JavaScript is disabled in your browser. Please enable JavaScript to view this website.
AB6788

Goat Anti-Mouse IgG H&L (Biotin)

Goat Anti-Mouse IgG H&L (Biotin)

Be the first to review this product! Submit a review

|

(94 Publications)

Goat Anti-Mouse IgG H&L (Biotin) is a secondary antibody that is suitable for Western blot, IHC, ICC/IF, ELISA and more.

- Cited in over 80 publications

查看别名

Igh-4, Ighg1, Ig gamma-1 chain C region secreted form

3 Images
Immunohistochemistry (Formalin/PFA-fixed paraffin-embedded sections) - Goat Anti-Mouse IgG H&L (Biotin) (AB6788)
  • IHC-P

Unknown

Immunohistochemistry (Formalin/PFA-fixed paraffin-embedded sections) - Goat Anti-Mouse IgG H&L (Biotin) (AB6788)

IHC image of Histone H1 staining in a section of formalin-fixed paraffin-embedded human normal colon*.

The section was pre-treated using pressure cooker heat mediated antigen retrieval with sodium citrate buffer (pH 6) for 30 mins. The section was then incubated with ab11080, 1/1,000 dilution, for 15 mins at room temperature. A goat anti-mouse biotinylated secondary antibody (ab6788, 1/1000 dilution), was used to detect the primary, and visualized using an HRP conjugated ABC system. Streptavidin HRP was used, ab7403 at a 1/10,000 dilution. DAB was used as the chromogen (ab103723), diluted 1/100 and incubated for 10 min at room temperature. The section was then counterstained with hematoxylin and mounted with DPX. The inset negative control image is taken from an identical assay without primary antibody.

For other IHC staining systems (automated and non-automated) customers should optimize variable parameters such as antigen retrieval conditions, primary antibody concentration and antibody incubation times.

*Tissue obtained from the Human Research Tissue Bank, supported by the NIHR Cambridge Biomedical Research Centre

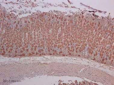
Immunohistochemistry (Formalin/PFA-fixed paraffin-embedded sections) - Goat Anti-Mouse IgG H&L (Biotin) (AB6788)
  • IHC-P

Unknown

Immunohistochemistry (Formalin/PFA-fixed paraffin-embedded sections) - Goat Anti-Mouse IgG H&L (Biotin) (AB6788)

ab6788 was used at dilution 1/500 with the primary antibody ab2866 in IHC-P. See the review on ab2866.

ELISA - Goat Anti-Mouse IgG H&L (Biotin) (AB6788)
  • ELISA

Supplier Data

ELISA - Goat Anti-Mouse IgG H&L (Biotin) (AB6788)

ELISA - Goat Anti-Mouse IgG H&L (Biotin) (ab6788)

ELISA results of purified ab6788 tested against purified Mouse IgG. Each well was coated in duplicate with 1.0 μg of Mouse IgG. The starting dilution of antibody was 5 μg/ml and the X-axis represents the Log 10 of a 3-fold dilution. This titration is a 4-parameter curve fit where the IC50 is defined as the titer of the antibody. Assay performed using 3% fish gelatin as blocking buffer, Streptavidin Peroxidase Conjugated and TMB substrate.

关键信息

宿主种属

Goat

靶标种属

Mouse

靶标亚型

IgG

靶标特异性

Heavy & Light chains

最低交叉反应
预吸附

No

偶联物

Biotin

激发波长/发射波长
应用

IM, WB, ELISA, ICC, IHC-P, ICC/IF, Dot, IHC-Fr

applications

克隆

Polyclonal

亚型

IgG

反应性数据

{ "title": "Reactivity Data", "filters": { "stats": ["", "Reactivity", "Dilution Info", "Notes"] }, "values": { "ICC": { "reactivity":"NO_EXPERIMENTAL_DATA_EXPECTED_TO_REACT", "dilution-info":"", "notes":"<p></p>" }, "Dot": { "reactivity":"NO_EXPERIMENTAL_DATA_EXPECTED_TO_REACT", "dilution-info":"", "notes":"<p></p>" }, "IHC-Fr": { "reactivity":"NO_EXPERIMENTAL_DATA_EXPECTED_TO_REACT", "dilution-info":"", "notes":"<p></p>" }, "IHC-P": { "reactivity":"TESTED_AND_REACTS", "dilution-info":"", "notes":"<p></p>" }, "IM": { "reactivity":"NO_EXPERIMENTAL_DATA_EXPECTED_TO_REACT", "dilution-info":"", "notes":"<p></p>" }, "ELISA": { "reactivity":"TESTED_AND_REACTS", "dilution-info":"1/350000", "notes":"<p></p>" }, "WB": { "reactivity":"NO_EXPERIMENTAL_DATA_EXPECTED_TO_REACT", "dilution-info":"1/2000 - 1/20000", "notes":"<p></p>" }, "ICC/IF": { "reactivity":"NO_EXPERIMENTAL_DATA_EXPECTED_TO_REACT", "dilution-info":"1/1000 - 1/5000", "notes":"<p></p>" } } }

产品详情

This antibody reacts with the heavy and light chains of Mouse IgG

When it comes to advancing your immunohistochemistry (IHC) research, Abcam offers comprehensive suite of IHC kits and secondary antibodies, designed to deliver precise and reliable results.

The conjugate is expected to have between 5 and 10 moles of biotin per mole of IgG.

性能和储存信息

形式
Liquid
纯化工艺
Affinity purification
纯化说明
This product was prepared from monospecific antiserum by immunoaffinity chromatography using Mouse IgG coupled to agarose.
存储溶液
Preservative: 0.01% Sodium azide Constituents: 1% BSA, 0.88% Sodium chloride, 0.424% Potassium phosphate solution
运输条件
Blue Ice
推荐的短期储存时间
1-2 weeks
推荐的短期储存条件
+4°C
推荐的长期储存条件
-20°C
分装信息
Upon delivery aliquot
储存信息
Avoid freeze / thaw cycle

产品实验方案

文献 (94)

Recent publications for all applications. Explore the full list and refine your search

Oncology research 33:1947-1967 PubMed40746889

2025

USP13 Suppresses Colorectal Cancer Angiogenesis by Downregulating VEGFA Expression through Inhibition of the PTEN-AKT Pathway.

Applications

Unspecified application

Species

Unspecified reactive species

Guo-Zhi Xu,Han-Yang Guan,Yan-Guan Guo,Yi-Ran Zhang,Jing-Hua Pan,Simin Luo,Hui Ding,Yunlong Pan,Qi Yao

Scientific reports 15:22591 PubMed40596617

2025

Mesenteric adipose tissue in Crohn's disease alters the immune response of the ileal mucosa and increases angiogenesis and fibrosis.

Applications

Unspecified application

Species

Unspecified reactive species

Flores Martín-Reyes,Imane Kentaoui-Bousellam,Antonio Jesus Ruiz-Malagón,Ailec Ho-Plágaro,Carlos López-Gómez,Marina Herraiz-Vilela,Guillermo Alcaín-Martínez,Raquel Camargo-Camero,Juan Victor Martos-VanDussen,Laura Camacho-Martel,Fernando Gutiérrrez-Martínez,Isabel Arranz-Salas,Maria Victoria Ortega-Jimenez,Alejandro Escamilla-Sánchez,Juan José Daza-González,Elena Sanchiz-Cardenas,José Rivas-Becerra,Eduardo García-Fuentes,Francisca Rodríguez-Pacheco,Cristina Rodriguez-Diaz

World journal of hepatology 16:1290-1305 PubMed39606168

2024

Non-invasively differentiate non-alcoholic steatohepatitis by visualizing hepatic integrin αvβ3 expression with a targeted molecular imaging modality.

Applications

Unspecified application

Species

Unspecified reactive species

Xiao-Quan Huang,Ling Wu,Chun-Yan Xue,Chen-Yi Rao,Qing-Qing Fang,Ying Chen,Cao Xie,Sheng-Xiang Rao,Shi-Yao Chen,Feng Li

Clinical and translational medicine 14:e70058 PubMed39415352

2024

Insight into prostate cancer osteolytic metastasis by RelB coordination of IL-8 and S100A4.

Applications

Unspecified application

Species

Unspecified reactive species

Wenbo Sun,Kenny Xu,Xiao Li,Peipei Qian,Fan Xu,Yanyan Zhang,Xiumei Wang,Zhi Xu,Jiaji Ding,Xinyu Xu,Xiaowei Wei,Qin Jiang,Yong Xu

Nature communications 15:7383 PubMed39256378

2024

Deep intravital brain tumor imaging enabled by tailored three-photon microscopy and analysis.

Applications

Unspecified application

Species

Unspecified reactive species

Marc Cicero Schubert,Stella Judith Soyka,Amr Tamimi,Emanuel Maus,Julian Schroers,Niklas Wißmann,Ekin Reyhan,Svenja Kristin Tetzlaff,Yvonne Yang,Robert Denninger,Robin Peretzke,Carlo Beretta,Michael Drumm,Alina Heuer,Verena Buchert,Alicia Steffens,Jordain Walshon,Kathleen McCortney,Sabine Heiland,Martin Bendszus,Peter Neher,Anna Golebiewska,Wolfgang Wick,Frank Winkler,Michael O Breckwoldt,Anna Kreshuk,Thomas Kuner,Craig Horbinski,Felix Tobias Kurz,Robert Prevedel,Varun Venkataramani

Iranian journal of veterinary research 25:41-47 PubMed39156799

2024

Distribution of maedi-visna virus in different organs of the spontaneously affected small ruminants in India.

Applications

Unspecified application

Species

Unspecified reactive species

Sh Valecha,H S Yadav,N Roopa,S D Vinaykumar,M Bhardwaj,V Singh,P Kumar

Journal of nanobiotechnology 22:271 PubMed38769545

2024

Bio-nanoparticles loaded with synovial-derived exosomes ameliorate osteoarthritis progression by modifying the oxidative microenvironment.

Applications

Unspecified application

Species

Unspecified reactive species

Haifei Cao,Wanxin Li,Hao Zhang,Lihui Hong,Xiaoxiao Feng,Xuzhu Gao,Hongye Li,Nanning Lv,Mingming Liu

Pediatric research 96:952-963 PubMed38684886

2024

Lithium rescues cultured rat metatarsals from dexamethasone-induced growth failure.

Applications

Unspecified application

Species

Unspecified reactive species

Ondrej Soucek,Ondrej Cinek,Lilly Velentza,Valerij Semjonov,Martin Bezdicka,Farasat Zaman,Lars Sävendahl

Biophysics reports 9:177-187 PubMed38516619

2024

Deep learning-enabled fast DNA-PAINT imaging in cells.

Applications

Unspecified application

Species

Unspecified reactive species

Min Zhu,Luhao Zhang,Luhong Jin,Yunyue Chen,Haixu Yang,Baohua Ji,Yingke Xu

United European gastroenterology journal 12:737-748 PubMed38366868

2024

Lymphocytic colitis can be transcriptionally divided into channelopathic and inflammatory lymphocytic colitis.

Applications

Unspecified application

Species

Unspecified reactive species

Archana Bhardwaj,Andreas Münch,Julia Montague,Stefan Koch,Philip Rosenstiel,Celia Escudero-Hernández
View all publications

Abcam Product Promise

我们致力于为您的研究提供高质量的试剂,为您科研的每一步提供支持。若我们的产品未能达到预期性能,我们向您提供 Abcam Product Promise 保障。
详情请参阅我们的条款与条件。

Please note: All products are 'FOR RESEARCH USE ONLY. NOT FOR USE IN DIAGNOSTIC OR THERAPEUTIC PROCEDURES'.

For licensing inquiries, please contact partnerships@abcam.com