JavaScript is disabled in your browser. Please enable JavaScript to view this website.
AB109305

重组Anti-UFM1抗体[EPR4264(2)]

Anti-UFM1 antibody [EPR4264(2)]

5

(4 Reviews)

|

(53 Publications)

Anti-UFM1 antibody [EPR4264(2)] (ab109305) is a rabbit monoclonal antibody detecting UFM1 in Western Blot, IP, IHC-P. Suitable for Human, Mouse, Rat.

- KO validated for confirmed specificity
- Biophysical QC for unrivalled batch-batch consistency
- Over 40 publications

查看别名

C13orf20, BM-002, UFM1, Ubiquitin-fold modifier 1

9 Images
Immunohistochemistry (Formalin/PFA-fixed paraffin-embedded sections) - Anti-UFM1 antibody [EPR4264(2)] (AB109305)
  • IHC-P

Lab

Immunohistochemistry (Formalin/PFA-fixed paraffin-embedded sections) - Anti-UFM1 antibody [EPR4264(2)] (AB109305)

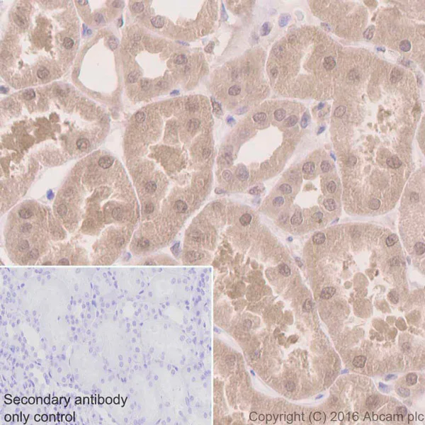
ab109305 staining UFM1 in human kidney tissue sections by Immunohistochemistry (IHC-P - paraformaldehyde-fixed, paraffin-embedded sections). Tissue was fixed with paraformaldehyde and antigen retrieval was by heat mediation in a EDTA buffer. Samples were incubated with primary antibody at a dilution of 1/1000. A goat anti-rabbit IgG H&L (HRP) ab97051 was used as the secondary antibody at a dilution of 1/500.

Negative control 1 : PBS in place of primary antibody.

Immunohistochemistry (Formalin/PFA-fixed paraffin-embedded sections) - Anti-UFM1 antibody [EPR4264(2)] (AB109305)
  • IHC-P

Lab

Immunohistochemistry (Formalin/PFA-fixed paraffin-embedded sections) - Anti-UFM1 antibody [EPR4264(2)] (AB109305)

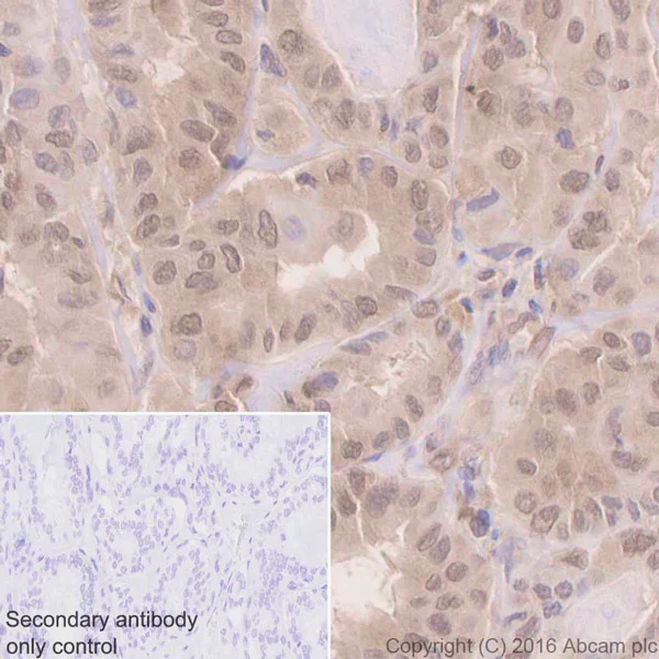
ab109305 staining UFM1 in human thyroid carcinoma tissue sections by Immunohistochemistry (IHC-P - paraformaldehyde-fixed, paraffin-embedded sections). Tissue was fixed with paraformaldehyde and antigen retrieval was by heat mediation in a EDTA buffer. Samples were incubated with primary antibody at a dilution of 1/100. A goat anti-rabbit IgG H&L (HRP) ab97051 was used as the secondary antibody at a dilution of 1/500.

Negative control 1 : PBS in place of primary antibody.

Immunohistochemistry (Formalin/PFA-fixed paraffin-embedded sections) - Anti-UFM1 antibody [EPR4264(2)] (AB109305)
  • IHC-P

Unknown

Immunohistochemistry (Formalin/PFA-fixed paraffin-embedded sections) - Anti-UFM1 antibody [EPR4264(2)] (AB109305)

Immunohistochemical analysis of paraffin-embedded Human brain tissue using ab109305 at 1/250 dilution.

Perform heat mediated antigen retrieval with citrate buffer pH 6 before commencing with IHC staining protocol.

Immunoprecipitation - Anti-UFM1 antibody [EPR4264(2)] (AB109305)
  • IP

Lab

Immunoprecipitation - Anti-UFM1 antibody [EPR4264(2)] (AB109305)

ab109305 immunoprecipitating UFM1. 10μg of cell lysate was incubated with primary antibody at a dilution of 1/20 and VeriBlot for IP Detection Reagent (HRP) (ab131366) at a dilution of 1/1000.

Lane 1 : 293 (Human embryonic kidney epithelial cell) whole cell lysate 10ug
Lane 2 : 293 (Human embryonic kidney epithelial cell) whole cell lysate
Lane 3 : Rabbit monoclonal IgG (ab172730) instead of ab109305 in 293 (Human embryonic kidney epithelial cell) whole cell lysate

All lanes:

Immunoprecipitation - Anti-UFM1 antibody [EPR4264(2)] (ab109305)

Predicted band size: 9 kDa

false

Immunohistochemistry (Formalin/PFA-fixed paraffin-embedded sections) - Anti-UFM1 antibody [EPR4264(2)] (AB109305)
  • IHC-P

Lab

Immunohistochemistry (Formalin/PFA-fixed paraffin-embedded sections) - Anti-UFM1 antibody [EPR4264(2)] (AB109305)

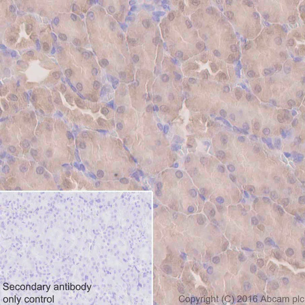
ab109305 staining UFM1 in rat kidney tissue sections by Immunohistochemistry (IHC-P - paraformaldehyde-fixed, paraffin-embedded sections). Tissue was fixed with paraformaldehyde and antigen retrieval was by heat mediation in a EDTA buffer. Samples were incubated with primary antibody at a dilution of 1/1000. A goat anti-rabbit IgG H&L (HRP) ab97051 was used as the secondary antibody at a dilution of 1/500.

Negative control 1 : PBS in place of primary antibody.

Immunohistochemistry (Formalin/PFA-fixed paraffin-embedded sections) - Anti-UFM1 antibody [EPR4264(2)] (AB109305)
  • IHC-P

Lab

Immunohistochemistry (Formalin/PFA-fixed paraffin-embedded sections) - Anti-UFM1 antibody [EPR4264(2)] (AB109305)

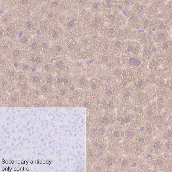
ab109305 staining UFM1 in mouse mouse liver tissue sections by Immunohistochemistry (IHC-P - paraformaldehyde-fixed, paraffin-embedded sections). Tissue was fixed with paraformaldehyde and antigen retrieval was by heat mediation in a EDTA buffer. Samples were incubated with primary antibody at a dilution of 1/100. A goat anti-rabbit IgG H&L (HRP) ab97051 was used as the secondary antibody at a dilution of 1/500.

Negative control 1 : PBS in place of primary antibody.

Western blot - Anti-UFM1 antibody [EPR4264(2)] (AB109305)
  • WB

Lab

Western blot - Anti-UFM1 antibody [EPR4264(2)] (AB109305)

Western blot : Anti-UFM1 antibody [EPR4264(2)] (ab109305) staining at 1/1000 dilution, shown in green; Mouse anti-GAPDH antibody [6C5] (ab8245) loading control staining at 1/20000 dilution, shown in magenta. In Western blot, ab109305 was shown to bind specifically to UFM1. A band was observed at 9/28 kDa in wild-type HEK-293T cell lysates with no signal observed at this size in UFM1 knockout cell line. To generate this image, wild-type and UFM1 knockout HEK-293T cell lysates were analysed. First, samples were run on an SDS-PAGE gel then transferred onto a nitrocellulose membrane. Membranes were blocked in 3 % milk in TBS-0.1 % Tween® 20 (TBS-T) before incubation with primary antibodies overnight at 4 °C. Blots were washed four times in TBS-T, incubated with secondary antibodies for 1 h at room temperature, washed again four times then imaged. Secondary antibodies used were Goat anti-Rabbit IgG H&L 800CW and Goat anti-Mouse IgG H&L 680RD at 1/20000 dilution.

All lanes:

Western blot - Anti-UFM1 antibody [EPR4264(2)] (ab109305) at 1/1000 dilution

Lane 1:

Wild-type HEK-293T cell lysate at 20 µg

Lane 2:

UFM1 knockout HEK-293T cell lysate at 20 µg

Lane 3:

U-2 OS cell lysate at 20 µg

Lane 4:

HepG2 cell lysate at 20 µg

Secondary

All lanes:

Goat anti-Rabbit IgG H&L 800CW and Goat anti-Mouse IgG H&L 680RD at 1/20000 dilution

Observed band size: 9 kDa,28 kDa

false

Western blot - Anti-UFM1 antibody [EPR4264(2)] (AB109305)
  • WB

Unknown

Western blot - Anti-UFM1 antibody [EPR4264(2)] (AB109305)

All lanes:

Western blot - Anti-UFM1 antibody [EPR4264(2)] (ab109305) at 1/1000 dilution

Lane 1:

Fetal kidney lysate at 10 µg

Lane 2:

293T cell lysate at 10 µg

Lane 3:

SH-SY5Y cell lysate at 10 µg

Lane 4:

HepG2 cell lysate at 10 µg

Predicted band size: 9 kDa

Observed band size: 9 kDa

false

Western blot - Anti-UFM1 antibody [EPR4264(2)] (AB109305)
  • WB

Lab

Western blot - Anti-UFM1 antibody [EPR4264(2)] (AB109305)

Mouse heart cell lysate Blocking and diluting buffer : 5% NFDM/TBST

The band at around 28kDa might be UFM1 conjugates [PMID : 23152784].

All lanes:

Western blot - Anti-UFM1 antibody [EPR4264(2)] (ab109305) at 1/2000 dilution

Lane 1:

SH-SY5Y (Human neuroblastoma epithelial cell) whole cell lysate at 20 µg

Lane 2:

HepG2 (Human hepatocellular carcinoma epithelial cell) whole cell lysate at 20 µg

Lane 3:

Mouse spleen cell lysate at 20 µg

Lane 4:

Mouse heart cell lysate at 20 µg

Lane 5:

Rat spleen cell lysate at 20 µg

Secondary

All lanes:

Western blot - Goat Anti-Rabbit IgG H&L (HRP) (<a href='/products/secondary-antibodies/goat-rabbit-igg-h-l-hrp-ab97051'>ab97051</a>) at 1/20000 dilution

Predicted band size: 9 kDa

Observed band size: 28 kDa,9 kDa

false

不同偶联物与剂型 (8)

  • Carrier free

    Anti-UFM1 antibody [EPR4264(2)] - BSA and Azide free

  • 665 Alexa Fluor® 647

    Alexa Fluor® 647 Anti-UFM1 antibody [EPR4264(2)]

  • 578 PE

    PE Anti-UFM1 antibody [EPR4264(2)]

  • 660 APC

    APC Anti-UFM1 antibody [EPR4264(2)]

  • 519 Alexa Fluor® 488

    Alexa Fluor® 488 Anti-UFM1 antibody [EPR4264(2)]

  • 565 Alexa Fluor® 555

    Alexa Fluor® 555 Anti-UFM1 antibody [EPR4264(2)]

  • 617 Alexa Fluor® 594

    Alexa Fluor® 594 Anti-UFM1 antibody [EPR4264(2)]

  • 775 Alexa Fluor® 750

    Alexa Fluor® 750 Anti-UFM1 antibody [EPR4264(2)]

关键信息

宿主种属

Rabbit

克隆

Monoclonal

克隆号

EPR4264(2)

亚型

IgG

不含载体蛋白

No

反应种属

Mouse, Rat, Human

应用

IHC-P, IP, WB

applications

免疫原

The exact immunogen used to generate this antibody is proprietary information.

反应性数据

{ "title": "Reactivity Data", "filters": { "stats": ["", "Species", "Dilution Info", "Notes"], "tabs": { "all-applications": {"fullname" : "All Applications", "shortname": "All Applications"}, "IHCP" : {"fullname" : "Immunohistochemistry (Formalin/PFA-fixed paraffin-embedded sections)", "shortname":"IHC-P"}, "ICCIF" : {"fullname" : "Immunocytochemistry/ Immunofluorescence", "shortname":"ICC/IF"}, "IP" : {"fullname" : "Immunoprecipitation", "shortname":"IP"}, "FlowCyt" : {"fullname" : "Flow Cytometry", "shortname":"Flow Cyt"}, "WB" : {"fullname" : "Western blot", "shortname":"WB"} }, "product-promise": { "all": "all", "testedAndGuaranteed": "tested", "guaranteed": "expected", "predicted": "predicted", "notRecommended": "not-recommended" } }, "values": { "Human": { "IHCP-species-checked": "testedAndGuaranteed", "IHCP-species-dilution-info": "1/250 - 1/1000", "IHCP-species-notes": "<p></p>", "ICCIF-species-checked": "notRecommended", "ICCIF-species-dilution-info": "", "ICCIF-species-notes": "<p></p>", "IP-species-checked": "testedAndGuaranteed", "IP-species-dilution-info": "1/10 - 1/40", "IP-species-notes": "<p></p>", "FlowCyt-species-checked": "notRecommended", "FlowCyt-species-dilution-info": "", "FlowCyt-species-notes": "<p></p>", "WB-species-checked": "testedAndGuaranteed", "WB-species-dilution-info": "1/1000 - 1/2000", "WB-species-notes": "<p></p>" }, "Mouse": { "IHCP-species-checked": "testedAndGuaranteed", "IHCP-species-dilution-info": "1/250 - 1/1000", "IHCP-species-notes": "<p></p>", "ICCIF-species-checked": "notRecommended", "ICCIF-species-dilution-info": "", "ICCIF-species-notes": "<p></p>", "IP-species-checked": "guaranteed", "IP-species-dilution-info": "", "IP-species-notes": "", "FlowCyt-species-checked": "notRecommended", "FlowCyt-species-dilution-info": "", "FlowCyt-species-notes": "<p></p>", "WB-species-checked": "testedAndGuaranteed", "WB-species-dilution-info": "1/1000 - 1/2000", "WB-species-notes": "<p></p>" }, "Rat": { "IHCP-species-checked": "testedAndGuaranteed", "IHCP-species-dilution-info": "1/250 - 1/1000", "IHCP-species-notes": "<p></p>", "ICCIF-species-checked": "notRecommended", "ICCIF-species-dilution-info": "", "ICCIF-species-notes": "<p></p>", "IP-species-checked": "guaranteed", "IP-species-dilution-info": "", "IP-species-notes": "", "FlowCyt-species-checked": "notRecommended", "FlowCyt-species-dilution-info": "", "FlowCyt-species-notes": "<p></p>", "WB-species-checked": "guaranteed", "WB-species-dilution-info": "", "WB-species-notes": "" } } }

产品详情

What is this antibody validated in?
Anti-UFM1 antibody [EPR4264(2)] (ab109305) is a rabbit recombinant monoclonal antibody and is validated for use in Western Blot (WB), Immunoprecipitation (IP), Immunohistochemistry (IHC-P) in Human, Mouse, Rat samples.

What is the molecular weight of UFM1?
Anti-UFM1 [EPR4264(2)] (ab109305) specifically detects a band for UFM1 (UniProt: P61960) at a molecular weight of 9kDa.

Trusted by the scientific community
Anti-UFM1 [EPR4264(2)] (ab109305) was first used in a scientific publication in 2011 and has been cited over 40 times in peer-reviewed journals.

Trial sizes available!
Test your antibody or perform pre-screening before committing to a larger quantity. Sold in 10µl. Discover our selection of trial-size antibodies.

Specificity confirmed
The specificity of Anti-UFM1 antibody [EPR4264(2)] (ab109305) has been confirmed by Western blot testing in UFM1 Knockout HEK293T cells.

Other related products
We have a range of other formats of antibody clone [EPR4264(2)] also available for your convenience: ab109305, Carrier free - ab232570, PE - ab318366, APC - ab318469, Alexa Fluor® 488 - ab318572, Alexa Fluor® 647 - ab318675, Alexa Fluor® 594 - ab318778, Alexa Fluor® 555 - ab318878, Alexa Fluor® 750 - ab320943

Patented technology
Our RabMAb® technology is a patented hybridoma-based technology for making rabbit monoclonal antibodies. For details on our patents, please refer to RabMAb® patents.

What are the advantages of a recombinant monoclonal antibody?
This product is a recombinant monoclonal antibody, which offers several advantages including:

  • - High batch-to-batch consistency and reproducibility
  • - Improved sensitivity and specificity
  • - Long-term security of supply
  • - Animal-free batch production

For more information, read more on recombinant antibodies.

性能和储存信息

形式
Liquid
纯化工艺
Affinity purification Protein A
存储溶液
pH: 7.2 - 7.4 Preservative: 0.01% Sodium azide Constituents: PBS, 40% Glycerol (glycerin, glycerine), 0.05% BSA
运输条件
Blue Ice
推荐的短期储存条件
+4°C
推荐的长期储存条件
-20°C
储存信息
Stable for 12 months at -20°C

补充信息

This supplementary information is collated from multiple sources and compiled automatically.

UFM1 also called ubiquitin-fold modifier 1 is a small protein modifier with a mass of approximately 9 kDa. It is part of the ubiquitin-like protein family and primarily expressed in a wide range of tissues. UFM1 is involved in a unique form of post-translational modification known as UFMylation where it conjugates to substrate proteins altering their function and stability. This process plays a role in regulating cell cycle and apoptosis among other cellular processes.
Biological function summary

UFM1 functions as a signaling molecule that influences various cellular pathways. It acts as part of a complex with other enzymes including UBA5 UFC1 and UFL1 which are important for its conjugation process. This modification system plays a role in endoplasmic reticulum (ER) stress response by affecting proteins involved in ER-associated degradation (ERAD). Its interaction with these proteins helps cells manage stress and maintain homeostasis.

Pathways

UFM1 participates in the ER stress response pathway and is also connected to the mTOR signaling pathway. Both pathways are essential for cell growth and survival. Within these pathways UFM1 interacts with proteins like mLST8 in the mTOR pathway integrating signals that coordinate cell metabolism growth and apoptosis. The precise regulation of these pathways highlights UFM1's role in maintaining cellular equilibrium.

UFM1 has been linked to cancer and congenital disorders. Altered UFMylation due to mutations in related genes can contribute to tumor development by affecting protein degradation and cellular stress responses. In hereditary conditions dysfunctional UFM1 activity can lead to rare disorders affecting metabolism and neurological function. Proteins like mLST8 which interact with UFM1 in pathways can also play a role in these disease mechanisms suggesting potential targets for therapeutic intervention.

产品实验方案

For this product, it's our understanding that no specific protocols are required. You can visit:

靶点信息

Ubiquitin-like modifier which can be covalently attached via an isopeptide bond to lysine residues of substrate proteins as a monomer or a lysine-linked polymer (PubMed : 15071506, PubMed : 20018847, PubMed : 27653677, PubMed : 29868776, PubMed : 30626644, PubMed : 38377992, PubMed : 38383785). The so-called ufmylation, requires the UFM1-activating E1 enzyme UBA5, the UFM1-conjugating E2 enzyme UFC1, and the UFM1-ligase E3 enzyme UFL1 (PubMed : 15071506, PubMed : 20018847, PubMed : 27653677, PubMed : 29868776). Ufmylation is involved in various processes, such as ribosome recycling, response to DNA damage, transcription or reticulophagy (also called ER-phagy) induced in response to endoplasmic reticulum stress (PubMed : 25219498, PubMed : 32160526, PubMed : 38383785).
See full target information UFM1

文献 (53)

Recent publications for all applications. Explore the full list and refine your search

Science advances 11:eadt8800 PubMed40644555

2025

UFMylation maintains tumor suppressor pVHL stability by activating the deubiquitinase BAP1.

Applications

Unspecified application

Species

Unspecified reactive species

Xiao Yang,Yalei Wen,Shengying Qin,Yang Zhou,Caishi Zhang,Lei Huang,Mei Li,Xiuqing Ma,Rui Wan,Jiaqi Chen,Rong-Rong He,Hao Gao,Colin R Goding,Oscar Junhong Luo,Xiangchun Shen,Rutao Cui,Tongzheng Liu

Cell reports methods 5:101048 PubMed40347946

2025

Site-specific quantification of the in vivo UFMylome reveals myosin modification in ALS.

Applications

Unspecified application

Species

Unspecified reactive species

Ronnie Blazev,Barry M Zee,Hayley Peckham,Yaan-Kit Ng,Christopher T A Lewis,Chengxin Zhang,James W McNamara,Craig A Goodman,Paul Gregorevic,Julien Ochala,Frederik J Steyn,Shyuan T Ngo,Matthew P Stokes,Benjamin L Parker

iScience 28:111854 PubMed39991547

2025

UFMylation maintains YAP stability to promote vascular endothelial cell senescence.

Applications

Unspecified application

Species

Unspecified reactive species

Yanan Liu,Min Zuo,Aiwei Wu,Zhaoxiang Wang,Siting Wang,Yongping Bai,Junzhi Zhou,Hu Wang

Genes 16: PubMed39858578

2025

Systematic Analysis of UFMylation Family Genes in Tissues of Mice with Metabolic Dysfunction-Associated Steatotic Liver Disease.

Applications

Unspecified application

Species

Unspecified reactive species

Mingdi Jiang,Chenlu Zhang,Zhengyao Zhang,Yingying Duan,Shuaiyong Qi,Qingyu Zeng,Jiabao Wang,Jiawen Zhang,Yu Jiang,Ying Wang,Yi Chen,Jiang Liu

Autophagy 21:996-1018 PubMed39842454

2025

The Epstein-Barr virus deubiquitinase BPLF1 regulates stress-induced ribosome UFMylation and reticulophagy.

Applications

Unspecified application

Species

Unspecified reactive species

Jiangnan Liu,Noemi Nagy,Carlos Ayala-Torres,Solenne Bleuse,Francisco Aguilar-Alonso,Ola Larsson,Maria G Masucci

Cancer cell international 24:412 PubMed39702263

2024

Mithramycin targets head and neck cancer stem cells by inhibiting Sp1 and UFMylation.

Applications

Unspecified application

Species

Unspecified reactive species

Kristina Vukovic Derfi,Tea Vasiljevic,Tea Dragicevic,Tanja Matijevic Glavan

Molecular neurodegeneration 19:97 PubMed39696466

2024

The UFMylation pathway is impaired in Alzheimer's disease.

Applications

Unspecified application

Species

Unspecified reactive species

Tingxiang Yan,Michael G Heckman,Emily C Craver,Chia-Chen Liu,Bailey D Rawlinson,Xue Wang,Melissa E Murray,Dennis W Dickson,Nilufer Ertekin-Taner,Zhenkun Lou,Guojun Bu,Wolfdieter Springer,Fabienne C Fiesel

Cell death & disease 15:544 PubMed39085203

2024

Eg5 UFMylation promotes spindle organization during mitosis.

Applications

Unspecified application

Species

Unspecified reactive species

Guangxu Li,Yuanjiang Huang,Wenbo Han,Liyi Wei,Hongjing Huang,Yingbao Zhu,Qiao Xiao,Zujia Wang,Wen Huang,Ranhui Duan

Advanced science (Weinheim, Baden-Wurttemberg, Germany) 11:e2400569 PubMed38666385

2024

KIF11 UFMylation Maintains Photoreceptor Cilium Integrity and Retinal Homeostasis.

Applications

Unspecified application

Species

Unspecified reactive species

Jie Ran,Guizhi Guo,Sai Zhang,Yufei Zhang,Liang Zhang,Dengwen Li,Shian Wu,Yusheng Cong,Xiaohong Wang,Songbo Xie,Huijie Zhao,Hongbin Liu,Guangshuo Ou,Xueliang Zhu,Jun Zhou,Min Liu

Cell 187:2446-2464.e22 PubMed38582079

2024

Human iPSC 4R tauopathy model uncovers modifiers of tau propagation.

Applications

Unspecified application

Species

Unspecified reactive species

Celeste Parra Bravo,Alice Maria Giani,Jesus Madero-Perez,Zeping Zhao,Yuansong Wan,Avi J Samelson,Man Ying Wong,Alessandro Evangelisti,Ethan Cordes,Li Fan,Pearly Ye,Daphne Zhu,Tatyana Pozner,Maria Mercedes,Tark Patel,Allan Yarahmady,Gillian K Carling,Fredrik H Sterky,Virginia M Y Lee,Edward B Lee,Michael DeTure,Dennis W Dickson,Manu Sharma,Sue-Ann Mok,Wenjie Luo,Mingrui Zhao,Martin Kampmann,Shiaoching Gong,Li Gan
View all publications

Abcam Product Promise

我们致力于为您的研究提供高质量的试剂,为您科研的每一步提供支持。若我们的产品未能达到预期性能,我们向您提供 Abcam Product Promise 保障。
详情请参阅我们的条款与条件。

Please note: All products are 'FOR RESEARCH USE ONLY. NOT FOR USE IN DIAGNOSTIC OR THERAPEUTIC PROCEDURES'.

For licensing inquiries, please contact partnerships@abcam.com