JavaScript is disabled in your browser. Please enable JavaScript to view this website.
AB7118

山羊抗鸡IgY H&L (HRP)预吸附二抗

Goat Anti-Chicken IgY H&L (HRP) preadsorbed

Be the first to review this product! Submit a review

|

(2 Publications)

Suitable for WB, Dot, IHC-Fr, IHC-P, IM, ICC, ELISA. Ideal for western blot. Preadsorbed to minimise non-specific binding and high background staining. Cited in 2 publications.

查看别名

Ig gamma 1 chain C region, Ig gamma 3 chain C region, Ig gamma 4 chain C region, Ig gamma-2 chain C region, Immunoglobin heavy constant gamma 1, Immunoglobulin G

8 Images
Western blot - Goat Anti-Chicken IgY H&L (HRP) preadsorbed (AB7118)
  • WB

Supplier Data

Western blot - Goat Anti-Chicken IgY H&L (HRP) preadsorbed (AB7118)

Blocking and diluting buffer and concentration : 5% NFDM/TBST.

In Western blot, ab320839 was shown to bind specifically to SNCA. Target of interest was observed at 18kDa in wild-type HAP1 cell lysates (lane 1) with no signal observed at this size in SNCA knockout cell line (lane 2).

The identity of the bands above target band are unknown.

In Western blot, Anti-GAPDH antibody [EPR16891] - Loading Control (ab181602) staining at 1/200000 dilution.

All lanes:

Western blot - Anti-Alpha-synuclein antibody [MJFR1] - Chicken IgY (Chimeric) (<a href='/products/primary-antibodies/alpha-synuclein-antibody-mjfr1-chicken-igy-chimeric-ab320839'>ab320839</a>) at 1/1000 dilution

Lane 1:

Wild-type HAP1 (human chronic myelogenous leukemia near-haploid cell) whole cell lysate at 20 µg

Lane 2:

SNCA knockout HAP1 whole cell lysate at 20 µg

Secondary

All lanes:

Western blot - Goat Anti-Chicken IgY H&L (HRP) preadsorbed (ab7118) at 1/2000 dilution

Observed band size: 18 kDa,36 kDa

true

Exposure time: 180s

Western blot - Goat Anti-Chicken IgY H&L (HRP) preadsorbed (AB7118)
  • WB

Supplier Data

Western blot - Goat Anti-Chicken IgY H&L (HRP) preadsorbed (AB7118)

Blocking and diluting buffer and concentration : 5% NFDM/TBST.

Negative control : liver and kidney ( (PMID : 14997013).

In Western blot, Anti-GAPDH antibody [EPR16891] - Loading Control (ab181602) staining at 1/200000 dilution.

All lanes:

Western blot - Anti-Alpha-synuclein antibody [MJFR1] - Chicken IgY (Chimeric) (<a href='/products/primary-antibodies/alpha-synuclein-antibody-mjfr1-chicken-igy-chimeric-ab320839'>ab320839</a>) at 1/1000 dilution

Lane 1:

Human cerebellum tissue lysate at 20 µg

Lane 2:

Human liver tissue lysate at 20 µg

Lane 3:

Human kidney tissue lysate at 20 µg

Secondary

All lanes:

Western blot - Goat Anti-Chicken IgY H&L (HRP) preadsorbed (ab7118) at 1/2000 dilution

Observed band size: 18 kDa,36 kDa

false

Exposure time: 180s

Western blot - Goat Anti-Chicken IgY H&L (HRP) preadsorbed (AB7118)
  • WB

Supplier Data

Western blot - Goat Anti-Chicken IgY H&L (HRP) preadsorbed (AB7118)

Blocking and diluting buffer and concentration : 5% NFDM/TBST. The molecular weight observed is consistent with the literature (PMID : 10555752). Exposure time : 180 seconds.

All lanes:

Western blot - Anti-IL-2 antibody [EPR20055] - Chicken IgY (Chimeric) (<a href='/products/primary-antibodies/il-2-antibody-epr20055-chicken-igy-chimeric-ab306565'>ab306565</a>) at 1/1000 dilution

Lane 1:

Untreated Jurkat (human T cell leukemia cell line from peripheral blood) whole cell lysate at 20 µg

Lane 2:

Jurkat treated with 40nM TPA (<a href='/products/biochemicals/phorbol-12-myristate-13-acetate-pma-pkc-activator-ab120297'>ab120297</a>) and 2 µM A23187 (<a href='/products/biochemicals/a23187-calcimycin-ca2-ionophore-ab120287'>ab120287</a>) for 24 hours, and /ml Brefeldin A at last 23 hours whole cell lysate at 20 µg

Secondary

All lanes:

Western blot - Goat Anti-Chicken IgY H&L (HRP) preadsorbed (ab7118) at 1/10000 dilution

Observed band size: 17 kDa

false

Exposure time: 180s

Western blot - Goat Anti-Chicken IgY H&L (HRP) preadsorbed (AB7118)
  • WB

Lab

Western blot - Goat Anti-Chicken IgY H&L (HRP) preadsorbed (AB7118)

Lane 1 : Recombinant human coronavirus SARS-CoV-2 Spike Glycoprotein S1 (Active, His tagged) (ab273068) at 0.2 ug

Lane 2 : Recombinant SARS-COV-2 NSP2 protein (His tagged) at 0.2 ug

False colour image of Western blot : Rabbit monoclonal [EPR24852-116] to SARS-CoV-2 Spike Glycoprotein S1 Chicken IgY (Chimeric) (ab323001) staining at 1/500 dilution, shown in black; Mouse Monoclonal 6X His tag® (ab18184) loading control staining at 1/1000 dilution, shown in red. In Western blot, ab323001 was shown to bind specifically to SARS-CoV-2 spike glycoprotein S1. Samples were run on an SDS-PAGE gel then transferred onto a nitrocellulose membrane. Membranes were blocked in 3 % milk in TBS-0.1 % Tween® 20 (TBS-T) before incubation with primary antibodies overnight at 4 °C. Blots were washed four times in TBS-T, incubated with secondary antibodies for 1 h at room temperature, washed again four times then imaged. Secondary antibodies used were Goat Anti-Chicken IgY H&L (HRP) preadsorbed (ab7118) at 1 : 10000 and Goat anti-Mouse IgG H&L 680RD at 1 : 20000.

All lanes:

Western blot - Anti-SARS-CoV-2 Spike Glycoprotein S1 antibody [EPR24852-116] - Chicken IgY (Chimeric) (<a href='/products/primary-antibodies/sars-cov-2-spike-glycoprotein-s1-antibody-epr24852-116-chicken-igy-chimeric-ab323001'>ab323001</a>) at 1/500 dilution

Lane 1:

Western blot - Recombinant human coronavirus SARS-CoV-2 Spike Glycoprotein S1 (Active) (<a href='/products/proteins-peptides/recombinant-human-coronavirus-sars-cov-2-spike-glycoprotein-s1-active-ab273068'>ab273068</a>) at 0.2 µg

Lane 2:

Recombinant SARS-COV-2 NSP2 protein (His tagged) at 0.2 µg

Secondary

Lanes 1 - 2:

Western blot - Goat Anti-Chicken IgY H&L (HRP) preadsorbed (ab7118) at 1/10000 dilution

Lanes 1 - 2:

Goat anti-Mouse IgG H&L 680RD at 1/20000 dilution

Observed band size: 135 kDa

false

Exposure time: 4min

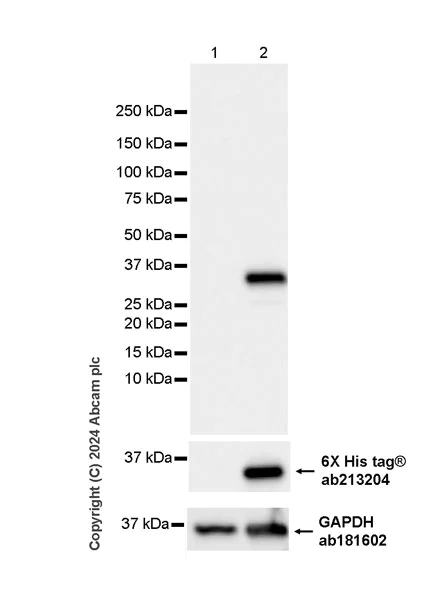
Western blot - Goat Anti-Chicken IgY H&L (HRP) preadsorbed (AB7118)
  • WB

Supplier Data

Western blot - Goat Anti-Chicken IgY H&L (HRP) preadsorbed (AB7118)

In Western blot, Anti-GAPDH antibody [EPR16891] - Loading Control (ab181602) staining at 1/200000 dilution.

In Western blot, Anti-6X His tag® antibody [EPR20547] - ChIP Grade (ab213204) staining at 1/5000 dilution.

Blocking and diluting buffer and concentration : 5% NFDM/TBST.

All lanes:

Western blot - Anti-mCherry antibody [EPR20579] - Chicken IgY (Chimeric) (<a href='/products/primary-antibodies/mcherry-antibody-epr20579-chicken-igy-chimeric-ab316977'>ab316977</a>) at 1/1000 dilution

Lane 1:

293T (human embryonic kidney) transfected with an empty vector (vector control), containing a myc-His-tag® whole cell lysate at 20 µg

Lane 2:

293T transfected with mCherry expression vector containing a myc-His-tag® whole cell lysate at 20 µg

Secondary

All lanes:

Western blot - Goat Anti-Chicken IgY H&L (HRP) preadsorbed (ab7118) at 1/20000 dilution

Observed band size: 27 kDa,36 kDa,35 kDa

false

Exposure time: 10s

Western blot - Goat Anti-Chicken IgY H&L (HRP) preadsorbed (AB7118)
  • WB

Lab

Western blot - Goat Anti-Chicken IgY H&L (HRP) preadsorbed (AB7118)

Lane 1 : Recombinant human coronavirus SARS-CoV-2 Spike Glycoprotein S1 (Active, His tagged) (ab273068) at 0.2 ug

Lane 2 : SARS-CoV Spike S1+S2 ECD-His Recombinant Protein at 0.2 ug

Performed under reducing conditions.

Observed band size : 120-160 kDa.

False colour image of Western blot : Anti-SARS-CoV-2 Spike Glycoprotein S1 antibody [8B12-C2] - Chicken IgY (Chimeric) (ab322999) staining at 1/500 dilution, shown in black; Mouse Monoclonal 6X His tag® (ab18184) loading control staining at 1/1000 dilution, shown in red. In Western blot, ab322999 was shown to bind specifically to SARS-CoV and SARS-CoV-2 Spike Glycoproteins. Samples were run on an SDS-PAGE gel then transferred onto a nitrocellulose membrane. Membranes were blocked in 3 % milk in TBS-0.1 % Tween® 20 (TBS-T) before incubation with primary antibodies overnight at 4 °C. Blots were washed four times in TBS-T, incubated with secondary antibodies for 1 h at room temperature, washed again four times then imaged. Secondary antibodies used were Goat Anti-Chicken IgY H&L (HRP) preadsorbed (ab7118) at 1 : 10000 and Goat anti-Mouse IgG H&L 680RD at 1 : 20000.

Blocking buffer : 3% milk in TBS-0.1% Tween® 20 (TBS-T).

Exposure time : 2 min.

All lanes:

Western blot - Anti-SARS-CoV-2 Spike Glycoprotein S1 antibody [8B12-C2] - Chicken IgY (Chimeric) (<a href='/products/primary-antibodies/sars-cov-2-spike-glycoprotein-s1-antibody-8b12-c2-chicken-igy-chimeric-ab322999'>ab322999</a>) at 1/500 dilution

Lane 1:

Western blot - Recombinant human coronavirus SARS-CoV-2 Spike Glycoprotein S1 (Active) (<a href='/products/proteins-peptides/recombinant-human-coronavirus-sars-cov-2-spike-glycoprotein-s1-active-ab273068'>ab273068</a>) at 0.2 µg

Lane 2:

SARS-CoV Spike S1+S2 ECD-His Recombinant Protein at 0.2 µg

Secondary

Lanes 1 - 2:

Western blot - Goat Anti-Chicken IgY H&L (HRP) preadsorbed (ab7118) at 1/10000 dilution

Lanes 1 - 2:

Goat anti-Mouse IgG H&L 680RD at 1/20000 dilution

Observed band size: 120-160 kDa

false

Exposure time: 2min

Western blot - Goat Anti-Chicken IgY H&L (HRP) preadsorbed (AB7118)
  • WB

Supplier Data

Western blot - Goat Anti-Chicken IgY H&L (HRP) preadsorbed (AB7118)

False colour image of Western blot : Anti-SARS-CoV-2 Spike Glycoprotein S2 antibody [EPR25038-122] - BSA and Azide free - Chicken IgY (Chimeric) (ab324893) staining at 1/500 dilution, shown in black.

In Western blot, ab324893 was shown to bind specifically to SARS-CoV-2 Spike Glycoprotein S2. Samples were run on an SDS-PAGE gel then transferred onto a nitrocellulose membrane. Membranes were blocked in 3% milk in TBS-0.1% Tween® 20 (TBS-T) before incubation with primary antibodies overnight at 4°C. Blots were washed four times in TBS-T, incubated with secondary antibodies for 1h at room temperature, washed again four times then imaged.

Blocking buffer : 3% milk in TBS-0.1% Tween® 20 (TBS-T)

All lanes:

Western blot - Anti-SARS-CoV-2 Spike Glycoprotein S2 antibody [EPR25038-122]-Chicken IgY (Chimeric)-BSA&Azide free (<a href='/products/primary-antibodies/sars-cov-2-spike-glycoprotein-s2-antibody-epr25038-122-chicken-igy-chimeric-bsa-and-azide-free-ab324893'>ab324893</a>) at 1/500 dilution

Lane 1:

Western blot - Recombinant Human coronavirus SARS-CoV-2 Spike Glycoprotein S2 (Fc Chimera) (<a href='/products/proteins-peptides/recombinant-human-coronavirus-sars-cov-2-spike-glycoprotein-s2-fc-chimera-ab272106'>ab272106</a>) at 0.2 µg

Lane 2:

Western blot - Recombinant Human coronavirus SARS-CoV-2 nucleocapsid protein (His tag) (<a href='/products/proteins-peptides/recombinant-human-coronavirus-sars-cov-2-nucleocapsid-protein-his-tag-ab273530'>ab273530</a>) at 0.2 µg

Secondary

All lanes:

Western blot - Goat Anti-Chicken IgY H&L (HRP) preadsorbed (ab7118) at 1/10000 dilution

Observed band size: 135 kDa

false

Exposure time: 10s

Western blot - Goat Anti-Chicken IgY H&L (HRP) preadsorbed (AB7118)
  • WB

Supplier Data

Western blot - Goat Anti-Chicken IgY H&L (HRP) preadsorbed (AB7118)

*UniprotID Expression Tissue Specificity : Detected in brain and cerebellum (PubMed : 1279699, PubMed : 8387171). Both isoform EAAT1/GLAST-1 and EAAT1/GLAST-1A are expressed in bone and brain (PubMed : 11086157). In brain isoform EAAT1/GLAST-1 is highly enriched in the Purkinje cell layer in cerebellum (PubMed : 11086157).

Minimal cortex defined : minimal cortex brain samples have had a portion of the cortex removed, with 1/3 cortex, cerebellum and other brain components present in the final lysate.

All lanes:

Western blot - Anti-EAAT1 antibody (<a href='/products/primary-antibodies/eaat1-antibody-ab235203'>ab235203</a>) at 1/500 dilution

Lane 1:

HEK-293T (Human epithelial cell line from embryonic kidney transformed with large T antigen) cell lysate at 20 µg

Lane 2:

Adult mouse whole liver lysate at 20 µg

Lane 3:

Rat pup PND2-6 - minimal cortex brain lysate* at 20 µg

Lane 4:

Rat pup PND2-6 - minimal cortex brain lysate* at 40 µg

Secondary

All lanes:

Western blot - Goat Anti-Chicken IgY H&L (HRP) preadsorbed (ab7118) at 1/40000 dilution

Predicted band size: 59 kDa

Observed band size: 54 kDa

false

Exposure time: 60s

关键信息

宿主种属

Goat

靶标种属

Chicken

靶标亚型

IgY

靶标特异性

Heavy & Light chains

最低交叉反应

Mouse, Rat, Sheep, Rabbit, Goat, Horse, Guinea pig, Hamster, Cow, Human

预吸附

Yes

偶联物

HRP

激发波长/发射波长
应用

Dot, IM, ELISA, ICC, IHC-Fr, IHC-P, WB

applications

克隆

Polyclonal

特异性

No reaction was observed against Bovine, Goat, Guinea Pig, Hamster, Horse, Human, Mouse, Rabbit, Rat and Sheep Serum Proteins. This antibody will react with heavy chains of Chicken IgG and with light chains of most Chicken immunoglobulins.

反应性数据

{ "title": "Reactivity Data", "filters": { "stats": ["", "Reactivity", "Dilution Info", "Notes"] }, "values": { "WB": { "reactivity":"NO_EXPERIMENTAL_DATA_EXPECTED_TO_REACT", "dilution-info":"", "notes":"<p></p>" }, "Dot": { "reactivity":"NO_EXPERIMENTAL_DATA_EXPECTED_TO_REACT", "dilution-info":"", "notes":"<p></p>" }, "IHC-Fr": { "reactivity":"NO_EXPERIMENTAL_DATA_EXPECTED_TO_REACT", "dilution-info":"", "notes":"<p></p>" }, "IHC-P": { "reactivity":"NO_EXPERIMENTAL_DATA_EXPECTED_TO_REACT", "dilution-info":"", "notes":"<p></p>" }, "IM": { "reactivity":"NO_EXPERIMENTAL_DATA_EXPECTED_TO_REACT", "dilution-info":"", "notes":"<p></p>" }, "ICC": { "reactivity":"NO_EXPERIMENTAL_DATA_EXPECTED_TO_REACT", "dilution-info":"1/1000 - 1/2500", "notes":"<p></p>" }, "ELISA": { "reactivity":"NO_EXPERIMENTAL_DATA_EXPECTED_TO_REACT", "dilution-info":"1/20000 - 1/100000", "notes":"<p></p>" } } }

性能和储存信息

形式
Liquid
纯化工艺
Affinity purification
纯化说明
This product was prepared from monospecific antiserum by immunoaffinity chromatography using Chicken IgG coupled to agarose beads followed by conjugation to fluorochrome and extensive dialysis against the buffer.
存储溶液
Preservative: 0.01% Gentamicin sulphate Constituents: 1% BSA, 0.88% Sodium chloride, 0.424% Potassium phosphate solution
运输条件
Blue Ice
推荐的短期储存条件
+4°C
推荐的长期储存条件
+4°C

产品实验方案

文献 (2)

Recent publications for all applications. Explore the full list and refine your search

Analytical chemistry 96:9676-9683 PubMed38813952

2024

Surface Acoustic Wave-Driven Enhancement of Enzyme-Linked Immunosorbent Assays: ELISAW.

Applications

Unspecified application

Species

Unspecified reactive species

Lei Zhang,Shuai Zhang,Cécile Floer,Sreeya Anjana Raj Kantubuktha,María José González Ruiz Velasco,James Friend

Science advances 10:eadg1679 PubMed38277461

2024

TrkB receptor interacts with mGlu receptor and mediates antipsychotic-like effects of mGlu receptor activation in the mouse.

Applications

Unspecified application

Species

Unspecified reactive species

Clémentine Eva Philibert,Candice Disdier,Pierre-André Lafon,Alexandre Bouyssou,Mathieu Oosterlaken,Sonya Galant,Anne Pizzoccaro,Pola Tuduri,Jeanne Ster,Jianfeng Liu,Julie Kniazeff,Jean-Philippe Pin,Philippe Rondard,Philippe Marin,Franck Vandermoere
View all publications

Abcam Product Promise

我们致力于为您的研究提供高质量的试剂,为您科研的每一步提供支持。若我们的产品未能达到预期性能,我们向您提供 Abcam Product Promise 保障。
详情请参阅我们的条款与条件。

Please note: All products are 'FOR RESEARCH USE ONLY. NOT FOR USE IN DIAGNOSTIC OR THERAPEUTIC PROCEDURES'.

For licensing inquiries, please contact partnerships@abcam.com