JavaScript is disabled in your browser. Please enable JavaScript to view this website.
AB178410

重组Anti-WDR5抗体[EPR11350] - C-terminal

Anti-WDR5 antibody [EPR11350] - C-terminal

Be the first to review this product! Submit a review

|

(14 Publications)

Rabbit Recombinant Monoclonal WDR5 antibody. C-terminal. Suitable for IHC-P, WB, Flow Cyt (Intra) and reacts with Human, Mouse, Rat samples. Cited in 14 publications.

查看别名

BIG3, WDR5, WD repeat-containing protein 5, BMP2-induced 3-kb gene protein

6 Images
Immunohistochemistry (Formalin/PFA-fixed paraffin-embedded sections) - Anti-WDR5 antibody [EPR11350] - C-terminal (AB178410)
  • IHC-P

Supplier Data

Immunohistochemistry (Formalin/PFA-fixed paraffin-embedded sections) - Anti-WDR5 antibody [EPR11350] - C-terminal (AB178410)

Immunohistochemical analysis of paraffin embedded Human breast tissue labeling WDR5 with ab178410 at 1/50.

Perform heat mediated antigen retrieval with citrate buffer pH 6 before commencing with IHC staining protocol.

Flow Cytometry (Intracellular) - Anti-WDR5 antibody [EPR11350] - C-terminal (AB178410)
  • Flow Cyt (Intra)

Supplier Data

Flow Cytometry (Intracellular) - Anti-WDR5 antibody [EPR11350] - C-terminal (AB178410)

Intracellular flow cytometrical analysis of permeabilized HeLa cells labeling WDR5 with ab178410 at 1/10 (red) compared to a nonspecific negative control antibody (green).

Immunohistochemistry (Formalin/PFA-fixed paraffin-embedded sections) - Anti-WDR5 antibody [EPR11350] - C-terminal (AB178410)
  • IHC-P

Supplier Data

Immunohistochemistry (Formalin/PFA-fixed paraffin-embedded sections) - Anti-WDR5 antibody [EPR11350] - C-terminal (AB178410)

Immunohistochemical analysis of paraffin embedded Human thyroid gland tissue labeling WDR5 with ab178410 at 1/50.

Perform heat mediated antigen retrieval with citrate buffer pH 6 before commencing with IHC staining protocol.

Immunoprecipitation - Anti-WDR5 antibody [EPR11350] - C-terminal (AB178410)
  • IP

Supplier Data

Immunoprecipitation - Anti-WDR5 antibody [EPR11350] - C-terminal (AB178410)

WDR5 was immunoprecipitated from 0.35 mg U937 whole cell lysate with ab307664 at 1/30 dilution (2ug in 0.35mg lysates). Western blot was performed on the immunoprecipitate using ab307664 at 1/1000 dilution. VeriBlot for IP secondary antibody(HRP)(ab131366) was used at 1/5000 dilution. Lane 1 : U937 (human histiocytic lymphoma monocyte) whole cell lysate Lane 2 : ab307664 IP in U937 whole cell lysate Lane 3 : Rabbit monoclonal IgG (ab172730) instead of ab307664 in U937 whole cell lysate Blocking and dilution buffer and concentration : 5% NFDM/TBST. Exposure time : 24 seconds The IP experiment was performed by ab307664 using U937 cells. On the left the IP blot was probed with ab307664 and on the right the blot was probed by another anti-WDR5 antibody (ab178410)(1 : 1000 dilution).

Lane 2:

Immunoprecipitation - Anti-WDR5 antibody [EPR27033-6] (<a href='/products/primary-antibodies/wdr5-antibody-epr27033-6-ab307664'>ab307664</a>) at 1/30 dilution

Lane 2:

Immunoprecipitation - Anti-WDR5 antibody [EPR11350] - C-terminal (ab178410) at 1/1000 dilution

All lanes:

U937 (human histiocytic lymphoma monocyte) whole cell lysate

Secondary

All lanes:

Immunoprecipitation - VeriBlot for IP Detection Reagent (HRP) (<a href='/products/reagents/veriblot-for-ip-detection-reagent-hrp-ab131366'>ab131366</a>) at 1/5000 dilution

false

Exposure time: 24s

Western blot - Anti-WDR5 antibody [EPR11350] - C-terminal (AB178410)
  • WB

Supplier Data

Western blot - Anti-WDR5 antibody [EPR11350] - C-terminal (AB178410)

All lanes:

Western blot - Anti-WDR5 antibody [EPR11350] - C-terminal (ab178410) at 1/1000 dilution

Lane 1:

HeLa cell lysate at 10 µg

Lane 2:

Saos-2 cell lysate at 10 µg

Secondary

All lanes:

HRP labelled goat anti-rabbit at 1/2000 dilution

Predicted band size: 36 kDa

Observed band size: 36 kDa

false

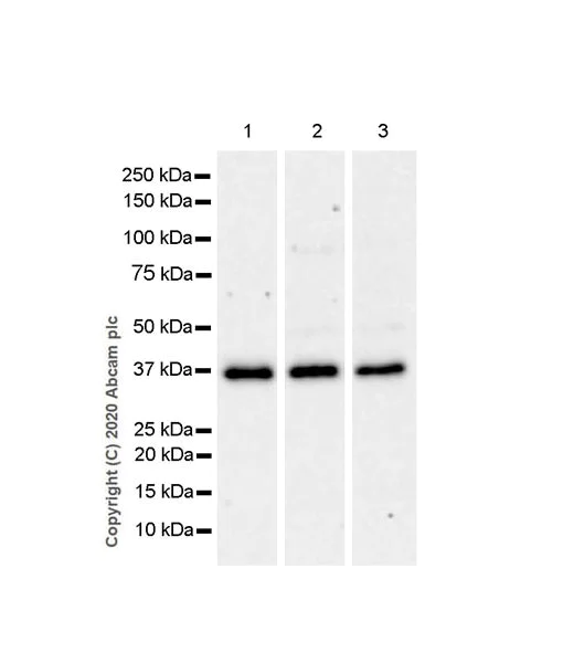
Western blot - Anti-WDR5 antibody [EPR11350] - C-terminal (AB178410)
  • WB

Unknown

Western blot - Anti-WDR5 antibody [EPR11350] - C-terminal (AB178410)

All lanes:

Western blot - Anti-WDR5 antibody [EPR11350] - C-terminal (ab178410) at 1/1000 dilution

Lane 1:

RAW264.7 (mouse Abelson murine leukemia virus-induced tumor macrophage) whole cell lysate at 20 µg

Lane 2:

Mouse spleen tissue lysate at 20 µg

Lane 3:

Rat spleen tissue lysate at 20 µg

Secondary

All lanes:

Goat Anti-Rabbit IgG, (H+L), Peroxidase conjugated (<a href='/products/secondary-antibodies/goat-rabbit-igg-h-l-hrp-ab97051'>ab97051</a>) at 1/100000 dilution

Predicted band size: 36 kDa

false

不同偶联物与剂型 (1)

  • Carrier free

    Anti-WDR5 antibody [EPR11350] - BSA and Azide free

关键信息

宿主种属

Rabbit

克隆

Monoclonal

克隆号

EPR11350

亚型

IgG

不含载体蛋白

No

反应种属

Mouse, Rat, Human

应用

Flow Cyt (Intra), IHC-P, WB

applications

免疫原

The exact immunogen used to generate this antibody is proprietary information.

反应性数据

{ "title": "Reactivity Data", "filters": { "stats": ["", "Species", "Dilution Info", "Notes"], "tabs": { "all-applications": {"fullname" : "All Applications", "shortname": "All Applications"}, "IHCP" : {"fullname" : "Immunohistochemistry (Formalin/PFA-fixed paraffin-embedded sections)", "shortname":"IHC-P"}, "IP" : {"fullname" : "Immunoprecipitation", "shortname":"IP"}, "WB" : {"fullname" : "Western blot", "shortname":"WB"}, "ICCIF" : {"fullname" : "Immunocytochemistry/ Immunofluorescence", "shortname":"ICC/IF"}, "FlowCytIntra" : {"fullname" : "Flow Cytometry (Intracellular)", "shortname":"Flow Cyt (Intra)"} }, "product-promise": { "all": "all", "testedAndGuaranteed": "tested", "guaranteed": "expected", "predicted": "predicted", "notRecommended": "not-recommended" } }, "values": { "Human": { "IHCP-species-checked": "testedAndGuaranteed", "IHCP-species-dilution-info": "1/50 - 1/100", "IHCP-species-notes": "<p></p>", "IP-species-checked": "notRecommended", "IP-species-dilution-info": "", "IP-species-notes": "<p></p>", "WB-species-checked": "testedAndGuaranteed", "WB-species-dilution-info": "1/1000 - 1/5000", "WB-species-notes": "<p></p>", "ICCIF-species-checked": "notRecommended", "ICCIF-species-dilution-info": "", "ICCIF-species-notes": "<p></p>", "FlowCytIntra-species-checked": "testedAndGuaranteed", "FlowCytIntra-species-dilution-info": "1/10 - 1/100", "FlowCytIntra-species-notes": "<p><a href='/products/primary-antibodies/rabbit-igg-monoclonal-epr25a-isotype-control-ab172730'>ab172730</a> - Rabbit monoclonal IgG, is suitable for use as an isotype control with this antibody.</p>" }, "Mouse": { "IHCP-species-checked": "guaranteed", "IHCP-species-dilution-info": "", "IHCP-species-notes": "", "IP-species-checked": "notRecommended", "IP-species-dilution-info": "", "IP-species-notes": "<p></p>", "WB-species-checked": "testedAndGuaranteed", "WB-species-dilution-info": "1/1000 - 1/5000", "WB-species-notes": "<p></p>", "ICCIF-species-checked": "notRecommended", "ICCIF-species-dilution-info": "", "ICCIF-species-notes": "", "FlowCytIntra-species-checked": "guaranteed", "FlowCytIntra-species-dilution-info": "", "FlowCytIntra-species-notes": "" }, "Rat": { "IHCP-species-checked": "guaranteed", "IHCP-species-dilution-info": "", "IHCP-species-notes": "", "IP-species-checked": "notRecommended", "IP-species-dilution-info": "", "IP-species-notes": "<p></p>", "WB-species-checked": "testedAndGuaranteed", "WB-species-dilution-info": "1/1000 - 1/5000", "WB-species-notes": "<p></p>", "ICCIF-species-checked": "notRecommended", "ICCIF-species-dilution-info": "", "ICCIF-species-notes": "", "FlowCytIntra-species-checked": "guaranteed", "FlowCytIntra-species-dilution-info": "", "FlowCytIntra-species-notes": "" } } }

产品详情

Patented technology
Our RabMAb® technology is a patented hybridoma-based technology for making rabbit monoclonal antibodies. For details on our patents, please refer to RabMAb® patents.

What are the advantages of a recombinant monoclonal antibody?
This product is a recombinant monoclonal antibody, which offers several advantages including:

  • - High batch-to-batch consistency and reproducibility
  • - Improved sensitivity and specificity
  • - Long-term security of supply
  • - Animal-free batch production

For more information, read more on recombinant antibodies.

性能和储存信息

形式
Liquid
纯化工艺
Affinity purification Protein A
存储溶液
pH: 7.2 - 7.4 Preservative: 0.01% Sodium azide Constituents: PBS, 40% Glycerol (glycerin, glycerine), 0.05% BSA
运输条件
Blue Ice
推荐的短期储存时间
1-2 weeks
推荐的短期储存条件
+4°C
推荐的长期储存条件
-20°C
分装信息
Upon delivery aliquot
储存信息
Avoid freeze / thaw cycle

补充信息

This supplementary information is collated from multiple sources and compiled automatically.

WDR5 also known as WD repeat domain 5 is an important component in the regulation of gene expression. It has a molecular mass of approximately 36 kDa. This protein is widely expressed across various tissues with significant expression in the nucleus. WDR5 primarily functions as a scaffolding protein facilitating the assembly of multiprotein complexes that modify chromatin structure and function. Its involvement in chromatin regulation highlights its mechanical role in modulating access to DNA for transcriptional machinery.
Biological function summary

WDR5 plays a significant role in epigenetic regulation by being part of the histone methyltransferase complex associated with MLL (Mixed Lineage Leukemia). This complex is responsible for the methylation of histone H3 at lysine 4 (H3K4) an essential modification for transcriptional activation. WDR5's interaction with MLL complex components influences gene expression importantly during development and cellular differentiation. Its presence in the MLL complex connects it to pathways that govern cell cycle regulation and stem cell maintenance.

Pathways

WDR5 functions within key pathways such as the chromatin modification pathway and the WNT signaling pathway. In these settings WDR5 interacts with proteins like MLL and BRG1 which contribute to its role in gene regulation and chromatin remodeling. Through these interactions WDR5 modulates the transcription of target genes impacting cellular processes like proliferation and differentiation.

WDR5 has shown involvement in certain cancers and neurodevelopmental disorders. Its dysregulation is linked to leukemia specifically in cases where MLL rearrangements alter its normal function. Additionally aberrant expression of WDR5 may influence neurodevelopmental disorders though its precise role requires more research. In the context of leukemia WDR5's interaction with proteins such as DOT1L and MEN1 supports the proliferation of leukemic cells. Understanding the involvement of WDR5 in these conditions can offer insights into therapeutic targets for disease intervention.

产品实验方案

For this product, it's our understanding that no specific protocols are required. You can visit:

靶点信息

Contributes to histone modification (PubMed : 16600877, PubMed : 16829960, PubMed : 19103755, PubMed : 19131338, PubMed : 19556245, PubMed : 20018852). May position the N-terminus of histone H3 for efficient trimethylation at 'Lys-4' (PubMed : 16829960). As part of the MLL1/MLL complex it is involved in methylation and dimethylation at 'Lys-4' of histone H3 (PubMed : 19556245). H3 'Lys-4' methylation represents a specific tag for epigenetic transcriptional activation (PubMed : 18840606). As part of the NSL complex it may be involved in acetylation of nucleosomal histone H4 on several lysine residues (PubMed : 19103755, PubMed : 20018852). May regulate osteoblasts differentiation (By similarity). In association with RBBP5 and ASH2L, stimulates the histone methyltransferase activities of KMT2A, KMT2B, KMT2C, KMT2D, SETD1A and SETD1B (PubMed : 21220120, PubMed : 22266653).
See full target information WDR5

文献 (14)

Recent publications for all applications. Explore the full list and refine your search

Acta cirurgica brasileira 38:e386223 PubMed38055397

2023

WD repeat domain 5 promotes the development of late-onset preeclampsia by activating nuclear factor kappa B.

Applications

Unspecified application

Species

Unspecified reactive species

Xudong Zhao,Fengyun Su,Fanhua Kong,Juan Su,Xiaojing Yang,Lei Li,Aihua Li,Qinwen Li

International journal of molecular sciences 24: PubMed37047100

2023

Wds-Mediated H3K4me3 Modification Regulates Lipid Synthesis and Transport in .

Applications

Unspecified application

Species

Unspecified reactive species

Tujing Zhao,Min Wang,Zheng Li,Hao Li,Dongqin Yuan,Xing Zhang,Mengge Guo,Wenliang Qian,Daojun Cheng

The journal of obstetrics and gynaecology research 49:141-153 PubMed36324256

2022

miR-101-3p contributes to the progression of preeclampsia by suppressing WDR5-mediated proliferation and invasion of trophoblast.

Applications

Unspecified application

Species

Unspecified reactive species

Xudong Zhao,Fengyun Su,Fanhua Kong,Qing Guo,Xiuzhu Wang,Hong Cui,Qinwen Li,Wangmeng Zhang,Lei Li,Aihua Li

Biomolecules 12: PubMed36358925

2022

Inhibition of Wdr5 Attenuates Ang-II-Induced Fibroblast-to-Myofibroblast Transition in Cardiac Fibrosis by Regulating Mdm2/P53/P21 Pathway.

Applications

Unspecified application

Species

Unspecified reactive species

Jiali Yuan,Hong Peng,Binfeng Mo,Chengye Yin,Guojian Fang,Yingze Li,Yuepeng Wang,Renhua Chen,Qunshan Wang

Pathology, research and practice 238:154076 PubMed36055087

2022

WDR5 drives the development of cervical squamous cell carcinoma by inducing epithelial-mesenchymal transition and cancer-associated fibroblasts formation.

Applications

Unspecified application

Species

Unspecified reactive species

Fangli Sun,Linmei Mo,Ying Lan,Qiuping Lu,Nengxian Wu,Honglin Song

Cell death & disease 13:532 PubMed35668069

2022

Furin extracellularly cleaves secreted PTENα/β to generate C-terminal fragment with a tumor-suppressive role.

Applications

Unspecified application

Species

Unspecified reactive species

Cheng Zhang,Hong-Ming Ma,Shuang-Shu Dong,Na Zhang,Ping He,Meng-Kai Ge,Li Xia,Jian-Xiu Yu,Qiang Xia,Guo-Qiang Chen,Shao-Ming Shen

Science advances 7: PubMed34144982

2021

Structural insights into the recognition of histone H3Q5 serotonylation by WDR5.

Applications

Unspecified application

Species

Unspecified reactive species

Jie Zhao,Wanbiao Chen,Yi Pan,Yinfeng Zhang,Huiying Sun,Han Wang,Fan Yang,Yu Liu,Nan Shen,Xuan Zhang,Xi Mo,Jianye Zang

Journal of hepatocellular carcinoma 8:333-348 PubMed33977095

2021

LncRNA-CCDC144NL-AS1 Promotes the Development of Hepatocellular Carcinoma by Inducing WDR5 Expression via Sponging miR-940.

Applications

Unspecified application

Species

Unspecified reactive species

Yingying Zhang,Hongyu Zhang,Shuhuan Wu

Molecular therapy : the journal of the American Society of Gene Therapy 29:2134-2150 PubMed33601056

2021

WDR5 facilitates EMT and metastasis of CCA by increasing HIF-1α accumulation in Myc-dependent and independent pathways.

Applications

Unspecified application

Species

Unspecified reactive species

Tianli Chen,Kangshuai Li,Zengli Liu,Jialiang Liu,Yue Wang,Rongqi Sun,Zhipeng Li,Bo Qiu,Xiaoming Zhang,Guangli Ren,Yunfei Xu,Zongli Zhang

Frontiers in neuroanatomy 14:36 PubMed32792914

2020

Mixed Lineage Leukemia 1 Promoted Neuron Apoptosis in Ischemic Penumbra Regulating ASK-1/TNF-α Complex.

Applications

Unspecified application

Species

Unspecified reactive species

Zhang Feng,Liu Jie,Lv Guimin,Wang Xi
View all publications

Abcam Product Promise

我们致力于为您的研究提供高质量的试剂,为您科研的每一步提供支持。若我们的产品未能达到预期性能,我们向您提供 Abcam Product Promise 保障。
详情请参阅我们的条款与条件。

Please note: All products are 'FOR RESEARCH USE ONLY. NOT FOR USE IN DIAGNOSTIC OR THERAPEUTIC PROCEDURES'.

For licensing inquiries, please contact partnerships@abcam.com