JavaScript is disabled in your browser. Please enable JavaScript to view this website.
AB45139

Anti-Vitronectin/S-Protein 抗体 [EP873Y]

Anti-Vitronectin/S-Protein antibody [EP873Y]

Be the first to review this product! Submit a review

|

(29 Publications)

Rabbit Recombinant Monoclonal Vitronectin/S-Protein antibody. Suitable for IHC-P, ICC/IF, WB and reacts with Human samples. Cited in 29 publications.

查看别名

Vitronectin, VN, S-protein, Serum-spreading factor, V75, VTN

3 Images
Immunocytochemistry/ Immunofluorescence - Anti-Vitronectin/S-Protein antibody [EP873Y] (AB45139)
  • ICC/IF

Unknown

Immunocytochemistry/ Immunofluorescence - Anti-Vitronectin/S-Protein antibody [EP873Y] (AB45139)

Immunocytochemistry analysis of HepG2 (human hepatocellular carcinoma epithelial cell) labeling Vitronectin/S-Protein with purified ab45139 at 1/100 dilution (7 µg/ml). Cells were fixed with 4% Paraformaldehyde and permeabilised with 0.1% tritonX-100. Goat anti rabbit IgG (Alexa Fluor® 488, ab150077) at 1/1000 (2 µg/ml) was used as the secondary antibody. ab195889 Anti-alpha Tubulin antibody [DM1A] - Microtubule Marker (Alexa Fluor® 594) 1/200 (2.11 µg/ml) was used as counterstain. Nuclei were stained blue with DAPI.
Negative control : PBS instead of the primary antibody.

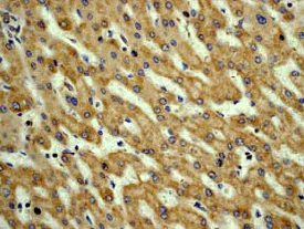
Immunohistochemistry (Formalin/PFA-fixed paraffin-embedded sections) - Anti-Vitronectin/S-Protein antibody [EP873Y] (AB45139)
  • IHC-P

Unknown

Immunohistochemistry (Formalin/PFA-fixed paraffin-embedded sections) - Anti-Vitronectin/S-Protein antibody [EP873Y] (AB45139)

ab45139 at a 1/100 dilution staining human Vitronectin/S-Protein in human liver tissue by immunohistochemistry using paraffin embedded tissue.

Perform heat mediated antigen retrieval with citrate buffer pH 6 before commencing with IHC staining protocol.

Western blot - Anti-Vitronectin/S-Protein antibody [EP873Y] (AB45139)
  • WB

Lab

Western blot - Anti-Vitronectin/S-Protein antibody [EP873Y] (AB45139)

Blocking and diluting buffer and concentration : 5% NFDM/TBST.

All lanes:

Western blot - Anti-Vitronectin/S-Protein antibody [EP873Y] (ab45139) at 1/2000 dilution

All lanes:

Human serum tissue lysate at 20 µg

Secondary

All lanes:

Western blot - Goat Anti-Rabbit IgG H&L (HRP) (<a href='/products/secondary-antibodies/goat-rabbit-igg-h-l-hrp-ab97051'>ab97051</a>) at 1/20000 dilution

Predicted band size: 54 kDa

Observed band size: 75 kDa

false

Exposure time: 30s

不同偶联物与剂型 (9)

  • HRP

    HRP Anti-Vitronectin/S-Protein antibody [EP873Y]

  • Carrier free

    Anti-Vitronectin/S-Protein antibody [EP873Y] - BSA and Azide free

  • 519 Alexa Fluor® 488

    Alexa Fluor® 488 Anti-Vitronectin/S-Protein antibody [EP873Y]

  • 665 Alexa Fluor® 647

    Alexa Fluor® 647 Anti-Vitronectin/S-Protein antibody [EP873Y]

  • 565 Alexa Fluor® 555

    Alexa Fluor® 555 Anti-Vitronectin/S-Protein antibody [EP873Y]

  • 617 Alexa Fluor® 594

    Alexa Fluor® 594 Anti-Vitronectin/S-Protein antibody [EP873Y]

  • 578 PE

    PE Anti-Vitronectin/S-Protein antibody [EP873Y]

  • 660 APC

    APC Anti-Vitronectin/S-Protein antibody [EP873Y]

  • 775 Alexa Fluor® 750

    Alexa Fluor® 750 Anti-Vitronectin/S-Protein antibody [EP873Y]

关键信息

宿主种属

Rabbit

克隆

Monoclonal

克隆号

EP873Y

亚型

IgG

不含载体蛋白

No

反应种属

Human

应用

ICC/IF, IHC-P, WB

applications

免疫原

The exact immunogen used to generate this antibody is proprietary information.

反应性数据

{ "title": "Reactivity Data", "filters": { "stats": ["", "Species", "Dilution Info", "Notes"], "tabs": { "all-applications": {"fullname" : "All Applications", "shortname": "All Applications"}, "IHCP" : {"fullname" : "Immunohistochemistry (Formalin/PFA-fixed paraffin-embedded sections)", "shortname":"IHC-P"}, "ICCIF" : {"fullname" : "Immunocytochemistry/ Immunofluorescence", "shortname":"ICC/IF"}, "IP" : {"fullname" : "Immunoprecipitation", "shortname":"IP"}, "FlowCyt" : {"fullname" : "Flow Cytometry", "shortname":"Flow Cyt"}, "WB" : {"fullname" : "Western blot", "shortname":"WB"} }, "product-promise": { "all": "all", "testedAndGuaranteed": "tested", "guaranteed": "expected", "predicted": "predicted", "notRecommended": "not-recommended" } }, "values": { "Human": { "IHCP-species-checked": "testedAndGuaranteed", "IHCP-species-dilution-info": "1/100", "IHCP-species-notes": "<p></p> Perform heat-mediated antigen retrieval with citrate buffer pH 6 before commencing with IHC staining protocol.", "ICCIF-species-checked": "testedAndGuaranteed", "ICCIF-species-dilution-info": "1/50 - 1/100", "ICCIF-species-notes": "<p></p>", "IP-species-checked": "notRecommended", "IP-species-dilution-info": "", "IP-species-notes": "<p></p>", "FlowCyt-species-checked": "notRecommended", "FlowCyt-species-dilution-info": "", "FlowCyt-species-notes": "<p></p>", "WB-species-checked": "testedAndGuaranteed", "WB-species-dilution-info": "1/2000 - 1/10000", "WB-species-notes": "<p></p>" } } }

产品详情

Patented technology
Our RabMAb® technology is a patented hybridoma-based technology for making rabbit monoclonal antibodies. For details on our patents, please refer to RabMAb® patents.

What are the advantages of a recombinant monoclonal antibody?
This product is a recombinant monoclonal antibody, which offers several advantages including:

  • - High batch-to-batch consistency and reproducibility
  • - Improved sensitivity and specificity
  • - Long-term security of supply
  • - Animal-free batch production

For more information, read more on recombinant antibodies.

性能和储存信息

形式
Liquid
纯化工艺
Affinity purification Protein A
存储溶液
pH: 7.2 - 7.4 Preservative: 0.01% Sodium azide Constituents: PBS, 50% Tissue culture supernatant, 40% Glycerol (glycerin, glycerine), 0.05% BSA
运输条件
Blue Ice
推荐的短期储存条件
+4°C
推荐的长期储存条件
-20°C
分装信息
Upon delivery aliquot
储存信息
Avoid freeze / thaw cycle

产品实验方案

For this product, it's our understanding that no specific protocols are required. You can visit:

靶点信息

Vitronectin is a cell adhesion and spreading factor found in serum and tissues. Vitronectin interact with glycosaminoglycans and proteoglycans. Is recognized by certain members of the integrin family and serves as a cell-to-substrate adhesion molecule. Inhibitor of the membrane-damaging effect of the terminal cytolytic complement pathway.. Somatomedin-B is a growth hormone-dependent serum factor with protease-inhibiting activity.
See full target information Vitronectin

文献 (29)

Recent publications for all applications. Explore the full list and refine your search

Cell transplantation 34:9636897251328419 PubMed40264358

2025

A novel method of pancreatic islet transplantation at the liver surface using a gelatin hydrogel nonwoven fabric.

Applications

Unspecified application

Species

Unspecified reactive species

Yukiko Endo Kumata,Akiko Inagaki,Yasuhiro Nakamura,Takehiro Imura,Ryusuke Saito,Takumi Katano,Shoki Suzuki,Kazuaki Tokodai,Takashi Kamei,Michiaki Unno,Kimiko Watanabe,Yasuhiko Tabata,Masafumi Goto

Cancers 16: PubMed39409975

2024

Characterization of Vitronectin Effect in 3D Ewing Sarcoma Models: A Digital Microscopic Analysis of Two Cell Lines.

Applications

Unspecified application

Species

Unspecified reactive species

Amparo López-Carrasco,Karina Parra-Haro,Isaac Vieco-Martí,Sofía Granados-Aparici,Juan Díaz-Martín,Carmen Salguero-Aranda,Delia Acevedo-León,Enrique de Álava,Samuel Navarro,Rosa Noguera

Experimental cell research 441:114155 PubMed39002689

2024

Ascites microenvironment conditions the peritoneal pre-metastatic niche to promote the implantation of ovarian tumor spheroids: Involvement of fibrinogen/fibrin and αV and α5β1 integrins.

Applications

Unspecified application

Species

Unspecified reactive species

Carine Laurent-Issartel,Alexandra Landras,Rémy Agniel,Florence Giffard,Cécile Blanc-Fournier,Elisabete Da Silva Cruz,Chahrazed Habes,Johanne Leroy-Dudal,Franck Carreiras,Sabrina Kellouche

Biomaterials 308:122560 PubMed38603826

2024

Engineering fibronectin-templated multi-component fibrillar extracellular matrices to modulate tissue-specific cell response.

Applications

Unspecified application

Species

Unspecified reactive species

Seungkuk Ahn,Akanksha Jain,Krishna Chaitanya Kasuba,Makiko Seimiya,Ryoko Okamoto,Barbara Treutlein,Daniel J Müller

FASEB journal : official publication of the Federation of American Societies for Experimental Biology 37:e23176 PubMed37665592

2023

A genome-wide transposon mutagenesis screening identifies LppB as a key factor associated with Mycoplasma bovis colonization and invasion into host cells.

Applications

Unspecified application

Species

Unspecified reactive species

Shimei Lan,Zhangcheng Li,Huafang Hao,Shuang Liu,Zhicheng Huang,Yutong Bai,Yanzhao Li,Xinmin Yan,Pengcheng Gao,Shengli Chen,Yuefeng Chu

Scientific reports 13:3903 PubMed36890150

2023

Suppression of CEBPδ recovers exhaustion in anti-metastatic immune cells.

Applications

Unspecified application

Species

Unspecified reactive species

Chenxue Yin,Masayoshi Kato,Takeshi Tomita,Yibing Han,Sachie Hiratsuka

Journal of Cancer 14:114-128 PubMed36605486

2023

Anti-PAI-1 Monoclonal Antibody Inhibits the Metastasis and Growth of Esophageal Squamous Cell Carcinoma.

Applications

Unspecified application

Species

Unspecified reactive species

Yutian Zheng,Lin Meng,Like Qu,Chuanke Zhao,Lixin Wang,Caiyun Liu,Chengchao Shou

Annals of thoracic and cardiovascular surgery : official journal of the Association of Thoracic and Cardiovascular Surgeons of Asia 28:307-319 PubMed35896371

2022

Hsa_circ_0079530/AQP4 Axis Is Related to Non-Small Cell Lung Cancer Development and Radiosensitivity.

Applications

Unspecified application

Species

Unspecified reactive species

Xianghui Yang,Min Li,Yang Zhao,Xiaolang Tan,Jiqing Su,Xi Zhong

Acta biomaterialia 141:209-218 PubMed35038586

2022

Identification of damage associated molecular patterns and extracellular matrix proteins as major constituents of the surface proteome of lung implantable silicone/nitinol devices.

Applications

Unspecified application

Species

Unspecified reactive species

Akash Gupta,Janette K Burgess,Theo Borghuis,Marcel P de Vries,Jeroen Kuipers,Hjalmar P Permentier,Rainer Bischoff,Dirk-Jan Slebos,Simon D Pouwels

Experimental and therapeutic medicine 23:65 PubMed34934436

2021

Urinary exosomal vitronectin predicts vesicoureteral reflux in patients with neurogenic bladders and spinal cord injuries.

Applications

Unspecified application

Species

Unspecified reactive species

Jue Li,Shiying Cai,Chunxian Zeng,Ling Chen,Chun Zhao,Ying Huang,Wenzhi Cai
View all publications

Abcam Product Promise

我们致力于为您的研究提供高质量的试剂,为您科研的每一步提供支持。若我们的产品未能达到预期性能,我们向您提供 Abcam Product Promise 保障。
详情请参阅我们的条款与条件。

Please note: All products are 'FOR RESEARCH USE ONLY. NOT FOR USE IN DIAGNOSTIC OR THERAPEUTIC PROCEDURES'.

For licensing inquiries, please contact partnerships@abcam.com