JavaScript is disabled in your browser. Please enable JavaScript to view this website.
AB60841

Recombinant human PKC beta 2 protein

Recombinant human PKC beta 2 protein

Be the first to review this product! Submit a review

|

(2 Publications)

Recombinant human PKC beta 2 protein is a Human Full Length protein, in the 1 to 671 aa range, expressed in Baculovirus infected Sf9 cells, with >70%, suitable for SDS-PAGE, FuncS.

查看别名

PKCB, PRKCB1, PRKCB, Protein kinase C beta type, PKC-B, PKC-beta

14 Images
Western blot - Recombinant human PKC beta 2 protein (AB60841)
  • WB

Lab

Western blot - Recombinant human PKC beta 2 protein (AB60841)

Blocking and dilution buffer : 5% NFDM/TBST.

ab109539 could detect PKC gamma (pT514), PKC alpha (pT497), PKC beta (pT500), PKC delta (pT507), PKC eta (pT513), PKC epsilon (pT566) and PKC theta (pT538).

Active human PKC alpha full length protein (Catalog#ab55672) contains aa1-672 with GST-tag;
Active human PKC beta 1 full length protein (Catalog#ab60840) contains aa1-671 with GST-tag;
Active human PKC beta 2 full length protein (Catalog#ab60841) contains aa1-673 with GST-tag;
Active human PKC delta full length protein (Catalog#ab60844) contains aa1-676 with GST-tag;
Active human PKC eta full length protein (Catalog#ab60849) contains aa1-683 with GST-tag;
Active human PKC epsilon full length protein (Catalog#ab60847) contains aa1-737 with GST-tag;
Active human PKC theta full length protein (Catalog#ab56641) contains aa1-706 with GST-tag;
Active human PKC mu full length protein (Catalog#ab60873) contains aa1-912 with GST-tag;
Active human PKC gamma full length protein (Catalog#ab60842) contains aa1-697 with GST-tag.

All lanes:

Western blot - Anti-PKC (phospho T514) antibody [EP2730Y] (<a href='/products/primary-antibodies/pkc-phospho-t514-antibody-ep2730y-ab109539'>ab109539</a>) at 1/1000 dilution

Lane 1:

Western blot - Recombinant human PKC alpha protein (Active) (<a href='/products/proteins-peptides/recombinant-human-pkc-alpha-protein-active-ab55672'>ab55672</a>) at 0.5 µg

Lane 2:

Western blot - Recombinant human PKC beta 1 protein (<a href='/products/proteins-peptides/recombinant-human-pkc-beta-1-protein-ab60840'>ab60840</a>) at 0.2 µg

Lane 3:

Active human PKC beta 2 full length protein at 0.2 µg

Lane 4:

Western blot - Recombinant human PKC delta protein (<a href='/products/proteins-peptides/recombinant-human-pkc-delta-protein-ab60844'>ab60844</a>) at 0.05 µg

Lane 5:

Western blot - Recombinant human PKC eta protein (<a href='/products/proteins-peptides/recombinant-human-pkc-eta-protein-ab60849'>ab60849</a>) at 0.5 µg

Lane 6:

Western blot - Recombinant human PKC epsilon protein (<a href='/products/proteins-peptides/recombinant-human-pkc-epsilon-protein-ab60847'>ab60847</a>) at 1 µg

Lane 7:

Western blot - Recombinant human PKC theta/PRKCQ protein (<a href='/products/proteins-peptides/recombinant-human-pkc-theta-prkcq-protein-ab56641'>ab56641</a>) at 0.2 µg

Lane 8:

Western blot - Recombinant human PKC mu/PKD protein (<a href='/products/proteins-peptides/recombinant-human-pkc-mu-pkd-protein-ab60873'>ab60873</a>) at 1 µg

Lane 9:

Western blot - Recombinant human PKC gamma protein (<a href='/products/proteins-peptides/recombinant-human-pkc-gamma-protein-ab60842'>ab60842</a>) at 0.1 µg

Secondary

All lanes:

Western blot - Goat Anti-Rabbit IgG H&L (HRP) (<a href='/products/secondary-antibodies/goat-rabbit-igg-h-l-hrp-ab97051'>ab97051</a>) at 1/100000 dilution

Predicted band size: 77 kDa

Observed band size: 80 kDa

false

Exposure time: 180s

Western blot - Recombinant human PKC beta 2 protein (AB60841)
  • WB

Lab

Western blot - Recombinant human PKC beta 2 protein (AB60841)

Blocking and dilution buffer : 5% NFDM/TBST. Active human PKC alpha full length protein (ab55672) contains aa1-672 with GST-tag. Active human PKC beta 1 full length protein (ab60840) contains aa1-671 with GST-tag. Active human PKC beta 2 full length protein (ab60841) contains aa1-673 with GST-tag. Active human PKC delta full length protein (ab60844) contains aa1-676 with GST-tag. Active human PKC eta full length protein (ab60849) contains aa1-683 with GST-tag. Active human PKC epsilon full length protein (ab60847) contains aa1-737 with GST-tag. Active human PKC theta full length protein (ab56641) contains aa1-706 with GST-tag. Active human PKC mu full length protein (ab60873) contains aa1-912 with GST-tag.

All lanes:

Western blot - Anti-PKC (phospho S660) antibody [EP1902Y] (<a href='/products/primary-antibodies/pkc-phospho-s660-antibody-ep1902y-ab75837'>ab75837</a>) at 1/20000 dilution

Lane 1:

Western blot - Recombinant human PKC alpha protein (Active) (<a href='/products/proteins-peptides/recombinant-human-pkc-alpha-protein-active-ab55672'>ab55672</a>)

Lane 2:

Western blot - Recombinant human PKC beta 1 protein (<a href='/products/proteins-peptides/recombinant-human-pkc-beta-1-protein-ab60840'>ab60840</a>)

Lane 3:

Western blot - Recombinant human PKC beta 2 protein (ab60841)

Lane 4:

Western blot - Recombinant human PKC delta protein (<a href='/products/proteins-peptides/recombinant-human-pkc-delta-protein-ab60844'>ab60844</a>)

Lane 5:

Western blot - Recombinant human PKC eta protein (<a href='/products/proteins-peptides/recombinant-human-pkc-eta-protein-ab60849'>ab60849</a>)

Lane 6:

Western blot - Recombinant human PKC epsilon protein (<a href='/products/proteins-peptides/recombinant-human-pkc-epsilon-protein-ab60847'>ab60847</a>)

Lane 7:

Western blot - Recombinant human PKC theta/PRKCQ protein (<a href='/products/proteins-peptides/recombinant-human-pkc-theta-prkcq-protein-ab56641'>ab56641</a>)

Lane 8:

Western blot - Recombinant human PKC mu/PKD protein (<a href='/products/proteins-peptides/recombinant-human-pkc-mu-pkd-protein-ab60873'>ab60873</a>)

Secondary

All lanes:

Western blot - Goat Anti-Rabbit IgG H&L (HRP) (<a href='/products/secondary-antibodies/goat-rabbit-igg-h-l-hrp-ab97051'>ab97051</a>) at 1/20000 dilution

Predicted band size: 77 kDa

Observed band size: 100-150 kDa

false

Exposure time: 1s

Functional Studies - Recombinant human PKC beta 2 protein (AB60841)
  • FuncS

Unknown

Functional Studies - Recombinant human PKC beta 2 protein (AB60841)

Sample Kinase Activity Plot.

Functional Studies - Recombinant human PKC beta 2 protein (AB60841)
  • FuncS

Unknown

Functional Studies - Recombinant human PKC beta 2 protein (AB60841)

The specific activity of PKC beta 2 (ab60841) was determined to be 423 nmol/min/mg as per activity assay protocol

Western blot - Recombinant human PKC beta 2 protein (AB60841)
  • WB

Supplier Data

Western blot - Recombinant human PKC beta 2 protein (AB60841)

This data was developed using ab180848, the same antibody clone in a different buffer formulation.

Blocking and diluting buffer and concentration : 5% NFDM/TBST.

All lanes:

Western blot - Anti-PKC alpha (phospho S657) antibody [EPR1901(2)] (<a href='/products/primary-antibodies/pkc-alpha-phospho-s657-antibody-epr19012-ab180848'>ab180848</a>) at 1/1000 dilution

Lane 1:

Western blot - Recombinant human PKC alpha protein (Active) (<a href='/products/proteins-peptides/recombinant-human-pkc-alpha-protein-active-ab55672'>ab55672</a>)

Lane 2:

Western blot - Recombinant human PKC beta 1 protein (<a href='/products/proteins-peptides/recombinant-human-pkc-beta-1-protein-ab60840'>ab60840</a>)

Lane 3:

Western blot - Recombinant human PKC beta 2 protein (ab60841)

Lane 4:

Western blot - Recombinant human PKC gamma protein (<a href='/products/proteins-peptides/recombinant-human-pkc-gamma-protein-ab60842'>ab60842</a>)

Lane 5:

Western blot - Recombinant human PKC delta protein (<a href='/products/proteins-peptides/recombinant-human-pkc-delta-protein-ab60844'>ab60844</a>)

Lane 6:

Western blot - Recombinant human PKC epsilon protein (<a href='/products/proteins-peptides/recombinant-human-pkc-epsilon-protein-ab60847'>ab60847</a>)

Lane 7:

Western blot - Recombinant human PKC zeta protein (<a href='/products/proteins-peptides/recombinant-human-pkc-zeta-protein-ab60848'>ab60848</a>)

Lane 8:

Western blot - Recombinant human PKC eta protein (<a href='/products/proteins-peptides/recombinant-human-pkc-eta-protein-ab60849'>ab60849</a>)

Lane 9:

Western blot - Recombinant human PKC theta/PRKCQ protein (<a href='/products/proteins-peptides/recombinant-human-pkc-theta-prkcq-protein-ab56641'>ab56641</a>)

Lane 10:

Western blot - Recombinant human PKC iota protein (<a href='/products/proteins-peptides/recombinant-human-pkc-iota-protein-ab60850'>ab60850</a>)

Secondary

All lanes:

Western blot - Goat Anti-Rabbit IgG H&L (HRP) (<a href='/products/secondary-antibodies/goat-rabbit-igg-h-l-hrp-ab97051'>ab97051</a>) at 1/20000 dilution

Predicted band size: 76 kDa

Observed band size: 105 kDa

false

Exposure time: 60s

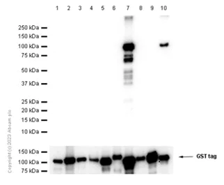
Western blot - Recombinant human PKC beta 2 protein (AB60841)
  • WB

Supplier Data

Western blot - Recombinant human PKC beta 2 protein (AB60841)

This data was developed using ab76129, the same antibody clone in a different buffer formulation.

Blocking and diluting buffer and concentration : 5% NFDM/TBST.

Exposure time : Lane 1-4 : 180 seconds; Lane 5-6 : 60 seconds; Lane 7-10 : 5 seconds.

All lanes:

Western blot - Anti-PKC zeta (phospho T410) + PKC iota (phospho T412) antibody [EP1491Y] (<a href='/products/primary-antibodies/pkc-zeta-phospho-t410-pkc-iota-phospho-t412-antibody-ep1491y-ab76129'>ab76129</a>) at 1/1000 dilution

Lane 1:

Western blot - Recombinant human PKC alpha protein (Active) (<a href='/products/proteins-peptides/recombinant-human-pkc-alpha-protein-active-ab55672'>ab55672</a>)

Lane 2:

Western blot - Recombinant human PKC beta 1 protein (<a href='/products/proteins-peptides/recombinant-human-pkc-beta-1-protein-ab60840'>ab60840</a>)

Lane 3:

Western blot - Recombinant human PKC beta 2 protein (ab60841)

Lane 4:

Western blot - Recombinant human PKC gamma protein (<a href='/products/proteins-peptides/recombinant-human-pkc-gamma-protein-ab60842'>ab60842</a>)

Lane 5:

Western blot - Recombinant human PKC delta protein (<a href='/products/proteins-peptides/recombinant-human-pkc-delta-protein-ab60844'>ab60844</a>)

Lane 6:

Western blot - Recombinant human PKC epsilon protein (<a href='/products/proteins-peptides/recombinant-human-pkc-epsilon-protein-ab60847'>ab60847</a>)

Lane 7:

Western blot - Recombinant human PKC zeta protein (<a href='/products/proteins-peptides/recombinant-human-pkc-zeta-protein-ab60848'>ab60848</a>)

Lane 8:

Western blot - Recombinant human PKC eta protein (<a href='/products/proteins-peptides/recombinant-human-pkc-eta-protein-ab60849'>ab60849</a>)

Lane 9:

Western blot - Recombinant human PKC theta/PRKCQ protein (<a href='/products/proteins-peptides/recombinant-human-pkc-theta-prkcq-protein-ab56641'>ab56641</a>)

Lane 10:

Western blot - Recombinant human PKC iota protein (<a href='/products/proteins-peptides/recombinant-human-pkc-iota-protein-ab60850'>ab60850</a>)

Secondary

All lanes:

Western blot - Goat Anti-Rabbit IgG H&L (HRP) (<a href='/products/secondary-antibodies/goat-rabbit-igg-h-l-hrp-ab97051'>ab97051</a>) at 1/20000 dilution

Observed band size: 105 kDa

false

Western blot - Recombinant human PKC beta 2 protein (AB60841)
  • WB

Supplier Data

Western blot - Recombinant human PKC beta 2 protein (AB60841)

5% NFDM/TBST All positive controls 10 ng

All lanes:

Western blot - Anti-PKC alpha antibody [133] (<a href='/products/primary-antibodies/pkc-alpha-antibody-133-ab11723'>ab11723</a>) at 1/1000 dilution

Lane 1:

Western blot - Recombinant human PKC alpha protein (Active) (<a href='/products/proteins-peptides/recombinant-human-pkc-alpha-protein-active-ab55672'>ab55672</a>)

Lane 2:

Western blot - Recombinant human PKC beta 1 protein (<a href='/products/proteins-peptides/recombinant-human-pkc-beta-1-protein-ab60840'>ab60840</a>)

Lane 3:

Western blot - Recombinant human PKC beta 2 protein (ab60841)

Lane 4:

Western blot - Recombinant human PKC eta protein (<a href='/products/proteins-peptides/recombinant-human-pkc-eta-protein-ab60849'>ab60849</a>)

Lane 5:

Western blot - Recombinant human PKC epsilon protein (<a href='/products/proteins-peptides/recombinant-human-pkc-epsilon-protein-ab60847'>ab60847</a>)

Lane 6:

Western blot - Recombinant human PKC theta/PRKCQ protein (<a href='/products/proteins-peptides/recombinant-human-pkc-theta-prkcq-protein-ab56641'>ab56641</a>)

Lane 7:

Western blot - Recombinant human PKC mu/PKD protein (<a href='/products/proteins-peptides/recombinant-human-pkc-mu-pkd-protein-ab60873'>ab60873</a>)

Lane 8:

Western blot - Recombinant human PKC zeta protein (<a href='/products/proteins-peptides/recombinant-human-pkc-zeta-protein-ab60848'>ab60848</a>)

Lane 9:

Western blot - Recombinant human PKC iota protein (<a href='/products/proteins-peptides/recombinant-human-pkc-iota-protein-ab60850'>ab60850</a>)

Lane 10:

Western blot - Recombinant human PKC gamma protein (<a href='/products/proteins-peptides/recombinant-human-pkc-gamma-protein-ab60842'>ab60842</a>)

Secondary

All lanes:

Peroxidase-Conjugated Goat anti-Mouse IgG (H+L) at 1/5000 dilution

Predicted band size: 76 kDa

false

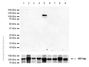
Western blot - Recombinant human PKC beta 2 protein (AB60841)
  • WB

Lab

Western blot - Recombinant human PKC beta 2 protein (AB60841)

Blocking and diluting buffer and concentration : 5% NFDM/TBST. ab235384 was used to detect GST tag.

All lanes:

Western blot - Anti-PKC beta 2 antibody [Y125] (<a href='/products/primary-antibodies/pkc-beta-2-antibody-y125-ab32026'>ab32026</a>) at 1/1000 dilution

Lane 1:

Western blot - Recombinant human PKC beta 2 protein (ab60841) at 10 ng

Lane 2:

Western blot - Recombinant human PKC beta 1 protein (<a href='/products/proteins-peptides/recombinant-human-pkc-beta-1-protein-ab60840'>ab60840</a>) at 10 ng

Lane 3:

Western blot - Recombinant human PKC delta protein (<a href='/products/proteins-peptides/recombinant-human-pkc-delta-protein-ab60844'>ab60844</a>) at 10 ng

Lane 4:

Western blot - Recombinant human PKC eta protein (<a href='/products/proteins-peptides/recombinant-human-pkc-eta-protein-ab60849'>ab60849</a>) at 10 ng

Lane 5:

Western blot - Recombinant human PKC epsilon protein (<a href='/products/proteins-peptides/recombinant-human-pkc-epsilon-protein-ab60847'>ab60847</a>) at 10 ng

Lane 6:

Western blot - Recombinant human PKC theta/PRKCQ protein (<a href='/products/proteins-peptides/recombinant-human-pkc-theta-prkcq-protein-ab56641'>ab56641</a>) at 10 ng

Lane 7:

Western blot - Recombinant human PKC mu/PKD protein (<a href='/products/proteins-peptides/recombinant-human-pkc-mu-pkd-protein-ab60873'>ab60873</a>) at 10 ng

Lane 8:

Western blot - Recombinant human PKC alpha protein (Active) (<a href='/products/proteins-peptides/recombinant-human-pkc-alpha-protein-active-ab55672'>ab55672</a>) at 10 ng

Lane 9:

Western blot - Goat Anti-Rabbit IgG H&L (HRP) (<a href='/products/secondary-antibodies/goat-rabbit-igg-h-l-hrp-ab97051'>ab97051</a>) at 10 ng

Secondary

All lanes:

Western blot - Goat Anti-Rabbit IgG H&L (HRP) (<a href='/products/secondary-antibodies/goat-rabbit-igg-h-l-hrp-ab97051'>ab97051</a>) at 1/20000 dilution

Predicted band size: 77 kDa

Observed band size: 100 kDa

false

SDS-PAGE - Recombinant human PKC beta 2 protein (AB60841)
  • SDS-PAGE

Unknown

SDS-PAGE - Recombinant human PKC beta 2 protein (AB60841)

SDS PAGE analysis of ab60841

SDS-PAGE - Recombinant human PKC beta 2 protein (AB60841)
  • SDS-PAGE

Unknown

SDS-PAGE - Recombinant human PKC beta 2 protein (AB60841)

ab60841 on SDS-PAGE, MW ~105 kDa.

Western blot - Recombinant human PKC beta 2 protein (AB60841)
  • WB

Supplier Data

Western blot - Recombinant human PKC beta 2 protein (AB60841)

This data was developed using the same antibody clone in a different buffer formulation containing PBS, BSA, glycerol, and sodium azide (ab62372).

Blocking and diluting buffer and concentration : 5% NFDM/TBST.

All lanes:

Western blot - Anti-PKC zeta (phospho T560) antibody [EP2037AY] (<a href='/products/primary-antibodies/pkc-zeta-phospho-t560-antibody-ep2037ay-ab62372'>ab62372</a>) at 1/1000 dilution

Lane 1:

Western blot - Recombinant human PKC alpha protein (Active) (<a href='/products/proteins-peptides/recombinant-human-pkc-alpha-protein-active-ab55672'>ab55672</a>)

Lane 2:

Western blot - Recombinant human PKC beta 1 protein (<a href='/products/proteins-peptides/recombinant-human-pkc-beta-1-protein-ab60840'>ab60840</a>)

Lane 3:

Western blot - Recombinant human PKC beta 2 protein (ab60841)

Lane 4:

Western blot - Recombinant human PKC gamma protein (<a href='/products/proteins-peptides/recombinant-human-pkc-gamma-protein-ab60842'>ab60842</a>)

Lane 5:

Western blot - Recombinant human PKC delta protein (<a href='/products/proteins-peptides/recombinant-human-pkc-delta-protein-ab60844'>ab60844</a>)

Lane 6:

Western blot - Recombinant human PKC epsilon protein (<a href='/products/proteins-peptides/recombinant-human-pkc-epsilon-protein-ab60847'>ab60847</a>)

Lane 7:

Western blot - Recombinant human PKC zeta protein (<a href='/products/proteins-peptides/recombinant-human-pkc-zeta-protein-ab60848'>ab60848</a>)

Lane 8:

Western blot - Recombinant human PKC eta protein (<a href='/products/proteins-peptides/recombinant-human-pkc-eta-protein-ab60849'>ab60849</a>)

Lane 9:

Western blot - Recombinant human PKC theta/PRKCQ protein (<a href='/products/proteins-peptides/recombinant-human-pkc-theta-prkcq-protein-ab56641'>ab56641</a>)

Lane 10:

Western blot - Recombinant human PKC iota protein (<a href='/products/proteins-peptides/recombinant-human-pkc-iota-protein-ab60850'>ab60850</a>)

Secondary

All lanes:

Western blot - Goat Anti-Rabbit IgG H&L (HRP) (<a href='/products/secondary-antibodies/goat-rabbit-igg-h-l-hrp-ab97051'>ab97051</a>) at 1/20000 dilution

Predicted band size: 68 kDa

Observed band size: 105 kDa

false

Exposure time: 5s

Western blot - Recombinant human PKC beta 2 protein (AB60841)
  • WB

Supplier Data

Western blot - Recombinant human PKC beta 2 protein (AB60841)

This data was developed using ab53295, the same antibody clone in a different buffer formulation.

Blocking and diluting buffer and concentration : 5% NFDM/TBST.

All lanes:

Western blot - Anti-PKC delta (phospho T507) antibody [EPR1485Y] (<a href='/products/primary-antibodies/pkc-delta-phospho-t507-antibody-epr1485y-ab53295'>ab53295</a>) at 1/1000 dilution

Lane 1:

Western blot - Recombinant human PKC alpha protein (Active) (<a href='/products/proteins-peptides/recombinant-human-pkc-alpha-protein-active-ab55672'>ab55672</a>)

Lane 2:

Western blot - Recombinant human PKC beta 1 protein (<a href='/products/proteins-peptides/recombinant-human-pkc-beta-1-protein-ab60840'>ab60840</a>)

Lane 3:

Western blot - Recombinant human PKC beta 2 protein (ab60841)

Lane 4:

Western blot - Recombinant human PKC gamma protein (<a href='/products/proteins-peptides/recombinant-human-pkc-gamma-protein-ab60842'>ab60842</a>)

Lane 5:

Western blot - Recombinant human PKC delta protein (<a href='/products/proteins-peptides/recombinant-human-pkc-delta-protein-ab60844'>ab60844</a>)

Lane 6:

Western blot - Recombinant human PKC zeta protein (<a href='/products/proteins-peptides/recombinant-human-pkc-zeta-protein-ab60848'>ab60848</a>)

Lane 7:

Western blot - Recombinant human PKC eta protein (<a href='/products/proteins-peptides/recombinant-human-pkc-eta-protein-ab60849'>ab60849</a>)

Lane 8:

Western blot - Recombinant human PKC theta/PRKCQ protein (<a href='/products/proteins-peptides/recombinant-human-pkc-theta-prkcq-protein-ab56641'>ab56641</a>)

Lane 9:

Western blot - Recombinant human PKC iota protein (<a href='/products/proteins-peptides/recombinant-human-pkc-iota-protein-ab60850'>ab60850</a>)

Secondary

All lanes:

Western blot - Goat Anti-Rabbit IgG H&L (HRP) (<a href='/products/secondary-antibodies/goat-rabbit-igg-h-l-hrp-ab97051'>ab97051</a>) at 1/20000 dilution

Predicted band size: 78 kDa

Observed band size: 105 kDa

false

Exposure time: 180s

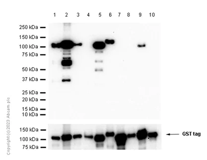
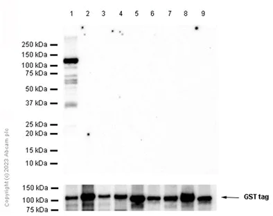
Western blot - Recombinant human PKC beta 2 protein (AB60841)
  • WB

Supplier Data

Western blot - Recombinant human PKC beta 2 protein (AB60841)

This data was developed using ab32502, the same antibody clone in a different buffer formulation.

Blocking and diluting buffer and concentration : 5% NFDM/TBST.

All lanes:

Western blot - Anti-PKC alpha (phospho T638) antibody [E195] (<a href='/products/primary-antibodies/pkc-alpha-phospho-t638-antibody-e195-ab32502'>ab32502</a>) at 1/1000 dilution

Lane 1:

Western blot - Recombinant human PKC alpha protein (Active) (<a href='/products/proteins-peptides/recombinant-human-pkc-alpha-protein-active-ab55672'>ab55672</a>)

Lane 2:

Western blot - Recombinant human PKC beta 1 protein (<a href='/products/proteins-peptides/recombinant-human-pkc-beta-1-protein-ab60840'>ab60840</a>)

Lane 3:

Western blot - Recombinant human PKC beta 2 protein (ab60841)

Lane 4:

Western blot - Recombinant human PKC gamma protein (<a href='/products/proteins-peptides/recombinant-human-pkc-gamma-protein-ab60842'>ab60842</a>)

Lane 5:

Western blot - Recombinant human PKC delta protein (<a href='/products/proteins-peptides/recombinant-human-pkc-delta-protein-ab60844'>ab60844</a>)

Lane 6:

Western blot - Recombinant human PKC zeta protein (<a href='/products/proteins-peptides/recombinant-human-pkc-zeta-protein-ab60848'>ab60848</a>)

Lane 7:

Western blot - Recombinant human PKC eta protein (<a href='/products/proteins-peptides/recombinant-human-pkc-eta-protein-ab60849'>ab60849</a>)

Lane 8:

Western blot - Recombinant human PKC theta/PRKCQ protein (<a href='/products/proteins-peptides/recombinant-human-pkc-theta-prkcq-protein-ab56641'>ab56641</a>)

Lane 9:

Western blot - Recombinant human PKC iota protein (<a href='/products/proteins-peptides/recombinant-human-pkc-iota-protein-ab60850'>ab60850</a>)

Secondary

All lanes:

Western blot - Goat Anti-Rabbit IgG H&L (HRP) (<a href='/products/secondary-antibodies/goat-rabbit-igg-h-l-hrp-ab97051'>ab97051</a>) at 1/20000 dilution

Predicted band size: 76 kDa

Observed band size: 105 kDa

false

Exposure time: 60s

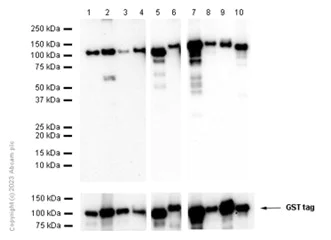
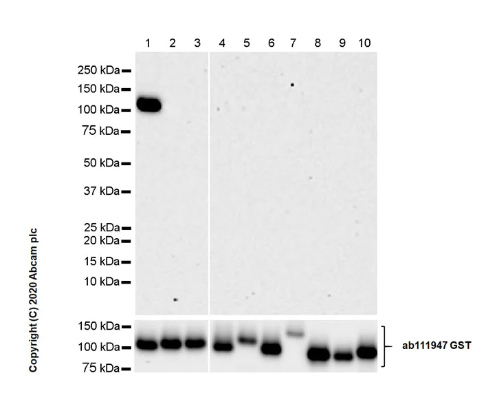
Western blot - Recombinant human PKC beta 2 protein (AB60841)
  • WB

Supplier Data

Western blot - Recombinant human PKC beta 2 protein (AB60841)

This data was developed using the same antibody clone in a different buffer formulation containing PBS, BSA, glycerol, and sodium azide (ab32376).

Blocking and diluting buffer and concentration : 5% NFDM/TBST.

All lanes:

Western blot - Anti-PKC alpha antibody [Y124] (<a href='/products/primary-antibodies/pkc-alpha-antibody-y124-ab32376'>ab32376</a>) at 1/2000 dilution

Lane 1:

Western blot - Recombinant human PKC alpha protein (Active) (<a href='/products/proteins-peptides/recombinant-human-pkc-alpha-protein-active-ab55672'>ab55672</a>)

Lane 2:

Western blot - Recombinant human PKC beta 1 protein (<a href='/products/proteins-peptides/recombinant-human-pkc-beta-1-protein-ab60840'>ab60840</a>)

Lane 3:

Western blot - Recombinant human PKC beta 2 protein (ab60841)

Lane 4:

Western blot - Recombinant human PKC gamma protein (<a href='/products/proteins-peptides/recombinant-human-pkc-gamma-protein-ab60842'>ab60842</a>)

Lane 5:

Western blot - Recombinant human PKC delta protein (<a href='/products/proteins-peptides/recombinant-human-pkc-delta-protein-ab60844'>ab60844</a>)

Lane 6:

Western blot - Recombinant human PKC epsilon protein (<a href='/products/proteins-peptides/recombinant-human-pkc-epsilon-protein-ab60847'>ab60847</a>)

Lane 7:

Western blot - Recombinant human PKC zeta protein (<a href='/products/proteins-peptides/recombinant-human-pkc-zeta-protein-ab60848'>ab60848</a>)

Lane 8:

Western blot - Recombinant human PKC eta protein (<a href='/products/proteins-peptides/recombinant-human-pkc-eta-protein-ab60849'>ab60849</a>)

Lane 9:

Western blot - Recombinant human PKC theta/PRKCQ protein (<a href='/products/proteins-peptides/recombinant-human-pkc-theta-prkcq-protein-ab56641'>ab56641</a>)

Lane 10:

Western blot - Recombinant human PKC iota protein (<a href='/products/proteins-peptides/recombinant-human-pkc-iota-protein-ab60850'>ab60850</a>)

Secondary

All lanes:

Western blot - Goat Anti-Rabbit IgG H&L (HRP) (<a href='/products/secondary-antibodies/goat-rabbit-igg-h-l-hrp-ab97051'>ab97051</a>) at 1/20000 dilution

Predicted band size: 76 kDa

Observed band size: 105 kDa

false

Exposure time: 20s

关键信息

纯度

>70%

表达系统

Baculovirus infected Sf9 cells

标签

GST tag N-Terminus

应用

SDS-PAGE, FuncS

applications

生物活性

Yes

生物学活性

423 nmol/min/mg Specific activity defined by radiometric assay, nmol of gamma-phosphate from ATP transferred to PKCtide peptide substrate

访问

P05771

不含动物源

No

不含载体蛋白

No

种属

Human

存储溶液

pH: 7.5 Constituents: 25% Glycerol (glycerin, glycerine), 0.87% Sodium chloride, 0.79% Tris HCl, 0.31% Glutathione, 0.00385% (R*,R*)-1,4-Dimercaptobutan-2,3-diol, 0.00292% EDTA, 0.00174% PMSF

storage-buffer

反应性数据

{ "title": "Reactivity Data", "filters": { "stats": ["", "Reactivity", "Dilution Info", "Notes"] }, "values": { "SDS-PAGE": { "reactivity":"TESTED_AND_REACTS", "dilution-info":"", "notes":"<p></p>" }, "FuncS": { "reactivity":"TESTED_AND_REACTS", "dilution-info":"", "notes":"<p></p>" } } }

产品详情

ab204856 (CREB peptide) can be utilized as a substrate for assessing kinase activity

序列信息

[{"sequence":"MADPAAGPPPSEGEESTVRFARKGALRQKNVHEVKNHKFTARFFKQPTFCSHCTDFIWGFGKQGFQCQVCCFVVHKRCHEFVTFSCPGADKGPASDDPRSKHKFKIHTYSSPTFCDHCGSLLYGLIHQGMKCDTCMMNVHKRCVMNVPSLCGTDHTERRGRIYIQAHIDRDVLIVLVRDAKNLVPMDPNGLSDPYVKLKLIPDPKSESKQKTKTIKCSLNPEWNETFRFQLKESDKDRRLSVEIWDWDLTSRNDFMGSLSFGISELQKASVDGWFKLLSQEEGEYFNVPVPPEGSEANEELRQKFERAKISQGTKVPEEKTTNTVSKFDNNGNRDRMKLTDFNFLMVLGKGSFGKVMLSERKGTDELYAVKILKKDVVIQDDDVECTMVEKRVLALPGKPPFLTQLHSCFQTMDRLYFVMEYVNGGDLMYHIQQVGRFKEPHAVFYAAEIAIGLFFLQSKGIIYRDLKLDNVMLDSEGHIKIADFGMCKENIWDGVTTKTFCGTPDYIAPEIIAYQPYGKSVDWWAFGVLLYEMLAGQAPFEGEDEDELFQSIMEHNVAYPKSMSKEAVAICKGLMTKHPGKRLGCGPEGERDIKEHAFFRYIDWEKLERKEIQPPYKPKACGRNAENFDRFFTRHPPVLTPPDQEVIRNIDQSEFEGFSFVNSEFLKPEVKS","proteinLength":"Full Length","predictedMolecularWeight":"105 kDa","actualMolecularWeight":null,"aminoAcidEnd":671,"aminoAcidStart":1,"nature":"Recombinant","expressionSystem":"Baculovirus infected Sf9 cells","accessionNumber":"P05771","tags":[{"tag":"GST","terminus":"N-Terminus"}]}]

性能和储存信息

运输条件
Dry Ice
推荐的短期储存条件
-80°C
推荐的长期储存条件
-80°C
分装信息
Upon delivery aliquot
储存信息
Avoid freeze / thaw cycle
True

补充信息

This supplementary information is collated from multiple sources and compiled automatically.

Protein kinase C beta 2 also known as PKC beta 2 or PRKCB is an important isoform of the PKC family with a molecular weight of 79 kDa. PKC proteins are a group of serine/threonine kinases involved in various cellular processes. PKC beta 2 expresses in tissues like the spleen lymph nodes and other immune-related tissues. The protein plays a significant role in immune responses and its expression is regulated by various signaling molecules.
Biological function summary

PKC beta 2 acts as an important regulator in the immune system by modulating immune cell activation and proliferation. It functions as part of the PKC protein complex which interacts with lipids and calcium as cofactors. This protein has critical influence on processes such as B-cell activation and phagocyte response. It also regulates several transcription factors impacting gene expression critical for the immune system.

Pathways

PKC beta 2 integrates into multiple signaling pathways including the NF-kB and MAPK pathways. These pathways are essential for transmitting signals from the cell surface to the nucleus affecting gene expression and cell function. PKC beta 2 directly influences protein interactions within these pathways such as with other PKC family members and other proteins like IKK which is critical in the NF-kB signaling pathway.

PKC beta 2 is significantly connected to certain cancers and autoimmune conditions. Aberrant PKC beta 2 activity is linked to chronic lymphocytic leukemia where it affects the survival and proliferation of B cells. It is also involved in diabetic nephropathy contributing to kidney damage through excessive signaling. In these conditions PKC beta 2 interacts with proteins like Bcl-2 in cancer and TGF-beta in diabetic nephropathy influencing the disease courses and potentially serving as targets for therapeutic interventions.

特殊说明

形式

Liquid

附加说明

Purified by affinity chromatography

常规信息

功能

Calcium-activated, phospholipid- and diacylglycerol (DAG)-dependent serine/threonine-protein kinase involved in various cellular processes such as regulation of the B-cell receptor (BCR) signalosome, oxidative stress-induced apoptosis, androgen receptor-dependent transcription regulation, insulin signaling and endothelial cells proliferation. Plays a key role in B-cell activation by regulating BCR-induced NF-kappa-B activation. Mediates the activation of the canonical NF-kappa-B pathway (NFKB1) by direct phosphorylation of CARD11/CARMA1 at 'Ser-559', 'Ser-644' and 'Ser-652'. Phosphorylation induces CARD11/CARMA1 association with lipid rafts and recruitment of the BCL10-MALT1 complex as well as MAP3K7/TAK1, which then activates IKK complex, resulting in nuclear translocation and activation of NFKB1. Plays a direct role in the negative feedback regulation of the BCR signaling, by down-modulating BTK function via direct phosphorylation of BTK at 'Ser-180', which results in the alteration of BTK plasma membrane localization and in turn inhibition of BTK activity (PubMed : 11598012). Involved in apoptosis following oxidative damage : in case of oxidative conditions, specifically phosphorylates 'Ser-36' of isoform p66Shc of SHC1, leading to mitochondrial accumulation of p66Shc, where p66Shc acts as a reactive oxygen species producer. Acts as a coactivator of androgen receptor (AR)-dependent transcription, by being recruited to AR target genes and specifically mediating phosphorylation of 'Thr-6' of histone H3 (H3T6ph), a specific tag for epigenetic transcriptional activation that prevents demethylation of histone H3 'Lys-4' (H3K4me) by LSD1/KDM1A (PubMed : 20228790). In insulin signaling, may function downstream of IRS1 in muscle cells and mediate insulin-dependent DNA synthesis through the RAF1-MAPK/ERK signaling cascade. Participates in the regulation of glucose transport in adipocytes by negatively modulating the insulin-stimulated translocation of the glucose transporter SLC2A4/GLUT4. Phosphorylates SLC2A1/GLUT1, promoting glucose uptake by SLC2A1/GLUT1 (PubMed : 25982116). Under high glucose in pancreatic beta-cells, is probably involved in the inhibition of the insulin gene transcription, via regulation of MYC expression. In endothelial cells, activation of PRKCB induces increased phosphorylation of RB1, increased VEGFA-induced cell proliferation, and inhibits PI3K/AKT-dependent nitric oxide synthase (NOS3/eNOS) regulation by insulin, which causes endothelial dysfunction. Also involved in triglyceride homeostasis (By similarity). Phosphorylates ATF2 which promotes cooperation between ATF2 and JUN, activating transcription (PubMed : 19176525). Phosphorylates KLHL3 in response to angiotensin II signaling, decreasing the interaction between KLHL3 and WNK4 (PubMed : 25313067). Phosphorylates and activates LRRK1, which phosphorylates RAB proteins involved in intracellular trafficking (PubMed : 36040231).. Isoform Beta-II. Acts as an activator of ferroptosis by mediating phosphorylation and activation of ACSL4 (PubMed : 35027735). Also stimulates ferroptosis propagation by catalyzing phosphorylation of FOXK1, thereby promoting LGALS13 secretion (PubMed : 40246981).

序列相似性

Belongs to the protein kinase superfamily. AGC Ser/Thr protein kinase family. PKC subfamily.

翻译后修饰

Phosphorylation on Thr-500 within the activation loop renders it competent to autophosphorylate. Subsequent autophosphorylation of Thr-642 maintains catalytic competence, and autophosphorylation on Ser-661 appears to release the kinase into the cytosol. Autophosphorylation on other sites i.e. in the N-terminal and hinge regions have no effect on enzyme activity. Phosphorylation at Tyr-662 by SYK induces binding with GRB2 and contributes to the activation of MAPK/ERK signaling cascade (By similarity).

亚细胞定位

Nucleus

产品实验方案

靶点信息

Calcium-activated, phospholipid- and diacylglycerol (DAG)-dependent serine/threonine-protein kinase involved in various cellular processes such as regulation of the B-cell receptor (BCR) signalosome, oxidative stress-induced apoptosis, androgen receptor-dependent transcription regulation, insulin signaling and endothelial cells proliferation. Plays a key role in B-cell activation by regulating BCR-induced NF-kappa-B activation. Mediates the activation of the canonical NF-kappa-B pathway (NFKB1) by direct phosphorylation of CARD11/CARMA1 at 'Ser-559', 'Ser-644' and 'Ser-652'. Phosphorylation induces CARD11/CARMA1 association with lipid rafts and recruitment of the BCL10-MALT1 complex as well as MAP3K7/TAK1, which then activates IKK complex, resulting in nuclear translocation and activation of NFKB1. Plays a direct role in the negative feedback regulation of the BCR signaling, by down-modulating BTK function via direct phosphorylation of BTK at 'Ser-180', which results in the alteration of BTK plasma membrane localization and in turn inhibition of BTK activity (PubMed : 11598012). Involved in apoptosis following oxidative damage : in case of oxidative conditions, specifically phosphorylates 'Ser-36' of isoform p66Shc of SHC1, leading to mitochondrial accumulation of p66Shc, where p66Shc acts as a reactive oxygen species producer. Acts as a coactivator of androgen receptor (AR)-dependent transcription, by being recruited to AR target genes and specifically mediating phosphorylation of 'Thr-6' of histone H3 (H3T6ph), a specific tag for epigenetic transcriptional activation that prevents demethylation of histone H3 'Lys-4' (H3K4me) by LSD1/KDM1A (PubMed : 20228790). In insulin signaling, may function downstream of IRS1 in muscle cells and mediate insulin-dependent DNA synthesis through the RAF1-MAPK/ERK signaling cascade. Participates in the regulation of glucose transport in adipocytes by negatively modulating the insulin-stimulated translocation of the glucose transporter SLC2A4/GLUT4. Phosphorylates SLC2A1/GLUT1, promoting glucose uptake by SLC2A1/GLUT1 (PubMed : 25982116). Under high glucose in pancreatic beta-cells, is probably involved in the inhibition of the insulin gene transcription, via regulation of MYC expression. In endothelial cells, activation of PRKCB induces increased phosphorylation of RB1, increased VEGFA-induced cell proliferation, and inhibits PI3K/AKT-dependent nitric oxide synthase (NOS3/eNOS) regulation by insulin, which causes endothelial dysfunction. Also involved in triglyceride homeostasis (By similarity). Phosphorylates ATF2 which promotes cooperation between ATF2 and JUN, activating transcription (PubMed : 19176525). Phosphorylates KLHL3 in response to angiotensin II signaling, decreasing the interaction between KLHL3 and WNK4 (PubMed : 25313067). Phosphorylates and activates LRRK1, which phosphorylates RAB proteins involved in intracellular trafficking (PubMed : 36040231).. Isoform Beta-II. Acts as an activator of ferroptosis by mediating phosphorylation and activation of ACSL4 (PubMed : 35027735). Also stimulates ferroptosis propagation by catalyzing phosphorylation of FOXK1, thereby promoting LGALS13 secretion (PubMed : 40246981).
See full target information PRKCB

文献 (2)

Recent publications for all applications. Explore the full list and refine your search

Nature communications 10:329 PubMed30659190

2019

A selective inhibitor of mitofusin 1-βIIPKC association improves heart failure outcome in rats.

Applications

Unspecified application

Species

Unspecified reactive species

Julio C B Ferreira,Juliane C Campos,Nir Qvit,Xin Qi,Luiz H M Bozi,Luiz R G Bechara,Vanessa M Lima,Bruno B Queliconi,Marie-Helene Disatnik,Paulo M M Dourado,Alicia J Kowaltowski,Daria Mochly-Rosen

Structure (London, England : 1993) 27:485-496.e7 PubMed30639225

2019

Structure of the UHRF1 Tandem Tudor Domain Bound to a Methylated Non-histone Protein, LIG1, Reveals Rules for Binding and Regulation.

Applications

Unspecified application

Species

Unspecified reactive species

Satomi Kori,Laure Ferry,Shohei Matano,Tomohiro Jimenji,Noriyuki Kodera,Takeshi Tsusaka,Rumie Matsumura,Takashi Oda,Mamoru Sato,Naoshi Dohmae,Toshio Ando,Yoichi Shinkai,Pierre-Antoine Defossez,Kyohei Arita
View all publications

Abcam Product Promise

我们致力于为您的研究提供高质量的试剂,为您科研的每一步提供支持。若我们的产品未能达到预期性能,我们向您提供 Abcam Product Promise 保障。
详情请参阅我们的条款与条件。

Please note: All products are 'FOR RESEARCH USE ONLY. NOT FOR USE IN DIAGNOSTIC OR THERAPEUTIC PROCEDURES'.

For licensing inquiries, please contact partnerships@abcam.com