JavaScript is disabled in your browser. Please enable JavaScript to view this website.
AB97245

Goat Anti-Mouse IgG2a heavy chain (HRP)

Goat Anti-Mouse IgG2a heavy chain (HRP)

4

(1 Review)

|

(102 Publications)

Goat Anti-Mouse IgG2a heavy chain (HRP) is a secondary antibody for chemiluminescent detection. Ideal for Western blot. Suitable for Western blot, IHC, ELISA and ICC.

- Reacts specifically with mouse IgG2a
- Cross reactivity with other immunoglobulins is less than 2%
- Cited in over 70 publications
1 Images
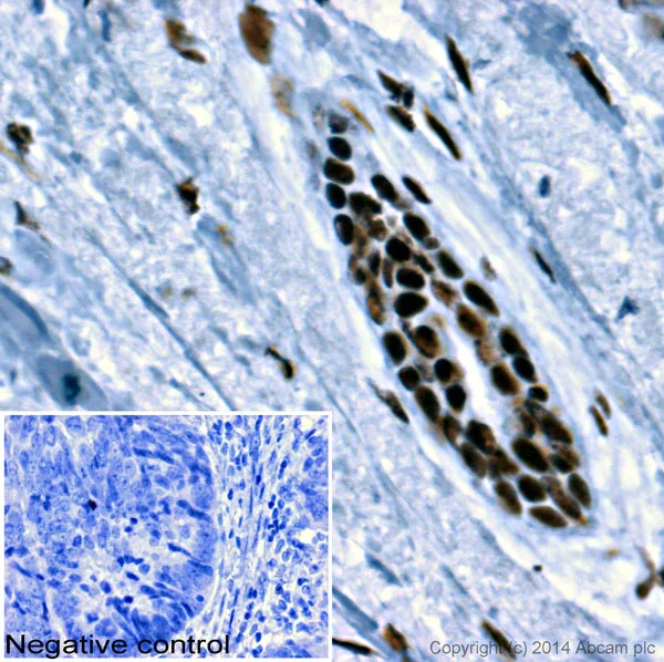
Immunohistochemistry (Formalin/PFA-fixed paraffin-embedded sections) - Goat Anti-Mouse IgG2a heavy chain (HRP) (AB97245)
  • IHC-P

Unknown

Immunohistochemistry (Formalin/PFA-fixed paraffin-embedded sections) - Goat Anti-Mouse IgG2a heavy chain (HRP) (AB97245)

IHC image of SSB staining in Human breast adenocarcinoma formalin fixed paraffin embedded tissue section*. The section was pre-treated using pressure cooker heat mediated antigen retrieval with sodium citrate buffer (pH6) for 30mins. The section was incubated with ab75927, 0.5μg/ml overnight at +4°C. An HRP-conjugated secondary (ab97245, 1/200 dilution) was used for 1hr at room temperature. The section was counterstained with haematoxylin and mounted with DPX.

The inset negative control image is taken from an identical assay without primary antibody.

*Tissue obtained from the Human Research Tissue Bank, supported by the NIHR Cambridge Biomedical Research Centre

关键信息

宿主种属

Goat

靶标种属

Mouse

靶标亚型

IgG2a

靶标特异性

Heavy chain

最低交叉反应
预吸附

No

偶联物

HRP

激发波长/发射波长
应用

WB, ICC, IHC-P, ELISA

applications

克隆

Polyclonal

亚型

IgG

特异性

By immunoelectrophoresis and ELISA this antibody reacts specifically with mouse IgG2a. Cross reactivity with other immunoglobulins is less than 2%.

反应性数据

{ "title": "Reactivity Data", "filters": { "stats": ["", "Reactivity", "Dilution Info", "Notes"] }, "values": { "ICC": { "reactivity":"TESTED_AND_REACTS", "dilution-info":"", "notes":"<p></p>" }, "IHC-P": { "reactivity":"TESTED_AND_REACTS", "dilution-info":"1/200 - 1/2000", "notes":"<p></p>" }, "ELISA": { "reactivity":"TESTED_AND_REACTS", "dilution-info":"1/10000 - 1/100000", "notes":"<p>Similar dilution to primary antibody.</p>" }, "WB": { "reactivity":"TESTED_AND_REACTS", "dilution-info":"1/2000 - 1/25000", "notes":"<p>Colorimetric 1/2000 - 1/20000; Chemiluminescent 1/5000 - 1/25000</p>" } } }

产品详情

This antibody reacts with the heavy chain of Mouse IgG2a

When it comes to advancing your immunohistochemistry (IHC) research, Abcam offers comprehensive suite of IHC kits and secondary antibodies, designed to deliver precise and reliable results.

性能和储存信息

形式
Liquid
纯化工艺
Affinity purification Immunogen
纯化说明
Antiserum was solid phase adsorbed to ensure subclass specificity. This antibody was isolated by affinity chromatography using antigen coupled to agarose beads and conjugated to Horse Radish Peroxidase (HRP).
存储溶液
pH: 6.8 - 7.4 Preservative: 0.05% CMIT/MIT based preservative Constituents: 0.2% BSA
运输条件
Blue Ice
推荐的短期储存条件
+4°C
推荐的长期储存条件
+4°C

产品实验方案

文献 (102)

Recent publications for all applications. Explore the full list and refine your search

Frontiers in immunology 16:1675859 PubMed41050708

2025

Heterologous prime-boost vaccination with VLA2001 and an ORFV-based vector enhances spike- and nucleocapsid-specific immunity in mice.

Applications

Unspecified application

Species

Unspecified reactive species

Alena Reguzova,Verena Haug,Carina Metz,Melanie Müller,Madeleine Fandrich,Alex Dulovic,Ralf Amann

Food and waterborne parasitology 41:e00289 PubMed41017965

2025

The avian schistosome in mice: Migration, pathogenicity, and the host immune response.

Applications

Unspecified application

Species

Unspecified reactive species

Tomáš Macháček,Roman Leontovyč,Jan Procházka,Alena Revalová,Martin Majer,Barbora Šmídová,Petr Horák

Bioactive materials 54:584-601 PubMed40980507

2025

Cascade-targeted delivery platform enhances antigen cross-presentation and STING activation for durable cellular immunity.

Applications

Unspecified application

Species

Unspecified reactive species

Yuan Xue,Shuting Bai,Yating Wang,Jiaxing Feng,Kun Xiong,Xue Tang,Chunting He,Yanhua Xu,Hongling Yu,Tianyi Luo,Qing Lin,Xun Sun,Ling Zhang,Zhirong Zhang,Tao Gong

Vaccines 13: PubMed40573913

2025

A Poly-Lysine-Based RBD Mucosal Vaccine Induces Potent Antibody Responses in Mice.

Applications

Unspecified application

Species

Unspecified reactive species

Huifang Xu,Han Wang,Peng Sun,Tiantian Wang,Bin Zhang,Xuchen Hou,Jun Wu,Bo Liu

iScience 28:112542 PubMed40487437

2025

Development of a peptide-based vaccine using a T cell epitope derived from SARS-CoV-2.

Applications

Unspecified application

Species

Unspecified reactive species

Satoshi Baba,Hiroki Hayashi,Shota Yoshida,Nanxiang Yin,Munehisa Shimamura,Ryuichi Morishita,Hiromi Rakugi,Hironori Nakagami,Koichi Yamamoto

Vaccines 13: PubMed40432136

2025

Single-Dose Intranasal Immunization with ChAd68-Vectored Prefusion F Vaccines Confers Sustained Protection Against Respiratory Syncytial Virus in Murine Models.

Applications

Unspecified application

Species

Unspecified reactive species

Jing Miao,Xuejie Li,Yingwen Li,Lingjing Mao,Wenkai Suo,Jiaming Lan

Journal of nanobiotechnology 23:119 PubMed39966941

2025

Epitope-focused vaccine immunogens design using tailored horseshoe-shaped scaffold.

Applications

Unspecified application

Species

Unspecified reactive species

Fangxin Zhao,Yue Zhang,Zhiling Zhang,Zhengshan Chen,Xiaolin Wang,Shaoyan Wang,Ruihua Li,Yaohui Li,Zhang Zhang,Wanru Zheng,Yudong Wang,Zhe Zhang,Shipo Wu,Yilong Yang,Jun Zhang,Xiaodong Zai,Junjie Xu,Wei Chen

Pathogens (Basel, Switzerland) 13: PubMed39770342

2025

An Evaluation of the Cellular and Humoral Response of a Multi-Epitope Vaccine Candidate Against COVID-19 with Different Alum Adjuvants.

Applications

Unspecified application

Species

Unspecified reactive species

Lineth Juliana Vega Rojas,Rocío Alejandra Ruíz-Manzano,Miguel Andrés Velasco-Elizondo,María Antonieta Carbajo-Mata,Diego Josimar Hernández-Silva,Mariana Rocha-Solache,Jesús Hernández,Rosa Martha Pérez-Serrano,Guadalupe Zaldívar-Lelo de Larrea,Teresa García-Gasca,Juan Mosqueda

PLoS pathogens 20:e1012688 PubMed39541395

2024

Tackling immunosuppression by Neisseria gonorrhoeae to facilitate vaccine design.

Applications

Unspecified application

Species

Unspecified reactive species

Rebekah A Jones,Fidel Ramirez-Bencomo,Gail Whiting,Min Fang,Hayley Lavender,Kacper Kurzyp,Angela Thistlethwaite,Lenka Stejskal,Smruti Rashmi,Ann E Jerse,Ana Cehovin,Jeremy P Derrick,Christoph M Tang

Vaccines 12: PubMed39460288

2024

Sequential Immune Acquisition of Monoclonal Antibodies Enhances Phagocytosis of by Recognizing ATP Synthase.

Applications

Unspecified application

Species

Unspecified reactive species

Dong Huang,Zhujun Zeng,Zhuolin Li,Mengjun Li,Linlin Zhai,Yuhao Lin,Rui Xu,Jiuxin Qu,Bao Zhang,Wei Zhao,Chenguang Shen
View all publications

Abcam Product Promise

我们致力于为您的研究提供高质量的试剂,为您科研的每一步提供支持。若我们的产品未能达到预期性能,我们向您提供 Abcam Product Promise 保障。
详情请参阅我们的条款与条件。

Please note: All products are 'FOR RESEARCH USE ONLY. NOT FOR USE IN DIAGNOSTIC OR THERAPEUTIC PROCEDURES'.

For licensing inquiries, please contact partnerships@abcam.com