b5 chain C region, Ig kappa-b9 chain C region, Ig lambda chain C region, Immunoglobin heavy constant gamma 1, Immunoglobulin G, K-BAS

41 Images
Immunohistochemistry (Formalin/PFA-fixed paraffin-embedded sections) - Goat Anti-Rabbit IgG H&L (HRP polymer) (AB214880)
  • IHC-P

Lab

Immunohistochemistry (Formalin/PFA-fixed paraffin-embedded sections) - Goat Anti-Rabbit IgG H&L (HRP polymer) (AB214880)

Immunohistochemical analysis of paraffin-embedded Human astrocytoma labelling Pan Trk with ab246551 at 1/500 dilution, followed by a Goat Anti-Rabbit IgG H&L (HRP polymer) ready to use (ab214880). Positive staining on human astrocytoma is observed. Counter stained with hematoxylin. Secondary antibody only control : Used PBS instead of primary antibody, secondary antibody is a Goat Anti-Rabbit IgG H&L (HRP polymer) ready to use. Heat mediated antigen retrieval using ab93684 (Tris/EDTA buffer, pH 9.0).

Immunohistochemistry (Formalin/PFA-fixed paraffin-embedded sections) - Goat Anti-Rabbit IgG H&L (HRP polymer) (AB214880)
  • IHC-P

Supplier Data

Immunohistochemistry (Formalin/PFA-fixed paraffin-embedded sections) - Goat Anti-Rabbit IgG H&L (HRP polymer) (AB214880)

Immunohistochemical analysis of paraffin-embedded Human testis tissue labeling TRIP12/ULF with ab313628 at 1/2000 (0.246 ug/ml) followed by a ready to use Goat Anti-Rabbit IgG H&L (HRP polymer) (ab214880). Nuclear staining on human testis. The section was incubated with ab313628 at 4°C overnight. Counterstained with Hematoxylin. Secondary antibody only control : Secondary antibody is a ready to use Goat Anti-Rabbit IgG H&L (HRP polymer) (ab214880). Heat mediated antigen retrieval was performed using ab93678 (citrate buffer, pH 6.0)

Immunohistochemistry (Formalin/PFA-fixed paraffin-embedded sections) - Goat Anti-Rabbit IgG H&L (HRP polymer) (AB214880)
  • IHC-P

Supplier Data

Immunohistochemistry (Formalin/PFA-fixed paraffin-embedded sections) - Goat Anti-Rabbit IgG H&L (HRP polymer) (AB214880)

Immunohistochemical analysis of paraffin-embedded Human breast carcinoma tissue labelling Periostin with ab215199 at 1/1000 dilution (0.516 μg/ml) followed by a Goat Anti-Rabbit IgG H&L (HRP polymer) (ab214880) at a Ready to use dilution. Positive staining on extracellular matrix of human breast carcinoma. The section was incubated with ab215199 at 4°C overnight. Counterstained with Hematoxylin. Secondary antibody only control : Secondary antibody is Goat Anti-Rabbit IgG H&L (HRP polymer) (ab214880) at Ready to use dilution. Heat mediated antigen retrieval was performed using ab93684 (Tris/EDTA buffer, pH 9.0).

Immunohistochemistry (Formalin/PFA-fixed paraffin-embedded sections) - Goat Anti-Rabbit IgG H&L (HRP polymer) (AB214880)
  • IHC-P

Supplier Data

Immunohistochemistry (Formalin/PFA-fixed paraffin-embedded sections) - Goat Anti-Rabbit IgG H&L (HRP polymer) (AB214880)

Immunohistochemical analysis of paraffin-embedded human lung tissue labeling SCP3 with ab314313 at 1/100 (5.02 ug/ml) followed by a ready to use Goat Anti-Rabbit IgG H&L (HRP polymer) (ab214880). Negative control : no staining on human lung. The section was incubated with ab314313 at 4°C overnight. Counterstained with Hematoxylin. Secondary antibody only control : Secondary antibody is a ready to use Goat Anti-Rabbit IgG H&L (HRP polymer) (ab214880). Heat mediated antigen retrieval was performed using ab93684 (Tris/EDTA buffer, pH 9.0).

Immunohistochemistry (Formalin/PFA-fixed paraffin-embedded sections) - Goat Anti-Rabbit IgG H&L (HRP polymer) (AB214880)
  • IHC-P

Supplier Data

Immunohistochemistry (Formalin/PFA-fixed paraffin-embedded sections) - Goat Anti-Rabbit IgG H&L (HRP polymer) (AB214880)

Immunohistochemical analysis of paraffin-embedded Panel A HEK-293T c tissue labeling Oncostatin M/OSM with ab307951 at 1/100 (4.85 ug/ml) followed by a ready to use Goat Anti-Rabbit IgG H&L (HRP polymer) (ab214880). Positive staining on (A) HEK-293T transfected with a human Oncostatin M/OSM expression vector, no staining on (B) HEK-293T transfected with an empty vector. The section was incubated with ab307951 at 4°C overnight. Counterstained with Hematoxylin. Secondary antibody only control : Secondary antibody is a ready to use Goat Anti-Rabbit IgG H&L (HRP polymer) (ab214880). Heat mediated antigen retrieval was performed using ab93684 (Tris/EDTA buffer, pH 9.0).

Immunohistochemistry (Formalin/PFA-fixed paraffin-embedded sections) - Goat Anti-Rabbit IgG H&L (HRP polymer) (AB214880)
  • IHC-P

Supplier Data

Immunohistochemistry (Formalin/PFA-fixed paraffin-embedded sections) - Goat Anti-Rabbit IgG H&L (HRP polymer) (AB214880)

Immunohistochemical analysis of paraffin-embedded Human testis tissue labeling Nectin 3 with ab314219 at 1/500 followed by a ready to use Goat Anti-Rabbit IgG H&L (HRP polymer) (ab214880). Positive staining on human testis. The section was incubated with ab314219 at 4°C overnight. Counterstained with Hematoxylin. Secondary antibody only control : Secondary antibody is a ready to use Goat Anti-Rabbit IgG H&L (HRP polymer) (ab214880). Heat mediated antigen retrieval was performed using ab93678 (citrate buffer, pH 6.0)

Immunohistochemistry (Formalin/PFA-fixed paraffin-embedded sections) - Goat Anti-Rabbit IgG H&L (HRP polymer) (AB214880)
  • IHC-P

Supplier Data

Immunohistochemistry (Formalin/PFA-fixed paraffin-embedded sections) - Goat Anti-Rabbit IgG H&L (HRP polymer) (AB214880)

Immunohistochemical analysis of paraffin-embedded Human placenta tissue labeling Nectin 3 with ab314219 at 1/500 followed by a ready to use Goat Anti-Rabbit IgG H&L (HRP polymer) (ab214880). Positive staining on human placenta. The section was incubated with ab314219 at 4°C overnight. Counterstained with Hematoxylin. Secondary antibody only control : Secondary antibody is a ready to use Goat Anti-Rabbit IgG H&L (HRP polymer) (ab214880). Heat mediated antigen retrieval was performed using ab93678 (citrate buffer, pH 6.0)

Immunohistochemistry (Formalin/PFA-fixed paraffin-embedded sections) - Goat Anti-Rabbit IgG H&L (HRP polymer) (AB214880)
  • IHC-P

Supplier Data

Immunohistochemistry (Formalin/PFA-fixed paraffin-embedded sections) - Goat Anti-Rabbit IgG H&L (HRP polymer) (AB214880)

Immunohistochemical analysis of paraffin-embedded Human pancreas tissue labeling Biotin with ab324266 at 1/2000 (0.263 ug/ml) dilution, followed by a ready to use Goat Anti-Rabbit IgG H&L (HRP polymer) (ab214880).

Positive staining in human pancreas tissue pre-incubated at 37°C for 1 hour with biotinylated Anti-Vimentin antibody [EPR3776] – Chicken IgY (Chimeric) (ab316214), followed by overnight incubation at 4°C with Rabbit monoclonal Anti-Biotin antibody [EPR28239-85] (ab324266) (Image A). In contrast, no positive staining is detected when the tissue is incubated only with the Anti-Biotin antibody (ab324266) under the same conditions (Image B).

Counterstained with Hematoxylin.

Secondary antibody only control : Secondary antibody is a ready to use Goat Anti-Rabbit IgG H&L (HRP polymer) (ab214880).

Heat mediated antigen retrieval was performed with Tris-EDTA buffer (pH 9.0, Epitope Retrieval Solution2) for 20 mins

Immunohistochemistry (Formalin/PFA-fixed paraffin-embedded sections) - Goat Anti-Rabbit IgG H&L (HRP polymer) (AB214880)
  • IHC-P

Supplier Data

Immunohistochemistry (Formalin/PFA-fixed paraffin-embedded sections) - Goat Anti-Rabbit IgG H&L (HRP polymer) (AB214880)

Immunohistochemical analysis of paraffin-embedded Human tonsil tissue labeling Fibrillarin with ab314506 at 1/2000 (0.249 ug/ml) followed by a ready to use Goat Anti-Rabbit IgG H&L (HRP polymer) (ab214880). Nucleolus staining on human tonsil The section was incubated with ab314506 at 4°C overnight. Counterstained with Hematoxylin. Secondary antibody only control : Secondary antibody is a ready to use Goat Anti-Rabbit IgG H&L (HRP polymer) (ab214880). Heat mediated antigen retrieval was performed using ab93678 (citrate buffer, pH 6.0)

Immunohistochemistry (Formalin/PFA-fixed paraffin-embedded sections) - Goat Anti-Rabbit IgG H&L (HRP polymer) (AB214880)
  • IHC-P

Supplier Data

Immunohistochemistry (Formalin/PFA-fixed paraffin-embedded sections) - Goat Anti-Rabbit IgG H&L (HRP polymer) (AB214880)

Immunohistochemical analysis of paraffin-embedded Human dorsal root ganglion (DRG) tissue labeling TRPA1/TSA with ab320715 at 1/50 (9.98 ug/ml) dilution, followed by a ready to use Goat Anti-Rabbit IgG H&L (HRP polymer) (ab214880). Positive staining on human dorsal root ganglion (DRG). The section was incubated with ab320715 at 4°C overnight. Counterstained with Hematoxylin. Secondary antibody only control : Secondary antibody is a ready to use Goat Anti-Rabbit IgG H&L (HRP polymer) (ab214880). Heat mediated antigen retrieval was performed using ab93684 (Tris/EDTA buffer, pH 9.0)

Immunohistochemistry (Formalin/PFA-fixed paraffin-embedded sections) - Goat Anti-Rabbit IgG H&L (HRP polymer) (AB214880)
  • IHC-P

Supplier Data

Immunohistochemistry (Formalin/PFA-fixed paraffin-embedded sections) - Goat Anti-Rabbit IgG H&L (HRP polymer) (AB214880)
Immunohistochemistry (Formalin/PFA-fixed paraffin-embedded sections) - Goat Anti-Rabbit IgG H&L (HRP polymer) (AB214880)
  • IHC-P

Supplier Data

Immunohistochemistry (Formalin/PFA-fixed paraffin-embedded sections) - Goat Anti-Rabbit IgG H&L (HRP polymer) (AB214880)

Immunohistochemical analysis of paraffin-embedded Human lung cancer tissue labeling TRIP12/ULF with ab313628 at 1/2000 (0.246 ug/ml) followed by a ready to use Goat Anti-Rabbit IgG H&L (HRP polymer) (ab214880). Nuclear staining on human lung cancer. The section was incubated with ab313628 at 4°C overnight. Counterstained with Hematoxylin. Secondary antibody only control : Secondary antibody is a ready to use Goat Anti-Rabbit IgG H&L (HRP polymer) (ab214880). Heat mediated antigen retrieval was performed using ab93678 (citrate buffer, pH 6.0)

Immunohistochemistry (Formalin/PFA-fixed paraffin-embedded sections) - Goat Anti-Rabbit IgG H&L (HRP polymer) (AB214880)
  • IHC-P

Supplier Data

Immunohistochemistry (Formalin/PFA-fixed paraffin-embedded sections) - Goat Anti-Rabbit IgG H&L (HRP polymer) (AB214880)

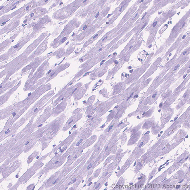
Immunohistochemical analysis of paraffin-embedded Human cardiac muscle tissue labeling Nectin 3 with ab314219 at 1/500 followed by a ready to use Goat Anti-Rabbit IgG H&L (HRP polymer) (ab214880). Negative control : no staining on human cardiac muscle. The section was incubated with ab314219 at 4°C overnight. Counterstained with Hematoxylin. Secondary antibody only control : Secondary antibody is a ready to use Goat Anti-Rabbit IgG H&L (HRP polymer) (ab214880). Heat mediated antigen retrieval was performed using ab93678 (citrate buffer, pH 6.0)

Immunohistochemistry (Formalin/PFA-fixed paraffin-embedded sections) - Goat Anti-Rabbit IgG H&L (HRP polymer) (AB214880)
  • IHC-P

Supplier Data

Immunohistochemistry (Formalin/PFA-fixed paraffin-embedded sections) - Goat Anti-Rabbit IgG H&L (HRP polymer) (AB214880)

Immunohistochemical analysis of paraffin-embedded Human testis tissue labeling GPC2 with ab324378 at 1/200 (2.555 ug/ml) dilution, followed by a ready to use Goat Anti-Rabbit IgG H&L (HRP polymer) (ab214880).

Positive staining on human testis.
The primary antibody was incubated overnight at 4°C.

Counterstained with Hematoxylin.

Secondary antibody only control : Secondary antibody is a ready to use Goat Anti-Rabbit IgG H&L (HRP polymer) (ab214880).

Heat mediated antigen retrieval was performed with Tris-EDTA buffer (pH 9.0, Epitope Retrieval Solution2) for 20 mins

Immunohistochemistry (Formalin/PFA-fixed paraffin-embedded sections) - Goat Anti-Rabbit IgG H&L (HRP polymer) (AB214880)
  • IHC-P

Supplier Data

Immunohistochemistry (Formalin/PFA-fixed paraffin-embedded sections) - Goat Anti-Rabbit IgG H&L (HRP polymer) (AB214880)

Tissue Microarrays stained for "Anti-Ki67 antibody [SP6]” using "ab16667" at 1/200 dilution (0.145 μg/ml) in immunohistochemical analysis. This table provides a detailed overview of positive (tick mark) and negative (cross mark) staining per sample type tested. Taking human colon tissue as an example, Ki67 is barely expressed or the expression level is very low in normal colon tissue, and the IHC test result is usually negative. While the expression of Ki67 can be upregulated in the proliferating cells of colon tissue, and the IHC test result could be positive. The sections were pre-treated using Heat mediated antigen retrieval using ab93678 (citrate buffer, pH 6.0). The sections were incubated with ab16667 at +4°C overnight followed by a ready to use Goat Anti-Rabbit IgG H&L (HRP polymer) (ab214880). Hematoxylin was used as the counter stain.

Immunohistochemistry (Formalin/PFA-fixed paraffin-embedded sections) - Goat Anti-Rabbit IgG H&L (HRP polymer) (AB214880)
  • IHC-P

Lab

Immunohistochemistry (Formalin/PFA-fixed paraffin-embedded sections) - Goat Anti-Rabbit IgG H&L (HRP polymer) (AB214880)

Immunohistochemical analysis of paraffin-embedded Human kidney tissue labeling Ki67 with ab16667 at 1/200 (0.145 µg/ml) followed by a ready to use LGoat Anti-Rabbit IgG H&L (HRP polymer) secondary antibody (ab214880). Low expression : positive staining only on proliferating cells (arrow) of human kidney. The section was incubated with ab16667 at 4°C overnight and counterstained with Hematoxylin. Secondary antibody only control : Secondary antibody is a ready to use Goat Anti-Rabbit IgG H&L (HRP polymer) (ab214880). Heat mediated antigen retrieval was performed using ab93678 (citrate buffer, pH 6.0).

Immunohistochemistry (Formalin/PFA-fixed paraffin-embedded sections) - Goat Anti-Rabbit IgG H&L (HRP polymer) (AB214880)
  • IHC-P

Supplier Data

Immunohistochemistry (Formalin/PFA-fixed paraffin-embedded sections) - Goat Anti-Rabbit IgG H&L (HRP polymer) (AB214880)

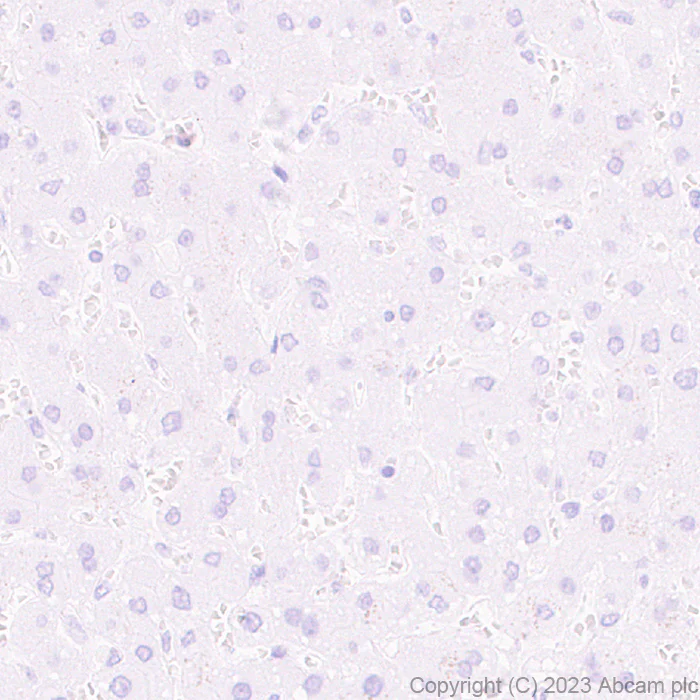
Immunohistochemical analysis of paraffin-embedded Human liver tissue labeling TRIP12/ULF with ab313628 at 1/2000 (0.246 ug/ml) followed by a ready to use Goat Anti-Rabbit IgG H&L (HRP polymer) (ab214880). Low expression : weakly nuclear staining on human liver. The section was incubated with ab313628 at 4°C overnight. Counterstained with Hematoxylin. Secondary antibody only control : Secondary antibody is a ready to use Goat Anti-Rabbit IgG H&L (HRP polymer) (ab214880). Heat mediated antigen retrieval was performed using ab93678 (citrate buffer, pH 6.0)

Immunohistochemistry (Formalin/PFA-fixed paraffin-embedded sections) - Goat Anti-Rabbit IgG H&L (HRP polymer) (AB214880)
  • IHC-P

Supplier Data

Immunohistochemistry (Formalin/PFA-fixed paraffin-embedded sections) - Goat Anti-Rabbit IgG H&L (HRP polymer) (AB214880)

Immunohistochemical analysis of paraffin-embedded Human breast tissue labeling Biotin with ab324266 at 1/2000 (0.263 ug/ml) dilution, followed by a ready to use Goat Anti-Rabbit IgG H&L (HRP polymer) (ab214880).

Positive staining in human breast tissue pre-incubated at 37°C for 1 hour with biotinylated Anti-Vimentin antibody [EPR3776] – Chicken IgY (Chimeric) (ab316214), followed by overnight incubation at 4°C with Rabbit monoclonal Anti-Biotin antibody [EPR28239-85] (ab324266) (Image A). In contrast, no positive staining is detected when the tissue is incubated only with the Anti-Biotin antibody (ab324266) under the same conditions (Image B).

Counterstained with Hematoxylin.

Secondary antibody only control : Secondary antibody is a ready to use Goat Anti-Rabbit IgG H&L (HRP polymer) (ab214880).

Heat mediated antigen retrieval was performed with Tris-EDTA buffer (pH 9.0, Epitope Retrieval Solution2) for 20 mins

Immunohistochemistry (Formalin/PFA-fixed paraffin-embedded sections) - Goat Anti-Rabbit IgG H&L (HRP polymer) (AB214880)
  • IHC-P

Lab

Immunohistochemistry (Formalin/PFA-fixed paraffin-embedded sections) - Goat Anti-Rabbit IgG H&L (HRP polymer) (AB214880)

IHC image of ab16667 staining Ki67 in a section of formalin-fixed paraffin-embedded Human colon carcinoma tissue. The section incubated with ab16667 at 1/200 (0.145 μg/ml) dilution and ready to use Goat Anti-Rabbit IgG H&L (HRP polymer) (ab214880) was used as secondary antobody. Positive staining on human colon carcinoma. The section was incubated with ab16667 at 4°C overnight. The section was counterstained with haematoxylin. Heat mediated antigen retrieval was performed using ab93678 (citrate buffer, pH 6.0).

Immunohistochemistry (Formalin/PFA-fixed paraffin-embedded sections) - Goat Anti-Rabbit IgG H&L (HRP polymer) (AB214880)
  • IHC-P

Lab

Immunohistochemistry (Formalin/PFA-fixed paraffin-embedded sections) - Goat Anti-Rabbit IgG H&L (HRP polymer) (AB214880)

Immunohistochemical analysis of paraffin-embedded Human liver tissue labeling Ki67 with ab16667 at 1/200 (0.145 µg/ml) followed by a ready to use LGoat Anti-Rabbit IgG H&L (HRP polymer) secondary antibody (ab214880). Low expression : positive staining only on proliferating cells (arrow) of human liver. The section was incubated with ab16667 at 4°C overnight and counterstained with Hematoxylin. Secondary antibody only control : Secondary antibody is a ready to use Goat Anti-Rabbit IgG H&L (HRP polymer) (ab214880). Heat mediated antigen retrieval was performed using ab93678 (citrate buffer, pH 6.0).

Immunohistochemistry (Formalin/PFA-fixed paraffin-embedded sections) - Goat Anti-Rabbit IgG H&L (HRP polymer) (AB214880)
  • IHC-P

Supplier Data

Immunohistochemistry (Formalin/PFA-fixed paraffin-embedded sections) - Goat Anti-Rabbit IgG H&L (HRP polymer) (AB214880)

Immunohistochemical analysis of paraffin-embedded Human liver tissue labeling TRPA1/TSA with ab320715 at 1/50 (9.98 ug/ml) dilution, followed by a ready to use Goat Anti-Rabbit IgG H&L (HRP polymer) (ab214880). Negative control : no staining on human liver. The section was incubated with ab320715 at 4°C overnight. Counterstained with Hematoxylin. Secondary antibody only control : Secondary antibody is a ready to use Goat Anti-Rabbit IgG H&L (HRP polymer) (ab214880). Heat mediated antigen retrieval was performed using ab93684 (Tris/EDTA buffer, pH 9.0)

Immunohistochemistry (Formalin/PFA-fixed paraffin-embedded sections) - Goat Anti-Rabbit IgG H&L (HRP polymer) (AB214880)
  • IHC-P

Supplier Data

Immunohistochemistry (Formalin/PFA-fixed paraffin-embedded sections) - Goat Anti-Rabbit IgG H&L (HRP polymer) (AB214880)

Immunohistochemical analysis of paraffin-embedded (A) IMR-32 (human neuroblastoma neuroblast) cell pellet. (B) HeLa (human cervical adenocarcinoma epithelial cell) cell pellet. tissue labeling GPC2 with ab324378 at 1/200 (2.555 ug/ml) dilution, followed by a ready to use Goat Anti-Rabbit IgG H&L (HRP polymer) (ab214880).

Positive staining on (A) IMR-32 cell pellet, no staining on (B) HeLa cell pellet.
The primary antibody was incubated overnight at 4°C.

Counterstained with Hematoxylin.

Secondary antibody only control : Secondary antibody is a ready to use Goat Anti-Rabbit IgG H&L (HRP polymer) (ab214880).

Heat mediated antigen retrieval was performed with Tris-EDTA buffer (pH 9.0, Epitope Retrieval Solution2) for 20 mins

Immunohistochemistry (Formalin/PFA-fixed paraffin-embedded sections) - Goat Anti-Rabbit IgG H&L (HRP polymer) (AB214880)
  • IHC-P

Lab

Immunohistochemistry (Formalin/PFA-fixed paraffin-embedded sections) - Goat Anti-Rabbit IgG H&L (HRP polymer) (AB214880)
Immunohistochemistry (Formalin/PFA-fixed paraffin-embedded sections) - Goat Anti-Rabbit IgG H&L (HRP polymer) (AB214880)
  • IHC-P

Supplier Data

Immunohistochemistry (Formalin/PFA-fixed paraffin-embedded sections) - Goat Anti-Rabbit IgG H&L (HRP polymer) (AB214880)

Immunohistochemical analysis of paraffin-embedded Human breast tissue labeling Oncostatin M/OSM with ab307951 at 1/100 (4.85 ug/ml) followed by a ready to use Goat Anti-Rabbit IgG H&L (HRP polymer) (ab214880). Negative control : no staining on human breast. The section was incubated with ab307951 at 4°C overnight. Counterstained with Hematoxylin. Secondary antibody only control : Secondary antibody is a ready to use Goat Anti-Rabbit IgG H&L (HRP polymer) (ab214880). Heat mediated antigen retrieval was performed using ab93684 (Tris/EDTA buffer, pH 9.0).

Immunohistochemistry (Formalin/PFA-fixed paraffin-embedded sections) - Goat Anti-Rabbit IgG H&L (HRP polymer) (AB214880)
  • IHC-P

Lab

Immunohistochemistry (Formalin/PFA-fixed paraffin-embedded sections) - Goat Anti-Rabbit IgG H&L (HRP polymer) (AB214880)

Immunohistochemical analysis of paraffin-embedded Human diffuse large B-cell lymphoma labelling CD10 with ab255609 at 1/1000 dilution, followed by a Goat Anti-Rabbit IgG H&L (HRP polymer) ready to use (ab214880). Positive staining on human diffuse large B-cell lymphoma is observed. Counter stained with hematoxylin. Secondary antibody only control : Used PBS instead of primary antibody, secondary antibody is a Goat Anti-Rabbit IgG H&L (HRP polymer) ready to use. Heat mediated antigen retrieval using ab93684 (Tris/EDTA buffer, pH 9.0).

Immunohistochemistry (Formalin/PFA-fixed paraffin-embedded sections) - Goat Anti-Rabbit IgG H&L (HRP polymer) (AB214880)
  • IHC-P

Supplier Data

Immunohistochemistry (Formalin/PFA-fixed paraffin-embedded sections) - Goat Anti-Rabbit IgG H&L (HRP polymer) (AB214880)

Immunohistochemical analysis of paraffin-embedded Human tonsil tissue labeling Dnmt1 with ab317845 at 1/500 (1.062 ug/ml) dilution, followed by a ready to use Goat Anti-Rabbit IgG H&L (HRP polymer) (ab214880).

Positve staining on human tonsil. The section was incubated with ab317845 at 4°C overnight.

Counterstained with Hematoxylin.

Secondary antibody only control : Secondary antibody is a ready to use Goat Anti-Rabbit IgG H&L (HRP polymer) (ab214880).

Heat mediated antigen retrieval was performed using ab93684 (Tris/EDTA buffer, pH 9.0)

Immunohistochemistry (Formalin/PFA-fixed paraffin-embedded sections) - Goat Anti-Rabbit IgG H&L (HRP polymer) (AB214880)
  • IHC-P

Supplier Data

Immunohistochemistry (Formalin/PFA-fixed paraffin-embedded sections) - Goat Anti-Rabbit IgG H&L (HRP polymer) (AB214880)

Immunohistochemical analysis of paraffin-embedded Human liver tissue labelling Oncostatin M/OSM with ab307951 at 1/100 (4.85 ug/ml) followed by a ready to use Goat Anti-Rabbit IgG H&L (HRP polymer) (ab214880). Positive staining on scattered immune cells of human liver. The section was incubated with ab307951 at 4°C overnight. Counterstained with Hematoxylin. Secondary antibody only control : Secondary antibody is a ready to use Goat Anti-Rabbit IgG H&L (HRP polymer) (ab214880). Heat mediated antigen retrieval was performed using ab93684 (Tris/EDTA buffer, pH 9.0).

Immunohistochemistry (Formalin/PFA-fixed paraffin-embedded sections) - Goat Anti-Rabbit IgG H&L (HRP polymer) (AB214880)
  • IHC-P

Supplier Data

Immunohistochemistry (Formalin/PFA-fixed paraffin-embedded sections) - Goat Anti-Rabbit IgG H&L (HRP polymer) (AB214880)

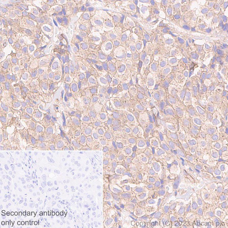
Immunohistochemical analysis of paraffin-embedded Human pancreatic carcinoma tissue labelling CD133 with ab216323 at 1/1000 dilution (1.386 μg/ml) followed by a Goat Anti-Rabbit IgG H&L (HRP polymer) (ab214880) at Ready to use dilution. Positive staining on human pancreatic carcinoma. The section was incubated with ab216323 at 4°C overnight. Counterstained with Hematoxylin. Secondary antibody only control : Secondary antibody is Goat Anti-Rabbit IgG H&L (HRP polymer) (ab214880) at Ready to use dilution. Heat mediated antigen retrieval was performed using ab93684 (Tris/EDTA buffer, pH 9.0).

Immunohistochemistry (Formalin/PFA-fixed paraffin-embedded sections) - Goat Anti-Rabbit IgG H&L (HRP polymer) (AB214880)
  • IHC-P

Supplier Data

Immunohistochemistry (Formalin/PFA-fixed paraffin-embedded sections) - Goat Anti-Rabbit IgG H&L (HRP polymer) (AB214880)

Immunohistochemical analysis of paraffin-embedded Human tonsil tissue labeling Digoxigenin with ab320717 at 1/1000 (0.503 ug/ml) dilution followed by a ready to use Goat Anti-Rabbit IgG H&L (HRP polymer) (ab214880).

Positive staining on (A) human tonsil incubated with mouse monoclonal PD-1 antibody conjugated to Digoxigenin and no staining on (B) human tonsil incubated with mouse monoclonal PD-1 antibody and (C) human tonsil incubated with PBS then all the sections were incubated with ab320717 at 4°C overnight.

Counterstained with Hematoxylin.

Secondary antibody only control : Secondary antibody is a ready to use Goat Anti-Rabbit IgG H&L (HRP polymer) (ab214880).

Heat mediated antigen retrieval was performed using ab93684 (Tris/EDTA buffer pH 9.0)

Immunohistochemistry (Formalin/PFA-fixed paraffin-embedded sections) - Goat Anti-Rabbit IgG H&L (HRP polymer) (AB214880)
  • IHC-P

Supplier Data

Immunohistochemistry (Formalin/PFA-fixed paraffin-embedded sections) - Goat Anti-Rabbit IgG H&L (HRP polymer) (AB214880)

Immunohistochemical analysis of paraffin-embedded Human colon tissue labeling Oncostatin M/OSM with ab307951 at 1/100 (4.85 ug/ml) followed by a ready to use Goat Anti-Rabbit IgG H&L (HRP polymer) (ab214880). Positive staining on scattered immune cells of human colon. The section was incubated with ab307951 at 4°C overnight. Counterstained with Hematoxylin. Secondary antibody only control : Secondary antibody is a ready to use Goat Anti-Rabbit IgG H&L (HRP polymer) (ab214880). Heat mediated antigen retrieval was performed using ab93684 (Tris/EDTA buffer, pH 9.0).

Immunohistochemistry (Formalin/PFA-fixed paraffin-embedded sections) - Goat Anti-Rabbit IgG H&L (HRP polymer) (AB214880)
  • IHC-P

Supplier Data

Immunohistochemistry (Formalin/PFA-fixed paraffin-embedded sections) - Goat Anti-Rabbit IgG H&L (HRP polymer) (AB214880)

Immunohistochemical analysis of paraffin-embedded Human diffuse large tissue labeling Oncostatin M/OSM with ab307951 at 1/100 (4.85 ug/ml) followed by a ready to use Goat Anti-Rabbit IgG H&L (HRP polymer) (ab214880). Positive staining on human diffuse large B-cell lymphoma. The section was incubated with ab307951 at 4°C overnight. Counterstained with Hematoxylin. Secondary antibody only control : Secondary antibody is a ready to use Goat Anti-Rabbit IgG H&L (HRP polymer) (ab214880). Heat mediated antigen retrieval was performed using ab93684 (Tris/EDTA buffer, pH 9.0).

Immunohistochemistry (Formalin/PFA-fixed paraffin-embedded sections) - Goat Anti-Rabbit IgG H&L (HRP polymer) (AB214880)
  • IHC-P

Supplier Data

Immunohistochemistry (Formalin/PFA-fixed paraffin-embedded sections) - Goat Anti-Rabbit IgG H&L (HRP polymer) (AB214880)

Immunohistochemical analysis of paraffin-embedded human testis tissue labeling SCP3 with ab314313 at 1/100 (5.02 ug/ml) followed by a ready to use Goat Anti-Rabbit IgG H&L (HRP polymer) (ab214880). Positive staining on human testis. The section was incubated with ab314313 at 4°C overnight. Counterstained with Hematoxylin. Secondary antibody only control : Secondary antibody is a ready to use Goat Anti-Rabbit IgG H&L (HRP polymer) (ab214880). Heat mediated antigen retrieval was performed using ab93684 (Tris/EDTA buffer, pH 9.0).

Immunohistochemistry (Formalin/PFA-fixed paraffin-embedded sections) - Goat Anti-Rabbit IgG H&L (HRP polymer) (AB214880)
  • IHC-P

Supplier Data

Immunohistochemistry (Formalin/PFA-fixed paraffin-embedded sections) - Goat Anti-Rabbit IgG H&L (HRP polymer) (AB214880)

Immunohistochemical analysis of paraffin-embedded Human kidney tissue labeling GPC2 with ab324378 at 1/200 (2.555 ug/ml) dilution, followed by a ready to use Goat Anti-Rabbit IgG H&L (HRP polymer) (ab214880).

Negative control : No staining on human kidney (PMID : 28739923).
The primary antibody was incubated overnight at 4°C.

Counterstained with Hematoxylin.

Secondary antibody only control : Secondary antibody is a ready to use Goat Anti-Rabbit IgG H&L (HRP polymer) (ab214880).

Heat mediated antigen retrieval was performed with Tris-EDTA buffer (pH 9.0, Epitope Retrieval Solution2) for 20 mins

Immunohistochemistry (Formalin/PFA-fixed paraffin-embedded sections) - Goat Anti-Rabbit IgG H&L (HRP polymer) (AB214880)
  • IHC-P

Lab

Immunohistochemistry (Formalin/PFA-fixed paraffin-embedded sections) - Goat Anti-Rabbit IgG H&L (HRP polymer) (AB214880)

Immunohistochemical analysis of paraffin-embedded Human breast carcinoma labelling Niemann Pick C2 with ab218192 at 1/8000 dilution, followed by a Goat Anti-Rabbit IgG H&L (HRP polymer) ready to use (ab214880). Positive staining on Human breast carcinoma is observed. Counter stained with hematoxylin. Secondary antibody only control : Used PBS instead of primary antibody, secondary antibody is a Goat Anti-Rabbit IgG H&L (HRP polymer) ready to use. Heat mediated antigen retrieval using ab93684 (Tris/EDTA buffer, pH 9.0).

Immunohistochemistry (Formalin/PFA-fixed paraffin-embedded sections) - Goat Anti-Rabbit IgG H&L (HRP polymer) (AB214880)
  • IHC-P

Supplier Data

Immunohistochemistry (Formalin/PFA-fixed paraffin-embedded sections) - Goat Anti-Rabbit IgG H&L (HRP polymer) (AB214880)

Immunohistochemical analysis of paraffin-embedded Human lung tissue labeling TRPA1/TSA with ab320715 at 1/50 (9.98 ug/ml) dilution, followed by a ready to use Goat Anti-Rabbit IgG H&L (HRP polymer) (ab214880). Negative control : no staining on human lung. The section was incubated with ab320715 at 4°C overnight. Counterstained with Hematoxylin. Secondary antibody only control : Secondary antibody is a ready to use Goat Anti-Rabbit IgG H&L (HRP polymer) (ab214880). Heat mediated antigen retrieval was performed using ab93684 (Tris/EDTA buffer, pH 9.0)

Immunohistochemistry (Formalin/PFA-fixed paraffin-embedded sections) - Goat Anti-Rabbit IgG H&L (HRP polymer) (AB214880)
  • IHC-P

Lab

Immunohistochemistry (Formalin/PFA-fixed paraffin-embedded sections) - Goat Anti-Rabbit IgG H&L (HRP polymer) (AB214880)

Immunohistochemical analysis of paraffin-embedded Human diffuse large B-cell lymphoma labelling CD10 with ab256494 at 1/500 dilution, followed by a Goat Anti-Rabbit IgG H&L (HRP polymer) ready to use (ab214880). Positive staining on Human diffuse large B-cell lymphoma is observed. Counter stained with hematoxylin. Secondary antibody only control : Used PBS instead of primary antibody, secondary antibody is a Goat Anti-Rabbit IgG H&L (HRP polymer) ready to use. Heat mediated antigen retrieval using ab93684 (Tris/EDTA buffer, pH 9.0).

Immunohistochemistry (Formalin/PFA-fixed paraffin-embedded sections) - Goat Anti-Rabbit IgG H&L (HRP polymer) (AB214880)
  • IHC-P

Supplier Data

Immunohistochemistry (Formalin/PFA-fixed paraffin-embedded sections) - Goat Anti-Rabbit IgG H&L (HRP polymer) (AB214880)

Immunohistochemical analysis of paraffin-embedded Muscularis of human colon tissue labeling TRPA1/TSA with ab320715 at 1/50 (9.98 ug/ml) dilution, followed by a ready to use Goat Anti-Rabbit IgG H&L (HRP polymer) (ab214880). Positive staining on myenteric ganglia of human colon (PMID : 28478727). The section was incubated with ab320715 at 4°C overnight. Counterstained with Hematoxylin. Secondary antibody only control : Secondary antibody is a ready to use Goat Anti-Rabbit IgG H&L (HRP polymer) (ab214880). Heat mediated antigen retrieval was performed using ab93684 (Tris/EDTA buffer, pH 9.0)

Immunohistochemistry (Formalin/PFA-fixed paraffin-embedded sections) - Goat Anti-Rabbit IgG H&L (HRP polymer) (AB214880)
  • IHC-P

Supplier Data

Immunohistochemistry (Formalin/PFA-fixed paraffin-embedded sections) - Goat Anti-Rabbit IgG H&L (HRP polymer) (AB214880)

Immunohistochemical analysis of paraffin-embedded human liver tissue labeling SCP3 with ab314313 at 1/100 (5.02 ug/ml) followed by a ready to use Goat Anti-Rabbit IgG H&L (HRP polymer) (ab214880). Negative control : no staining on human liver. The section was incubated with ab314313 at 4°C overnight. Counterstained with Hematoxylin. Secondary antibody only control : Secondary antibody is a ready to use Goat Anti-Rabbit IgG H&L (HRP polymer) (ab214880). Heat mediated antigen retrieval was performed using ab93684 (Tris/EDTA buffer, pH 9.0).

Immunohistochemistry (Formalin/PFA-fixed paraffin-embedded sections) - Goat Anti-Rabbit IgG H&L (HRP polymer) (AB214880)
  • IHC-P

Lab

Immunohistochemistry (Formalin/PFA-fixed paraffin-embedded sections) - Goat Anti-Rabbit IgG H&L (HRP polymer) (AB214880)

Immunohistochemistry (Formalin/PFA-fixed paraffin-embedded sections) analysis of human skeletal muscle showing negative staining with purified ab131254 at 1/1800. Heat mediated antigen retrieval was performed using ab93684 (Tris/EDTA buffer, pH 9.0). ab214880, a Goat Anti-Rabbit IgG H&L (HRP polymer) was used as the secondary antibody (1/500). Counterstained with hematoxylin. Negative control : No staining on human skeletal muscle. The section was incubated with ab131254 at 4°C overnight.

Immunohistochemistry (Formalin/PFA-fixed paraffin-embedded sections) - Goat Anti-Rabbit IgG H&L (HRP polymer) (AB214880)
  • IHC-P

Supplier Data

Immunohistochemistry (Formalin/PFA-fixed paraffin-embedded sections) - Goat Anti-Rabbit IgG H&L (HRP polymer) (AB214880)

Immunohistochemical analysis of paraffin-embedded Human lung tissue labelling Oncostatin M/OSM with ab307951 at 1/100 (4.85 ug/ml) followed by a ready to use Goat Anti-Rabbit IgG H&L (HRP polymer) (ab214880). Positive staining on scattered immune cells of human lung. The section was incubated with ab307951 at 4°C overnight. Counterstained with Hematoxylin. Secondary antibody only control : Secondary antibody is a ready to use Goat Anti-Rabbit IgG H&L (HRP polymer) (ab214880). Heat mediated antigen retrieval was performed using ab93684 (Tris/EDTA buffer, pH 9.0).

Immunohistochemistry (Formalin/PFA-fixed paraffin-embedded sections) - Goat Anti-Rabbit IgG H&L (HRP polymer) (AB214880)
  • IHC-P

Supplier Data

Immunohistochemistry (Formalin/PFA-fixed paraffin-embedded sections) - Goat Anti-Rabbit IgG H&L (HRP polymer) (AB214880)

Immunohistochemical analysis of paraffin-embedded Human spleen tissue labeling Oncostatin M/OSM with ab307951 at 1/100 (4.85 ug/ml) followed by a ready to use Goat Anti-Rabbit IgG H&L (HRP polymer) (ab214880). Positive staining on human spleen. The section was incubated with ab307951 at 4°C overnight. Counterstained with Hematoxylin. Secondary antibody only control : Secondary antibody is a ready to use Goat Anti-Rabbit IgG H&L (HRP polymer) (ab214880). Heat mediated antigen retrieval was performed using ab93684 (Tris/EDTA buffer, pH 9.0).

关键信息

宿主种属

Goat

靶标种属

Rabbit

靶标亚型

IgG

靶标特异性

Heavy & Light chains

最低交叉反应
预吸附

No

偶联物

HRP polymer

激发波长/发射波长
应用

IHC-P, Ie

applications

克隆

Polyclonal

亚型

IgG

特异性

Based on IEP, ab214880 reacts with heavy (gamma) chains on rabbit IgG, light chains on all rabbit immunoglobulins. No cross-reactivity is observed to non-immunoglobulin rabbit serum proteins, serum proteins from human, mouse or rat.

反应性数据

{ "title": "Reactivity Data", "filters": { "stats": ["", "Reactivity", "Dilution Info", "Notes"] }, "values": { "IHC-P": { "reactivity":"TESTED_AND_REACTS", "dilution-info":"", "notes":"<p></p>" }, "Ie": { "reactivity":"TESTED_AND_REACTS", "dilution-info":"", "notes":"<p>This product is provided in a pre-diluted, ready-to-use format. Incubate 150 μl per slide for 1 hour.</p>" } } }

产品详情

This antibody reacts with the heavy and light chains of Rabbit IgG

When it comes to advancing your immunohistochemistry (IHC) research, Abcam offers comprehensive suite of IHC kits and secondary antibodies, designed to deliver precise and reliable results.

性能和储存信息

形式
Liquid
纯化工艺
Affinity purification
纯化说明
ab214880 was affinity purified using solid phase Rabbit IgG. Purity >95% by SDS-PAGE.
存储溶液
Preservative: 0.1% Proclin 300 Constituents: PBS, 1% BSA
运输条件
Blue Ice
推荐的短期储存条件
+4°C
推荐的长期储存条件
+4°C

产品实验方案

文献 (68)

Recent publications for all applications. Explore the full list and refine your search

Science advances 11:eadx9917 PubMed41061049

2025

Ligand-receptor interactions induce and mediate regulatory functions of BATF3 B cells.

Applications

Unspecified application

Species

Unspecified reactive species

Hui Yan,Rui Wang,Suryavathi Viswanadhapalli,Christian Cervantes,Funan He,Shuai Wu,Azad Khosh,Weiwei Luo,Jingwei Wang,Maria J Fernandez,Uday P Pratap,Mustafa Khan,Karli Hinton,Sai Eashan Vankamamidi,Dariela Perez,Carlos E Rivera,Harshita B Gupta,Fushun Zhang,Zhenqing Ye,Yidong Chen,Xiao-Dong Li,Gangadhara R Sareddy,Hong Zan,Yue Li,Exing Wang,Evelien M Bunnik,Guangming Zhong,Christopher A Hunter,Ross M Kedl,Zhinan Yin,Booki Min,Diako Ebrahimi,Siyuan Zheng,Tyler J Curiel,Yan Xiang,Ratna K Vadlamudi,Paolo Casali,Zhenming Xu

Translational psychiatry 15:360 PubMed41053026

2025

Antimicrobial treatment ameliorates delirium-like phenotypes in a murine model of urinary tract infection.

Applications

Unspecified application

Species

Unspecified reactive species

Kevin D Winzey,Landon Scott,Debbie Moreira,Timothy S Islam,Catherine Bresee,Jean Phillipe Vit,Warren G Tourtellotte,Konrad H Schlick,Fayyaz S Sutterwala,S Ananth Karumanchi,Shouri Lahiri

Journal of nanobiotechnology 23:612 PubMed41023976

2025

Lactobacillus johnsonii-derived extracellular vesicles restore mucosal immunity via taurine-linked Th17/Treg and IgA/IgG regulation in colitis.

Applications

Unspecified application

Species

Unspecified reactive species

Hailan Zhao,Ningning Yue,Zhiliang Mai,Yuan Zhang,Chengmei Tian,Chen Kong,Longbin Huang,Ruiyue Shi,Yujie Liang,Jun Yao,Yuqiang Nie,Defeng Li,Biao Nie,Lisheng Wang

Diabetes & metabolism journal 49:1229-1241 PubMed40403762

2025

Anti-Senescence Effect of Inhibiting Sodium-Glucose Cotransporter 2 and α-Glucosidase in a Type 2 Diabetes Mellitus Animal Model.

Applications

Unspecified application

Species

Unspecified reactive species

Serin Hong,Byung Soo Kong,Hyunsuk Lee,Young Min Cho

The Journal of experimental biology 228: PubMed40296757

2025

Albumin is ubiquitously expressed in the dolphin body and upregulated by an extracellular albumin shortage.

Applications

Unspecified application

Species

Unspecified reactive species

Kaho Saito,Fumiki Hanafusa,Daiki Inamori,Takuya Itou,Miwa Suzuki

Frontiers in pharmacology 16:1527481 PubMed40191433

2025

Crocin promotes ferroptosis in gastric cancer via the Nrf2/GGTLC2 pathway.

Applications

Unspecified application

Species

Unspecified reactive species

Nan Yan,Gaofu Li,Linglin Zhao,Qijing Guo,Jie Yang,Jianhong Liu,Wei Zhou,Yue Gao,Yushuang Luo

Surgery today 55:1269-1273 PubMed40126602

2025

Quantification of the immunohistochemical staining of fibroblast activation protein in intrathoracic solitary fibrous tumors using QuPath.

Applications

Unspecified application

Species

Unspecified reactive species

Akiisa Omura,Toru Kimura,Tomohiro Maniwa,Tadashi Watabe,Keiichiro Honma,Yasushi Shintani,Jiro Okami

Journal of virology 99:e0141324 PubMed39902863

2025

Single-cell transcriptomics reveals a compartmentalized antiviral interferon response in the nasal epithelium of mice.

Applications

Unspecified application

Species

Unspecified reactive species

Xuefei Wang,Meng Dong,Xinchao Wu,Daniel Schnepf,Julia Thiel,Wenfei Sun,Christian Wolfrum,Sisi Li,Wenfei Jin,Peter Staeheli,Liang Ye

Frontiers in oncology 14:1528454 PubMed39850823

2025

DET induces apoptosis and suppresses tumor invasion in glioma cells via PI3K/AKT pathway.

Applications

Unspecified application

Species

Unspecified reactive species

Rui Zhao,Mengran Wang,Zeyu Wu,Panpan Zhao,Huiling Dong,Yue Su,Chenghui Zhao,Min Qi,Shizhang Ling,Xiaochun Jiang

Nature immunology 25:2320-2330 PubMed39558094

2024

Cutaneous T cell lymphoma atlas reveals malignant T2 cells supported by a B cell-rich tumor microenvironment.

Applications

Unspecified application

Species

Unspecified reactive species

Ruoyan Li,Johanna Strobl,Elizabeth F M Poyner,Aya Balbaa,Fereshteh Torabi,Pavel V Mazin,Nana-Jane Chipampe,Emily Stephenson,Ciro Ramírez-Suástegi,Vijaya Baskar Mahalingam Shanmugiah,Louis Gardner,Bayanne Olabi,Rowen Coulthard,Rachel A Botting,Nina Zila,Elena Prigmore,Nusayhah H Gopee,Marta A Chroscik,Efpraxia Kritikaki,Justin Engelbert,Issac Goh,Hon Man Chan,Harriet F Johnson,Jasmine Ellis,Victoria Rowe,Win Tun,Gary Reynolds,Dexin Yang,April Rose Foster,Laure Gambardella,Elena Winheim,Chloe Admane,Benjamin Rumney,Lloyd Steele,Laura Jardine,Julia Nenonen,Keir Pickard,Jennifer Lumley,Philip Hampton,Simeng Hu,Fengjie Liu,Xiangjun Liu,David Horsfall,Daniela Basurto-Lozada,Louise Grimble,Chris M Bacon,Sophie C Weatherhead,Hanna Brauner,Yang Wang,Fan Bai,Nick J Reynolds,Judith E Allen,Constanze Jonak,Patrick M Brunner,Sarah A Teichmann,Muzlifah Haniffa
View all publications

Abcam Product Promise

我们致力于为您的研究提供高质量的试剂,为您科研的每一步提供支持。若我们的产品未能达到预期性能,我们向您提供 Abcam Product Promise 保障。
详情请参阅我们的条款与条件。

Please note: All products are 'FOR RESEARCH USE ONLY. NOT FOR USE IN DIAGNOSTIC OR THERAPEUTIC PROCEDURES'.

For licensing inquiries, please contact partnerships@abcam.com