JavaScript is disabled in your browser. Please enable JavaScript to view this website.
AB236583

Anti-YKT6 抗体

Anti-YKT6 antibody

Be the first to review this product! Submit a review

|

(7 Publications)

Rabbit Polyclonal YKT6 antibody. Suitable for WB, IHC-P and reacts with Human samples. Cited in 7 publications. Immunogen corresponding to Recombinant Fragment Protein within Human Synaptobrevin homolog YKT6 aa 1 to C-terminus.

查看别名

Synaptobrevin homolog YKT6, YKT6

2 Images
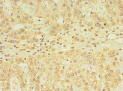
Immunohistochemistry (Formalin/PFA-fixed paraffin-embedded sections) - Anti-YKT6 antibody (AB236583)
  • IHC-P

Supplier Data

Immunohistochemistry (Formalin/PFA-fixed paraffin-embedded sections) - Anti-YKT6 antibody (AB236583)

Paraffin-embedded human adrenal gland tissue stained for YKT6 with ab236583 at 1/100 dilution in immunohistochemical analysis.

Western blot - Anti-YKT6 antibody (AB236583)
  • WB

Supplier Data

Western blot - Anti-YKT6 antibody (AB236583)

All lanes:

Western blot - Anti-YKT6 antibody (ab236583) at 1/500 dilution

All lanes:

A549 (Human lung carcinoma cell line) whole cell lysate

Secondary

All lanes:

Goat polyclonal to rabbit IgG at 1/10000 dilution

Predicted band size: 22 kDa

false

关键信息

宿主种属

Rabbit

克隆

Polyclonal

亚型

IgG

不含载体蛋白

No

反应种属

Human

应用

WB, IHC-P

applications

免疫原

Recombinant Fragment Protein within Human Synaptobrevin homolog YKT6 aa 1 to C-terminus. The exact immunogen used to generate this antibody is proprietary information.

O15498

反应性数据

{ "title": "Reactivity Data", "filters": { "stats": ["", "Species", "Dilution Info", "Notes"], "tabs": { "all-applications": {"fullname" : "All Applications", "shortname": "All Applications"}, "WB" : {"fullname" : "Western blot", "shortname":"WB"}, "IHCP" : {"fullname" : "Immunohistochemistry (Formalin/PFA-fixed paraffin-embedded sections)", "shortname":"IHC-P"} }, "product-promise": { "all": "all", "testedAndGuaranteed": "tested", "guaranteed": "expected", "predicted": "predicted", "notRecommended": "not-recommended" } }, "values": { "Human": { "WB-species-checked": "testedAndGuaranteed", "WB-species-dilution-info": "1/500 - 1/2000", "WB-species-notes": "<p></p>", "IHCP-species-checked": "testedAndGuaranteed", "IHCP-species-dilution-info": "1/20 - 1/200", "IHCP-species-notes": "<p></p>" }, "Mouse": { "WB-species-checked": "predicted", "WB-species-dilution-info": "", "WB-species-notes": "", "IHCP-species-checked": "predicted", "IHCP-species-dilution-info": "", "IHCP-species-notes": "" }, "Rat": { "WB-species-checked": "predicted", "WB-species-dilution-info": "", "WB-species-notes": "", "IHCP-species-checked": "predicted", "IHCP-species-dilution-info": "", "IHCP-species-notes": "" }, "Cow": { "WB-species-checked": "predicted", "WB-species-dilution-info": "", "WB-species-notes": "", "IHCP-species-checked": "predicted", "IHCP-species-dilution-info": "", "IHCP-species-notes": "" } } }

性能和储存信息

形式
Liquid
纯化工艺
Affinity purification Protein G
纯化说明
Purity >95%.
存储溶液
pH: 7.4 Preservative: 0.03% Proclin 300 Constituents: PBS, 50% Glycerol (glycerin, glycerine)
运输条件
Blue Ice
推荐的短期储存时间
1-2 weeks
推荐的短期储存条件
+4°C
推荐的长期储存条件
-20°C
分装信息
Upon delivery aliquot
储存信息
Avoid freeze / thaw cycle

补充信息

This supplementary information is collated from multiple sources and compiled automatically.

YKT6 also known as Synaptobrevin-like 2 is a SNARE protein involved in vesicular transport. YKT6 has a molecular mass of about 23 kDa and is present across various tissues notably in the brain and pancreas. This protein does not have a transmembrane domain which allows cycling between membrane-bound and cytosolic forms contributing to its role in membrane fusion processes.
Biological function summary

YKT6 aids in the regulation of membrane fusion events important for the secretory pathway. It operates as part of the SNARE complex which includes other proteins like VAMPs syntaxin and SNAP-25. These components form a tight complex that brings vesicle and target membranes into close proximity driving the fusion necessary for intracellular transport and secretion.

Pathways

YKT6 connects to exocytosis and endocytosis pathways which are important for neurotransmitter release and cellular uptake processes. It interacts with proteins such as SNAP-25 and syntaxins within these pathways. As a SNARE protein YKT6's role in vesicle trafficking is vital for maintaining cellular homeostasis and regulating signal transmission across synapses.

Abnormalities in YKT6 expression or function impact neurodegenerative diseases like Alzheimer's disease. Altered interactions between YKT6 and other proteins such as syntaxin can disrupt normal synaptic function and contribute to pathogenesis. Additionally irregular YKT6 activity may play a role in certain cancers where vesicular transport and secretion are typically disrupted.

产品实验方案

For this product, it's our understanding that no specific protocols are required. You can visit:

靶点信息

Vesicular soluble NSF attachment protein receptor (v-SNARE) mediating vesicle docking and fusion to a specific acceptor cellular compartment. Functions in endoplasmic reticulum to Golgi transport; as part of a SNARE complex composed of GOSR1, GOSR2 and STX5. Functions in early/recycling endosome to TGN transport; as part of a SNARE complex composed of BET1L, GOSR1 and STX5. Has a S-palmitoyl transferase activity.
See full target information Synaptobrevin homolog YKT6

文献 (7)

Recent publications for all applications. Explore the full list and refine your search

OncoTargets and therapy 18:107-127 PubMed39867862

2025

Pan-Cancer Analysis Identifies YKT6 as a Prognostic and Immunotherapy Biomarker, with an Emphasis on Cervical Cancer.

Applications

Unspecified application

Species

Unspecified reactive species

Jiamin Liu,Qiang Zhang,Ling He,Huangyu Hu,Yixuan Wang,Ping Xie

Molecular & cellular proteomics : MCP 23:100704 PubMed38128648

2023

Proteomic Analysis Reveals the Composition of Glutamatergic Organelles of Auditory Inner Hair Cells.

Applications

Unspecified application

Species

Unspecified reactive species

Andreia P Cepeda,Momchil Ninov,Jakob Neef,Iwan Parfentev,Kathrin Kusch,Ellen Reisinger,Reinhard Jahn,Tobias Moser,Henning Urlaub

Histology and histopathology 38:1381-1390 PubMed36537752

2022

Transcription factor ZNF488 accelerates cervical cancer progression through regulating the MEK/ERK signaling pathway.

Applications

Unspecified application

Species

Unspecified reactive species

Kena Weng,Lu Li,Haiping Zhou

The Journal of neuroscience : the official journal of the Society for Neuroscience 42:5641-5654 PubMed35654605

2022

Unbalanced Regulation of Sec22b and Ykt6 Blocks Autophagosome Axonal Retrograde Flux in Neuronal Ischemia-Reperfusion Injury.

Applications

Unspecified application

Species

Unspecified reactive species

Haiying Li,Xiang Li,Zhongmou Xu,Jinxin Lu,Chang Cao,Wanchun You,Zhengquan Yu,Haitao Shen,Gang Chen

International journal of molecular sciences 23: PubMed35408951

2022

Comparison of the Cisterna Maturation-Progression Model with the Kiss-and-Run Model of Intra-Golgi Transport: Role of Cisternal Pores and Cargo Domains.

Applications

Unspecified application

Species

Unspecified reactive species

Galina V Beznoussenko,Hee-Seok Kweon,Irina S Sesorova,Alexander A Mironov

Oncoimmunology 10:1938890 PubMed34221701

2021

, as a potential predictor of prognosis and immunotherapy response for oral squamous cell carcinoma, is related to cell invasion, metastasis, and CD8+ T cell infiltration.

Applications

Unspecified application

Species

Unspecified reactive species

Zongcheng Yang,Guangxing Yan,Lixin Zheng,Wenchao Gu,Fen Liu,Wei Chen,Xiujie Cui,Yue Wang,Yaling Yang,Xiyan Chen,Yue Fu,Xin Xu

Autophagy 17:3068-3081 PubMed33213278

2020

Pancreas-specific SNAP23 depletion prevents pancreatitis by attenuating pathological basolateral exocytosis and formation of trypsin-activating autolysosomes.

Applications

Unspecified application

Species

Unspecified reactive species

Subhankar Dolai,Toshimasa Takahashi,Tairan Qin,Tao Liang,Li Xie,Fei Kang,Yi-Fan Miao,Huanli Xie,Youhou Kang,Justin Manuel,Erin Winter,Paul A Roche,Mark S Cattral,Herbert Y Gaisano
View all publications

Abcam Product Promise

我们致力于为您的研究提供高质量的试剂,为您科研的每一步提供支持。若我们的产品未能达到预期性能,我们向您提供 Abcam Product Promise 保障。
详情请参阅我们的条款与条件。

Please note: All products are 'FOR RESEARCH USE ONLY. NOT FOR USE IN DIAGNOSTIC OR THERAPEUTIC PROCEDURES'.

For licensing inquiries, please contact partnerships@abcam.com