JavaScript is disabled in your browser. Please enable JavaScript to view this website.
AB122194

Anti-ZZEF1抗体

Anti-ZZEF1 antibody

Be the first to review this product! Submit a review

|

(1 Publication)

Rabbit Polyclonal ZZEF1 antibody. Suitable for IHC-P, ICC and reacts with Human samples. Cited in 1 publication. Immunogen corresponding to Recombinant Fragment Protein within Human ZZEF1 aa 2450-2600.

查看别名

KIAA0399, ZZEF1, Zinc finger ZZ-type and EF-hand domain-containing protein 1

5 Images
Immunocytochemistry - Anti-ZZEF1 antibody (AB122194)
  • ICC

Unknown

Immunocytochemistry - Anti-ZZEF1 antibody (AB122194)

Immunofluorescent staining of Human cell line A-431 shows positivity in nucleus but not nucleoli and mitochondria. Cells treated with PFA/Triton X-100.

Immunohistochemistry (Formalin/PFA-fixed paraffin-embedded sections) - Anti-ZZEF1 antibody (AB122194)
  • IHC-P

Supplier Data

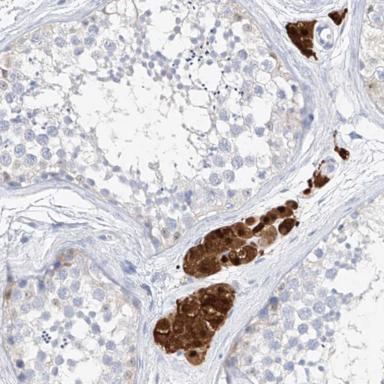
Immunohistochemistry (Formalin/PFA-fixed paraffin-embedded sections) - Anti-ZZEF1 antibody (AB122194)

Immunohistochemistry (Formalin/PFA-fixed paraffin-embedded sections) analysis of human testis tissue labelling ZZEF1 with ab122194 at 1/200 dilution. Heat mediated antigen retrieval performed with citrate buffer pH 6 before commencing with IHC staining protocol.

Immunohistochemistry (Formalin/PFA-fixed paraffin-embedded sections) - Anti-ZZEF1 antibody (AB122194)
  • IHC-P

Supplier Data

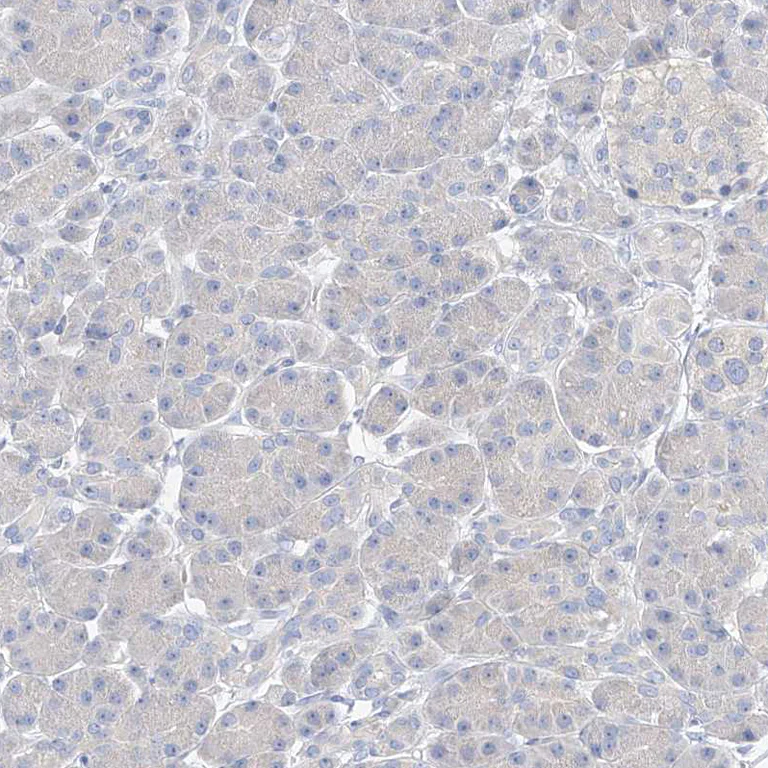
Immunohistochemistry (Formalin/PFA-fixed paraffin-embedded sections) - Anti-ZZEF1 antibody (AB122194)

Immunohistochemistry (Formalin/PFA-fixed paraffin-embedded sections) analysis of human pancreas tissue labelling ZZEF1 with ab122194 at 1/200 dilution. Heat mediated antigen retrieval performed with citrate buffer pH 6 before commencing with IHC staining protocol.

Immunohistochemistry (Formalin/PFA-fixed paraffin-embedded sections) - Anti-ZZEF1 antibody (AB122194)
  • IHC-P

Supplier Data

Immunohistochemistry (Formalin/PFA-fixed paraffin-embedded sections) - Anti-ZZEF1 antibody (AB122194)

Immunohistochemistry (Formalin/PFA-fixed paraffin-embedded sections) analysis of human small intestine tissue labelling ZZEF1 with ab122194 at 1/200 dilution. Heat mediated antigen retrieval performed with citrate buffer pH 6 before commencing with IHC staining protocol.

Immunohistochemistry (Formalin/PFA-fixed paraffin-embedded sections) - Anti-ZZEF1 antibody (AB122194)
  • IHC-P

Supplier Data

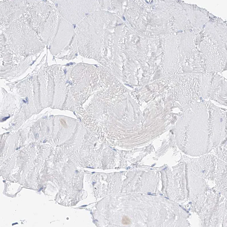
Immunohistochemistry (Formalin/PFA-fixed paraffin-embedded sections) - Anti-ZZEF1 antibody (AB122194)

Immunohistochemistry (Formalin/PFA-fixed paraffin-embedded sections) analysis of human skeletal muscle tissue labelling ZZEF1 with ab122194 at 1/200 dilution. Heat mediated antigen retrieval performed with citrate buffer pH 6 before commencing with IHC staining protocol.

关键信息

宿主种属

Rabbit

克隆

Polyclonal

亚型

IgG

不含载体蛋白

No

反应种属

Human

应用

IHC-P, ICC

applications

免疫原

Recombinant Fragment Protein within Human ZZEF1 aa 2450-2600. The exact immunogen used to generate this antibody is proprietary information.

O43149

反应性数据

{ "title": "Reactivity Data", "filters": { "stats": ["", "Species", "Dilution Info", "Notes"], "tabs": { "all-applications": {"fullname" : "All Applications", "shortname": "All Applications"}, "IHCP" : {"fullname" : "Immunohistochemistry (Formalin/PFA-fixed paraffin-embedded sections)", "shortname":"IHC-P"}, "ICC" : {"fullname" : "Immunocytochemistry", "shortname":"ICC"} }, "product-promise": { "all": "all", "testedAndGuaranteed": "tested", "guaranteed": "expected", "predicted": "predicted", "notRecommended": "not-recommended" } }, "values": { "Human": { "IHCP-species-checked": "testedAndGuaranteed", "IHCP-species-dilution-info": "1/200 - 1/500", "IHCP-species-notes": "<p></p> Perform heat-mediated antigen retrieval with citrate buffer pH 6 before commencing with IHC staining protocol.", "ICC-species-checked": "testedAndGuaranteed", "ICC-species-dilution-info": "", "ICC-species-notes": "<p></p>" } } }

性能和储存信息

形式
Liquid
纯化工艺
Affinity purification Immunogen
存储溶液
pH: 7.2 Preservative: 0.02% Sodium azide Constituents: PBS, 40% Glycerol (glycerin, glycerine)
运输条件
Blue Ice
推荐的短期储存条件
+4°C
推荐的长期储存条件
-20°C
分装信息
Upon delivery aliquot
储存信息
Avoid freeze / thaw cycle

补充信息

This supplementary information is collated from multiple sources and compiled automatically.

ZZEF1 also known as Zinc Finger ZZ-Type with EF-Hand Domain 1 is a protein with a mass of approximately 330 kDa. This protein functions in the cell nucleus and cytoplasm and acts as a transcription factor by binding to DNA and regulating gene expression. It bears zinc finger domains and EF-hand motifs which suggest a role in DNA binding and calcium ion interaction respectively. It's expressed in various tissues including the brain liver and heart highlighting its diverse functional roles in different physiological contexts.
Biological function summary

ZZEF1 influences cell growth and differentiation by participating in transcription regulation. It integrates into multi-protein complexes that modify chromatin structure facilitating changes in gene expression. The protein plays an important part in the transcriptional control of genes responsible for cell cycle progression and apoptosis. This highlights its potential role in balancing cell proliferation and death which is fundamental in development and homeostasis.

Pathways

ZZEF1 is active in the Wnt signaling and Notch signaling pathways both essential for cell fate decisions and tissue development. Within these pathways it can interact with other transcription factors to modulate target gene expression. ZZEF1 has connections to key proteins such as β-catenin in the Wnt pathway and RBPJ in the Notch pathway indicating a collaborative role in gene expression regulation during developmental processes.

ZZEF1 impacts cancer and neurodegenerative diseases through its involvement in transcription and cell cycle regulation. Its altered expression or mutations can drive abnormal cell proliferation linking it to oncogenesis. In certain cancers it interacts with p53 a tumor suppressor protein potentially affecting cell cycle checkpoints. Additionally its dysregulation might contribute to neurodegenerative conditions where cell growth and apoptosis are disturbed suggesting a complex role in maintaining neural tissue integrity.

产品实验方案

For this product, it's our understanding that no specific protocols are required. You can visit:

靶点信息

Histone H3 reader which may act as a transcriptional coactivator for KLF6 and KLF9 transcription factors.
See full target information ZZEF1

文献 (1)

Recent publications for all applications. Explore the full list and refine your search

Journal of translational medicine 23:902 PubMed40804742

2025

Cancer cell SPOCD1 promotes colorectal cancer liver metastasis by activating the CXCL12/CXCR4 signaling pathway in cancer-associated fibroblasts.

Applications

Unspecified application

Species

Unspecified reactive species

Geng Peng,Lin Zhong,Lina Luo,Yongle Ju,Yan Lu,Lui Ng,Dominic Chi-Chung Foo,Fu Cheng,Luji Huang,Manzhao Ouyang
View all publications

Abcam Product Promise

我们致力于为您的研究提供高质量的试剂,为您科研的每一步提供支持。若我们的产品未能达到预期性能,我们向您提供 Abcam Product Promise 保障。
详情请参阅我们的条款与条件。

Please note: All products are 'FOR RESEARCH USE ONLY. NOT FOR USE IN DIAGNOSTIC OR THERAPEUTIC PROCEDURES'.

For licensing inquiries, please contact partnerships@abcam.com