JavaScript is disabled in your browser. Please enable JavaScript to view this website.
AB28624

Anti-VPAC2 抗体

Anti-VPAC2 antibody

4

(2 Reviews)

|

(13 Publications)

Rabbit Polyclonal VPAC2 antibody. Suitable for WB, IHC-P and reacts with Human samples. Cited in 13 publications. Immunogen corresponding to Synthetic Peptide within Human VIPR2 aa 400 to C-terminus conjugated to Keyhole Limpet Haemocyanin.

查看别名

VIP2R, VIPR2, Vasoactive intestinal polypeptide receptor 2, VIP-R-2, Helodermin-preferring VIP receptor, Pituitary adenylate cyclase-activating polypeptide type III receptor, VPAC2 receptor, PACAP type III receptor, PACAP-R-3, PACAP-R3, VPAC2R

2 Images
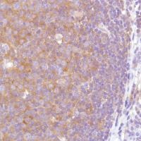
Immunohistochemistry (Formalin/PFA-fixed paraffin-embedded sections) - Anti-VPAC2 antibody (AB28624)
  • IHC-P

Unknown

Immunohistochemistry (Formalin/PFA-fixed paraffin-embedded sections) - Anti-VPAC2 antibody (AB28624)

ab28624 staining Human VIP Receptor 2 in human neuroendocrine cells of the small intestine by immunohistochemistry using paraffin embedded tissue.

Western blot - Anti-VPAC2 antibody (AB28624)
  • WB

Supplier Data

Western blot - Anti-VPAC2 antibody (AB28624)

All lanes:

Western blot - Anti-VPAC2 antibody (ab28624) at 1/500 dilution

All lanes:

PC-3 cell lysate at 30 µg

Secondary

All lanes:

Goat anti-Rabbit IgG (H+L), HRP conjugate at 1/4000 dilution

Predicted band size: 49 kDa

false

关键信息

宿主种属

Rabbit

克隆

Polyclonal

亚型

IgG

不含载体蛋白

No

反应种属

Human

应用

WB, IHC-P

applications

免疫原

Synthetic Peptide within Human VIPR2 aa 400 to C-terminus conjugated to Keyhole Limpet Haemocyanin. The exact immunogen used to generate this antibody is proprietary information.

P41587

反应性数据

{ "title": "Reactivity Data", "filters": { "stats": ["", "Species", "Dilution Info", "Notes"], "tabs": { "all-applications": {"fullname" : "All Applications", "shortname": "All Applications"}, "WB" : {"fullname" : "Western blot", "shortname":"WB"}, "IHCP" : {"fullname" : "Immunohistochemistry (Formalin/PFA-fixed paraffin-embedded sections)", "shortname":"IHC-P"} }, "product-promise": { "all": "all", "testedAndGuaranteed": "tested", "guaranteed": "expected", "predicted": "predicted", "notRecommended": "not-recommended" } }, "values": { "Human": { "WB-species-checked": "testedAndGuaranteed", "WB-species-dilution-info": "1/250 - 1/500", "WB-species-notes": "<p></p>", "IHCP-species-checked": "testedAndGuaranteed", "IHCP-species-dilution-info": "1/500", "IHCP-species-notes": "<p></p>" } } }

性能和储存信息

形式
Liquid
纯度
Whole antiserum
存储溶液
Preservative: 0.05% Sodium azide Constituents: Whole serum
运输条件
Blue Ice
推荐的短期储存条件
+4°C
推荐的长期储存条件
-20°C
分装信息
Upon delivery aliquot
储存信息
Avoid freeze / thaw cycle

产品实验方案

For this product, it's our understanding that no specific protocols are required. You can visit:

靶点信息

G protein-coupled receptor activated by the neuropeptides vasoactive intestinal peptide (VIP) and pituitary adenylate cyclase-activating polypeptide (ADCYAP1/PACAP) (PubMed : 7811244, PubMed : 35477937, PubMed : 8933357). Binds VIP and both PACAP27 and PACAP38 bioactive peptides with the following order of potency PACAP38 = VIP > PACAP27 (PubMed : 35477937, PubMed : 8933357). Ligand binding causes a conformation change that triggers signaling via guanine nucleotide-binding proteins (G proteins) and modulates the activity of downstream effectors. Activates cAMP-dependent pathway (PubMed : 7811244, PubMed : 35477937, PubMed : 8933357). May be coupled to phospholipase C.
See full target information VIPR2

文献 (13)

Recent publications for all applications. Explore the full list and refine your search

Cells 14: PubMed40497945

2025

VPAC1 and VPAC2 Receptor Heterozygosity Confers Distinct Biological Properties to BV2 Microglial Cells.

Applications

Unspecified application

Species

Unspecified reactive species

Xin Ying Rachel Song,Margo Iris Jansen,Rubina Marzagalli,Giuseppe Musumeci,Velia D'Agata,Alessandro Castorina

Acta biochimica et biophysica Sinica 54:657-672 PubMed35593471

2022

Positive allosteric regulation of PAC1-R up-regulates PAC1-R and its specific ligand PACAP.

Applications

Unspecified application

Species

Unspecified reactive species

Guangchun Fan,Zhengxin Tao,Shang Chen,Huahua Zhang,Rongjie Yu

Nature communications 12:5763 PubMed34599158

2021

Circadian neurons in the paraventricular nucleus entrain and sustain daily rhythms in glucocorticoids.

Applications

Unspecified application

Species

Unspecified reactive species

Jeff R Jones,Sneha Chaturvedi,Daniel Granados-Fuentes,Erik D Herzog

Neuron 108:164-179.e7 PubMed32768389

2020

Dual-Color Single-Cell Imaging of the Suprachiasmatic Nucleus Reveals a Circadian Role in Network Synchrony.

Applications

Unspecified application

Species

Unspecified reactive species

Yongli Shan,John H Abel,Yan Li,Mariko Izumo,Kimberly H Cox,Byeongha Jeong,Seung-Hee Yoo,David P Olson,Francis J Doyle,Joseph S Takahashi

PloS one 14:e0211433 PubMed30682157

2019

VPAC1 receptors play a dominant role in PACAP-induced vasorelaxation in female mice.

Applications

Unspecified application

Species

Unspecified reactive species

Ivan Ivic,Marta Balasko,Balazs D Fulop,Hitoshi Hashimoto,Gabor Toth,Andrea Tamas,Tamas Juhasz,Akos Koller,Dora Reglodi,Margit Solymár

The Journal of neuroscience : the official journal 38:7986-7995 PubMed30082421

2018

SCN VIP Neurons Are Essential for Normal Light-Mediated Resetting of the Circadian System.

Applications

Unspecified application

Species

Unspecified reactive species

Jeff R Jones,Tatiana Simon,Lorenzo Lones,Erik D Herzog

Proceedings of the National Academy of Sciences of 115:E3296-E3304 PubMed29555746

2018

mTOR signaling in VIP neurons regulates circadian clock synchrony and olfaction.

Applications

Unspecified application

Species

Unspecified reactive species

Dong Liu,Adam Stowie,Nuria de Zavalia,Tanya Leise,Salil Saurav Pathak,Lester R Drewes,Alec J Davidson,Shimon Amir,Nahum Sonenberg,Ruifeng Cao

The British journal of dermatology 175:531-41 PubMed27059672

2016

Vasoactive intestinal peptide, whose receptor-mediated signalling may be defective in alopecia areata, provides protection from hair follicle immune privilege collapse.

Applications

Unspecified application

Species

Unspecified reactive species

M Bertolini,M Pretzlaff,M Sulk,M Bähr,J Gherardini,Y Uchida,M Reibelt,M Kinori,A Rossi,T Bíró,R Paus

Nature communications 7:10583 PubMed26882873

2016

Gpr176 is a Gz-linked orphan G-protein-coupled receptor that sets the pace of circadian behaviour.

Applications

Unspecified application

Species

Unspecified reactive species

Masao Doi,Iori Murai,Sumihiro Kunisue,Genzui Setsu,Naohiro Uchio,Rina Tanaka,Sakurako Kobayashi,Hiroyuki Shimatani,Hida Hayashi,Hsu-Wen Chao,Yuuki Nakagawa,Yukari Takahashi,Yunhong Hotta,Jun-ichirou Yasunaga,Masao Matsuoka,Michael H Hastings,Hiroshi Kiyonari,Hitoshi Okamura

International journal of molecular sciences 16:17344-67 PubMed26230691

2015

Pituitary Adenylate Cyclase Activating Polypeptide (PACAP) Pathway Is Induced by Mechanical Load and Reduces the Activity of Hedgehog Signaling in Chondrogenic Micromass Cell Cultures.

Applications

Unspecified application

Species

Unspecified reactive species

Tamás Juhász,Eszter Szentléleky,Csilla Szűcs Somogyi,Roland Takács,Nóra Dobrosi,Máté Engler,Andrea Tamás,Dóra Reglődi,Róza Zákány
View all publications

Abcam Product Promise

我们致力于为您的研究提供高质量的试剂,为您科研的每一步提供支持。若我们的产品未能达到预期性能,我们向您提供 Abcam Product Promise 保障。
详情请参阅我们的条款与条件。

Please note: All products are 'FOR RESEARCH USE ONLY. NOT FOR USE IN DIAGNOSTIC OR THERAPEUTIC PROCEDURES'.

For licensing inquiries, please contact partnerships@abcam.com