JavaScript is disabled in your browser. Please enable JavaScript to view this website.
AB203589

Anti-Wnt8a 抗体

Anti-Wnt8a antibody

Be the first to review this product! Submit a review

|

(1 Publication)

Rabbit Polyclonal WNT8A antibody. Suitable for IHC-P and reacts with Rat samples. Cited in 1 publication. Immunogen corresponding to Synthetic Peptide within Human WNT8A aa 200-250 conjugated to Keyhole Limpet Haemocyanin.

查看别名

WNT8D, WNT8A, Protein Wnt-8a, Protein Wnt-8d

1 Images
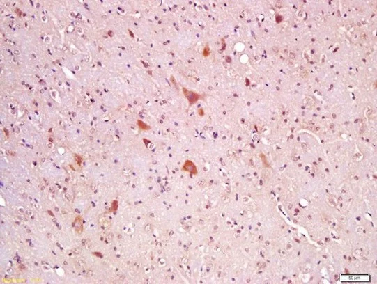
Immunohistochemistry (Formalin/PFA-fixed paraffin-embedded sections) - Anti-Wnt8a antibody (AB203589)
  • IHC-P

Supplier Data

Immunohistochemistry (Formalin/PFA-fixed paraffin-embedded sections) - Anti-Wnt8a antibody (AB203589)

Immunohistochemical analysis of formalin-fixed, paraffin embedded rat brain tissue labeling Wnt8a with ab203589 at 1/200 dilution followed by conjugation to the secondary antibody and DAB staining.

关键信息

宿主种属

Rabbit

克隆

Polyclonal

亚型

IgG

不含载体蛋白

No

反应种属

Rat

应用

IHC-P

applications

免疫原

Synthetic Peptide within Human WNT8A aa 200-250 conjugated to Keyhole Limpet Haemocyanin. The exact immunogen used to generate this antibody is proprietary information.

Q9H1J5

反应性数据

{ "title": "Reactivity Data", "filters": { "stats": ["", "Species", "Dilution Info", "Notes"], "tabs": { "all-applications": {"fullname" : "All Applications", "shortname": "All Applications"}, "IHCP" : {"fullname" : "Immunohistochemistry (Formalin/PFA-fixed paraffin-embedded sections)", "shortname":"IHC-P"} }, "product-promise": { "all": "all", "testedAndGuaranteed": "tested", "guaranteed": "expected", "predicted": "predicted", "notRecommended": "not-recommended" } }, "values": { "Rat": { "IHCP-species-checked": "testedAndGuaranteed", "IHCP-species-dilution-info": "1/100 - 1/500", "IHCP-species-notes": "<p>When using a fluorescent probe the recommended dilution is 1/50 – 1/200.</p>" } } }

性能和储存信息

形式
Liquid
纯化工艺
Affinity purification Protein A
存储溶液
pH: 7.4 Preservative: 0.02% Proclin 300 Constituents: 50% Glycerol (glycerin, glycerine), 48.98% TBS, 1X, 1% BSA
运输条件
Blue Ice
推荐的短期储存时间
1-2 weeks
推荐的短期储存条件
+4°C
推荐的长期储存条件
-20°C
分装信息
Upon delivery aliquot
储存信息
Avoid freeze / thaw cycle

补充信息

This supplementary information is collated from multiple sources and compiled automatically.

Wnt8a also known as wingless-type MMTV integration site family member 8A is a member of the Wnt protein family. This protein has a mass of approximately 37 kDa. It is commonly expressed in embryonic tissues particularly in regions such as the somites and neural tube. Mechanically Wnt8a functions as a signaling molecule that is important for the transduction of signals through its interaction with Frizzled family receptors on the cell surface. This interaction initiates complex signaling cascades that lead to changes in gene expression.
Biological function summary

The Wnt8a protein influences cell fate decisions and patterning during embryonic development. As an important player in the Wnt signaling pathway it participates in the regulation of cellular differentiation and proliferation. Wnt8a often operates in complexes with other Wnt proteins and co-receptors such as LRP5/6 which modulate the stability and localization of β-catenin. The stable accumulation of β-catenin in the cytoplasm leads to its translocation into the nucleus where it influences the transcription of target genes.

Pathways

Wnt8a plays an integral role in the canonical Wnt/β-catenin signaling pathway. It is pivotal in the regulation of developmental processes and is associated with the establishment of the embryonic body axis. Through this pathway Wnt8a is related to proteins such as β-catenin and TCF/LEF transcription factors which are significant for gene regulatory networks during embryogenesis. Additionally Wnt8a interacts with the non-canonical Wnt/planar cell polarity (PCP) pathway which affects cellular movements and tissue architecture.

Aberrant Wnt8a signaling is implicated in congenital malformations and certain cancers. Dysregulation of this protein contributes to disorders such as neural tube defects which are linked to faulty cell patterning and migration. Moreover overactive Wnt8a signaling has connections to the development of colorectal cancer where it influences the abnormal proliferation of cells. During these pathological conditions Wnt8a interacts with other Wnt pathway components like Dvl and APC leading to disturbances in cellular homeostasis and uncontrolled cell growth.

产品实验方案

For this product, it's our understanding that no specific protocols are required. You can visit:

靶点信息

Ligand for members of the frizzled family of seven transmembrane receptors. Plays a role in embryonic patterning.
See full target information WNT8A

文献 (1)

Recent publications for all applications. Explore the full list and refine your search

iScience 27:109018 PubMed38357665

2024

and models define a molecular signature reference for human embryonic notochordal cells.

Applications

Unspecified application

Species

Unspecified reactive species

Julie Warin,Nicolas Vedrenne,Vivian Tam,Mengxia Zhu,Danqing Yin,Xinyi Lin,Bluwen Guidoux-D'halluin,Antoine Humeau,Luce Roseiro,Lily Paillat,Claire Chédeville,Caroline Chariau,Frank Riemers,Markus Templin,Jérôme Guicheux,Marianna A Tryfonidou,Joshua W K Ho,Laurent David,Danny Chan,Anne Camus
View all publications

Abcam Product Promise

我们致力于为您的研究提供高质量的试剂,为您科研的每一步提供支持。若我们的产品未能达到预期性能,我们向您提供 Abcam Product Promise 保障。
详情请参阅我们的条款与条件。

Please note: All products are 'FOR RESEARCH USE ONLY. NOT FOR USE IN DIAGNOSTIC OR THERAPEUTIC PROCEDURES'.

For licensing inquiries, please contact partnerships@abcam.com