JavaScript is disabled in your browser. Please enable JavaScript to view this website.
AB316979

重组Anti-Von Willebrand Factor抗体[RM1068]

Anti-Von Willebrand Factor antibody [RM1068]

  • BOND RX™ Validated
  • 20ul selling size
  • Recombinant
  • RabMAb
  • 了解详情

0

(1 Review)

|

(0 Publication)

Rabbit Recombinant Multiclonal Von Willebrand Factor antibody. Suitable for WB, IHC-P, IP, IHC-Fr, Flow Cyt and reacts with Human, Mouse, Rat samples.

查看别名

F8VWF, VWF, von Willebrand factor, vWF

14 Images
Immunohistochemistry (Formalin/PFA-fixed paraffin-embedded sections) - Anti-Von Willebrand Factor antibody [RM1068] (AB316979)
  • IHC-P

Supplier Data

Immunohistochemistry (Formalin/PFA-fixed paraffin-embedded sections) - Anti-Von Willebrand Factor antibody [RM1068] (AB316979)

Immunohistochemical analysis of paraffin-embedded Human tonsil tissue labeling Von Willebrand Factor with ab316979 at 1/2000 (0.24 ug/ml) dilution, followed by a ready to use LeicaDS9800 (Bond™ Polymer Refine Detection).

Positive staining on endothelial cells in human tonsil. The section was incubated with ab316979 for 30 mins at room temperature.
The immunostaining was performed on a Leica Biosystems BOND® RX instrument

Counterstained with Hematoxylin.

Secondary antibody only control : Secondary antibody is a ready to use LeicaDS9800 (Bond™ Polymer Refine Detection).

Heat mediated antigen retrieval was performed with Citrate buffer (pH 6.0, Epitope Retrieval Solution 1) for 20 mins

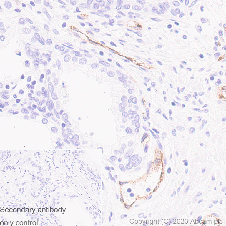
Immunohistochemistry (Formalin/PFA-fixed paraffin-embedded sections) - Anti-Von Willebrand Factor antibody [RM1068] (AB316979)
  • IHC-P

Supplier Data

Immunohistochemistry (Formalin/PFA-fixed paraffin-embedded sections) - Anti-Von Willebrand Factor antibody [RM1068] (AB316979)

Immunohistochemical analysis of paraffin-embedded Human prostatic hyperplasia tissue labeling Von Willebrand Factor with ab316979 at 1/2000 (0.24 ug/ml) dilution, followed by a ready to use LeicaDS9800 (Bond™ Polymer Refine Detection).

Positive staining on endothelial cells in human prostatic hyperplasia. The section was incubated with ab316979 for 30 mins at room temperature.
The immunostaining was performed on a Leica Biosystems BOND® RX instrument

Counterstained with Hematoxylin.

Secondary antibody only control : Secondary antibody is a ready to use LeicaDS9800 (Bond™ Polymer Refine Detection).

Heat mediated antigen retrieval was performed with Citrate buffer (pH 6.0, Epitope Retrieval Solution 1) for 20 mins

Flow Cytometry - Anti-Von Willebrand Factor antibody [RM1068] (AB316979)
  • Flow Cyt

Supplier Data

Flow Cytometry - Anti-Von Willebrand Factor antibody [RM1068] (AB316979)

Flow cytometric analysis of Mouse PBMC cells labelling Von Willebrand Factor with ab316979 at 1/500 dilution (0.1ug)/right compared with a Rabbit monoclonal IgG (ab172730) / Left isotype control.

Goat Anti-Rabbit IgG (Alexa Fluor® 488, ab150081) at 1/5000 dilution was used as the secondary antibody.

Cells were co-stained with anti-CD41 conjugated to APC.
Gated on viable cells.

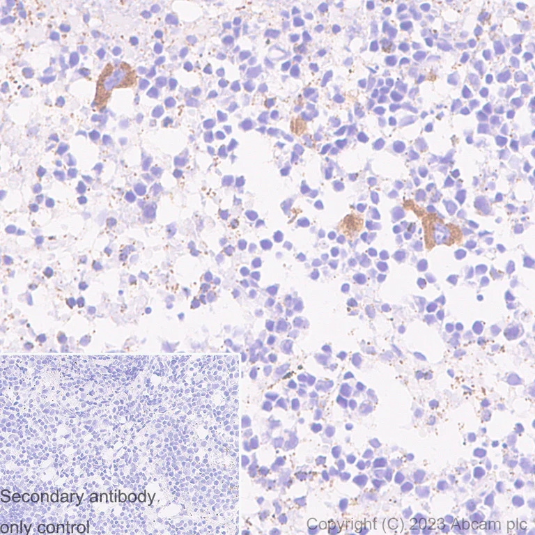
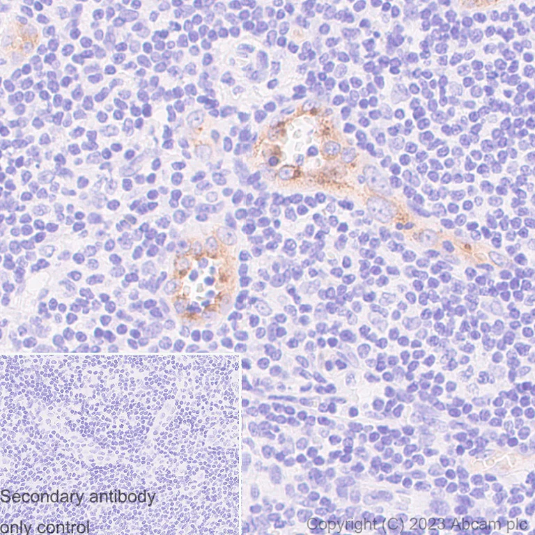
Immunohistochemistry (Formalin/PFA-fixed paraffin-embedded sections) - Anti-Von Willebrand Factor antibody [RM1068] (AB316979)
  • IHC-P

Supplier Data

Immunohistochemistry (Formalin/PFA-fixed paraffin-embedded sections) - Anti-Von Willebrand Factor antibody [RM1068] (AB316979)

Immunohistochemical analysis of paraffin-embedded Rat spleen tissue labeling Von Willebrand Factor with ab316979 at 1/2000 (0.24 ug/ml) dilution, followed by a ready to use LeicaDS9800 (Bond™ Polymer Refine Detection).

Positive staining on platelets and megakaryocytes in rat spleen. The section was incubated with ab316979 for 30 mins at room temperature.
The immunostaining was performed on a Leica Biosystems BOND® RX instrument

Counterstained with Hematoxylin.

Secondary antibody only control : Secondary antibody is a ready to use LeicaDS9800 (Bond™ Polymer Refine Detection).

Heat mediated antigen retrieval was performed with Citrate buffer (pH 6.0, Epitope Retrieval Solution 1) for 20 mins

Immunohistochemistry (Formalin/PFA-fixed paraffin-embedded sections) - Anti-Von Willebrand Factor antibody [RM1068] (AB316979)
  • IHC-P

Supplier Data

Immunohistochemistry (Formalin/PFA-fixed paraffin-embedded sections) - Anti-Von Willebrand Factor antibody [RM1068] (AB316979)

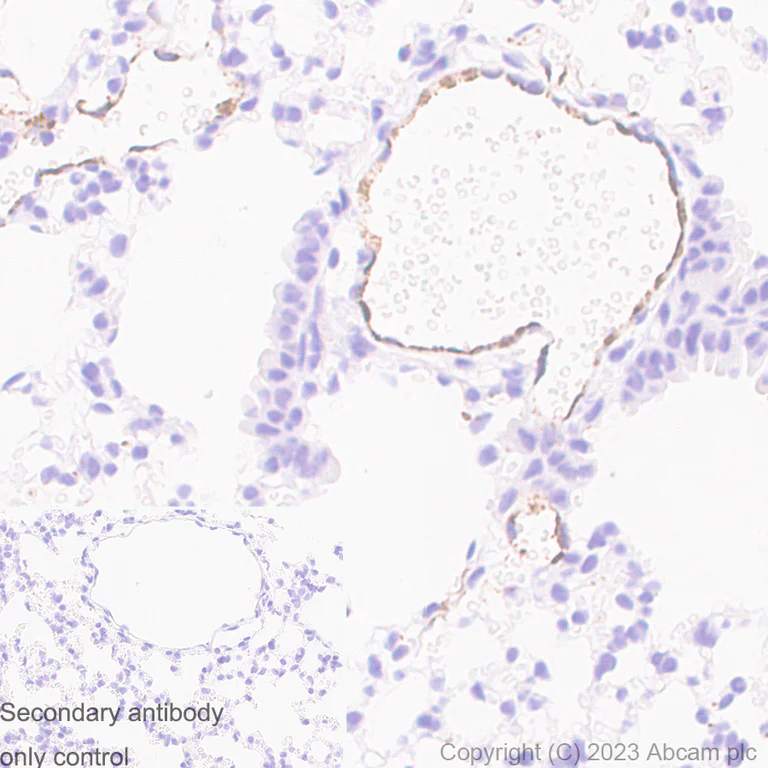
Immunohistochemical analysis of paraffin-embedded Rat lung tissue labeling Von Willebrand Factor with ab316979 at 1/2000 (0.24 ug/ml) dilution, followed by a ready to use LeicaDS9800 (Bond™ Polymer Refine Detection).

Positive staining on endothelial cells in rat lung. The section was incubated with ab316979 for 30 mins at room temperature.
The immunostaining was performed on a Leica Biosystems BOND® RX instrument

Counterstained with Hematoxylin.

Secondary antibody only control : Secondary antibody is a ready to use LeicaDS9800 (Bond™ Polymer Refine Detection).

Heat mediated antigen retrieval was performed with Citrate buffer (pH 6.0, Epitope Retrieval Solution 1) for 20 mins

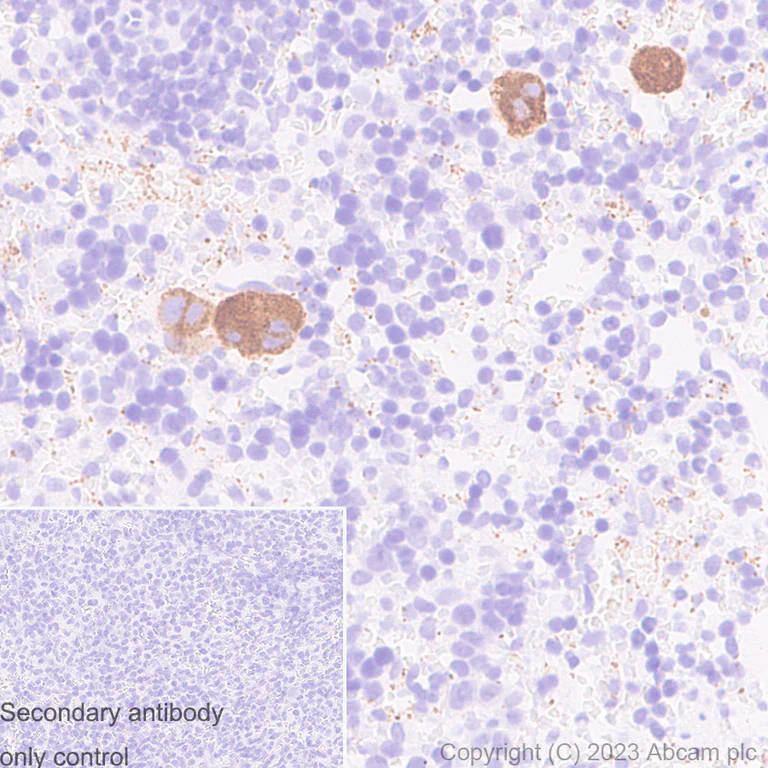
Immunohistochemistry (Formalin/PFA-fixed paraffin-embedded sections) - Anti-Von Willebrand Factor antibody [RM1068] (AB316979)
  • IHC-P

Supplier Data

Immunohistochemistry (Formalin/PFA-fixed paraffin-embedded sections) - Anti-Von Willebrand Factor antibody [RM1068] (AB316979)

Immunohistochemical analysis of paraffin-embedded Mouse spleen tissue labeling Von Willebrand Factor with ab316979 at 1/2000 (0.24 ug/ml) dilution, followed by a ready to use LeicaDS9800 (Bond™ Polymer Refine Detection).

Positive staining on platelets and megakaryocytes in mouse spleen. The section was incubated with ab316979 for 30 mins at room temperature.
The immunostaining was performed on a Leica Biosystems BOND® RX instrument

Counterstained with Hematoxylin.

Secondary antibody only control : Secondary antibody is a ready to use LeicaDS9800 (Bond™ Polymer Refine Detection).

Heat mediated antigen retrieval was performed with Citrate buffer (pH 6.0, Epitope Retrieval Solution 1) for 20 mins

Immunohistochemistry (Frozen sections) - Anti-Von Willebrand Factor antibody [RM1068] (AB316979)
  • IHC-Fr

Supplier Data

Immunohistochemistry (Frozen sections) - Anti-Von Willebrand Factor antibody [RM1068] (AB316979)

Immunohistochemical analysis of 4% PFA-fixed, 0.2% Triton X-100 permeabilized frozen Rat lung (fresh frozen) tissue labeling Von Willebrand Factor with ab316979 at 1/500 (0.958 ug/ml) dilution followed by ab150081 Goat Anti-Rabbit IgG H&L (Alexa Fluor® 488) preadsorbed at 1/1000 (2 ug/mL) dilution (Green).

Confocal image showing positive staining in endothelial cells of rat lung. The nuclear counterstain was DAPI (Blue). The section was incubated with ab316979 for 60 mins at room temperature. The section was then mounted using Fluoromount®.The immunostaining was performed on a Leica Biosystems BOND® RX instrument. Image was taken with a confocal microscope (Leica-Microsystems, TCS SP8).

Secondary antibody control : Secondary antibody is ab150081 Goat Anti-Rabbit IgG H&L (Alexa Fluor® 488) preadsorbedat 1/1000 (2 ug/mL) dilution.

Immunohistochemistry (Frozen sections) - Anti-Von Willebrand Factor antibody [RM1068] (AB316979)
  • IHC-Fr

Supplier Data

Immunohistochemistry (Frozen sections) - Anti-Von Willebrand Factor antibody [RM1068] (AB316979)

Immunohistochemical analysis of 4% PFA-fixed, 0.2% Triton X-100 permeabilized frozen Mouse lung (fresh frozen) tissue labeling Von Willebrand Factor with ab316979 at 1/500 (0.958 ug/ml) dilution followed by ab150081 Goat Anti-Rabbit IgG H&L (Alexa Fluor® 488) preadsorbed at 1/1000 (2 ug/mL) dilution (Green).

Confocal image showing positive staining in endothelial cells of mouse lung. The nuclear counterstain was DAPI (Blue). The section was incubated with ab316979 for 60 mins at room temperature. The section was then mounted using Fluoromount®.The immunostaining was performed on a Leica Biosystems BOND® RX instrument. Image was taken with a confocal microscope (Leica-Microsystems, TCS SP8).

Secondary antibody control : Secondary antibody is ab150081 Goat Anti-Rabbit IgG H&L (Alexa Fluor® 488) preadsorbedat 1/1000 (2 ug/mL) dilution.

Immunohistochemistry (Formalin/PFA-fixed paraffin-embedded sections) - Anti-Von Willebrand Factor antibody [RM1068] (AB316979)
  • IHC-P

Supplier Data

Immunohistochemistry (Formalin/PFA-fixed paraffin-embedded sections) - Anti-Von Willebrand Factor antibody [RM1068] (AB316979)

Immunohistochemical analysis of paraffin-embedded Mouse lung tissue labeling Von Willebrand Factor with ab316979 at 1/2000 (0.24 ug/ml) dilution, followed by a ready to use LeicaDS9800 (Bond™ Polymer Refine Detection).

Positive staining on endothelial cells in mouse lung. The section was incubated with ab316979 for 30 mins at room temperature.
The immunostaining was performed on a Leica Biosystems BOND® RX instrument

Counterstained with Hematoxylin.

Secondary antibody only control : Secondary antibody is a ready to use LeicaDS9800 (Bond™ Polymer Refine Detection).

Heat mediated antigen retrieval was performed with Citrate buffer (pH 6.0, Epitope Retrieval Solution 1) for 20 mins

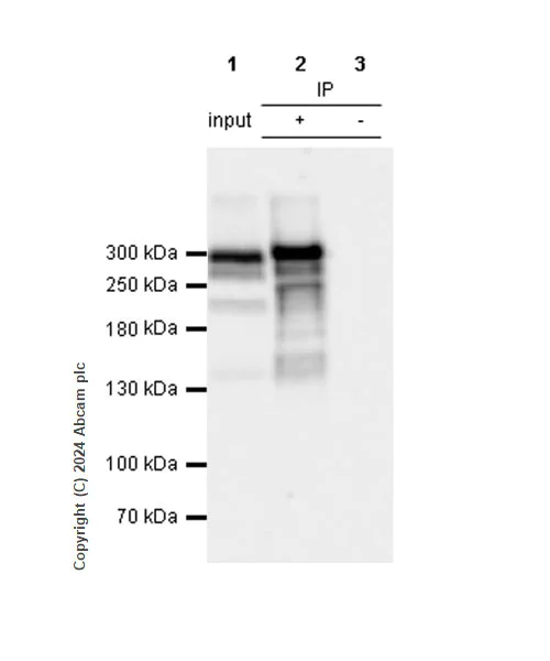
Immunoprecipitation - Anti-Von Willebrand Factor antibody [RM1068] (AB316979)
  • IP

Supplier Data

Immunoprecipitation - Anti-Von Willebrand Factor antibody [RM1068] (AB316979)

Von Willebrand Factor was immunoprecipitated from 0.35 mg Rat platelet lysate with ab316979 at 1/30 dilution (2ug in 0.35mg lysates). Western blot was performed on the immunoprecipitate using ab316979 at 1/1000 dilution. VeriBlot for IP secondary antibody(HRP)(ab131366) was used at 1/5000 dilution.

Lane 1 : Rat platelet lysate
Lane 2 : ab316979 IP in Rat platelet lysate
Lane 3 : Rabbit monoclonal IgG (ab172730) instead of ab316979 in rat platelet lysate.

All lanes:

Immunoprecipitation - Anti-Von Willebrand Factor antibody [RM1068] (ab316979) at 1/30 dilution

All lanes:

Rat platelet lysate

Secondary

All lanes:

Immunoprecipitation - VeriBlot for IP Detection Reagent (HRP) (<a href='/products/reagents/veriblot-for-ip-detection-reagent-hrp-ab131366'>ab131366</a>) at 1/5000 dilution

false

Exposure time: 24s

Immunoprecipitation - Anti-Von Willebrand Factor antibody [RM1068] (AB316979)
  • IP

Supplier Data

Immunoprecipitation - Anti-Von Willebrand Factor antibody [RM1068] (AB316979)

Von Willebrand Factor was immunoprecipitated from 0.35 mg Mouse platelet lysate with ab316979 at 1/30 dilution (2ug in 0.35mg lysates). Western blot was performed on the immunoprecipitate using ab316979 at 1/1000 dilution. VeriBlot for IP secondary antibody(HRP)(ab131366) was used at 1/5000 dilution.

Lane 1 : Mouse platelet lysate
Lane 2 : ab316979 IP in Mouse platelet lysate
Lane 3 : Rabbit monoclonal IgG (ab172730) instead of ab316979 in mouse platelet lysate.

The bands beneath the target band (300 kDa) are expected to be cleavage fragments (PMID : 21909423).

All lanes:

Immunoprecipitation - Anti-Von Willebrand Factor antibody [RM1068] (ab316979) at 1/30 dilution

All lanes:

Mouse platelet lysate

Secondary

All lanes:

Immunoprecipitation - VeriBlot for IP Detection Reagent (HRP) (<a href='/products/reagents/veriblot-for-ip-detection-reagent-hrp-ab131366'>ab131366</a>) at 1/5000 dilution

false

Exposure time: 50s

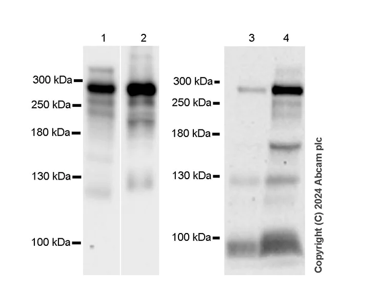
Western blot - Anti-Von Willebrand Factor antibody [RM1068] (AB316979)
  • WB

Supplier Data

Western blot - Anti-Von Willebrand Factor antibody [RM1068] (AB316979)

The bands beneath the target band (300 kDa) are expected to be cleavage fragments (PMID : 21909423).

Exposure time : Lanes 1-2 : 37 seconds; Lanes 3-4 : 180 seconds

All lanes:

Western blot - Anti-Von Willebrand Factor antibody [RM1068] (ab316979) at 1/1000 dilution

Lane 1:

Mouse platelet lysate at 2 µg

Lane 2:

Rat platelet lysate at 2 µg

Lane 3:

Human plasma lysate at 40 µg

Lane 4:

Human serum lysate at 40 µg

Secondary

All lanes:

Western blot - Goat Anti-Rabbit IgG H&L (HRP) (<a href='/products/secondary-antibodies/goat-rabbit-igg-h-l-hrp-ab97051'>ab97051</a>) at 1/100000 dilution

Observed band size: 300 kDa

false

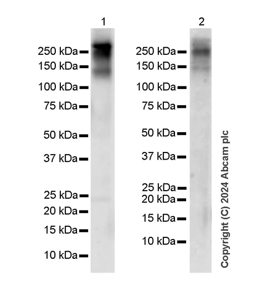
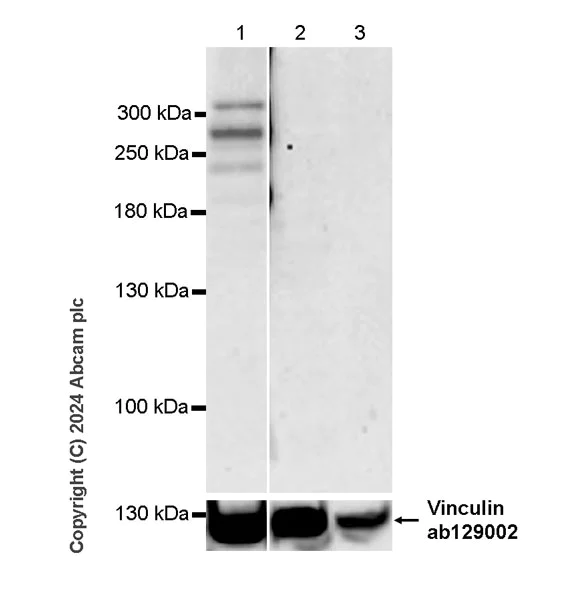
Western blot - Anti-Von Willebrand Factor antibody [RM1068] (AB316979)
  • WB

Supplier Data

Western blot - Anti-Von Willebrand Factor antibody [RM1068] (AB316979)

Negative controls : HeLa and HT-29.

In Western blot, Anti-Vinculin antibody [EPR8185] (ab129002) staining at 1/10000 dilution.

All lanes:

Western blot - Anti-Von Willebrand Factor antibody [RM1068] (ab316979) at 1/1000 dilution

Lane 1:

HUVEC (human umbilical vein endothelial cell) whole cell lysate at 40 µg

Lane 2:

HeLa (human cervical adenocarcinoma epithelial cell) whole cell lysate at 40 µg

Lane 3:

HT-29 (human colorectal adenocarcinoma epithelial cell) whole cell lysate at 40 µg

Secondary

All lanes:

Western blot - Goat Anti-Rabbit IgG H&L (HRP) (<a href='/products/secondary-antibodies/goat-rabbit-igg-h-l-hrp-ab97051'>ab97051</a>) at 1/20000 dilution

Observed band size: 300 kDa,309 kDa,124 kDa

false

Exposure time: 180s

Western blot - Anti-Von Willebrand Factor antibody [RM1068] (AB316979)
  • WB

Supplier Data

Western blot - Anti-Von Willebrand Factor antibody [RM1068] (AB316979)

The bands beneath the target band (300 kDa) are expected to be cleavage fragments (PMID : 21909423).

Exposure time : Lane 1 : 136 seconds; Lane 2 : 180 seconds

All lanes:

Western blot - Anti-Von Willebrand Factor antibody [RM1068] (ab316979) at 1/1000 dilution

Lane 1:

Mouse lung tissue lysate at 20 µg

Lane 2:

Rat lung tissue lysate at 20 µg

Secondary

All lanes:

Western blot - Goat Anti-Rabbit IgG H&L (HRP) (<a href='/products/secondary-antibodies/goat-rabbit-igg-h-l-hrp-ab97051'>ab97051</a>) at 1/20000 dilution

Observed band size: 300 kDa

false

不同偶联物与剂型 (1)

  • Carrier free

    Anti-Von Willebrand Factor antibody [RM1068] - BSA and Azide free

关键信息

宿主种属

Rabbit

克隆

Multiclonal

克隆号

RM1068

亚型

IgG

不含载体蛋白

No

反应种属

Human, Mouse, Rat

应用

IHC-P, Flow Cyt, WB, IP, IHC-Fr

applications

免疫原

The exact immunogen used to generate this antibody is proprietary information.

特异性

Unsuitable for human IP, human and rat FC.

反应性数据

{ "title": "Reactivity Data", "filters": { "stats": ["", "Species", "Dilution Info", "Notes"], "tabs": { "all-applications": {"fullname" : "All Applications", "shortname": "All Applications"}, "WB" : {"fullname" : "Western blot", "shortname":"WB"}, "IHCP" : {"fullname" : "Immunohistochemistry (Formalin/PFA-fixed paraffin-embedded sections)", "shortname":"IHC-P"}, "IP" : {"fullname" : "Immunoprecipitation", "shortname":"IP"}, "IHCFr" : {"fullname" : "Immunohistochemistry (Frozen sections)", "shortname":"IHC-Fr"}, "FlowCyt" : {"fullname" : "Flow Cytometry", "shortname":"Flow Cyt"}, "ICCIF" : {"fullname" : "Immunocytochemistry/ Immunofluorescence", "shortname":"ICC/IF"} }, "product-promise": { "all": "all", "testedAndGuaranteed": "tested", "guaranteed": "expected", "predicted": "predicted", "notRecommended": "not-recommended" } }, "values": { "Human": { "WB-species-checked": "testedAndGuaranteed", "WB-species-dilution-info": "1/1000", "WB-species-notes": "<p></p>", "IHCP-species-checked": "testedAndGuaranteed", "IHCP-species-dilution-info": "1/2000", "IHCP-species-notes": "<p></p> Perform heat-mediated antigen retrieval with citrate buffer pH 6 before commencing with IHC staining protocol.", "IP-species-checked": "notRecommended", "IP-species-dilution-info": "", "IP-species-notes": "<p></p>", "IHCFr-species-checked": "guaranteed", "IHCFr-species-dilution-info": "", "IHCFr-species-notes": "", "FlowCyt-species-checked": "notRecommended", "FlowCyt-species-dilution-info": "", "FlowCyt-species-notes": "<p></p>", "ICCIF-species-checked": "notRecommended", "ICCIF-species-dilution-info": "", "ICCIF-species-notes": "<p></p>" }, "Mouse": { "WB-species-checked": "testedAndGuaranteed", "WB-species-dilution-info": "1/1000", "WB-species-notes": "<p></p>", "IHCP-species-checked": "testedAndGuaranteed", "IHCP-species-dilution-info": "1/2000", "IHCP-species-notes": "<p></p> Perform heat-mediated antigen retrieval with citrate buffer pH 6 before commencing with IHC staining protocol.", "IP-species-checked": "testedAndGuaranteed", "IP-species-dilution-info": "1/30", "IP-species-notes": "<p></p>", "IHCFr-species-checked": "testedAndGuaranteed", "IHCFr-species-dilution-info": "1/500", "IHCFr-species-notes": "<p></p>", "FlowCyt-species-checked": "testedAndGuaranteed", "FlowCyt-species-dilution-info": "1/500", "FlowCyt-species-notes": "<p></p>", "ICCIF-species-checked": "notRecommended", "ICCIF-species-dilution-info": "", "ICCIF-species-notes": "<p></p>" }, "Rat": { "WB-species-checked": "testedAndGuaranteed", "WB-species-dilution-info": "1/1000", "WB-species-notes": "<p></p>", "IHCP-species-checked": "testedAndGuaranteed", "IHCP-species-dilution-info": "1/2000", "IHCP-species-notes": "<p></p> Perform heat-mediated antigen retrieval with citrate buffer pH 6 before commencing with IHC staining protocol.", "IP-species-checked": "testedAndGuaranteed", "IP-species-dilution-info": "1/30", "IP-species-notes": "<p></p>", "IHCFr-species-checked": "testedAndGuaranteed", "IHCFr-species-dilution-info": "1/500", "IHCFr-species-notes": "<p></p>", "FlowCyt-species-checked": "notRecommended", "FlowCyt-species-dilution-info": "", "FlowCyt-species-notes": "<p></p>", "ICCIF-species-checked": "notRecommended", "ICCIF-species-dilution-info": "", "ICCIF-species-notes": "" } } }

产品详情

What are recombinant multiclonals?
Recombinant multiclonals are a mixture of recombinant antibodies co-expressed from a library of heavy and light chains. They offer several advantages including:

  • - The sensitivity of polyclonal antibodies by recognising multiple epitopes
  • - High batch-to-batch consistency and reproducibility
  • - Improved sensitivity and specificity
  • - Long-term security of supply
  • - Animal-free batch production

View our range of recombinant multiclonal antibodies.

Patented technology
Our RabMAb® technology is a patented hybridoma-based technology for making rabbit monoclonal antibodies. For details on our patents, please refer to RabMAb® patents.

性能和储存信息

形式
Liquid
纯化工艺
Affinity purification Protein A
存储溶液
pH: 7.2 - 7.4 Preservative: 0.01% Sodium azide Constituents: PBS, 40% Glycerol (glycerin, glycerine), 0.05% BSA
运输条件
Blue Ice
推荐的短期储存时间
1-2 weeks
推荐的短期储存条件
+4°C
推荐的长期储存条件
-20°C
分装信息
Upon delivery aliquot
储存信息
Avoid freeze / thaw cycle

产品实验方案

For this product, it's our understanding that no specific protocols are required. You can visit:

靶点信息

The protein expressed by the gene VWF is important for maintaining hemostasis. It promotes platelet adhesion at sites of vascular injury by forming a molecular bridge between the sub-endothelial collagen matrix and the platelet-surface receptor complex GPIb-IX-V. Additionally, it acts as a chaperone for coagulation factor VIII, delivering it to the injury site, stabilizing its heterodimeric structure, and protecting it from premature clearance from plasma. This supplementary information is collated from multiple sources and compiled automatically.
See full target information VWF

Abcam Product Promise

我们致力于为您的研究提供高质量的试剂,为您科研的每一步提供支持。若我们的产品未能达到预期性能,我们向您提供 Abcam Product Promise 保障。
详情请参阅我们的条款与条件。

Please note: All products are 'FOR RESEARCH USE ONLY. NOT FOR USE IN DIAGNOSTIC OR THERAPEUTIC PROCEDURES'.

For licensing inquiries, please contact partnerships@abcam.com