JavaScript is disabled in your browser. Please enable JavaScript to view this website.
AB246010

Anti-USP14/TGT抗体

Anti-USP14/TGT antibody

Be the first to review this product! Submit a review

|

(2 Publications)

Rabbit Polyclonal USP14/TGT antibody. Suitable for IHC-P, IP, WB and reacts with Human, Mouse samples. Cited in 2 publications. Immunogen corresponding to Synthetic Peptide within Human USP14 aa 450 to C-terminus.

查看别名

TGT, USP14, Ubiquitin carboxyl-terminal hydrolase 14, Deubiquitinating enzyme 14, Ubiquitin thioesterase 14, Ubiquitin-specific-processing protease 14

3 Images
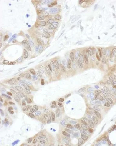
Immunohistochemistry (Formalin/PFA-fixed paraffin-embedded sections) - Anti-USP14/TGT antibody (AB246010)
  • IHC-P

Supplier Data

Immunohistochemistry (Formalin/PFA-fixed paraffin-embedded sections) - Anti-USP14/TGT antibody (AB246010)

Formalin-fixed, paraffin-embedded human ovarian carcinoma tissue stained for USP14/TGT using ab246010 at 1/1000 dilution in immunohistochemical analysis. Detection : DAB staining.

Immunoprecipitation - Anti-USP14/TGT antibody (AB246010)
  • IP

Supplier Data

Immunoprecipitation - Anti-USP14/TGT antibody (AB246010)

USP14/TGT was immunoprecipitated from HeLa (human epithelial cell line from cervix adenocarcinoma) whole cell lysate (1 mg for IP, 20% of IP loaded) with ab246010 at 3 μg/mg lysate. Western blot was performed from the immunoprecipitate using ab246010 at 1 μg/ml.

Lane 1 : ab246010 IP in HeLa whole cell lysate.
Lane 2 : Control IgG IP in HeLa whole cell lysate.

Detection : Chemiluminescence with exposure time of 30 seconds.

All lanes:

Immunoprecipitation - Anti-USP14/TGT antibody (ab246010)

Predicted band size: 56 kDa

false

Western blot - Anti-USP14/TGT antibody (AB246010)
  • WB

Supplier Data

Western blot - Anti-USP14/TGT antibody (AB246010)

All lanes:

Western blot - Anti-USP14/TGT antibody (ab246010) at 0.1 µg/mL

Lane 1:

HeLa (human epithelial cell line from cervix adenocarcinoma) whole cell lysate at 50 µg

Lane 2:

HeLa whole cell lysate at 15 µg

Lane 3:

HeLa whole cell lysate at 5 µg

Lane 4:

HEK-293T (human epithelial cell line from embryonic kidney transformed with large T antigen) whole cell lysate at 50 µg

Lane 5:

NIH/3T3 (mouse embryo fibroblast cell line) whole cell lysate at 50 µg

Predicted band size: 56 kDa

true

Exposure time: 3min

关键信息

宿主种属

Rabbit

克隆

Polyclonal

亚型

IgG

不含载体蛋白

No

反应种属

Mouse, Human

应用

IP, IHC-P, WB

applications

免疫原

Synthetic Peptide within Human USP14 aa 450 to C-terminus. The exact immunogen used to generate this antibody is proprietary information.

P54578

反应性数据

{ "title": "Reactivity Data", "filters": { "stats": ["", "Species", "Dilution Info", "Notes"], "tabs": { "all-applications": {"fullname" : "All Applications", "shortname": "All Applications"}, "IHCP" : {"fullname" : "Immunohistochemistry (Formalin/PFA-fixed paraffin-embedded sections)", "shortname":"IHC-P"}, "IP" : {"fullname" : "Immunoprecipitation", "shortname":"IP"}, "WB" : {"fullname" : "Western blot", "shortname":"WB"} }, "product-promise": { "all": "all", "testedAndGuaranteed": "tested", "guaranteed": "expected", "predicted": "predicted", "notRecommended": "not-recommended" } }, "values": { "Human": { "IHCP-species-checked": "testedAndGuaranteed", "IHCP-species-dilution-info": "1/500 - 1/2000", "IHCP-species-notes": "<p></p> Perform heat-mediated antigen retrieval with citrate buffer pH 6 before commencing with IHC staining protocol.", "IP-species-checked": "testedAndGuaranteed", "IP-species-dilution-info": "2-5 µg/mg of lysate", "IP-species-notes": "<p></p>", "WB-species-checked": "testedAndGuaranteed", "WB-species-dilution-info": "1/2000 - 1/10000", "WB-species-notes": "<p></p>" }, "Mouse": { "IHCP-species-checked": "guaranteed", "IHCP-species-dilution-info": "", "IHCP-species-notes": "", "IP-species-checked": "guaranteed", "IP-species-dilution-info": "", "IP-species-notes": "", "WB-species-checked": "testedAndGuaranteed", "WB-species-dilution-info": "1/2000 - 1/10000", "WB-species-notes": "<p></p>" }, "Cow": { "IHCP-species-checked": "predicted", "IHCP-species-dilution-info": "", "IHCP-species-notes": "", "IP-species-checked": "predicted", "IP-species-dilution-info": "", "IP-species-notes": "", "WB-species-checked": "predicted", "WB-species-dilution-info": "", "WB-species-notes": "" } } }

性能和储存信息

形式
Liquid
纯化工艺
Affinity purification Immunogen
纯化说明
ab246010 was affinity purified using an epitope specific to USP14/TGT immobilized on solid support.
存储溶液
pH: 7 - 8 Preservative: 0.09% Sodium azide Constituents: Tris citrate/phosphate
运输条件
Blue Ice
推荐的短期储存时间
1-2 weeks
推荐的短期储存条件
+4°C
推荐的长期储存条件
+4°C
分装信息
Upon delivery aliquot
储存信息
Avoid freeze / thaw cycle

补充信息

This supplementary information is collated from multiple sources and compiled automatically.

USP14 also known as Ubiquitin Specific Peptidase 14 is a deubiquitinating enzyme that plays a mechanical role in the ubiquitin-proteasome system. This enzyme has a molecular mass around 56 kDa and is essential for proteasome-mediated degradation activities. It is broadly expressed across many tissues but shows significant presence in the nervous system. Often people refer to USP14 as TGT in the context of certain studies or databases.
Biological function summary

USP14 functions in regulating protein turnover by removing ubiquitin from substrate proteins impacting their stability and degradation. USP14 is part of a larger protein complex associated with the proteasome specifically binding to the 19S regulatory particle. It is important in maintaining cellular protein homeostasis by editing ubiquitin chains on target proteins prior to degradation.

Pathways

USP14 participates in ubiquitin-proteasome pathways and ER-associated degradation pathway. In these processes it works closely with other proteasome proteins such as Rpn11 which also removes ubiquitin from proteins. The regulation of these pathways by USP14 directly affects protein quality control in cells influencing processes like cell cycle and stress response.

USP14 has associations with neurodegenerative diseases such as Alzheimer's and Parkinson’s. It affects disease progression by modulating levels of proteins that aggregate in these conditions. Connections between USP14 and proteins such as tau and α-synuclein highlight its contribution to the pathological features seen in these disorders. Further research into USP14's role may help to uncover new therapeutic strategies for these diseases.

产品实验方案

For this product, it's our understanding that no specific protocols are required. You can visit:

靶点信息

Proteasome-associated deubiquitinase which releases ubiquitin from the proteasome targeted ubiquitinated proteins (PubMed : 35145029). Ensures the regeneration of ubiquitin at the proteasome (PubMed : 18162577, PubMed : 28396413). Is a reversibly associated subunit of the proteasome and a large fraction of proteasome-free protein exists within the cell (PubMed : 18162577). Required for the degradation of the chemokine receptor CXCR4 which is critical for CXCL12-induced cell chemotaxis (PubMed : 19106094). Serves also as a physiological inhibitor of endoplasmic reticulum-associated degradation (ERAD) under the non-stressed condition by inhibiting the degradation of unfolded endoplasmic reticulum proteins via interaction with ERN1 (PubMed : 19135427). Indispensable for synaptic development and function at neuromuscular junctions (NMJs) (By similarity). Plays a role in the innate immune defense against viruses by stabilizing the viral DNA sensor CGAS and thus inhibiting its autophagic degradation (PubMed : 27666593). Inhibits OPTN-mediated selective autophagic degradation of KDM4D and thereby negatively regulates H3K9me2 and H3K9me3 (PubMed : 35145029).
See full target information USP14

文献 (2)

Recent publications for all applications. Explore the full list and refine your search

Environmental toxicology 39:1989-2005 PubMed38088504

2023

OTU deubiquitinase 7B facilitates the hyperthermia-induced inhibition of lung cancer progression through enhancing Smac-mediated mitochondrial dysfunction.

Applications

Unspecified application

Species

Unspecified reactive species

Chao Sun,Jun Bai,Jingying Sun,Yang Sun,Fan Zhang,He Li,Ying Liu,Lian Meng,Xifang Wang

Journal of tissue engineering and regenerative medicine 16:515-529 PubMed35278347

2022

Transposon-mediated glial cell line-derived neurotrophic factor overexpression in human adipose tissue-derived mesenchymal stromal cells: A potential approach for neuroregenerative medicine?

Applications

Unspecified application

Species

Unspecified reactive species

Justyna Rasińska,Charlotte Klein,Laura Stahn,Felix Maidhof,Anna Pfeffer,Stefanie Schreyer,Manfred Gossen,Andreas Kurtz,Barbara Steiner,Shabnam Hemmati-Sadeghi
View all publications

Abcam Product Promise

我们致力于为您的研究提供高质量的试剂,为您科研的每一步提供支持。若我们的产品未能达到预期性能,我们向您提供 Abcam Product Promise 保障。
详情请参阅我们的条款与条件。

Please note: All products are 'FOR RESEARCH USE ONLY. NOT FOR USE IN DIAGNOSTIC OR THERAPEUTIC PROCEDURES'.

For licensing inquiries, please contact partnerships@abcam.com