JavaScript is disabled in your browser. Please enable JavaScript to view this website.
AB302522

重组Anti-XCL1+XCL2抗体[EPR26181-30]

Anti-XCL1+XCL2 antibody [EPR26181-30]

Be the first to review this product! Submit a review

|

(1 Publication)

Rabbit Recombinant Monoclonal XCL1 antibody. Suitable for WB, ICC/IF, Flow Cyt (Intra), IP and reacts with Human samples. Cited in 1 publication.

查看别名

LTN, SCYC1, XCL1, Lymphotactin, ATAC, C motif chemokine 1, Cytokine SCM-1, Lymphotaxin, SCM-1-alpha, Small-inducible cytokine C1, XC chemokine ligand 1

6 Images
Immunocytochemistry - Anti-XCL1+XCL2 antibody [EPR26181-30] (AB302522)
  • ICC

Supplier Data

Immunocytochemistry - Anti-XCL1+XCL2 antibody [EPR26181-30] (AB302522)

Immunofluorescent analysis of 4% Paraformaldehyde-fixed, 0.1% TritonX-100 permeabilized HEK-293T (human embryonic kidney epithelial cell) cells labelling XCL1+XCL2 with ab302522 at 1/100 (4.32 ug/ml) dilution, followed by ab150081 Goat Anti-Rabbit IgG H&L (Alexa Fluor® 488) preadsorbed antibody at 1/1000 2 ug/ml dilution (Green). Confocal image showing cytoplasmic staining in HEK-293T cells transfected with a human SCN2A expression vector containing a myc-tag. is observed. Myc-Tag Mouse mAb (Alexa Fluor® 647) was used to counterstain tubulin at 1/100 0.38ug/ml dilution (Red). The Nuclear counterstain was DAPI (Blue). Secondary antibody only control : Secondary antibody is ab150081 Goat Anti-Rabbit IgG H&L (Alexa Fluor® 488) preadsorbed at 1/1000 2 ug/ml dilution.

Flow Cytometry (Intracellular) - Anti-XCL1+XCL2 antibody [EPR26181-30] (AB302522)
  • Flow Cyt (Intra)

Supplier Data

Flow Cytometry (Intracellular) - Anti-XCL1+XCL2 antibody [EPR26181-30] (AB302522)

Flow cytometric analysis of 2% paraformaldehyde fixed 0.1% Tween-20 permeabilized Human peripheral blood mononuclear cell (PBMC) treated with 80nM TPA, 1.3uM Ionomycin, 10uM BFA and 2uM Monensin for 6h (Right) / Untreated control (Left) cells labelling XCL1+XCL2 with ab302522 at 1/500 dilution (0.1ug)/ Left and Right (Red) compared with a isotype control and an unlabelled control (cells without incubation with primary antibody and secondary antibody) (Blue). A Goat Anti-Rabbit IgG (Alexa Fluor® 488, ab150081) at 1/2000 dilution was used as the secondary antibody.

Flow Cytometry (Intracellular) - Anti-XCL1+XCL2 antibody [EPR26181-30] (AB302522)
  • Flow Cyt (Intra)

Supplier Data

Flow Cytometry (Intracellular) - Anti-XCL1+XCL2 antibody [EPR26181-30] (AB302522)

Flow cytometric analysis of 4% paraformaldehyde fixed 90% methanol permeabilized HuT-78 (human Sezary syndrome cutaneous T lymphocyte) treated with 80nM TPA and 3uM Ionomycin for 5h, then add 300ng/ml BFA for another 4h (Red) / Untreated control (Green) cells labelling XCL1+XCL2 with ab302522 at 1/500 dilution (0.1ug) (Red) (Red) compared with a Rabbit monoclonal IgG (ab172730) (Black) isotype control and an unlabelled control (cells without incubation with primary antibody and secondary antibody) (Blue). A Goat Anti-Rabbit IgG (Alexa Fluor® 488, ab150081) at 1/2000 dilution was used as the secondary antibody.

Immunocytochemistry - Anti-XCL1+XCL2 antibody [EPR26181-30] (AB302522)
  • ICC

Supplier Data

Immunocytochemistry - Anti-XCL1+XCL2 antibody [EPR26181-30] (AB302522)

Immunofluorescent analysis of 4% Paraformaldehyde-fixed, 0.1% TritonX-100 permeabilized HuT-78 (human Sezary syndrome cutaneous T lymphocyte) cells labelling XCL1+XCL2 with ab302522 at 1/1000 (0.432 ug/ml) dilution, followed by ab150081 Goat Anti-Rabbit IgG H&L (Alexa Fluor® 488) preadsorbed antibody at 1/1000 2 ug/ml dilution (Green). Confocal image showing increased cytoplasmic staining in HuT-78 cells treated with TPA (80 nM) and Ionomycin (3 uM) for 5 h, then add Brefeldin A (300ng/ml) for another 4 h is observed. ab195889 Anti-alpha Tubulin mouse monoclonal antibody - Microtubule Marker (Alexa Fluor® 594) was used to counterstain tubulin at 1/200 2.5ug/ml dilution (Red). The Nuclear counterstain was DAPI (Blue). Secondary antibody only control : Secondary antibody is ab150081 Goat Anti-Rabbit IgG H&L (Alexa Fluor® 488) preadsorbed at 1/1000 2 ug/ml dilution.

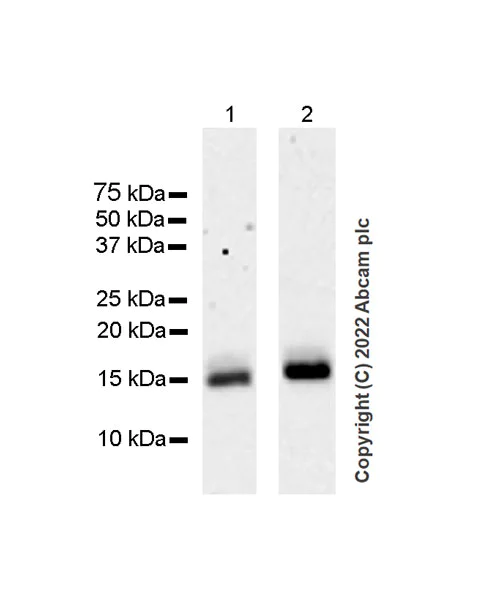
Western blot - Anti-XCL1+XCL2 antibody [EPR26181-30] (AB302522)
  • WB

Supplier Data

Western blot - Anti-XCL1+XCL2 antibody [EPR26181-30] (AB302522)

Blocking and diluting buffer and concentration : 5% NFDM/TBST.

All lanes:

Western blot - Anti-XCL1+XCL2 antibody [EPR26181-30] (ab302522) at 1/500 dilution

Lane 1:

Human XCL1 recombinant protein at 10 ng

Lane 2:

Human XCL2 recombinant protein at 10 ng

Secondary

All lanes:

Western blot - Goat Anti-Rabbit IgG H&L (HRP) (<a href='/products/secondary-antibodies/goat-rabbit-igg-h-l-hrp-ab97051'>ab97051</a>) at 1/20000 dilution

Predicted band size: 12 kDa

Observed band size: 15 kDa

false

Exposure time: 15s

Western blot - Anti-XCL1+XCL2 antibody [EPR26181-30] (AB302522)
  • WB

Supplier Data

Western blot - Anti-XCL1+XCL2 antibody [EPR26181-30] (AB302522)

Blocking and diluting buffer and concentration : 5% NFDM/TBST.

The expression of XCL1 are upregulated in response to TPA and Ionomycin treatment (PMID : 29474842, 32948687).

All lanes:

Western blot - Anti-XCL1+XCL2 antibody [EPR26181-30] (ab302522) at 1/500 dilution

Lane 1:

Untreated HuT-78 (human Sezary syndrome cutaneous T lymphocyte), whole cell lysate at 40 µg

Lane 2:

HuT-78 treated with 80 nM TPA and 3 uM Ionomycin for 5h, 300 ng/ml BFA was then added for additional 4h, whole cell lysate at 40 µg

Secondary

All lanes:

Western blot - Goat Anti-Rabbit IgG H&L (HRP) (<a href='/products/secondary-antibodies/goat-rabbit-igg-h-l-hrp-ab97051'>ab97051</a>) at 1/20000 dilution

Predicted band size: 12 kDa

Observed band size: 15 kDa

false

Exposure time: 1s

不同偶联物与剂型 (1)

  • Carrier free

    Anti-XCL1+XCL2 antibody [EPR26181-30] (BSA and Azide free)

关键信息

宿主种属

Rabbit

克隆

Monoclonal

克隆号

EPR26181-30

亚型

IgG

不含载体蛋白

No

反应种属

Human

应用

ICC/IF, Flow Cyt (Intra), IP, WB

applications

免疫原

The exact immunogen used to generate this antibody is proprietary information.

反应性数据

{ "title": "Reactivity Data", "filters": { "stats": ["", "Species", "Dilution Info", "Notes"], "tabs": { "all-applications": {"fullname" : "All Applications", "shortname": "All Applications"}, "WB" : {"fullname" : "Western blot", "shortname":"WB"}, "IHCP" : {"fullname" : "Immunohistochemistry (Formalin/PFA-fixed paraffin-embedded sections)", "shortname":"IHC-P"}, "IHCFr" : {"fullname" : "Immunohistochemistry (Frozen sections)", "shortname":"IHC-Fr"}, "ICCIF" : {"fullname" : "Immunocytochemistry/ Immunofluorescence", "shortname":"ICC/IF"}, "FlowCytIntra" : {"fullname" : "Flow Cytometry (Intracellular)", "shortname":"Flow Cyt (Intra)"}, "IP" : {"fullname" : "Immunoprecipitation", "shortname":"IP"} }, "product-promise": { "all": "all", "testedAndGuaranteed": "tested", "guaranteed": "expected", "predicted": "predicted", "notRecommended": "not-recommended" } }, "values": { "Human": { "WB-species-checked": "testedAndGuaranteed", "WB-species-dilution-info": "1/500", "WB-species-notes": "<p></p>", "IHCP-species-checked": "notRecommended", "IHCP-species-dilution-info": "", "IHCP-species-notes": "<p></p>", "IHCFr-species-checked": "notRecommended", "IHCFr-species-dilution-info": "", "IHCFr-species-notes": "", "ICCIF-species-checked": "testedAndGuaranteed", "ICCIF-species-dilution-info": "1/100", "ICCIF-species-notes": "<p></p>", "FlowCytIntra-species-checked": "testedAndGuaranteed", "FlowCytIntra-species-dilution-info": "1/500", "FlowCytIntra-species-notes": "<p></p>", "IP-species-checked": "testedAndGuaranteed", "IP-species-dilution-info": "1/30", "IP-species-notes": "<p></p>" }, "Mouse": { "WB-species-checked": "notRecommended", "WB-species-dilution-info": "1/500", "WB-species-notes": "<p></p>", "IHCP-species-checked": "notRecommended", "IHCP-species-dilution-info": "", "IHCP-species-notes": "<p></p>", "IHCFr-species-checked": "notRecommended", "IHCFr-species-dilution-info": "", "IHCFr-species-notes": "<p></p>", "ICCIF-species-checked": "notRecommended", "ICCIF-species-dilution-info": "", "ICCIF-species-notes": "", "FlowCytIntra-species-checked": "notRecommended", "FlowCytIntra-species-dilution-info": "", "FlowCytIntra-species-notes": "", "IP-species-checked": "notRecommended", "IP-species-dilution-info": "", "IP-species-notes": "" }, "Rat": { "WB-species-checked": "notRecommended", "WB-species-dilution-info": "1/500", "WB-species-notes": "<p></p>", "IHCP-species-checked": "notRecommended", "IHCP-species-dilution-info": "", "IHCP-species-notes": "<p></p>", "IHCFr-species-checked": "notRecommended", "IHCFr-species-dilution-info": "", "IHCFr-species-notes": "<p></p>", "ICCIF-species-checked": "notRecommended", "ICCIF-species-dilution-info": "", "ICCIF-species-notes": "", "FlowCytIntra-species-checked": "notRecommended", "FlowCytIntra-species-dilution-info": "", "FlowCytIntra-species-notes": "", "IP-species-checked": "notRecommended", "IP-species-dilution-info": "", "IP-species-notes": "" } } }

产品详情

Patented technology
Our RabMAb® technology is a patented hybridoma-based technology for making rabbit monoclonal antibodies. For details on our patents, please refer to RabMAb® patents.

What are the advantages of a recombinant monoclonal antibody?
This product is a recombinant monoclonal antibody, which offers several advantages including:

  • - High batch-to-batch consistency and reproducibility
  • - Improved sensitivity and specificity
  • - Long-term security of supply
  • - Animal-free batch production

For more information, read more on recombinant antibodies.

性能和储存信息

形式
Liquid
纯化工艺
Affinity purification Protein A
存储溶液
pH: 7.2 - 7.4 Preservative: 0.01% Sodium azide Constituents: PBS, 40% Glycerol (glycerin, glycerine), 0.05% BSA
运输条件
Blue Ice
推荐的短期储存时间
1-2 weeks
推荐的短期储存条件
+4°C
推荐的长期储存条件
-20°C
分装信息
Upon delivery aliquot
储存信息
Avoid freeze / thaw cycle

补充信息

This supplementary information is collated from multiple sources and compiled automatically.

XCL1 and XCL2 also known as lymphotactin or ATAC are small proteins from the chemokine family. These proteins serve as chemotactic agents guiding the migration of immune cells to sites of inflammation or injury. XCL1 and XCL2 have an approximate molecular mass of 10 kDa. They are mainly expressed in activated T cells and natural killer (NK) cells. Their expression is most prominent in tissues involved in immune responses including spleen and lymph nodes.
Biological function summary

XCL1 and XCL2 engage in guiding lymphocytes to the site where they are needed such as inflamed or infected tissue areas. They do not form part of larger protein complexes but function independently to attract specific types of immune cells. By binding to their receptor XCR1 on dendritic cells and other immune cells they instigate responses that are critical for initiating and regulating immune surveillance and responses.

Pathways

XCL1 and XCL2 are involved in the chemokine signaling pathway that orchestrates the movement and position of immune cells within tissues. They interact with proteins such as the XCR1 receptor on cell surfaces triggering signaling cascades that facilitate inflammatory responses. The chemokine signaling pathway is closely linked with other immune pathways such as the cytokine-cytokine receptor interaction pathway allowing cross-talk and intervention of various immune mediators.

XCL1 and XCL2 have been linked to autoimmune conditions like rheumatoid arthritis and some cancer types where inflammation plays a significant role. During chronic inflammation their dysregulated expression can lead to exacerbated immune responses contributing to disease pathogenesis. The interaction with XCR1 and its presence on dendritic cells is important for understanding their involvement in such disorders. Additionally their connection to other inflammatory cytokines can amplify the inflammatory cascade impacting disease progression and patient outcomes.

产品实验方案

For this product, it's our understanding that no specific protocols are required. You can visit:

靶点信息

Chemotactic activity for lymphocytes but not for monocytes or neutrophils. In thymus, mediates medullary accumulation of thymic dendritic cells and contributes to regulatoy T cell development, playing a role in self-tolerance establishment.
See full target information XCL1

其他靶点

,

文献 (1)

Recent publications for all applications. Explore the full list and refine your search

Nature communications 16:3516 PubMed40229254

2025

Parallel comparison of T cell and B cell subpopulations of adenoid hypertrophy and tonsil hypertrophy of children.

Applications

Unspecified application

Species

Unspecified reactive species

Zihui Yu,Ziying Xu,Tongtong Fu,Shiyu Liu,Jinghua Cui,Bing Zhang,Jieqiong Liang,Chong Pang,Yuehua Ke,Ruikun Wang,Zhijie Tang,Yagang Gao,Bing Du,Yanling Feng,Hanqing Zhao,Guanhua Xue,Chao Yan,Lin Gan,Junxia Feng,Zheng Fan,Yang Yang,Lijuan Huang,Shuo Zhao,Sun Ying,Qinglong Gu,Jing Yuan
View all publications

Abcam Product Promise

我们致力于为您的研究提供高质量的试剂,为您科研的每一步提供支持。若我们的产品未能达到预期性能,我们向您提供 Abcam Product Promise 保障。
详情请参阅我们的条款与条件。

Please note: All products are 'FOR RESEARCH USE ONLY. NOT FOR USE IN DIAGNOSTIC OR THERAPEUTIC PROCEDURES'.

For licensing inquiries, please contact partnerships@abcam.com