JavaScript is disabled in your browser. Please enable JavaScript to view this website.
AB270402

重组Anti-UNQ511抗体[EPR23557-128] - BSA and Azide free

Anti-UNQ511 antibody [EPR23557-128] - BSA and Azide free

Be the first to review this product! Submit a review

|

(0 Publication)

Rabbit Recombinant Monoclonal UNQ511 antibody. Carrier free. Suitable for WB, IHC-P and reacts with Human samples.

查看别名

UNQ511/PRO1026, LYPD8, Ly6/PLAUR domain-containing protein 8

2 Images
Immunohistochemistry (Formalin/PFA-fixed paraffin-embedded sections) - Anti-UNQ511 antibody [EPR23557-128] - BSA and Azide free (AB270402)
  • IHC-P

Lab

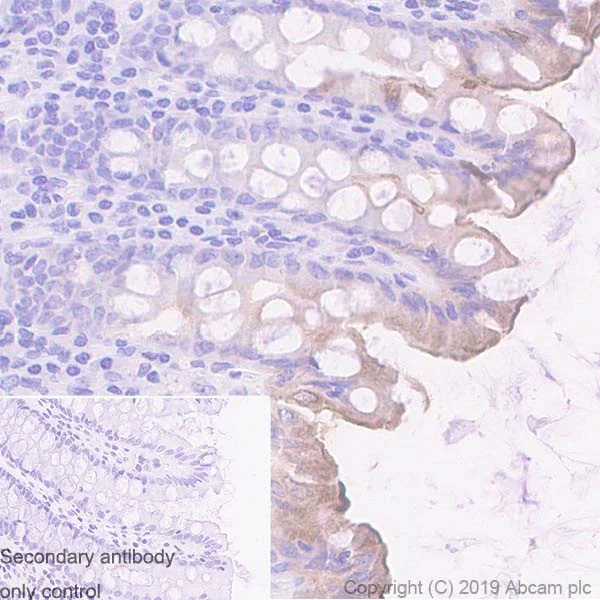
Immunohistochemistry (Formalin/PFA-fixed paraffin-embedded sections) - Anti-UNQ511 antibody [EPR23557-128] - BSA and Azide free (AB270402)

Immunohistochemical analysis of paraffin-embedded Human colon tissue labeling UNQ511 with ab270397 at 1/250 dilution followed by a ready to use Goat Anti-Rabbit IgG H&L (HRP). Positive staining in apical surface of epithelial cells of human colon (PMID : 27027293) is observed. Counterstained with Hematoxylin

Secondary antibody only control : Used PBS instead of primary antibody, secondary antibody is a ready to use Goat Anti-Rabbit IgG H&L (HRP).

This data was developed using the same antibody clone in a different buffer formulation containing PBS, BSA, glycerol, and sodium azide (ab270397).

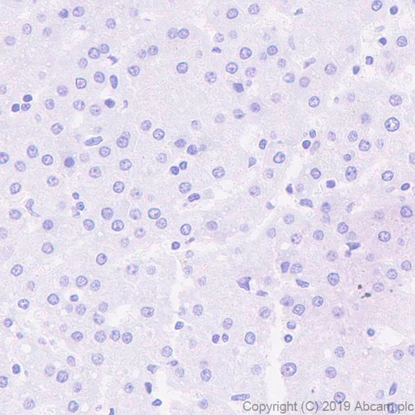
Immunohistochemistry (Formalin/PFA-fixed paraffin-embedded sections) - Anti-UNQ511 antibody [EPR23557-128] - BSA and Azide free (AB270402)
  • IHC-P

Lab

Immunohistochemistry (Formalin/PFA-fixed paraffin-embedded sections) - Anti-UNQ511 antibody [EPR23557-128] - BSA and Azide free (AB270402)

Immunohistochemical analysis of paraffin-embedded Human liver tissue labeling UNQ511 with ab270397 at 1/250 dilution (2 μg/ml) followed by a ready to use Goat Anti-Rabbit IgG H&L (HRP).

Negative control : no staining in human liver (PMID : 27027293).

Counterstained with Hematoxylin. Heat mediated antigen retrieval using ab93684 (Tris/EDTA buffer, pH 9.0)

Secondary antibody only control : Used PBS instead of primary antibody, secondary antibody is a ready to use Goat Anti-Rabbit IgG H&L (HRP).

This data was developed using the same antibody clone in a different buffer formulation containing PBS, BSA, glycerol, and sodium azide (ab270397).

不同偶联物与剂型 (1)

关键信息

宿主种属

Rabbit

克隆

Monoclonal

克隆号

EPR23557-128

亚型

IgG

不含载体蛋白

Yes

反应种属

Human

应用

WB, IHC-P

applications

免疫原

The exact immunogen used to generate this antibody is proprietary information.

反应性数据

{ "title": "Reactivity Data", "filters": { "stats": ["", "Species", "Dilution Info", "Notes"], "tabs": { "all-applications": {"fullname" : "All Applications", "shortname": "All Applications"}, "WB" : {"fullname" : "Western blot", "shortname":"WB"}, "IHCP" : {"fullname" : "Immunohistochemistry (Formalin/PFA-fixed paraffin-embedded sections)", "shortname":"IHC-P"} }, "product-promise": { "all": "all", "testedAndGuaranteed": "tested", "guaranteed": "expected", "predicted": "predicted", "notRecommended": "not-recommended" } }, "values": { "Human": { "WB-species-checked": "guaranteed", "WB-species-dilution-info": "", "WB-species-notes": "<p></p>", "IHCP-species-checked": "testedAndGuaranteed", "IHCP-species-dilution-info": "", "IHCP-species-notes": "<p></p>" }, "Mouse": { "WB-species-checked": "notRecommended", "WB-species-dilution-info": "", "WB-species-notes": "<p></p>", "IHCP-species-checked": "notRecommended", "IHCP-species-dilution-info": "", "IHCP-species-notes": "<p></p>" }, "Rat": { "WB-species-checked": "notRecommended", "WB-species-dilution-info": "", "WB-species-notes": "<p></p>", "IHCP-species-checked": "notRecommended", "IHCP-species-dilution-info": "", "IHCP-species-notes": "<p></p>" } } }

产品详情

ab270402 is the carrier-free version of ab270397.

Patented technology
Our RabMAb® technology is a patented hybridoma-based technology for making rabbit monoclonal antibodies. For details on our patents, please refer to RabMAb® patents.

What are the advantages of a recombinant monoclonal antibody?
This product is a recombinant monoclonal antibody, which offers several advantages including:

  • - High batch-to-batch consistency and reproducibility
  • - Improved sensitivity and specificity
  • - Long-term security of supply
  • - Animal-free batch production

For more information, read more on recombinant antibodies.

Conjugation ready
Our carrier-free antibodies are typically supplied in a PBS-only formulation, purified and free of BSA, sodium azide and glycerol. This conjugation-ready format is designed for use with fluorochromes, metal isotopes, oligonucleotides, and enzymes, which makes them ideal for antibody labelling, functional and cell-based assays, flow-based assays (e.g. mass cytometry) and Multiplex Imaging applications.

Use our conjugation kits for antibody conjugates that are ready-to-use in as little as 20 minutes with 1 minute hands-on-time and 100% antibody recovery: available for fluorescent dyes, HRP, biotin and gold.

Compatibility
This product is compatible with the Maxpar® Antibody Labeling Kit from Fluidigm, without the need for antibody preparation. Maxpar® is a trademark of Fluidigm Canada Inc.

性能和储存信息

形式
Liquid
纯化工艺
Affinity purification Protein A
存储溶液
pH: 7.2 - 7.4 Constituents: PBS
运输条件
Blue Ice
推荐的短期储存条件
+4°C
推荐的长期储存条件
+4°C
储存信息
Do Not Freeze

补充信息

This supplementary information is collated from multiple sources and compiled automatically.

UNQ511 also known by alternative names is a protein that actively participates in cellular signaling processes. It exhibits a molecular mass of approximately 55 kDa. Researchers observe its expression in several tissues with particular focus on tissues with high metabolic activity. Its mechanical function includes engaging in signaling pathways providing vital communication links within and between cells contributing to the regulation of cellular responses to environmental stimuli.
Biological function summary

UNQ511 contributes to cellular homeostasis and energy metabolism within the cell. It forms interactions with several other proteins suggesting that it acts as part of a protein complex. This protein complex plays an important role in maintaining energy balance and regulating cellular growth processes. The presence of UNQ511 within these complexes allows it to influence critical cellular functions necessary for maintaining healthy cell cycles.

Pathways

UNQ511 is integrated into metabolic and intracellular signaling pathways. It closely interacts within the AMP-activated protein kinase (AMPK) pathway which is essential for cellular energy homeostasis. Additionally it associates with proteins like AMPK which links it to key cellular energy sensors indicating its role in energy regulation and metabolism. The interplay of UNQ511 within these pathways highlights its importance in energy balance and response to cellular stress.

Scientific studies associate UNQ511 with metabolic disorders and certain types of cancer. Its interaction with AMPK and other metabolic regulators ties it to metabolic syndrome a condition involving dysregulated glucose metabolism. Furthermore alterations in its expression or function may contribute to cancer progression linking it to proteins known for oncogenic pathways. Understanding its role in these diseases could lead to the development of therapeutic interventions targeting these disorders.

产品实验方案

For this product, it's our understanding that no specific protocols are required. You can visit:

靶点信息

Secreted protein specifically required to prevent invasion of Gram-negative bacteria in the inner mucus layer of the colon epithelium, a portion of the large intestine which is free of commensal microbiota. Prevents invasion of flagellated microbiota by binding to the flagellum of bacteria, such as P.mirabilis, thereby inhibiting bacterial motility in the intestinal lumen. Segregation of intestinal bacteria and epithelial cells in the colon is required to preserve intestinal homeostasis.
See full target information LYPD8

Abcam Product Promise

我们致力于为您的研究提供高质量的试剂,为您科研的每一步提供支持。若我们的产品未能达到预期性能,我们向您提供 Abcam Product Promise 保障。
详情请参阅我们的条款与条件。

Please note: All products are 'FOR RESEARCH USE ONLY. NOT FOR USE IN DIAGNOSTIC OR THERAPEUTIC PROCEDURES'.

For licensing inquiries, please contact partnerships@abcam.com