JavaScript is disabled in your browser. Please enable JavaScript to view this website.
AB155288

Anti-VEGFD 抗体 [EPR8457]

Anti-VEGFD antibody [EPR8457]

Be the first to review this product! Submit a review

|

(19 Publications)

Rabbit Recombinant Monoclonal VEGFD antibody. Suitable for WB, ICC/IF, Flow Cyt (Intra), IHC-P and reacts with Rat, Human, Mouse samples. Cited in 19 publications.

查看别名

FIGF, VEGFD, Vascular endothelial growth factor D, VEGF-D, c-Fos-induced growth factor

12 Images
Immunohistochemistry (Formalin/PFA-fixed paraffin-embedded sections) - Anti-VEGFD antibody [EPR8457] (AB155288)
  • IHC-P

Unknown

Immunohistochemistry (Formalin/PFA-fixed paraffin-embedded sections) - Anti-VEGFD antibody [EPR8457] (AB155288)

Immunohistochemical analysis of paraffin embedded Human skeletal muscle tissue using ab155288showing +ve staining.

Immunocytochemistry/ Immunofluorescence - Anti-VEGFD antibody [EPR8457] (AB155288)
  • ICC/IF

Lab

Immunocytochemistry/ Immunofluorescence - Anti-VEGFD antibody [EPR8457] (AB155288)

ab155288 staining VEGFD in MCF-7 (human breast carcinoma) cells by ICC/IF (Immunocytochemistry/immunofluorescence). Cells were fixed with 4% Paraformaldehyde and permeabilized with 0.1% Triton X-100. Samples were incubated with primary antibody at a dilution of 1/200. A goat anti rabbit IgG (Alexa Fluor® 488) (ab150077) was used as the secondary antibody. ab7291 and ab150120 were used as counterstains for primary antibody ab155288 and secondary antibody ab150077 respectively and DAPI was used as a nuclear counterstain.

Negative control 1 : Rabbit primary antibody and anti-mouse secondary antibody (ab150120)
Negative control 2 : Mouse primary antibody (ab7291) and anti-rabbit secondary antibody (ab150077)

Immunohistochemistry (Formalin/PFA-fixed paraffin-embedded sections) - Anti-VEGFD antibody [EPR8457] (AB155288)
  • IHC-P

Unknown

Immunohistochemistry (Formalin/PFA-fixed paraffin-embedded sections) - Anti-VEGFD antibody [EPR8457] (AB155288)

Immunohistochemical analysis of paraffin embedded Human normal kidney tissue using ab155288 showing +ve staining.

Immunohistochemistry (Formalin/PFA-fixed paraffin-embedded sections) - Anti-VEGFD antibody [EPR8457] (AB155288)
  • IHC-P

Lab

Immunohistochemistry (Formalin/PFA-fixed paraffin-embedded sections) - Anti-VEGFD antibody [EPR8457] (AB155288)

ab155288 staining VEGFD in human cardiac muscle tissue sections by Immunohistochemistry (IHC-P - Formalin/paraformaldehyde-fixed, paraffin-embedded sections). Tissue was fixed with paraformaldehyde and antigen retrieval was by heat mediation in a EDTA buffer. Samples were incubated with primary antibody at a dilution of 1/700. A goat anti-rabbit IgG H&L (HRP) ab97051 was used as the secondary antibody at a dilution of 1/500.

Negative control : PBS in place of primary antibody.

Immunohistochemistry (Formalin/PFA-fixed paraffin-embedded sections) - Anti-VEGFD antibody [EPR8457] (AB155288)
  • IHC-P

Unknown

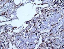
Immunohistochemistry (Formalin/PFA-fixed paraffin-embedded sections) - Anti-VEGFD antibody [EPR8457] (AB155288)

Immunohistochemical analysis of paraffin embedded Human lung tissue labeling VEGFD with ab155288 at a 1/100 dilution.

Immunohistochemistry (Formalin/PFA-fixed paraffin-embedded sections) - Anti-VEGFD antibody [EPR8457] (AB155288)
  • IHC-P

Unknown

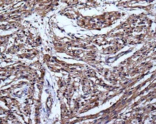
Immunohistochemistry (Formalin/PFA-fixed paraffin-embedded sections) - Anti-VEGFD antibody [EPR8457] (AB155288)

Immunohistochemical analysis of paraffin embedded Human heart tissue labeling VEGFD with ab155288 at a 1/100 dilution.

Flow Cytometry (Intracellular) - Anti-VEGFD antibody [EPR8457] (AB155288)
  • Flow Cyt (Intra)

Lab

Flow Cytometry (Intracellular) - Anti-VEGFD antibody [EPR8457] (AB155288)

ab155288 staining VEGFD in the mouse cell line NIH/3T3 (mouse embryo) by intracellular flow cytometry.Cells were fixed with 4% paraformaldehyde and the sample was incubated with the primary antibody at a dilution of 1/200. A goat anti rabbit IgG (Alexa Fluor® 488) at a dilution of 1/2000 was used as the secondary antibody.

Isoytype control : Rabbit monoclonal IgG (Black)

Unlabelled control : Cell without incubation with primary antibody and secondary antibody (Blue)

Western blot - Anti-VEGFD antibody [EPR8457] (AB155288)
  • WB

Lab

Western blot - Anti-VEGFD antibody [EPR8457] (AB155288)

Diluting and blocking buffer : 5% NFDM/TBST

All lanes:

Western blot - Anti-VEGFD antibody [EPR8457] (ab155288) at 1/10000 dilution

Lane 1:

Raji (human Burkitt's lymphoma) whole cell lysate at 20 µg

Lane 2:

HT1080 (human fibrosarcoma) whole cell lysate at 20 µg

Lane 3:

Caco-2 (human colorectal adenocarcinoma) whole cell lysate at 20 µg

Secondary

All lanes:

Western blot - Goat Anti-Rabbit IgG H&L (HRP) (<a href='/products/secondary-antibodies/goat-rabbit-igg-h-l-hrp-ab97051'>ab97051</a>) at 1/20000 dilution

Predicted band size: 40 kDa

Observed band size: 40 kDa

false

Western blot - Anti-VEGFD antibody [EPR8457] (AB155288)
  • WB

Unknown

Western blot - Anti-VEGFD antibody [EPR8457] (AB155288)

All lanes:

Western blot - Anti-VEGFD antibody [EPR8457] (ab155288) at 1/1000 dilution

Lane 1:

Raji lysate at 10 µg

Lane 2:

HT-1080 lysate at 10 µg

Lane 3:

MCF-7 lysate at 10 µg

Lane 4:

Caco-2 lysate at 10 µg

Predicted band size: 40 kDa

false

Western blot - Anti-VEGFD antibody [EPR8457] (AB155288)
  • WB

Lab

Western blot - Anti-VEGFD antibody [EPR8457] (AB155288)

Blocking/Diluting Buffer and concentration : 5% NFDM/TBST

All lanes:

Western blot - Anti-VEGFD antibody [EPR8457] (ab155288) at 1/10000 dilution

All lanes:

GST-Tagged human VEGFD (aa 1 to 354) recombinant protein

Secondary

All lanes:

Western blot - Goat Anti-Rabbit IgG H&L (HRP) (<a href='/products/secondary-antibodies/goat-rabbit-igg-h-l-hrp-ab97051'>ab97051</a>) at 1/1000 dilution

Predicted band size: 40 kDa

Observed band size: 65 kDa

false

Western blot - Anti-VEGFD antibody [EPR8457] (AB155288)
  • WB

Lab

Western blot - Anti-VEGFD antibody [EPR8457] (AB155288)

Diluting and blocking buffer : 5% NFDM/TBST

All lanes:

Western blot - Anti-VEGFD antibody [EPR8457] (ab155288) at 1/2000 dilution

Lane 1:

Rat lung tissue lysate at 15 µg

Lane 2:

NIH/3T3 (mouse embryo) whole cell lysate at 15 µg

Secondary

All lanes:

Western blot - Goat Anti-Rabbit IgG H&L (HRP) (<a href='/products/secondary-antibodies/goat-rabbit-igg-h-l-hrp-ab97051'>ab97051</a>) at 1/20000 dilution

Predicted band size: 40 kDa

Observed band size: 40 kDa

false

Western blot - Anti-VEGFD antibody [EPR8457] (AB155288)
  • WB

CiteAb

Western blot - Anti-VEGFD antibody [EPR8457] (AB155288)

VEGFD western blot using anti-VEGFD antibody [EPR8457] ab155288. Publication image and figure legend from Hong, H., Jiang, L., et al., 2016, BMC Cancer, PubMed 26992854.

ab155288 was used in this publication in western blot. This may not be the same as the application(s) guaranteed by Abcam. For a full list of applications guaranteed by Abcam for ab155288 please see the product overview.

TNF-α upregulated VEGF-D expression and VEGF-D promoter activity downstream of the ERK1/2/AP-1 pathway. a, c The effect of the TNF-α/AP-1 signaling pathway on the promoter activity and protein expression of the VEGF-D gene. Transfection with AP-1 siRNA effectively knocked down the expression of AP-1 and p-AP-1 in both NOZ and GBC-SD cells. The protein level and promoter activity of VEGF-D were accordingly reduced irrespective of treatment with TNF-α. b, d The effect of inhibition of MAPK pathway members on the protein expression and promoter activity of VEGF-D. When treated with SP600125 (10 μM), SB203580 (20 μM) or PD98059 (50 μM), the expression of AP-1 and p-AP-1 in both NOZ and GBC-SD cells were reduced. However, the protein expression and promoter activity of VEGF-D were significantly reduced only in the PD98059-treated group. *P < 0.05

false

不同偶联物与剂型 (10)

  • Biotin

    Biotin Anti-VEGFD antibody [EPR8457]

  • Carrier free

    Anti-VEGFD antibody [EPR8457] - BSA and Azide free

  • 578 PE

    PE Anti-VEGFD antibody [EPR8457]

  • 660 APC

    APC Anti-VEGFD antibody [EPR8457]

  • 617 Alexa Fluor® 594

    Alexa Fluor® 594 Anti-VEGFD antibody [EPR8457]

  • 665 Alexa Fluor® 647

    Alexa Fluor® 647 Anti-VEGFD antibody [EPR8457]

  • 565 Alexa Fluor® 555

    Alexa Fluor® 555 Anti-VEGFD antibody [EPR8457]

  • 603 Alexa Fluor® 568

    Alexa Fluor® 568 Anti-VEGFD antibody [EPR8457]

  • HRP

    HRP Anti-VEGFD antibody [EPR8457]

  • 775 Alexa Fluor® 750

    Alexa Fluor® 750 Anti-VEGFD antibody [EPR8457]

关键信息

宿主种属

Rabbit

克隆

Monoclonal

克隆号

EPR8457

亚型

IgG

不含载体蛋白

No

反应种属

Mouse, Rat, Human

应用

Flow Cyt (Intra), IHC-P, ICC/IF, WB

applications

免疫原

The exact immunogen used to generate this antibody is proprietary information.

反应性数据

{ "title": "Reactivity Data", "filters": { "stats": ["", "Species", "Dilution Info", "Notes"], "tabs": { "all-applications": {"fullname" : "All Applications", "shortname": "All Applications"}, "WB" : {"fullname" : "Western blot", "shortname":"WB"}, "ICCIF" : {"fullname" : "Immunocytochemistry/ Immunofluorescence", "shortname":"ICC/IF"}, "FlowCytIntra" : {"fullname" : "Flow Cytometry (Intracellular)", "shortname":"Flow Cyt (Intra)"}, "IHCP" : {"fullname" : "Immunohistochemistry (Formalin/PFA-fixed paraffin-embedded sections)", "shortname":"IHC-P"} }, "product-promise": { "all": "all", "testedAndGuaranteed": "tested", "guaranteed": "expected", "predicted": "predicted", "notRecommended": "not-recommended" } }, "values": { "Human": { "WB-species-checked": "testedAndGuaranteed", "WB-species-dilution-info": "1/1000 - 1/10000", "WB-species-notes": "<p></p>", "ICCIF-species-checked": "testedAndGuaranteed", "ICCIF-species-dilution-info": "1/200", "ICCIF-species-notes": "<p></p>", "FlowCytIntra-species-checked": "guaranteed", "FlowCytIntra-species-dilution-info": "", "FlowCytIntra-species-notes": "", "IHCP-species-checked": "testedAndGuaranteed", "IHCP-species-dilution-info": "1/100 - 1/700", "IHCP-species-notes": "<p></p> Perform heat-mediated antigen retrieval with Tris/EDTA buffer pH 9.0 before commencing with IHC staining protocol." }, "Mouse": { "WB-species-checked": "guaranteed", "WB-species-dilution-info": "", "WB-species-notes": "", "ICCIF-species-checked": "guaranteed", "ICCIF-species-dilution-info": "", "ICCIF-species-notes": "", "FlowCytIntra-species-checked": "testedAndGuaranteed", "FlowCytIntra-species-dilution-info": "1/100 - 1/500", "FlowCytIntra-species-notes": "<p><a href='/products/primary-antibodies/rabbit-igg-monoclonal-epr25a-isotype-control-ab172730'>ab172730</a> - Rabbit monoclonal IgG, is suitable for use as an isotype control with this antibody.</p>", "IHCP-species-checked": "guaranteed", "IHCP-species-dilution-info": "", "IHCP-species-notes": "" }, "Rat": { "WB-species-checked": "testedAndGuaranteed", "WB-species-dilution-info": "1/1000 - 1/10000", "WB-species-notes": "<p></p>", "ICCIF-species-checked": "guaranteed", "ICCIF-species-dilution-info": "", "ICCIF-species-notes": "", "FlowCytIntra-species-checked": "guaranteed", "FlowCytIntra-species-dilution-info": "", "FlowCytIntra-species-notes": "", "IHCP-species-checked": "guaranteed", "IHCP-species-dilution-info": "", "IHCP-species-notes": "" } } }

产品详情

Patented technology
Our RabMAb® technology is a patented hybridoma-based technology for making rabbit monoclonal antibodies. For details on our patents, please refer to RabMAb® patents.

What are the advantages of a recombinant monoclonal antibody?
This product is a recombinant monoclonal antibody, which offers several advantages including:

  • - High batch-to-batch consistency and reproducibility
  • - Improved sensitivity and specificity
  • - Long-term security of supply
  • - Animal-free batch production

For more information, read more on recombinant antibodies.

性能和储存信息

形式
Liquid
纯化工艺
Affinity purification Protein A
存储溶液
Preservative: 0.01% Sodium azide Constituents: 40% Glycerol (glycerin, glycerine), 0.05% BSA
运输条件
Blue Ice
推荐的短期储存时间
1-2 weeks
推荐的短期储存条件
+4°C
推荐的长期储存条件
-20°C
分装信息
Upon delivery aliquot
储存信息
Avoid freeze / thaw cycle

补充信息

This supplementary information is collated from multiple sources and compiled automatically.

VEGFD also known as vascular endothelial growth factor D plays a role in angiogenesis and lymphangiogenesis by interacting with VEGF receptors. This protein has a molecular mass of approximately 32 kDa. It is typically expressed in the lungs heart skeletal muscle and small intestine. VEGFD undergoes several proteolytic processes to gain full activity highlighting its functional complexity in the body.
Biological function summary

Vascular endothelial growth factor D promotes the proliferation and migration of endothelial cells facilitating vascular formation and remodeling. It forms part of the VEGF protein family which is known for its involvement in various vascular processes. The protein's action is largely mediated through its binding to VEGFR-2 and VEGFR-3. This binding activates downstream signaling pathways that contribute to the growth and maintenance of blood and lymphatic vessels.

Pathways

The functioning of VEGFD is important in the vascular endothelial growth factor signaling pathway and the PI3K-Akt signaling pathway. These pathways are essential for the regulation of cellular processes such as survival growth and motility of endothelial cells. VEGFD is closely related to other members of the VEGF family including VEGFA and VEGFC which similarly interact with VEGF receptors to regulate vascular development and function.

Abnormal levels or activity of VEGFD can lead to pathological conditions such as cancer and lymphedema. In several cancers VEGFD is implicated in tumor angiogenesis aiding the tumor in acquiring nutrients and oxygen. Furthermore in lymphedema issues related to lymphatic vessel development can involve VEGFD alongside VEGFC contributing to fluid retention and tissue swelling. These associations highlight the importance of understanding VEGFD's functions in various pathological contexts.

产品实验方案

For this product, it's our understanding that no specific protocols are required. You can visit:

靶点信息

Growth factor active in angiogenesis, lymphangiogenesis and endothelial cell growth, stimulating their proliferation and migration and also has effects on the permeability of blood vessels. May function in the formation of the venous and lymphatic vascular systems during embryogenesis, and also in the maintenance of differentiated lymphatic endothelium in adults. Binds and activates VEGFR-2 (KDR/FLK1) and VEGFR-3 (FLT4) receptors.
See full target information VEGFD

文献 (19)

Recent publications for all applications. Explore the full list and refine your search

International journal of molecular sciences 26: PubMed39859555

2025

Insulin Receptor Substrate-2 Regulates the Secretion of Growth Factors in Response to Amino Acid Deprivation.

Applications

Unspecified application

Species

Unspecified reactive species

Ayaka Takahashi,Haruka Furuta,Hiroki Nishi,Hiroyasu Kamei,Shin-Ichiro Takahashi,Fumihiko Hakuno

The clinical respiratory journal 18:e13805 PubMed39003635

2024

The Novel Fusion Protein Melittin-MIL-2 Exhibits Strong Antitumor Immune Effect in Lung Adenocarcinoma Cell A549.

Applications

Unspecified application

Species

Unspecified reactive species

Weize Gao,Wenshuai Li,Zhan Wang,Yongxin Li,Mingjun Liu

Toxicology 493:153552 PubMed37244296

2023

Silica nanoparticles induce pulmonary damage in rats via VEGFC/D-VEGFR3 signaling-mediated lymphangiogenesis and remodeling.

Applications

Unspecified application

Species

Unspecified reactive species

Yanan Yu,Yujie Pan,Bing Chang,Xiaoxu Zhao,Kunlong Qu,Yuguo Song

Frontiers in genetics 13:1035638 PubMed36313419

2022

Depletion of PARP10 inhibits the growth and metastatic potential of oral squamous cell carcinoma.

Applications

Unspecified application

Species

Unspecified reactive species

Zihui Zhou,Bing Wei,Yu Liu,Tian Liu,Sien Zeng,Jinfeng Gan,Guangying Qi

Annals of translational medicine 10:39 PubMed35282047

2022

Vasohibin 2 promotes lymphangiogenesis of lung squamous cell carcinoma through snail-dependent vascular endothelial growth factor-D (VEGF-D) signaling pathway.

Applications

Unspecified application

Species

Unspecified reactive species

Pengpeng Liu,Rui Zhang,Lei Han,Xiao Zhang,Yingnan Ye,Wenwen Yu,Xiubao Ren,Weijia Zhang,Jinpu Yu

Molecules (Basel, Switzerland) 27: PubMed35268795

2022

Improved Wound Healing by Naringin Associated with MMP and the VEGF Pathway.

Applications

Unspecified application

Species

Unspecified reactive species

Jia-Hau Yen,Wan-Ting Chio,Chia-Ju Chuang,Hsin-Ling Yang,Sheng-Teng Huang

Journal of dental sciences 17:276-283 PubMed35028048

2022

Distinctive cytokine profiles of stem cells from human exfoliated deciduous teeth and dental pulp stem cells.

Applications

Unspecified application

Species

Unspecified reactive species

Chung-Min Kang,Min Kyung Shin,Mijeong Jeon,Yong-Hyuk Lee,Je Seon Song,Jae-Ho Lee

Genetics and molecular biology 44:e20210058 PubMed34812471

2021

Expression of Ubiquitin-specific protease 7 in oral squamous cell carcinoma promotes tumor cell proliferation and invasion.

Applications

Unspecified application

Species

Unspecified reactive species

Xiaojie Yang,Jiamin Jin,Jinfeng Yang,Lihua Zhou,Sisi Mi,Guangying Qi

Journal of cellular and molecular medicine 25:4387-4394 PubMed33830670

2021

Novel COL4A1-VEGFD gene fusion in myofibroma.

Applications

Unspecified application

Species

Unspecified reactive species

Guillaume Dachy,Sylvie Fraitag,Boutaina Boulouadnine,Sabine Cordi,Jean-Baptiste Demoulin

Oncology reports 45: PubMed33760153

2021

The mineral dust-induced gene, , regulates angiogenesis and lymphangiogenesis in lung adenocarcinoma by modulating the expression of VEGF-A/C/D via EGFR and HIF-1α signaling.

Applications

Unspecified application

Species

Unspecified reactive species

Haomin Zhou,Feng Geng,Yecheng Chen,Juan Du,Xinyu Zhang,Bin Liu,Dandan Song,Haijia Hou,Hongwen Zhao
View all publications

Abcam Product Promise

我们致力于为您的研究提供高质量的试剂,为您科研的每一步提供支持。若我们的产品未能达到预期性能,我们向您提供 Abcam Product Promise 保障。
详情请参阅我们的条款与条件。

Please note: All products are 'FOR RESEARCH USE ONLY. NOT FOR USE IN DIAGNOSTIC OR THERAPEUTIC PROCEDURES'.

For licensing inquiries, please contact partnerships@abcam.com