JavaScript is disabled in your browser. Please enable JavaScript to view this website.
AB200376

Anti-Zinc finger MIZ domain-containing蛋白1抗体- N-terminal

Anti-Zinc finger MIZ domain-containing protein 1 antibody - N-terminal

Be the first to review this product! Submit a review

|

(1 Publication)

Rabbit Polyclonal Zinc finger MIZ domain-containing protein 1 antibody. N-terminal. Suitable for IHC-P, WB and reacts with Human samples. Cited in 1 publication. Immunogen corresponding to Synthetic Peptide within Human ZMIZ1.

查看别名

KIAA1224, RAI17, ZIMP10, ZMIZ1, Zinc finger MIZ domain-containing protein 1, PIAS-like protein Zimp10, Retinoic acid-induced protein 17

2 Images
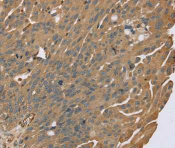
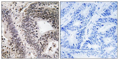
Immunohistochemistry (Formalin/PFA-fixed paraffin-embedded sections) - Anti-Zinc finger MIZ domain-containing protein 1 antibody - N-terminal (AB200376)
  • IHC-P

Supplier Data

Immunohistochemistry (Formalin/PFA-fixed paraffin-embedded sections) - Anti-Zinc finger MIZ domain-containing protein 1 antibody - N-terminal (AB200376)

Immunohistochemical analysis of paraffin-embedded Human breast cancer tissue labeling Zinc finger MIZ domain-containing protein 1 with ab200376 at 1/40 dilution.

Western blot - Anti-Zinc finger MIZ domain-containing protein 1 antibody - N-terminal (AB200376)
  • WB

Supplier Data

Western blot - Anti-Zinc finger MIZ domain-containing protein 1 antibody - N-terminal (AB200376)

6% SDS-PAGE

All lanes:

Western blot - Anti-Zinc finger MIZ domain-containing protein 1 antibody - N-terminal (ab200376) at 1/200 dilution

All lanes:

Skov3 cell lysate at 40 µg

Predicted band size: 115 kDa

false

Exposure time: 2min

关键信息

宿主种属

Rabbit

克隆

Polyclonal

亚型

IgG

不含载体蛋白

No

反应种属

Human

应用

WB, IHC-P

applications

免疫原

Synthetic Peptide within Human ZMIZ1. The exact immunogen used to generate this antibody is proprietary information.

Q9ULJ6

反应性数据

{ "title": "Reactivity Data", "filters": { "stats": ["", "Species", "Dilution Info", "Notes"], "tabs": { "all-applications": {"fullname" : "All Applications", "shortname": "All Applications"}, "IHCP" : {"fullname" : "Immunohistochemistry (Formalin/PFA-fixed paraffin-embedded sections)", "shortname":"IHC-P"}, "WB" : {"fullname" : "Western blot", "shortname":"WB"} }, "product-promise": { "all": "all", "testedAndGuaranteed": "tested", "guaranteed": "expected", "predicted": "predicted", "notRecommended": "not-recommended" } }, "values": { "Human": { "IHCP-species-checked": "testedAndGuaranteed", "IHCP-species-dilution-info": "1/25 - 1/100", "IHCP-species-notes": "<p></p> Perform heat-mediated antigen retrieval before commencing with IHC staining protocol.", "WB-species-checked": "testedAndGuaranteed", "WB-species-dilution-info": "1/200 - 1/1000", "WB-species-notes": "<p></p>" } } }

性能和储存信息

形式
Liquid
纯化工艺
Affinity purification Immunogen
存储溶液
pH: 7.4 Preservative: 0.05% Sodium azide Constituents: PBS, 50% Glycerol (glycerin, glycerine)
运输条件
Blue Ice
推荐的短期储存时间
1-2 weeks
推荐的短期储存条件
+4°C
推荐的长期储存条件
-20°C
分装信息
Upon delivery aliquot
储存信息
Avoid freeze / thaw cycle

补充信息

This supplementary information is collated from multiple sources and compiled automatically.

Zinc finger MIZ domain-containing protein 1 also known as ZMIZ1 acts mechanically as a transcriptional co-activator. It has a molecular weight of approximately 135 kDa. ZMIZ1 contains a zinc finger domain which is a typical feature for proteins that interact with DNA. This protein is expressed in a variety of tissues including the brain and immune system suggesting diverse roles in cellular processes. The zinc finger MIZ domain facilitates interaction with other proteins and allows it attachment to DNA enabling regulation of transcriptional activity.
Biological function summary

ZMIZ1 influences gene expression by binding with other transcription factors including androgen receptor and Smad proteins to regulate DNA transcription. It is part of protein complexes that modulate various signaling pathways impacting cellular growth and differentiation. The involvement in such complexes reveals its role in fine-tuning transcription processes required for normal cellular functions. The co-activation function of ZMIZ1 can influence the expression of genes that are important for both embryonic and hematopoietic development.

Pathways

ZMIZ1 integrates within the TGF-beta signaling and androgen receptor pathways. In the TGF-beta pathway ZMIZ1 works alongside Smad proteins to enhance the transcriptional responses helping control cell proliferation and apoptosis. In the androgen receptor pathway it aids androgen receptor to activate target gene transcription. These interactions position ZMIZ1 as a central player in regulating processes controlled by those pathways potentially influencing cellular development and oncogenesis.

ZMIZ1 associates with cancer and autoimmune diseases. Research shows its overexpression in certain cancers such as prostate cancer where it might amplify androgen receptor signaling contributing to cancer progression. The protein's connection to autoimmune disorders involves interactions with other immune-related proteins which when dysregulated can lead to improper immune responses. Understanding ZMIZ1 signaling better might offer insights into therapeutic strategies for these conditions.

产品实验方案

For this product, it's our understanding that no specific protocols are required. You can visit:

靶点信息

Acts as a transcriptional coactivator. Increases ligand-dependent transcriptional activity of AR and promotes AR sumoylation. The stimulation of AR activity is dependent upon sumoylation (PubMed : 14609956, PubMed : 26522984). Also functions as a transcriptional coactivator in the TGF-beta signaling pathway by increasing the activity of the SMAD3/SMAD4 transcriptional complex (PubMed : 16777850). Involved in transcriptional activation of a subset of NOTCH1 target genes including MYC. Involved in thymocyte and T cell development (By similarity). Involved in the regulation of postmitotic positioning of pyramidal neurons in the developing cerebral cortex (PubMed : 30639322).
See full target information ZMIZ1

文献 (1)

Recent publications for all applications. Explore the full list and refine your search

Nephrology (Carlton, Vic.) 29:825-837 PubMed39401868

2024

POU2F2 activates the Akt/mTOR signalling pathway and enhances B lymphocyte function during diabetic kidney disease by promoting PIK3CD transcription.

Applications

Unspecified application

Species

Unspecified reactive species

Xiaoxia Li,Shukun Cao,Xiaolin Zi,Haiqiao Yu,Chunmei Mao
View all publications

Abcam Product Promise

我们致力于为您的研究提供高质量的试剂,为您科研的每一步提供支持。若我们的产品未能达到预期性能,我们向您提供 Abcam Product Promise 保障。
详情请参阅我们的条款与条件。

Please note: All products are 'FOR RESEARCH USE ONLY. NOT FOR USE IN DIAGNOSTIC OR THERAPEUTIC PROCEDURES'.

For licensing inquiries, please contact partnerships@abcam.com