JavaScript is disabled in your browser. Please enable JavaScript to view this website.
AB228572

Anti-UBPY/USP8 抗体

Anti-UBPY/USP8 antibody

Be the first to review this product! Submit a review

|

(14 Publications)

Rabbit Polyclonal UBPY/USP8 antibody. Suitable for IP, WB, IHC-P, ICC/IF and reacts with Human samples. Cited in 14 publications. Immunogen corresponding to Recombinant Fragment Protein within Human USP8.

查看别名

KIAA0055, UBPY, USP8, Ubiquitin carboxyl-terminal hydrolase 8, Deubiquitinating enzyme 8, Ubiquitin isopeptidase Y, Ubiquitin thioesterase 8, Ubiquitin-specific-processing protease 8, hUBPy

5 Images
Immunocytochemistry/ Immunofluorescence - Anti-UBPY/USP8 antibody (AB228572)
  • ICC/IF

Supplier Data

Immunocytochemistry/ Immunofluorescence - Anti-UBPY/USP8 antibody (AB228572)

A549 (human lung carcinoma cell line) cells stained for UBPY/USP8 (green) using ab228572 (1/500 dilution) in ICC/IF. Cells were fixed in 4% paraformaldehyde at RT for 15 minutes. Counterstain : Hoechst 33342 (blue).

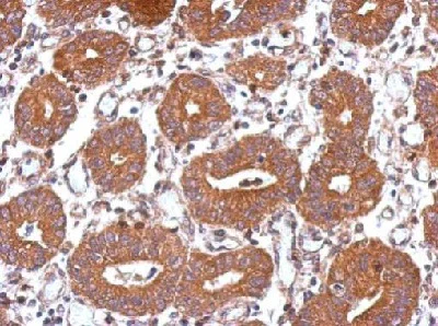
Immunohistochemistry (Formalin/PFA-fixed paraffin-embedded sections) - Anti-UBPY/USP8 antibody (AB228572)
  • IHC-P

Unknown

Immunohistochemistry (Formalin/PFA-fixed paraffin-embedded sections) - Anti-UBPY/USP8 antibody (AB228572)

Paraffin-embedded human colon carcinoma tissue stained for UBPY/USP8 with ab228572 at 1/500 dilution in immunohistochemical analysis.

Immunoprecipitation - Anti-UBPY/USP8 antibody (AB228572)
  • IP

Supplier Data

Immunoprecipitation - Anti-UBPY/USP8 antibody (AB228572)

UBPY/USP8 was immunoprecipitated from HCT-116 (human colorectal carcinoma cell line) whole cell extract using 5 μg of ab228572. Western blot was performed from the immunoprecipitate using ab228572.

Lane 1 : HCT-116 whole cell extract (Input).

Lane 2 : Control IgG IP in HCT-116 whole cell extract.

Lane 3 : ab228572 IP in HCT-116 whole cell extract.

All lanes:

Immunoprecipitation - Anti-UBPY/USP8 antibody (ab228572)

Predicted band size: 127 kDa

false

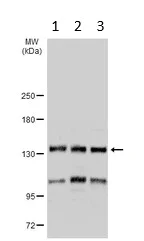
Western blot - Anti-UBPY/USP8 antibody (AB228572)
  • WB

Supplier Data

Western blot - Anti-UBPY/USP8 antibody (AB228572)

Samples were separated by 5% SDS-PAGE.

All lanes:

Western blot - Anti-UBPY/USP8 antibody (ab228572) at 1/5000 dilution

Lane 1:

A549 whole cell extracts at 30 µg

Lane 2:

H1299 whole cell extracts at 30 µg

Lane 3:

HCT116 whole cell extracts at 30 µg

Secondary

All lanes:

HRP-conjugated anti-rabbit IgG antibody

Predicted band size: 128 kDa

false

Western blot - Anti-UBPY/USP8 antibody (AB228572)
  • WB

Lab

Western blot - Anti-UBPY/USP8 antibody (AB228572)

Lanes 1 - 4 : Merged signal (red and green). Green - ab228572 observed at 150 kDa. Red - loading control ab7291 (Mouse anti-Alpha Tubulin [DM1A]) observed at 55 kDa.

ab228572 was shown to react with UBPY/USP8 in wild-type HeLa cells in Western blot with loss of signal observed in USP8 knockout cell line ab265228 (USP8 knockout cell lysate ab259235). Wild-type HeLa and USP8 knockout cell lysates were subjected to SDS-PAGE. Membranes were blocked in 3 % milk in TBS-T (0.1 % Tween®) before incubation with ab228572 and ab7291 (Mouse anti-Alpha Tubulin [DM1A]) overnight at 4 °C at a 1 in 1000 dilution and a 1 in 20000 dilution respectively. Blots were incubated with Goat anti-Rabbit IgG H&L (IRDye® 800CW) preabsorbed (ab216773) and Goat anti-Mouse IgG H&L (IRDye® 680RD) preabsorbed (ab216776) secondary antibodies at 1 in 20000 dilution for 1 h at room temperature before imaging.

All lanes:

Western blot - Anti-UBPY/USP8 antibody (ab228572) at 1/1000 dilution

Lane 1:

Wild-type HeLa cell lysate at 20 µg

Lane 2:

USP8 knockout HeLa cell lysate at 20 µg

Lane 2:

Western blot - Human USP8 (UBPY) knockout HeLa cell line (<a href='/products/cell-lines/human-usp8-ubpy-knockout-hela-cell-line-ab265228'>ab265228</a>)

Lane 3:

A431 cell lysate at 20 µg

Lane 4:

U-2 OS cell lysate at 20 µg

Predicted band size: 127 kDa

Observed band size: 150 kDa

false

关键信息

宿主种属

Rabbit

克隆

Polyclonal

亚型

IgG

不含载体蛋白

No

反应种属

Human

应用

IHC-P, IP, WB, ICC/IF

applications

免疫原

Recombinant Fragment Protein within Human USP8. The exact immunogen used to generate this antibody is proprietary information.

P40818

反应性数据

{ "title": "Reactivity Data", "filters": { "stats": ["", "Species", "Dilution Info", "Notes"], "tabs": { "all-applications": {"fullname" : "All Applications", "shortname": "All Applications"}, "IP" : {"fullname" : "Immunoprecipitation", "shortname":"IP"}, "WB" : {"fullname" : "Western blot", "shortname":"WB"}, "IHCP" : {"fullname" : "Immunohistochemistry (Formalin/PFA-fixed paraffin-embedded sections)", "shortname":"IHC-P"}, "ICCIF" : {"fullname" : "Immunocytochemistry/ Immunofluorescence", "shortname":"ICC/IF"} }, "product-promise": { "all": "all", "testedAndGuaranteed": "tested", "guaranteed": "expected", "predicted": "predicted", "notRecommended": "not-recommended" } }, "values": { "Human": { "IP-species-checked": "testedAndGuaranteed", "IP-species-dilution-info": "1/100 - 1/500", "IP-species-notes": "<p></p>", "WB-species-checked": "testedAndGuaranteed", "WB-species-dilution-info": "1/1000 - 1/10000", "WB-species-notes": "<p></p>", "IHCP-species-checked": "testedAndGuaranteed", "IHCP-species-dilution-info": "1/100 - 1/1000", "IHCP-species-notes": "<p></p>", "ICCIF-species-checked": "testedAndGuaranteed", "ICCIF-species-dilution-info": "1/100 - 1/1000", "ICCIF-species-notes": "<p></p>" }, "Rhesus monkey": { "IP-species-checked": "predicted", "IP-species-dilution-info": "", "IP-species-notes": "", "WB-species-checked": "predicted", "WB-species-dilution-info": "", "WB-species-notes": "", "IHCP-species-checked": "predicted", "IHCP-species-dilution-info": "", "IHCP-species-notes": "", "ICCIF-species-checked": "predicted", "ICCIF-species-dilution-info": "", "ICCIF-species-notes": "" } } }

性能和储存信息

形式
Liquid
纯化工艺
Affinity purification Immunogen
存储溶液
pH: 7 Preservative: 0.01% Thimerosal (merthiolate) Constituents: PBS, 20% Glycerol (glycerin, glycerine), 1% BSA
运输条件
Blue Ice
推荐的短期储存时间
1-2 weeks
推荐的短期储存条件
+4°C
推荐的长期储存条件
-20°C
分装信息
Upon delivery aliquot
储存信息
Avoid freeze / thaw cycle

补充信息

This supplementary information is collated from multiple sources and compiled automatically.

UBPY also known as USP8 (ubiquitin-specific-processing protease 8) functions as a deubiquitinating enzyme. This protein removes ubiquitin from specific substrates regulating their stability and turnover. USP8 has a molecular mass of approximately 125 kDa. It is widely expressed in various tissues with higher expression levels reported in the brain liver and kidneys. The enzyme plays a significant role in protein homeostasis and cellular signaling through its deubiquitinating activity.
Biological function summary

The deubiquitinating enzyme USP8 participates in endocytosis and lysosomal protein degradation processes. It does not function alone but associates with different protein complexes to regulate trafficking and degradation of membrane receptors. Through its action USP8 influences receptor tyrosine kinases like EGFR and impacts the sorting and degradation of these receptors. The enzyme's activity on these receptors is critical for controlling their signal transduction pathways and cellular responses.

Pathways

USP8 plays a role in the EGFR signaling pathway and the Wnt pathway. In the EGFR pathway its deubiquitinating action on EGFR affects receptor degradation and recycling impacting cell growth and differentiation. Within the Wnt pathway USP8 associates with proteins such as Axin and APC contributing to the regulation of β-catenin levels. By managing these pathways USP8 controls both normal physiological processes and pathological conditions when dysregulated.

USP8 associates with conditions like Cushing's disease and certain types of cancers. Cushing's disease results from pituitary adenomas overexpressing USP8 leading to excessive adrenocorticotropic hormone (ACTH) production. In cancer the regulation of EGFR by USP8 becomes disrupted resulting in unregulated cell growth and proliferation. These disorders highlight the important role of USP8 in maintaining cellular homeostasis and the potential of targeting this enzyme for therapeutic interventions.

产品实验方案

For this product, it's our understanding that no specific protocols are required. You can visit:

靶点信息

Hydrolase that can remove conjugated ubiquitin from proteins and therefore plays an important regulatory role at the level of protein turnover by preventing degradation. Converts both 'Lys-48' an 'Lys-63'-linked ubiquitin chains. Catalytic activity is enhanced in the M phase. Involved in cell proliferation. Required to enter into S phase in response to serum stimulation. May regulate T-cell anergy mediated by RNF128 via the formation of a complex containing RNF128 and OTUB1. Probably regulates the stability of STAM2 and RASGRF1. Regulates endosomal ubiquitin dynamics, cargo sorting, membrane traffic at early endosomes, and maintenance of ESCRT-0 stability. The level of protein ubiquitination on endosomes is essential for maintaining the morphology of the organelle. Deubiquitinates EPS15 and controls tyrosine kinase stability. Removes conjugated ubiquitin from EGFR thus regulating EGFR degradation and downstream MAPK signaling. Involved in acrosome biogenesis through interaction with the spermatid ESCRT-0 complex and microtubules. Deubiquitinates BIRC6/bruce and KIF23/MKLP1. Deubiquitinates BACE1 which inhibits BACE1 lysosomal degradation and modulates BACE-mediated APP cleavage and amyloid-beta formation (PubMed : 27302062).
See full target information USP8

文献 (14)

Recent publications for all applications. Explore the full list and refine your search

Frontiers in immunology 16:1581878 PubMed40539039

2025

Identification of the microglia-associated signature in experimental autoimmune encephalomyelitis.

Applications

Unspecified application

Species

Unspecified reactive species

Yan Wu,Jianhong Wang,Bo Chen,Yuxue Guo,Ping Gan,Yanbing Han

Thoracic cancer 16:e15485 PubMed39552193

2024

USP8-mediated PTK7 promotes PIK3CB-related pathway to accelerate the malignant progression of non-small cell lung cancer.

Applications

Unspecified application

Species

Unspecified reactive species

Wencui Kong,Xuegang Feng,Zongyang Yu,Xingfeng Qi,Zhongquan Zhao

Allergologia et immunopathologia 52:60-67 PubMed38970266

2024

Overexpression of USP8 inhibits inflammation and ferroptosis in chronic obstructive pulmonary disease by regulating the OTUB1/SLC7A11 signaling pathway.

Applications

Unspecified application

Species

Unspecified reactive species

Lu Liu,Yu Zhang,Di Xu,Dan Zhu,Ying Zhou,Zhihai Chen,Xiufeng Huang

Psychogeriatrics : the official journal of the Japanese Psychogeriatric Society 23:713-724 PubMed37293711

2023

USP8 mitigates cognitive dysfunction of mice with sepsis-associated encephalopathy.

Applications

Unspecified application

Species

Unspecified reactive species

Leshi Zhang,Jiangzheng Liu

Histology and histopathology 39:251-261 PubMed37222451

2023

Inhibition of ubiquitin specific peptidase 8 is effective against 5-fluorouracil resistance in colon cancer via suppressing EGFR and EGFR-mediated signaling pathways.

Applications

Unspecified application

Species

Unspecified reactive species

Changlei Xi,Zhilin Gong,Hui Ye,Longlei Cao,Jie Yu

Cell death and differentiation 30:560-575 PubMed36539510

2022

Targeting ubiquitin-specific protease 8 sensitizes anti-programmed death-ligand 1 immunotherapy of pancreatic cancer.

Applications

Unspecified application

Species

Unspecified reactive species

Hanshen Yang,Xiaozhen Zhang,Mengyi Lao,Kang Sun,Lihong He,Jian Xu,Yi Duan,Yan Chen,Honggang Ying,Muchun Li,Chengxiang Guo,Qingsong Lu,Sicheng Wang,Wei Su,Tingbo Liang,Xueli Bai

Cellular & molecular biology letters 27:43 PubMed35658874

2022

Molecular mechanism of lncRNA SNHG12 in immune escape of non-small cell lung cancer through the HuR/PD-L1/USP8 axis.

Applications

Unspecified application

Species

Unspecified reactive species

Yusheng Huang,Lei Xia,Xiangwu Tan,Jingyi Zhang,Weiwei Zeng,Benxu Tan,Xian Yu,Wei Fang,Zhenzhou Yang

Frontiers in pharmacology 13:858901 PubMed35600879

2022

ARV-771 Acts as an Inducer of Cell Cycle Arrest and Apoptosis to Suppress Hepatocellular Carcinoma Progression.

Applications

Unspecified application

Species

Unspecified reactive species

Yuanfei Deng,Cuifu Yu,Lushi Chen,Xin Zhang,Qiucheng Lei,Qing Liu,Gengxi Cai,Fang Liu

Allergologia et immunopathologia 50:96-103 PubMed35257552

2022

Ubiquitin-specific protease 8 inhibits lipopolysaccharide-triggered pyroptosis of human bronchial epithelial cells by regulating PI3K/AKT and NF-κB pathways.

Applications

Unspecified application

Species

Unspecified reactive species

Lu Liu,Liting Huan,Yu Zhang,Wei Wei,Zhihai Chen,Di Xu,Xiufeng Huang,Yaoxi Tan,Hongxing Li

Cell death discovery 7:368 PubMed34839365

2021

The METTL3/MALAT1/PTBP1/USP8/TAK1 axis promotes pyroptosis and M1 polarization of macrophages and contributes to liver fibrosis.

Applications

Unspecified application

Species

Unspecified reactive species

Bo Shu,Ying-Xia Zhou,Hao Li,Rui-Zhi Zhang,Chao He,Xin Yang
View all publications

Abcam Product Promise

我们致力于为您的研究提供高质量的试剂,为您科研的每一步提供支持。若我们的产品未能达到预期性能,我们向您提供 Abcam Product Promise 保障。
详情请参阅我们的条款与条件。

Please note: All products are 'FOR RESEARCH USE ONLY. NOT FOR USE IN DIAGNOSTIC OR THERAPEUTIC PROCEDURES'.

For licensing inquiries, please contact partnerships@abcam.com