JavaScript is disabled in your browser. Please enable JavaScript to view this website.
AB316217

重组Anti-YTHDC1抗体[RM1107] - BSA and Azide free

Anti-YTHDC1 antibody [RM1107] - BSA and Azide free

Be the first to review this product! Submit a review

|

(0 Publication)

Rabbit Recombinant Multiclonal YTHDC1 antibody. Carrier free. Suitable for IHC-P, WB and reacts with Human, Mouse, Rat samples.

查看别名

KIAA1966, YT521, YTHDC1, YTH domain-containing protein 1, Splicing factor YT521, YT521-B

9 Images
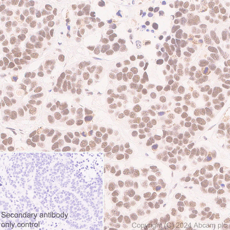
Immunohistochemistry (Formalin/PFA-fixed paraffin-embedded sections) - Anti-YTHDC1 antibody [RM1107] - BSA and Azide free (AB316217)
  • IHC-P

Supplier Data

Immunohistochemistry (Formalin/PFA-fixed paraffin-embedded sections) - Anti-YTHDC1 antibody [RM1107] - BSA and Azide free (AB316217)

This data was developed using ab316216, the same antibody clone in a different buffer formulation.

Immunohistochemical analysis of paraffin-embedded Human testis tissue labeling YTHDC1 with ab316216 at 1/350 (1.443 ug/ml) dilution, followed by a ready to use LeicaDS9800 (Bond™ Polymer Refine Detection).

Positive staining on human testis in (A) ab316216, and very weak staining on human testis in (B) ab122340.
The image on (A) ab316216 is applied with Anti-YTHDC1 antibody at 1/350 dilution and (B) ab122340 is applied with Anti-YTHDC1 antibody at 1/100 dilution.
The section was incubated with ab316216 or ab122340 for 30 mins at room temperature.
The immunostaining was performed on a Leica Biosystems BOND® RX instrument.

Counterstained with Hematoxylin.

Secondary antibody only control : Secondary antibody is a ready to use LeicaDS9800 (Bond™ Polymer Refine Detection).

Heat mediated antigen retrieval was performed with Tris-EDTA buffer (pH 9.0, Epitope Retrieval Solution2) for 20 mins.

Immunohistochemistry (Formalin/PFA-fixed paraffin-embedded sections) - Anti-YTHDC1 antibody [RM1107] - BSA and Azide free (AB316217)
  • IHC-P

Supplier Data

Immunohistochemistry (Formalin/PFA-fixed paraffin-embedded sections) - Anti-YTHDC1 antibody [RM1107] - BSA and Azide free (AB316217)

This data was developed using ab316216, the same antibody clone in a different buffer formulation.

Immunohistochemical analysis of paraffin-embedded Human placenta tissue labeling YTHDC1 with ab316216 at 1/350 (1.443 ug/ml) dilution, followed by a ready to use LeicaDS9800 (Bond™ Polymer Refine Detection).

Positive staining on human placenta in (A) ab316216, and weak staining on human placenta in (B) ab122340.
The image on (A) ab316216 is applied with Anti-YTHDC1 antibody at 1/350 dilution and (B) ab122340 is applied with Anti-YTHDC1 antibody at 1/100 dilution.
The section was incubated with ab316216 or ab122340 for 30 mins at room temperature.
The immunostaining was performed on a Leica Biosystems BOND® RX instrument.

Counterstained with Hematoxylin.

Secondary antibody only control : Secondary antibody is a ready to use LeicaDS9800 (Bond™ Polymer Refine Detection).

Heat mediated antigen retrieval was performed with Tris-EDTA buffer (pH 9.0, Epitope Retrieval Solution2) for 20 mins.

Immunohistochemistry (Formalin/PFA-fixed paraffin-embedded sections) - Anti-YTHDC1 antibody [RM1107] - BSA and Azide free (AB316217)
  • IHC-P

Supplier Data

Immunohistochemistry (Formalin/PFA-fixed paraffin-embedded sections) - Anti-YTHDC1 antibody [RM1107] - BSA and Azide free (AB316217)

This data was developed using ab316216, the same antibody clone in a different buffer formulation.

Immunohistochemical analysis of paraffin-embedded Human gastric carcinoma tissue labeling YTHDC1 with ab316216 at 1/350 (1.443 ug/ml) dilution, followed by a ready to use LeicaDS9800 (Bond™ Polymer Refine Detection).

Positive staining on human gastric carcinoma. The section was incubated with ab316216 for 30 mins at room temperature.
The immunostaining was performed on a Leica Biosystems BOND® RX instrument.

Counterstained with Hematoxylin.

Secondary antibody only control : Secondary antibody is a ready to use LeicaDS9800 (Bond™ Polymer Refine Detection).

Heat mediated antigen retrieval was performed with Tris-EDTA buffer (pH 9.0, Epitope Retrieval Solution2) for 20 mins.

Immunohistochemistry (Formalin/PFA-fixed paraffin-embedded sections) - Anti-YTHDC1 antibody [RM1107] - BSA and Azide free (AB316217)
  • IHC-P

Supplier Data

Immunohistochemistry (Formalin/PFA-fixed paraffin-embedded sections) - Anti-YTHDC1 antibody [RM1107] - BSA and Azide free (AB316217)

This data was developed using ab316216, the same antibody clone in a different buffer formulation.

Immunohistochemical analysis of paraffin-embedded Rat testis tissue labeling YTHDC1 with ab316216 at 1/500 (1.01 ug/ml) dilution, followed by a ready to use LeicaDS9800 (Bond™ Polymer Refine Detection).

Positive staining on rat testis. The section was incubated with ab316216 for 30 mins at room temperature.
The immunostaining was performed on a Leica Biosystems BOND® RX instrument.

Counterstained with Hematoxylin.

Secondary antibody only control : Secondary antibody is a ready to use LeicaDS9800 (Bond™ Polymer Refine Detection).

Heat mediated antigen retrieval was performed with Tris-EDTA buffer (pH 9.0, Epitope Retrieval Solution2) for 20 mins.

Immunohistochemistry (Formalin/PFA-fixed paraffin-embedded sections) - Anti-YTHDC1 antibody [RM1107] - BSA and Azide free (AB316217)
  • IHC-P

Supplier Data

Immunohistochemistry (Formalin/PFA-fixed paraffin-embedded sections) - Anti-YTHDC1 antibody [RM1107] - BSA and Azide free (AB316217)

This data was developed using ab316216, the same antibody clone in a different buffer formulation.

Immunohistochemical analysis of paraffin-embedded Mouse colon tissue labeling YTHDC1 with ab316216 at 1/500 (1.01 ug/ml) dilution, followed by a ready to use LeicaDS9800 (Bond™ Polymer Refine Detection).

Positive staining on mouse colon. The section was incubated with ab316216 for 30 mins at room temperature.
The immunostaining was performed on a Leica Biosystems BOND® RX instrument.

Counterstained with Hematoxylin.

Secondary antibody only control : Secondary antibody is a ready to use LeicaDS9800 (Bond™ Polymer Refine Detection).

Heat mediated antigen retrieval was performed with Tris-EDTA buffer (pH 9.0, Epitope Retrieval Solution2) for 20 mins.

Western blot - Anti-YTHDC1 antibody [RM1107] - BSA and Azide free (AB316217)
  • WB

Supplier Data

Western blot - Anti-YTHDC1 antibody [RM1107] - BSA and Azide free (AB316217)

This data was developed using ab316216, the same antibody clone in a different buffer formulation.

The bands beneath the target band (90/100 kDa) are likey to be degradation products.

GLUT3 is possible involved in the ubiquitin-mediated degradation of YTHDC1 (PMID : 37258572).

In lane 3, the lysate was freshly made and used for Western Blotting immediately to minimize protein degradation.

In Western blot, Anti-GAPDH antibody [EPR16891] - Loading Control (ab181602) staining at 1/200000 dilution.

Exposure time : Lane1 & 2 : 26 seconds Lane3 : 10 seconds

All lanes:

Western blot - Anti-YTHDC1 antibody [RM1107] (<a href='/products/primary-antibodies/ythdc1-antibody-rm1107-ab316216'>ab316216</a>) at 1/1000 dilution

Lane 1:

HeLa (human cervix adenocarcinoma epithelial cell) transfected with scrambled siRNA control whole cell lysate at 20 µg

Lane 2:

HeLa transfected with siRNA specifically targeting YTHDC1 whole cell lysate at 20 µg

Lane 3:

HeLa (human cervix adenocarcinoma epithelial cell) whole cell lysate at 20 µg

Secondary

All lanes:

Western blot - Goat Anti-Rabbit IgG H&L (HRP) (<a href='/products/secondary-antibodies/goat-rabbit-igg-h-l-hrp-ab97051'>ab97051</a>) at 1/100000 dilution

Observed band size: 90 kDa,36 kDa

false

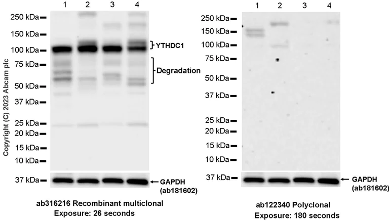
Western blot - Anti-YTHDC1 antibody [RM1107] - BSA and Azide free (AB316217)
  • WB

Supplier Data

Western blot - Anti-YTHDC1 antibody [RM1107] - BSA and Azide free (AB316217)

This data was developed using ab316216, the same antibody clone in a different buffer formulation.

Left Panel is applied with Anti-YTHDC1 antibody [RM1107] (ab316216) at 1/1000 dilution (0.505 g/ml); Right panel is applied with Anti-YTHDC1 antibody (ab122340) at 1/1000 dilution (0.14 ug/ml).

In Western blot, Anti-GAPDH antibody [EPR16891] - Loading Control (ab181602) staining at 1/200000 dilution.

All lanes:

Western blot - Anti-YTHDC1 antibody [RM1107] (<a href='/products/primary-antibodies/ythdc1-antibody-rm1107-ab316216'>ab316216</a>) at 1/1000 dilution

All lanes:

K562 (human chronic myelogenous leukemia lymphoblast) whole cell lysate at 20 µg

Secondary

All lanes:

Western blot - Goat Anti-Rabbit IgG H&L (HRP) (<a href='/products/secondary-antibodies/goat-rabbit-igg-h-l-hrp-ab97051'>ab97051</a>) at 1/100000 dilution

Observed band size: 90 kDa,100 kDa,36 kDa

false

Exposure time: 26s

Western blot - Anti-YTHDC1 antibody [RM1107] - BSA and Azide free (AB316217)
  • WB

Supplier Data

Western blot - Anti-YTHDC1 antibody [RM1107] - BSA and Azide free (AB316217)

This data was developed using ab316216, the same antibody clone in a different buffer formulation.

The bands beneath the target band (90/100 kDa) are likely to be degradation products.

GLUT3 is possible involved in the ubiquitin-mediated degradation of YTHDC1(PMID : 37258572).

Left Panel is applied with Anti-YTHDC1 antibody [RM1107] (ab316216) at 1/1000 dilution (0.505 ug/ml); Right panel is applied with Anti-YTHDC1 antibody (ab122340) at 1/1000 dilution (0.14 ug/ml).

In Western blot, Anti-GAPDH antibody [EPR16891] - Loading Control (ab181602) staining at 1/200000 dilution.

Exposure time : Left : 26 seconds Right : 180 seconds

All lanes:

Western blot - Anti-YTHDC1 antibody [RM1107] (<a href='/products/primary-antibodies/ythdc1-antibody-rm1107-ab316216'>ab316216</a>) at 1/1000 dilution

Lane 1:

RAW264.7 (mouse Abelson murine leukemia virus-induced tumor macrophage) whole cell lysate at 20 µg

Lane 2:

NIH/3T3 (mouse embryonic fibroblast) whole cell lysate at 20 µg

Lane 3:

PC-12 (rat adrenal gland pheochromocytoma) whole cell lysate at 20 µg

Lane 4:

C6 (rat glial tumor glial cell) whole cell lysate at 20 µg

Secondary

All lanes:

Western blot - Goat Anti-Rabbit IgG H&L (HRP) (<a href='/products/secondary-antibodies/goat-rabbit-igg-h-l-hrp-ab97051'>ab97051</a>) at 1/100000 dilution

Observed band size: 90 kDa,100 kDa,36 kDa

false

Western blot - Anti-YTHDC1 antibody [RM1107] - BSA and Azide free (AB316217)
  • WB

Supplier Data

Western blot - Anti-YTHDC1 antibody [RM1107] - BSA and Azide free (AB316217)

This data was developed using ab316216, the same antibody clone in a different buffer formulation.

The expression profile is consistent with what has been described in the literature (PMID : 29799838).

Low expression : liver (PMID : 29799838)

In Western blot, Anti-GAPDH antibody [EPR16891] - Loading Control (ab181602) staining at 1/200000 dilution.

All lanes:

Western blot - Anti-YTHDC1 antibody [RM1107] (<a href='/products/primary-antibodies/ythdc1-antibody-rm1107-ab316216'>ab316216</a>) at 1/1000 dilution

Lane 1:

Mouse testis tissue lysate at 20 µg

Lane 2:

Mouse liver tissue lysate at 20 µg

Lane 3:

Rat testis tissue lysate at 20 µg

Lane 4:

Rat liver tissue lysate at 20 µg

Secondary

All lanes:

Western blot - Goat Anti-Rabbit IgG H&L (HRP) (<a href='/products/secondary-antibodies/goat-rabbit-igg-h-l-hrp-ab97051'>ab97051</a>) at 1/100000 dilution

Observed band size: 90 kDa,100 kDa,36 kDa

false

Exposure time: 7s

不同偶联物与剂型 (1)

关键信息

宿主种属

Rabbit

克隆

Multiclonal

克隆号

RM1107

亚型

IgG

不含载体蛋白

Yes

反应种属

Human, Mouse, Rat

应用

IHC-P, WB

applications

免疫原

The exact immunogen used to generate this antibody is proprietary information.

反应性数据

{ "title": "Reactivity Data", "filters": { "stats": ["", "Species", "Dilution Info", "Notes"], "tabs": { "all-applications": {"fullname" : "All Applications", "shortname": "All Applications"}, "ICCIF" : {"fullname" : "Immunocytochemistry/ Immunofluorescence", "shortname":"ICC/IF"}, "IHCP" : {"fullname" : "Immunohistochemistry (Formalin/PFA-fixed paraffin-embedded sections)", "shortname":"IHC-P"}, "WB" : {"fullname" : "Western blot", "shortname":"WB"} }, "product-promise": { "all": "all", "testedAndGuaranteed": "tested", "guaranteed": "expected", "predicted": "predicted", "notRecommended": "not-recommended" } }, "values": { "Human": { "ICCIF-species-checked": "notRecommended", "ICCIF-species-dilution-info": "", "ICCIF-species-notes": "<p></p>", "IHCP-species-checked": "testedAndGuaranteed", "IHCP-species-dilution-info": "", "IHCP-species-notes": "<p></p>", "WB-species-checked": "testedAndGuaranteed", "WB-species-dilution-info": "", "WB-species-notes": "<p></p>" }, "Mouse": { "ICCIF-species-checked": "notRecommended", "ICCIF-species-dilution-info": "", "ICCIF-species-notes": "<p></p>", "IHCP-species-checked": "testedAndGuaranteed", "IHCP-species-dilution-info": "", "IHCP-species-notes": "<p></p>", "WB-species-checked": "testedAndGuaranteed", "WB-species-dilution-info": "", "WB-species-notes": "<p></p>" }, "Rat": { "ICCIF-species-checked": "notRecommended", "ICCIF-species-dilution-info": "", "ICCIF-species-notes": "", "IHCP-species-checked": "testedAndGuaranteed", "IHCP-species-dilution-info": "", "IHCP-species-notes": "<p></p>", "WB-species-checked": "testedAndGuaranteed", "WB-species-dilution-info": "", "WB-species-notes": "<p></p>" } } }

产品详情

ab316217 is the carrirer-free version of ab316216.

What are recombinant multiclonals?
Recombinant multiclonals are a mixture of recombinant antibodies co-expressed from a library of heavy and light chains. They offer several advantages including:

  • - The sensitivity of polyclonal antibodies by recognising multiple epitopes
  • - High batch-to-batch consistency and reproducibility
  • - Improved sensitivity and specificity
  • - Long-term security of supply
  • - Animal-free batch production

View our range of recombinant multiclonal antibodies.

Patented technology
Our RabMAb® technology is a patented hybridoma-based technology for making rabbit monoclonal antibodies. For details on our patents, please refer to RabMAb® patents.

Conjugation ready
Our carrier-free antibodies are typically supplied in a PBS-only formulation, purified and free of BSA, sodium azide and glycerol. This conjugation-ready format is designed for use with fluorochromes, metal isotopes, oligonucleotides, and enzymes, which makes them ideal for antibody labelling, functional and cell-based assays, flow-based assays (e.g. mass cytometry) and Multiplex Imaging applications.

Use our conjugation kits for antibody conjugates that are ready-to-use in as little as 20 minutes with 1 minute hands-on-time and 100% antibody recovery: available for fluorescent dyes, HRP, biotin and gold.

Compatibility
This product is compatible with the Maxpar® Antibody Labeling Kit from Fluidigm, without the need for antibody preparation. Maxpar® is a trademark of Fluidigm Canada Inc.

性能和储存信息

形式
Liquid
纯化工艺
Affinity purification Protein A
存储溶液
pH: 7.2 - 7.4 Constituents: PBS
运输条件
Blue Ice
推荐的短期储存条件
+4°C
推荐的长期储存条件
+4°C

补充信息

This supplementary information is collated from multiple sources and compiled automatically.

YTHDC1 also known as YT521-B is a nuclear protein involved in mRNA processing. It belongs to the YTH domain family recognized for binding m6A-modified RNA. The protein has a mass of approximately 82 kDa. Expression of YTHDC1 occurs mainly in the nucleus but may also be found in other cellular compartments. Its widespread presence includes tissues such as the brain and liver suggesting its diverse functional roles.
Biological function summary

YTHDC1 operates in the regulation of mRNA splicing and transportation. It associates with spliceosome components to influence alternative splicing decisions. YTHDC1 part of the m6A reader complex recognizes the m6A methylation mark on RNA aiding in the control of mRNA fate. Additionally its interactions with certain proteins affect RNA stability and translation essential for proper gene expression regulation.

Pathways

YTHDC1 plays a significant role in RNA metabolism and the cellular response to stress. Involvement in the mRNA splicing pathway highlights its contribution to gene expression regulation. YTHDC1 interacts with proteins like SRSF3 and SRFS10 which modulate RNA splicing and stability. Another pathway includes its role in the cellular stress response where YTHDC1 helps maintain RNA integrity linking it to adaptive responses in cells.

YTHDC1 captures interest regarding cancer and neurodegenerative diseases. Abnormal expression levels or mutations in YTHDC1 have associations with various cancer types hinting at its role in tumorigenesis. Alterations in YTHDC1 expression impact splicing patterns and gene expression potentially influencing cancer progression. Additionally YTHDC1's connection to neurodegeneration involves proteins such as FUS and TDP-43 which are associated with disorders like amyotrophic lateral sclerosis (ALS) suggesting that YTHDC1 may play a role in RNA metabolism dysregulation observed in these diseases.

产品实验方案

For this product, it's our understanding that no specific protocols are required. You can visit:

靶点信息

Regulator of alternative splicing that specifically recognizes and binds N6-methyladenosine (m6A)-containing RNAs (PubMed : 25242552, PubMed : 26318451, PubMed : 26876937, PubMed : 28984244). M6A is a modification present at internal sites of mRNAs and some non-coding RNAs and plays a role in the efficiency of mRNA splicing, processing and stability (PubMed : 25242552, PubMed : 26318451). Acts as a key regulator of exon-inclusion or exon-skipping during alternative splicing via interaction with mRNA splicing factors SRSF3 and SRSF10 (PubMed : 26876937). Specifically binds m6A-containing mRNAs and promotes recruitment of SRSF3 to its mRNA-binding elements adjacent to m6A sites, leading to exon-inclusion during alternative splicing (PubMed : 26876937). In contrast, interaction with SRSF3 prevents interaction with SRSF10, a splicing factor that promotes exon skipping : this prevents SRSF10 from binding to its mRNA-binding sites close to m6A-containing regions, leading to inhibit exon skipping during alternative splicing (PubMed : 26876937). May also regulate alternative splice site selection (PubMed : 20167602). Also involved in nuclear export of m6A-containing mRNAs via interaction with SRSF3 : interaction with SRSF3 facilitates m6A-containing mRNA-binding to both SRSF3 and NXF1, promoting mRNA nuclear export (PubMed : 28984244). Involved in S-adenosyl-L-methionine homeostasis by regulating expression of MAT2A transcripts, probably by binding m6A-containing MAT2A mRNAs (By similarity). Also recognizes and binds m6A on other RNA molecules (PubMed : 27602518). Involved in random X inactivation mediated by Xist RNA : recognizes and binds m6A-containing Xist and promotes transcription repression activity of Xist (PubMed : 27602518). Also recognizes and binds m6A-containing single-stranded DNA (PubMed : 32663306). Involved in germline development : required for spermatogonial development in males and oocyte growth and maturation in females, probably via its role in alternative splicing (By similarity).
See full target information YTHDC1

Abcam Product Promise

我们致力于为您的研究提供高质量的试剂,为您科研的每一步提供支持。若我们的产品未能达到预期性能,我们向您提供 Abcam Product Promise 保障。
详情请参阅我们的条款与条件。

Please note: All products are 'FOR RESEARCH USE ONLY. NOT FOR USE IN DIAGNOSTIC OR THERAPEUTIC PROCEDURES'.

For licensing inquiries, please contact partnerships@abcam.com