JavaScript is disabled in your browser. Please enable JavaScript to view this website.
AB254715

Anti-ZNF503抗体

Anti-ZNF503 antibody

Be the first to review this product! Submit a review

|

(2 Publications)

Rabbit Polyclonal ZNF503 antibody. Suitable for IHC-P, WB, ICC/IF and reacts with Human samples. Cited in 2 publications. Immunogen corresponding to Recombinant Fragment Protein within Human ZNF503 aa 100-300.

查看别名

NOLZ1, ZNF503, Zinc finger protein 503

6 Images
Immunohistochemistry (Formalin/PFA-fixed paraffin-embedded sections) - Anti-ZNF503 antibody (AB254715)
  • IHC-P

Unknown

Immunohistochemistry (Formalin/PFA-fixed paraffin-embedded sections) - Anti-ZNF503 antibody (AB254715)

Paraffin-embedded human endometrium tissue stained for ZNF503 using ab254715 at 1/200 dilution in immunohistochemical analysis.

Immunohistochemistry (Formalin/PFA-fixed paraffin-embedded sections) - Anti-ZNF503 antibody (AB254715)
  • IHC-P

Unknown

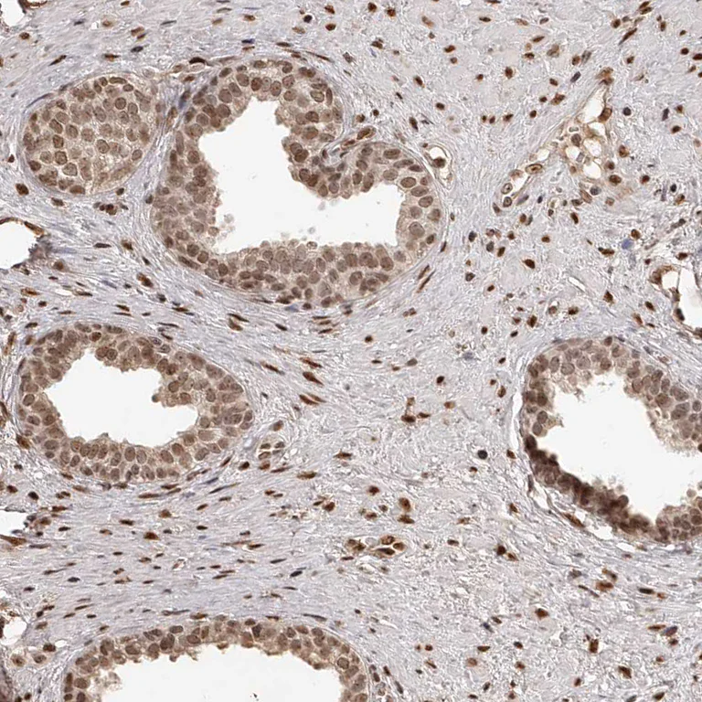
Immunohistochemistry (Formalin/PFA-fixed paraffin-embedded sections) - Anti-ZNF503 antibody (AB254715)

Paraffin-embedded human prostate tissue stained for ZNF503 using ab254715 at 1/200 dilution in immunohistochemical analysis.

Immunohistochemistry (Formalin/PFA-fixed paraffin-embedded sections) - Anti-ZNF503 antibody (AB254715)
  • IHC-P

Unknown

Immunohistochemistry (Formalin/PFA-fixed paraffin-embedded sections) - Anti-ZNF503 antibody (AB254715)

Paraffin-embedded human tonsil tissue stained for ZNF503 using ab254715 at 1/200 dilution in immunohistochemical analysis. Low positivity in lymphoid cells.

Immunocytochemistry/ Immunofluorescence - Anti-ZNF503 antibody (AB254715)
  • ICC/IF

Unknown

Immunocytochemistry/ Immunofluorescence - Anti-ZNF503 antibody (AB254715)

PFA fixed, Triton X-100 permeabilized U-2 OS (Human bone osteosarcoma epithelial cell line) cells labeling ZNF503 using ab254715 at 4µg/ml (green) in ICC/IF.

Immunohistochemistry (Formalin/PFA-fixed paraffin-embedded sections) - Anti-ZNF503 antibody (AB254715)
  • IHC-P

Unknown

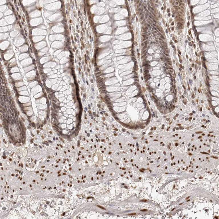
Immunohistochemistry (Formalin/PFA-fixed paraffin-embedded sections) - Anti-ZNF503 antibody (AB254715)

Paraffin-embedded human rectum tissue stained for ZNF503 using ab254715 at 1/200 dilution in immunohistochemical analysis.

Western blot - Anti-ZNF503 antibody (AB254715)
  • WB

Supplier Data

Western blot - Anti-ZNF503 antibody (AB254715)

All lanes:

Western blot - Anti-ZNF503 antibody (ab254715) at 0.4 µg/mL

Lane 1:

PC-3 cell lysate

Lane 2:

MCF7 cell lysate

Predicted band size: 63 kDa

false

关键信息

宿主种属

Rabbit

克隆

Polyclonal

亚型

IgG

不含载体蛋白

No

反应种属

Human

应用

WB, ICC/IF, IHC-P

applications

免疫原

Recombinant Fragment Protein within Human ZNF503 aa 100-300. The exact immunogen used to generate this antibody is proprietary information.

Q96F45

反应性数据

{ "title": "Reactivity Data", "filters": { "stats": ["", "Species", "Dilution Info", "Notes"], "tabs": { "all-applications": {"fullname" : "All Applications", "shortname": "All Applications"}, "IHCP" : {"fullname" : "Immunohistochemistry (Formalin/PFA-fixed paraffin-embedded sections)", "shortname":"IHC-P"}, "WB" : {"fullname" : "Western blot", "shortname":"WB"}, "ICCIF" : {"fullname" : "Immunocytochemistry/ Immunofluorescence", "shortname":"ICC/IF"} }, "product-promise": { "all": "all", "testedAndGuaranteed": "tested", "guaranteed": "expected", "predicted": "predicted", "notRecommended": "not-recommended" } }, "values": { "Human": { "IHCP-species-checked": "testedAndGuaranteed", "IHCP-species-dilution-info": "1/200 - 1/500", "IHCP-species-notes": "<p></p> Perform heat-mediated antigen retrieval with citrate buffer pH 6 before commencing with IHC staining protocol.", "WB-species-checked": "testedAndGuaranteed", "WB-species-dilution-info": "0.04-0.4 µg/mL", "WB-species-notes": "<p></p>", "ICCIF-species-checked": "testedAndGuaranteed", "ICCIF-species-dilution-info": "0.25-2 µg/mL", "ICCIF-species-notes": "<p>Fixation/Permeabilization: PFA/Triton X-100.</p>" }, "Mouse": { "IHCP-species-checked": "predicted", "IHCP-species-dilution-info": "", "IHCP-species-notes": "", "WB-species-checked": "predicted", "WB-species-dilution-info": "", "WB-species-notes": "", "ICCIF-species-checked": "predicted", "ICCIF-species-dilution-info": "", "ICCIF-species-notes": "" } } }

性能和储存信息

形式
Liquid
纯化工艺
Affinity purification Immunogen
存储溶液
pH: 7.2 Preservative: 0.02% Sodium azide Constituents: PBS, 40% Glycerol (glycerin, glycerine)
运输条件
Blue Ice
推荐的短期储存时间
1-2 weeks
推荐的短期储存条件
+4°C
推荐的长期储存条件
-20°C
分装信息
Upon delivery aliquot
储存信息
Avoid freeze / thaw cycle

补充信息

This supplementary information is collated from multiple sources and compiled automatically.

ZNF503 also known as Zfp503 or Zeppo1 is a zinc finger protein with a molecular weight of approximately 55 kDa. ZNF503 consists of zinc finger domains which contribute to its function as a transcription factor. This protein is expressed in several tissues including the brain heart and lungs. ZNF503 interacts with DNA to either activate or repress transcription of specific genes controlling various cellular processes.
Biological function summary

ZNF503 plays an important role in the regulation of development and differentiation processes. It often functions as part of a transcriptional regulatory complex. This protein modulates the transcriptional activity affecting gene expression profiles according to the cellular context. It is essential in early embryonic development and neuronal differentiation contributing to the proper formation and function of these tissues.

Pathways

ZNF503 is a significant modulator of the Wnt signaling pathway which influences cell growth differentiation and migration. In the context of Wnt signaling ZNF503 interacts with other key proteins such as β-catenin facilitating Wnt pathway regulation. ZNF503 also associates with the Notch signaling pathway where it impacts cellular communication and fate decisions by interacting with components like Notch receptors and ligands.

ZNF503 has been implicated in cancer and neurodevelopmental disorders. Aberrant expression of ZNF503 is linked to tumorigenesis particularly in breast cancer where it interacts with proteins like HER2 to promote cancerous growth. In developmental disorders such as intellectual disabilities ZNF503 may influence neural development through its interactions with proteins involved in synaptic formation and maintenance leading to cognitive impairments when dysregulated.

产品实验方案

For this product, it's our understanding that no specific protocols are required. You can visit:

靶点信息

May function as a transcriptional repressor.
See full target information ZNF503

文献 (2)

Recent publications for all applications. Explore the full list and refine your search

Bioengineered 13:5103-5112 PubMed35164665

2022

RAB27B inhibits proliferation and promotes apoptosis of leukemic cells via 3-Hydroxy butyrate dehydrogenase 2 (BDH2).

Applications

Unspecified application

Species

Unspecified reactive species

Can Meng,Li Huang,Xiangjun Fu,Bin Wu,Lie Lin

OncoTargets and therapy 13:6361-6371 PubMed32669856

2020

LncRNA TTN-AS1 Promotes Progression of Non-Small Cell Lung Cancer via Regulating miR-491-5p/ZNF503 Axis.

Applications

Unspecified application

Species

Unspecified reactive species

Guanbin Qi,Lei Li
View all publications

Abcam Product Promise

我们致力于为您的研究提供高质量的试剂,为您科研的每一步提供支持。若我们的产品未能达到预期性能,我们向您提供 Abcam Product Promise 保障。
详情请参阅我们的条款与条件。

Please note: All products are 'FOR RESEARCH USE ONLY. NOT FOR USE IN DIAGNOSTIC OR THERAPEUTIC PROCEDURES'.

For licensing inquiries, please contact partnerships@abcam.com