JavaScript is disabled in your browser. Please enable JavaScript to view this website.
AB154856

重组Anti-VDAC1/Porin + VDAC2抗体[EPR10852(B)] - Mitochondrial Loading Control

Anti-VDAC1/Porin + VDAC2 antibody [EPR10852(B)] - Mitochondrial Loading Control

  • RabMAb
  • Recombinant
  • KO Validated
  • Lab Essentials
  • 20ul selling size
  • 了解详情

5

(4 Reviews)

|

(122 Publications)

Anti-VDAC1/Porin + VDAC2 antibody [EPR10852(B)] - Mitochondrial Loading Control (ab154856) is a rabbit monoclonal antibody detecting VDAC1/Porin in Western Blot, IHC-P, IHC-Fr, ICC/IF, Flow Cytometry (Intra). Suitable for Human, Mouse, Rat.

- Biophysical QC for unrivalled batch-batch consistency
- Over 90 publications

查看别名

VDAC, VDAC1, Non-selective voltage-gated ion channel VDAC1, Outer mitochondrial membrane protein porin 1, Plasmalemmal porin, Porin 31HL, Porin 31HM, Voltage-dependent anion-selective channel protein 1, VDAC-1, hVDAC1

22 Images
Immunocytochemistry/ Immunofluorescence - Anti-VDAC1/Porin + VDAC2 antibody [EPR10852(B)] - Mitochondrial Loading Control (AB154856)
  • ICC/IF

Lab

Immunocytochemistry/ Immunofluorescence - Anti-VDAC1/Porin + VDAC2 antibody [EPR10852(B)] - Mitochondrial Loading Control (AB154856)

Immunofluorescent analysis of 100% methanol-fixed 0.1% Triton X-100 permeabilized Hap1 WT and Hap1-VDAC KO cells labelling VDAC1/Porin + VDAC2 with ab154856 at 1/500 dilution followed by ab150081 Goat Anti-Rabbit IgG H&L (Alexa Fluor® 488) preadsorbed antibody at 1/1000 2 μg/ml dilution (Green). Image showing mitochondrial staining in Hap1 WT cell line. ab7291 Anti-alpha Tubulin antibody [DM1A] was used to counterstain tubulin at 1/1000 dilution (Magenta). The nuclear counterstain was DAPI (Blue).

Immunocytochemistry/ Immunofluorescence - Anti-VDAC1/Porin + VDAC2 antibody [EPR10852(B)] - Mitochondrial Loading Control (AB154856)
  • ICC/IF

Lab

Immunocytochemistry/ Immunofluorescence - Anti-VDAC1/Porin + VDAC2 antibody [EPR10852(B)] - Mitochondrial Loading Control (AB154856)

ab154856 staining VDAC1 / Porin showing cytoplasmic staining in HeLa cells (Human cervix adenocarcinoma epithelial cells) by ICC/IF (Immunocytochemistry/immunofluorescence). Cells were fixed with 100% methanol, Samples were incubated with primary antibody (1/1000) for 1 hour at 21°C. ab150077, an Alexa Fluor® 488-conjugated Goat anti-Rabbit IgG (1 : 1000) was used as the secondary antibody. DAPI (1/200) was used as a counter stain.

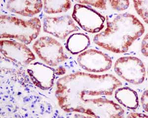
Immunohistochemistry (Formalin/PFA-fixed paraffin-embedded sections) - Anti-VDAC1/Porin + VDAC2 antibody [EPR10852(B)] - Mitochondrial Loading Control (AB154856)
  • IHC-P

Unknown

Immunohistochemistry (Formalin/PFA-fixed paraffin-embedded sections) - Anti-VDAC1/Porin + VDAC2 antibody [EPR10852(B)] - Mitochondrial Loading Control (AB154856)

Immunohistochemical analysis of paraffin embedded human normal kidney tissue using unpurified ab154856 showing +ve staining.

Perform heat mediated antigen retrieval before commencing with IHC staining protocol.

Immunohistochemistry (Formalin/PFA-fixed paraffin-embedded sections) - Anti-VDAC1/Porin + VDAC2 antibody [EPR10852(B)] - Mitochondrial Loading Control (AB154856)
  • IHC-P

Unknown

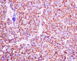
Immunohistochemistry (Formalin/PFA-fixed paraffin-embedded sections) - Anti-VDAC1/Porin + VDAC2 antibody [EPR10852(B)] - Mitochondrial Loading Control (AB154856)

Immunohistochemical analysis of paraffin embedded human ovarian carcinoma tissue using unpurified ab154856 showing +ve staining.

Perform heat mediated antigen retrieval before commencing with IHC staining protocol.

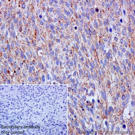
Immunohistochemistry (Formalin/PFA-fixed paraffin-embedded sections) - Anti-VDAC1/Porin + VDAC2 antibody [EPR10852(B)] - Mitochondrial Loading Control (AB154856)
  • IHC-P

Unknown

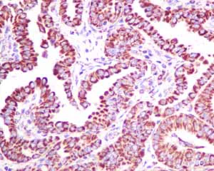
Immunohistochemistry (Formalin/PFA-fixed paraffin-embedded sections) - Anti-VDAC1/Porin + VDAC2 antibody [EPR10852(B)] - Mitochondrial Loading Control (AB154856)

Immunohistochemical analysis of paraffin embedded human thyroid gland carcinoma tissue using unpurified ab154856 showing +ve staining.

Perform heat mediated antigen retrieval before commencing with IHC staining protocol.

Immunocytochemistry/ Immunofluorescence - Anti-VDAC1/Porin + VDAC2 antibody [EPR10852(B)] - Mitochondrial Loading Control (AB154856)
  • ICC/IF

Lab

Immunocytochemistry/ Immunofluorescence - Anti-VDAC1/Porin + VDAC2 antibody [EPR10852(B)] - Mitochondrial Loading Control (AB154856)

ab154856 staining VDAC1 / Porin showing cytoplasmic staining in Jurkat cells (Human T cell leukemia T lymphocyte) by ICC/IF (Immunocytochemistry/immunofluorescence). Cells were fixed with 100% methanol, Samples were incubated with primary antibody (1/1000) for 1 hour at 21°C. ab150077, an Alexa Fluor® 488-conjugated Goat anti-Rabbit IgG (1 : 1000) was used as the secondary antibody. DAPI (1/200) was used as a counter stain.

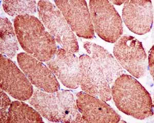
Immunohistochemistry (Formalin/PFA-fixed paraffin-embedded sections) - Anti-VDAC1/Porin + VDAC2 antibody [EPR10852(B)] - Mitochondrial Loading Control (AB154856)
  • IHC-P

Unknown

Immunohistochemistry (Formalin/PFA-fixed paraffin-embedded sections) - Anti-VDAC1/Porin + VDAC2 antibody [EPR10852(B)] - Mitochondrial Loading Control (AB154856)

Immunohistochemical analysis of paraffin embedded human skeletal muscle tissue using unpurified ab154856 showing +ve staining.

Perform heat mediated antigen retrieval before commencing with IHC staining protocol.

Immunohistochemistry (Formalin/PFA-fixed paraffin-embedded sections) - Anti-VDAC1/Porin + VDAC2 antibody [EPR10852(B)] - Mitochondrial Loading Control (AB154856)
  • IHC-P

Unknown

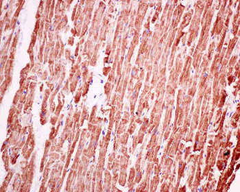
Immunohistochemistry (Formalin/PFA-fixed paraffin-embedded sections) - Anti-VDAC1/Porin + VDAC2 antibody [EPR10852(B)] - Mitochondrial Loading Control (AB154856)

Immunohistochemical analysis of paraffin-embedded human heart tissue labeling VDAC1 with unpurified ab154856 at 1/100 dilution.

Perform heat mediated antigen retrieval before commencing with IHC staining protocol.

Immunohistochemistry (Formalin/PFA-fixed paraffin-embedded sections) - Anti-VDAC1/Porin + VDAC2 antibody [EPR10852(B)] - Mitochondrial Loading Control (AB154856)
  • IHC-P

Unknown

Immunohistochemistry (Formalin/PFA-fixed paraffin-embedded sections) - Anti-VDAC1/Porin + VDAC2 antibody [EPR10852(B)] - Mitochondrial Loading Control (AB154856)

Immunohistochemical staining of paraffin embedded human cervical carcinoma with purified ab154856 at a working dilution of 1/200. The secondary antibody used is HRP goat anti-rabbit IgG H&L (ab97051) at 1/500. The sample is counter-stained with hematoxylin. Antigen retrieval was perfomed using Tris-EDTA buffer, pH 9.0. PBS was used instead of the primary antibody as the negative control, and is shown in the inset.

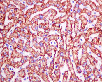
Immunohistochemistry (Formalin/PFA-fixed paraffin-embedded sections) - Anti-VDAC1/Porin + VDAC2 antibody [EPR10852(B)] - Mitochondrial Loading Control (AB154856)
  • IHC-P

Unknown

Immunohistochemistry (Formalin/PFA-fixed paraffin-embedded sections) - Anti-VDAC1/Porin + VDAC2 antibody [EPR10852(B)] - Mitochondrial Loading Control (AB154856)

Immunohistochemical analysis of paraffin-embedded human liver tissue labeling VDAC1 with unpurified ab154856 at 1/100 dilution.

Perform heat mediated antigen retrieval before commencing with IHC staining protocol.

Flow Cytometry (Intracellular) - Anti-VDAC1/Porin + VDAC2 antibody [EPR10852(B)] - Mitochondrial Loading Control (AB154856)
  • Flow Cyt (Intra)

Lab

Flow Cytometry (Intracellular) - Anti-VDAC1/Porin + VDAC2 antibody [EPR10852(B)] - Mitochondrial Loading Control (AB154856)

Flow cytometry overlay histogram showing wild-type HAP1 (green line) and VDAC1 knockout HAP1 stained with ab154856 (magenta line). The cells were fixed with 80% methanol (5 min) and then permeabilised with 0.1% PBS-Triton X-100 for 15 min. The cells were then incubated in 1x PBS containing 10% normal goat serum to block non-specific protein-protein interaction followed by the antibody (ab154856) (1x 106 in 100μl at 0.2 μg/ml (1/195 dilution)) for 30min at 22°C.

The secondary antibody Goat Anti-Rabbit IgG H&L (Alexa Fluor® 488) preadsorbed was incubated at 1/4000 dilution for 30min at 22°C.

Isotype control antibody was Recombinant Rabbit IgG, monoclonal [EPR25A] - Isotype Control in HAP1 WT cells (black line) and HAP1-VDAC1 KO cells (grey line), used at the same concentration and conditions as the primary antibody.

Acquisition of >5000 events were collected using a 50 mW Blue laser (488nm) and 525/40 bandpass filter.

Immunohistochemistry (Frozen sections) - Anti-VDAC1/Porin + VDAC2 antibody [EPR10852(B)] - Mitochondrial Loading Control (AB154856)
  • IHC-Fr

Unknown

Immunohistochemistry (Frozen sections) - Anti-VDAC1/Porin + VDAC2 antibody [EPR10852(B)] - Mitochondrial Loading Control (AB154856)

Immunohistochemistry (Frozen sections) analysis of mouse cardiac muscle tissue sections labeling VDAC1 / Porin with Purified ab154856 at 1/50 (0.7 µg/ml).Heat mediated antigen retrieval using sodium citrate buffer (10mM citrate pH 6.0 + 0.05% Tween-20). Goat anti rabbit IgG (Alexa Fluor® 488, ab150077) was used as the secondary antibody. Negative control : PBS instead of the primary antibody. DAPI was used as a counterstain.

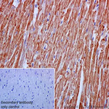
Immunohistochemistry (Formalin/PFA-fixed paraffin-embedded sections) - Anti-VDAC1/Porin + VDAC2 antibody [EPR10852(B)] - Mitochondrial Loading Control (AB154856)
  • IHC-P

Unknown

Immunohistochemistry (Formalin/PFA-fixed paraffin-embedded sections) - Anti-VDAC1/Porin + VDAC2 antibody [EPR10852(B)] - Mitochondrial Loading Control (AB154856)

Immunohistochemical staining of paraffin embedded mouse cardiac muscle with purified ab154856 at a working dilution of 1/200. The secondary antibody used is HRP goat anti-rabbit IgG H&L (ab97051) at 1/500. The sample is counter-stained with hematoxylin. Antigen retrieval was perfomed using Tris-EDTA buffer, pH 9.0. PBS was used instead of the primary antibody as the negative control, and is shown in the inset.

Immunohistochemistry (Frozen sections) - Anti-VDAC1/Porin + VDAC2 antibody [EPR10852(B)] - Mitochondrial Loading Control (AB154856)
  • IHC-Fr

Unknown

Immunohistochemistry (Frozen sections) - Anti-VDAC1/Porin + VDAC2 antibody [EPR10852(B)] - Mitochondrial Loading Control (AB154856)

Immunohistochemistry (Frozen sections) analysis of mouse skeletal muscle tissue sections labeling VDAC1 / Porin with Purified ab154856 at 1/50 (0.7 µg/ml).Heat mediated antigen retrieval using sodium citrate buffer (10mM citrate pH 6.0 + 0.05% Tween-20). Goat anti rabbit IgG (Alexa Fluor® 488, ab150077) was used as the secondary antibody. Negative control : PBS instead of the primary antibody. DAPI was used as a counterstain.

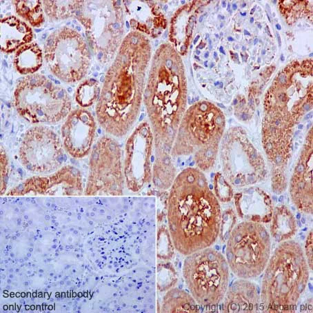
Immunohistochemistry (Formalin/PFA-fixed paraffin-embedded sections) - Anti-VDAC1/Porin + VDAC2 antibody [EPR10852(B)] - Mitochondrial Loading Control (AB154856)
  • IHC-P

Unknown

Immunohistochemistry (Formalin/PFA-fixed paraffin-embedded sections) - Anti-VDAC1/Porin + VDAC2 antibody [EPR10852(B)] - Mitochondrial Loading Control (AB154856)

Immunohistochemical staining of paraffin embedded rat kidney with purified ab154856 at a working dilution of 1/200. The secondary antibody used is HRP goat anti-rabbit IgG H&L (ab97051) at 1/500. The sample is counter-stained with hematoxylin. Antigen retrieval was perfomed using Tris-EDTA buffer, pH 9.0. PBS was used instead of the primary antibody as the negative control, and is shown in the inset.

Western blot - Anti-VDAC1/Porin + VDAC2 antibody [EPR10852(B)] - Mitochondrial Loading Control (AB154856)
  • WB

Supplier Data

Western blot - Anti-VDAC1/Porin + VDAC2 antibody [EPR10852(B)] - Mitochondrial Loading Control (AB154856)

** Lanes 1 - 4 : ** Merged signal (red and green). Green - ab154856 observed at 31 kDa. Red - loading control, ab8245 observed at 37 kDa. ab154856 was shown to react with VDAC1 / Porin in wild-type HEK-293T. Loss of signal was observed when knockout cell line ab255444 (knockout cell lysate ab263839) was used. Wild-type and VDAC1 / Porin knockout samples were subjected to SDS-PAGE. ab154856 and Anti-GAPDH antibody [6C5] - Loading Control (ab8245) were incubated overnight at 4°C at 1 in 1000 dilution and 1 in 20000 dilution respectively. Blots were developed with Goat anti-Rabbit IgG H&L (IRDye® 800CW) preadsorbed (ab216773) and Goat anti-Mouse IgG H&L (IRDye® 680RD) preadsorbed (ab216776) secondary antibodies at 1 in 20000 dilution for 1 hour at room temperature before imaging.

All lanes:

Western blot - Anti-VDAC1/Porin + VDAC2 antibody [EPR10852(B)] - Mitochondrial Loading Control (ab154856) at 1/1000 dilution

Lane 1:

Wild-type Hap1 cell lysate at 20 µg

Lane 2:

VDAC1 knockout Hap1 cell lysate at 20 µg

Lane 3:

Wild-type HEK-293T cell lysate at 20 µg

Lane 4:

VDAC1 knockout HEK-293T cell lysate at 20 µg

Secondary

All lanes:

Western blot - Goat anti-Rabbit IgG H&L (IRDye® 800CW) preadsorbed (<a href='/products/secondary-antibodies/goat-rabbit-igg-h-l-irdye-800cw-preadsorbed-ab216773'>ab216773</a>) at 1/20000 dilution

Predicted band size: 31 kDa

Observed band size: 124 kDa

false

Western blot - Anti-VDAC1/Porin + VDAC2 antibody [EPR10852(B)] - Mitochondrial Loading Control (AB154856)
  • WB

Lab

Western blot - Anti-VDAC1/Porin + VDAC2 antibody [EPR10852(B)] - Mitochondrial Loading Control (AB154856)

Blocking buffer : 5% NFDM/TBST
Dilution buffer : 5% NFDM/TBST

All lanes:

Western blot - Anti-VDAC1/Porin + VDAC2 antibody [EPR10852(B)] - Mitochondrial Loading Control (ab154856) at 1/2000 dilution

All lanes:

Jurkat cell lysate at 20 µg

Secondary

All lanes:

HRP goat anti-rabbit IgG (H+L) at 1/1000 dilution

Predicted band size: 22 kDa,82 kDa,98 kDa

Observed band size: 24 kDa,31 kDa,82 kDa

false

Western blot - Anti-VDAC1/Porin + VDAC2 antibody [EPR10852(B)] - Mitochondrial Loading Control (AB154856)
  • WB

AbReview41042****

Western blot - Anti-VDAC1/Porin + VDAC2 antibody [EPR10852(B)] - Mitochondrial Loading Control (AB154856)

All lanes:

Western blot - Anti-VDAC1/Porin + VDAC2 antibody [EPR10852(B)] - Mitochondrial Loading Control (ab154856) at 1/5000 dilution

All lanes:

Rat cerebellum whole tissue lysate at 30 µg

Secondary

All lanes:

Goat Anti-Rabbit IgG H&L (HRP) preadsorbed (<a href='/products/unavailable/goat-rabbit-igg-hl-hrp-preadsorbed-ab97069'>ab97069</a>)

Observed band size: 31 kDa

true

Exposure time: 2s

This image is courtesy of an anonymous Abreview

Western blot - Anti-VDAC1/Porin + VDAC2 antibody [EPR10852(B)] - Mitochondrial Loading Control (AB154856)
  • WB

Unknown

Western blot - Anti-VDAC1/Porin + VDAC2 antibody [EPR10852(B)] - Mitochondrial Loading Control (AB154856)

Secondary antibody - anti-rabbit HRP (ab6721)

All lanes:

Western blot - Anti-VDAC1/Porin + VDAC2 antibody [EPR10852(B)] - Mitochondrial Loading Control (ab154856) at 1/1000 dilution

Lane 1:

HepG2 cell lysate at 10 µg

Lane 2:

Jurkat cell lysate at 10 µg

Lane 3:

293T cell lysate at 10 µg

Lane 4:

HeLa cell lysate at 10 µg

Secondary

All lanes:

Goat anti-rabbit HRP at 1/2000 dilution

false

Western blot - Anti-VDAC1/Porin + VDAC2 antibody [EPR10852(B)] - Mitochondrial Loading Control (AB154856)
  • WB

Lab

Western blot - Anti-VDAC1/Porin + VDAC2 antibody [EPR10852(B)] - Mitochondrial Loading Control (AB154856)

Blocking buffer : 5% NFDM/TBST
Dilution buffer : 5% NFDM/TBST

All lanes:

Western blot - Anti-VDAC1/Porin + VDAC2 antibody [EPR10852(B)] - Mitochondrial Loading Control (ab154856) at 1/10000 dilution

Lane 1:

mouse kidney lysate at 20 µg

Lane 2:

rat kidney lysate at 20 µg

Secondary

All lanes:

HRP goat anti-rabbit IgG (H+L) at 1/1000 dilution

Observed band size: 31 kDa

false

Western blot - Anti-VDAC1/Porin + VDAC2 antibody [EPR10852(B)] - Mitochondrial Loading Control (AB154856)
  • WB

Lab

Western blot - Anti-VDAC1/Porin + VDAC2 antibody [EPR10852(B)] - Mitochondrial Loading Control (AB154856)

Blocking buffer : 5% NFDM/TBST
Dilution buffer : 5% NFDM/TBST

All lanes:

Western blot - Anti-VDAC1/Porin + VDAC2 antibody [EPR10852(B)] - Mitochondrial Loading Control (ab154856) at 1/10000 dilution

Lane 1:

HepG2 cell lysate at 20 µg

Lane 2:

HEK293 cell lysate at 20 µg

Lane 3:

HeLa cell lysate at 20 µg

Secondary

All lanes:

HRP goat anti-rabbit IgG (H+L) at 1/1000 dilution

Observed band size: 31 kDa

false

Western blot - Anti-VDAC1/Porin + VDAC2 antibody [EPR10852(B)] - Mitochondrial Loading Control (AB154856)
  • WB

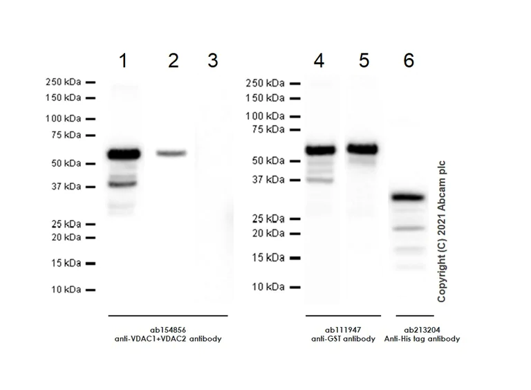
Supplier Data

Western blot - Anti-VDAC1/Porin + VDAC2 antibody [EPR10852(B)] - Mitochondrial Loading Control (AB154856)

Blocking and diluting buffer and concentration : 5% NFDM/TBST

All lanes:

Western blot - Anti-VDAC1/Porin + VDAC2 antibody [EPR10852(B)] - Mitochondrial Loading Control (ab154856) at 1/1000 dilution

Lanes 1 and 4:

N-GST tagged full length recombinant human VDAC1 protein 10ng

Lanes 2 and 5:

N-GST tagged full length recombinant human VDAC2 protein 10ng

Lanes 3 and 6:

C-His tagged full length Recombinant Human VDAC3 protein 10ng

Secondary

All lanes:

Western blot - Goat Anti-Rabbit IgG H&L (HRP) (<a href='/products/secondary-antibodies/goat-rabbit-igg-h-l-hrp-ab97051'>ab97051</a>) at 1/20000 dilution

Observed band size: 33 kDa,55 kDa

false

Exposure time: 40s

关键信息

宿主种属

Rabbit

克隆

Monoclonal

克隆号

EPR10852(B)

亚型

IgG

不含载体蛋白

No

反应种属

Mouse, Rat, Human

应用

WB, ICC/IF, IHC-P, IHC-Fr, Flow Cyt (Intra)

applications

免疫原

The exact immunogen used to generate this antibody is proprietary information.

反应性数据

{ "title": "Reactivity Data", "filters": { "stats": ["", "Species", "Dilution Info", "Notes"], "tabs": { "all-applications": {"fullname" : "All Applications", "shortname": "All Applications"}, "IHCP" : {"fullname" : "Immunohistochemistry (Formalin/PFA-fixed paraffin-embedded sections)", "shortname":"IHC-P"}, "WB" : {"fullname" : "Western blot", "shortname":"WB"}, "ICCIF" : {"fullname" : "Immunocytochemistry/ Immunofluorescence", "shortname":"ICC/IF"}, "IHCFr" : {"fullname" : "Immunohistochemistry (Frozen sections)", "shortname":"IHC-Fr"}, "FlowCytIntra" : {"fullname" : "Flow Cytometry (Intracellular)", "shortname":"Flow Cyt (Intra)"} }, "product-promise": { "all": "all", "testedAndGuaranteed": "tested", "guaranteed": "expected", "predicted": "predicted", "notRecommended": "not-recommended" } }, "values": { "Human": { "IHCP-species-checked": "testedAndGuaranteed", "IHCP-species-dilution-info": "1/100 - 1/250", "IHCP-species-notes": "<p></p> Perform heat-mediated antigen retrieval before commencing with IHC staining protocol.", "WB-species-checked": "testedAndGuaranteed", "WB-species-dilution-info": "1/1000 - 1/10000", "WB-species-notes": "<p></p>", "ICCIF-species-checked": "testedAndGuaranteed", "ICCIF-species-dilution-info": "1/1000", "ICCIF-species-notes": "<p></p>", "IHCFr-species-checked": "guaranteed", "IHCFr-species-dilution-info": "", "IHCFr-species-notes": "", "FlowCytIntra-species-checked": "testedAndGuaranteed", "FlowCytIntra-species-dilution-info": "1/195", "FlowCytIntra-species-notes": "<p></p>" }, "Mouse": { "IHCP-species-checked": "testedAndGuaranteed", "IHCP-species-dilution-info": "1/100 - 1/250", "IHCP-species-notes": "<p></p> Perform heat-mediated antigen retrieval before commencing with IHC staining protocol.", "WB-species-checked": "testedAndGuaranteed", "WB-species-dilution-info": "1/1000 - 1/10000", "WB-species-notes": "<p></p>", "ICCIF-species-checked": "guaranteed", "ICCIF-species-dilution-info": "", "ICCIF-species-notes": "", "IHCFr-species-checked": "testedAndGuaranteed", "IHCFr-species-dilution-info": "1/50", "IHCFr-species-notes": "<p>Heat mediated antigen retrieval using sodium citrate buffer (10mM citrate pH 6.0 + 0.05% Tween-20)</p>", "FlowCytIntra-species-checked": "guaranteed", "FlowCytIntra-species-dilution-info": "", "FlowCytIntra-species-notes": "" }, "Rat": { "IHCP-species-checked": "testedAndGuaranteed", "IHCP-species-dilution-info": "1/100 - 1/250", "IHCP-species-notes": "<p></p> Perform heat-mediated antigen retrieval before commencing with IHC staining protocol.", "WB-species-checked": "guaranteed", "WB-species-dilution-info": "", "WB-species-notes": "", "ICCIF-species-checked": "guaranteed", "ICCIF-species-dilution-info": "", "ICCIF-species-notes": "", "IHCFr-species-checked": "guaranteed", "IHCFr-species-dilution-info": "", "IHCFr-species-notes": "", "FlowCytIntra-species-checked": "guaranteed", "FlowCytIntra-species-dilution-info": "", "FlowCytIntra-species-notes": "" } } }

产品详情

What is this antibody validated in?
Anti-VDAC1/Porin + VDAC2 antibody [EPR10852(B)] - Mitochondrial Loading Control (ab154856) is a rabbit recombinant monoclonal antibody and is validated for use in Western Blot (WB), Immunohistochemistry (IHC-P), Immunohistochemistry (IHC-Fr), Immunocytochemistry/immunofluorescence (ICC/IF) and Flow Cytometry (Intra) in Human, Mouse, Rat samples.

What is the molecular weight of VDAC1/Porin?
Anti-VDAC1/Porin + VDAC2 [EPR10852(B)] - Mitochondrial Loading Control (ab154856) is often used as a loading control in Western blot. It specifically detects a band for VDAC1/Porin (UniProt: P21796) at a molecular weight of 31kDa.

Trusted by the scientific community
Anti-VDAC1/Porin + VDAC2 [EPR10852(B)] - Mitochondrial Loading Control (ab154856) was first used in a scientific publication in 2012 and has been cited over 90 times in peer-reviewed journals.

Trial sizes available!
Test your antibody or perform pre-screening before committing to a larger quantity. Sold in 10µl. Discover our selection of trial-size antibodies.

Specificity confirmed
The specificity of Anti-VDAC1/Porin + VDAC2 antibody [EPR10852(B)] - Mitochondrial Loading Control (ab154856) has been confirmed by Western blot testing in VDAC1 Knockout HAP1 cell line, ab255444.

Other related products
We have a range of other formats of antibody clone [EPR10852(B)] also available for your convenience: ab154856, HRP - ab185063, Carrier free - ab240128, PE - ab317896, APC - ab317934, Alexa Fluor® 488 - ab317974, Alexa Fluor® 594 - ab318015, Alexa Fluor® 555 - ab318057, Alexa Fluor® 647 - ab318099, Alexa Fluor® 750 - ab321135

Patented technology
Our RabMAb® technology is a patented hybridoma-based technology for making rabbit monoclonal antibodies. For details on our patents, please refer to RabMAb® patents.

What are the advantages of a recombinant monoclonal antibody?
This product is a recombinant monoclonal antibody, which offers several advantages including:

  • - High batch-to-batch consistency and reproducibility
  • - Improved sensitivity and specificity
  • - Long-term security of supply
  • - Animal-free batch production

For more information, read more on recombinant antibodies.

性能和储存信息

形式
Liquid
纯化工艺
Affinity purification Protein A
存储溶液
Preservative: 0.01% Sodium azide Constituents: PBS, 40% Glycerol (glycerin, glycerine), 0.05% BSA
运输条件
Blue Ice
推荐的短期储存时间
1-2 weeks
推荐的短期储存条件
+4°C
推荐的长期储存条件
-20°C
分装信息
Upon delivery aliquot
储存信息
Stable for 12 months at -20°C

补充信息

This supplementary information is collated from multiple sources and compiled automatically.

The VDAC1/Porin and VDAC2 proteins also known as voltage-dependent anion-selective channel 1 and 2 serve as important pore-forming proteins within the mitochondrial outer membrane. Each VDAC protein has a molecular mass of about 30-35 kDa. Commonly referred to as the 'porin hub' due to their central role in metabolite exchange VDAC1 and VDAC2 facilitate the transport of ions and small molecules between the mitochondria and cytoplasm regulating energy production and cellular metabolism. They express widely across various tissues highlighting their essential role in cellular functions.
Biological function summary

Voltage-dependent anion channels like VDAC1/Porin and VDAC2 modulate the exchange of ions and metabolic substrates playing a significant role in apoptosis and the maintenance of mitochondrial functions. As integral parts of mitochondrial complexes they interact with proteins such as hexokinase which anchors to VDAC1 and influences glycolytic flux linking energy production with apoptotic signaling pathways. This positions VDAC proteins as key regulators of cellular energy homeostasis.

Pathways

VDAC1/Porin and VDAC2 engage prominently in the apoptotic and mitochondrial permeability transition pathways. In the apoptosis pathway they interact with anti-apoptotic proteins like Bcl-xl and pro-apoptotic members like Bax highlighting their dual role in cell survival and death. These interactions highlight the proteins' contribution to mitochondrial outer membrane permeabilization (MOMP) a critical event in the release of cytochrome c and subsequent apoptosome formation further integrating them into broader signaling networks.

Dysfunctions in VDAC1/Porin and VDAC2 link to neurodegenerative diseases and cancer. Aberrant VDAC1 activity connects with Alzheimer's disease due to its role in mitochondrial dysfunction affecting amyloid-beta peptide accumulation and neuronal cell death. In cancer VDAC overexpression associates with altered cellular metabolism and resistance to apoptosis positioning these proteins as potential therapeutic targets. Interactions with proteins such as hexokinase and Bcl-2 family members further emphasize their role in these pathological processes.

产品实验方案

For this product, it's our understanding that no specific protocols are required. You can visit:

靶点信息

Non-selective voltage-gated ion channel that mediates the transport of anions and cations through the mitochondrion outer membrane and plasma membrane (PubMed : 10661876, PubMed : 11845315, PubMed : 18755977, PubMed : 30061676, PubMed : 8420959). The channel at the outer mitochondrial membrane allows diffusion of small hydrophilic molecules; in the plasma membrane it is involved in cell volume regulation and apoptosis (PubMed : 10661876, PubMed : 11845315, PubMed : 18755977, PubMed : 8420959). It adopts an open conformation at low or zero membrane potential and a closed conformation at potentials above 30-40 mV (PubMed : 10661876, PubMed : 18755977, PubMed : 8420959). The open state has a weak anion selectivity whereas the closed state is cation-selective (PubMed : 18755977, PubMed : 8420959). Binds various signaling molecules, including the sphingolipid ceramide, the phospholipid phosphatidylcholine, and the sterols cholesterol and oxysterol (PubMed : 18755977, PubMed : 31015432). In depolarized mitochondria, acts downstream of PRKN and PINK1 to promote mitophagy or prevent apoptosis; polyubiquitination by PRKN promotes mitophagy, while monoubiquitination by PRKN decreases mitochondrial calcium influx which ultimately inhibits apoptosis (PubMed : 32047033). May participate in the formation of the permeability transition pore complex (PTPC) responsible for the release of mitochondrial products that triggers apoptosis (PubMed : 15033708, PubMed : 25296756). May mediate ATP export from cells (PubMed : 30061676). Part of a complex composed of HSPA9, ITPR1 and VDAC1 that regulates mitochondrial calcium-dependent apoptosis by facilitating calcium transport from the ER lumen to the mitochondria intermembrane space thus providing calcium for the downstream calcium channel MCU that directly releases it into mitochondria matrix (By similarity). Mediates cytochrome c efflux (PubMed : 20230784).. Catalyzes the scrambling of phospholipids across the outer mitochondrial membrane; the mechanism is unrelated to channel activity and is capable of translocating both anionic and zwitterionic phospholipids.
See full target information VDAC1

其他靶点

Voltage-dependent anion-selective channel protein 2

文献 (122)

Recent publications for all applications. Explore the full list and refine your search

iScience 28:113311 PubMed40917882

2025

An iPSC-derived neuronal model reveals manganese's role in neuronal endocytosis, calcium flux and mitochondrial bioenergetics.

Applications

Unspecified application

Species

Unspecified reactive species

Dimitri Budinger,Sharmin Alhaque,Ramón González-Méndez,Chris Dadswell,Katy Barwick,Arianna Ferrini,Charlotte Roth,Conor J McCann,Karin Tuschl,Fatma Al Jasmi,Maha S Zaki,Julien H Park,Russell C Dale,Shekeeb Mohammad,John Christodoulou,Dale Moulding,Michael R Duchen,Serena Barral,Manju A Kurian

Journal of cardiovascular development and disease 12: PubMed40863384

2025

Dysfunctional Electron Transport Chain Assembly in COXPD8.

Applications

Unspecified application

Species

Unspecified reactive species

Gisela Beutner,Heidie L Huyck,Gail Deutsch,Gloria S Pryhuber,George A Porter

Nature communications 16:7540 PubMed40813772

2025

Boosting energy metabolism and biosynthesis in diverse organisms by a common bacterial salvage lipoylation protein.

Applications

Unspecified application

Species

Unspecified reactive species

Runqing Yang,Yingying Wang,Minghua Kong,Zhijuan Hu,Zhe Zhang,Kun Shen,Jiali Meng,An-Ping Zeng

Aging and disease : PubMed40072373

2025

Trifluoroacetic Acid Induced a Cyclophilin D-Dependent Cognitive Impairment in Mice.

Applications

Unspecified application

Species

Unspecified reactive species

Yun Li,Yichi Xu,Yuanlin Dong,Christa J Nehs,Zhongcong Xie,Yiying Zhang

iScience 28:111903 PubMed39995871

2025

Adipocyte-specific Steap4 deficiency reduced thermogenesis and energy expenditure in mice.

Applications

Unspecified application

Species

Unspecified reactive species

Han Wang,Lizi Zhang,Xing Chen,Lingzi Hong,Junjie Zhao,Wen Qian,Lam Khue Pham,Belinda Willard,Xiaoxia Li,Katarzyna Bulek,Xiao Li

Communications biology 8:258 PubMed39966593

2025

Functional compartmentalization of hepatic mitochondrial subpopulations during MASH progression.

Applications

Unspecified application

Species

Unspecified reactive species

Noble Kumar Talari,Ushodaya Mattam,Afra P Rahman,Brook K Hemmelgarn,Michael A Wyder,Pamela B Sylvestre,Kenneth D Greis,Karthickeyan Chella Krishnan

Biomedicines 13: PubMed39857594

2025

Metabolic Activity in Human Intermuscular Adipose Tissue Directs the Response of Resident PPARγ Macrophages to Fatty Acids.

Applications

Unspecified application

Species

Unspecified reactive species

Xiaoying Chen,Sebastian Ludger Schubert,Aline Müller,Miguel Pishnamaz,Frank Hildebrand,Mahtab Nourbakhsh

Open biology 15:240151 PubMed39809321

2025

Mitochondrial chaperonin DNAJC15 promotes vulnerability to ferroptosis of chemoresistant ovarian cancer cells.

Applications

Unspecified application

Species

Unspecified reactive species

Stefano Miglietta,Manuela Sollazzo,Iacopo Gherardi,Sara Milioni,Beatrice Cavina,Lorena Marchio,Monica De Luise,Camelia Alexandra Coada,Marco Fiorillo,Anna Myriam Perrone,Ivana Kurelac,Giuseppe Gasparre,Luisa Iommarini,Anna Maria Ghelli,Anna Maria Porcelli

International journal of molecular sciences 25: PubMed39409051

2024

Differential Fatty Acid Response of Resident Macrophages in Human Skeletal Muscle Fiber and Intermuscular Adipose Tissue.

Applications

Unspecified application

Species

Unspecified reactive species

Xiaoying Chen,Aline Müller,Miguel Pishnamaz,Frank Hildebrand,Leo Cornelius Bollheimer,Mahtab Nourbakhsh

Nature communications 15:7730 PubMed39231983

2024

Cannabidiol ameliorates mitochondrial disease via PPARγ activation in preclinical models.

Applications

Unspecified application

Species

Unspecified reactive species

Emma Puighermanal,Marta Luna-Sánchez,Alejandro Gella,Gunter van der Walt,Andrea Urpi,María Royo,Paula Tena-Morraja,Isabella Appiah,Maria Helena de Donato,Fabien Menardy,Patrizia Bianchi,Anna Esteve-Codina,Laura Rodríguez-Pascau,Cristina Vergara,Mercè Gómez-Pallarès,Giovanni Marsicano,Luigi Bellocchio,Marc Martinell,Elisenda Sanz,Sandra Jurado,Francesc Xavier Soriano,Pilar Pizcueta,Albert Quintana
View all publications

Abcam Product Promise

我们致力于为您的研究提供高质量的试剂,为您科研的每一步提供支持。若我们的产品未能达到预期性能,我们向您提供 Abcam Product Promise 保障。
详情请参阅我们的条款与条件。

Please note: All products are 'FOR RESEARCH USE ONLY. NOT FOR USE IN DIAGNOSTIC OR THERAPEUTIC PROCEDURES'.

For licensing inquiries, please contact partnerships@abcam.com