JavaScript is disabled in your browser. Please enable JavaScript to view this website.
AB238456

重组Anti-XBP1抗体[EPR22004] - BSA and Azide free

Anti-XBP1 antibody [EPR22004] - BSA and Azide free

Be the first to review this product! Submit a review

|

(0 Publication)

Rabbit Recombinant Monoclonal XBP1 antibody. Carrier free. Suitable for IP, WB, Flow Cyt (Intra) and reacts with Human, Mouse samples.

查看别名

TREB5, XBP2, XBP1, X-box-binding protein 1, XBP-1, Tax-responsive element-binding protein 5, TREB-5

3 Images
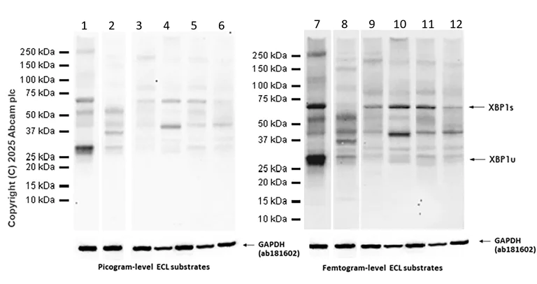
Western blot - Anti-XBP1 antibody [EPR22004] - BSA and Azide free (AB238456)
  • WB

Lab

Western blot - Anti-XBP1 antibody [EPR22004] - BSA and Azide free (AB238456)

This data was developed using ab220783, the same antibody clone in a different buffer formulation.

Blocking and diluting buffer and concentration : 5% NFDM/TBST.

In Western blot, Anti-GAPDH antibody [EPR16891] - Loading Control (ab181602) staining at 1/1000000 dilution.

Lanes 1-6 : Picogram-level ECL substrates.

Lanes 7-12 : Femtogram-level ECL substrates.

All lanes:

Western blot - Anti-XBP1 antibody [EPR22004] (<a href='/products/primary-antibodies/xbp1-antibody-epr22004-ab220783'>ab220783</a>) at 1/1000 dilution

Lanes 1 and 7:

Mouse breast tissue lysate at 20 µg

Lanes 2 and 8:

Mouse liver tissue lysate at 20 µg

Lanes 3 and 9:

Mouse testis tissue lysate at 20 µg

Lanes 4 and 10:

Mouse heart tissue lysate at 20 µg

Lanes 5 and 11:

Mouse lung tissue lysate at 20 µg

Lanes 6 and 12:

Mouse spleen tissue lysate at 20 µg

Secondary

All lanes:

Western blot - Goat Anti-Rabbit IgG H&L (HRP) (<a href='/products/secondary-antibodies/goat-rabbit-igg-h-l-hrp-ab97051'>ab97051</a>) at 1/20000 dilution

Observed band size: 27 kDa,55 kDa

false

Exposure time: 180s

Flow Cytometry (Intracellular) - Anti-XBP1 antibody [EPR22004] - BSA and Azide free (AB238456)
  • Flow Cyt (Intra)

Supplier Data

Flow Cytometry (Intracellular) - Anti-XBP1 antibody [EPR22004] - BSA and Azide free (AB238456)

Intracellular flow cytometric analysis of 4% paraformaldehyde-fixed, 90% methanol permeabilized Huh7 (human hepatocellular carcinoma epithelial cell line) cells treated with 300 nM Thapsigargin for 18 hours (red) / Untreated control (green) labeling XBP1 with ab220783 at 1/100 dilution compared with a Rabbit IgG, monoclonal [EPR25A] - Isotype Control (ab172730) (black) and an unlabeled control (cells incubated with secondary antibody only) (blue). Goat Anti-Rabbit IgG H&L (Alexa Fluor® 488) (ab150077) at 1/2000 dilution was used as the secondary antibody.

This data was developed using the same antibody clone in a different buffer formulation containing PBS, BSA, glycerol and sodium azide (ab220783).

Immunoprecipitation - Anti-XBP1 antibody [EPR22004] - BSA and Azide free (AB238456)
  • IP

Supplier Data

Immunoprecipitation - Anti-XBP1 antibody [EPR22004] - BSA and Azide free (AB238456)

XBP1 was immunoprecipitated from 0.35 mg Huh7 (human hepatocellular carcinoma epithelial cell line) treated with 300 nM Thapsigargin for 18 hours whole cell lysate with ab220783 at 1/50 dilution. Western blot was performed from the immunoprecipitate using ab220783 at 1/1000 dilution. VeriBlot for IP Detection Reagent (HRP) (ab131366), was used for detection at 1/5000 dilution.

Lane 1 : Huh7 treated with 300 nM Thapsigargin for 18 hours whole cell lysate 10 μg (Input).
Lane 2 : ab220783 IP in Huh7 treated with 300 nM Thapsigargin for 18 hours whole cell lysate (+).
Lane 3 : Rabbit monoclonal IgG (ab172730) instead of ab220783 in Huh7 treated with 300 nM Thapsigargin for 18 hours whole cell lysate (-).

Blocking/Dilution buffer : 5% NFDM/TBST.
Exposure time : 3 minutes.

This data was developed using the same antibody clone in a different buffer formulation containing PBS, BSA, glycerol, and sodium azide (ab220783).

All lanes:

Immunoprecipitation - Anti-XBP1 antibody [EPR22004] (<a href='/products/primary-antibodies/xbp1-antibody-epr22004-ab220783'>ab220783</a>)

Predicted band size: 29 kDa

false

不同偶联物与剂型 (2)

关键信息

宿主种属

Rabbit

克隆

Monoclonal

克隆号

EPR22004

亚型

IgG

不含载体蛋白

Yes

反应种属

Mouse, Human

应用

IP, WB, Flow Cyt (Intra)

applications

免疫原

The exact immunogen used to generate this antibody is proprietary information.

反应性数据

{ "title": "Reactivity Data", "filters": { "stats": ["", "Species", "Dilution Info", "Notes"], "tabs": { "all-applications": {"fullname" : "All Applications", "shortname": "All Applications"}, "IP" : {"fullname" : "Immunoprecipitation", "shortname":"IP"}, "WB" : {"fullname" : "Western blot", "shortname":"WB"}, "FlowCytIntra" : {"fullname" : "Flow Cytometry (Intracellular)", "shortname":"Flow Cyt (Intra)"} }, "product-promise": { "all": "all", "testedAndGuaranteed": "tested", "guaranteed": "expected", "predicted": "predicted", "notRecommended": "not-recommended" } }, "values": { "Human": { "IP-species-checked": "testedAndGuaranteed", "IP-species-dilution-info": "", "IP-species-notes": "<p></p>", "WB-species-checked": "guaranteed", "WB-species-dilution-info": "", "WB-species-notes": "<p></p>", "FlowCytIntra-species-checked": "testedAndGuaranteed", "FlowCytIntra-species-dilution-info": "", "FlowCytIntra-species-notes": "<p></p>" }, "Mouse": { "IP-species-checked": "guaranteed", "IP-species-dilution-info": "", "IP-species-notes": "", "WB-species-checked": "testedAndGuaranteed", "WB-species-dilution-info": "", "WB-species-notes": "<p></p>", "FlowCytIntra-species-checked": "guaranteed", "FlowCytIntra-species-dilution-info": "", "FlowCytIntra-species-notes": "" } } }

您可能对以下产品感兴趣:

AB289704

Human XBP1 ELISA Kit

0

0 Reviews

查看产品
为什么推荐这个?

我们推荐这个产品,因为它经常被用于相同的实验或相关的研究。

我们建议您务必查阅产品说明书,以确认其是否符合您的实验需求;若有疑问,也可联系我们的技术团队获取协助。

产品详情

性能和储存信息

形式
Liquid
纯化工艺
Affinity purification Protein A
存储溶液
pH: 7.2 - 7.4 Constituents: PBS
运输条件
Blue Ice
推荐的短期储存条件
+4°C
推荐的长期储存条件
+4°C
储存信息
Do Not Freeze

补充信息

This supplementary information is collated from multiple sources and compiled automatically.

XBP1 also known as X-box binding protein 1 is a transcription factor with a mass of approximately 33 kDa. It is mainly expressed in the endoplasmic reticulum of cells where it plays a significant role in regulating the unfolded protein response (UPR). XBP1 exists in two forms: an unspliced form (XBP1u) and a spliced form (XBP1s). The splicing of XBP1 mRNA is mediated by the endoribonuclease IRE1 and is a response to endoplasmic reticulum stress. This process results in a shift of the reading frame which leads to the production of a new functional transcription factor.
Biological function summary

The action of XBP1 participates in processes critical for cell survival under stress conditions particularly in the UPR. It activates genes involved in protein folding secretion and degradation to alleviate stress within the endoplasmic reticulum. XBP1 acts as part of the larger mechanism that ensures cellular homeostasis by maintaining protein quality control. It forms a complex network with other transcription factors ensuring an integrated response to stress stimuli in various tissues including pancreatic beta cells and immune cells.

Pathways

XBP1 functions intricately within the UPR and is linked to the insulin signaling pathway. It works alongside proteins such as ATF6 and PERK to coordinate the cellular response to endoplasmic reticulum stress and sustain essential cellular processes. The IRE1-XBP1 pathway represents one arm of the UPR and shows interaction with C/EBP homologous protein (CHOP) as part of the stress signaling pathways modulating apoptosis if adaptation fails. XBP1 also influences lipid metabolism and cellular differentiation through its pathway connections impacting wide-ranging physiological processes.

Dysfunctions of XBP1 have associations with metabolic diseases and multiple myeloma. Altered XBP1 activity links to diabetes due to its role in protein homeostasis in pancreatic beta cells involving modulation of insulin secretion and sensitivity. In cancer particularly multiple myeloma XBP1 interacts with proteins such as B-cell maturation antigen (BCMA) influencing cell survival and proliferation. Targeting the XBP1 signaling axis shows potential as a therapeutic strategy for managing disorders resulting from dysregulated protein folding and stress responses.

产品实验方案

For this product, it's our understanding that no specific protocols are required. You can visit:

靶点信息

Functions as a transcription factor during endoplasmic reticulum (ER) stress by regulating the unfolded protein response (UPR). Required for cardiac myogenesis and hepatogenesis during embryonic development, and the development of secretory tissues such as exocrine pancreas and salivary gland (By similarity). Involved in terminal differentiation of B lymphocytes to plasma cells and production of immunoglobulins (PubMed : 11460154). Modulates the cellular response to ER stress in a PIK3R-dependent manner (PubMed : 20348923). Binds to the cis-acting X box present in the promoter regions of major histocompatibility complex class II genes (PubMed : 8349596). Involved in VEGF-induced endothelial cell (EC) proliferation and retinal blood vessel formation during embryonic development but also for angiogenesis in adult tissues under ischemic conditions. Functions also as a major regulator of the UPR in obesity-induced insulin resistance and type 2 diabetes for the management of obesity and diabetes prevention (By similarity).. Isoform 1. Plays a role in the unconventional cytoplasmic splicing processing of its own mRNA triggered by the endoplasmic reticulum (ER) transmembrane endoribonuclease ERN1 : upon ER stress, the emerging XBP1 polypeptide chain, as part of a mRNA-ribosome-nascent chain (R-RNC) complex, cotranslationally recruits its own unprocessed mRNA through transient docking to the ER membrane and translational pausing, therefore facilitating efficient IRE1-mediated XBP1 mRNA isoform 2 production (PubMed : 19394296, PubMed : 21233347). In endothelial cells (EC), associated with KDR, promotes IRE1-mediated XBP1 mRNA isoform 2 productions in a vascular endothelial growth factor (VEGF)-dependent manner, leading to EC proliferation and angiogenesis (PubMed : 23529610). Functions as a negative feed-back regulator of the potent transcription factor XBP1 isoform 2 protein levels through proteasome-mediated degradation, thus preventing the constitutive activation of the ER stress response signaling pathway (PubMed : 16461360, PubMed : 25239945). Inhibits the transactivation activity of XBP1 isoform 2 in myeloma cells (By similarity). Acts as a weak transcriptional factor (PubMed : 8657566). Together with HDAC3, contributes to the activation of NFE2L2-mediated HMOX1 transcription factor gene expression in a PI(3)K/mTORC2/Akt-dependent signaling pathway leading to EC survival under disturbed flow/oxidative stress (PubMed : 25190803). Binds to the ER stress response element (ERSE) upon ER stress (PubMed : 11779464). Binds to the consensus 5'-GATGACGTG[TG]N(3)[AT]T-3' sequence related to cAMP responsive element (CRE)-like sequences (PubMed : 8657566). Binds the Tax-responsive element (TRE) present in the long terminal repeat (LTR) of T-cell leukemia virus type 1 (HTLV-I) and to the TPA response elements (TRE) (PubMed : 1903538, PubMed : 2196176, PubMed : 2321018, PubMed : 8657566). Associates preferentially to the HDAC3 gene promoter region in a static flow-dependent manner (PubMed : 25190803). Binds to the CDH5/VE-cadherin gene promoter region (PubMed : 19416856).. Isoform 2. Functions as a stress-inducible potent transcriptional activator during endoplasmic reticulum (ER) stress by inducing unfolded protein response (UPR) target genes via binding to the UPR element (UPRE). Up-regulates target genes encoding ER chaperones and ER-associated degradation (ERAD) components to enhance the capacity of productive folding and degradation mechanism, respectively, in order to maintain the homeostasis of the ER under ER stress (PubMed : 11779464, PubMed : 25239945). Plays a role in the production of immunoglobulins and interleukin-6 in the presence of stimuli required for plasma cell differentiation (By similarity). Induces phospholipid biosynthesis and ER expansion (PubMed : 15466483). Contributes to the VEGF-induced endothelial cell (EC) growth and proliferation in a Akt/GSK-dependent and/or -independent signaling pathway, respectively, leading to beta-catenin nuclear translocation and E2F2 gene expression (PubMed : 23529610). Promotes umbilical vein EC apoptosis and atherosclerotisis development in a caspase-dependent signaling pathway, and contributes to VEGF-induced EC proliferation and angiogenesis in adult tissues under ischemic conditions (PubMed : 19416856, PubMed : 23529610). Involved in the regulation of endostatin-induced autophagy in EC through BECN1 transcriptional activation (PubMed : 23184933). Plays a role as an oncogene by promoting tumor progression : stimulates zinc finger protein SNAI1 transcription to induce epithelial-to-mesenchymal (EMT) transition, cell migration and invasion of breast cancer cells (PubMed : 25280941). Involved in adipocyte differentiation by regulating lipogenic gene expression during lactation. Plays a role in the survival of both dopaminergic neurons of the substantia nigra pars compacta (SNpc), by maintaining protein homeostasis and of myeloma cells. Increases insulin sensitivity in the liver as a response to a high carbohydrate diet, resulting in improved glucose tolerance. Improves also glucose homeostasis in an ER stress- and/or insulin-independent manner through both binding and proteasome-induced degradation of the transcription factor FOXO1, hence resulting in suppression of gluconeogenic genes expression and in a reduction of blood glucose levels. Controls the induction of de novo fatty acid synthesis in hepatocytes by regulating the expression of a subset of lipogenic genes in an ER stress- and UPR-independent manner (By similarity). Associates preferentially to the HDAC3 gene promoter region in a disturbed flow-dependent manner (PubMed : 25190803). Binds to the BECN1 gene promoter region (PubMed : 23184933). Binds to the CDH5/VE-cadherin gene promoter region (PubMed : 19416856). Binds to the ER stress response element (ERSE) upon ER stress (PubMed : 11779464). Binds to the 5'-CCACG-3' motif in the PPARG promoter (By similarity).
See full target information XBP1

Abcam Product Promise

我们致力于为您的研究提供高质量的试剂,为您科研的每一步提供支持。若我们的产品未能达到预期性能,我们向您提供 Abcam Product Promise 保障。
详情请参阅我们的条款与条件。

关联产品

Select an associated product type
Alternative Product
Primary Antibodies

AB37152

Anti-XBP1 antibody

primary-antibodies

xbp1-antibody-ab37152

5

(28 reviews)

Alternative Product
Primary Antibodies

AB241571

Anti-XBP1 antibody [143F]

primary-antibodies

xbp1-antibody-143f-ab241571

0

(0 reviews)

Alternative Product
Primary Antibodies

AB85546

Anti-XBP1 antibody

primary-antibodies

xbp1-antibody-ab85546

5

(6 reviews)

Alternative Product
Primary Antibodies

AB252780

Anti-XBP1 antibody [143F] - BSA and Azide free

primary-antibodies

xbp1-antibody-143f-bsa-and-azide-free-ab252780

0

(0 reviews)

Please note: All products are 'FOR RESEARCH USE ONLY. NOT FOR USE IN DIAGNOSTIC OR THERAPEUTIC PROCEDURES'.

For licensing inquiries, please contact partnerships@abcam.com