JavaScript is disabled in your browser. Please enable JavaScript to view this website.
AB215380

重组Anti-VCAM1抗体[EPR5047] - Low endotoxin,Azide free

Anti-VCAM1 antibody [EPR5047] - Low endotoxin, Azide free

  • BOND RX™ Validated
  • RabMAb
  • Recombinant
  • KO Validated
  • 了解详情

Be the first to review this product! Submit a review

|

(14 Publications)

Rabbit Recombinant Monoclonal VCAM1 antibody. Carrier free. Suitable for I-ELISA, IHC-P, IP, WB, ICC/IF, Flow Cyt (Intra) and reacts with Synthetic peptide, Mouse, Human, Rat samples. Cited in 14 publications.

查看别名

CD106, Vascular cell adhesion protein 1, V-CAM 1, VCAM-1, INCAM-100, VCAM1

10 Images
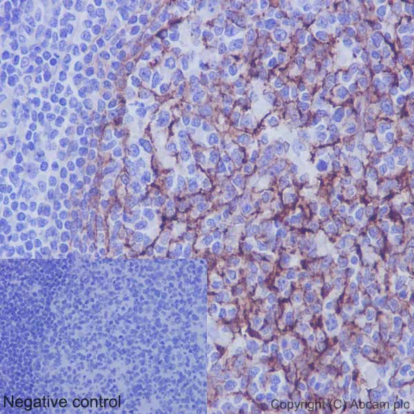
Immunohistochemistry (Formalin/PFA-fixed paraffin-embedded sections) - Anti-VCAM1 antibody [EPR5047] - Low endotoxin, Azide free (AB215380)
  • IHC-P

Lab

Immunohistochemistry (Formalin/PFA-fixed paraffin-embedded sections) - Anti-VCAM1 antibody [EPR5047] - Low endotoxin, Azide free (AB215380)

This IHC data was generated using the same anti-VCAM1 antibody clone EPR5047 in a different buffer formulation (cat# ab134047).

Immunohistochemical staining of paraffin embedded human tonsil with purified ab134047 at a dilution of 1/500. A pre-diluted HRP polymer for rabbit/mouse IgG was used as the secondary antibody and the sample was counter-stained with hematoxylin. Antigen retrieval was perfomed using Tris-EDTA buffer pH 9.0. PBS was used instead of the primary antibody as the negative control and is shown in the inset.

Immunohistochemistry (Formalin/PFA-fixed paraffin-embedded sections) - Anti-VCAM1 antibody [EPR5047] - Low endotoxin, Azide free (AB215380)
  • IHC-P

Unknown

Immunohistochemistry (Formalin/PFA-fixed paraffin-embedded sections) - Anti-VCAM1 antibody [EPR5047] - Low endotoxin, Azide free (AB215380)

This IHC data was generated using the same anti-VCAM1 antibody clone EPR5047 in a different buffer formulation (cat# ab134047).

IHC image of VCAM1 staining in Human spleen formalin fixed paraffin embedded tissue section performed on a Leica Bond system using the standard protocol F. The section was pre-treated using heat mediated antigen retrieval with sodium citrate buffer (pH6 epitope retrieval solution 1) for 20 mins. The section was then incubated with unpurified ab134047 1/200 dilution for 15 mins at room temperature and detected using an HRP conjugated compact polymer system. DAB was used as the chromogen. The section was then counterstained with haematoxylin and mounted with DPX.

For other IHC staining systems (automated and non-automated) customers should optimize variable parameters such as antigen retrieval conditions primary antibody concentration and antibody incubation times.

Immunohistochemistry (Formalin/PFA-fixed paraffin-embedded sections) - Anti-VCAM1 antibody [EPR5047] - Low endotoxin, Azide free (AB215380)
  • IHC-P

Lab

Immunohistochemistry (Formalin/PFA-fixed paraffin-embedded sections) - Anti-VCAM1 antibody [EPR5047] - Low endotoxin, Azide free (AB215380)

Immunohistochemical analysis of formalin-fixed paraffin-embedded human tonsil labelling VCAM1 with ab271899 at a concentration of 0.5µg/ml. The immunostaining was performed on a Ventana DISCOVERY ULTRA (Roche Tissue Diagnostics) instrument with an OptiView DAB IHC Detection Kit. Heat mediated antigen retrieval was conducted for 32min with ULTRA cell conditioning solution (CC1 pH8.5). ab271899 anti VCAM1 antibody was incubated at 37°C for 16min. Sections were counterstained is with Hematoxylin II. Image inset shows absence of staining in secondary antibody only control.

This data was developed using the same antibody clone in a different buffer formulation (ab271899).

Immunocytochemistry/ Immunofluorescence - Anti-VCAM1 antibody [EPR5047] - Low endotoxin, Azide free (AB215380)
  • ICC/IF

Lab

Immunocytochemistry/ Immunofluorescence - Anti-VCAM1 antibody [EPR5047] - Low endotoxin, Azide free (AB215380)

ab134047 staining VCAM1 in HUVEC cells treated with TNF-α (ab55237) at 10 ng/ml for 16 hours. The cells were fixed with 4% paraformaldehyde (10 min) then permeabilized with 0.1% Triton X-100 for 5 minutes and then blocked with 1% BSA/10% normal goat serum/0.3M glycine in 0.1% PBS-Tween for 1h. The cells were then incubated with ab134047 at 2μg/ml concentration and ab7291 (Mouse monoclonal to alpha Tubulin) at 1/1000 dilution overnight at 4°C followed by a further incubation at room temperature for 1h with a goat secondary antibody to rabbit IgG (Alexa Fluor® 488) (ab150081) at 2 μg/ml (shown in green) and a goat secondary antibody to mouse IgG (Alexa Fluor® 647) (ab150119) at 2 μg/ml (shown in red). Nuclear DNA was labelled in blue with DAPI.
Image was taken with a confocal microscope (Leica-Microsystems TCS SP8).
This data was developed using the same antibody clone in a different buffer formulation containing PBS, BSA, glycerol, and sodium azide (ab134047).

Immunocytochemistry/ Immunofluorescence - Anti-VCAM1 antibody [EPR5047] - Low endotoxin, Azide free (AB215380)
  • ICC/IF

Lab

Immunocytochemistry/ Immunofluorescence - Anti-VCAM1 antibody [EPR5047] - Low endotoxin, Azide free (AB215380)

Immunofluorescent staining of K562 cells (fixed in 4% PFA permeabilized with 0.1% Triton X 100) using purified ab134047 at a dilution of 1/250. An Alexa Fluor® 488 goat anti-rabbit antibody was used as the secondary at a dilution of 1/500 and the cells were counter stained with DAPI. The negative control is shown in the bottom right hand panel - for the negative control Alex Fluor® 594 goat anti-mouse was used at a dilution of 1/500.

This data was developed using the same antibody clone in a different buffer formulation containing PBS BSA glycerol and sodium azide (ab134047).

Flow Cytometry (Intracellular) - Anti-VCAM1 antibody [EPR5047] - Low endotoxin, Azide free (AB215380)
  • Flow Cyt (Intra)

Unknown

Flow Cytometry (Intracellular) - Anti-VCAM1 antibody [EPR5047] - Low endotoxin, Azide free (AB215380)

Intracellular Flow Cytometry analysis of K562 (human chronic myelogenous leukemia) cells labeling VCAM1 with purified ab134047 at 1/40 dilution (10ug/mL) (red). Cells were fixed with 4% paraformaldehyde and permeabilised with 90% methanol. A Goat anti rabbit IgG (Alexa Fluor®488) at 1/2000 dilution was used as the secondary antibody. Rabbit monoclonal IgG (Black) was used as the isotype control, cells without incubation with primary antibody and secondary antibody (Blue) was used as the unlabeled control.

This data was developed using the same antibody clone in a different buffer formulation containing PBS, BSA, glycerol, and sodium azide (ab134047).

Immunoprecipitation - Anti-VCAM1 antibody [EPR5047] - Low endotoxin, Azide free (AB215380)
  • IP

Supplier Data

Immunoprecipitation - Anti-VCAM1 antibody [EPR5047] - Low endotoxin, Azide free (AB215380)

VCAM1 was immunoprecipitated from Human fetal liver lysate with ab134047 at 1/110 dilution.

Western blot was performed from the immunoprecipitate using ab134047 at 1/1000 dilution.

VeriBlot for IP secondary antibody (Peroxidase conjugated),was used as secondary antibody at 1/1000 dilution.

Lane 1 : Human fetal liver lysate

Blocking and dilution buffer : 5% NFDM/TBST

Exposure time : 1 second

This data was developed using the same antibody clone in a different buffer formulation containing PBS, BSA, glycerol, and sodium azide (ab134047).

All lanes:

Immunoprecipitation - Anti-VCAM1 antibody [EPR5047] (<a href='/products/primary-antibodies/vcam1-antibody-epr5047-ab134047'>ab134047</a>)

Predicted band size: 81 kDa

false

Immunohistochemistry (Formalin/PFA-fixed paraffin-embedded sections) - Anti-VCAM1 antibody [EPR5047] - Low endotoxin, Azide free (AB215380)
  • IHC-P

Unknown

Immunohistochemistry (Formalin/PFA-fixed paraffin-embedded sections) - Anti-VCAM1 antibody [EPR5047] - Low endotoxin, Azide free (AB215380)

IHC image of VCAM1 staining in Mouse spleen formalin fixed paraffin embedded tissue section performed on a Leica BondTM system using the standard protocol B. The section was pre-treated using heat mediated antigen retrieval with sodium citrate buffer (pH6 epitope retrieval solution 1) for 20 mins. The section was then incubated with unpurified ab134047 1/200 dilution for 15 mins at room temperature. A goat anti-rabbit biotinylated secondary antibody was used to detect the primary and visualized using an HRP conjugated ABC system. DAB was used as the chromogen. The section was then counterstained with haematoxylin and mounted with DPX.

For other IHC staining systems (automated and non-automated) customers should optimize variable parameters such as antigen retrieval conditions primary antibody concentration and antibody incubation times.

This data was developed using the same antibody clone in a different buffer formulation containing PBS BSA glycerol and sodium azide (ab134047).

Western blot - Anti-VCAM1 antibody [EPR5047] - Low endotoxin, Azide free (AB215380)
  • WB

Lab

Western blot - Anti-VCAM1 antibody [EPR5047] - Low endotoxin, Azide free (AB215380)

This data was developed using the same antibody clone in a different buffer formulation (ab134047).

Lanes 1 - 6 : Merged signal (red and green). Green - ab134047 observed at 105 kDa. Red - loading control ab7291 (Mouse anti-Alpha Tubulin [DM1A]) observed at 55 kDa.

ab134047 was shown to react with VCAM1 in wild-type A549 cells in Western blot with loss of signal observed in VCAM1 knockout sample. Wild-type A549 and VCAM1 knockout cell lysates were subjected to SDS-PAGE. Membranes were blocked in 3 % milk in TBS-T (0.1 % Tween®) before incubation with ab134047 and ab7291 (Mouse anti-Alpha Tubulin [DM1A]) overnight at 4 °C at a 1 in 2000 dilution and a 1 in 20000 dilution respectively. Blots were incubated with HRP conjugated Goat anti-Rabbit (H+L) and Goat anti-Mouse IgG H&L (IRDye® 680RD) preabsorbed (ab216776) secondary antibodies at 1 in 20000 dilution for 1 h at room temperature before imaging.

All lanes:

Western blot - Anti-VCAM1 antibody [EPR5047] (<a href='/products/primary-antibodies/vcam1-antibody-epr5047-ab134047'>ab134047</a>) at 1/2000 dilution

Lane 1:

Wild-type A549 cell lysate at 30 µg

Lane 2:

Wild-type A549 TNF-a treated (10 ng/mL, 16h) cell lysate at 30 µg

Lane 2:

Western blot - Human VCAM1 knockout A549 cell line (<a href='/products/cell-lines/human-vcam1-knockout-a549-cell-line-ab273758'>ab273758</a>)

Lane 3:

VCAM1 knockout A549 cell lysate at 30 µg

Lane 4:

VCAM1 knockout A549 TNF-a treated (10 ng/mL, 16h) cell lysate at 30 µg

Lane 5:

HUVEC cell lysate at 30 µg

Lane 6:

HUVEC TNF-a treated (16 ng/mL, 16h) cell lysate at 30 µg

Predicted band size: 81 kDa

Observed band size: 105 kDa

false

Western blot - Anti-VCAM1 antibody [EPR5047] - Low endotoxin, Azide free (AB215380)
  • WB

CiteAb

Western blot - Anti-VCAM1 antibody [EPR5047] - Low endotoxin, Azide free (AB215380)

VCAM1 western blot using anti-VCAM1 antibody [EPR5047] - Low endotoxin, Azide free ab215380. Publication image and figure legend from Wu, F., Zhao, Y., et al., 2015, J Neuroinflammation, PubMed 25990934.

ab215380 was used in this publication in western blot. This may not be the same as the application(s) guaranteed by Abcam. For a full list of applications guaranteed by Abcam for ab215380 please see the product overview.

Astrocyte-derived CXCL1 and endothelial CXCR2 are essential for cerebral endothelial activation. A i.c.v. LPS injection (4 h) induced significant CXCR2 mRNA expression in WT mice. B Levels of CXCR2 protein after i.c.v. LPS injection from 4 to 24 h gradually increased compared with the control group (4 h after i.c.v. saline injection). C The expression of CXCR2 mRNA in primary brain microvascular endothelial cells, microglia, and astrocytes stimulated with either vehicle or TNF-α (100 ng/ml) was measured via real-time PCR. The results are represented as the means ± SEM of three independent experiments; *p < 0.05. D Primary endothelial cells, astrocytes, and microglia were seeded at 2 × 106 cells/well in six-well plates and were incubated overnight. The following day, the cells were stimulated with 100 ng/ml LPS or 100 ng/ml TNF-α for 12 h. Cell lysates were collected and analyzed for CXCR2 expression via Western blot. E Primary astrocytes and microglia from wild-type mice were seeded at 2 × 106 cells/well in six-well plates and were incubated overnight. The following day, the cells were stimulated with 100 ng/ml LPS or 100 ng/ml TNF-α for 12 h. Then, the conditioned supernatants and cell lysates were collected and analyzed for CXCL1 expression via ELISA. The results are represented as the means ± SEM of three independent experiments; **p < 0.01. F Astrocyte culture conditioned medium was added into primary cerebral endothelial cells from wild-type or CXCR2-/- mice, and the levels of VCAM-1 and ICAM-1 were measured via Western blot

false

不同偶联物与剂型 (7)

  • 519 FITC

    FITC Anti-VCAM1 antibody [EPR5047]

  • 578 PE

    PE Anti-VCAM1 antibody [EPR5047]

  • 660 APC

    APC Anti-VCAM1 antibody [EPR5047]

  • HRP

    HRP Anti-VCAM1 antibody [EPR5047]

  • Unconjugated

    Anti-VCAM1 antibody [EPR5047]

  • 665 Alexa Fluor® 647

    Alexa Fluor® 647 Anti-VCAM1 antibody [EPR5047]

  • Carrier free

    Anti-VCAM1 antibody [EPR5047] - BSA and Azide free

关键信息

宿主种属

Rabbit

克隆

Monoclonal

克隆号

EPR5047

亚型

IgG

不含载体蛋白

Yes

反应种属

Mouse, Rat, Human

应用

I-ELISA, WB, IHC-P, Flow Cyt (Intra), ICC/IF, IP

applications

免疫原

The exact immunogen used to generate this antibody is proprietary information.

反应性数据

{ "title": "Reactivity Data", "filters": { "stats": ["", "Species", "Dilution Info", "Notes"], "tabs": { "all-applications": {"fullname" : "All Applications", "shortname": "All Applications"}, "IELISA" : {"fullname" : "Indirect ELISA", "shortname":"I-ELISA"}, "IHCP" : {"fullname" : "Immunohistochemistry (Formalin/PFA-fixed paraffin-embedded sections)", "shortname":"IHC-P"}, "IP" : {"fullname" : "Immunoprecipitation", "shortname":"IP"}, "WB" : {"fullname" : "Western blot", "shortname":"WB"}, "ICCIF" : {"fullname" : "Immunocytochemistry/ Immunofluorescence", "shortname":"ICC/IF"}, "FlowCytIntra" : {"fullname" : "Flow Cytometry (Intracellular)", "shortname":"Flow Cyt (Intra)"} }, "product-promise": { "all": "all", "testedAndGuaranteed": "tested", "guaranteed": "expected", "predicted": "predicted", "notRecommended": "not-recommended" } }, "values": { "Human": { "IELISA-species-checked": "guaranteed", "IELISA-species-dilution-info": "", "IELISA-species-notes": "", "IHCP-species-checked": "testedAndGuaranteed", "IHCP-species-dilution-info": "", "IHCP-species-notes": "<p></p>", "IP-species-checked": "testedAndGuaranteed", "IP-species-dilution-info": "", "IP-species-notes": "<p></p>", "WB-species-checked": "testedAndGuaranteed", "WB-species-dilution-info": "", "WB-species-notes": "<p>Stimulation may be required to allow detection of the target protein due to low levels of endogenous expression in some samples. Please see images below for recommended treatment conditions and positive controls.</p>", "ICCIF-species-checked": "testedAndGuaranteed", "ICCIF-species-dilution-info": "", "ICCIF-species-notes": "<p></p>", "FlowCytIntra-species-checked": "testedAndGuaranteed", "FlowCytIntra-species-dilution-info": "", "FlowCytIntra-species-notes": "<p></p>" }, "Mouse": { "IELISA-species-checked": "guaranteed", "IELISA-species-dilution-info": "", "IELISA-species-notes": "", "IHCP-species-checked": "testedAndGuaranteed", "IHCP-species-dilution-info": "", "IHCP-species-notes": "<p></p>", "IP-species-checked": "guaranteed", "IP-species-dilution-info": "", "IP-species-notes": "", "WB-species-checked": "testedAndGuaranteed", "WB-species-dilution-info": "", "WB-species-notes": "<p>Stimulation may be required to allow detection of the target protein due to low levels of endogenous expression in some samples. Please see images below for recommended treatment conditions and positive controls.</p>", "ICCIF-species-checked": "guaranteed", "ICCIF-species-dilution-info": "", "ICCIF-species-notes": "", "FlowCytIntra-species-checked": "guaranteed", "FlowCytIntra-species-dilution-info": "", "FlowCytIntra-species-notes": "" }, "Rat": { "IELISA-species-checked": "guaranteed", "IELISA-species-dilution-info": "", "IELISA-species-notes": "", "IHCP-species-checked": "guaranteed", "IHCP-species-dilution-info": "", "IHCP-species-notes": "", "IP-species-checked": "guaranteed", "IP-species-dilution-info": "", "IP-species-notes": "", "WB-species-checked": "testedAndGuaranteed", "WB-species-dilution-info": "", "WB-species-notes": "<p>Stimulation may be required to allow detection of the target protein due to low levels of endogenous expression in some samples. Please see images below for recommended treatment conditions and positive controls.</p>", "ICCIF-species-checked": "guaranteed", "ICCIF-species-dilution-info": "", "ICCIF-species-notes": "", "FlowCytIntra-species-checked": "guaranteed", "FlowCytIntra-species-dilution-info": "", "FlowCytIntra-species-notes": "" }, "Synthetic peptide": { "IELISA-species-checked": "testedAndGuaranteed", "IELISA-species-dilution-info": "", "IELISA-species-notes": "<p></p>", "IHCP-species-checked": "notRecommended", "IHCP-species-dilution-info": "", "IHCP-species-notes": "", "IP-species-checked": "notRecommended", "IP-species-dilution-info": "", "IP-species-notes": "", "WB-species-checked": "notRecommended", "WB-species-dilution-info": "", "WB-species-notes": "", "ICCIF-species-checked": "notRecommended", "ICCIF-species-dilution-info": "", "ICCIF-species-notes": "", "FlowCytIntra-species-checked": "notRecommended", "FlowCytIntra-species-dilution-info": "", "FlowCytIntra-species-notes": "" } } }

产品详情

ab215380 is the carrier-free version of ab134047.

Patented technology
Our RabMAb® technology is a patented hybridoma-based technology for making rabbit monoclonal antibodies. For details on our patents, please refer to RabMAb® patents.

What are the advantages of a recombinant monoclonal antibody?
This product is a recombinant monoclonal antibody, which offers several advantages including:

  • - High batch-to-batch consistency and reproducibility
  • - Improved sensitivity and specificity
  • - Long-term security of supply
  • - Animal-free batch production

For more information, read more on recombinant antibodies.

Conjugation ready
Our carrier-free antibodies are typically supplied in a PBS-only formulation, purified and free of BSA, sodium azide and glycerol. This conjugation-ready format is designed for use with fluorochromes, metal isotopes, oligonucleotides, and enzymes, which makes them ideal for antibody labelling, functional and cell-based assays, flow-based assays (e.g. mass cytometry) and Multiplex Imaging applications.

Use our conjugation kits for antibody conjugates that are ready-to-use in as little as 20 minutes with 1 minute hands-on-time and 100% antibody recovery: available for fluorescent dyes, HRP, biotin and gold.

Compatibility
This product is compatible with the Maxpar® Antibody Labeling Kit from Fluidigm, without the need for antibody preparation. Maxpar® is a trademark of Fluidigm Canada Inc.

What does low endotoxin mean?
Our low endotoxin, azide-free formats have low endotoxin level (1 EU/mg, determined by the TAL assay) and are free from azide, to achieve consistent experimental results in functional assays.

性能和储存信息

形式
Liquid
纯化工艺
Affinity purification Protein A
存储溶液
pH: 7.2 - 7.4 Constituents: PBS
运输条件
Blue Ice
推荐的短期储存条件
+4°C
推荐的长期储存条件
+4°C
储存信息
Do Not Freeze

补充信息

This supplementary information is collated from multiple sources and compiled automatically.

VCAM1 also known as vascular cell adhesion molecule 1 plays an important role in mediating adhesion and signal transduction. VCAM1 has an approximate molecular mass of 110 kDa. It is expressed on the surface of endothelial cells and can be upregulated by cytokines released during inflammation. The protein serves as a ligand for the integrin VLA-4 also known as α4β1 and contributes to the adhesion of leukocytes to endothelial cells.
Biological function summary

Adhesion molecules like VCAM1 participate in immune response by recruiting leukocytes to sites of inflammation. VCAM1 helps guide immune cells to directed locations where they perform defense activities. Although VCAM1 is not part of any known large protein complex its interaction with integrins facilitates the migration of immune cells across the endothelium and into tissue.

Pathways

VCAM1 contributes significantly to the leukocyte extravasation process in inflammatory pathways. It plays a role in both the cytokine-cytokine receptor interaction pathway and the NF-kB signaling pathway which are essential for immune response and cell signaling. Through these pathways it interacts with proteins like ICAM1 and various chemokines helping to coordinate the immune cell movement through vascular tissue barriers.

Abnormal regulation of VCAM1 links to various cardiovascular diseases such as atherosclerosis and inflammatory diseases like rheumatoid arthritis. The protein levels may increase in these conditions promoting excessive immune cell recruitment and tissue damage. VCAM1 also interfaces with other proteins like ICAM1 in these pathological states which together contribute to the progression and severity of these diseases.

产品实验方案

For this product, it's our understanding that no specific protocols are required. You can visit:

靶点信息

Cell adhesion glycoprotein predominantly expressed on the surface of endothelial cells that plays an important role in immune surveillance and inflammation (PubMed : 31310649). Acts as a major regulator of leukocyte adhesion to the endothelium through interaction with different types of integrins (PubMed : 10209034). During inflammatory responses, binds ligands on the surface of activated endothelial cells to initiate the activation of calcium channels and the plasma membrane-associated small GTPase RAC1 leading to leukocyte transendothelial migration (PubMed : 22970700). Serves also as a quality-control checkpoint for entry into bone marrow by providing a 'don't-eat-me' stamping in the context of major histocompatibility complex (MHC) class-I presentation (PubMed : 35210567).
See full target information VCAM1

文献 (14)

Recent publications for all applications. Explore the full list and refine your search

Cellular and molecular life sciences : CMLS 81:254 PubMed38856931

2024

Pyruvate kinase M2 sustains cardiac mitochondrial quality surveillance in septic cardiomyopathy by regulating prohibitin 2 abundance via S91 phosphorylation.

Applications

Unspecified application

Species

Unspecified reactive species

Yingzhen Du,Jialei Li,Zhe Dai,Yuxin Chen,Yao Zhao,Xiaoman Liu,Tian Xia,Pingjun Zhu,Yijin Wang

Cancer cell 42:396-412.e5 PubMed38242124

2024

Cancer-associated fibroblast phenotypes are associated with patient outcome in non-small cell lung cancer.

Applications

Unspecified application

Species

Unspecified reactive species

Lena Cords,Stefanie Engler,Martina Haberecker,Jan Hendrik Rüschoff,Holger Moch,Natalie de Souza,Bernd Bodenmiller

Redox biology 67:102906 PubMed37812880

2023

Neutrophil extracellular traps drive intestinal microvascular endothelial ferroptosis by impairing Fundc1-dependent mitophagy.

Applications

Unspecified application

Species

Unspecified reactive species

Chengnan Chu,Xinyu Wang,Chao Yang,Fang Chen,Lin Shi,Weiqi Xu,Kai Wang,Baochen Liu,Chenyang Wang,Dongping Sun,Weiwei Ding

EMBO reports 24:e55532 PubMed36621885

2023

T cell-dependent bispecific antibodies alter organ-specific endothelial cell-T cell interaction.

Applications

Unspecified application

Species

Unspecified reactive species

Patricia Himmels,Thi Thu Thao Nguyen,Maresa Caunt Mitzner,Alfonso Arrazate,Stacey Yeung,Jeremy Burton,Robyn Clark,Klara Totpal,Raj Jesudason,Angela Yang,Margaret Solon,Jeffrey Eastham,Zora Modrusan,Joshua D Webster,Amy A Lo,Robert Piskol,Weilan Ye

Vascular pharmacology 141:106922 PubMed34592427

2021

Septic shock as a trigger of arterial stress-induced premature senescence: A new pathway involved in the post sepsis long-term cardiovascular complications.

Applications

Unspecified application

Species

Unspecified reactive species

Hamid Merdji,Mohamad Kassem,Louise Chomel,Raphaël Clere-Jehl,Julie Helms,Kei Kurihara,Ahmed Bey Chaker,Cyril Auger,Valérie Schini-Kerth,Florence Toti,Ferhat Meziani

International journal of oncology 57:249-263 PubMed32319605

2020

ADAM17-regulated CX3CL1 expression produced by bone marrow endothelial cells promotes spinal metastasis from hepatocellular carcinoma.

Applications

Unspecified application

Species

Unspecified reactive species

Chi Sun,Annan Hu,Shengxing Wang,Bo Tian,Libo Jiang,Yun Liang,Houlei Wang,Jian Dong

Biochemical pharmacology 173:113734 PubMed31811867

2019

Ageing enhances the shedding of splenocyte microvesicles with endothelial pro-senescent effect that is prevented by a short-term intake of omega-3 PUFA EPA:DHA 6:1.

Applications

Unspecified application

Species

Unspecified reactive species

A W Qureshi,R Altamimy,A El Habhab,H El Itawi,M A Farooq,F Zobairi,H Hasan,L Amoura,M Kassem,C Auger,V Schini-Kerth,F Toti

Molecular medicine reports 16:396-402 PubMed28498446

2017

Synergistic protective effect of FTY720 and vitamin E against simulated cerebral ischemia in vitro.

Applications

Unspecified application

Species

Unspecified reactive species

Xin Pang,Xuening Hou

Journal of neuroinflammation 12:98 PubMed25990934

2015

CXCR2 is essential for cerebral endothelial activation and leukocyte recruitment during neuroinflammation.

Applications

WB

Species

Mouse

Fengjiao Wu,Yawei Zhao,Tian Jiao,Dongyan Shi,Xingxing Zhu,Mingshun Zhang,Meiqing Shi,Hong Zhou

The Journal of cell biology 208:975-86 PubMed25800053

2015

Intramembrane binding of VE-cadherin to VEGFR2 and VEGFR3 assembles the endothelial mechanosensory complex.

Applications

Unspecified application

Species

Unspecified reactive species

Brian G Coon,Nicolas Baeyens,Jinah Han,Madhusudhan Budatha,Tyler D Ross,Jennifer S Fang,Sanguk Yun,Jeon-Leon Thomas,Martin A Schwartz
View all publications

Abcam Product Promise

我们致力于为您的研究提供高质量的试剂,为您科研的每一步提供支持。若我们的产品未能达到预期性能,我们向您提供 Abcam Product Promise 保障。
详情请参阅我们的条款与条件。

Please note: All products are 'FOR RESEARCH USE ONLY. NOT FOR USE IN DIAGNOSTIC OR THERAPEUTIC PROCEDURES'.

For licensing inquiries, please contact partnerships@abcam.com