JavaScript is disabled in your browser. Please enable JavaScript to view this website.
AB89931

Anti-ULBP3抗体[MM0594-6E12]

Anti-ULBP3 antibody [MM0594-6E12]

Be the first to review this product! Submit a review

|

(4 Publications)

Mouse Monoclonal ULBP3 antibody. Suitable for IHC-P and reacts with Human samples. Cited in 4 publications. Immunogen corresponding to Recombinant Full Length Protein corresponding to Human ULBP3.

查看别名

N2DL3, RAET1N, ULBP3, UL16-binding protein 3, ALCAN-gamma, NKG2D ligand 3, Retinoic acid early transcript 1N, N2DL-3, NKG2DL3

1 Images
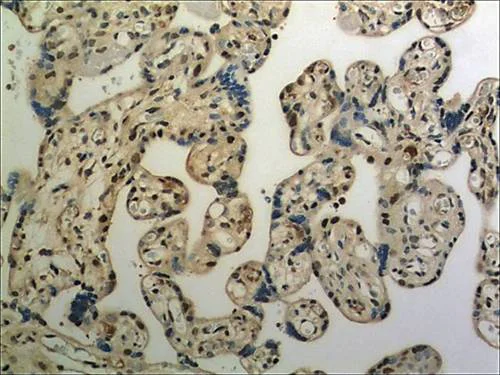
Immunohistochemistry (Formalin/PFA-fixed paraffin-embedded sections) - Anti-ULBP3 antibody [MM0594-6E12] (AB89931)
  • IHC-P

Supplier Data

Immunohistochemistry (Formalin/PFA-fixed paraffin-embedded sections) - Anti-ULBP3 antibody [MM0594-6E12] (AB89931)

Immunohistochemistry (Formalin/PFA-fixed paraffin-embedded sections) analysis of human placental tissue section (4μm) labelling ULBP3 with ab89931. Tissue was treated with 15μg/ml Protenase for antigen retrieval and fixed with 4% PFA. A HRP-conjugated anti-mouse IgG was used as the secondary antibody (30 minutes at room temperature) followed by DAB color development.

关键信息

宿主种属

Mouse

克隆

Monoclonal

克隆号

MM0594-6E12

亚型

IgG2

不含载体蛋白

No

反应种属

Human

应用

IHC-P

applications

免疫原

Recombinant Full Length Protein corresponding to Human ULBP3.

Q9BZM4

反应性数据

{ "title": "Reactivity Data", "filters": { "stats": ["", "Species", "Dilution Info", "Notes"], "tabs": { "all-applications": {"fullname" : "All Applications", "shortname": "All Applications"}, "IHCP" : {"fullname" : "Immunohistochemistry (Formalin/PFA-fixed paraffin-embedded sections)", "shortname":"IHC-P"} }, "product-promise": { "all": "all", "testedAndGuaranteed": "tested", "guaranteed": "expected", "predicted": "predicted", "notRecommended": "not-recommended" } }, "values": { "Human": { "IHCP-species-checked": "testedAndGuaranteed", "IHCP-species-dilution-info": "", "IHCP-species-notes": "<p></p>" } } }

性能和储存信息

形式
Liquid
纯化工艺
Affinity purification Protein G
纯化说明
The IgG fraction of culture supernatant was purified by Protein G affinity chromatography and filtered through a 0.2 µm filter.
存储溶液
Constituents: PBS
运输条件
Blue Ice
推荐的短期储存条件
+4°C
推荐的长期储存条件
-20°C
分装信息
Upon delivery aliquot
储存信息
Avoid freeze / thaw cycle

补充信息

This supplementary information is collated from multiple sources and compiled automatically.

ULBP3 also known as UL16 binding protein 3 plays a significant role in immune surveillance. The protein is a member of the NKG2D ligand family and has a mass of approximately 30 kDa. ULBP3 is expressed on the cell surface of many human tissues predominantly in stressed transformed or infected cells where it becomes more prominent. The expression of ULBP3 signals to immune cells especially natural killer (NK) cells and some subsets of T-cells acting as an essential point of recognition and interaction.
Biological function summary

ULBP3 interacts with the activating receptor NKG2D to initiate immune responses against tumor cells or pathogen-infected cells. The binding of ULBP3 to NKG2D forms a part of the recognition process leading to the activation of NK cells and cytotoxic T cells enhancing their ability to destroy target cells. ULBP3 operates independently and not as part of a larger ligand complex making its interactions directly important for regulating immune function across different environments and conditions aiding in the maintenance of cellular homeostasis.

Pathways

ULBP3 participates integrally in immune signaling pathways like the NKG2D receptor-mediated pathway. Within this pathway its role in signaling enhances NK cell cytotoxicity and cytokine production. ULBP3 is related to other NKG2D ligands like MICA MICB and other ULBP molecules through this immune recognition pathway collectively contributing to immune defense mechanisms. These pathways form a critical element of the broader immune surveillance mechanism in the human body.

ULBP3 has associations with various cancers and infectious diseases. Overexpression of ULBP3 has been observed in certain types of cancers such as lymphoma where it promotes recognition by the NK cells. Another area of interest is its role in viral infections where pathogens may modulate ULBP3 expression to evade the immune system. ULBP3's interaction with proteins like NKG2D is vital in modulating immune responses during these diseases highlighting its potential both as a target for therapeutic intervention and a biomarker for disease progression.

产品实验方案

For this product, it's our understanding that no specific protocols are required. You can visit:

靶点信息

Binds and activates the KLRK1/NKG2D receptor, mediating natural killer cell cytotoxicity.
See full target information ULBP3

文献 (4)

Recent publications for all applications. Explore the full list and refine your search

BMC oral health 24:1102 PubMed39289711

2024

NKG2D (Natural Killer Group 2, Member D) ligand expression and ameloblastoma recurrence: a retrospective immunohistological pilot study.

Applications

Unspecified application

Species

Unspecified reactive species

Mee-Seon Kim,Soeun Jeon,Hyeon Jeong Lee,Hyun-Su Ri,Ah-Reum Cho,Eun Ji Park,Jin Song Yeo,Jae-Han Kim,Jiyoun Lee

Advanced science (Weinheim, Baden-Wurttemberg, Germany) 10:e2202519 PubMed36683155

2023

Metabolic Reprogramming of NK Cells by Black Phosphorus Quantum Dots Potentiates Cancer Immunotherapy.

Applications

Unspecified application

Species

Unspecified reactive species

Lizhen He,Jianfu Zhao,Hongjun Li,Bin Xie,Ligeng Xu,Guanning Huang,Ting Liu,Zhen Gu,Tianfeng Chen

Oncology letters 17:388-397 PubMed30655779

2019

circRNA of AR-suppressed PABPC1 91 bp enhances the cytotoxicity of natural killer cells against hepatocellular carcinoma via upregulating UL16 binding protein 1.

Applications

Unspecified application

Species

Unspecified reactive species

Yuanming Ma,Chunjun Zhang,Bo Zhang,Haibo Yu,Qingsong Yu

BMC cancer 14:957 PubMed25510288

2014

MICA/B and ULBP1 NKG2D ligands are independent predictors of good prognosis in cervical cancer.

Applications

IHC-P

Species

Human

Hanbyoul Cho,Joon-Yong Chung,Sunghoon Kim,Till Braunschweig,Tae Heung Kang,Jennie Kim,Eun Joo Chung,Stephen M Hewitt,Jae-Hoon Kim
View all publications

Abcam Product Promise

我们致力于为您的研究提供高质量的试剂,为您科研的每一步提供支持。若我们的产品未能达到预期性能,我们向您提供 Abcam Product Promise 保障。
详情请参阅我们的条款与条件。

Please note: All products are 'FOR RESEARCH USE ONLY. NOT FOR USE IN DIAGNOSTIC OR THERAPEUTIC PROCEDURES'.

For licensing inquiries, please contact partnerships@abcam.com