JavaScript is disabled in your browser. Please enable JavaScript to view this website.
AB188127

Anti-YIF1B抗体

Anti-YIF1B antibody

Be the first to review this product! Submit a review

|

(3 Publications)

Rabbit Polyclonal YIF1B antibody. Suitable for IHC-P, WB and reacts with Human samples. Cited in 3 publications. Immunogen corresponding to Recombinant Fragment Protein within Human YIF1B aa 1-150.

查看别名

PP4519, UNQ3073/PRO9905, YIF1B, Protein YIF1B, YIP1-interacting factor homolog B

2 Images
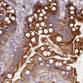
Immunohistochemistry (Formalin/PFA-fixed paraffin-embedded sections) - Anti-YIF1B antibody (AB188127)
  • IHC-P

Supplier Data

Immunohistochemistry (Formalin/PFA-fixed paraffin-embedded sections) - Anti-YIF1B antibody (AB188127)

Immunohistochemical analysis of paraffin-embedded Human small intestine tissue labelling YIF1B with ab188127 at 1/50 dilution.

Western blot - Anti-YIF1B antibody (AB188127)
  • WB

Supplier Data

Western blot - Anti-YIF1B antibody (AB188127)

All lanes:

Western blot - Anti-YIF1B antibody (ab188127) at 1/250 dilution

Lane 1:

RT-4 cell lysate

Lane 2:

U-251MG sp cell lysate

Lane 3:

Human plasma (IgG/HSA depleted)

Predicted band size: 34 kDa

false

关键信息

宿主种属

Rabbit

克隆

Polyclonal

亚型

IgG

不含载体蛋白

No

反应种属

Human

应用

WB, IHC-P

applications

免疫原

Recombinant Fragment Protein within Human YIF1B aa 1-150. The exact immunogen used to generate this antibody is proprietary information.

Q5BJH7

反应性数据

{ "title": "Reactivity Data", "filters": { "stats": ["", "Species", "Dilution Info", "Notes"], "tabs": { "all-applications": {"fullname" : "All Applications", "shortname": "All Applications"}, "IHCP" : {"fullname" : "Immunohistochemistry (Formalin/PFA-fixed paraffin-embedded sections)", "shortname":"IHC-P"}, "WB" : {"fullname" : "Western blot", "shortname":"WB"} }, "product-promise": { "all": "all", "testedAndGuaranteed": "tested", "guaranteed": "expected", "predicted": "predicted", "notRecommended": "not-recommended" } }, "values": { "Human": { "IHCP-species-checked": "testedAndGuaranteed", "IHCP-species-dilution-info": "1/50 - 1/200", "IHCP-species-notes": "<p></p> Perform heat-mediated antigen retrieval with citrate buffer pH 6 before commencing with IHC staining protocol.", "WB-species-checked": "testedAndGuaranteed", "WB-species-dilution-info": "0.04-0.4 µg/mL", "WB-species-notes": "<p></p>" } } }

性能和储存信息

形式
Liquid
纯化工艺
Affinity purification Immunogen
存储溶液
pH: 7.2 Preservative: 0.02% Sodium azide Constituents: PBS, 40% Glycerol (glycerin, glycerine)
运输条件
Blue Ice
推荐的短期储存时间
1-2 weeks
推荐的短期储存条件
+4°C
推荐的长期储存条件
-20°C
分装信息
Upon delivery aliquot
储存信息
Avoid freeze / thaw cycle

补充信息

This supplementary information is collated from multiple sources and compiled automatically.

YIF1B also known as YIP1 family member 1B is a protein that plays a role in the proper functioning of intracellular membrane systems. It is a member of the Yip1 family and weighs approximately 32 kDa. YIF1B is expressed in various tissues with significant expression noted in brain and lung tissues. This protein primarily localizes to the Golgi apparatus and endoplasmic reticulum indicating its involvement in protein trafficking and membrane dynamics.
Biological function summary

YIF1B contributes to maintaining the structure and function of the Golgi complex. It functions as part of the complex involved in vesicle-mediated transport interacting with other proteins to facilitate the movement and sorting of proteins and lipids. This protein is specifically involved in mediating interactions with small GTPases such as Rab proteins which regulate vesicular transport processes within cells.

Pathways

YIF1B integrates into important transport pathways including the secretory pathway and the ER to Golgi transport pathway. Within these pathways YIF1B functions alongside proteins like YIF1A and Rab GTPases to ensure efficient cargo delivery. This protein's role in membrane trafficking impacts the coordination and regulation of protein secretion and intracellular transport critical for maintaining cellular homeostasis.

Researchers have connected YIF1B to neurological disorders particularly neurodegenerative diseases. Dysregulation of YIF1B expression or function might influence diseases such as Alzheimer's due to its association with the misfolding and mistrafficking of proteins. It also connects to proteins involved in these diseases such as tau proteins indicating possible implications in the pathology of tauopathies. Proper YIF1B function is essential for neuronal health and disruptions can contribute to disease progression.

产品实验方案

For this product, it's our understanding that no specific protocols are required. You can visit:

靶点信息

Functions in endoplasmic reticulum to Golgi vesicle-mediated transport and regulates the proper organization of the endoplasmic reticulum and the Golgi (By similarity). Plays a key role in targeting to neuronal dendrites receptors such as HTR1A (By similarity). Plays also a role in primary cilium and sperm flagellum assembly probably through protein transport to these compartments (PubMed : 33103737).
See full target information YIF1B

文献 (3)

Recent publications for all applications. Explore the full list and refine your search

Journal of hepatocellular carcinoma 12:1661-1676 PubMed40761429

2025

Single-Cell RNA Sequencing Integrated with Bulk-RNA Sequencing Analysis Reveals Prognostic Signatures Based on PANoptosis in Hepatocellular Carcinoma.

Applications

Unspecified application

Species

Unspecified reactive species

Jiyin Wang,Xue Yin,Ziyi Li,Pu Liang,Yipeng Wang,Xingling Li,Wenying Qiao,Chaoyang Xiong,Minghang Yu,Xiaoyan Ding,Xi Wang

iScience 28:111551 PubMed39811650

2025

Yip1 interacting factor homolog B mediates the unconventional secretion of ORF8 during SARS-CoV-2 infection.

Applications

Unspecified application

Species

Unspecified reactive species

Xiaoyuan Lin,Beibei Fu,Yan Xiong,Weiwei Xue,Xiaoxue Lu,Shiwei Wang,Dong Guo,Dusan Kunec,Xuhu Mao,Jakob Trimpert,Haibo Wu

World journal of surgical oncology 21:231 PubMed37516854

2023

TRIM58 functions as a tumor suppressor in colorectal cancer by promoting RECQL4 ubiquitination to inhibit the AKT signaling pathway.

Applications

Unspecified application

Species

Unspecified reactive species

Naizhi Sun,Jiacheng Shen,Yuhua Shi,Biao Liu,Shengguo Gao,Yichuan Chen,Jinwei Sun
View all publications

Abcam Product Promise

我们致力于为您的研究提供高质量的试剂,为您科研的每一步提供支持。若我们的产品未能达到预期性能,我们向您提供 Abcam Product Promise 保障。
详情请参阅我们的条款与条件。

Please note: All products are 'FOR RESEARCH USE ONLY. NOT FOR USE IN DIAGNOSTIC OR THERAPEUTIC PROCEDURES'.

For licensing inquiries, please contact partnerships@abcam.com