JavaScript is disabled in your browser. Please enable JavaScript to view this website.
AB55672

重组人PKC alpha蛋白(Active)

Recombinant human PKC alpha protein (Active)

Be the first to review this product! Submit a review

|

(6 Publications)

Recombinant human PKC alpha protein (Active) is a Human Full Length protein, expressed in Baculovirus infected Sf9 cells, with >95%, suitable for SDS-PAGE, FuncS, WB.

查看别名

PKCA, PRKACA, PRKCA, Protein kinase C alpha type, PKC-A, PKC-alpha

14 Images
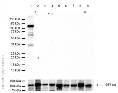
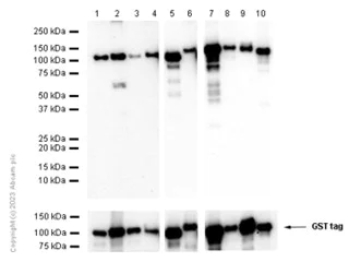
Western blot - Recombinant human PKC alpha protein (Active) (AB55672)
  • WB

Lab

Western blot - Recombinant human PKC alpha protein (Active) (AB55672)

Blocking and dilution buffer : 5% NFDM/TBST. Active human PKC alpha full length protein (ab55672) contains aa1-672 with GST-tag. Active human PKC beta 1 full length protein (ab60840) contains aa1-671 with GST-tag. Active human PKC beta 2 full length protein (ab60841) contains aa1-673 with GST-tag. Active human PKC delta full length protein (ab60844) contains aa1-676 with GST-tag. Active human PKC eta full length protein (ab60849) contains aa1-683 with GST-tag. Active human PKC epsilon full length protein (ab60847) contains aa1-737 with GST-tag. Active human PKC theta full length protein (ab56641) contains aa1-706 with GST-tag. Active human PKC mu full length protein (ab60873) contains aa1-912 with GST-tag.

All lanes:

Western blot - Anti-PKC (phospho S660) antibody [EP1902Y] (<a href='/products/primary-antibodies/pkc-phospho-s660-antibody-ep1902y-ab75837'>ab75837</a>) at 1/20000 dilution

Lane 1:

Western blot - Recombinant human PKC alpha protein (Active) (ab55672)

Lane 2:

Western blot - Recombinant human PKC beta 1 protein (<a href='/products/proteins-peptides/recombinant-human-pkc-beta-1-protein-ab60840'>ab60840</a>)

Lane 3:

Western blot - Recombinant human PKC beta 2 protein (<a href='/products/proteins-peptides/recombinant-human-pkc-beta-2-protein-ab60841'>ab60841</a>)

Lane 4:

Western blot - Recombinant human PKC delta protein (<a href='/products/proteins-peptides/recombinant-human-pkc-delta-protein-ab60844'>ab60844</a>)

Lane 5:

Western blot - Recombinant human PKC eta protein (<a href='/products/proteins-peptides/recombinant-human-pkc-eta-protein-ab60849'>ab60849</a>)

Lane 6:

Western blot - Recombinant human PKC epsilon protein (<a href='/products/proteins-peptides/recombinant-human-pkc-epsilon-protein-ab60847'>ab60847</a>)

Lane 7:

Western blot - Recombinant human PKC theta/PRKCQ protein (<a href='/products/proteins-peptides/recombinant-human-pkc-theta-prkcq-protein-ab56641'>ab56641</a>)

Lane 8:

Western blot - Recombinant human PKC mu/PKD protein (<a href='/products/proteins-peptides/recombinant-human-pkc-mu-pkd-protein-ab60873'>ab60873</a>)

Secondary

All lanes:

Western blot - Goat Anti-Rabbit IgG H&L (HRP) (<a href='/products/secondary-antibodies/goat-rabbit-igg-h-l-hrp-ab97051'>ab97051</a>) at 1/20000 dilution

Predicted band size: 77 kDa

Observed band size: 100-150 kDa

false

Exposure time: 1s

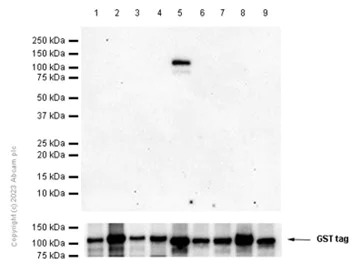
Western blot - Recombinant human PKC alpha protein (Active) (AB55672)
  • WB

Lab

Western blot - Recombinant human PKC alpha protein (Active) (AB55672)

Blocking and dilution buffer : 5% NFDM/TBST.

ab109539 could detect PKC gamma (pT514), PKC alpha (pT497), PKC beta (pT500), PKC delta (pT507), PKC eta (pT513), PKC epsilon (pT566) and PKC theta (pT538).

Active human PKC alpha full length protein (Catalog#ab55672) contains aa1-672 with GST-tag;
Active human PKC beta 1 full length protein (Catalog#ab60840) contains aa1-671 with GST-tag;
Active human PKC beta 2 full length protein (Catalog#ab60841) contains aa1-673 with GST-tag;
Active human PKC delta full length protein (Catalog#ab60844) contains aa1-676 with GST-tag;
Active human PKC eta full length protein (Catalog#ab60849) contains aa1-683 with GST-tag;
Active human PKC epsilon full length protein (Catalog#ab60847) contains aa1-737 with GST-tag;
Active human PKC theta full length protein (Catalog#ab56641) contains aa1-706 with GST-tag;
Active human PKC mu full length protein (Catalog#ab60873) contains aa1-912 with GST-tag;
Active human PKC gamma full length protein (Catalog#ab60842) contains aa1-697 with GST-tag.

All lanes:

Western blot - Anti-PKC (phospho T514) antibody [EP2730Y] (<a href='/products/primary-antibodies/pkc-phospho-t514-antibody-ep2730y-ab109539'>ab109539</a>) at 1/1000 dilution

Lane 1:

Western blot - Recombinant human PKC alpha protein (Active) (ab55672) at 0.5 µg

Lane 2:

Western blot - Recombinant human PKC beta 1 protein (<a href='/products/proteins-peptides/recombinant-human-pkc-beta-1-protein-ab60840'>ab60840</a>) at 0.2 µg

Lane 3:

Active human PKC beta 2 full length protein at 0.2 µg

Lane 4:

Western blot - Recombinant human PKC delta protein (<a href='/products/proteins-peptides/recombinant-human-pkc-delta-protein-ab60844'>ab60844</a>) at 0.05 µg

Lane 5:

Western blot - Recombinant human PKC eta protein (<a href='/products/proteins-peptides/recombinant-human-pkc-eta-protein-ab60849'>ab60849</a>) at 0.5 µg

Lane 6:

Western blot - Recombinant human PKC epsilon protein (<a href='/products/proteins-peptides/recombinant-human-pkc-epsilon-protein-ab60847'>ab60847</a>) at 1 µg

Lane 7:

Western blot - Recombinant human PKC theta/PRKCQ protein (<a href='/products/proteins-peptides/recombinant-human-pkc-theta-prkcq-protein-ab56641'>ab56641</a>) at 0.2 µg

Lane 8:

Western blot - Recombinant human PKC mu/PKD protein (<a href='/products/proteins-peptides/recombinant-human-pkc-mu-pkd-protein-ab60873'>ab60873</a>) at 1 µg

Lane 9:

Western blot - Recombinant human PKC gamma protein (<a href='/products/proteins-peptides/recombinant-human-pkc-gamma-protein-ab60842'>ab60842</a>) at 0.1 µg

Secondary

All lanes:

Western blot - Goat Anti-Rabbit IgG H&L (HRP) (<a href='/products/secondary-antibodies/goat-rabbit-igg-h-l-hrp-ab97051'>ab97051</a>) at 1/100000 dilution

Predicted band size: 77 kDa

Observed band size: 80 kDa

false

Exposure time: 180s

Functional Studies - Recombinant human PKC alpha protein (Active) (AB55672)
  • FuncS

Supplier Data

Functional Studies - Recombinant human PKC alpha protein (Active) (AB55672)

Specific activity : 3,200 nmol/min/mg

Western blot - Recombinant human PKC alpha protein (Active) (AB55672)
  • WB

Lab

Western blot - Recombinant human PKC alpha protein (Active) (AB55672)

5% NFDM/TBST

All lanes:

Western blot - Anti-PKC alpha antibody [133] (<a href='/products/primary-antibodies/pkc-alpha-antibody-133-ab11723'>ab11723</a>) at 1/1000 dilution

Lane 1:

Western blot - Recombinant human PKC alpha protein (Active) (ab55672)

Lane 2:

Western blot - Recombinant human PKC delta protein (<a href='/products/proteins-peptides/recombinant-human-pkc-delta-protein-ab60844'>ab60844</a>)

Secondary

All lanes:

Peroxidase-Conjugated Goat anti-Mouse IgG (H+L) at 1/5000 dilution

Predicted band size: 76 kDa

false

Exposure time: 180s

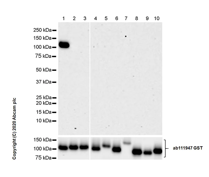
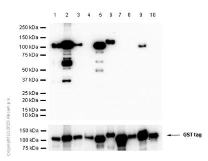
Western blot - Recombinant human PKC alpha protein (Active) (AB55672)
  • WB

Supplier Data

Western blot - Recombinant human PKC alpha protein (Active) (AB55672)

5% NFDM/TBST All positive controls 10 ng

All lanes:

Western blot - Anti-PKC alpha antibody [133] (<a href='/products/primary-antibodies/pkc-alpha-antibody-133-ab11723'>ab11723</a>) at 1/1000 dilution

Lane 1:

Western blot - Recombinant human PKC alpha protein (Active) (ab55672)

Lane 2:

Western blot - Recombinant human PKC beta 1 protein (<a href='/products/proteins-peptides/recombinant-human-pkc-beta-1-protein-ab60840'>ab60840</a>)

Lane 3:

Western blot - Recombinant human PKC beta 2 protein (<a href='/products/proteins-peptides/recombinant-human-pkc-beta-2-protein-ab60841'>ab60841</a>)

Lane 4:

Western blot - Recombinant human PKC eta protein (<a href='/products/proteins-peptides/recombinant-human-pkc-eta-protein-ab60849'>ab60849</a>)

Lane 5:

Western blot - Recombinant human PKC epsilon protein (<a href='/products/proteins-peptides/recombinant-human-pkc-epsilon-protein-ab60847'>ab60847</a>)

Lane 6:

Western blot - Recombinant human PKC theta/PRKCQ protein (<a href='/products/proteins-peptides/recombinant-human-pkc-theta-prkcq-protein-ab56641'>ab56641</a>)

Lane 7:

Western blot - Recombinant human PKC mu/PKD protein (<a href='/products/proteins-peptides/recombinant-human-pkc-mu-pkd-protein-ab60873'>ab60873</a>)

Lane 8:

Western blot - Recombinant human PKC zeta protein (<a href='/products/proteins-peptides/recombinant-human-pkc-zeta-protein-ab60848'>ab60848</a>)

Lane 9:

Western blot - Recombinant human PKC iota protein (<a href='/products/proteins-peptides/recombinant-human-pkc-iota-protein-ab60850'>ab60850</a>)

Lane 10:

Western blot - Recombinant human PKC gamma protein (<a href='/products/proteins-peptides/recombinant-human-pkc-gamma-protein-ab60842'>ab60842</a>)

Secondary

All lanes:

Peroxidase-Conjugated Goat anti-Mouse IgG (H+L) at 1/5000 dilution

Predicted band size: 76 kDa

false

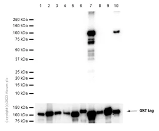
Western blot - Recombinant human PKC alpha protein (Active) (AB55672)
  • WB

Supplier Data

Western blot - Recombinant human PKC alpha protein (Active) (AB55672)

This data was developed using ab180848, the same antibody clone in a different buffer formulation.

Blocking and diluting buffer and concentration : 5% NFDM/TBST.

All lanes:

Western blot - Anti-PKC alpha (phospho S657) antibody [EPR1901(2)] (<a href='/products/primary-antibodies/pkc-alpha-phospho-s657-antibody-epr19012-ab180848'>ab180848</a>) at 1/1000 dilution

Lane 1:

Western blot - Recombinant human PKC alpha protein (Active) (ab55672)

Lane 2:

Western blot - Recombinant human PKC beta 1 protein (<a href='/products/proteins-peptides/recombinant-human-pkc-beta-1-protein-ab60840'>ab60840</a>)

Lane 3:

Western blot - Recombinant human PKC beta 2 protein (<a href='/products/proteins-peptides/recombinant-human-pkc-beta-2-protein-ab60841'>ab60841</a>)

Lane 4:

Western blot - Recombinant human PKC gamma protein (<a href='/products/proteins-peptides/recombinant-human-pkc-gamma-protein-ab60842'>ab60842</a>)

Lane 5:

Western blot - Recombinant human PKC delta protein (<a href='/products/proteins-peptides/recombinant-human-pkc-delta-protein-ab60844'>ab60844</a>)

Lane 6:

Western blot - Recombinant human PKC epsilon protein (<a href='/products/proteins-peptides/recombinant-human-pkc-epsilon-protein-ab60847'>ab60847</a>)

Lane 7:

Western blot - Recombinant human PKC zeta protein (<a href='/products/proteins-peptides/recombinant-human-pkc-zeta-protein-ab60848'>ab60848</a>)

Lane 8:

Western blot - Recombinant human PKC eta protein (<a href='/products/proteins-peptides/recombinant-human-pkc-eta-protein-ab60849'>ab60849</a>)

Lane 9:

Western blot - Recombinant human PKC theta/PRKCQ protein (<a href='/products/proteins-peptides/recombinant-human-pkc-theta-prkcq-protein-ab56641'>ab56641</a>)

Lane 10:

Western blot - Recombinant human PKC iota protein (<a href='/products/proteins-peptides/recombinant-human-pkc-iota-protein-ab60850'>ab60850</a>)

Secondary

All lanes:

Western blot - Goat Anti-Rabbit IgG H&L (HRP) (<a href='/products/secondary-antibodies/goat-rabbit-igg-h-l-hrp-ab97051'>ab97051</a>) at 1/20000 dilution

Predicted band size: 76 kDa

Observed band size: 105 kDa

false

Exposure time: 60s

Western blot - Recombinant human PKC alpha protein (Active) (AB55672)
  • WB

Unknown

Western blot - Recombinant human PKC alpha protein (Active) (AB55672)

All lanes:

Anti-PKC alpha antibody (<a href='/products/unavailable/pkc-alpha-antibody-ab66181'>ab66181</a>) at 1 µg/mL

All lanes:

Western blot - Recombinant human PKC alpha protein (Active) (ab55672) at 0.01 µg

Secondary

All lanes:

Western blot - Goat Anti-Rabbit IgG H&L (HRP) preadsorbed (<a href='/products/secondary-antibodies/goat-rabbit-igg-h-l-hrp-preadsorbed-ab97080'>ab97080</a>) at 1/5000 dilution

true

Exposure time: 10s

Western blot - Recombinant human PKC alpha protein (Active) (AB55672)
  • WB

Supplier Data

Western blot - Recombinant human PKC alpha protein (Active) (AB55672)

This data was developed using the same antibody clone in a different buffer formulation containing PBS, BSA, glycerol, and sodium azide (ab32376).

Blocking and diluting buffer and concentration : 5% NFDM/TBST.

All lanes:

Western blot - Anti-PKC alpha antibody [Y124] (<a href='/products/primary-antibodies/pkc-alpha-antibody-y124-ab32376'>ab32376</a>) at 1/2000 dilution

Lane 1:

Western blot - Recombinant human PKC alpha protein (Active) (ab55672)

Lane 2:

Western blot - Recombinant human PKC beta 1 protein (<a href='/products/proteins-peptides/recombinant-human-pkc-beta-1-protein-ab60840'>ab60840</a>)

Lane 3:

Western blot - Recombinant human PKC beta 2 protein (<a href='/products/proteins-peptides/recombinant-human-pkc-beta-2-protein-ab60841'>ab60841</a>)

Lane 4:

Western blot - Recombinant human PKC gamma protein (<a href='/products/proteins-peptides/recombinant-human-pkc-gamma-protein-ab60842'>ab60842</a>)

Lane 5:

Western blot - Recombinant human PKC delta protein (<a href='/products/proteins-peptides/recombinant-human-pkc-delta-protein-ab60844'>ab60844</a>)

Lane 6:

Western blot - Recombinant human PKC epsilon protein (<a href='/products/proteins-peptides/recombinant-human-pkc-epsilon-protein-ab60847'>ab60847</a>)

Lane 7:

Western blot - Recombinant human PKC zeta protein (<a href='/products/proteins-peptides/recombinant-human-pkc-zeta-protein-ab60848'>ab60848</a>)

Lane 8:

Western blot - Recombinant human PKC eta protein (<a href='/products/proteins-peptides/recombinant-human-pkc-eta-protein-ab60849'>ab60849</a>)

Lane 9:

Western blot - Recombinant human PKC theta/PRKCQ protein (<a href='/products/proteins-peptides/recombinant-human-pkc-theta-prkcq-protein-ab56641'>ab56641</a>)

Lane 10:

Western blot - Recombinant human PKC iota protein (<a href='/products/proteins-peptides/recombinant-human-pkc-iota-protein-ab60850'>ab60850</a>)

Secondary

All lanes:

Western blot - Goat Anti-Rabbit IgG H&L (HRP) (<a href='/products/secondary-antibodies/goat-rabbit-igg-h-l-hrp-ab97051'>ab97051</a>) at 1/20000 dilution

Predicted band size: 76 kDa

Observed band size: 105 kDa

false

Exposure time: 20s

Western blot - Recombinant human PKC alpha protein (Active) (AB55672)
  • WB

Supplier Data

Western blot - Recombinant human PKC alpha protein (Active) (AB55672)

This data was developed using ab76129, the same antibody clone in a different buffer formulation.

Blocking and diluting buffer and concentration : 5% NFDM/TBST.

Exposure time : Lane 1-4 : 180 seconds; Lane 5-6 : 60 seconds; Lane 7-10 : 5 seconds.

All lanes:

Western blot - Anti-PKC zeta (phospho T410) + PKC iota (phospho T412) antibody [EP1491Y] (<a href='/products/primary-antibodies/pkc-zeta-phospho-t410-pkc-iota-phospho-t412-antibody-ep1491y-ab76129'>ab76129</a>) at 1/1000 dilution

Lane 1:

Western blot - Recombinant human PKC alpha protein (Active) (ab55672)

Lane 2:

Western blot - Recombinant human PKC beta 1 protein (<a href='/products/proteins-peptides/recombinant-human-pkc-beta-1-protein-ab60840'>ab60840</a>)

Lane 3:

Western blot - Recombinant human PKC beta 2 protein (<a href='/products/proteins-peptides/recombinant-human-pkc-beta-2-protein-ab60841'>ab60841</a>)

Lane 4:

Western blot - Recombinant human PKC gamma protein (<a href='/products/proteins-peptides/recombinant-human-pkc-gamma-protein-ab60842'>ab60842</a>)

Lane 5:

Western blot - Recombinant human PKC delta protein (<a href='/products/proteins-peptides/recombinant-human-pkc-delta-protein-ab60844'>ab60844</a>)

Lane 6:

Western blot - Recombinant human PKC epsilon protein (<a href='/products/proteins-peptides/recombinant-human-pkc-epsilon-protein-ab60847'>ab60847</a>)

Lane 7:

Western blot - Recombinant human PKC zeta protein (<a href='/products/proteins-peptides/recombinant-human-pkc-zeta-protein-ab60848'>ab60848</a>)

Lane 8:

Western blot - Recombinant human PKC eta protein (<a href='/products/proteins-peptides/recombinant-human-pkc-eta-protein-ab60849'>ab60849</a>)

Lane 9:

Western blot - Recombinant human PKC theta/PRKCQ protein (<a href='/products/proteins-peptides/recombinant-human-pkc-theta-prkcq-protein-ab56641'>ab56641</a>)

Lane 10:

Western blot - Recombinant human PKC iota protein (<a href='/products/proteins-peptides/recombinant-human-pkc-iota-protein-ab60850'>ab60850</a>)

Secondary

All lanes:

Western blot - Goat Anti-Rabbit IgG H&L (HRP) (<a href='/products/secondary-antibodies/goat-rabbit-igg-h-l-hrp-ab97051'>ab97051</a>) at 1/20000 dilution

Observed band size: 105 kDa

false

Western blot - Recombinant human PKC alpha protein (Active) (AB55672)
  • WB

Supplier Data

Western blot - Recombinant human PKC alpha protein (Active) (AB55672)

This data was developed using ab32502, the same antibody clone in a different buffer formulation.

Blocking and diluting buffer and concentration : 5% NFDM/TBST.

All lanes:

Western blot - Anti-PKC alpha (phospho T638) antibody [E195] (<a href='/products/primary-antibodies/pkc-alpha-phospho-t638-antibody-e195-ab32502'>ab32502</a>) at 1/1000 dilution

Lane 1:

Western blot - Recombinant human PKC alpha protein (Active) (ab55672)

Lane 2:

Western blot - Recombinant human PKC beta 1 protein (<a href='/products/proteins-peptides/recombinant-human-pkc-beta-1-protein-ab60840'>ab60840</a>)

Lane 3:

Western blot - Recombinant human PKC beta 2 protein (<a href='/products/proteins-peptides/recombinant-human-pkc-beta-2-protein-ab60841'>ab60841</a>)

Lane 4:

Western blot - Recombinant human PKC gamma protein (<a href='/products/proteins-peptides/recombinant-human-pkc-gamma-protein-ab60842'>ab60842</a>)

Lane 5:

Western blot - Recombinant human PKC delta protein (<a href='/products/proteins-peptides/recombinant-human-pkc-delta-protein-ab60844'>ab60844</a>)

Lane 6:

Western blot - Recombinant human PKC zeta protein (<a href='/products/proteins-peptides/recombinant-human-pkc-zeta-protein-ab60848'>ab60848</a>)

Lane 7:

Western blot - Recombinant human PKC eta protein (<a href='/products/proteins-peptides/recombinant-human-pkc-eta-protein-ab60849'>ab60849</a>)

Lane 8:

Western blot - Recombinant human PKC theta/PRKCQ protein (<a href='/products/proteins-peptides/recombinant-human-pkc-theta-prkcq-protein-ab56641'>ab56641</a>)

Lane 9:

Western blot - Recombinant human PKC iota protein (<a href='/products/proteins-peptides/recombinant-human-pkc-iota-protein-ab60850'>ab60850</a>)

Secondary

All lanes:

Western blot - Goat Anti-Rabbit IgG H&L (HRP) (<a href='/products/secondary-antibodies/goat-rabbit-igg-h-l-hrp-ab97051'>ab97051</a>) at 1/20000 dilution

Predicted band size: 76 kDa

Observed band size: 105 kDa

false

Exposure time: 60s

SDS-PAGE - Recombinant human PKC alpha protein (Active) (AB55672)
  • SDS-PAGE

Supplier Data

SDS-PAGE - Recombinant human PKC alpha protein (Active) (AB55672)

Purity >95% by densiometry.

Western blot - Recombinant human PKC alpha protein (Active) (AB55672)
  • WB

Supplier Data

Western blot - Recombinant human PKC alpha protein (Active) (AB55672)

This data was developed using the same antibody clone in a different buffer formulation containing PBS, BSA, glycerol, and sodium azide (ab62372).

Blocking and diluting buffer and concentration : 5% NFDM/TBST.

All lanes:

Western blot - Anti-PKC zeta (phospho T560) antibody [EP2037AY] (<a href='/products/primary-antibodies/pkc-zeta-phospho-t560-antibody-ep2037ay-ab62372'>ab62372</a>) at 1/1000 dilution

Lane 1:

Western blot - Recombinant human PKC alpha protein (Active) (ab55672)

Lane 2:

Western blot - Recombinant human PKC beta 1 protein (<a href='/products/proteins-peptides/recombinant-human-pkc-beta-1-protein-ab60840'>ab60840</a>)

Lane 3:

Western blot - Recombinant human PKC beta 2 protein (<a href='/products/proteins-peptides/recombinant-human-pkc-beta-2-protein-ab60841'>ab60841</a>)

Lane 4:

Western blot - Recombinant human PKC gamma protein (<a href='/products/proteins-peptides/recombinant-human-pkc-gamma-protein-ab60842'>ab60842</a>)

Lane 5:

Western blot - Recombinant human PKC delta protein (<a href='/products/proteins-peptides/recombinant-human-pkc-delta-protein-ab60844'>ab60844</a>)

Lane 6:

Western blot - Recombinant human PKC epsilon protein (<a href='/products/proteins-peptides/recombinant-human-pkc-epsilon-protein-ab60847'>ab60847</a>)

Lane 7:

Western blot - Recombinant human PKC zeta protein (<a href='/products/proteins-peptides/recombinant-human-pkc-zeta-protein-ab60848'>ab60848</a>)

Lane 8:

Western blot - Recombinant human PKC eta protein (<a href='/products/proteins-peptides/recombinant-human-pkc-eta-protein-ab60849'>ab60849</a>)

Lane 9:

Western blot - Recombinant human PKC theta/PRKCQ protein (<a href='/products/proteins-peptides/recombinant-human-pkc-theta-prkcq-protein-ab56641'>ab56641</a>)

Lane 10:

Western blot - Recombinant human PKC iota protein (<a href='/products/proteins-peptides/recombinant-human-pkc-iota-protein-ab60850'>ab60850</a>)

Secondary

All lanes:

Western blot - Goat Anti-Rabbit IgG H&L (HRP) (<a href='/products/secondary-antibodies/goat-rabbit-igg-h-l-hrp-ab97051'>ab97051</a>) at 1/20000 dilution

Predicted band size: 68 kDa

Observed band size: 105 kDa

false

Exposure time: 5s

Western blot - Recombinant human PKC alpha protein (Active) (AB55672)
  • WB

Supplier Data

Western blot - Recombinant human PKC alpha protein (Active) (AB55672)

This data was developed using ab53295, the same antibody clone in a different buffer formulation.

Blocking and diluting buffer and concentration : 5% NFDM/TBST.

All lanes:

Western blot - Anti-PKC delta (phospho T507) antibody [EPR1485Y] (<a href='/products/primary-antibodies/pkc-delta-phospho-t507-antibody-epr1485y-ab53295'>ab53295</a>) at 1/1000 dilution

Lane 1:

Western blot - Recombinant human PKC alpha protein (Active) (ab55672)

Lane 2:

Western blot - Recombinant human PKC beta 1 protein (<a href='/products/proteins-peptides/recombinant-human-pkc-beta-1-protein-ab60840'>ab60840</a>)

Lane 3:

Western blot - Recombinant human PKC beta 2 protein (<a href='/products/proteins-peptides/recombinant-human-pkc-beta-2-protein-ab60841'>ab60841</a>)

Lane 4:

Western blot - Recombinant human PKC gamma protein (<a href='/products/proteins-peptides/recombinant-human-pkc-gamma-protein-ab60842'>ab60842</a>)

Lane 5:

Western blot - Recombinant human PKC delta protein (<a href='/products/proteins-peptides/recombinant-human-pkc-delta-protein-ab60844'>ab60844</a>)

Lane 6:

Western blot - Recombinant human PKC zeta protein (<a href='/products/proteins-peptides/recombinant-human-pkc-zeta-protein-ab60848'>ab60848</a>)

Lane 7:

Western blot - Recombinant human PKC eta protein (<a href='/products/proteins-peptides/recombinant-human-pkc-eta-protein-ab60849'>ab60849</a>)

Lane 8:

Western blot - Recombinant human PKC theta/PRKCQ protein (<a href='/products/proteins-peptides/recombinant-human-pkc-theta-prkcq-protein-ab56641'>ab56641</a>)

Lane 9:

Western blot - Recombinant human PKC iota protein (<a href='/products/proteins-peptides/recombinant-human-pkc-iota-protein-ab60850'>ab60850</a>)

Secondary

All lanes:

Western blot - Goat Anti-Rabbit IgG H&L (HRP) (<a href='/products/secondary-antibodies/goat-rabbit-igg-h-l-hrp-ab97051'>ab97051</a>) at 1/20000 dilution

Predicted band size: 78 kDa

Observed band size: 105 kDa

false

Exposure time: 180s

Western blot - Recombinant human PKC alpha protein (Active) (AB55672)
  • WB

Lab

Western blot - Recombinant human PKC alpha protein (Active) (AB55672)

Blocking and diluting buffer and concentration : 5% NFDM/TBST. ab235384 was used to detect GST tag.

All lanes:

Western blot - Anti-PKC beta 2 antibody [Y125] (<a href='/products/primary-antibodies/pkc-beta-2-antibody-y125-ab32026'>ab32026</a>) at 1/1000 dilution

Lane 1:

Western blot - Recombinant human PKC beta 2 protein (<a href='/products/proteins-peptides/recombinant-human-pkc-beta-2-protein-ab60841'>ab60841</a>) at 10 ng

Lane 2:

Western blot - Recombinant human PKC beta 1 protein (<a href='/products/proteins-peptides/recombinant-human-pkc-beta-1-protein-ab60840'>ab60840</a>) at 10 ng

Lane 3:

Western blot - Recombinant human PKC delta protein (<a href='/products/proteins-peptides/recombinant-human-pkc-delta-protein-ab60844'>ab60844</a>) at 10 ng

Lane 4:

Western blot - Recombinant human PKC eta protein (<a href='/products/proteins-peptides/recombinant-human-pkc-eta-protein-ab60849'>ab60849</a>) at 10 ng

Lane 5:

Western blot - Recombinant human PKC epsilon protein (<a href='/products/proteins-peptides/recombinant-human-pkc-epsilon-protein-ab60847'>ab60847</a>) at 10 ng

Lane 6:

Western blot - Recombinant human PKC theta/PRKCQ protein (<a href='/products/proteins-peptides/recombinant-human-pkc-theta-prkcq-protein-ab56641'>ab56641</a>) at 10 ng

Lane 7:

Western blot - Recombinant human PKC mu/PKD protein (<a href='/products/proteins-peptides/recombinant-human-pkc-mu-pkd-protein-ab60873'>ab60873</a>) at 10 ng

Lane 8:

Western blot - Recombinant human PKC alpha protein (Active) (ab55672) at 10 ng

Lane 9:

Western blot - Goat Anti-Rabbit IgG H&L (HRP) (<a href='/products/secondary-antibodies/goat-rabbit-igg-h-l-hrp-ab97051'>ab97051</a>) at 10 ng

Secondary

All lanes:

Western blot - Goat Anti-Rabbit IgG H&L (HRP) (<a href='/products/secondary-antibodies/goat-rabbit-igg-h-l-hrp-ab97051'>ab97051</a>) at 1/20000 dilution

Predicted band size: 77 kDa

Observed band size: 100 kDa

false

关键信息

纯度

>95% Densitometry

表达系统

Baculovirus infected Sf9 cells

标签

GST tag N-Terminus

应用

FuncS, WB, SDS-PAGE

applications

生物活性

Yes

生物学活性

Specific Activity: 3,200 nmol/min/mg.

访问

P17252

不含动物源

No

不含载体蛋白

No

种属

Human

存储溶液

pH: 7.5 Constituents: 25% Glycerol (glycerin, glycerine), 0.87% Sodium chloride, 0.79% Tris HCl, 0.31% Glutathione, 0.00385% (R*,R*)-1,4-Dimercaptobutan-2,3-diol, 0.00292% EDTA, 0.00174% PMSF

storage-buffer

反应性数据

{ "title": "Reactivity Data", "filters": { "stats": ["", "Reactivity", "Dilution Info", "Notes"] }, "values": { "SDS-PAGE": { "reactivity":"TESTED_AND_REACTS", "dilution-info":"", "notes":"<p></p>" }, "FuncS": { "reactivity":"TESTED_AND_REACTS", "dilution-info":"", "notes":"<p></p>" }, "WB": { "reactivity":"TESTED_AND_REACTS", "dilution-info":"", "notes":"<p>ab55672 can be used as a WB positive control in conjunction with <a href='/products/unavailable/pkc-alpha-antibody-ab66181'>ab66181</a>.</p>" } } }

产品详情

ab204856 (CREB peptide) can be utilized as a substrate for assessing kinase activity.

For optimal storage, aliquot target into smaller quantities after centrifugation and store at recommended temperature.

Avoid repeated handling.

序列信息

[{"sequence":null,"proteinLength":"Full Length","predictedMolecularWeight":"103 kDa","actualMolecularWeight":null,"aminoAcidEnd":0,"aminoAcidStart":0,"nature":"Recombinant","expressionSystem":"Baculovirus infected Sf9 cells","accessionNumber":"P17252","tags":[{"tag":"GST","terminus":"N-Terminus"}]}]

性能和储存信息

运输条件
Dry Ice
推荐的短期储存条件
-80°C
推荐的长期储存条件
-80°C
分装信息
Upon delivery aliquot
储存信息
Avoid freeze / thaw cycle
True

补充信息

This supplementary information is collated from multiple sources and compiled automatically.

PKC alpha known as Protein Kinase C alpha is a serine/threonine-specific protein kinase involved in various cellular processes. The molecular mass of PKC alpha is approximately 80 kDa. Alternately called PKCA or PRKC alpha it is expressed in many tissues with high expression in the brain heart and lungs. PKC alpha plays a role in signal transduction by phosphorylating serine and threonine residues on target proteins.
Biological function summary

PKC alpha regulates cellular functions including proliferation differentiation and apoptosis. It often acts as part of a larger protein complex modulating various biological responses by interacting with substrates and co-factors. Its activity is dependent on calcium ions and diacylglycerol emphasizing its role in calcium and lipid signaling pathways.

Pathways

PKC alpha plays a vital role in the MAPK/ERK pathway and the PI3K/AKT pathway which are critical for the cellular stress response and growth regulation. PKC alpha interacts with several proteins in these pathways including RAF1 and AKT1 facilitating signal transmission that influences cell fate decisions.

PKC alpha has been implicated in cancer and cardiac hypertrophy. In cancers aberrant PKC alpha signaling is linked to increased cell proliferation and survival. In cardiac hypertrophy it is associated with abnormal heart growth due to impaired signaling involving AKT1 and GSK3B. These connections highlight PKC alpha's influence in pathological as well as physiological conditions.

特殊说明

形式

Liquid

附加说明

Affinity purified.

常规信息

功能

Calcium-activated, phospholipid- and diacylglycerol (DAG)-dependent serine/threonine-protein kinase that is involved in positive and negative regulation of cell proliferation, apoptosis, differentiation, migration and adhesion, tumorigenesis, cardiac hypertrophy, angiogenesis, platelet function and inflammation, by directly phosphorylating targets such as RAF1, BCL2, CSPG4, TNNT2/CTNT, or activating signaling cascade involving MAPK1/3 (ERK1/2) and RAP1GAP. Involved in cell proliferation and cell growth arrest by positive and negative regulation of the cell cycle. Can promote cell growth by phosphorylating and activating RAF1, which mediates the activation of the MAPK/ERK signaling cascade, and/or by up-regulating CDKN1A, which facilitates active cyclin-dependent kinase (CDK) complex formation in glioma cells. In intestinal cells stimulated by the phorbol ester PMA, can trigger a cell cycle arrest program which is associated with the accumulation of the hyper-phosphorylated growth-suppressive form of RB1 and induction of the CDK inhibitors CDKN1A and CDKN1B. Exhibits anti-apoptotic function in glioma cells and protects them from apoptosis by suppressing the p53/TP53-mediated activation of IGFBP3, and in leukemia cells mediates anti-apoptotic action by phosphorylating BCL2. During macrophage differentiation induced by macrophage colony-stimulating factor (CSF1), is translocated to the nucleus and is associated with macrophage development. After wounding, translocates from focal contacts to lamellipodia and participates in the modulation of desmosomal adhesion. Plays a role in cell motility by phosphorylating CSPG4, which induces association of CSPG4 with extensive lamellipodia at the cell periphery and polarization of the cell accompanied by increases in cell motility. During chemokine-induced CD4(+) T cell migration, phosphorylates CDC42-guanine exchange factor DOCK8 resulting in its dissociation from LRCH1 and the activation of GTPase CDC42 (PubMed : 28028151). Is highly expressed in a number of cancer cells where it can act as a tumor promoter and is implicated in malignant phenotypes of several tumors such as gliomas and breast cancers. Negatively regulates myocardial contractility and positively regulates angiogenesis, platelet aggregation and thrombus formation in arteries. Mediates hypertrophic growth of neonatal cardiomyocytes, in part through a MAPK1/3 (ERK1/2)-dependent signaling pathway, and upon PMA treatment, is required to induce cardiomyocyte hypertrophy up to heart failure and death, by increasing protein synthesis, protein-DNA ratio and cell surface area. Regulates cardiomyocyte function by phosphorylating cardiac troponin T (TNNT2/CTNT), which induces significant reduction in actomyosin ATPase activity, myofilament calcium sensitivity and myocardial contractility. In angiogenesis, is required for full endothelial cell migration, adhesion to vitronectin (VTN), and vascular endothelial growth factor A (VEGFA)-dependent regulation of kinase activation and vascular tube formation. Involved in the stabilization of VEGFA mRNA at post-transcriptional level and mediates VEGFA-induced cell proliferation. In the regulation of calcium-induced platelet aggregation, mediates signals from the CD36/GP4 receptor for granule release, and activates the integrin heterodimer ITGA2B-ITGB3 through the RAP1GAP pathway for adhesion. During response to lipopolysaccharides (LPS), may regulate selective LPS-induced macrophage functions involved in host defense and inflammation. But in some inflammatory responses, may negatively regulate NF-kappa-B-induced genes, through IL1A-dependent induction of NF-kappa-B inhibitor alpha (NFKBIA/IKBA). Upon stimulation with 12-O-tetradecanoylphorbol-13-acetate (TPA), phosphorylates EIF4G1, which modulates EIF4G1 binding to MKNK1 and may be involved in the regulation of EIF4E phosphorylation. Phosphorylates KIT, leading to inhibition of KIT activity. Phosphorylates ATF2 which promotes cooperation between ATF2 and JUN, activating transcription. Phosphorylates SOCS2 at 'Ser-52' facilitating its ubiquitination and proteasomal degradation (By similarity). Phosphorylates KLHL3 in response to angiotensin II signaling, decreasing the interaction between KLHL3 and WNK4 (PubMed : 25313067). Phosphorylates and activates LRRK1, which phosphorylates RAB proteins involved in intracellular trafficking (PubMed : 36040231).

序列相似性

Belongs to the protein kinase superfamily. AGC Ser/Thr protein kinase family. PKC subfamily.

亚细胞定位

Mitochondrion membrane

产品实验方案

靶点信息

Calcium-activated, phospholipid- and diacylglycerol (DAG)-dependent serine/threonine-protein kinase that is involved in positive and negative regulation of cell proliferation, apoptosis, differentiation, migration and adhesion, tumorigenesis, cardiac hypertrophy, angiogenesis, platelet function and inflammation, by directly phosphorylating targets such as RAF1, BCL2, CSPG4, TNNT2/CTNT, or activating signaling cascade involving MAPK1/3 (ERK1/2) and RAP1GAP. Involved in cell proliferation and cell growth arrest by positive and negative regulation of the cell cycle. Can promote cell growth by phosphorylating and activating RAF1, which mediates the activation of the MAPK/ERK signaling cascade, and/or by up-regulating CDKN1A, which facilitates active cyclin-dependent kinase (CDK) complex formation in glioma cells. In intestinal cells stimulated by the phorbol ester PMA, can trigger a cell cycle arrest program which is associated with the accumulation of the hyper-phosphorylated growth-suppressive form of RB1 and induction of the CDK inhibitors CDKN1A and CDKN1B. Exhibits anti-apoptotic function in glioma cells and protects them from apoptosis by suppressing the p53/TP53-mediated activation of IGFBP3, and in leukemia cells mediates anti-apoptotic action by phosphorylating BCL2. During macrophage differentiation induced by macrophage colony-stimulating factor (CSF1), is translocated to the nucleus and is associated with macrophage development. After wounding, translocates from focal contacts to lamellipodia and participates in the modulation of desmosomal adhesion. Plays a role in cell motility by phosphorylating CSPG4, which induces association of CSPG4 with extensive lamellipodia at the cell periphery and polarization of the cell accompanied by increases in cell motility. During chemokine-induced CD4(+) T cell migration, phosphorylates CDC42-guanine exchange factor DOCK8 resulting in its dissociation from LRCH1 and the activation of GTPase CDC42 (PubMed : 28028151). Is highly expressed in a number of cancer cells where it can act as a tumor promoter and is implicated in malignant phenotypes of several tumors such as gliomas and breast cancers. Negatively regulates myocardial contractility and positively regulates angiogenesis, platelet aggregation and thrombus formation in arteries. Mediates hypertrophic growth of neonatal cardiomyocytes, in part through a MAPK1/3 (ERK1/2)-dependent signaling pathway, and upon PMA treatment, is required to induce cardiomyocyte hypertrophy up to heart failure and death, by increasing protein synthesis, protein-DNA ratio and cell surface area. Regulates cardiomyocyte function by phosphorylating cardiac troponin T (TNNT2/CTNT), which induces significant reduction in actomyosin ATPase activity, myofilament calcium sensitivity and myocardial contractility. In angiogenesis, is required for full endothelial cell migration, adhesion to vitronectin (VTN), and vascular endothelial growth factor A (VEGFA)-dependent regulation of kinase activation and vascular tube formation. Involved in the stabilization of VEGFA mRNA at post-transcriptional level and mediates VEGFA-induced cell proliferation. In the regulation of calcium-induced platelet aggregation, mediates signals from the CD36/GP4 receptor for granule release, and activates the integrin heterodimer ITGA2B-ITGB3 through the RAP1GAP pathway for adhesion. During response to lipopolysaccharides (LPS), may regulate selective LPS-induced macrophage functions involved in host defense and inflammation. But in some inflammatory responses, may negatively regulate NF-kappa-B-induced genes, through IL1A-dependent induction of NF-kappa-B inhibitor alpha (NFKBIA/IKBA). Upon stimulation with 12-O-tetradecanoylphorbol-13-acetate (TPA), phosphorylates EIF4G1, which modulates EIF4G1 binding to MKNK1 and may be involved in the regulation of EIF4E phosphorylation. Phosphorylates KIT, leading to inhibition of KIT activity. Phosphorylates ATF2 which promotes cooperation between ATF2 and JUN, activating transcription. Phosphorylates SOCS2 at 'Ser-52' facilitating its ubiquitination and proteasomal degradation (By similarity). Phosphorylates KLHL3 in response to angiotensin II signaling, decreasing the interaction between KLHL3 and WNK4 (PubMed : 25313067). Phosphorylates and activates LRRK1, which phosphorylates RAB proteins involved in intracellular trafficking (PubMed : 36040231).
See full target information PRKCA

文献 (6)

Recent publications for all applications. Explore the full list and refine your search

International journal of biological sciences 20:3956-3971 PubMed39113702

2024

PKCα Induced the Generation of Extracellular Vesicles in Activated Platelets to Promote Breast Cancer Metastasis.

Applications

Unspecified application

Species

Unspecified reactive species

Jinghua Zhao,Huan Tian,Xiaona Zhao,Lan Lan,Huanhuan Liu,Yi Sun,Fengyan Yu

Scientific reports 13:14844 PubMed37684289

2023

Valproate regulates inositol synthesis by reducing expression of myo-inositol-3-phosphate synthase.

Applications

Unspecified application

Species

Unspecified reactive species

Kendall C Case,Rachel J Beltman,Mary Kay H Pflum,Miriam L Greenberg

eLife 10: PubMed34821217

2021

Reversible phosphorylation of cyclin T1 promotes assembly and stability of P-TEFb.

Applications

Unspecified application

Species

Unspecified reactive species

Fang Huang,Trang Tt Nguyen,Ignacia Echeverria,Ramachandran Rakesh,Daniele C Cary,Hana Paculova,Andrej Sali,Arthur Weiss,Boris Matija Peterlin,Koh Fujinaga

Analytical biochemistry 608:113892 PubMed32810472

2020

Electrochemical detection of neuronal extracellular phosphorylation by PKA, PKC and Src.

Applications

Unspecified application

Species

Unspecified reactive species

S Ahmad,M N Hossain,S Ahmadi,K Kerman,H-B Kraatz

JCI insight 4: PubMed31578312

2019

KIAA0317 regulates pulmonary inflammation through SOCS2 degradation.

Applications

Unspecified application

Species

Unspecified reactive species

Travis B Lear,Alison C McKelvey,John W Evankovich,Shristi Rajbhandari,Tiffany A Coon,Sarah R Dunn,James D Londino,Bryan J McVerry,Yingze Zhang,Eleanor Valenzi,Christine L Burton,Rachael Gordon,Sebastien Gingras,Karina C Lockwood,Michael J Jurczak,Robert Lafyatis,Mark J Shlomchik,Yuan Liu,Bill B Chen

Analytical biochemistry 574:46-56 PubMed30914244

2019

Electrochemical studies of human nAChR a7 subunit phosphorylation by kinases PKA, PKC and Src.

Applications

Unspecified application

Species

Unspecified reactive species

Syed Ahmad,Zhe She,Heinz-Bernhard Kraatz
View all publications

Abcam Product Promise

我们致力于为您的研究提供高质量的试剂,为您科研的每一步提供支持。若我们的产品未能达到预期性能,我们向您提供 Abcam Product Promise 保障。
详情请参阅我们的条款与条件。

Please note: All products are 'FOR RESEARCH USE ONLY. NOT FOR USE IN DIAGNOSTIC OR THERAPEUTIC PROCEDURES'.

For licensing inquiries, please contact partnerships@abcam.com