JavaScript is disabled in your browser. Please enable JavaScript to view this website.
AB2350

Anti-VEGF Receptor 1 抗体

Anti-VEGF Receptor 1 antibody

4

(2 Reviews)

|

(74 Publications)

Anti-VEGF Receptor 1 antibody (ab2350) is a rabbit polyclonal antibody detecting VEGF Receptor 1 in IHC-P, ICC/IF. Suitable for Human.

- Over 60 publications
- Trusted since 2002

查看别名

FLT, FRT, VEGFR1, FLT1, Vascular endothelial growth factor receptor 1, VEGFR-1, Fms-like tyrosine kinase 1, Tyrosine-protein kinase FRT, Tyrosine-protein kinase receptor FLT, Vascular permeability factor receptor, FLT-1

2 Images
Immunocytochemistry/ Immunofluorescence - Anti-VEGF Receptor 1 antibody (AB2350)
  • ICC/IF

Unknown

Immunocytochemistry/ Immunofluorescence - Anti-VEGF Receptor 1 antibody (AB2350)

ICC/IF image of ab2350 stained A431 (human epidermoid carcinoma cell line) cells. The cells were 100% methanol fixed (5 min) and then incubated in 1%BSA / 10% normal goat serum / 0.3M glycine in 0.1% PBS-Tween for 1h to permeabilise the cells and block non-specific protein-protein interactions. The cells were then incubated with the antibody (ab2350, 5μg/ml) overnight at +4°C. The secondary antibody (green) was ab96899, DyLight® 488 goat anti-rabbit IgG (H+L) used at a 1/250 dilution for 1h. Alexa Fluor® 594 WGA was used to label plasma membranes (red) at a 1/200 dilution for 1h. DAPI was used to stain the cell nuclei (blue) at a concentration of 1.43μM.

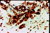
Immunohistochemistry (Formalin/PFA-fixed paraffin-embedded sections) - Anti-VEGF Receptor 1 antibody (AB2350)
  • IHC-P

Unknown

Immunohistochemistry (Formalin/PFA-fixed paraffin-embedded sections) - Anti-VEGF Receptor 1 antibody (AB2350)

ab2350 - immunohistochemistry

Formalin fixed paraffin embedded human angiosarcoma stained with VEGF Receptor 1, using ABC and AEC chromogen.

关键信息

宿主种属

Rabbit

克隆

Polyclonal

亚型

IgG

不含载体蛋白

No

反应种属

Human

应用

ICC/IF, IHC-P

applications

免疫原

The exact immunogen used to generate this antibody is proprietary information.

反应性数据

{ "title": "Reactivity Data", "filters": { "stats": ["", "Species", "Dilution Info", "Notes"], "tabs": { "all-applications": {"fullname" : "All Applications", "shortname": "All Applications"}, "IHCP" : {"fullname" : "Immunohistochemistry (Formalin/PFA-fixed paraffin-embedded sections)", "shortname":"IHC-P"}, "ICCIF" : {"fullname" : "Immunocytochemistry/ Immunofluorescence", "shortname":"ICC/IF"} }, "product-promise": { "all": "all", "testedAndGuaranteed": "tested", "guaranteed": "expected", "predicted": "predicted", "notRecommended": "not-recommended" } }, "values": { "Human": { "IHCP-species-checked": "testedAndGuaranteed", "IHCP-species-dilution-info": "1/50", "IHCP-species-notes": "<p></p> Perform heat-mediated antigen retrieval before commencing with IHC staining protocol.", "ICCIF-species-checked": "testedAndGuaranteed", "ICCIF-species-dilution-info": "5 µg/mL", "ICCIF-species-notes": "<p></p>" }, "Pig": { "IHCP-species-checked": "predicted", "IHCP-species-dilution-info": "", "IHCP-species-notes": "", "ICCIF-species-checked": "predicted", "ICCIF-species-dilution-info": "", "ICCIF-species-notes": "" } } }

产品详情

What is this antibody validated in?
Anti-VEGF Receptor 1 antibody (ab2350) is a rabbit polyclonal antibody and is validated for use in Immunohistochemistry (IHC-P), Immunocytochemistry/immunofluorescence (ICC/IF) in Human samples.

Trusted by the scientific community
Anti-VEGF Receptor 1 (ab2350) was first used in a scientific publication in 2002 and has been cited over 60 times in peer-reviewed journals.

性能和储存信息

形式
Liquid
纯化工艺
Affinity purification Immunogen
存储溶液
pH: 7.6 Preservative: 0.1% Sodium azide Constituents: PBS, 1% BSA
运输条件
Blue Ice
推荐的短期储存条件
+4°C
推荐的长期储存条件
-20°C
分装信息
Upon delivery aliquot
储存信息
Avoid freeze / thaw cycle

补充信息

This supplementary information is collated from multiple sources and compiled automatically.

VEGF Receptor 1 also known as FLT-1 is a protein that plays a critical role in the regulation of angiogenesis. Its mass is approximately 180 kDa. FLT-1 is a receptor tyrosine kinase expressed mainly on the surface of endothelial cells but also in monocytes and macrophages. The receptor binds vascular endothelial growth factor (VEGF) and placental growth factor (PlGF) which initiates a series of signaling cascades important for vascular development and function.
Biological function summary

FLT-1 mediates important cellular responses such as cell migration and proliferation. Although it often functions in conjunction with other receptors like VEGFR-2 FLT-1 has unique binding affinities that modulate the availability of VEGF for other receptors. FLT-1 proteins as part of complex signaling networks actively contribute to maintaining vascular homeostasis and regulating blood vessel permeability.

Pathways

FLT-1 is an important component in the VEGF signaling pathway and also part of the PlGF/VEGF pathway. The receptor serves as a decoy to regulate the amount of VEGF interaction with VEGFR-2 influencing endothelial cell function and vascular permeability. By sequestering VEGF FLT-1 helps maintain the balance in this angiogenic signaling network interacting with proteins like VEGF PlGF and the anti-VEGF agents that target these pathways.

FLT-1 is implicated in cancer and diabetic retinopathy. Overexpression or dysregulation of FLT-1 can contribute to tumor angiogenesis which can enhance tumor growth and metastasis. In diabetic retinopathy abnormal FLT-1 activity affects retinal blood vessels leading to vision impairment. Similar interactions involve VEGFR-2 and other downstream effectors emphasizing the potential of FLT-1 as a therapeutic target for conditions associated with excessive angiogenesis and vascular dysfunction.

产品实验方案

For this product, it's our understanding that no specific protocols are required. You can visit:

靶点信息

Tyrosine-protein kinase that acts as a cell-surface receptor for VEGFA, VEGFB and PGF, and plays an essential role in the development of embryonic vasculature, the regulation of angiogenesis, cell survival, cell migration, macrophage function, chemotaxis, and cancer cell invasion. Acts as a positive regulator of postnatal retinal hyaloid vessel regression (By similarity). May play an essential role as a negative regulator of embryonic angiogenesis by inhibiting excessive proliferation of endothelial cells. Can promote endothelial cell proliferation, survival and angiogenesis in adulthood. Its function in promoting cell proliferation seems to be cell-type specific. Promotes PGF-mediated proliferation of endothelial cells, proliferation of some types of cancer cells, but does not promote proliferation of normal fibroblasts (in vitro). Has very high affinity for VEGFA and relatively low protein kinase activity; may function as a negative regulator of VEGFA signaling by limiting the amount of free VEGFA and preventing its binding to KDR. Modulates KDR signaling by forming heterodimers with KDR. Ligand binding leads to the activation of several signaling cascades. Activation of PLCG leads to the production of the cellular signaling molecules diacylglycerol and inositol 1,4,5-trisphosphate and the activation of protein kinase C. Mediates phosphorylation of PIK3R1, the regulatory subunit of phosphatidylinositol 3-kinase, leading to activation of phosphatidylinositol kinase and the downstream signaling pathway. Mediates activation of MAPK1/ERK2, MAPK3/ERK1 and the MAP kinase signaling pathway, as well as of the AKT1 signaling pathway. Phosphorylates SRC and YES1, and may also phosphorylate CBL. Promotes phosphorylation of AKT1 at 'Ser-473'. Promotes phosphorylation of PTK2/FAK1 (PubMed : 16685275).. Isoform 1. Phosphorylates PLCG.. Isoform 2. May function as decoy receptor for VEGFA.. Isoform 3. May function as decoy receptor for VEGFA.. Isoform 4. May function as decoy receptor for VEGFA.. Isoform 7. Has a truncated kinase domain; it increases phosphorylation of SRC at 'Tyr-418' by unknown means and promotes tumor cell invasion.
See full target information FLT1

文献 (74)

Recent publications for all applications. Explore the full list and refine your search

Obstetrics & gynecology science 68:408-417 PubMed40610038

2025

Correlation of VEGF, HIF-1α, and MMP2 expression in placental villi among patients with recurrent spontaneous abortion.

Applications

Unspecified application

Species

Unspecified reactive species

Yaru Ju,Xiaolin Hou,Yage Wang,Xiaofeng Zhang,Yan Feng

Biology of reproduction 112:156-168 PubMed39513542

2024

Single-cell RNA sequencing reveals common interactions between follicle immune cells and granulosa cells in premature ovarian insufficiency patients†.

Applications

Unspecified application

Species

Unspecified reactive species

Ying Han,Junrong Diao,Xinyan Wang,Shuai Zhang,Lina Yuan,Yaqiong Ping,Ge Gao,Yunshan Zhang,Haining Luo

Regenerative biomaterials 11:rbae072 PubMed38974665

2024

Promotion of cardiac microtissue assembly within G-CSF-enriched collagen I-cardiogel hybrid hydrogel.

Applications

Unspecified application

Species

Unspecified reactive species

Hamid Khodayari,Saeed Khodayari,Malihe Rezaee,Siamak Rezaeiani,Mahmoud Alipour Choshali,Saiedeh Erfanian,Ahad Muhammadnejad,Fatemeh Nili,Yasaman Pourmehran,Reihaneh Pirjani,Sarah Rajabi,Naser Aghdami,Canan Nebigil-Désaubry,Kai Wang,Habibollah Mahmoodzadeh,Sara Pahlavan

Journal of biochemical and molecular toxicology 38:e23688 PubMed38511888

2024

CD93 regulates breast cancer growth and vasculogenic mimicry through the PI3K/AKT/SP2 signaling pathway activated by integrin β1.

Applications

Unspecified application

Species

Unspecified reactive species

Hong Liu,Jianhui Zhang,Yanjun Zhao,Zhixiong Fan,Yongheng Yang,Yuanyuan Mao,Jingyuan Yang,Shungao Ma

Drug design, development and therapy 18:407-423 PubMed38370565

2024

Zishen Yutai Pills Promote Angiogenesis at the Maternal-Fetal Interface in Recurrent Spontaneous Abortion Mice by Regulating miR-187/VEGF Axis.

Applications

Unspecified application

Species

Unspecified reactive species

Xiaoli Wang,Heng Hu,Xinhui Yu,Chengcheng Liang,Yanquan Han,Hongxia Chen,Jijun Chu

Journal of nanobiotechnology 22:34 PubMed38238748

2024

Asymmetric adhesive SIS-based wound dressings for therapeutically targeting wound repair.

Applications

Unspecified application

Species

Unspecified reactive species

Wende Yao,Zelong Song,Xiaodong Ma,Yiqian Huang,Xueying Zhang,Yunhuan Li,Pengfei Wei,Julei Zhang,Chenlu Xiong,Sihan Yang,Yujian Xu,Wei Jing,Bo Zhao,Xuesong Zhang,Yan Han

Translational neurodegeneration 13:1 PubMed38173017

2024

Blockage of VEGF function by bevacizumab alleviates early-stage cerebrovascular dysfunction and improves cognitive function in a mouse model of Alzheimer's disease.

Applications

Unspecified application

Species

Unspecified reactive species

Min Zhang,Zhan Zhang,Honghong Li,Yuting Xia,Mengdan Xing,Chuan Xiao,Wenbao Cai,Lulu Bu,Yi Li,Tae-Eun Park,Yamei Tang,Xiaojing Ye,Wei-Jye Lin

Nature communications 14:6963 PubMed37907455

2023

Self-promoted electroactive biomimetic mineralized scaffolds for bacteria-infected bone regeneration.

Applications

Unspecified application

Species

Unspecified reactive species

Zixin Li,Danqing He,Bowen Guo,Zekun Wang,Huajie Yu,Yu Wang,Shanshan Jin,Min Yu,Lisha Zhu,Liyuan Chen,Chengye Ding,Xiaolan Wu,Tianhao Wu,Shiqiang Gong,Jing Mao,Yanheng Zhou,Dan Luo,Yan Liu

PloS one 18:e0291909 PubMed37816025

2023

Sirt3 deficiency promotes endothelial dysfunction and aggravates renal injury.

Applications

Unspecified application

Species

Unspecified reactive species

Anna Pezzotta,Luca Perico,Daniela Corna,Marina Morigi,Giuseppe Remuzzi,Ariela Benigni,Barbara Imberti

Biology of reproduction 109:982-993 PubMed37724932

2023

Placental insufficiency and heavier placentas in sheep after suppressing CXCL12/CXCR4 signaling during implantation†.

Applications

Unspecified application

Species

Unspecified reactive species

Ryan L Ashley,Elisa M Trigo,Jacqueline M Ervin
View all publications

Abcam Product Promise

我们致力于为您的研究提供高质量的试剂,为您科研的每一步提供支持。若我们的产品未能达到预期性能,我们向您提供 Abcam Product Promise 保障。
详情请参阅我们的条款与条件。

Please note: All products are 'FOR RESEARCH USE ONLY. NOT FOR USE IN DIAGNOSTIC OR THERAPEUTIC PROCEDURES'.

For licensing inquiries, please contact partnerships@abcam.com