JavaScript is disabled in your browser. Please enable JavaScript to view this website.
AB233437

Anti-VPS34抗体

Anti-VPS34 antibody

Be the first to review this product! Submit a review

|

(3 Publications)

Rabbit Polyclonal VPS34 antibody. Suitable for WB, IHC-P and reacts with Human, Recombinant full length protein - Human, Pig samples. Cited in 3 publications. Immunogen corresponding to Recombinant Fragment Protein within Human PIK3C3 aa 600 to C-terminus.

查看别名

VPS34, PIK3C3, Phosphatidylinositol 3-kinase catalytic subunit type 3, PI3-kinase type 3, PI3K type 3, PtdIns-3-kinase type 3, Phosphatidylinositol 3-kinase p100 subunit, Phosphoinositide-3-kinase class 3, hVps34

6 Images
Immunohistochemistry (Formalin/PFA-fixed paraffin-embedded sections) - Anti-VPS34 antibody (AB233437)
  • IHC-P

Supplier Data

Immunohistochemistry (Formalin/PFA-fixed paraffin-embedded sections) - Anti-VPS34 antibody (AB233437)

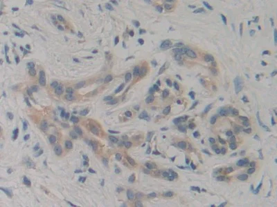
Formalin-fixed, paraffin-embedded human pancreatic cancer tissue stained for VPS34 using ab233437 at 20 μg/ml in immunohistochemical analysis. DAB staining.

Immunohistochemistry (Formalin/PFA-fixed paraffin-embedded sections) - Anti-VPS34 antibody (AB233437)
  • IHC-P

Supplier Data

Immunohistochemistry (Formalin/PFA-fixed paraffin-embedded sections) - Anti-VPS34 antibody (AB233437)

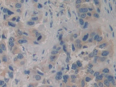
Formalin-fixed, paraffin-embedded human breast cancer tissue stained for VPS34 using ab233437 at 20 μg/ml in immunohistochemical analysis. DAB staining.

Immunohistochemistry (Formalin/PFA-fixed paraffin-embedded sections) - Anti-VPS34 antibody (AB233437)
  • IHC-P

Supplier Data

Immunohistochemistry (Formalin/PFA-fixed paraffin-embedded sections) - Anti-VPS34 antibody (AB233437)

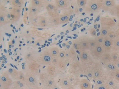
Formalin-fixed, paraffin-embedded human liver tissue stained for VPS34 using ab233437 at 20 μg/ml in immunohistochemical analysis. DAB staining.

Immunohistochemistry (Formalin/PFA-fixed paraffin-embedded sections) - Anti-VPS34 antibody (AB233437)
  • IHC-P

Supplier Data

Immunohistochemistry (Formalin/PFA-fixed paraffin-embedded sections) - Anti-VPS34 antibody (AB233437)

Formalin-fixed, paraffin-embedded human cerebrum tissue stained for VPS34 using ab233437 at 20 μg/ml in immunohistochemical analysis. DAB staining.

Western blot - Anti-VPS34 antibody (AB233437)
  • WB

Supplier Data

Western blot - Anti-VPS34 antibody (AB233437)

All lanes:

Western blot - Anti-VPS34 antibody (ab233437) at 3 µg/mL

All lanes:

Recombinant human VPS34 protein

Secondary

All lanes:

HRP-Linked Guinea pig anti-Rabbit at 1/2000 dilution

Predicted band size: 102 kDa

false

Western blot - Anti-VPS34 antibody (AB233437)
  • WB

Supplier Data

Western blot - Anti-VPS34 antibody (AB233437)

All lanes:

Western blot - Anti-VPS34 antibody (ab233437) at 3 µg/mL

Lane 1:

HeLa (human epithelial cell line from cervix adenocarcinoma) cell lysate

Lane 2:

Pig brain lysate

Secondary

All lanes:

HRP-Linked Guinea pig anti-Rabbit at 1/2000 dilution

Predicted band size: 102 kDa

false

关键信息

宿主种属

Rabbit

克隆

Polyclonal

亚型

IgG

不含载体蛋白

No

反应种属

Human, Pig

应用

IHC-P, WB

applications

免疫原

Recombinant Fragment Protein within Human PIK3C3 aa 600 to C-terminus. The exact immunogen used to generate this antibody is proprietary information.

Q8NEB9

反应性数据

{ "title": "Reactivity Data", "filters": { "stats": ["", "Species", "Dilution Info", "Notes"], "tabs": { "all-applications": {"fullname" : "All Applications", "shortname": "All Applications"}, "WB" : {"fullname" : "Western blot", "shortname":"WB"}, "IHCP" : {"fullname" : "Immunohistochemistry (Formalin/PFA-fixed paraffin-embedded sections)", "shortname":"IHC-P"} }, "product-promise": { "all": "all", "testedAndGuaranteed": "tested", "guaranteed": "expected", "predicted": "predicted", "notRecommended": "not-recommended" } }, "values": { "Human": { "WB-species-checked": "testedAndGuaranteed", "WB-species-dilution-info": "1-5 µg/mL", "WB-species-notes": "<p></p>", "IHCP-species-checked": "testedAndGuaranteed", "IHCP-species-dilution-info": "5-20 µg/mL", "IHCP-species-notes": "<p></p>" }, "Mouse": { "WB-species-checked": "predicted", "WB-species-dilution-info": "", "WB-species-notes": "", "IHCP-species-checked": "predicted", "IHCP-species-dilution-info": "", "IHCP-species-notes": "" }, "Rat": { "WB-species-checked": "predicted", "WB-species-dilution-info": "", "WB-species-notes": "", "IHCP-species-checked": "predicted", "IHCP-species-dilution-info": "", "IHCP-species-notes": "" }, "Pig": { "WB-species-checked": "testedAndGuaranteed", "WB-species-dilution-info": "1-5 µg/mL", "WB-species-notes": "<p></p>", "IHCP-species-checked": "guaranteed", "IHCP-species-dilution-info": "", "IHCP-species-notes": "" }, "Recombinant full length protein - Human": { "WB-species-checked": "testedAndGuaranteed", "WB-species-dilution-info": "1-5 µg/mL", "WB-species-notes": "<p></p>", "IHCP-species-checked": "notRecommended", "IHCP-species-dilution-info": "", "IHCP-species-notes": "" } } }

性能和储存信息

形式
Liquid
纯化工艺
Affinity purification Immunogen
纯化说明
Antigen-specific affinity chromatography followed by Protein A affinity chromatography.
存储溶液
pH: 7.4 Preservative: 0.011% Proclin 300 Constituents: PBS, 55.77% Glycerol (glycerin, glycerine)
运输条件
Blue Ice
推荐的短期储存时间
1-2 weeks
推荐的短期储存条件
+4°C
推荐的长期储存条件
-20°C
分装信息
Upon delivery aliquot
储存信息
Avoid freeze / thaw cycle

产品实验方案

For this product, it's our understanding that no specific protocols are required. You can visit:

靶点信息

Catalytic subunit of the PI3K complex that mediates formation of phosphatidylinositol 3-phosphate; different complex forms are believed to play a role in multiple membrane trafficking pathways : PI3KC3-C1 is involved in initiation of autophagosomes and PI3KC3-C2 in maturation of autophagosomes and endocytosis (PubMed : 14617358, PubMed : 33637724, PubMed : 7628435). As part of PI3KC3-C1, promotes endoplasmic reticulum membrane curvature formation prior to vesicle budding (PubMed : 32690950). Involved in regulation of degradative endocytic trafficking and required for the abscission step in cytokinesis, probably in the context of PI3KC3-C2 (PubMed : 20208530, PubMed : 20643123). Involved in the transport of lysosomal enzyme precursors to lysosomes (By similarity). Required for transport from early to late endosomes (By similarity).. (Microbial infection) Kinase activity is required for SARS coronavirus-2/SARS-CoV-2 replication.
See full target information PIK3C3

文献 (3)

Recent publications for all applications. Explore the full list and refine your search

British journal of pharmacology 182:5391-5408 PubMed40660634

2025

Scorpion venom heat-resistant synthetic peptide improves cognitive dysfunction of APP/PS1 mice through microglial retromer complex.

Applications

Unspecified application

Species

Unspecified reactive species

Yue Zhang,Yu-Xia Wu,Xiao-Gang Zhang,Song-Yu Guo,Jia He,Na-Na Hu,Yue-Lin Huang,Yue Kong,Qi-Fa Li,Ao-Ran Sui,Bao-Hang Zhu,Hua Piao,Jie Zhao,Shao Li

Journal of virology 96:e0137522 PubMed36197111

2022

Peste des Petits Ruminants Virus Upregulates STING to Activate ATF6-Mediated Autophagy.

Applications

Unspecified application

Species

Unspecified reactive species

Rui Zhang,Hanrui Lin,Qing You,Zhixiong Zhang,Ling Bai,Fei Chen,Xueliang Zhu,Zhidong Zhang,Yanmin Li

Toxins 14: PubMed36136579

2022

Resveratrol Protects against Zearalenone-Induced Mitochondrial Defects during Porcine Oocyte Maturation via PINK1/Parkin-Mediated Mitophagy.

Applications

Unspecified application

Species

Unspecified reactive species

Jiehuan Xu,Lingwei Sun,Mengqian He,Shushan Zhang,Jun Gao,Caifeng Wu,Defu Zhang,Jianjun Dai
View all publications

Abcam Product Promise

我们致力于为您的研究提供高质量的试剂,为您科研的每一步提供支持。若我们的产品未能达到预期性能,我们向您提供 Abcam Product Promise 保障。
详情请参阅我们的条款与条件。

Please note: All products are 'FOR RESEARCH USE ONLY. NOT FOR USE IN DIAGNOSTIC OR THERAPEUTIC PROCEDURES'.

For licensing inquiries, please contact partnerships@abcam.com