JavaScript is disabled in your browser. Please enable JavaScript to view this website.
AB124905

重组Anti-VPS34抗体[EPR5301]

Anti-VPS34 antibody [EPR5301]

Be the first to review this product! Submit a review

|

(23 Publications)

Rabbit Recombinant Monoclonal VPS34 antibody. Suitable for WB, IHC-P and reacts with Rat, Mouse, Human samples. Cited in 23 publications.

查看别名

VPS34, PIK3C3, Phosphatidylinositol 3-kinase catalytic subunit type 3, PI3-kinase type 3, PI3K type 3, PtdIns-3-kinase type 3, Phosphatidylinositol 3-kinase p100 subunit, Phosphoinositide-3-kinase class 3, hVps34

3 Images
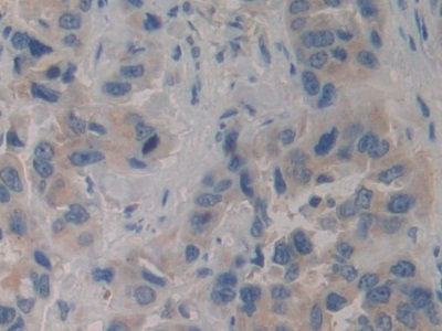
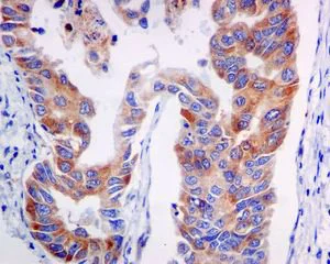
Immunohistochemistry (Formalin/PFA-fixed paraffin-embedded sections) - Anti-VPS34 antibody [EPR5301] (AB124905)
  • IHC-P

Unknown

Immunohistochemistry (Formalin/PFA-fixed paraffin-embedded sections) - Anti-VPS34 antibody [EPR5301] (AB124905)

ab124905, at 1/50 dilution, staining PI 3 Kinase in paraffin-embedded Human gastric adenocarcinoma tissue by Immunohistochemistry.

Perform heat mediated antigen retrieval before commencing with IHC staining protocol.

Western blot - Anti-VPS34 antibody [EPR5301] (AB124905)
  • WB

Unknown

Western blot - Anti-VPS34 antibody [EPR5301] (AB124905)

All lanes:

Western blot - Anti-VPS34 antibody [EPR5301] (ab124905) at 1/1000 dilution

Lane 1:

L6 cell lysate at 10 µg

Lane 2:

C2C12 cell lysate at 10 µg

Lane 3:

293T cell lysate at 10 µg

Lane 4:

Mouse brain tissue lysate at 10 µg

Lane 5:

SHSY-5Y cell lysate at 10 µg

Secondary

All lanes:

HRP labelled goat anti-rabbit at 1/2000 dilution

Predicted band size: 102 kDa

Observed band size: 100 kDa

false

OI-RD Scanning - Anti-VPS34 antibody [EPR5301] (AB124905)
  • OI-RD Scanning

Unknown

OI-RD Scanning - Anti-VPS34 antibody [EPR5301] (AB124905)

We have systematically measured KD (the equilibrium dissociation constant between the antibody and its antigen), of more than 840 recombinant antibodies to assess not only their individual KD values but also to see the average affinity of antibody. Based on the comparison with published literature values for mouse monoclonal antibodies, Recombinant antibodies appear to be on average 1-2 order of magnitude higher affinity.

关键信息

宿主种属

Rabbit

克隆

Monoclonal

克隆号

EPR5301

亚型

IgG

不含载体蛋白

No

反应种属

Mouse, Rat, Human

应用

IHC-P, WB

applications

免疫原

The exact immunogen used to generate this antibody is proprietary information.

反应性数据

{ "title": "Reactivity Data", "filters": { "stats": ["", "Species", "Dilution Info", "Notes"], "tabs": { "all-applications": {"fullname" : "All Applications", "shortname": "All Applications"}, "WB" : {"fullname" : "Western blot", "shortname":"WB"}, "IHCP" : {"fullname" : "Immunohistochemistry (Formalin/PFA-fixed paraffin-embedded sections)", "shortname":"IHC-P"}, "ICCIF" : {"fullname" : "Immunocytochemistry/ Immunofluorescence", "shortname":"ICC/IF"}, "IP" : {"fullname" : "Immunoprecipitation", "shortname":"IP"}, "FlowCyt" : {"fullname" : "Flow Cytometry", "shortname":"Flow Cyt"} }, "product-promise": { "all": "all", "testedAndGuaranteed": "tested", "guaranteed": "expected", "predicted": "predicted", "notRecommended": "not-recommended" } }, "values": { "Human": { "WB-species-checked": "testedAndGuaranteed", "WB-species-dilution-info": "1/1000 - 1/10000", "WB-species-notes": "<p></p>", "IHCP-species-checked": "testedAndGuaranteed", "IHCP-species-dilution-info": "1/50 - 1/100", "IHCP-species-notes": "<p></p>", "ICCIF-species-checked": "notRecommended", "ICCIF-species-dilution-info": "", "ICCIF-species-notes": "<p></p>", "IP-species-checked": "notRecommended", "IP-species-dilution-info": "", "IP-species-notes": "<p></p>", "FlowCyt-species-checked": "notRecommended", "FlowCyt-species-dilution-info": "", "FlowCyt-species-notes": "<p></p>" }, "Mouse": { "WB-species-checked": "testedAndGuaranteed", "WB-species-dilution-info": "1/1000 - 1/10000", "WB-species-notes": "<p></p>", "IHCP-species-checked": "guaranteed", "IHCP-species-dilution-info": "", "IHCP-species-notes": "", "ICCIF-species-checked": "notRecommended", "ICCIF-species-dilution-info": "", "ICCIF-species-notes": "<p></p>", "IP-species-checked": "notRecommended", "IP-species-dilution-info": "", "IP-species-notes": "<p></p>", "FlowCyt-species-checked": "notRecommended", "FlowCyt-species-dilution-info": "", "FlowCyt-species-notes": "<p></p>" }, "Rat": { "WB-species-checked": "testedAndGuaranteed", "WB-species-dilution-info": "1/1000 - 1/10000", "WB-species-notes": "<p></p>", "IHCP-species-checked": "guaranteed", "IHCP-species-dilution-info": "", "IHCP-species-notes": "", "ICCIF-species-checked": "notRecommended", "ICCIF-species-dilution-info": "", "ICCIF-species-notes": "<p></p>", "IP-species-checked": "notRecommended", "IP-species-dilution-info": "", "IP-species-notes": "<p></p>", "FlowCyt-species-checked": "notRecommended", "FlowCyt-species-dilution-info": "", "FlowCyt-species-notes": "<p></p>" } } }

产品详情

Patented technology
Our RabMAb® technology is a patented hybridoma-based technology for making rabbit monoclonal antibodies. For details on our patents, please refer to RabMAb® patents.

What are the advantages of a recombinant monoclonal antibody?
This product is a recombinant monoclonal antibody, which offers several advantages including:

  • - High batch-to-batch consistency and reproducibility
  • - Improved sensitivity and specificity
  • - Long-term security of supply
  • - Animal-free batch production

For more information, read more on recombinant antibodies.

性能和储存信息

形式
Liquid
纯化工艺
Affinity purification Protein A
存储溶液
pH: 7.2 - 7.4 Preservative: 0.05% Sodium azide Constituents: 50% Tissue culture supernatant, 40% Glycerol (glycerin, glycerine), 9.85% Tris glycine, 0.1% BSA
运输条件
Blue Ice
推荐的短期储存条件
+4°C
推荐的长期储存条件
-20°C
储存信息
Stable for 12 months at -20°C

产品实验方案

For this product, it's our understanding that no specific protocols are required. You can visit:

靶点信息

Catalytic subunit of the PI3K complex that mediates formation of phosphatidylinositol 3-phosphate; different complex forms are believed to play a role in multiple membrane trafficking pathways : PI3KC3-C1 is involved in initiation of autophagosomes and PI3KC3-C2 in maturation of autophagosomes and endocytosis (PubMed : 14617358, PubMed : 33637724, PubMed : 7628435). As part of PI3KC3-C1, promotes endoplasmic reticulum membrane curvature formation prior to vesicle budding (PubMed : 32690950). Involved in regulation of degradative endocytic trafficking and required for the abscission step in cytokinesis, probably in the context of PI3KC3-C2 (PubMed : 20208530, PubMed : 20643123). Involved in the transport of lysosomal enzyme precursors to lysosomes (By similarity). Required for transport from early to late endosomes (By similarity).. (Microbial infection) Kinase activity is required for SARS coronavirus-2/SARS-CoV-2 replication.
See full target information PIK3C3

文献 (23)

Recent publications for all applications. Explore the full list and refine your search

Investigative ophthalmology & visual science 66:41 PubMed40238115

2025

TUT7-Mediated Uridine Degradation of MCPIP1 in the Pterygium to Regulate TRAF6-Mediated Autophagy.

Applications

Unspecified application

Species

Unspecified reactive species

Juanjuan Li,Hao Ji,Yanze Xu,Weijia Zhang,Yuru Yin,Yubing Zhao,Yan Du,Anni He,Dandan Zhao

Autophagy 20:1798-1814 PubMed38705725

2024

The mammalian actin elongation factor ENAH/MENA contributes to autophagosome formation via its actin regulatory function.

Applications

Unspecified application

Species

Unspecified reactive species

Yueheng Li,Yafei Zhang,Menghui Wang,Junhui Su,Xinjue Dong,Yuqi Yang,Hongshan Wang,QingQuan Li

Developmental cell 58:866-884.e8 PubMed37054706

2023

ATG5 provides host protection acting as a switch in the atg8ylation cascade between autophagy and secretion.

Applications

Unspecified application

Species

Unspecified reactive species

Fulong Wang,Ryan Peters,Jingyue Jia,Michal Mudd,Michelle Salemi,Lee Allers,Ruheena Javed,Thabata L A Duque,Masroor A Paddar,Einar S Trosdal,Brett Phinney,Vojo Deretic

Clinical and experimental pharmacology & physiology 50:431-442 PubMed36732923

2023

LncRNA PRKCQ-AS1 regulates paclitaxel resistance in triple-negative breast cancer cells through miR-361-5p/PIK3C3 mediated autophagy.

Applications

Unspecified application

Species

Unspecified reactive species

Shurong Zheng,Weida Fu,Qidi Huang,Jieyu Zhou,Kangkang Lu,Junwei Gu,Ruimin Ma,Guilong Guo

PLoS pathogens 19:e1011201 PubMed36888569

2023

Autophagy is induced by swine acute diarrhea syndrome coronavirus through the cellular IRE1-JNK-Beclin 1 signaling pathway after an interaction of viral membrane-associated papain-like protease and GRP78.

Applications

Unspecified application

Species

Unspecified reactive species

Da Shi,Ling Zhou,Hongyan Shi,Jiyu Zhang,Jialin Zhang,Liaoyuan Zhang,Dakai Liu,Tingshuai Feng,Miaomiao Zeng,Jianfei Chen,Xin Zhang,Mei Xue,Zhaoyang Jing,Jianbo Liu,Zhaoyang Ji,Haojie He,Longjun Guo,Yang Wu,Jingyun Ma,Li Feng

Frontiers in immunology 13:1079962 PubMed36865524

2023

SIRT2-PFKP interaction dysregulates phagocytosis in macrophages with acute ethanol-exposure.

Applications

Unspecified application

Species

Unspecified reactive species

Anugraha Gandhirajan,Sanjoy Roychowdhury,Christopher Kibler,Emily Cross,Susamma Abraham,Annett Bellar,Laura E Nagy,Rachel Greenberg Scheraga,Vidula Vachharajani

Journal of radiation research 63:331-341 PubMed35333349

2022

Overcoming radio-resistance in esophageal squamous cell carcinoma via hypermethylation of PIK3C3 promoter region mediated by KDM5B loss.

Applications

Unspecified application

Species

Unspecified reactive species

Xiaobo Wang,Min Gu,Yongjian Ju,Juying Zhou

Bioengineered 13:5613-5624 PubMed35184640

2022

Knockdown of miR-92a suppresses the stemness of colorectal cancer cells via mediating SOCS3.

Applications

WB

Species

Human

Lifa Li,Jingxiao Zhang,Hong Peng,Xianhong Jiang,Zuoliang Liu,Hongpeng Tian,Songlin Hou,Xingjiang Xie,Qiang Peng,Tong Zhou

Frontiers in pharmacology 12:705747 PubMed34483910

2021

Yiqi Huoxue Recipe Delayed Intervertebral Disc Degeneration by Activating Autophagy.

Applications

Unspecified application

Species

Unspecified reactive species

Feng Dai,Pengfei Yu,Zhenhan Yu,Hong Jiang,Zhijia Ma,Jintao Liu

Biochemical and biophysical research communications 561:143-150 PubMed34023779

2021

TNF-α released from retinal Müller cells aggravates retinal pigment epithelium cell apoptosis by upregulating mitophagy during diabetic retinopathy.

Applications

Unspecified application

Species

Unspecified reactive species

Yu Liu,Lele Li,Ningxin Pan,Jiayi Gu,Zhaoxian Qiu,Guoping Cao,Yuping Dou,Lili Dong,Jie Shuai,Aimin Sang
View all publications

Abcam Product Promise

我们致力于为您的研究提供高质量的试剂,为您科研的每一步提供支持。若我们的产品未能达到预期性能,我们向您提供 Abcam Product Promise 保障。
详情请参阅我们的条款与条件。

Please note: All products are 'FOR RESEARCH USE ONLY. NOT FOR USE IN DIAGNOSTIC OR THERAPEUTIC PROCEDURES'.

For licensing inquiries, please contact partnerships@abcam.com