JavaScript is disabled in your browser. Please enable JavaScript to view this website.
AB235388

重组Anti-WSTF抗体[EP1704Y] - BSA and Azide free

Anti-WSTF antibody [EP1704Y] - BSA and Azide free

Be the first to review this product! Submit a review

|

(1 Publication)

Rabbit Recombinant Monoclonal WSTF antibody. Carrier free. Suitable for IHC-P, WB, ICC/IF, Flow Cyt (Intra) and reacts with Mouse, Rat, Human samples. Cited in 1 publication.

查看别名

WBSC10, WBSCR10, WBSCR9, WSTF, BAZ1B, Tyrosine-protein kinase BAZ1B, Bromodomain adjacent to zinc finger domain protein 1B, Williams syndrome transcription factor, Williams-Beuren syndrome chromosomal region 10 protein, Williams-Beuren syndrome chromosomal region 9 protein, hWALp2

7 Images
Immunocytochemistry/ Immunofluorescence - Anti-WSTF antibody [EP1704Y] - BSA and Azide free (AB235388)
  • ICC/IF

Supplier Data

Immunocytochemistry/ Immunofluorescence - Anti-WSTF antibody [EP1704Y] - BSA and Azide free (AB235388)

This data was developed using ab51256, the same antibody clone in a different buffer formulation.
Immunocytochemistry analysis of HeLa (Human cervix adenocarcinoma epithelial cell) cells labeling WSTF with Purified ab51256 at 1 : 50 dilution (2.9 µg/ml). Cells were fixed in 4% Paraformaldehyde and permeabilized with 0.1% tritonX-100. Cells were counterstained with ab195889 Anti-alpha Tubulin antibody [DM1A] - Microtubule Marker (Alexa Fluor® 594) 1 : 200 (2.5 µg/ml). Goat anti rabbit IgG (Alexa Fluor® 488, ab150077) was used as the secondary antibody at 1 : 1000 (2 µg/ml) dilution. DAPI (blue) was used as nuclear counterstain. PBS instead of the primary antibody was used as the secondary antibody only control.

Flow Cytometry (Intracellular) - Anti-WSTF antibody [EP1704Y] - BSA and Azide free (AB235388)
  • Flow Cyt (Intra)

Supplier Data

Flow Cytometry (Intracellular) - Anti-WSTF antibody [EP1704Y] - BSA and Azide free (AB235388)

This data was developed using ab51256, the same antibody clone in a different buffer formulation.
Flow Cytometry analysis of HeLa (Human cervix adenocarcinoma epithelial cell) cells labelling WSTF with Purified ab51256 at 1 : 20 dilution (10 µg/ml) (Red). Cells were fixed with 4% Paraformaldehyde and permeabilised with 90% Methanol. A Goat anti rabbit IgG (Alexa Fluor® 488, ab150077) secondary antibody was used at 1 : 2000. Isotype control - Rabbit monoclonal IgG (Black). Unlabelled control - Cell without incubation with primary antibody and secondary antibody (Blue).

Immunohistochemistry (Formalin/PFA-fixed paraffin-embedded sections) - Anti-WSTF antibody [EP1704Y] - BSA and Azide free (AB235388)
  • IHC-P

Supplier Data

Immunohistochemistry (Formalin/PFA-fixed paraffin-embedded sections) - Anti-WSTF antibody [EP1704Y] - BSA and Azide free (AB235388)

This data was developed using ab51256, the same antibody clone in a different buffer formulation.
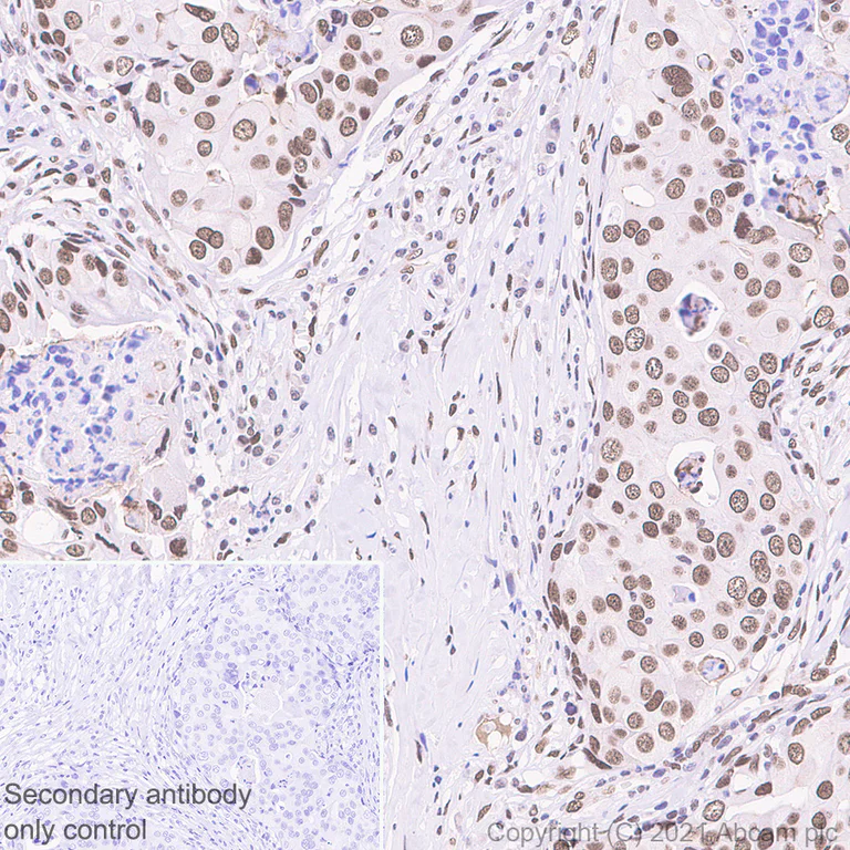
Immunohistochemistry (Formalin/PFA-fixed paraffin-embedded sections) analysis of human breast carcinoma tissue sections labeling WSTF with Purified ab51256 at 1 : 700 dilution (0.211 µg/ml). Heat mediated antigen retrieval was performed using Heat mediated antigen retrieval using ab93678 (citrate buffer, pH 6.0). Tissue was counterstained with Hematoxylin. ImmunoHistoProbe one step HRP Polymer (ready to use) secondary antibody was used. PBS instead of the primary antibody was used as the negative control.

Immunohistochemistry (Formalin/PFA-fixed paraffin-embedded sections) - Anti-WSTF antibody [EP1704Y] - BSA and Azide free (AB235388)
  • IHC-P

Supplier Data

Immunohistochemistry (Formalin/PFA-fixed paraffin-embedded sections) - Anti-WSTF antibody [EP1704Y] - BSA and Azide free (AB235388)

This data was developed using ab51256, the same antibody clone in a different buffer formulation.
Immunohistochemistry (Formalin/PFA-fixed paraffin-embedded sections) analysis of rat cardiac muscle tissue sections labeling WSTF with Purified ab51256 at 1 : 700 dilution (0.211 µg/ml). Heat mediated antigen retrieval was performed using Heat mediated antigen retrieval using ab93678 (citrate buffer, pH 6.0). Tissue was counterstained with Hematoxylin. ImmunoHistoProbe one step HRP Polymer (ready to use) secondary antibody was used. PBS instead of the primary antibody was used as the negative control.

Immunohistochemistry (Formalin/PFA-fixed paraffin-embedded sections) - Anti-WSTF antibody [EP1704Y] - BSA and Azide free (AB235388)
  • IHC-P

Supplier Data

Immunohistochemistry (Formalin/PFA-fixed paraffin-embedded sections) - Anti-WSTF antibody [EP1704Y] - BSA and Azide free (AB235388)

This data was developed using ab51256, the same antibody clone in a different buffer formulation.
Immunohistochemistry (Formalin/PFA-fixed paraffin-embedded sections) analysis of mouse cardiac muscle tissue sections labeling WSTF with Purified ab51256 at 1 : 700 dilution (0.211 µg/ml). Heat mediated antigen retrieval was performed using Heat mediated antigen retrieval using ab93678 (citrate buffer, pH 6.0). Tissue was counterstained with Hematoxylin. ImmunoHistoProbe one step HRP Polymer (ready to use) secondary antibody was used. PBS instead of the primary antibody was used as the negative control.

Western blot - Anti-WSTF antibody [EP1704Y] - BSA and Azide free (AB235388)
  • WB

Lab

Western blot - Anti-WSTF antibody [EP1704Y] - BSA and Azide free (AB235388)

This data was developed using the same antibody clone in a different buffer formulation (ab51256).

Lanes 1- 2 : Merged signal (red and green). Green - ab51256 observed at 175 kDa. Red - Anti-alpha Tubulin antibody [DM1A] - Loading Control (ab7291) observed at 50 kDa.

ab51256 was shown to react with WSTF in wild-type HeLa cells in western blot. Loss of signal was observed when knockout cell line ab264907 (knockout cell lysate ab257370) was used. Wild-type HeLa and BAZ1B knockout HeLa cell lysates were subjected to SDS-PAGE. Membrane was blocked for 1 hour at room temperature in 0.1% TBST with 3% non-fat dried milk. ab51256 and Anti-alpha Tubulin antibody [DM1A] - Loading Control (ab7291) overnight at 4°C at a 1 in 15000 dilution and a 1 in 20000 dilution respectively. Blots were developed with Goat anti-Rabbit IgG H&L (IRDye®800CW) preadsorbed (ab216773) and Goat anti-Mouse IgG H&L (IRDye®680RD) preadsorbed (ab216776) secondary antibodies at 1 in 20000 dilution for 1 hour at room temperature before imaging.

All lanes:

Western blot - Anti-WSTF antibody [EP1704Y] (<a href='/products/primary-antibodies/wstf-antibody-ep1704y-ab51256'>ab51256</a>) at 1/15000 dilution

Lane 1:

Wild-type HeLa cell lysate at 20 µg

Lane 2:

BAZ1B knockout HeLa cell lysate at 20 µg

Lane 2:

Western blot - Human BAZ1B (WSTF) knockout HeLa cell line (<a href='/products/cell-lines/human-baz1b-wstf-knockout-hela-cell-line-ab264907'>ab264907</a>)

Predicted band size: 171 kDa

Observed band size: 175 kDa

false

Western blot - Anti-WSTF antibody [EP1704Y] - BSA and Azide free (AB235388)
  • WB

Unknown

Western blot - Anti-WSTF antibody [EP1704Y] - BSA and Azide free (AB235388)

This WB data was generated using the same anti-WSTF antibody clone, EP1704Y, in a different buffer formulation (cat# ab51256).

Lanes 1 - 4 : Merged signal (red and green). Green - ab51256 observed at 175 kDa. Red - loading control, ab18058, observed at 124 kDa.

ab51265 was shown to recognize WSTF in wilt-type cells along with additional cross-reactive bands as signal was lost in WSTF knockout samples. Wild-type and WSTF knockout samples were subjected to SDS-PAGE. ab51256 and ab18058 (loading control to vinculin) were diluted 1/15 000 and 1/10 000 respectively and incubated overnight at 4°C. Blots were developed with Goat anti-Rabbit IgG H&L (IRDye® 800CW) preadsorbed (ab216773) and Goat anti-Mouse IgG H&L (IRDye® 680RD) preadsorbed (ab216776) secondary antibodies at 1/10000 dilution for 1 hour at room temperature before imaging.

All lanes:

Western blot - Anti-WSTF antibody [EP1704Y] (<a href='/products/primary-antibodies/wstf-antibody-ep1704y-ab51256'>ab51256</a>) at 1/15000 dilution

Lane 1:

Wild-type HAP1 cell lysate at 20 µg

Lane 2:

WSTF knockout HAP1 cell lysate at 20 µg

Lane 3:

HeLa cell lysate at 20 µg

Lane 4:

PC12 cell lysate at 20 µg

Predicted band size: 171 kDa

false

关键信息

宿主种属

Rabbit

克隆

Monoclonal

克隆号

EP1704Y

亚型

IgG

不含载体蛋白

Yes

反应种属

Mouse, Rat, Human

应用

Flow Cyt (Intra), ICC/IF, IHC-P, WB

applications

免疫原

The exact immunogen used to generate this antibody is proprietary information.

反应性数据

{ "title": "Reactivity Data", "filters": { "stats": ["", "Species", "Dilution Info", "Notes"], "tabs": { "all-applications": {"fullname" : "All Applications", "shortname": "All Applications"}, "IHCP" : {"fullname" : "Immunohistochemistry (Formalin/PFA-fixed paraffin-embedded sections)", "shortname":"IHC-P"}, "WB" : {"fullname" : "Western blot", "shortname":"WB"}, "ICCIF" : {"fullname" : "Immunocytochemistry/ Immunofluorescence", "shortname":"ICC/IF"}, "FlowCytIntra" : {"fullname" : "Flow Cytometry (Intracellular)", "shortname":"Flow Cyt (Intra)"} }, "product-promise": { "all": "all", "testedAndGuaranteed": "tested", "guaranteed": "expected", "predicted": "predicted", "notRecommended": "not-recommended" } }, "values": { "Human": { "IHCP-species-checked": "testedAndGuaranteed", "IHCP-species-dilution-info": "", "IHCP-species-notes": "<p></p>", "WB-species-checked": "testedAndGuaranteed", "WB-species-dilution-info": "", "WB-species-notes": "<p></p>", "ICCIF-species-checked": "testedAndGuaranteed", "ICCIF-species-dilution-info": "", "ICCIF-species-notes": "<p></p>", "FlowCytIntra-species-checked": "testedAndGuaranteed", "FlowCytIntra-species-dilution-info": "", "FlowCytIntra-species-notes": "<p></p>" }, "Mouse": { "IHCP-species-checked": "testedAndGuaranteed", "IHCP-species-dilution-info": "", "IHCP-species-notes": "<p></p>", "WB-species-checked": "testedAndGuaranteed", "WB-species-dilution-info": "", "WB-species-notes": "<p></p>", "ICCIF-species-checked": "guaranteed", "ICCIF-species-dilution-info": "", "ICCIF-species-notes": "", "FlowCytIntra-species-checked": "guaranteed", "FlowCytIntra-species-dilution-info": "", "FlowCytIntra-species-notes": "" }, "Rat": { "IHCP-species-checked": "testedAndGuaranteed", "IHCP-species-dilution-info": "", "IHCP-species-notes": "<p></p>", "WB-species-checked": "testedAndGuaranteed", "WB-species-dilution-info": "", "WB-species-notes": "<p></p>", "ICCIF-species-checked": "guaranteed", "ICCIF-species-dilution-info": "", "ICCIF-species-notes": "", "FlowCytIntra-species-checked": "guaranteed", "FlowCytIntra-species-dilution-info": "", "FlowCytIntra-species-notes": "" } } }

产品详情

ab235388 is the carrier-free version of ab51256.

Patented technology
Our RabMAb® technology is a patented hybridoma-based technology for making rabbit monoclonal antibodies. For details on our patents, please refer to RabMAb® patents.

What are the advantages of a recombinant monoclonal antibody?
This product is a recombinant monoclonal antibody, which offers several advantages including:

  • - High batch-to-batch consistency and reproducibility
  • - Improved sensitivity and specificity
  • - Long-term security of supply
  • - Animal-free batch production

For more information, read more on recombinant antibodies.

Conjugation ready
Our carrier-free antibodies are typically supplied in a PBS-only formulation, purified and free of BSA, sodium azide and glycerol. This conjugation-ready format is designed for use with fluorochromes, metal isotopes, oligonucleotides, and enzymes, which makes them ideal for antibody labelling, functional and cell-based assays, flow-based assays (e.g. mass cytometry) and Multiplex Imaging applications.

Use our conjugation kits for antibody conjugates that are ready-to-use in as little as 20 minutes with 1 minute hands-on-time and 100% antibody recovery: available for fluorescent dyes, HRP, biotin and gold.

Compatibility
This product is compatible with the Maxpar® Antibody Labeling Kit from Fluidigm, without the need for antibody preparation. Maxpar® is a trademark of Fluidigm Canada Inc.

性能和储存信息

形式
Liquid
纯化工艺
Affinity purification Protein A
存储溶液
pH: 7.2 - 7.4 Constituents: PBS
运输条件
Blue Ice
推荐的短期储存条件
+4°C
推荐的长期储存条件
+4°C
储存信息
Do Not Freeze

补充信息

This supplementary information is collated from multiple sources and compiled automatically.

WSTF also known as Williams Syndrome Transcription Factor or BAZ1B is a versatile protein with an estimated mass around 175 kDa. It is a component of the nucleosome remodeling factor (NURF) and the Williams-Beuren syndrome chromosome region 17 (WBSCR17) complex. WSTF has widespread expression in various tissues including the brain and heart which highlights its involvement in diverse cellular processes. Functionally it facilitates chromatin remodeling by altering the structure of nucleosomes which is vital for DNA accessibility in transcription DNA repair and replication.
Biological function summary

Since WSTF participates in chromatin structure modulation it plays a considerable role in transcriptional regulation. It is a part of the NURF complex which makes it essential for DNA accessibility and gene expression. The complex interacts with other proteins to allow chromatin to accommodate active transcription by repositioning nucleosomes. WSTF also has a kinase domain that phosphorylates histone H2A. This phosphorylation integrates signals that coordinate transcription and DNA damage repair mechanisms highlighting its multifunctional nature in maintaining genomic stability.

Pathways

WSTF has pivotal roles in the chromatin remodeling and DNA repair pathways. The chromatin remodeling pathway involves WSTF's interaction with the transcription factor complex influencing gene accessibility and expression. WSTF in the DNA repair pathway ensures proper genomic integrity through its association with proteins like BRCA1 highlighting its participation in the cellular response to DNA damage. By engaging with these pathways WSTF contributes to the cell's ability to regulate the genome and respond to damage efficiently.

WSTF is significantly connected to Williams-Beuren syndrome and certain cancers. Williams-Beuren syndrome a developmental disorder arises from the deletion of the region on chromosome 7 involving the WSTF gene affecting brain and heart function. In certain cancers aberrant expression or mutations within the WSTF gene are associated with uncontrolled chromatin remodeling contributing to tumorigenesis. Through these disorders WSTF shows its interaction with proteins like SMARCA1 in chromatin remodeling anomalies emphasizing its importance in disease progression and cellular dysfunction.

产品实验方案

For this product, it's our understanding that no specific protocols are required. You can visit:

靶点信息

Atypical tyrosine-protein kinase that plays a central role in chromatin remodeling and acts as a transcription regulator (PubMed : 19092802). Involved in DNA damage response by phosphorylating 'Tyr-142' of histone H2AX (H2AXY142ph) (PubMed : 19092802, PubMed : 19234442). H2AXY142ph plays a central role in DNA repair and acts as a mark that distinguishes between apoptotic and repair responses to genotoxic stress (PubMed : 19092802, PubMed : 19234442). Regulatory subunit of the ATP-dependent WICH-1 and WICH-5 ISWI chromatin remodeling complexes, which form ordered nucleosome arrays on chromatin and facilitate access to DNA during DNA-templated processes such as DNA replication, transcription, and repair (PubMed : 11980720, PubMed : 28801535). Both complexes regulate the spacing of nucleosomes along the chromatin and have the ability to slide mononucleosomes to the center of a DNA template (PubMed : 28801535). The WICH-1 ISWI chromatin remodeling complex has a lower ATP hydrolysis rate than the WICH-5 ISWI chromatin remodeling complex (PubMed : 28801535). The WICH-5 ISWI chromatin-remodeling complex regulates the transcription of various genes, has a role in RNA polymerase I transcription (By similarity). Within the B-WICH complex has a role in RNA polymerase III transcription (PubMed : 16603771). Mediates the recruitment of the WICH-5 ISWI chromatin remodeling complex to replication foci during DNA replication (PubMed : 15543136).
See full target information BAZ1B

文献 (1)

Recent publications for all applications. Explore the full list and refine your search

Oxidative medicine and cellular longevity 2021:8240015 PubMed34777696

2021

Silencing LINC00294 Restores Mitochondrial Function and Inhibits Apoptosis of Glioma Cells under Hypoxia via the miR-21-5p/CASKIN1/cAMP Axis.

Applications

Unspecified application

Species

Unspecified reactive species

Xiaogang Dong,Qin Pi,Anwaier Yuemaierabola,Wenjia Guo,Hailong Tian
View all publications

Abcam Product Promise

我们致力于为您的研究提供高质量的试剂,为您科研的每一步提供支持。若我们的产品未能达到预期性能,我们向您提供 Abcam Product Promise 保障。
详情请参阅我们的条款与条件。

Please note: All products are 'FOR RESEARCH USE ONLY. NOT FOR USE IN DIAGNOSTIC OR THERAPEUTIC PROCEDURES'.

For licensing inquiries, please contact partnerships@abcam.com