JavaScript is disabled in your browser. Please enable JavaScript to view this website.
AB137377

Anti-Wee1 抗体

Anti-Wee1 antibody

0

(1 Review)

|

(11 Publications)

Rabbit Polyclonal WEE1 antibody. Suitable for IHC-P, WB and reacts with Human samples. Cited in 11 publications. Immunogen corresponding to Recombinant Fragment Protein within Human WEE1 aa 250-550.

查看别名

Wee1-like protein kinase, WEE1hu, Wee1A kinase, WEE1

2 Images
Western blot - Anti-Wee1 antibody (AB137377)
  • WB

Supplier Data

Western blot - Anti-Wee1 antibody (AB137377)

7.5% SDS-PAGE

All lanes:

Western blot - Anti-Wee1 antibody (ab137377) at 1/1000 dilution

Lane 1:

Jurkat (human T cell leukemia cell line from peripheral blood) whole cell lysate at 30 µg

Lane 2:

Raji (human Burkitt's lymphoma cell line) whole cell lysate at 30 µg

Lane 3:

NCI-H929 (human bone marrow lymphoblast cell line) whole cell lysate at 30 µg

Secondary

All lanes:

HRP-conjugated anti-rabbit IgG antibody

Predicted band size: 72 kDa

false

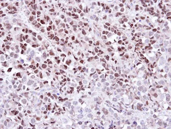
Immunohistochemistry (Formalin/PFA-fixed paraffin-embedded sections) - Anti-Wee1 antibody (AB137377)
  • IHC-P

Unknown

Immunohistochemistry (Formalin/PFA-fixed paraffin-embedded sections) - Anti-Wee1 antibody (AB137377)

Immunohistochemical analysis of paraffin embedded CL1-0 (Lung adenocarcinoma) xenograft tissue stained Wee1 using ab137377 at 1/100 dilution.

Antigen Retrieval : EDTA based buffer, pH 8.0, 15min.

关键信息

宿主种属

Rabbit

克隆

Polyclonal

亚型

IgG

不含载体蛋白

No

反应种属

Human

应用

WB, IHC-P

applications

免疫原

Recombinant Fragment Protein within Human WEE1 aa 250-550. The exact immunogen used to generate this antibody is proprietary information.

P30291

反应性数据

{ "title": "Reactivity Data", "filters": { "stats": ["", "Species", "Dilution Info", "Notes"], "tabs": { "all-applications": {"fullname" : "All Applications", "shortname": "All Applications"}, "IHCP" : {"fullname" : "Immunohistochemistry (Formalin/PFA-fixed paraffin-embedded sections)", "shortname":"IHC-P"}, "WB" : {"fullname" : "Western blot", "shortname":"WB"} }, "product-promise": { "all": "all", "testedAndGuaranteed": "tested", "guaranteed": "expected", "predicted": "predicted", "notRecommended": "not-recommended" } }, "values": { "Human": { "IHCP-species-checked": "testedAndGuaranteed", "IHCP-species-dilution-info": "1/100.00000 - 1/1000.00000", "IHCP-species-notes": "<p>Alternatively antigen retrieval using heat mediated Tris/EDTA buffer (pH 8.0) may be used.</p> Perform heat-mediated antigen retrieval with citrate buffer pH 6 before commencing with IHC staining protocol.", "WB-species-checked": "testedAndGuaranteed", "WB-species-dilution-info": "1/500.00000 - 1/3000.00000", "WB-species-notes": "<p></p>" } } }

您可能对以下产品感兴趣:

AB316912

Human Wee1 ELISA Kit

0

0 Reviews

查看产品
为什么推荐这个?

我们推荐这个产品,因为它经常被用于相同的实验或相关的研究。

我们建议您务必查阅产品说明书,以确认其是否符合您的实验需求;若有疑问,也可联系我们的技术团队获取协助。

性能和储存信息

形式
Liquid
纯化工艺
Affinity purification Immunogen
存储溶液
pH: 7 Preservative: 0.025% Proclin 300 Constituents: 79% PBS, 20% Glycerol (glycerin, glycerine)
运输条件
Blue Ice
推荐的短期储存时间
1-2 weeks
推荐的短期储存条件
+4°C
推荐的长期储存条件
-20°C
分装信息
Upon delivery aliquot
储存信息
Avoid freeze / thaw cycle

补充信息

This supplementary information is collated from multiple sources and compiled automatically.

Wee1 also known as Wee1-like protein kinase or WEE1 serves as an important regulator of cell cycle progression. Wee1 is a protein kinase with a molecular mass of approximately 96 kDa involved in the regulation of the cell cycle by inhibiting the entry into mitosis through phosphorylation of cyclin-dependent kinase 1 (CDK1). Expression of Wee1 occurs throughout various tissues but it is especially important in those that require tight control over cell division like the brain and reproductive organs. By suppressing premature mitosis Wee1 ensures cells have adequate time for DNA repair and completion of critical processes before cell division.
Biological function summary

The function of Wee1 extends to its role in maintaining genomic stability. Wee1 operates as part of a regulatory complex and its inhibition results in defective cell cycle arrest potentially leading to DNA damage. The kinase acts to prevent transitions from the G2 to M phase of the cell cycle ensuring cells repair damaged DNA before division. In the context of DNA replication stress Wee1 cooperates with other regulators such as Chk1 to mediate cell cycle arrest therefore safeguarding genomic integrity.

Pathways

The role of Wee1 manifests significantly within the DNA damage checkpoint pathway and the cell cycle control pathway. In the DNA damage checkpoint pathway Wee1 collaborates with other cell cycle regulators such as ATR and Chk1 to control the cell cycle in response to DNA damages. Wee1's influence on the cell cycle pathway also intersects with CDK1 and Cyclin B where Wee1 modulates the activity of these proteins to control cell cycle transitions. This regulatory action allows cells to coordinate DNA repair and replication with cell division events.

Wee1's regulatory functions relate closely to cancer and neurological disorders. Overexpression or mutation of Wee1 is associated with various cancers including gliomas and breast cancer where it influences cell proliferation by controlling the activity of CDK1. Wee1's relationship with cancer extends to its interactions with p53 and Chk1 proteins both of which are critical in cancer biology. Additionally anomalies in Wee1 expression or function also associate with certain neurological disorders where it may alter cell cycle dynamics and influence neural cell fate under stress conditions.

产品实验方案

For this product, it's our understanding that no specific protocols are required. You can visit:

靶点信息

Acts as a negative regulator of entry into mitosis (G2 to M transition) by protecting the nucleus from cytoplasmically activated cyclin B1-complexed CDK1 before the onset of mitosis by mediating phosphorylation of CDK1 on 'Tyr-15' (PubMed : 15070733, PubMed : 7743995, PubMed : 8348613, PubMed : 8428596). Specifically phosphorylates and inactivates cyclin B1-complexed CDK1 reaching a maximum during G2 phase and a minimum as cells enter M phase (PubMed : 7743995, PubMed : 8348613, PubMed : 8428596). Phosphorylation of cyclin B1-CDK1 occurs exclusively on 'Tyr-15' and phosphorylation of monomeric CDK1 does not occur (PubMed : 7743995, PubMed : 8348613, PubMed : 8428596). Its activity increases during S and G2 phases and decreases at M phase when it is hyperphosphorylated (PubMed : 7743995). A correlated decrease in protein level occurs at M/G1 phase, probably due to its degradation (PubMed : 7743995).
See full target information WEE1

文献 (11)

Recent publications for all applications. Explore the full list and refine your search

Molecular therapy : the journal of the American Society of Gene Therapy 30:3477-3498 PubMed35791879

2022

CircRNA Samd4 induces cardiac repair after myocardial infarction by blocking mitochondria-derived ROS output.

Applications

Unspecified application

Species

Unspecified reactive species

Hao Zheng,Senlin Huang,Guoquan Wei,Yili Sun,Chuling Li,Xiaoyun Si,Yijin Chen,Zhenquan Tang,Xinzhong Li,Yanmei Chen,Wangjun Liao,Yulin Liao,Jianping Bin

Bioengineered 13:11958-11972 PubMed35546509

2022

Circ 003390/Eukaryotic translation initiation factor 4A3 promoted cell migration and proliferation in endometrial cancer via vascular endothelial growth factor signaling by miR-195-5p.

Applications

Unspecified application

Species

Unspecified reactive species

Jing Ma,Xiwa Zhao,Li Shi

Drug development research 83:891-899 PubMed35080031

2022

Verbascoside enhances radiosensitivity of hepatocellular carcinoma cells through regulating miR-101-3p/Wee1 axis.

Applications

Unspecified application

Species

Unspecified reactive species

Lin Sun,Huangxing Cai,Tengchao Zhou,Hua Xiang,Lin Long

Science advances 7:eabh4181 PubMed34851661

2021

Heart neurons use clock genes to control myocyte proliferation.

Applications

Unspecified application

Species

Unspecified reactive species

Emmanouil Tampakakis,Harshi Gangrade,Stephanie Glavaris,Myo Htet,Sean Murphy,Brian Leei Lin,Ting Liu,Amir Saberi,Matthew Miyamoto,William Kowalski,Yoh-Suke Mukouyama,Gabsang Lee,Liliana Minichiello,Chulan Kwon

International journal of immunopathology and pharmacology 35:2058738420966087 PubMed33583218

2021

Knockdown of lncRNA X inactive specific transcript (XIST) radiosensitizes non-small cell lung cancer (NSCLC) cells through regulation of miR-16-5p/WEE1 G2 checkpoint kinase (WEE1) axis.

Applications

Unspecified application

Species

Unspecified reactive species

Ran Du,Feng Jiang,Yanhua Yin,Jinfen Xu,Xia Li,Likuan Hu,Xiuyu Wang

OncoTargets and therapy 13:5309-5321 PubMed32606749

2020

Ropivacaine Inhibits the Growth, Migration and Invasion of Gastric Cancer Through Attenuation of WEE1 and PI3K/AKT Signaling via miR-520a-3p.

Applications

Unspecified application

Species

Unspecified reactive species

Nianliang Zhang,Xiangji Xing,Fengcai Gu,Gang Zhou,Xianglan Liu,Baoqiang Li

Science advances 6:eaba3418 PubMed32426509

2020

A distinct class of plant and animal viral proteins that disrupt mitosis by directly interrupting the mitotic entry switch Wee1-Cdc25-Cdk1.

Applications

Unspecified application

Species

Unspecified reactive species

Huaibing Jin,Zhiqiang Du,Yanjing Zhang,Judit Antal,Zongliang Xia,Yan Wang,Yang Gao,Xiaoge Zhao,Xinyun Han,Yanjun Cheng,Qianhua Shen,Kunpu Zhang,Robert E Elder,Zsigmond Benko,Csaba Fenyvuesvolgyi,Ge Li,Dionne Rebello,Jing Li,Shilai Bao,Richard Y Zhao,Daowen Wang

IUBMB life 72:1012-1022 PubMed32027086

2020

Quercetin radiosensitizes non-small cell lung cancer cells through the regulation of miR-16-5p/WEE1 axis.

Applications

Unspecified application

Species

Unspecified reactive species

Qi Wang,Yaokun Chen,Haijun Lu,Haiji Wang,Hui Feng,Jinpeng Xu,Biyuan Zhang

International journal of cancer 144:615-630 PubMed30097999

2018

DNA primase polypeptide 1 (PRIM1) involves in estrogen-induced breast cancer formation through activation of the G2/M cell cycle checkpoint.

Applications

Unspecified application

Species

Unspecified reactive species

Wei-Hwa Lee,Li-Ching Chen,Chia-Jung Lee,Chi-Cheng Huang,Yuan-Soon Ho,Po-Sheng Yang,Chi-Tang Ho,Hang-Lung Chang,I-Hsuan Lin,Hui-Wen Chang,Yun-Ru Liu,Chih-Hsiung Wu,Shih-Hsin Tu

Cell reports 15:724-734 PubMed27149840

2016

The KRAB Zinc Finger Protein Roma/Zfp157 Is a Critical Regulator of Cell-Cycle Progression and Genomic Stability.

Applications

WB

Species

Unspecified reactive species

Teresa L F Ho,Guillaume Guilbaud,J Julian Blow,Julian E Sale,Christine J Watson
View all publications

Abcam Product Promise

我们致力于为您的研究提供高质量的试剂,为您科研的每一步提供支持。若我们的产品未能达到预期性能,我们向您提供 Abcam Product Promise 保障。
详情请参阅我们的条款与条件。

关联产品

Select an associated product type
Alternative Product
Primary Antibodies

AB111820

Anti-Wee1 (phospho S53) antibody

primary-antibodies

wee1-phospho-s53-antibody-ab111820

0

(0 reviews)

Alternative Product
Primary Antibodies

AB203213

Anti-Wee1 (phospho S642) antibody

primary-antibodies

wee1-phospho-s642-antibody-ab203213

0

(0 reviews)

Alternative Product
Primary Antibodies

AB233540

Anti-Wee1 antibody [EPR20899]

primary-antibodies

wee1-antibody-epr20899-ab233540

0

(0 reviews)

Alternative Product
Primary Antibodies

AB245987

Anti-Wee1 antibody [EPR20899] - BSA and Azide free

primary-antibodies

wee1-antibody-epr20899-bsa-and-azide-free-ab245987

0

(0 reviews)

Please note: All products are 'FOR RESEARCH USE ONLY. NOT FOR USE IN DIAGNOSTIC OR THERAPEUTIC PROCEDURES'.

For licensing inquiries, please contact partnerships@abcam.com