JavaScript is disabled in your browser. Please enable JavaScript to view this website.
AB178547

Anti-WISP1 抗体 - C-terminal

Anti-WISP1 antibody - C-terminal

4

(2 Reviews)

|

(15 Publications)

Rabbit Polyclonal WISP1 antibody. C-terminal. Suitable for WB, IHC-Fr, IHC-FoFr and reacts with Rat, Mouse, Human samples. Cited in 15 publications. Immunogen corresponding to Synthetic Peptide within Human CCN4 aa 350 to C-terminus.

查看别名

WISP1, CCN4, CCN family member 4, WNT1-inducible-signaling pathway protein 1, Wnt-1-induced secreted protein, WISP-1

9 Images
Immunohistochemistry (Formalin/PFA-fixed paraffin-embedded sections) - Anti-WISP1 antibody - C-terminal (AB178547)
  • IHC-P

Supplier Data

Immunohistochemistry (Formalin/PFA-fixed paraffin-embedded sections) - Anti-WISP1 antibody - C-terminal (AB178547)

Immunohistochemical analysis of paraffin-embedded Human placenta tissue labeling WISP1 with ab178547 at 1 μg/ml.

Immunohistochemistry (Formalin/PFA-fixed paraffin-embedded sections) - Anti-WISP1 antibody - C-terminal (AB178547)
  • IHC-P

Supplier Data

Immunohistochemistry (Formalin/PFA-fixed paraffin-embedded sections) - Anti-WISP1 antibody - C-terminal (AB178547)

WISP1 was detected in a paraffin-embedded section of human colorectal adenocarcinoma tissue. Heat mediated antigen retrieval was performed in EDTA buffer (pH 8.0, epitope retrieval solution). The tissue section was blocked with 10% goat serum. The tissue section was then incubated with 2 µg/ml ab178547 overnight at 4°C. Peroxidase Conjugated Goat Anti-rabbit IgG was used as secondary antibody and incubated for 30 minutes at 37°C. The tissue section was developed using HRP Conjugated Rabbit IgG Super Vision Assay Kit with DAB as the chromogen.

Immunocytochemistry - Anti-WISP1 antibody - C-terminal (AB178547)
  • ICC

Supplier Data

Immunocytochemistry - Anti-WISP1 antibody - C-terminal (AB178547)

Immunocytochemical analysis of MCF7 cells labeling WISP1 with ab178547 at 1 μg/ml.

Immunohistochemistry (Formalin/PFA-fixed paraffin-embedded sections) - Anti-WISP1 antibody - C-terminal (AB178547)
  • IHC-P

Supplier Data

Immunohistochemistry (Formalin/PFA-fixed paraffin-embedded sections) - Anti-WISP1 antibody - C-terminal (AB178547)

WISP1 was detected in a paraffin-embedded section of human testicular germ cell tumor tissue. Heat mediated antigen retrieval was performed in EDTA buffer (pH 8.0, epitope retrieval solution). The tissue section was blocked with 10% goat serum. The tissue section was then incubated with 2 µg/ml ab178547 overnight at 4°C. Peroxidase Conjugated Goat Anti-rabbit IgG was used as secondary antibody and incubated for 30 minutes at 37°C. The tissue section was developed using HRP Conjugated Rabbit IgG Super Vision Assay Kit with DAB as the chromogen.

Immunohistochemistry (Frozen sections) - Anti-WISP1 antibody - C-terminal (AB178547)
  • IHC-Fr

Supplier Data

Immunohistochemistry (Frozen sections) - Anti-WISP1 antibody - C-terminal (AB178547)

Immunohistochemical analysis of frozen rat cardiac muscle sections labeling WISP1 with ab178547 at 1μg/mL (incubated overnight at 4°C). Biotinylated goat anti-rabbit IgG was used as secondary antibody and incubated for 30 minutes at 37°C. The tissue section was developed using Strepavidin-Biotin-Complex (SABC) with DAB as the chromogen.

Immunohistochemistry (Formalin/PFA-fixed paraffin-embedded sections) - Anti-WISP1 antibody - C-terminal (AB178547)
  • IHC-P

Supplier Data

Immunohistochemistry (Formalin/PFA-fixed paraffin-embedded sections) - Anti-WISP1 antibody - C-terminal (AB178547)

Immunohistochemical analysis of paraffin-embedded rat pancreas tissue labeling WISP1 with ab178547 at 1 μg/ml.

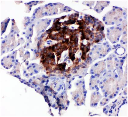
Immunohistochemistry (Formalin/PFA-fixed paraffin-embedded sections) - Anti-WISP1 antibody - C-terminal (AB178547)
  • IHC-P

Supplier Data

Immunohistochemistry (Formalin/PFA-fixed paraffin-embedded sections) - Anti-WISP1 antibody - C-terminal (AB178547)

Immunohistochemical analysis of paraffin-embedded rat kidney tissue labeling WISP1 with ab178547 at 1 μg/ml.

Western blot - Anti-WISP1 antibody - C-terminal (AB178547)
  • WB

Supplier Data

Western blot - Anti-WISP1 antibody - C-terminal (AB178547)

Electrophoresis was performed on a 5-20% SDS-PAGE gel at 70V (Stacking gel) / 90V (Resolving gel) for 2-3 hours. After electrophoresis, proteins were transferred to a nitrocellulose membrane at 150 mA for 50-90 minutes. Blocked the membrane with 5% non-fat milk/TBS for 1.5 hour at RT. The membrane was incubated with ab178547 at 0.5 µg/mL overnight at 4°C, then washed with TBS-0.1%Tween 3 times with 5 minutes each and probed with a goat anti-rabbit IgG-HRP secondary antibody at a dilution of 1/5000 for 1.5 hour at RT. The signal is developed using an Enhanced Chemiluminescent detection (ECL) kit with Tanon 5200 system. A specific band was detected for WISP1 at approximately 45 kDa. The expected band size for WISP1 is at 40 kDa.

All lanes:

Western blot - Anti-WISP1 antibody - C-terminal (ab178547) at 0.5 µg/mL

Lane 1:

rat kidney tissue lysates at 30 µg

Lane 2:

mouse kidney tissue lysates at 30 µg

Secondary

All lanes:

goat anti-rabbit IgG-HRP at 1/5000 dilution

true

Western blot - Anti-WISP1 antibody - C-terminal (AB178547)
  • WB

Supplier Data

Western blot - Anti-WISP1 antibody - C-terminal (AB178547)

All lanes:

Western blot - Anti-WISP1 antibody - C-terminal (ab178547) at 0.5 µg/mL

Lane 1:

Rat heart tissue lysate at 50 µg

Lane 2:

Rat kidney tissue lysate at 50 µg

Lane 3:

Rat lung tissue lysate at 50 µg

Lane 4:

A549 whole cell lysate at 40 µg

Lane 5:

A431 whole cell lysate at 40 µg

Lane 6:

COLO320 whole cell lysate at 40 µg

Predicted band size: 40 kDa

Observed band size: 40 kDa

false

关键信息

宿主种属

Rabbit

克隆

Polyclonal

亚型

IgG

不含载体蛋白

No

反应种属

Rat, Human, Mouse

应用

IHC-Fr, IHC-FoFr, WB

applications

免疫原

Synthetic Peptide within Human CCN4 aa 350 to C-terminus. The exact immunogen used to generate this antibody is proprietary information.

O95388

反应性数据

{ "title": "Reactivity Data", "filters": { "stats": ["", "Species", "Dilution Info", "Notes"], "tabs": { "all-applications": {"fullname" : "All Applications", "shortname": "All Applications"}, "WB" : {"fullname" : "Western blot", "shortname":"WB"}, "IHCFr" : {"fullname" : "Immunohistochemistry (Frozen sections)", "shortname":"IHC-Fr"}, "IHCFoFr" : {"fullname" : "Immunohistochemistry (PFA perfusion fixed frozen sections)", "shortname":"IHC-FoFr"} }, "product-promise": { "all": "all", "testedAndGuaranteed": "tested", "guaranteed": "expected", "predicted": "predicted", "notRecommended": "not-recommended" } }, "values": { "Human": { "WB-species-checked": "guaranteed", "WB-species-dilution-info": "", "WB-species-notes": "", "IHCFr-species-checked": "testedAndGuaranteed", "IHCFr-species-dilution-info": "2-5 µg/mL", "IHCFr-species-notes": "<p></p>", "IHCFoFr-species-checked": "guaranteed", "IHCFoFr-species-dilution-info": "", "IHCFoFr-species-notes": "" }, "Mouse": { "WB-species-checked": "testedAndGuaranteed", "WB-species-dilution-info": "0.1-0.5 µg/mL", "WB-species-notes": "<p></p>", "IHCFr-species-checked": "guaranteed", "IHCFr-species-dilution-info": "", "IHCFr-species-notes": "", "IHCFoFr-species-checked": "testedAndGuaranteed", "IHCFoFr-species-dilution-info": "2-5 µg/mL", "IHCFoFr-species-notes": "<p></p>" }, "Rat": { "WB-species-checked": "testedAndGuaranteed", "WB-species-dilution-info": "0.1-0.5 µg/mL", "WB-species-notes": "<p></p>", "IHCFr-species-checked": "guaranteed", "IHCFr-species-dilution-info": "", "IHCFr-species-notes": "", "IHCFoFr-species-checked": "guaranteed", "IHCFoFr-species-dilution-info": "", "IHCFoFr-species-notes": "" } } }

性能和储存信息

形式
Liquid
纯化工艺
Affinity purification Immunogen
存储溶液
Constituents: 76.92% Trehalose, 17.31% Sodium chloride, 3.85% Disodium hydrogenorthophosphate
运输条件
Blue Ice
推荐的短期储存时间
1-2 weeks
推荐的短期储存条件
+4°C
推荐的长期储存条件
-20°C
分装信息
Upon delivery aliquot
储存信息
Avoid freeze / thaw cycle

补充信息

This supplementary information is collated from multiple sources and compiled automatically.

WISP1 also known as Wnt1 Inducible Signaling Pathway Protein 1 or CCN4 is a protein with significant roles in cellular processes. This protein has an approximate mass of 41 kDa. You can find its expression in various tissues including bone cartilage and vascular tissues. WISP1 belongs to the CCN family of proteins which are matricellular proteins that interact with different cell surface molecules and receptor systems to modulate cellular functions.
Biological function summary

WISP1 plays an important role in cellular proliferation differentiation and survival. It functions as a matricellular protein that can form complexes with integrins and other cell surface receptors. This interaction influences cellular responses to environmental signals. WISP1 contributes to extracellular matrix interaction and cellular adhesion. By regulating these processes WISP1 supports tissue development repair and regeneration.

Pathways

The network of interactions influenced by WISP1 impacts several key signaling pathways including the Wnt signaling pathway and the TGF-beta pathway. These pathways are important for regulating cell growth and differentiation. In connection with the Wnt pathway WISP1 interacts with proteins like beta-catenin which plays an important role in signal transduction and gene expression. These interactions help maintain proper cellular function and structural integrity.

WISP1 shows links to cancer and fibrosis. Dysregulation of WISP1 expression and its related pathways can contribute to the development and progression of these conditions. In cancers WISP1 interacts with proteins like beta-catenin and contributes to the regulation of oncogenic processes such as tumor growth and metastasis. In fibrosis WISP1 influences the deposition of extracellular matrix proteins affecting tissue scarring and organ function.

产品实验方案

For this product, it's our understanding that no specific protocols are required. You can visit:

靶点信息

Downstream regulator in the Wnt/Frizzled-signaling pathway. Associated with cell survival. Attenuates p53-mediated apoptosis in response to DNA damage through activation of AKT kinase. Up-regulates the anti-apoptotic Bcl-X(L) protein. Adheres to skin and melanoma fibroblasts. In vitro binding to skin fibroblasts occurs through the proteoglycans, decorin and biglycan.
See full target information CCN4

文献 (15)

Recent publications for all applications. Explore the full list and refine your search

International journal of molecular sciences 23: PubMed36232736

2022

WNT1 Inducible Signaling Pathway Protein 1 Is a Stroma-Specific Secreting Protein Inducing a Fibroblast Contraction and Carcinoma Cell Growth in the Human Prostate.

Applications

Unspecified application

Species

Unspecified reactive species

Kang-Shuo Chang,Syue-Ting Chen,Hsin-Ching Sung,Shu-Yuan Hsu,Wei-Yin Lin,Chen-Pang Hou,Yu-Hsiang Lin,Tsui-Hsia Feng,Ke-Hung Tsui,Horng-Heng Juang

International journal of endocrinology 2022:3919161 PubMed36237833

2022

Fufang Xueshuantong Improves Diabetic Cardiomyopathy by Regulating the Wnt/-Catenin Pathway.

Applications

Unspecified application

Species

Unspecified reactive species

Meizhong Peng,Hanying Liu,Qingxuan Ji,Pan Ma,Yiting Niu,Shangqiu Ning,Huihui Sun,Xinxin Pang,Yuqian Yang,Yuting Zhang,Jing Han,Gaimei Hao

Fluids and barriers of the CNS 18:44 PubMed34565396

2021

Activation of Frizzled-7 attenuates blood-brain barrier disruption through Dvl/β-catenin/WISP1 signaling pathway after intracerebral hemorrhage in mice.

Applications

Unspecified application

Species

Unspecified reactive species

Wei He,Qin Lu,Prativa Sherchan,Lei Huang,Xin Hu,John H Zhang,Haibin Dai,Jiping Tang

American journal of translational research 12:7297-7311 PubMed33312368

2020

WISP1 indicates poor prognosis and regulates cell proliferation and apoptosis in gastric cancer via targeting AKT/mTOR signaling pathway.

Applications

Unspecified application

Species

Unspecified reactive species

Yanyan Zhu,Wei Li,Yuanyuan Yang,You Li,Yueyue Zhao

Hepatology communications 4:1056-1072 PubMed32626837

2020

Activation of Adenosine Monophosphate-Activated Protein Kinase Reduces the Onset of Diet-Induced Hepatocellular Carcinoma in Mice.

Applications

Unspecified application

Species

Unspecified reactive species

Dieter Schmoll,Nicole Ziegler,Benoit Viollet,Marc Foretz,Patrick C Even,Dalila Azzout-Marniche,Andreas Nygaard Madsen,Martin Illemann,Karen Mandrup,Michael Feigh,Jörg Czech,Heiner Glombik,Jacob A Olsen,Wolfgang Hennerici,Klaus Steinmeyer,Ralf Elvert,Tamara R Castañeda,Aimo Kannt

Inflammation 43:425-432 PubMed32130574

2020

WISP1 and TLR4 on Macrophages Contribute to Ventilator-Induced Lung Injury.

Applications

Unspecified application

Species

Unspecified reactive species

Zhuang Yu,Tingting Wang,Liming Zhang,Xiaohu Yang,Quan Li,Xibing Ding

Respiratory research 20:233 PubMed31660971

2019

Down-regulation of long non-coding RNA SNHG14 protects against acute lung injury induced by lipopolysaccharide through microRNA-34c-3p-dependent inhibition of WISP1.

Applications

Unspecified application

Species

Unspecified reactive species

Jinyuan Zhu,Jijia Bai,Shaojin Wang,Hui Dong

World journal of gastroenterology 25:5814-5825 PubMed31636474

2019

Up-regulated Wnt1-inducible signaling pathway protein 1 correlates with poor prognosis and drug resistance by reducing DNA repair in gastric cancer.

Applications

Unspecified application

Species

Unspecified reactive species

Li-Hua Zhang,Yan Wang,Qian-Qian Fan,Yan-Kui Liu,Long-Hai Li,Xiao-Wei Qi,Yong Mao,Dong Hua

Journal of cellular physiology 235:2009-2022 PubMed31512238

2019

WNT1-inducible signaling protein-1 mediates TGF-β1-induced renal fibrosis in tubular epithelial cells and unilateral ureteral obstruction mouse models via autophagy.

Applications

Unspecified application

Species

Unspecified reactive species

Xue Yang,Huan Wang,Yueju Tu,Yi Li,Yurong Zou,Guisen Li,Li Wang,Xiang Zhong

Journal of cellular biochemistry 121:1250-1259 PubMed31489998

2019

Guanylate-binding protein-2 inhibits colorectal cancer cell growth and increases the sensitivity to paclitaxel of paclitaxel-resistant colorectal cancer cells by interfering Wnt signaling.

Applications

Unspecified application

Species

Unspecified reactive species

Jing Wang,Hui Min,Bin Hu,Xiaorong Xue,Yufan Liu
View all publications

Abcam Product Promise

我们致力于为您的研究提供高质量的试剂,为您科研的每一步提供支持。若我们的产品未能达到预期性能,我们向您提供 Abcam Product Promise 保障。
详情请参阅我们的条款与条件。

Please note: All products are 'FOR RESEARCH USE ONLY. NOT FOR USE IN DIAGNOSTIC OR THERAPEUTIC PROCEDURES'.

For licensing inquiries, please contact partnerships@abcam.com