JavaScript is disabled in your browser. Please enable JavaScript to view this website.
AB180618

Anti-XPA抗体

Anti-XPA antibody

Be the first to review this product! Submit a review

|

(1 Publication)

Rabbit Polyclonal XPA antibody. Suitable for WB, IHC-P, ICC/IF and reacts with Human, Rat samples. Cited in 1 publication. Immunogen corresponding to Recombinant Full Length Protein corresponding to Human XPA.

查看别名

XPAC, XPA, DNA repair protein complementing XP-A cells, Xeroderma pigmentosum group A-complementing protein

4 Images
Immunohistochemistry (Formalin/PFA-fixed paraffin-embedded sections) - Anti-XPA antibody (AB180618)
  • IHC-P

Unknown

Immunohistochemistry (Formalin/PFA-fixed paraffin-embedded sections) - Anti-XPA antibody (AB180618)

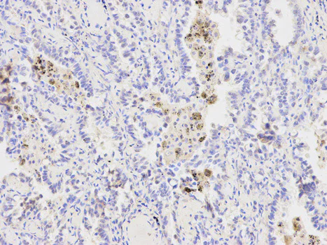
Immunohistochemistry (Formalin/PFA-fixed paraffin-embedded sections) analysis of human lung cancer tissue labelling XPA with ab180618 at 1/200. Magnification : 200x.

Immunocytochemistry/ Immunofluorescence - Anti-XPA antibody (AB180618)
  • ICC/IF

Supplier Data

Immunocytochemistry/ Immunofluorescence - Anti-XPA antibody (AB180618)

Immunofluorescence analysis of GFP-RNF168 transgenic U2OS cell using ab180618 Green : GFP-RNF168 fusion protein expression for DNA damage marker. Blue : DAPI for nuclear staining. RNF168(GFP) can be used to mark cells damaged by UV-A laser for they always gather around DNA damage region.

Immunohistochemistry (Formalin/PFA-fixed paraffin-embedded sections) - Anti-XPA antibody (AB180618)
  • IHC-P

Unknown

Immunohistochemistry (Formalin/PFA-fixed paraffin-embedded sections) - Anti-XPA antibody (AB180618)

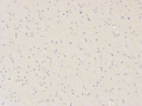
Immunohistochemistry (Formalin/PFA-fixed paraffin-embedded sections) analysis of rat brain tissue labelling XPA with ab180618 at 1/200. Magnification : 200x.

Western blot - Anti-XPA antibody (AB180618)
  • WB

Supplier Data

Western blot - Anti-XPA antibody (AB180618)

All lanes:

Western blot - Anti-XPA antibody (ab180618) at 1/500 dilution

All lanes:

HEK­293 cell line extract

Predicted band size: 31 kDa

false

关键信息

宿主种属

Rabbit

克隆

Polyclonal

亚型

IgG

不含载体蛋白

No

反应种属

Rat, Human

应用

WB, IHC-P, ICC/IF

applications

免疫原

Recombinant Full Length Protein corresponding to Human XPA.

P23025

反应性数据

{ "title": "Reactivity Data", "filters": { "stats": ["", "Species", "Dilution Info", "Notes"], "tabs": { "all-applications": {"fullname" : "All Applications", "shortname": "All Applications"}, "WB" : {"fullname" : "Western blot", "shortname":"WB"}, "IHCP" : {"fullname" : "Immunohistochemistry (Formalin/PFA-fixed paraffin-embedded sections)", "shortname":"IHC-P"}, "ICCIF" : {"fullname" : "Immunocytochemistry/ Immunofluorescence", "shortname":"ICC/IF"} }, "product-promise": { "all": "all", "testedAndGuaranteed": "tested", "guaranteed": "expected", "predicted": "predicted", "notRecommended": "not-recommended" } }, "values": { "Human": { "WB-species-checked": "testedAndGuaranteed", "WB-species-dilution-info": "1/500 - 1/2000", "WB-species-notes": "<p></p>", "IHCP-species-checked": "testedAndGuaranteed", "IHCP-species-dilution-info": "1/50 - 1/200", "IHCP-species-notes": "<p><a href='/products/primary-antibodies/rabbit-igg-polyclonal-isotype-control-chip-grade-ab171870'>ab171870</a> - Rabbit polyclonal IgG, is suitable for use as an isotype control with this antibody.</p>", "ICCIF-species-checked": "testedAndGuaranteed", "ICCIF-species-dilution-info": "1/50 - 1/100", "ICCIF-species-notes": "<p></p>" }, "Rat": { "WB-species-checked": "guaranteed", "WB-species-dilution-info": "", "WB-species-notes": "", "IHCP-species-checked": "testedAndGuaranteed", "IHCP-species-dilution-info": "1/50 - 1/200", "IHCP-species-notes": "<p><a href='/products/primary-antibodies/rabbit-igg-polyclonal-isotype-control-chip-grade-ab171870'>ab171870</a> - Rabbit polyclonal IgG, is suitable for use as an isotype control with this antibody.</p>", "ICCIF-species-checked": "guaranteed", "ICCIF-species-dilution-info": "", "ICCIF-species-notes": "" } } }

性能和储存信息

形式
Liquid
纯化工艺
Affinity purification Immunogen
存储溶液
pH: 7.3 Preservative: 0.02% Sodium azide Constituents: 50% Glycerol (glycerin, glycerine), 49% PBS
运输条件
Blue Ice
推荐的短期储存时间
1-2 weeks
推荐的短期储存条件
+4°C
推荐的长期储存条件
-20°C
分装信息
Upon delivery aliquot
储存信息
Avoid freeze / thaw cycle

补充信息

This supplementary information is collated from multiple sources and compiled automatically.

The XPA (xeroderma pigmentosum group A) protein also known as DNA repair protein complementing XP-A cells is a vital player in the nucleotide excision repair (NER) machinery. It has a molecular mass of approximately 31 kDa. XPA functions as a DNA-binding protein and is expressed in various tissues including skin cells. XPA recognizes and stabilizes the DNA damage site acting as a scaffold to recruit other repair factors ensuring the proper assembly of essential components in the repair complex.
Biological function summary

The protein is essential for maintaining genomic stability by facilitating the repair of DNA lesions. XPA operates within a multiprotein complex that includes the proteins ERCC1 and XPF. The complex identifies a wide range of structural abnormalities in DNA such as UV-induced photoproducts and chemically induced adducts. Without XPA the NER system's efficiency decreases leaving cells vulnerable to genotoxic stresses causing mutations and damage accumulation.

Pathways

XPA plays a role in the nucleotide excision repair and the base excision repair pathways. These pathways work jointly to ensure the removal of damaged DNA sections and accurate DNA synthesis. Within the NER pathway XPA interacts with proteins like RPA (Replication Protein A) and TFIIH (Transcription Factor IIH) to mediate the excision of damaged oligonucleotides. Its activity is critical for preserving the integrity of the genetic code especially in response to DNA damage caused by external agents like UV radiation.

Mutations or deficiencies in XPA are linked to xeroderma pigmentosum a disorder characterized by extreme sensitivity to ultraviolet light and a heightened risk of skin cancer. This condition results from impaired DNA repair leading to the accumulation of unrepaired DNA damage. XPA also interacts with other NER proteins like ERCC1 and XPF whose dysfunction is implicated in similar DNA repair disorders emphasizing the interconnected nature of these repair pathways in protecting against genotoxic agents.

产品实验方案

For this product, it's our understanding that no specific protocols are required. You can visit:

靶点信息

Involved in DNA nucleotide excision repair (NER). Initiates repair by binding to damaged sites with various affinities, depending on the photoproduct and the transcriptional state of the region. Required for UV-induced CHEK1 phosphorylation and the recruitment of CEP164 to cyclobutane pyrimidine dimmers (CPD), sites of DNA damage after UV irradiation (PubMed : 19197159). During NER stimulates the 5'-3' helicase activity of XPD/ERCC2 and the DNA translocase activity of XPB/ERCC3 (PubMed : 31253769). Connects XPD/ERCC2 and XPB/ERCC3 during NER, retaining DNA near the XPB/ERCC3 active site, and stabilizing the complex in a different conformation than in transcribing TFIIH (PubMed : 31253769).
See full target information XPA

文献 (1)

Recent publications for all applications. Explore the full list and refine your search

Infectious agents and cancer 17:52 PubMed36195933

2022

Hepatitis B virus promotes hepatocellular carcinoma development by activating GP73 to repress the innate immune response.

Applications

Unspecified application

Species

Unspecified reactive species

Long Liu,Yanping Huang,Yanan Fu,Jingjing Rao,Feng Zeng,Manshan Ji,Xiang Xu,Jianyong Zhu,Weixing Du,Zhixin Liu
View all publications

Abcam Product Promise

我们致力于为您的研究提供高质量的试剂,为您科研的每一步提供支持。若我们的产品未能达到预期性能,我们向您提供 Abcam Product Promise 保障。
详情请参阅我们的条款与条件。

Please note: All products are 'FOR RESEARCH USE ONLY. NOT FOR USE IN DIAGNOSTIC OR THERAPEUTIC PROCEDURES'.

For licensing inquiries, please contact partnerships@abcam.com