JavaScript is disabled in your browser. Please enable JavaScript to view this website.
AB302917

重组Anti-VLDL Receptor/VLDL-R抗体[EPR26178-72]

Anti-VLDL Receptor/VLDL-R antibody [EPR26178-72]

  • BOND RX™ Validated
  • 20ul selling size
  • RabMAb
  • Recombinant
  • KO Validated
  • 了解详情

Be the first to review this product! Submit a review

|

(0 Publication)

Rabbit Recombinant Monoclonal VLDL Receptor/VLDL-R antibody. Suitable for WB, IHC-P and reacts with Human, Mouse, Rat samples.

查看别名

Very low-density lipoprotein receptor, VLDL receptor, VLDL-R, VLDLR

7 Images
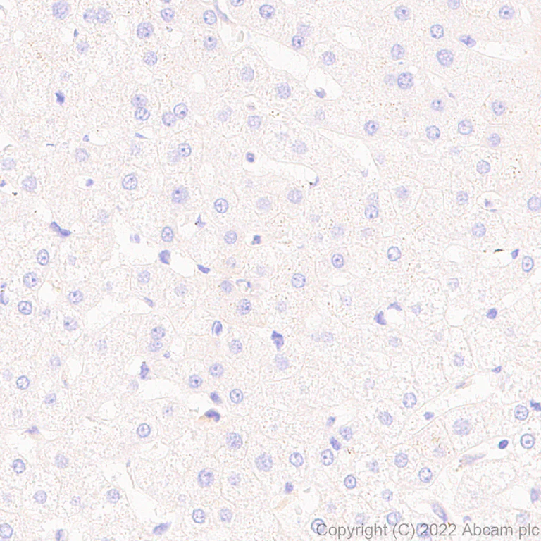
Immunohistochemistry - Anti-VLDL Receptor/VLDL-R antibody [EPR26178-72] (AB302917)
  • IHC

Supplier Data

Immunohistochemistry - Anti-VLDL Receptor/VLDL-R antibody [EPR26178-72] (AB302917)

Immunohistochemical analysis of paraffin-embedded Human liver tissue labeling VLDL Receptor/VLDL-R with ab302917 at 1/500 (0.978 ug/ml) followed by a LeicaDS9800 (Bond™ Polymer Refine Detection) was used at Ready to use dilution. Negative control : No staining on human liver. The section was incubated with ab302917 for 30 mins at room temperature.The immunostaining was performed on a Leica Biosystems BOND® RX instrument Counterstained with Hematoxylin. Secondary antibody only control : Secondary antibody is LeicaDS9800 (Bond™ Polymer Refine Detection) was used at Ready to use dilution. Heat mediated antigen retrieval with Tris-EDTA buffer (pH 9.0, epitope retrieval solution2) for 20 mins

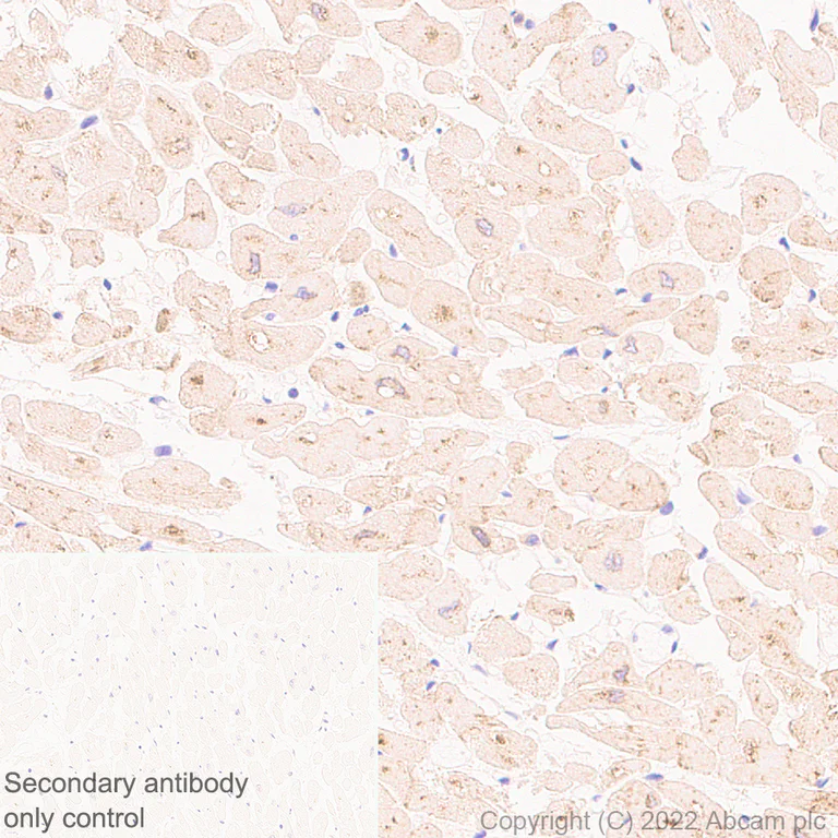
Immunohistochemistry - Anti-VLDL Receptor/VLDL-R antibody [EPR26178-72] (AB302917)
  • IHC

Supplier Data

Immunohistochemistry - Anti-VLDL Receptor/VLDL-R antibody [EPR26178-72] (AB302917)

Immunohistochemical analysis of paraffin-embedded Human cardiac muscle tissue labeling VLDL Receptor/VLDL-R with ab302917 at 1/500 (0.978 ug/ml) followed by a LeicaDS9800 (Bond™ Polymer Refine Detection) was used at Ready to use dilution. Cytoplasmic staining on cardiac muscle. The section was incubated with ab302917 for 30 mins at room temperature.The immunostaining was performed on a Leica Biosystems BOND® RX instrument Counterstained with Hematoxylin. Secondary antibody only control : Secondary antibody is LeicaDS9800 (Bond™ Polymer Refine Detection) was used at Ready to use dilution. Heat mediated antigen retrieval with Tris-EDTA buffer (pH 9.0, epitope retrieval solution2) for 20 mins

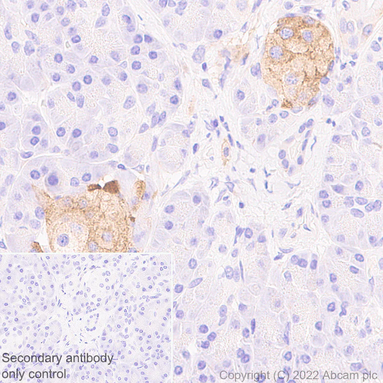
Immunohistochemistry - Anti-VLDL Receptor/VLDL-R antibody [EPR26178-72] (AB302917)
  • IHC

Supplier Data

Immunohistochemistry - Anti-VLDL Receptor/VLDL-R antibody [EPR26178-72] (AB302917)

Immunohistochemical analysis of paraffin-embedded Human pancreas tissue labeling VLDL Receptor/VLDL-R with ab302917 at 1/500 (0.978 ug/ml) followed by a LeicaDS9800 (Bond™ Polymer Refine Detection) was used at Ready to use dilution. Cytoplasmic staining on islet of human pancreas. The section was incubated with ab302917 for 30 mins at room temperature.The immunostaining was performed on a Leica Biosystems BOND® RX instrument Counterstained with Hematoxylin. Secondary antibody only control : Secondary antibody is LeicaDS9800 (Bond™ Polymer Refine Detection) was used at Ready to use dilution. Heat mediated antigen retrieval with Tris-EDTA buffer (pH 9.0, epitope retrieval solution2) for 20 mins

Western blot - Anti-VLDL Receptor/VLDL-R antibody [EPR26178-72] (AB302917)
  • WB

Lab

Western blot - Anti-VLDL Receptor/VLDL-R antibody [EPR26178-72] (AB302917)

Western blot : Rabbit Monoclonal [EPR26178-72] to VLDL Receptor/VLDL-R ab302917 staining at 1/1000 dilution, shown in green; Mouse anti GAPDH (ab8245) loading control staining at 1/20,000 dilution, shown in magenta.

A band was observed at 115/140 kDa in Wild-type U-87 MG UNBOILED cell lysates with no signal observed at this size in VLDLR knockout U-87 MG UNBOILED cell line.

To generate this image, samples were run on an SDS-PAGE gel then transferred onto a nitrocellulose membrane. Membranes were blocked in 3pc Milk in TBS-0.1 % Tween® 20 (TBS-T) before incubation with primary antibodies overnight at 4 °C. Blots were washed four times in TBS-T, incubated with secondary antibodies for 1 h at room temperature, washed again four times then imaged.

Secondary antibodies used were Goat anti-Rabbit 800CW & Goat anti-Mouse 680RD at 1/20,000 dilution.

All lanes:

Western blot - Anti-VLDL Receptor/VLDL-R antibody [EPR26178-72] (ab302917) at 1/1000 dilution

Lane 1:

Wild-type U-87 MG UNBOILED at 20 µg

Lane 2:

VLDLR knockout U-87 MG UNBOILED at 20 µg

Lane 2:

Western blot - Human VLDLR knockout U-87 MG cell line (<a href='/products/cell-lines/human-vldlr-knockout-u-87-mg-cell-line-ab306807'>ab306807</a>) at 20 µg

Lane 3:

THP-1 UNBOILED at 20 µg

Lane 4:

Daudi UNBOILED at 20 µg

Secondary

All lanes:

Goat anti-Rabbit 800CW & Goat anti-Mouse 680RD at 1/20000 dilution

Predicted band size: 96 kDa

Observed band size: 115 kDa,140 kDa

false

Western blot - Anti-VLDL Receptor/VLDL-R antibody [EPR26178-72] (AB302917)
  • WB

Lab

Western blot - Anti-VLDL Receptor/VLDL-R antibody [EPR26178-72] (AB302917)

Blocking and diluting buffer and concentration : 5% NFDM/TBST.

This blot was developed using a high sensitivity ECL substrate. The high-sensitivity ECL substrate used allows for the detection of proteins in the mid-femtogram range.

All lanes:

Western blot - Anti-VLDL Receptor/VLDL-R antibody [EPR26178-72] (ab302917) at 1/1000 dilution

Lane 1:

Human VLDLR recombinant protein at 10 ng

Lane 2:

His-tagged human LDLR recombinant protein  at 10 ng

Secondary

All lanes:

Western blot - Goat Anti-Rabbit IgG H&L (HRP) (<a href='/products/secondary-antibodies/goat-rabbit-igg-h-l-hrp-ab97051'>ab97051</a>) at 1/100000 dilution

Predicted band size: 96 kDa

Observed band size: 15-50 kDa

true

Western blot - Anti-VLDL Receptor/VLDL-R antibody [EPR26178-72] (AB302917)
  • WB

Lab

Western blot - Anti-VLDL Receptor/VLDL-R antibody [EPR26178-72] (AB302917)

Blocking / Diluting buffer and concentration : 5% NFDM/TBST

The expression of VLDLR is upregulated in response to Dexamethasone treatment (PMID : 11960750).

Low expression : Huh7 (PMID : 29289645)

Exposure time :

Lane 1 and 2 : 180 seconds

Lane 3 and 4 : 48 seconds

All lanes:

Western blot - Anti-VLDL Receptor/VLDL-R antibody [EPR26178-72] (ab302917) at 1/1000 dilution

Lane 1:

Untreated 3T3-L1 (mouse embryonic fibroblast), whole cell lysate at 50 µg

Lane 2:

3T3-L1 treated with1µM Dexamethasone for 48h, whole cell lysate at 50 µg

Lane 3:

THP-1 (human monocytic leukemia monocyte), whole cell lysate at 50 µg

Lane 4:

Huh7 (Human hepatocellular carcinoma epithelial cell), whole cell lysate at 50 µg

Secondary

All lanes:

Western blot - Goat Anti-Rabbit IgG H&L (HRP) (<a href='/products/secondary-antibodies/goat-rabbit-igg-h-l-hrp-ab97051'>ab97051</a>) at 1/20000 dilution

Predicted band size: 96 kDa

Observed band size: 100-150 kDa

false

Western blot - Anti-VLDL Receptor/VLDL-R antibody [EPR26178-72] (AB302917)
  • WB

Lab

Western blot - Anti-VLDL Receptor/VLDL-R antibody [EPR26178-72] (AB302917)

Blocking / Diluting buffer and concentration : 5% NFDM/TBST

VLDLR is a glycoprotein of approximately 150 kDa and detected as a 120 kDa band after treated with Protein Deglycosylation MIX II.

Low expression : liver, small intestine (PMID : 7925422; PMID : 11960750; PMID : 29289645)

All lanes:

Western blot - Anti-VLDL Receptor/VLDL-R antibody [EPR26178-72] (ab302917) at 1/1000 dilution

Lane 1:

Untreated human heart tissue lysate at 30 µg

Lane 2:

Human heart tissue lysate treated with Protein Deglycosylation Mix II at 30 µg

Lane 3:

Human liver tissue lysate at 30 µg

Lane 4:

Human small intestine tissue lysate at 30 µg

Lane 5:

Untreated mouse heart tissue lysate at 30 µg

Lane 6:

Mouse heart tissue lysate treated with Protein Deglycosylation Mix II at 30 µg

Lane 7:

Mouse liver tissue lysate at 30 µg

Lane 8:

Rat heart tissue lysate at 30 µg

Lane 9:

Rat liver tissue lysate at 30 µg

Secondary

All lanes:

Goat Anti-Rabbit IgG (HRP) with minimal cross-reactivity with human IgG at 1/1000 dilution

Predicted band size: 96 kDa

Observed band size: 100-150 kDa

false

不同偶联物与剂型 (1)

  • Carrier free

    Anti-VLDL Receptor/VLDL-R antibody [EPR26178-72] (BSA and Azide free)

关键信息

宿主种属

Rabbit

克隆

Monoclonal

克隆号

EPR26178-72

亚型

IgG

不含载体蛋白

No

反应种属

Human, Mouse, Rat

应用

WB, IHC-P

applications

免疫原

The exact immunogen used to generate this antibody is proprietary information.

反应性数据

{ "title": "Reactivity Data", "filters": { "stats": ["", "Species", "Dilution Info", "Notes"], "tabs": { "all-applications": {"fullname" : "All Applications", "shortname": "All Applications"}, "WB" : {"fullname" : "Western blot", "shortname":"WB"}, "IHCP" : {"fullname" : "Immunohistochemistry (Formalin/PFA-fixed paraffin-embedded sections)", "shortname":"IHC-P"}, "FlowCyt" : {"fullname" : "Flow Cytometry", "shortname":"Flow Cyt"}, "IP" : {"fullname" : "Immunoprecipitation", "shortname":"IP"} }, "product-promise": { "all": "all", "testedAndGuaranteed": "tested", "guaranteed": "expected", "predicted": "predicted", "notRecommended": "not-recommended" } }, "values": { "Human": { "WB-species-checked": "testedAndGuaranteed", "WB-species-dilution-info": "1/1000", "WB-species-notes": "<p></p>", "IHCP-species-checked": "testedAndGuaranteed", "IHCP-species-dilution-info": "1/500", "IHCP-species-notes": "<p></p> Perform heat-mediated antigen retrieval with Tris/EDTA buffer pH 9.0 before commencing with IHC staining protocol.", "FlowCyt-species-checked": "notRecommended", "FlowCyt-species-dilution-info": "", "FlowCyt-species-notes": "<p></p>", "IP-species-checked": "notRecommended", "IP-species-dilution-info": "", "IP-species-notes": "<p></p>" }, "Mouse": { "WB-species-checked": "testedAndGuaranteed", "WB-species-dilution-info": "1/1000", "WB-species-notes": "<p></p>", "IHCP-species-checked": "notRecommended", "IHCP-species-dilution-info": "1/500", "IHCP-species-notes": "<p></p> Perform heat-mediated antigen retrieval with Tris/EDTA buffer pH 9.0 before commencing with IHC staining protocol.", "FlowCyt-species-checked": "notRecommended", "FlowCyt-species-dilution-info": "", "FlowCyt-species-notes": "<p></p>", "IP-species-checked": "notRecommended", "IP-species-dilution-info": "", "IP-species-notes": "<p></p>" }, "Rat": { "WB-species-checked": "testedAndGuaranteed", "WB-species-dilution-info": "1/1000", "WB-species-notes": "<p></p>", "IHCP-species-checked": "notRecommended", "IHCP-species-dilution-info": "1/500", "IHCP-species-notes": "<p></p> Perform heat-mediated antigen retrieval with Tris/EDTA buffer pH 9.0 before commencing with IHC staining protocol.", "FlowCyt-species-checked": "notRecommended", "FlowCyt-species-dilution-info": "", "FlowCyt-species-notes": "", "IP-species-checked": "notRecommended", "IP-species-dilution-info": "", "IP-species-notes": "" } } }

产品详情

Patented technology
Our RabMAb® technology is a patented hybridoma-based technology for making rabbit monoclonal antibodies. For details on our patents, please refer to RabMAb® patents.

What are the advantages of a recombinant monoclonal antibody?
This product is a recombinant monoclonal antibody, which offers several advantages including:

  • - High batch-to-batch consistency and reproducibility
  • - Improved sensitivity and specificity
  • - Long-term security of supply
  • - Animal-free batch production

For more information, read more on recombinant antibodies.

性能和储存信息

形式
Liquid
纯化工艺
Affinity purification Protein A
存储溶液
pH: 7.2 - 7.4 Preservative: 0.01% Sodium azide Constituents: PBS, 40% Glycerol (glycerin, glycerine), 0.05% BSA
运输条件
Blue Ice
推荐的短期储存时间
1-2 weeks
推荐的短期储存条件
+4°C
推荐的长期储存条件
-20°C
分装信息
Upon delivery aliquot
储存信息
Avoid freeze / thaw cycle

补充信息

This supplementary information is collated from multiple sources and compiled automatically.

The VLDL Receptor also known as VLDL-R mediates the uptake of very low-density lipoproteins (VLDLs) into cells. This receptor has a molecular mass of approximately 104 kDa. It is structurally similar to the low-density lipoprotein (LDL) receptor and binds to apolipoprotein E-containing lipoproteins. VLDL-R expresses in several tissues including heart skeletal muscle and adipose tissue. Its distribution suggests an important role in lipid metabolism for energy production and storage.
Biological function summary

VLDL-R significantly influences lipid and lipoprotein metabolism by facilitating the endocytosis of triglyceride-rich particles. It functions within the larger receptor family known as the LDL receptor family. VLDL-R plays an important role in cellular lipid uptake and the subsequent supply of fatty acids which are necessary for various metabolic processes. This receptor does not function as part of a protein complex but its interactions with other proteins can alter its activity and the cell's metabolic state.

Pathways

This receptor influences lipid metabolism and energy homeostasis pathways. It directly impacts the lipid biosynthetic pathway by mediating the cellular uptake of lipid components necessary for these processes. The receptor interacts with proteins like apolipoprotein B and E which regulate lipoprotein assembly and clearance. In this pathway VLDL-R works conjunctionally with the LDL receptor to maintain lipid balance within the body.

VLDL-R relates to metabolic syndrome and obesity. Abnormalities in VLDL-R function can lead to dyslipidemia a risk factor for these conditions due to the mishandling of lipid uptake. This association connects VLDL-R to apolipoprotein E and B whose mutations can also contribute to these metabolic disorders. Understanding how VLDL-R operates in these contexts may provide insight into therapeutic targets for these widespread health issues.

产品实验方案

For this product, it's our understanding that no specific protocols are required. You can visit:

靶点信息

Multifunctional cell surface receptor that binds VLDL and transports it into cells by endocytosis and therefore plays an important role in energy metabolism. Binds also to a wide range of other molecules including Reelin/RELN or apolipoprotein E/APOE-containing ligands as well as clusterin/CLU (PubMed : 24381170, PubMed : 30873003). In the off-state of the pathway, forms homooligomers or heterooligomers with LRP8 (PubMed : 30873003). Upon binding to ligands, homooligomers are rearranged to higher order receptor clusters that transmit the extracellular RELN signal to intracellular signaling processes by binding to DAB1 (PubMed : 30873003). This interaction results in phosphorylation of DAB1 leading to the ultimate cell responses required for the correct positioning of newly generated neurons. Later, mediates a stop signal for migrating neurons, preventing them from entering the marginal zone (By similarity).. (Microbial infection) Acts as a receptor for Semliki Forest virus.
See full target information VLDLR

Abcam Product Promise

我们致力于为您的研究提供高质量的试剂,为您科研的每一步提供支持。若我们的产品未能达到预期性能,我们向您提供 Abcam Product Promise 保障。
详情请参阅我们的条款与条件。

Please note: All products are 'FOR RESEARCH USE ONLY. NOT FOR USE IN DIAGNOSTIC OR THERAPEUTIC PROCEDURES'.

For licensing inquiries, please contact partnerships@abcam.com