JavaScript is disabled in your browser. Please enable JavaScript to view this website.
AB273052

重组Anti-ZWINT抗体[EPR23440-96] - BSA and Azide free

Anti-ZWINT antibody [EPR23440-96] - BSA and Azide free

Be the first to review this product! Submit a review

|

(0 Publication)

Rabbit Recombinant Monoclonal ZWINT antibody. Carrier free. Suitable for WB, Flow Cyt (Intra), IHC-P and reacts with Human samples.

查看别名

Outer kinetochore KNL1 complex subunit ZWINT, ZW10 interactor, ZW10-interacting protein 1, Zwint-1, ZWINT

4 Images
Flow Cytometry (Intracellular) - Anti-ZWINT antibody [EPR23440-96] - BSA and Azide free (AB273052)
  • Flow Cyt (Intra)

Unknown

Flow Cytometry (Intracellular) - Anti-ZWINT antibody [EPR23440-96] - BSA and Azide free (AB273052)

Intracellular flow cytometric analysis of 4% paraformaldehyde-fixed, 90% methanol-permeabilized HeLa (Human cervix adenocarcinoma epithelial cell) cells labeling ZWINT with ab252950 at 1/500 dilution (0.1μg) (Red) compared with a Rabbit monoclonal IgG (ab172730) (Black) isotype control and an unlabeled control (cells without incubation with primary antibody and secondary antibody) (Blue). A Goat anti rabbit IgG (Alexa Fluor® 488, ab150077) at 1/2000 dilution was used as the secondary antibody.

This data was developed using the same antibody clone in a different buffer formulation containing PBS, BSA, glycerol, and sodium azide (ab252950).

Immunohistochemistry (Formalin/PFA-fixed paraffin-embedded sections) - Anti-ZWINT antibody [EPR23440-96] - BSA and Azide free (AB273052)
  • IHC-P

Unknown

Immunohistochemistry (Formalin/PFA-fixed paraffin-embedded sections) - Anti-ZWINT antibody [EPR23440-96] - BSA and Azide free (AB273052)

Immunohistochemical analysis of paraffin-embedded human testis tissue labeling ZWINT with ab252950 at 1/250 dilution (1.784 μg/ml) dilution followed by ready to use Rabbit specific IHC polymer detection kit HRP/DAB (ab209101). Positive staining in human testis tissue is observed (PMID : 22023800). The section was incubated with ab252950 for 10 mins at room temperature. The immunostaining was performed on a Leica Biosystems BOND® RX instrument. Counterstained with Hematoxylin.

Secondary antibody only control : Secondary antibody is ready to use Rabbit specific IHC polymer detection kit HRP/DAB (ab209101).

Heat mediated antigen retrieval with Tris-EDTA buffer (pH 9.0, epitope retrieval solution2) for 20 mins.

This data was developed using the same antibody clone in a different buffer formulation containing PBS, BSA, glycerol, and sodium azide (ab252950).

Flow Cytometry (Intracellular) - Anti-ZWINT antibody [EPR23440-96] - BSA and Azide free (AB273052)
  • Flow Cyt (Intra)

Unknown

Flow Cytometry (Intracellular) - Anti-ZWINT antibody [EPR23440-96] - BSA and Azide free (AB273052)

Intracellular flow cytometric analysis of 4% paraformaldehyde-fixed, 90% methanol-permeabilized MOLT-4 (Human lymphoblastic leukemia T lymphoblast) cells labeling ZWINT with ab252950 at 1/500 dilution (0.1μg) (Red) compared with a Rabbit monoclonal IgG (ab172730) (Black) isotype control and an unlabeled control (cells without incubation with primary antibody and secondary antibody) (Blue). A Goat anti rabbit IgG (Alexa Fluor® 488, ab150077) at 1/2000 dilution was used as the secondary antibody.

This data was developed using the same antibody clone in a different buffer formulation containing PBS, BSA, glycerol, and sodium azide (ab252950).

Immunohistochemistry (Formalin/PFA-fixed paraffin-embedded sections) - Anti-ZWINT antibody [EPR23440-96] - BSA and Azide free (AB273052)
  • IHC-P

Unknown

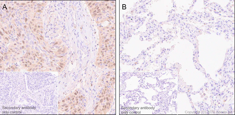
Immunohistochemistry (Formalin/PFA-fixed paraffin-embedded sections) - Anti-ZWINT antibody [EPR23440-96] - BSA and Azide free (AB273052)

Immunohistochemical analysis of paraffin-embedded human lung cancer (Panel A) and its adjacent noncancerous tissue (Panel B) tissue labeling ZWINT with ab252950 at 1/250 dilution (1.784 ug/ml) dilution followed by ready to use Rabbit specific IHC polymer detection kit HRP/DAB (ab209101). Positive staining in human lung cancer tissue is observed (Panel A) while neagtive staining is observed in its adjacent non-cancerous tissue (Panel B) (PMID : 29615843). The section was incubated with ab252950 for 10 mins at room temperature. The immunostaining was performed on a Leica Biosystems BOND® RX instrument. Counterstained with Hematoxylin.

Secondary antibody only control : Secondary antibody is ready to use Rabbit specific IHC polymer detection kit HRP/DAB (ab209101).

Heat mediated antigen retrieval with Tris-EDTA buffer (pH 9.0, epitope retrieval solution2) for 20 mins.

This data was developed using the same antibody clone in a different buffer formulation containing PBS, BSA, glycerol, and sodium azide (ab252950).

不同偶联物与剂型 (1)

关键信息

宿主种属

Rabbit

克隆

Monoclonal

克隆号

EPR23440-96

亚型

IgG

不含载体蛋白

Yes

反应种属

Human

应用

IHC-P, Flow Cyt (Intra), WB

applications

免疫原

The exact immunogen used to generate this antibody is proprietary information.

反应性数据

{ "title": "Reactivity Data", "filters": { "stats": ["", "Species", "Dilution Info", "Notes"], "tabs": { "all-applications": {"fullname" : "All Applications", "shortname": "All Applications"}, "IP" : {"fullname" : "Immunoprecipitation", "shortname":"IP"}, "WB" : {"fullname" : "Western blot", "shortname":"WB"}, "ICCIF" : {"fullname" : "Immunocytochemistry/ Immunofluorescence", "shortname":"ICC/IF"}, "FlowCytIntra" : {"fullname" : "Flow Cytometry (Intracellular)", "shortname":"Flow Cyt (Intra)"}, "IHCP" : {"fullname" : "Immunohistochemistry (Formalin/PFA-fixed paraffin-embedded sections)", "shortname":"IHC-P"} }, "product-promise": { "all": "all", "testedAndGuaranteed": "tested", "guaranteed": "expected", "predicted": "predicted", "notRecommended": "not-recommended" } }, "values": { "Human": { "IP-species-checked": "notRecommended", "IP-species-dilution-info": "", "IP-species-notes": "<p></p>", "WB-species-checked": "guaranteed", "WB-species-dilution-info": "", "WB-species-notes": "<p></p>", "ICCIF-species-checked": "notRecommended", "ICCIF-species-dilution-info": "", "ICCIF-species-notes": "<p></p>", "FlowCytIntra-species-checked": "testedAndGuaranteed", "FlowCytIntra-species-dilution-info": "", "FlowCytIntra-species-notes": "<p></p>", "IHCP-species-checked": "testedAndGuaranteed", "IHCP-species-dilution-info": "", "IHCP-species-notes": "<p></p>" }, "Mouse": { "IP-species-checked": "notRecommended", "IP-species-dilution-info": "", "IP-species-notes": "", "WB-species-checked": "notRecommended", "WB-species-dilution-info": "", "WB-species-notes": "<p></p>", "ICCIF-species-checked": "notRecommended", "ICCIF-species-dilution-info": "", "ICCIF-species-notes": "", "FlowCytIntra-species-checked": "notRecommended", "FlowCytIntra-species-dilution-info": "", "FlowCytIntra-species-notes": "", "IHCP-species-checked": "notRecommended", "IHCP-species-dilution-info": "", "IHCP-species-notes": "" }, "Rat": { "IP-species-checked": "notRecommended", "IP-species-dilution-info": "", "IP-species-notes": "", "WB-species-checked": "notRecommended", "WB-species-dilution-info": "", "WB-species-notes": "<p></p>", "ICCIF-species-checked": "notRecommended", "ICCIF-species-dilution-info": "", "ICCIF-species-notes": "", "FlowCytIntra-species-checked": "notRecommended", "FlowCytIntra-species-dilution-info": "", "FlowCytIntra-species-notes": "", "IHCP-species-checked": "notRecommended", "IHCP-species-dilution-info": "", "IHCP-species-notes": "" } } }

产品详情

ab273052 is the carrier-free version of ab252950.

Patented technology
Our RabMAb® technology is a patented hybridoma-based technology for making rabbit monoclonal antibodies. For details on our patents, please refer to RabMAb® patents.

What are the advantages of a recombinant monoclonal antibody?
This product is a recombinant monoclonal antibody, which offers several advantages including:

  • - High batch-to-batch consistency and reproducibility
  • - Improved sensitivity and specificity
  • - Long-term security of supply
  • - Animal-free batch production

For more information, read more on recombinant antibodies.

Conjugation ready
Our carrier-free antibodies are typically supplied in a PBS-only formulation, purified and free of BSA, sodium azide and glycerol. This conjugation-ready format is designed for use with fluorochromes, metal isotopes, oligonucleotides, and enzymes, which makes them ideal for antibody labelling, functional and cell-based assays, flow-based assays (e.g. mass cytometry) and Multiplex Imaging applications.

Use our conjugation kits for antibody conjugates that are ready-to-use in as little as 20 minutes with 1 minute hands-on-time and 100% antibody recovery: available for fluorescent dyes, HRP, biotin and gold.

Compatibility
This product is compatible with the Maxpar® Antibody Labeling Kit from Fluidigm, without the need for antibody preparation. Maxpar® is a trademark of Fluidigm Canada Inc.

性能和储存信息

形式
Liquid
纯化工艺
Affinity purification Protein A
存储溶液
pH: 7.2 - 7.4 Constituents: PBS
运输条件
Blue Ice
推荐的短期储存条件
+4°C
推荐的长期储存条件
+4°C
储存信息
Do Not Freeze

补充信息

This supplementary information is collated from multiple sources and compiled automatically.

ZWINT also known as ZW10 interactor is a protein that plays an important role in the attachment of kinetochores to the spindle microtubules during mitosis. It has a molecular weight of approximately 35 kDa. This protein is broadly expressed in various tissues with especially high presence in dividing cells reflecting its importance in cell division processes.
Biological function summary

ZWINT functions as a part of the kinetochore complex which is essential for chromosome segregation during mitotic cell division. It interacts with other kinetochore proteins to facilitate the correct attachment of chromosomes to the spindle apparatus. This interaction ensures that chromosomes are accurately distributed to daughter cells maintaining genomic stability.

Pathways

The ZWINT protein is integral in the mitotic spindle checkpoint pathway also known as the spindle assembly checkpoint. It works closely with proteins such as ZW10 and Rod to monitor and regulate the attachment of spindle microtubules to the kinetochores preventing aneuploidy during cell division. This pathway ensures that mitosis does not proceed until all chromosomes are properly aligned and attached contributing to the fidelity of cell division.

Mutations or dysregulation in ZWINT have been linked to certain cancers due to its influence on chromosome segregation. Disruptions in ZWINT function might also contribute to chromosomal instability which can lead to tumorigenesis. In cancerous contexts proteins such as Mad2 and BubR1 which are part of the spindle assembly checkpoint pathway also show altered interactions highlighting a complex network of regulatory proteins involved in maintaining cellular homeostasis.

产品实验方案

For this product, it's our understanding that no specific protocols are required. You can visit:

靶点信息

Acts as a component of the outer kinetochore KNL1 complex that serves as a docking point for spindle assembly checkpoint components and mediates microtubule-kinetochore interactions (PubMed : 15094189, PubMed : 15485811, PubMed : 15824131, PubMed : 16732327, PubMed : 24530301, PubMed : 27881301, PubMed : 38459127, PubMed : 38459128). Kinetochores, consisting of a centromere-associated inner segment and a microtubule-contacting outer segment, play a crucial role in chromosome segregation by mediating the physical connection between centromeric DNA and spindle microtubules (PubMed : 15094189, PubMed : 15485811, PubMed : 16732327). The outer kinetochore is made up of the ten-subunit KMN network, comprising the MIS12, NDC80 and KNL1 complexes, and auxiliary microtubule-associated components; together they connect the outer kinetochore with the inner kinetochore, bind microtubules, and mediate interactions with mitotic checkpoint proteins that delay anaphase until chromosomes are bioriented on the spindle (PubMed : 15094189, PubMed : 15485811, PubMed : 15824131, PubMed : 16732327, PubMed : 24530301, PubMed : 38459127, PubMed : 38459128). Targets the RZZ complex to the kinetochore at prometaphase (PubMed : 15485811). Recruits MAD2L1 to the kinetochore, but is not required for BUB1B localization (By similarity). In addition to orienting mitotic chromosomes, it is also essential for alignment of homologous chromosomes during meiotic metaphase I (By similarity). In meiosis I, required to activate the spindle assembly checkpoint at unattached kinetochores to correct erroneous kinetochore-microtubule attachments (PubMed : 15485811).
See full target information ZWINT

Abcam Product Promise

我们致力于为您的研究提供高质量的试剂,为您科研的每一步提供支持。若我们的产品未能达到预期性能,我们向您提供 Abcam Product Promise 保障。
详情请参阅我们的条款与条件。

Please note: All products are 'FOR RESEARCH USE ONLY. NOT FOR USE IN DIAGNOSTIC OR THERAPEUTIC PROCEDURES'.

For licensing inquiries, please contact partnerships@abcam.com