JavaScript is disabled in your browser. Please enable JavaScript to view this website.
AB205718

Goat Anti-Rabbit IgG H&L (HRP)

Goat Anti-Rabbit IgG H&L (HRP)

5

(8 Reviews)

|

(4570 Publications)

Goat anti-Rabbit IgG H&L (HRP) (ab205718) is a polyclonal horseradish peroxidase (HRP)-conjugated secondary antibody. Suitable for IHC, western blot, IP and ELISA applications.

- Flexible signal amplification- use in colorimetric or chemiluminescent detection
- Proven performance: cited in over 4565 publications

查看别名

Ig gamma 1 chain C region, Ig gamma 3 chain C region, Ig gamma 4 chain C region, Ig gamma chain C region, Ig gamma-2 chain C region, Ig kappa-b4 chain C region, Ig kappa-b5 chain C region, Ig kappa-b9 chain C region, Ig lambda chain C region, Immunoglobin heavy constant gamma 1, Immunoglobulin G, K-BAS

7 Images
Immunohistochemistry (Formalin/PFA-fixed paraffin-embedded sections) - Goat Anti-Rabbit IgG H&L (HRP) (AB205718)
  • IHC-P

Lab

Immunohistochemistry (Formalin/PFA-fixed paraffin-embedded sections) - Goat Anti-Rabbit IgG H&L (HRP) (AB205718)

IHC image of histone H4 staining in a section of formalin-fixed paraffin-embedded normal human colon tissue*. The section was pre-treated using pressure cooker heat mediated antigen retrieval with sodium citrate buffer (pH6) for 30mins, and incubated overnight at +4°C with ab177840 at 1/1000 dilution. An HRP-conjugated secondary (ab205718, 1/20000 dilution) was used to detect the primary for 1hr at room temperature. DAB was used as the chromogen (ab103723), diluted 1/100 and incubated for 10min at room temperature. The section was counterstained with haematoxylin and mounted with DPX. The inset negative control image is taken from an identical assay without primary antibody.

For other IHC staining systems (automated and non-automated) customers should optimize variable parameters such as antigen retrieval conditions, primary antibody concentration and antibody incubation times.

*Tissue obtained from the Human Research Tissue Bank, supported by the NIHR Cambridge Biomedical Research Centre

Western blot - Goat Anti-Rabbit IgG H&L (HRP) (AB205718)
  • WB

Lab

Western blot - Goat Anti-Rabbit IgG H&L (HRP) (AB205718)

This blot was produced using a 4-12% Bis-tris gel under the MOPS buffer system. The gel was run at 200V for 50 minutes before being transferred onto a Nitrocellulose membrane at 30V for 70 minutes. The membrane was then blocked for an hour using 2% Bovine Serum Albumin before being incubated with ab8227 overnight at 4°C. Antibody binding was detected using ab205718, and visualised using ECL development solution ab133406.

All lanes:

Western blot - Anti-beta Actin antibody - Loading Control (<a href='/products/primary-antibodies/beta-actin-antibody-loading-control-ab8227'>ab8227</a>) at 1 µg/mL

Lane 1:

Liver (Human) Tissue Lysate at 10 µg

Lane 2:

Liver (Mouse) Tissue Lysate at 10 µg

Lane 3:

Liver (Rat) Tissue Lysate at 10 µg

Lane 4:

HeLa (Human epithelial carcinoma cell line) Whole Cell Lysate at 10 µg

Lane 5:

NIH 3T3 (Mouse embryonic fibroblast cell line) Whole Cell Lysate at 10 µg

Lane 6:

PC12 (Rat adrenal pheochromocytoma cell line) Whole Cell Lysate at 10 µg

Secondary

All lanes:

Western blot - Goat Anti-Rabbit IgG H&L (HRP) (ab205718) at 1/50000 dilution

Predicted band size: 36 kDa

Observed band size: 42 kDa

true

Exposure time: 30s

Immunohistochemistry (Formalin/PFA-fixed paraffin-embedded sections) - Goat Anti-Rabbit IgG H&L (HRP) (AB205718)
  • IHC-P

Lab

Immunohistochemistry (Formalin/PFA-fixed paraffin-embedded sections) - Goat Anti-Rabbit IgG H&L (HRP) (AB205718)

IHC image of Ki67 staining in a section of formalin-fixed paraffin-embedded normal human colon tissue*. The section was pre-treated using pressure cooker heat mediated antigen retrieval with sodium citrate buffer (pH6) for 30mins, and incubated overnight at +4°C with ab15580 at 1/1000 dilution. An HRP-conjugated secondary (ab205718, 1/20000 dilution) was used to detect the primary for 1hr at room temperature. DAB was used as the chromogen (ab103723), diluted 1/100 and incubated for 10min at room temperature. The section was counterstained with haematoxylin and mounted with DPX. The inset negative control image is taken from an identical assay without primary antibody.

For other IHC staining systems (automated and non-automated) customers should optimize variable parameters such as antigen retrieval conditions, primary antibody concentration and antibody incubation times.

*Tissue obtained from the Human Research Tissue Bank, supported by the NIHR Cambridge Biomedical Research Centre

Immunohistochemistry (Formalin/PFA-fixed paraffin-embedded sections) - Goat Anti-Rabbit IgG H&L (HRP) (AB205718)
  • IHC-P

Lab

Immunohistochemistry (Formalin/PFA-fixed paraffin-embedded sections) - Goat Anti-Rabbit IgG H&L (HRP) (AB205718)

IHC image of beta tubulin staining in a section of formalin-fixed paraffin-embedded normal human colon tissue*. The section was pre-treated using pressure cooker heat mediated antigen retrieval with sodium citrate buffer (pH6) for 30mins, and incubated overnight at +4°C with ab6046 at 1/100 dilution. An HRP-conjugated secondary (ab205718, 1/20000 dilution) was used to detect the primary for 1hr at room temperature. DAB was used as the chromogen (ab103723), diluted 1/100 and incubated for 10min at room temperature. The section was counterstained with haematoxylin and mounted with DPX. The inset negative control image is taken from an identical assay without primary antibody.

For other IHC staining systems (automated and non-automated) customers should optimize variable parameters such as antigen retrieval conditions, primary antibody concentration and antibody incubation times.

*Tissue obtained from the Human Research Tissue Bank, supported by the NIHR Cambridge Biomedical Research Centre

ELISA - Goat Anti-Rabbit IgG H&L (HRP) (AB205718)
  • ELISA

Lab

ELISA - Goat Anti-Rabbit IgG H&L (HRP) (AB205718)

Cross-reactivity of the polyclonal secondary antibody ab182016 was tested using a sandwich ELISA approach. The wells were coated with the indicated IgG standards at 1 μg/ml (50 μl/well) and incubated overnight at 4°C, followed by a 5% BSA blocking step for 2h at RT. ab182016 was then added starting at 1 μg/ml and gradually diluted 1/4 (50 μl/well), followed by incubation for 2h. For the detection Donkey anti-Goat IgG H&L (HRP) (ab6885) was used at 1/10,000 dilution (50 μl/well), followed by incubation for 1h at RT.

For the batch tested, ab182016 showed a cross-reactivity of 5-7% towards Human IgG and below 2% towards Mouse IgG, Rat IgG and Chicken IgY.

This data was developed using the unconjugated antibody (ab182016).

ELISA - Goat Anti-Rabbit IgG H&L (HRP) (AB205718)
  • ELISA

Lab

ELISA - Goat Anti-Rabbit IgG H&L (HRP) (AB205718)

Cross-reactivity of Goat anti-Rabbit IgG H&L (ab182016) and Goat anti-Rabbit IgG H&L obtained from two different vendors was tested using a sandwich ELISA approach. The wells were coated with the indicated IgG standards (Rabbit, Human, Mouse and Rat) at 1 μg/ml (50 μl/well) and incubated overnight at 4°C, followed by a 5% BSA blocking step for 2h at RT. Secondary antibodies were then added starting at 1 μg/ml and gradually diluted 1/4 (50 μl/well), followed by incubation for 2h. For the detection Donkey anti-Goat IgG H&L (HRP) (ab6885) was used at 1/10,000 dilution (50 μl/well), followed by incubation for 1h at RT. This data is from a representative dilution.

This data was developed using the unconjugated antibody (ab182016).

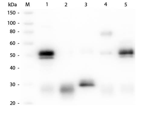
Western blot - Goat Anti-Rabbit IgG H&L (HRP) (AB205718)
  • WB

AbReview80461****

Western blot - Goat Anti-Rabbit IgG H&L (HRP) (AB205718)

All lanes:

Western blot - Anti-rSec6 antibody [EPR10812] (<a href='/products/primary-antibodies/rsec6-antibody-epr10812-ab156568'>ab156568</a>) at 1/5000 dilution

Lane 1:

Hela WT at 100000 Cells

Lane 2:

Hela EXOC3 KO at 100000 Cells

Secondary

All lanes:

Western blot - Goat Anti-Rabbit IgG H&L (HRP) (ab205718) at 1/5000 dilution

false

This image is courtesy of an anonymous Abreview

不同偶联物与剂型 (31)

  • Beta-galactosidase

    Goat Anti-Rabbit IgG H&L (beta-galactosidase)

  • Glucose Oxidase

    Goat Anti-Rabbit IgG H&L (Glucose Oxidase)

  • HRP polymer

    Goat Anti-Rabbit IgG H&L (HRP polymer)

  • Unconjugated

    Goat Anti-Rabbit IgG H&L preadsorbed

  • Alkaline Phosphatase

    Goat Anti-Rabbit IgG H&L (Alkaline Phosphatase)

  • 667 Cy5®

    Goat Anti-Rabbit IgG H&L (Cy5 ®) preadsorbed

  • 505 Cy2®

    Goat Anti-Rabbit IgG H&L (Cy2 ®) preadsorbed

  • 519 FITC

    Goat Anti-Rabbit IgG H&L (FITC)

  • 572 TRITC

    Goat Anti-Rabbit IgG H&L (TRITC)

  • 6nm Gold

    Goat Anti-Rabbit IgG H&L (6nm Gold)

  • 618 DyLight® 594

    Goat Anti-Rabbit IgG H&L (DyLight® 594)

  • 576 DyLight® 550

    Goat Anti-Rabbit IgG H&L (DyLight® 550)

  • 673 DyLight® 650

    Goat Anti-Rabbit IgG H&L (DyLight® 650) preadsorbed

  • 702 Alexa Fluor® 680

    Goat Anti-Rabbit IgG H&L (Alexa Fluor® 680)

  • 603 Alexa Fluor® 568

    Goat Anti-Rabbit IgG H&L (Alexa Fluor® 568)

  • 519 Alexa Fluor® 488

    Goat Anti-Rabbit IgG H&L (Alexa Fluor® 488)

  • 565 Alexa Fluor® 555

    Goat Anti-Rabbit IgG H&L (Alexa Fluor® 555)

  • 665 Alexa Fluor® 647

    Goat Anti-Rabbit IgG H&L (Alexa Fluor® 647)

  • 617 Alexa Fluor® 594

    Goat Anti-Rabbit IgG H&L (Alexa Fluor® 594)

  • 702 Alexa Fluor® 680

    Goat Anti-Rabbit IgG H&L (Alexa Fluor® 680) preadsorbed

  • Biotin

    Goat Anti-Rabbit IgG H&L (Biotin)

  • 775 Alexa Fluor® 750

    Goat Anti-Rabbit IgG H&L (Alexa Fluor® 750) preadsorbed

  • 421 Alexa Fluor® 405

    Goat Anti-Rabbit IgG H&L (Alexa Fluor® 405)

  • 578 PE

    Goat Anti-Rabbit IgG H&L (PE) preadsorbed

  • 615 Texas Red®

    Goat Anti-Rabbit IgG H&L (Texas Red ®)

  • 660 APC

    Goat Anti-Rabbit IgG H&L (APC) preadsorbed

  • 518 DyLight® 488

    Goat Anti-Rabbit IgG H&L (DyLight® 488) preadsorbed

  • 703 Cy5.5®

    Goat Anti-Rabbit IgG H&L (Cy5.5 ®) preadsorbed

  • 565 Cy3®

    Goat Anti-Rabbit IgG H&L (Cy3 ®) preadsorbed

  • 596 Cy3.5®

    Goat Anti-Rabbit IgG H&L (Cy3.5 ®) preadsorbed

  • 805 Alexa Fluor® 790

    Goat Anti-Rabbit IgG H&L (Alexa Fluor® 790)

关键信息

宿主种属

Goat

靶标种属

Rabbit

靶标亚型

IgG

靶标特异性

Heavy & Light chains

最低交叉反应
预吸附

No

偶联物

HRP

激发波长/发射波长
应用

ELISA, WB, IP, IHC-P

applications

克隆

Polyclonal

亚型

IgG

特异性

The antibody used for conjugation reacts with rabbit immunoglobulins of all classes. Cross-reactions as determined by ELISA for the unconjugated antibody (ab182016): Mouse IgG, rat IgG, and chicken IgY, less than 2%. Human IgG, less than 7%.

反应性数据

{ "title": "Reactivity Data", "filters": { "stats": ["", "Reactivity", "Dilution Info", "Notes"] }, "values": { "IP": { "reactivity":"TESTED_AND_REACTS", "dilution-info":"", "notes":"<p></p>" }, "IHC-P": { "reactivity":"TESTED_AND_REACTS", "dilution-info":"1/2000 - 1/50000", "notes":"<p></p>" }, "WB": { "reactivity":"TESTED_AND_REACTS", "dilution-info":"1/2000 - 1/50000", "notes":"<p></p>" }, "ELISA": { "reactivity":"TESTED_AND_REACTS", "dilution-info":"1/5000 - 1/20000", "notes":"<p></p>" } } }

产品详情

When it comes to advancing your immunohistochemistry (IHC) research, Abcam offers a comprehensive suite of IHC kits and secondary antibodies, designed to deliver precise and reliable results.

性能和储存信息

形式
Liquid
纯化工艺
Affinity purification Immunogen
纯化说明
This antibody was isolated by affinity chromatography using antigen coupled to agarose beads and conjugated to Horse Radish Peroxidase (HRP).
存储溶液
pH: 7.4 Preservative: 0.1% Proclin 300 Solution Constituents: PBS, 30% Glycerol (glycerin, glycerine), 1% BSA
运输条件
Blue Ice
推荐的短期储存时间
1-2 weeks
推荐的短期储存条件
+4°C
推荐的长期储存条件
-20°C
分装信息
Upon delivery aliquot
储存信息
Avoid freeze / thaw cycle|Store in the dark

补充信息

This supplementary information is collated from multiple sources and compiled automatically.

Immunoglobulin G (IgG) serves as an essential component of the immune system functioning mainly as an antibody. It is found in blood and extracellular fluid making it one of the most prevalent antibodies in the human body. IgG weighs approximately 150 kDa and it is expressed by B cells as part of the humoral response to pathogens. Alternate names include gamma globulin and Ig gamma. IgG antibodies form a critical aspect of adaptive immunity by targeting specific antigens for neutralization or destruction.
Biological function summary

IgG participates in several immune processes by binding to antigens and forming immune complexes. It facilitates pathogen opsonization initiating phagocytosis by immune cells like macrophages and neutrophils. IgG also activates the classical complement pathway which enhances pathogen clearance. IgG exists in a monomeric form and can cross the placenta providing passive immunity to the fetus. In laboratory settings its high specificity makes it valuable in techniques like IgG ELISA for detecting antigen presence.

Pathways

IgG plays an integral role in the complement system and the adaptive immune response. It partners with proteins such as C1q to initiate the classical complement pathway amplifying the body's ability to detect and remove pathogens. IgG also interacts with Fc receptors on immune cells modulating immune cell activity and facilitating antigen presentation to T cells. These interactions enhance the immune system's efficiency in recognizing and responding to diverse pathogens.

IgG has connections to autoimmune diseases and chronic infections. Elevated levels of IgG can indicate autoimmune conditions like lupus or rheumatoid arthritis where the immune system mistakenly attacks healthy tissue. During chronic infections such as HIV variations in IgG responses can affect disease progression and treatment efficacy. In these contexts IgG interacts with proteins involved in the immune dysregulation characteristic of such diseases highlighting its significant role in both protection and pathology.

产品实验方案

文献 (4570)

Recent publications for all applications. Explore the full list and refine your search

Veterinary research 56:191 PubMed41074106

2025

Annexin A2 facilitates porcine circovirus type 2 infection by mediating viral attachment to host cells and interacting with the capsid protein.

Applications

Unspecified application

Species

Unspecified reactive species

Yifan Jiang,Xinnuo Lei,Weijiao Liu,Siyu Cao,Qing He,Xiaohong Xie,Yang Zhan,Lei Tan,Jinhui Mai,Lingchen Yang,Aibing Wang,Yi Yang,Naidong Wang

The Tohoku journal of experimental medicine : PubMed41062301

2025

KLF5 Alleviates Excessive Autophagy-Induced Podocyte Injury by Enhancing ITCH-Mediated Ubiquitination of ACTR2.

Applications

Unspecified application

Species

Unspecified reactive species

Xianchu Lin,Huirong Lin,Man Luo,Jun Han,Yan Hu,Shilong Xiang,Zejun Fang

Clinical proteomics 22:36 PubMed41062929

2025

Salivary small extracellular vesicles reveal protein signatures in young patients with coronary artery disease.

Applications

Unspecified application

Species

Unspecified reactive species

Pratibha Sharma,Meetanshi Sancheti,Krishna Kishore Inampudi,Ambuj Roy,Rajinder K Dhamija

Molecular therapy. Methods & clinical development 33:101594 PubMed41049691

2025

Establishment of a novel human amniotic epithelial-derived cell line, HAT, for high-yield AAV vector production.

Applications

Unspecified application

Species

Unspecified reactive species

Yugo Hirai,Yu-Hsin Chang,Arisa Yamamoto,Ryo Asahina,Rena Moromizato,Mawo Kinoshita,Kazuko Aizawa,Manami Miyai,Michi Kubota,Takayuki Horiuchi,Kazuaki Nakamura

Hereditas 162:202 PubMed41044672

2025

CircRNA-14052 promotes breast cancer progression via miR-214-3p/IKBKB pathway.

Applications

Unspecified application

Species

Unspecified reactive species

Donghai Li,Zhiying Zhang,Yan Cui,Jiaxin Sun,Wenyuan Wei,Shaofeng Yang,Rui Zhang

PloS one 20:e0333202 PubMed41042741

2025

SPAG6 hypermethylation silences a novel tumor suppressor and inhibits renal cell carcinoma progression via PI3K/AKT/mTOR pathway.

Applications

Unspecified application

Species

Unspecified reactive species

Tianyu Wu,Xing Ji,Yongyang Yun,Xiaofei Wang,Ying Gan,Yu Fan,Qian Zhang

Nature communications 16:8793 PubMed41038810

2025

Dynamic rigidity changes enable rapid cell migration on soft substrates.

Applications

Unspecified application

Species

Unspecified reactive species

Jiapeng Yang,Yu Zhang,Shuo Wang,Peng Wang,Liang Dong,Luofei Li,Yuanqi Cheng,Xiaoyu Huang,Bin Xue,Wei Wang,Chunping Jiang,Xiaosong Gu,Yi Cao,Qiang Wei

Frontiers in nutrition 12:1644496 PubMed41041130

2025

Intestinal SURF4 in dyslipidaemia and female-specific metabolic disorders: insights from rats with polycystic ovary syndrome.

Applications

Unspecified application

Species

Unspecified reactive species

Yating Xu,Yu Si,Li Ning,Ruyue Wang,Hua Ma,Xiu Li,Hongting Zhao,Qingling Ren

Molecular medicine reports 32: PubMed41041835

2025

Regulatory role of POSTN in keloid pathogenesis.

Applications

Unspecified application

Species

Unspecified reactive species

Bin Jiang,Fan Zhuo,Xiahong Li,Kaoyuan Zhang,Jiaxu Gu,Jingwen Wu,Weilong Zhong,Yanfen Zou,Bo Yu,Cong Huang

BMC oral health 25:1514 PubMed41039419

2025

Melatonin may be an alternative to amifostine in salivary gland protection in irradiated rats.

Applications

Unspecified application

Species

Unspecified reactive species

Nur Yorgancilar,Oguz Kose,Sema Yilmaz Rakici,Mithat Terzi,Meltem Zihni Korkmaz,Tolga Mercantepe,Adnan Yilmaz
View all publications

Abcam Product Promise

我们致力于为您的研究提供高质量的试剂,为您科研的每一步提供支持。若我们的产品未能达到预期性能,我们向您提供 Abcam Product Promise 保障。
详情请参阅我们的条款与条件。

Please note: All products are 'FOR RESEARCH USE ONLY. NOT FOR USE IN DIAGNOSTIC OR THERAPEUTIC PROCEDURES'.

For licensing inquiries, please contact partnerships@abcam.com