JavaScript is disabled in your browser. Please enable JavaScript to view this website.
AB312855

重组Anti-Vaccinia Virus抗体[EPR28236-80] - BSA and Azide free

Anti-Vaccinia Virus antibody [EPR28236-80] - BSA and Azide free

Be the first to review this product! Submit a review

|

(0 Publication)

Rabbit Recombinant Monoclonal PG147 antibody. Carrier free. Suitable for IHC-P, Flow Cyt (Intra), WB, ICC/IF, IP, I-ELISA and reacts with Vaccinia virus, Transfected cell line - Vaccinia virus, Transfected cell lysate - Vaccinia virus, Recombinant fragment - Vaccinia virus samples.

查看别名

VACWR140, A21L, OPG147, Virion membrane protein OPG147

9 Images
Immunocytochemistry/ Immunofluorescence - Anti-Vaccinia Virus antibody [EPR28236-80] - BSA and Azide free (AB312855)
  • ICC/IF

Supplier Data

Immunocytochemistry/ Immunofluorescence - Anti-Vaccinia Virus antibody [EPR28236-80] - BSA and Azide free (AB312855)

This data was developed using ab312854, the same antibody clone in a different buffer formulation. Immunofluorescent analysis of 4% Paraformaldehyde-fixed, 0.1% TritonX-100 permeabilized 293T (human embryonic kidney epithelial cell) cells labelling Vaccinia Virus with ab312854 at 1/50 (10.28 ug/ml) dilution, followed by ab150081 Goat Anti-Rabbit IgG H&L (Alexa Fluor® 488) preadsorbed antibody at 1/1000 2 ug/ml dilution (Green). Confocal image showing positive staining in 293T cells transfected with a Virion membrane protein A21 expression vector containing a GFP-tag. Image was taken with a confocal microscope(Leica-Microsystems, TCS SP8). The Nuclear counterstain was DAPI (Blue). Secondary antibody only control : Secondary antibody is ab150081 Goat Anti-Rabbit IgG H&L (Alexa Fluor® 488) preadsorbed at 1/1000 2 ug/ml dilution.

Immunohistochemistry (Formalin/PFA-fixed paraffin-embedded sections) - Anti-Vaccinia Virus antibody [EPR28236-80] - BSA and Azide free (AB312855)
  • IHC-P

Supplier Data

Immunohistochemistry (Formalin/PFA-fixed paraffin-embedded sections) - Anti-Vaccinia Virus antibody [EPR28236-80] - BSA and Azide free (AB312855)

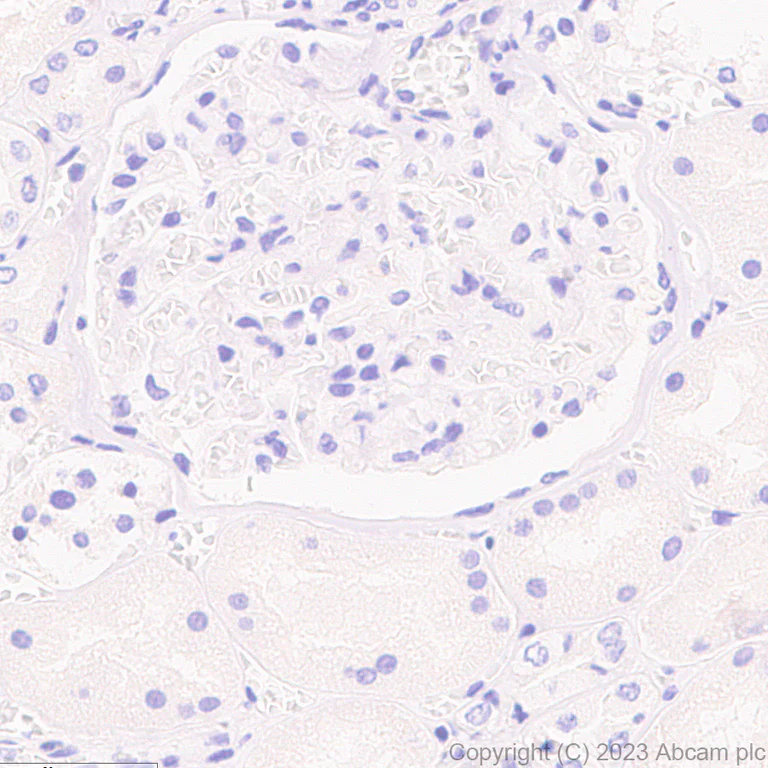
This data was developed using ab312854, the same antibody clone in a different buffer formulation. Immunohistochemical analysis of paraffin-embedded Rat kidney tissue labelling Vaccinia Virus with ab312854 at 1/100 (5.14 ug/ml) followed by a ready to use LeicaDS9800 (Bond™ Polymer Refine Detection). Negative control : No staining on rat kidney. The section was incubated with ab312854 for 30 mins at room temperature. The immunostaining was performed on a Leica Biosystems BOND® RX instrument. Counterstained with Hematoxylin. Secondary antibody only control : Secondary antibody is a ready to use LeicaDS9800 (Bond™ Polymer Refine Detection). Heat mediated antigen retrieval was performed with Tris-EDTA buffer (pH 9.0, Epitope Retrieval Solution2) for 20 mins.

Immunohistochemistry (Formalin/PFA-fixed paraffin-embedded sections) - Anti-Vaccinia Virus antibody [EPR28236-80] - BSA and Azide free (AB312855)
  • IHC-P

Supplier Data

Immunohistochemistry (Formalin/PFA-fixed paraffin-embedded sections) - Anti-Vaccinia Virus antibody [EPR28236-80] - BSA and Azide free (AB312855)

This data was developed using ab312854, the same antibody clone in a different buffer formulation. Immunohistochemical analysis of paraffin-embedded Mouse kidney tissue labelling Vaccinia Virus with ab312854 at 1/100 (5.14 ug/ml) followed by a ready to use LeicaDS9800 (Bond™ Polymer Refine Detection). Negative control : No staining on mouse kidney. The section was incubated with ab312854 for 30 mins at room temperature. The immunostaining was performed on a Leica Biosystems BOND® RX instrument Counterstained with Hematoxylin. Secondary antibody only control : Secondary antibody is a ready to use LeicaDS9800 (Bond™ Polymer Refine Detection). Heat mediated antigen retrieval was performed with Tris-EDTA buffer (pH 9.0, Epitope Retrieval Solution2) for 20 mins.

Immunohistochemistry (Formalin/PFA-fixed paraffin-embedded sections) - Anti-Vaccinia Virus antibody [EPR28236-80] - BSA and Azide free (AB312855)
  • IHC-P

Supplier Data

Immunohistochemistry (Formalin/PFA-fixed paraffin-embedded sections) - Anti-Vaccinia Virus antibody [EPR28236-80] - BSA and Azide free (AB312855)

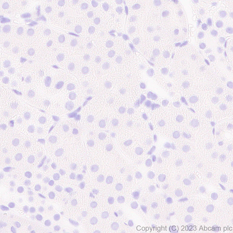
This data was developed using ab312854, the same antibody clone in a different buffer formulation. Immunohistochemical analysis of paraffin-embedded (A) HEK-293T (human tissue labelling Vaccinia Virus with ab312854 at 1/100 (5.14 ug/ml) followed by a ready to use LeicaDS9800 (Bond™ Polymer Refine Detection). Cytoplasmic staining on (A) HEK-293T transfected with a Virion membrane protein A21 expression vector containing a GFP-tag cell pellet; no staining on (B) HEK-293T transfected with an empty vector containing a GFP-tag cell pellet. The section was incubated with ab312854 for 30 mins at room temperature. The immunostaining was performed on a Leica Biosystems BOND® RX instrument. Counterstained with Hematoxylin. Secondary antibody only control : Secondary antibody is a ready to use LeicaDS9800 (Bond™ Polymer Refine Detection). Heat mediated antigen retrieval was performed with Tris-EDTA buffer (pH 9.0, Epitope Retrieval Solution2) for 20 mins.

Immunohistochemistry (Formalin/PFA-fixed paraffin-embedded sections) - Anti-Vaccinia Virus antibody [EPR28236-80] - BSA and Azide free (AB312855)
  • IHC-P

Supplier Data

Immunohistochemistry (Formalin/PFA-fixed paraffin-embedded sections) - Anti-Vaccinia Virus antibody [EPR28236-80] - BSA and Azide free (AB312855)

This data was developed using ab312854, the same antibody clone in a different buffer formulation. Immunohistochemical analysis of paraffin-embedded Human kidney tissue labelling Vaccinia Virus with ab312854 at 1/100 (5.14 ug/ml) followed by a ready to use LeicaDS9800 (Bond™ Polymer Refine Detection). Negative control : No staining on human kidney. The section was incubated with ab312854 for 30 mins at room temperature. The immunostaining was performed on a Leica Biosystems BOND® RX instrument. Counterstained with Hematoxylin. Secondary antibody only control : Secondary antibody is a ready to use LeicaDS9800 (Bond™ Polymer Refine Detection). Heat mediated antigen retrieval was performed with Tris-EDTA buffer (pH 9.0, Epitope Retrieval Solution2) for 20 mins.

Flow Cytometry (Intracellular) - Anti-Vaccinia Virus antibody [EPR28236-80] - BSA and Azide free (AB312855)
  • Flow Cyt (Intra)

Supplier Data

Flow Cytometry (Intracellular) - Anti-Vaccinia Virus antibody [EPR28236-80] - BSA and Azide free (AB312855)

This data was developed using ab312854, the same antibody clone in a different buffer formulation. Flow cytometric analysis of 4% paraformaldehyde fixed 90% methanol permeabilized Isotype (Left) / HEK-293T (human embryonic kidney epithelial cell) transfected with a Virion membrane protein A21 expression vector containing a GFP-tag (middle) / HEK-293T cells transfected with a empty expression vector containing a GFP-tag (Right) cells labelling Vaccinia Virus with ab312854 at 1/500 dilution (0.1 ug)/ Middle and Right (Red) compared with a Rabbit monoclonal IgG (ab172730) / Left isotype control and an unlabelled control (cells without incubation with primary antibody and secondary antibody) (Blue). A Goat anti-Rabbit IgG (Alexa Fluor® 647, ab150083) at 1/5000 dilution was used as the secondary antibody.

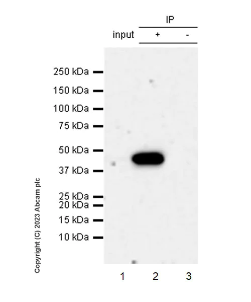
Immunoprecipitation - Anti-Vaccinia Virus antibody [EPR28236-80] - BSA and Azide free (AB312855)
  • IP

Supplier Data

Immunoprecipitation - Anti-Vaccinia Virus antibody [EPR28236-80] - BSA and Azide free (AB312855)

This data was developed using ab312854, the same antibody clone in a different buffer formulation. Vaccinia Virus was immunoprecipitated from 0.35 mg 293T transfected with a Virion membrane protein A21 expression vector containing a GFP tag whole cell lysate with ab312854 at 1/30 dilution (2ug in 0.35mg lysates). Western blot was performed on the immunoprecipitate using ab312854 at 1/1000 dilution. VeriBlot for IP secondary antibody(HRP)(ab131366) was used at 1/5000 dilution. Lane 1 : 293T transfected with a Virion membrane protein A21 expression vector containing a GFP tag whole cell lysate Lane 2 : 293T transfected with a Virion membrane protein A21 expression vector containing a GFP tag whole cell lysate Lane 3 : Rabbit monoclonal IgG (ab172730) instead of ab312854 in 293T transfected with a Virion membrane protein A21 vector containing a GFP tag whole cell lysate Blocking and dilution buffer and concentration : 5% NFDM/TBST. Exposure time : 58 seconds

All lanes:

Immunoprecipitation - Anti-Vaccinia Virus antibody [EPR28236-80] (<a href='/products/primary-antibodies/vaccinia-virus-antibody-epr28236-80-ab312854'>ab312854</a>) at 1/30 dilution

All lanes:

293T transfected with a Virion membrane protein A21 expression vector containing a GFP tag whole cell lysate at 1 µg

Secondary

All lanes:

Immunoprecipitation - VeriBlot for IP Detection Reagent (HRP) (<a href='/products/reagents/veriblot-for-ip-detection-reagent-hrp-ab131366'>ab131366</a>) at 1/5000 dilution

false

Exposure time: 58s

Indirect ELISA - Anti-Vaccinia Virus antibody [EPR28236-80] - BSA and Azide free (AB312855)
  • I-ELISA

Supplier Data

Indirect ELISA - Anti-Vaccinia Virus antibody [EPR28236-80] - BSA and Azide free (AB312855)

This data was developed using ab312854, the same antibody clone in a different buffer formulation. Indirect ELISA analysis of abab312854 at 1000-0 ng/ml. The Secondary antibody used was Alkaline Phosphatase-conjugated AffiniPure Goat Anti-Rabbit IgG (H+L) at 1 : 2500 dilution. Antigen : Virion membrane protein A21. Antigen concentration : 1000 ng/ml

Western blot - Anti-Vaccinia Virus antibody [EPR28236-80] - BSA and Azide free (AB312855)
  • WB

Supplier Data

Western blot - Anti-Vaccinia Virus antibody [EPR28236-80] - BSA and Azide free (AB312855)

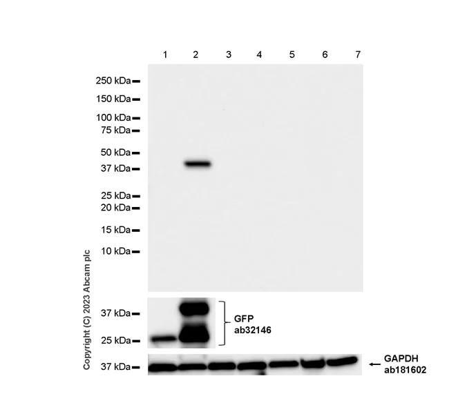
This data was developed using ab312854, the same antibody clone in a different buffer formulation. Blocking and diluting buffer and concentration : 5% NFDM/TBST In Western blot, anti-GAPDH antibody (ab181602) loading control staining at 1/200000 dilution. Anti-GFP tag antibody (ab32146) staining at 1/1000 dilution. Exposure time : 10 seconds

All lanes:

Western blot - Anti-Vaccinia Virus antibody [EPR28236-80] (<a href='/products/primary-antibodies/vaccinia-virus-antibody-epr28236-80-ab312854'>ab312854</a>) at 1/1000 dilution

Lane 1:

293T cells transfected with an empty vector containi a GFP tag whole cell lysate at 20 µg

Lane 2:

293T transfected with a Virion membrane protein A21 expression vector containi a GFP tag whole cell lysate at 20 µg

Lane 3:

HeLa (human cervical adenocarcinoma epithelial cell) whole cell lysate at 20 µg

Lane 4:

NIH/3T3 (mouse embryonic fibroblast) whole cell lysate at 20 µg

Lane 5:

Human kidney tissue lysate at 20 µg

Lane 6:

Mouse kidney tissue lysate at 20 µg

Lane 7:

Rat kidney tissue lysate at 20 µg

Secondary

All lanes:

Western blot - Goat Anti-Rabbit IgG H&L (HRP) (<a href='/products/secondary-antibodies/goat-rabbit-igg-h-l-hrp-ab97051'>ab97051</a>) at 1/100000 dilution

Observed band size: 46 kDa

false

Exposure time: 10s

关键信息

宿主种属

Rabbit

克隆

Monoclonal

克隆号

EPR28236-80

亚型

IgG

不含载体蛋白

Yes

反应种属

Vaccinia virus

应用

I-ELISA, WB, IP, Flow Cyt (Intra), ICC/IF, IHC-P

applications

免疫原

The exact immunogen used to generate this antibody is proprietary information.

反应性数据

{ "title": "Reactivity Data", "filters": { "stats": ["", "Species", "Dilution Info", "Notes"], "tabs": { "all-applications": {"fullname" : "All Applications", "shortname": "All Applications"}, "IHCP" : {"fullname" : "Immunohistochemistry (Formalin/PFA-fixed paraffin-embedded sections)", "shortname":"IHC-P"}, "FlowCytIntra" : {"fullname" : "Flow Cytometry (Intracellular)", "shortname":"Flow Cyt (Intra)"}, "WB" : {"fullname" : "Western blot", "shortname":"WB"}, "ICCIF" : {"fullname" : "Immunocytochemistry/ Immunofluorescence", "shortname":"ICC/IF"}, "IP" : {"fullname" : "Immunoprecipitation", "shortname":"IP"}, "IELISA" : {"fullname" : "Indirect ELISA", "shortname":"I-ELISA"} }, "product-promise": { "all": "all", "testedAndGuaranteed": "tested", "guaranteed": "expected", "predicted": "predicted", "notRecommended": "not-recommended" } }, "values": { "Recombinant fragment - Vaccinia virus": { "IHCP-species-checked": "notRecommended", "IHCP-species-dilution-info": "", "IHCP-species-notes": "", "FlowCytIntra-species-checked": "notRecommended", "FlowCytIntra-species-dilution-info": "", "FlowCytIntra-species-notes": "", "WB-species-checked": "notRecommended", "WB-species-dilution-info": "", "WB-species-notes": "", "ICCIF-species-checked": "notRecommended", "ICCIF-species-dilution-info": "", "ICCIF-species-notes": "", "IP-species-checked": "notRecommended", "IP-species-dilution-info": "", "IP-species-notes": "", "IELISA-species-checked": "testedAndGuaranteed", "IELISA-species-dilution-info": "", "IELISA-species-notes": "<p></p>" }, "Transfected cell line - Vaccinia virus": { "IHCP-species-checked": "testedAndGuaranteed", "IHCP-species-dilution-info": "", "IHCP-species-notes": "<p></p> Perform heat-mediated antigen retrieval with Tris/EDTA buffer pH 9.0 before commencing with IHC staining protocol.", "FlowCytIntra-species-checked": "testedAndGuaranteed", "FlowCytIntra-species-dilution-info": "", "FlowCytIntra-species-notes": "<p></p>", "WB-species-checked": "notRecommended", "WB-species-dilution-info": "", "WB-species-notes": "", "ICCIF-species-checked": "testedAndGuaranteed", "ICCIF-species-dilution-info": "", "ICCIF-species-notes": "<p></p>", "IP-species-checked": "notRecommended", "IP-species-dilution-info": "", "IP-species-notes": "", "IELISA-species-checked": "notRecommended", "IELISA-species-dilution-info": "", "IELISA-species-notes": "" }, "Transfected cell lysate - Vaccinia virus": { "IHCP-species-checked": "notRecommended", "IHCP-species-dilution-info": "", "IHCP-species-notes": "", "FlowCytIntra-species-checked": "notRecommended", "FlowCytIntra-species-dilution-info": "", "FlowCytIntra-species-notes": "", "WB-species-checked": "testedAndGuaranteed", "WB-species-dilution-info": "", "WB-species-notes": "<p></p>", "ICCIF-species-checked": "notRecommended", "ICCIF-species-dilution-info": "", "ICCIF-species-notes": "", "IP-species-checked": "testedAndGuaranteed", "IP-species-dilution-info": "", "IP-species-notes": "<p></p>", "IELISA-species-checked": "notRecommended", "IELISA-species-dilution-info": "", "IELISA-species-notes": "" }, "Vaccinia virus": { "IHCP-species-checked": "testedAndGuaranteed", "IHCP-species-dilution-info": "", "IHCP-species-notes": "<p></p>", "FlowCytIntra-species-checked": "testedAndGuaranteed", "FlowCytIntra-species-dilution-info": "", "FlowCytIntra-species-notes": "<p></p>", "WB-species-checked": "testedAndGuaranteed", "WB-species-dilution-info": "", "WB-species-notes": "<p></p>", "ICCIF-species-checked": "testedAndGuaranteed", "ICCIF-species-dilution-info": "", "ICCIF-species-notes": "<p></p>", "IP-species-checked": "testedAndGuaranteed", "IP-species-dilution-info": "", "IP-species-notes": "<p></p>", "IELISA-species-checked": "guaranteed", "IELISA-species-dilution-info": "", "IELISA-species-notes": "" } } }

产品详情

性能和储存信息

形式
Liquid
纯化工艺
Affinity purification Protein A
存储溶液
pH: 7.2 - 7.4 Constituents: 100% PBS
运输条件
Blue Ice
推荐的短期储存条件
+4°C
推荐的长期储存条件
+4°C

产品实验方案

For this product, it's our understanding that no specific protocols are required. You can visit:

靶点信息

Envelope protein part of the entry-fusion complex responsible for the virus membrane fusion with host cell membrane during virus entry. Also plays a role in cell-cell fusion (syncytium formation).
See full target information OPG147

Abcam Product Promise

我们致力于为您的研究提供高质量的试剂,为您科研的每一步提供支持。若我们的产品未能达到预期性能,我们向您提供 Abcam Product Promise 保障。
详情请参阅我们的条款与条件。

关联产品

Select an associated product type
Alternative Version
Primary Antibodies

AB312854

Anti-Vaccinia Virus antibody [EPR28236-80]

primary-antibodies

vaccinia-virus-antibody-epr28236-80-ab312854

0

(0 reviews)

Please note: All products are 'FOR RESEARCH USE ONLY. NOT FOR USE IN DIAGNOSTIC OR THERAPEUTIC PROCEDURES'.

For licensing inquiries, please contact partnerships@abcam.com