JavaScript is disabled in your browser. Please enable JavaScript to view this website.
AB47827

Goat Anti-Mouse IgG+IgM H&L (HRP) preadsorbed

Goat Anti-Mouse IgG+IgM H&L (HRP) preadsorbed

Be the first to review this product! Submit a review

|

(34 Publications)

Suitable for EM, ICC, IHC-P, WB, ELISA, IHC-Fr. Ideal for western blot. Preadsorbed to minimise non-specific binding and high background staining. Cited in 34 publications.

查看别名

Igh-4, Ighg1, Ig gamma-1 chain C region secreted form

1 Images
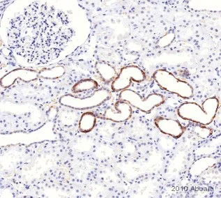
Immunohistochemistry (Formalin/PFA-fixed paraffin-embedded sections) - Goat Anti-Mouse IgG+IgM H&L (HRP) preadsorbed (AB47827)
  • IHC-P

Unknown

Immunohistochemistry (Formalin/PFA-fixed paraffin-embedded sections) - Goat Anti-Mouse IgG+IgM H&L (HRP) preadsorbed (AB47827)

ab47827 was used at dilution 1/500 with the primary antibody ab2869 in IHC-P. See the review on ab2869.

关键信息

宿主种属

Goat

靶标种属

Mouse

靶标亚型

IgG, IgM

靶标特异性

Heavy & Light chains

最低交叉反应

Horse, Cow, Human

预吸附

Yes

偶联物

HRP

激发波长/发射波长
应用

IHC-P, EM, IHC-Fr, WB, ELISA, ICC

applications

克隆

Polyclonal

亚型

IgG

特异性

No reaction was observed against bovine, horse or human serum proteins.

反应性数据

{ "title": "Reactivity Data", "filters": { "stats": ["", "Reactivity", "Dilution Info", "Notes"] }, "values": { "EM": { "reactivity":"TESTED_AND_REACTS", "dilution-info":"", "notes":"<p></p>" }, "ICC": { "reactivity":"TESTED_AND_REACTS", "dilution-info":"1/500 - 1/2500", "notes":"<p></p>" }, "IHC-P": { "reactivity":"TESTED_AND_REACTS", "dilution-info":"1/500 - 1/2500", "notes":"<p></p>" }, "WB": { "reactivity":"TESTED_AND_REACTS", "dilution-info":"1/2000 - 1/10000", "notes":"<p></p>" }, "ELISA": { "reactivity":"TESTED_AND_REACTS", "dilution-info":"1/40000", "notes":"<p></p>" }, "IHC-Fr": { "reactivity":"TESTED_AND_REACTS", "dilution-info":"1/500 - 1/2500", "notes":"<p></p>" } } }

性能和储存信息

形式
Liquid
纯化工艺
Affinity purification Immunogen
纯化说明
Prepared from polyspecific antiserum by immunoaffinity chromatography using antigens coupled to agarose beads followed by solid phase adsorption (s) to remove any unwanted reactivities.
存储溶液
Preservative: 0.01% Gentamicin sulphate Constituents: 1% BSA, 0.88% Sodium chloride, 0.424% Potassium phosphate solution
运输条件
Blue Ice
推荐的短期储存条件
+4°C
推荐的长期储存条件
+4°C

产品实验方案

靶点信息

See full target information Ighg1

其他靶点

Ighm,

文献 (34)

Recent publications for all applications. Explore the full list and refine your search

Journal of cerebral blood flow and metabolism : official journal of the International Society of Cerebral Blood Flow and Metabolism 45:2189-2202 PubMed40569616

2025

Assessing the effects of aging on the Koizumi's and Zea Longa's methods and their suitability as mouse models for evaluating neurodegeneration post-ischemic stroke: A comparative study.

Applications

Unspecified application

Species

Unspecified reactive species

Chiyeon Lim,Hongrae Kim,Sehyun Lim,Hyo-Eun Kim,So-Jung Moon,Hyung-Hwan Kim,Suin Cho

Frontiers in pharmacology 16:1587351 PubMed40337519

2025

LL37 promotes angiogenesis: a potential therapeutic strategy for lower limb ischemic diseases.

Applications

Unspecified application

Species

Unspecified reactive species

Yingying Yang,Gang Wu,Yini Wang,Qiancheng Mao,Dongxu Zhang,Jitao Wu

Journal of neuroinflammation 21:261 PubMed39407211

2024

Glutamine metabolism modulates microglial NLRP3 inflammasome activity through mitophagy in Alzheimer's disease.

Applications

Unspecified application

Species

Unspecified reactive species

Zhixin Zhang,Miao Li,Xiang Li,Zhiyang Feng,Gan Luo,Ying Wang,Xiaoyan Gao

Neural regeneration research 20:277-290 PubMed38767492

2024

miRNA-21-5p is an important contributor to the promotion of injured peripheral nerve regeneration using hypoxia-pretreated bone marrow-derived neural crest cells.

Applications

Unspecified application

Species

Unspecified reactive species

Meng Cong,Jing-Jing Hu,Yan Yu,Xiao-Li Li,Xiao-Ting Sun,Li-Ting Wang,Xia Wu,Ling-Jie Zhu,Xiao-Jia Yang,Qian-Ru He,Fei Ding,Hai-Yan Shi

World journal of surgical oncology 22:128 PubMed38725005

2024

METTL14 regulates CD8T-cell activation and immune responses to anti-PD-1 therapy in lung cancer.

Applications

Unspecified application

Species

Unspecified reactive species

Chongqi Sun,Jian Wang,Huixing Li,Luyao Liu,Yu Lin,Ling Zhang,Xianglong Zu,Yizhi Zhu,Yongqian Shu,Dong Shen,Qiong Wang,Yiqian Liu

Pharmaceutical biology 61:1512-1524 PubMed38069658

2023

Network pharmacology integrated with experimental verification reveals the antipyretic characteristics and mechanism of Zi Xue powder.

Applications

Unspecified application

Species

Unspecified reactive species

Hanyu Zhang,Shining Ge,Fengyin Diao,Wen Song,Ying Zhang,Pengwei Zhuang,Yanjun Zhang

Aging 15:8113-8136 PubMed37595258

2023

Comprehensive characterization of pyroptosis phenotypes with distinct tumor immune profiles in gastric cancer to aid immunotherapy.

Applications

Unspecified application

Species

Unspecified reactive species

Kaida Huang,Yubiao Lin,Guoqin Qiu,Shengyu Wang,Lihua Feng,Zhigao Zheng,Yingqin Gao,Xin Fan,Wenhui Zheng,Jianmin Zhuang,Fanghong Luo,Shuitu Feng

Environmental toxicology 39:551-561 PubMed37436232

2023

Scoparone inhibits the development of hepatocellular carcinoma by modulating the p38 MAPK/Akt/NF-κB signaling in nonalcoholic fatty liver disease mice.

Applications

Unspecified application

Species

Unspecified reactive species

Miaoqing Ye,Chunyan Liu,Jiaojiao Liu,Fenping Lu,Jingdong Xue,Fenping Li,Yinghui Tang

Oncology letters 26:331 PubMed37415630

2023

Long non‑coding RNA PTCSC3 suppresses triple‑negative breast cancer by downregulating long non‑coding RNA MIR100HG.

Applications

Unspecified application

Species

Unspecified reactive species

Guojun Zhang,Lei Gao,Junliang Zhang,Rui Wang,Xiangdong Wei

PeerJ 11:e15441 PubMed37304872

2023

MFAP2 enhances cisplatin resistance in gastric cancer cells by regulating autophagy.

Applications

Unspecified application

Species

Unspecified reactive species

Meng Li,Hong-Yi Zhang,Rong-Gui Zhang
View all publications

Abcam Product Promise

我们致力于为您的研究提供高质量的试剂,为您科研的每一步提供支持。若我们的产品未能达到预期性能,我们向您提供 Abcam Product Promise 保障。
详情请参阅我们的条款与条件。

Please note: All products are 'FOR RESEARCH USE ONLY. NOT FOR USE IN DIAGNOSTIC OR THERAPEUTIC PROCEDURES'.

For licensing inquiries, please contact partnerships@abcam.com