JavaScript is disabled in your browser. Please enable JavaScript to view this website.
AB181105

重组Anti-USP4抗体[EPR13846]

Anti-USP4 antibody [EPR13846]

Be the first to review this product! Submit a review

|

(5 Publications)

Rabbit Recombinant Monoclonal USP4 antibody. Suitable for WB, ICC/IF and reacts with Human samples. Cited in 5 publications.

查看别名

UNP, UNPH, USP4, Ubiquitin carboxyl-terminal hydrolase 4, Deubiquitinating enzyme 4, Ubiquitin thioesterase 4, Ubiquitin-specific-processing protease 4, Ubiquitous nuclear protein homolog

2 Images
Immunocytochemistry/ Immunofluorescence - Anti-USP4 antibody [EPR13846] (AB181105)
  • ICC/IF

Supplier Data

Immunocytochemistry/ Immunofluorescence - Anti-USP4 antibody [EPR13846] (AB181105)

Immunofluorescent staining of -20°C Acetone-fixed THP1 cells labeling USP4 using ab181105 at a 1/250 dilution followed by Goat anti rabbit IgG (Alexa Fluor® 488) secondary antibody at a 1/200 dilution and counter stained with DAPI.

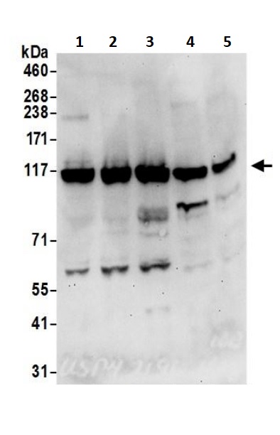
Western blot - Anti-USP4 antibody [EPR13846] (AB181105)
  • WB

Supplier Data

Western blot - Anti-USP4 antibody [EPR13846] (AB181105)

All lanes:

Western blot - Anti-USP4 antibody [EPR13846] (ab181105) at 1/1000 dilution

Lane 1:

HuT-78 cell lysate at 20 µg

Lane 2:

THP1 cell lysate at 20 µg

Secondary

All lanes:

Goat Anti-Rabbit IgG, (H+L), Peroxidase conjugated at 1/1000 dilution

Predicted band size: 109 kDa

false

关键信息

宿主种属

Rabbit

克隆

Monoclonal

克隆号

EPR13846

亚型

IgG

不含载体蛋白

No

反应种属

Human

应用

WB, ICC/IF

applications

免疫原

The exact immunogen used to generate this antibody is proprietary information.

反应性数据

{ "title": "Reactivity Data", "filters": { "stats": ["", "Species", "Dilution Info", "Notes"], "tabs": { "all-applications": {"fullname" : "All Applications", "shortname": "All Applications"}, "WB" : {"fullname" : "Western blot", "shortname":"WB"}, "ICCIF" : {"fullname" : "Immunocytochemistry/ Immunofluorescence", "shortname":"ICC/IF"} }, "product-promise": { "all": "all", "testedAndGuaranteed": "tested", "guaranteed": "expected", "predicted": "predicted", "notRecommended": "not-recommended" } }, "values": { "Human": { "WB-species-checked": "testedAndGuaranteed", "WB-species-dilution-info": "1/1000", "WB-species-notes": "<p></p>", "ICCIF-species-checked": "testedAndGuaranteed", "ICCIF-species-dilution-info": "1/250 - 1/500", "ICCIF-species-notes": "<p></p>" } } }

产品详情

Patented technology
Our RabMAb® technology is a patented hybridoma-based technology for making rabbit monoclonal antibodies. For details on our patents, please refer to RabMAb® patents.

What are the advantages of a recombinant monoclonal antibody?
This product is a recombinant monoclonal antibody, which offers several advantages including:

  • - High batch-to-batch consistency and reproducibility
  • - Improved sensitivity and specificity
  • - Long-term security of supply
  • - Animal-free batch production

For more information, read more on recombinant antibodies.

性能和储存信息

形式
Liquid
纯度
Tissue culture supernatant
存储溶液
Preservative: 0.01% Sodium azide Constituents: PBS, 40% Glycerol (glycerin, glycerine), 0.05% BSA
运输条件
Blue Ice
推荐的短期储存时间
1-2 weeks
推荐的短期储存条件
+4°C
推荐的长期储存条件
-20°C
分装信息
Upon delivery aliquot
储存信息
Avoid freeze / thaw cycle

补充信息

This supplementary information is collated from multiple sources and compiled automatically.

USP4 also known as Ubiquitin Specific Peptidase 4 is a deubiquitinating enzyme with an approximate mass of 108 kDa. It functions by removing ubiquitin from protein substrates impacting their stability and functionality. USP4 is expressed in various tissues including heart lung skeletal muscle liver and brain. Its enzymatic action is important for regulating protein turnover and preventing the degradation of proteins that require fine control.
Biological function summary

USP4 contributes to multiple cellular processes by maintaining protein homeostasis. It participates in regulation of the endoplasmic reticulum-associated degradation (ERAD) pathway and influences processes such as cellular transport and signal transduction. USP4 often functions within protein complexes that control these pathways including interactions with the spliceosome machinery which impact RNA processing and gene expression.

Pathways

USP4 plays a significant role in the TGF-beta signaling pathway and the WNT signaling pathway. It interacts with proteins such as SMAD2 SMAD3 and beta-catenin which are integral to these pathways for regulating transcriptional activity and cellular responses. Through the regulation of signaling components USP4 modulates key developmental and cellular growth processes.

USP4 has been linked to cancer and neurodegenerative diseases. Overexpression of USP4 is observed in certain cancers such as breast cancer where it affects the stability of proteins like TGF-beta receptor influencing tumor progression. In neurodegenerative diseases USP4's interaction with proteins like tau can contribute to the pathology as defects in protein clearance mechanisms play a role in disease development.

产品实验方案

For this product, it's our understanding that no specific protocols are required. You can visit:

靶点信息

Deubiquitinating enzyme that removes conjugated ubiquitin from target proteins (PubMed : 16316627, PubMed : 16339847, PubMed : 16472766, PubMed : 20595234, PubMed : 22347420, PubMed : 25404403, PubMed : 28604766, PubMed : 30514904). Deubiquitinates PDPK1 (PubMed : 22347420). Deubiquitinates TRIM21 (PubMed : 16316627). Deubiquitinates receptor ADORA2A which increases the amount of functional receptor at the cell surface (PubMed : 16339847). Deubiquitinates HAS2 (PubMed : 28604766). Deubiquitinates RHEB in response to EGF signaling, promoting mTORC1 signaling (PubMed : 30514904). May regulate mRNA splicing through deubiquitination of the U4 spliceosomal protein PRPF3 (PubMed : 20595234). This may prevent its recognition by the U5 component PRPF8 thereby destabilizing interactions within the U4/U6.U5 snRNP (PubMed : 20595234). May also play a role in the regulation of quality control in the ER (PubMed : 16339847).
See full target information USP4

文献 (5)

Recent publications for all applications. Explore the full list and refine your search

Nature aging 5:1750-1770 PubMed40903652

2025

The aging factor EPS8 induces disease-related protein aggregation through RAC signaling hyperactivation.

Applications

Unspecified application

Species

Unspecified reactive species

Seda Koyuncu,Yaiza Dominguez-Canterla,Rafael Alis,Nassima Salarzai,Dunja Petrovic,Nuria Flames,David Vilchez

Scientific reports 15:7553 PubMed40038378

2025

USP37-stabilized SALL4 promotes the keloid formation by PI3K/AKT pathway.

Applications

Unspecified application

Species

Unspecified reactive species

Shuo Fang,Zishuo Wang,Jianguo Xu,Miao Xu,Jiesong Zhou,Yuntong Zhang,Chunyu Xue

Cell cycle (Georgetown, Tex.) 22:986-1004 PubMed36762777

2023

Metformin attenuates multiple myeloma cell proliferation and encourages apoptosis by suppressing METTL3-mediated m6A methylation of THRAP3, RBM25, and USP4.

Applications

Unspecified application

Species

Unspecified reactive species

Cong-Jie Chen,Jie-Yun Huang,Jian-Qing Huang,Jia-Yi Deng,Xiao-Hui Shangguan,Ai-Zhen Chen,Long-Tian Chen,Wei-Hao Wu

Experimental cell research 396:112317 PubMed33038351

2020

Ubiquitin-specific protease 4 predicts an unfavorable prognosis and promotes malignant behaviors in vitro in pancreatic cancer.

Applications

Unspecified application

Species

Unspecified reactive species

Yizhi Wang,Li Zhou,Jun Lu,Bolun Jiang,Chengxi Liu,Zhiyong Liang,Weixun Zhou,Junchao Guo

Journal of cellular and molecular medicine 22:2944-2954 PubMed29542252

2018

Up-regulated deubiquitinase USP4 plays an oncogenic role in melanoma.

Applications

Unspecified application

Species

Unspecified reactive species

Weinan Guo,Jinyuan Ma,Tianli Pei,Tao Zhao,Sen Guo,Xiuli Yi,Yu Liu,Shiyu Wang,Guannan Zhu,Zhe Jian,Tianwen Gao,Chunying Li,Wenjun Liao,Qiong Shi
View all publications

Abcam Product Promise

我们致力于为您的研究提供高质量的试剂,为您科研的每一步提供支持。若我们的产品未能达到预期性能,我们向您提供 Abcam Product Promise 保障。
详情请参阅我们的条款与条件。

Please note: All products are 'FOR RESEARCH USE ONLY. NOT FOR USE IN DIAGNOSTIC OR THERAPEUTIC PROCEDURES'.

For licensing inquiries, please contact partnerships@abcam.com