JavaScript is disabled in your browser. Please enable JavaScript to view this website.
AB51256

重组Anti-WSTF抗体[EP1704Y]

Anti-WSTF antibody [EP1704Y]

4

(2 Reviews)

|

(11 Publications)

Rabbit Recombinant Monoclonal WSTF antibody. Suitable for IHC-P, WB, ICC/IF, Flow Cyt (Intra) and reacts with Mouse, Rat, Human samples. Cited in 11 publications.

查看别名

WBSC10, WBSCR10, WBSCR9, WSTF, BAZ1B, Tyrosine-protein kinase BAZ1B, Bromodomain adjacent to zinc finger domain protein 1B, Williams syndrome transcription factor, Williams-Beuren syndrome chromosomal region 10 protein, Williams-Beuren syndrome chromosomal region 9 protein, hWALp2

10 Images
Flow Cytometry (Intracellular) - Anti-WSTF antibody [EP1704Y] (AB51256)
  • Flow Cyt (Intra)

Supplier Data

Flow Cytometry (Intracellular) - Anti-WSTF antibody [EP1704Y] (AB51256)

Flow Cytometry analysis of HeLa (Human cervix adenocarcinoma epithelial cell) cells labelling WSTF with Purified ab51256 at 1 : 20 dilution (10 µg/ml) (Red). Cells were fixed with 4% Paraformaldehyde and permeabilised with 90% Methanol. A Goat anti rabbit IgG (Alexa Fluor® 488, ab150077) secondary antibody was used at 1 : 2000. Isotype control - Rabbit monoclonal IgG (Black). Unlabelled control - Cell without incubation with primary antibody and secondary antibody (Blue).

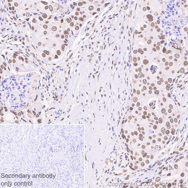
Immunohistochemistry (Formalin/PFA-fixed paraffin-embedded sections) - Anti-WSTF antibody [EP1704Y] (AB51256)
  • IHC-P

Supplier Data

Immunohistochemistry (Formalin/PFA-fixed paraffin-embedded sections) - Anti-WSTF antibody [EP1704Y] (AB51256)

Immunohistochemistry (Formalin/PFA-fixed paraffin-embedded sections) analysis of human breast carcinoma tissue sections labeling WSTF with Purified ab51256 at 1 : 700 dilution (0.211 µg/ml). Heat mediated antigen retrieval was performed using Heat mediated antigen retrieval using ab93678 (citrate buffer, pH 6.0). Tissue was counterstained with Hematoxylin. ImmunoHistoProbe one step HRP Polymer (ready to use) secondary antibody was used. PBS instead of the primary antibody was used as the negative control.

Immunocytochemistry/ Immunofluorescence - Anti-WSTF antibody [EP1704Y] (AB51256)
  • ICC/IF

Supplier Data

Immunocytochemistry/ Immunofluorescence - Anti-WSTF antibody [EP1704Y] (AB51256)

Immunocytochemistry analysis of HeLa (Human cervix adenocarcinoma epithelial cell) cells labeling WSTF with Purified ab51256 at 1 : 50 dilution (2.9 µg/ml). Cells were fixed in 4% Paraformaldehyde and permeabilized with 0.1% tritonX-100. Cells were counterstained with ab195889 Anti-alpha Tubulin antibody [DM1A] - Microtubule Marker (Alexa Fluor® 594) 1 : 200 (2.5 µg/ml). Goat anti rabbit IgG (Alexa Fluor® 488, ab150077) was used as the secondary antibody at 1 : 1000 (2 µg/ml) dilution. DAPI (blue) was used as nuclear counterstain. PBS instead of the primary antibody was used as the secondary antibody only control.

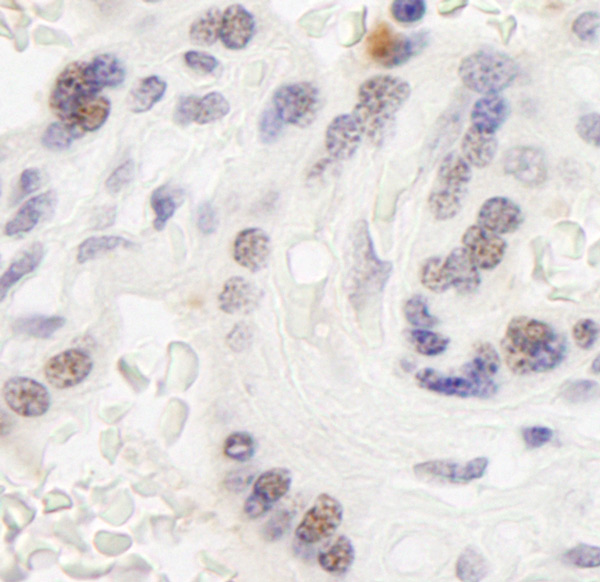
Immunohistochemistry (Formalin/PFA-fixed paraffin-embedded sections) - Anti-WSTF antibody [EP1704Y] (AB51256)
  • IHC-P

Supplier Data

Immunohistochemistry (Formalin/PFA-fixed paraffin-embedded sections) - Anti-WSTF antibody [EP1704Y] (AB51256)

Immunohistochemistry (Formalin/PFA-fixed paraffin-embedded sections) analysis of rat cardiac muscle tissue sections labeling WSTF with Purified ab51256 at 1 : 700 dilution (0.211 µg/ml). Heat mediated antigen retrieval was performed using Heat mediated antigen retrieval using ab93678 (citrate buffer, pH 6.0). Tissue was counterstained with Hematoxylin. ImmunoHistoProbe one step HRP Polymer (ready to use) secondary antibody was used. PBS instead of the primary antibody was used as the negative control.

Immunohistochemistry (Formalin/PFA-fixed paraffin-embedded sections) - Anti-WSTF antibody [EP1704Y] (AB51256)
  • IHC-P

Supplier Data

Immunohistochemistry (Formalin/PFA-fixed paraffin-embedded sections) - Anti-WSTF antibody [EP1704Y] (AB51256)

Immunohistochemistry (Formalin/PFA-fixed paraffin-embedded sections) analysis of mouse cardiac muscle tissue sections labeling WSTF with Purified ab51256 at 1 : 700 dilution (0.211 µg/ml). Heat mediated antigen retrieval was performed using Heat mediated antigen retrieval using ab93678 (citrate buffer, pH 6.0). Tissue was counterstained with Hematoxylin. ImmunoHistoProbe one step HRP Polymer (ready to use) secondary antibody was used. PBS instead of the primary antibody was used as the negative control.

Western blot - Anti-WSTF antibody [EP1704Y] (AB51256)
  • WB

Unknown

Western blot - Anti-WSTF antibody [EP1704Y] (AB51256)

Lanes 1 - 4 : Merged signal (red and green). Green - ab51256 observed at 175 kDa. Red - loading control, ab18058, observed at 124 kDa.

ab51265 was shown to recognize WSTF in wilt-type cells along with additional cross-reactive bands as signal was lost in WSTF knockout samples. Wild-type and WSTF knockout samples were subjected to SDS-PAGE. ab51256 and ab18058 (loading control to vinculin) were diluted 1/15 000 and 1/10 000 respectively and incubated overnight at 4°C. Blots were developed with Goat anti-Rabbit IgG H&L (IRDye® 800CW) preadsorbed (ab216773) and Goat anti-Mouse IgG H&L (IRDye® 680RD) preadsorbed (ab216776) secondary antibodies at 1/10000 dilution for 1 hour at room temperature before imaging.

All lanes:

Western blot - Anti-WSTF antibody [EP1704Y] (ab51256) at 1/15000 dilution

Lane 1:

Wild-type HAP1 cell lysate at 20 µg

Lane 2:

WSTF knockout HAP1 cell lysate at 20 µg

Lane 3:

HeLa cell lysate at 20 µg

Lane 4:

PC12 cell lysate at 20 µg

Predicted band size: 171 kDa

false

Western blot - Anti-WSTF antibody [EP1704Y] (AB51256)
  • WB

Unknown

Western blot - Anti-WSTF antibody [EP1704Y] (AB51256)

Exposure time

Lane 1 : 10 seconds

Lane 2 : 40 seconds

Lane 3 : 180 seconds

All lanes:

Western blot - Anti-WSTF antibody [EP1704Y] (ab51256) at 1/5000 dilution

Lane 1:

B16-F0 (Mouse melanoma epithelial cell-like) whole cell lysate at 15 µg

Lane 2:

Mouse testis lysate at 15 µg

Lane 3:

Rat testis lysate at 15 µg

Secondary

All lanes:

Western blot - Goat Anti-Rabbit IgG H&L (HRP) (<a href='/products/secondary-antibodies/goat-rabbit-igg-h-l-hrp-ab97051'>ab97051</a>) at 1/20000 dilution

Predicted band size: 171 kDa

Observed band size: 185 kDa

false

Western blot - Anti-WSTF antibody [EP1704Y] (AB51256)
  • WB

Unknown

Western blot - Anti-WSTF antibody [EP1704Y] (AB51256)

Exposure time :

Left image : 180 seconds

Right image : 40 seconds

We recommend to use ab109439 for WSTF Western Blot testing because ab51256 detects nonspecific bands.

All lanes:

Western blot - Anti-WSTF antibody [EP1704Y] (ab51256) at 1/20000 dilution

Lane 1:

HeLa (Human cervix adenocarcinoma epithelial cell) whole cell lysate at 20 µg

Lane 2:

T-47D (Human ductal breast epithelial tumor epithelial cell) whole cell lysate at 20 µg

Lane 3:

MCF7 (Human breast adenocarcinoma epithelial cell) whole cell lysate at 20 µg

Secondary

All lanes:

Western blot - Goat Anti-Rabbit IgG H&L (HRP) (<a href='/products/secondary-antibodies/goat-rabbit-igg-h-l-hrp-ab97051'>ab97051</a>) at 1/20000 dilution

Predicted band size: 171 kDa

false

Western blot - Anti-WSTF antibody [EP1704Y] (AB51256)
  • WB

Lab

Western blot - Anti-WSTF antibody [EP1704Y] (AB51256)

Lanes 1- 2 : Merged signal (red and green). Green - ab51256 observed at 175 kDa. Red - Anti-alpha Tubulin antibody [DM1A] - Loading Control (ab7291) observed at 50 kDa.

ab51256 was shown to react with WSTF in wild-type HeLa cells in western blot. Loss of signal was observed when knockout cell line ab264907 (knockout cell lysate ab257370) was used. Wild-type HeLa and WSTF knockout HeLa cell lysates were subjected to SDS-PAGE. Membrane was blocked for 1 hour at room temperature in 0.1% TBST with 3% non-fat dried milk. ab51256 and Anti-alpha Tubulin antibody [DM1A] - Loading Control (ab7291) overnight at 4°C at a 1 in 15000 dilution and a 1 in 20000 dilution respectively. Blots were developed with Goat anti-Rabbit IgG H&L (IRDye®800CW) preadsorbed (ab216773) and Goat anti-Mouse IgG H&L (IRDye®680RD) preadsorbed (ab216776) secondary antibodies at 1 in 20000 dilution for 1 hour at room temperature before imaging.

All lanes:

Western blot - Anti-WSTF antibody [EP1704Y] (ab51256) at 1/15000 dilution

Lane 1:

Wild-type HeLa cell lysate at 20 µg

Lane 2:

BAZ1B knockout HeLa cell lysate at 20 µg

Lane 2:

Western blot - Human BAZ1B (WSTF) knockout HeLa cell line (<a href='/products/cell-lines/human-baz1b-wstf-knockout-hela-cell-line-ab264907'>ab264907</a>)

Predicted band size: 171 kDa

Observed band size: 175 kDa

false

Western blot - Anti-WSTF antibody [EP1704Y] (AB51256)
  • WB

CiteAb

Western blot - Anti-WSTF antibody [EP1704Y] (AB51256)

WSTF western blot using anti-WSTF antibody [EP1704Y] ab51256. Publication image and figure legend from Liu, Y., Wang, S. Q., et al., 2016, Oncotarget, PubMed 27449290.

ab51256 was used in this publication in western blot. This may not be the same as the application(s) guaranteed by Abcam. For a full list of applications guaranteed by Abcam for ab51256 please see the product overview.

Release of WSTF was induced by KRASG12V in colon cells(A) We constructed the H-RasG12V expression vectors to preferentially activate the Ras pathways. The levels of P-ERK1/2, P-AKT and RalA-GTP were detected with specific antibodies to examine the activities of corresponding pathways. (B) Media containing WSTF and P-WSTF was detected using ELISA. Levels of intracellular P-WSTF, total WSTF protein and mRNA were detected as controls. (C) Different small interfering RNAs were transfected into HIPECKRASM cells for 48 h. Two specific siRNAs for each gene were implicated in experiments. The secreted WSTF was detected by ELISA assay. (D) The media of HIPECKRASM cells, which was cultured with U0126 (10 μM) or Wortmannin (10 μM) for 20 h, were tested by ELISA. Non-treated HIPECKRASM cells were used as control.

false

关键信息

宿主种属

Rabbit

克隆

Monoclonal

克隆号

EP1704Y

亚型

IgG

不含载体蛋白

No

反应种属

Mouse, Rat, Human

应用

WB, Flow Cyt (Intra), ICC/IF, IHC-P

applications

免疫原

The exact immunogen used to generate this antibody is proprietary information.

反应性数据

{ "title": "Reactivity Data", "filters": { "stats": ["", "Species", "Dilution Info", "Notes"], "tabs": { "all-applications": {"fullname" : "All Applications", "shortname": "All Applications"}, "IHCP" : {"fullname" : "Immunohistochemistry (Formalin/PFA-fixed paraffin-embedded sections)", "shortname":"IHC-P"}, "WB" : {"fullname" : "Western blot", "shortname":"WB"}, "ICCIF" : {"fullname" : "Immunocytochemistry/ Immunofluorescence", "shortname":"ICC/IF"}, "FlowCytIntra" : {"fullname" : "Flow Cytometry (Intracellular)", "shortname":"Flow Cyt (Intra)"} }, "product-promise": { "all": "all", "testedAndGuaranteed": "tested", "guaranteed": "expected", "predicted": "predicted", "notRecommended": "not-recommended" } }, "values": { "Human": { "IHCP-species-checked": "testedAndGuaranteed", "IHCP-species-dilution-info": "1/700", "IHCP-species-notes": "<p></p>", "WB-species-checked": "testedAndGuaranteed", "WB-species-dilution-info": "1/15000 - 1/20000", "WB-species-notes": "<p></p>", "ICCIF-species-checked": "testedAndGuaranteed", "ICCIF-species-dilution-info": "1/50", "ICCIF-species-notes": "<p>For unpurified format use at 1/100 to 1/250 dilution</p>", "FlowCytIntra-species-checked": "testedAndGuaranteed", "FlowCytIntra-species-dilution-info": "1/20", "FlowCytIntra-species-notes": "<p><a href='/products/primary-antibodies/rabbit-igg-monoclonal-epr25a-isotype-control-ab172730'>ab172730</a> - Rabbit monoclonal IgG, is suitable for use as an isotype control with this antibody.</p>" }, "Mouse": { "IHCP-species-checked": "testedAndGuaranteed", "IHCP-species-dilution-info": "1/700", "IHCP-species-notes": "<p></p>", "WB-species-checked": "testedAndGuaranteed", "WB-species-dilution-info": "1/15000 - 1/20000", "WB-species-notes": "<p></p>", "ICCIF-species-checked": "guaranteed", "ICCIF-species-dilution-info": "", "ICCIF-species-notes": "", "FlowCytIntra-species-checked": "guaranteed", "FlowCytIntra-species-dilution-info": "", "FlowCytIntra-species-notes": "" }, "Rat": { "IHCP-species-checked": "testedAndGuaranteed", "IHCP-species-dilution-info": "1/700", "IHCP-species-notes": "<p></p>", "WB-species-checked": "testedAndGuaranteed", "WB-species-dilution-info": "1/15000 - 1/20000", "WB-species-notes": "<p></p>", "ICCIF-species-checked": "guaranteed", "ICCIF-species-dilution-info": "", "ICCIF-species-notes": "", "FlowCytIntra-species-checked": "guaranteed", "FlowCytIntra-species-dilution-info": "", "FlowCytIntra-species-notes": "" } } }

产品详情

Patented technology
Our RabMAb® technology is a patented hybridoma-based technology for making rabbit monoclonal antibodies. For details on our patents, please refer to RabMAb® patents.

What are the advantages of a recombinant monoclonal antibody?
This product is a recombinant monoclonal antibody, which offers several advantages including:

  • - High batch-to-batch consistency and reproducibility
  • - Improved sensitivity and specificity
  • - Long-term security of supply
  • - Animal-free batch production

For more information, read more on recombinant antibodies.

性能和储存信息

形式
Liquid
纯化工艺
Affinity purification Protein A
存储溶液
pH: 7.2 - 7.4 Preservative: 0.01% Sodium azide Constituents: PBS, 40% Glycerol (glycerin, glycerine), 0.05% BSA
运输条件
Blue Ice
推荐的短期储存条件
+4°C
推荐的长期储存条件
-20°C
分装信息
Upon delivery aliquot
储存信息
Avoid freeze / thaw cycle

补充信息

This supplementary information is collated from multiple sources and compiled automatically.

WSTF also known as Williams Syndrome Transcription Factor or BAZ1B is a versatile protein with an estimated mass around 175 kDa. It is a component of the nucleosome remodeling factor (NURF) and the Williams-Beuren syndrome chromosome region 17 (WBSCR17) complex. WSTF has widespread expression in various tissues including the brain and heart which highlights its involvement in diverse cellular processes. Functionally it facilitates chromatin remodeling by altering the structure of nucleosomes which is vital for DNA accessibility in transcription DNA repair and replication.
Biological function summary

Since WSTF participates in chromatin structure modulation it plays a considerable role in transcriptional regulation. It is a part of the NURF complex which makes it essential for DNA accessibility and gene expression. The complex interacts with other proteins to allow chromatin to accommodate active transcription by repositioning nucleosomes. WSTF also has a kinase domain that phosphorylates histone H2A. This phosphorylation integrates signals that coordinate transcription and DNA damage repair mechanisms highlighting its multifunctional nature in maintaining genomic stability.

Pathways

WSTF has pivotal roles in the chromatin remodeling and DNA repair pathways. The chromatin remodeling pathway involves WSTF's interaction with the transcription factor complex influencing gene accessibility and expression. WSTF in the DNA repair pathway ensures proper genomic integrity through its association with proteins like BRCA1 highlighting its participation in the cellular response to DNA damage. By engaging with these pathways WSTF contributes to the cell's ability to regulate the genome and respond to damage efficiently.

WSTF is significantly connected to Williams-Beuren syndrome and certain cancers. Williams-Beuren syndrome a developmental disorder arises from the deletion of the region on chromosome 7 involving the WSTF gene affecting brain and heart function. In certain cancers aberrant expression or mutations within the WSTF gene are associated with uncontrolled chromatin remodeling contributing to tumorigenesis. Through these disorders WSTF shows its interaction with proteins like SMARCA1 in chromatin remodeling anomalies emphasizing its importance in disease progression and cellular dysfunction.

产品实验方案

For this product, it's our understanding that no specific protocols are required. You can visit:

靶点信息

Atypical tyrosine-protein kinase that plays a central role in chromatin remodeling and acts as a transcription regulator (PubMed : 19092802). Involved in DNA damage response by phosphorylating 'Tyr-142' of histone H2AX (H2AXY142ph) (PubMed : 19092802, PubMed : 19234442). H2AXY142ph plays a central role in DNA repair and acts as a mark that distinguishes between apoptotic and repair responses to genotoxic stress (PubMed : 19092802, PubMed : 19234442). Regulatory subunit of the ATP-dependent WICH-1 and WICH-5 ISWI chromatin remodeling complexes, which form ordered nucleosome arrays on chromatin and facilitate access to DNA during DNA-templated processes such as DNA replication, transcription, and repair (PubMed : 11980720, PubMed : 28801535). Both complexes regulate the spacing of nucleosomes along the chromatin and have the ability to slide mononucleosomes to the center of a DNA template (PubMed : 28801535). The WICH-1 ISWI chromatin remodeling complex has a lower ATP hydrolysis rate than the WICH-5 ISWI chromatin remodeling complex (PubMed : 28801535). The WICH-5 ISWI chromatin-remodeling complex regulates the transcription of various genes, has a role in RNA polymerase I transcription (By similarity). Within the B-WICH complex has a role in RNA polymerase III transcription (PubMed : 16603771). Mediates the recruitment of the WICH-5 ISWI chromatin remodeling complex to replication foci during DNA replication (PubMed : 15543136).
See full target information BAZ1B

文献 (11)

Recent publications for all applications. Explore the full list and refine your search

Nature communications 16:3709 PubMed40251151

2025

Selective identification of epigenetic regulators at methylated genomic sites by SelectID.

Applications

Unspecified application

Species

Unspecified reactive species

Wenchang Qian,Penglei Jiang,Mingming Niu,Yujuan Fu,Deyu Huang,Dong Zhang,Ying Liang,Qiwei Wang,Yingli Han,Xin Zeng,Yixin Shi,Lingli Jiang,Zebin Yu,Jinxin Li,Huan Lu,Hong Wang,Baohui Chen,Pengxu Qian

Nature communications 15:10496 PubMed39627214

2024

ATAD5-BAZ1B interaction modulates PCNA ubiquitination during DNA repair.

Applications

Unspecified application

Species

Unspecified reactive species

Yeongjae Kim,Na Young Ha,Mi-Sun Kang,Eunjin Ryu,Geunil Yi,Juyeong Yoo,Nalae Kang,Byung-Gyu Kim,Kyungjae Myung,Sukhyun Kang

Stem cells (Dayton, Ohio) 42:861-873 PubMed39169713

2024

Integrin-linked kinase control dental pulp stem cell senescence via the mTOR signaling pathway.

Applications

Unspecified application

Species

Unspecified reactive species

Lu Chen,Xiping Wang,Sha Tian,Linxi Zhou,Li Wang,Xiaohan Liu,Zihan Yang,Guiqiang Fu,Xingguang Liu,Chen Ding,Duohong Zou

BMC molecular biology 17:24 PubMed27938330

2016

Novel insight into the composition of human single-stranded DNA-binding protein 1 (hSSB1)-containing protein complexes.

Applications

WB

Species

Unspecified reactive species

Nicholas W Ashton,Dorothy Loo,Nicolas Paquet,Kenneth J O'Byrne,Derek J Richard

Oncotarget 7:80901-80915 PubMed27779108

2016

RNAi screens identify CHD4 as an essential gene in breast cancer growth.

Applications

WB

Species

Unspecified reactive species

Carolina D'Alesio,Simona Punzi,Angelo Cicalese,Lorenzo Fornasari,Laura Furia,Laura Riva,Alessandro Carugo,Giuseppe Curigliano,Carmen Criscitiello,Giancarlo Pruneri,Pier Giuseppe Pelicci,Mario Faretta,Daniela Bossi,Luisa Lanfrancone

Oncotarget 7:53153-53164 PubMed27449290

2016

KRASG12 mutant induces the release of the WSTF/NRG3 complex, and contributes to an oncogenic paracrine signaling pathway.

Applications

Unspecified application

Species

Unspecified reactive species

Yan Liu,Shu-Qing Wang,Yue-Hong Long,Su Chen,Yu-Feng Li,Jing-Hua Zhang

The Journal of neuroscience : the official journal of the Society for Neuroscience 36:3954-61 PubMed27053203

2016

BAZ1B in Nucleus Accumbens Regulates Reward-Related Behaviors in Response to Distinct Emotional Stimuli.

Applications

Unspecified application

Species

Unspecified reactive species

HaoSheng Sun,Jennifer A Martin,Craig T Werner,Zi-Jun Wang,Diane M Damez-Werno,Kimberly N Scobie,Ning-Yi Shao,Caroline Dias,Jacqui Rabkin,Ja Wook Koo,Amy M Gancarz,Ezekiell A Mouzon,Rachael L Neve,Li Shen,David M Dietz,Eric J Nestler

Nature medicine 21:1146-53 PubMed26390241

2015

ACF chromatin-remodeling complex mediates stress-induced depressive-like behavior.

Applications

WB

Species

Unspecified reactive species

HaoSheng Sun,Diane M Damez-Werno,Kimberly N Scobie,Ning-Yi Shao,Caroline Dias,Jacqui Rabkin,Ja Wook Koo,Erica Korb,Rosemary C Bagot,Francisca H Ahn,Michael E Cahill,Benoit Labonté,Ezekiell Mouzon,Elizabeth A Heller,Hannah Cates,Sam A Golden,Kelly Gleason,Scott J Russo,Simon Andrews,Rachael Neve,Pamela J Kennedy,Ian Maze,David M Dietz,C David Allis,Gustavo Turecki,Patrick Varga-Weisz,Carol Tamminga,Li Shen,Eric J Nestler

Nucleic acids research 42:6365-79 PubMed24753406

2014

NuMA promotes homologous recombination repair by regulating the accumulation of the ISWI ATPase SNF2h at DNA breaks.

Applications

ICC/IF

Species

Human

Pierre-Alexandre Vidi,Jing Liu,Daniela Salles,Swaathi Jayaraman,George Dorfman,Matthew Gray,Patricia Abad,Prabhas V Moghe,Joseph M Irudayaraj,Lisa Wiesmüller,Sophie A Lelièvre

Nucleic acids research 39:8445-56 PubMed21745822

2011

Role for hACF1 in the G2/M damage checkpoint.

Applications

WB

Species

Unspecified reactive species

Sara Sánchez-Molina,Oliver Mortusewicz,Béatrice Bieber,Susanne Auer,Maren Eckey,Heinrich Leonhardt,Anna A Friedl,Peter B Becker
View all publications

Abcam Product Promise

我们致力于为您的研究提供高质量的试剂,为您科研的每一步提供支持。若我们的产品未能达到预期性能,我们向您提供 Abcam Product Promise 保障。
详情请参阅我们的条款与条件。

Please note: All products are 'FOR RESEARCH USE ONLY. NOT FOR USE IN DIAGNOSTIC OR THERAPEUTIC PROCEDURES'.

For licensing inquiries, please contact partnerships@abcam.com