JavaScript is disabled in your browser. Please enable JavaScript to view this website.
AB272168

重组Anti-UBE3A抗体[EPR23077-14]

Anti-UBE3A antibody [EPR23077-14]

Be the first to review this product! Submit a review

|

(3 Publications)

Rabbit Recombinant Monoclonal UBE3A antibody. Suitable for IP, I-ELISA, WB, ICC/IF, Flow Cyt (Intra) and reacts with Mouse, Human, Rat, Recombinant fragment - Human samples. Cited in 3 publications.

查看别名

E6AP, EPVE6AP, HPVE6A, UBE3A, Ubiquitin-protein ligase E3A, E6AP ubiquitin-protein ligase, HECT-type ubiquitin transferase E3A, Human papillomavirus E6-associated protein, Oncogenic protein-associated protein E6-AP, Renal carcinoma antigen NY-REN-54

10 Images
Immunocytochemistry/ Immunofluorescence - Anti-UBE3A antibody [EPR23077-14] (AB272168)
  • ICC/IF

Unknown

Immunocytochemistry/ Immunofluorescence - Anti-UBE3A antibody [EPR23077-14] (AB272168)

Immunofluorescent analysis of 4% Paraformaldehyde-fixed, 0.1% Triton X-100 permeabilized HeLa cells labelling UBE3A with ab272168 at 1/100 dilution, followed by ab150077 Goat Anti-Rabbit IgG H&L (Alexa Fluor® 488) antibody at 1/1000 dilution (Green). Confocal image showing nuclear and weak cytoplasmic staining in HeLa cell line ab195889. Anti-alpha Tubulin antibody (Alexa Fluor® 594) was used to counterstain tubulin at 1/200 dilution (Red). The Nuclear counterstain was DAPI (Blue).

Secondary antibody only control : Secondary antibody is ab150077 Goat Anti-Rabbit IgG H&L (Alexa Fluor® 488) at 1000 dilution.

Flow Cytometry (Intracellular) - Anti-UBE3A antibody [EPR23077-14] (AB272168)
  • Flow Cyt (Intra)

Unknown

Flow Cytometry (Intracellular) - Anti-UBE3A antibody [EPR23077-14] (AB272168)

Intracellular flow cytometric analysis of 4% paraformaldehyde fixed, 90% methanol-permeabilized HeLa (Human cervix adenocarcinoma epithelial cell) cells labelling UBE3A with ab272168 at 1/500 dilution (Red) compared with a Rabbit monoclonal IgG (ab172730) (Black) isotype control and an unlabelled control (cells without incubation with primary antibody and secondary antibody) (Blue). A Goat anti rabbit IgG (Alexa Fluor® 488, ab150077) at 1/2000 dilution was used as the secondary antibody.

Indirect ELISA - Anti-UBE3A antibody [EPR23077-14] (AB272168)
  • I-ELISA

Unknown

Indirect ELISA - Anti-UBE3A antibody [EPR23077-14] (AB272168)

Indirect ELISA using ab272168 at varying antibody concentrations (1000-0 ng/ml) and Human UBE3A antigen at 1000 ng/ml. Alkaline Phosphatase-conjugated AffiniPure Goat Anti-Rabbit IgG (H+L) at 1/2500 dilution was used as a secondary antibody.

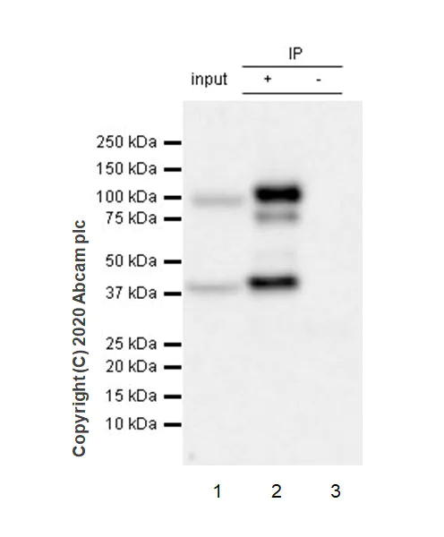
Immunoprecipitation - Anti-UBE3A antibody [EPR23077-14] (AB272168)
  • IP

Unknown

Immunoprecipitation - Anti-UBE3A antibody [EPR23077-14] (AB272168)

UBE3A was immunoprecipitated from 0.35 mg K-562 (human chronic myelogenous leukemia lymphoblast) whole cell lysate with ab272168 at 1/30 dilution (2ug in 0.35mg lysates). Western blot was performed on the immunoprecipitate using ab272168 at 1/1000 dilution. VeriBlot for IP Detection Reagent (HRP)(ab131366) was used at 1/5000 dilution.

Lane 1 : K-562 (human chronic myelogenous leukemia lymphoblast) whole cell lysate 10 ug

Lane 2 : ab272168 IP in K-562 whole cell lysate

Lane 3 : Rabbit monoclonal IgG (ab172730) instead of ab272168 in K-562 whole cell lysate

Blocking and dilution buffer and concentration : 5% NFDM/TBST.

Exposure time : 15 seconds

A 37 kDa degraded band is observed.

All lanes:

Immunoprecipitation - Anti-UBE3A antibody [EPR23077-14] (ab272168)

Predicted band size: 100 kDa

Observed band size: 100 kDa,37 kDa

false

Flow Cytometry (Intracellular) - Anti-UBE3A antibody [EPR23077-14] (AB272168)
  • Flow Cyt (Intra)

Unknown

Flow Cytometry (Intracellular) - Anti-UBE3A antibody [EPR23077-14] (AB272168)

Intracellular flow cytometric analysis of 4% paraformaldehyde fixed, 90% methanol-permeabilized RAW 264.7 (mouse abelson murine leukemia virus-induced tumor macrophage) cells labelling UBE3A with ab272168 at 1/50 dilution (Red) compared with a Rabbit monoclonal IgG (ab172730) (Black) isotype control and an unlabelled control (cells without incubation with primary antibody and secondary antibody) (Blue). A Goat anti rabbit IgG (Alexa Fluor® 488, ab150077) at 1/2000 dilution was used as the secondary antibody.

Immunocytochemistry/ Immunofluorescence - Anti-UBE3A antibody [EPR23077-14] (AB272168)
  • ICC/IF

Unknown

Immunocytochemistry/ Immunofluorescence - Anti-UBE3A antibody [EPR23077-14] (AB272168)

Immunofluorescent analysis of 4% Paraformaldehyde-fixed, 0.1% Triton X-100 permeabilized RAW 264.7 cells labelling UBE3A with ab272168 at 1/100 dilution, followed by ab150077 Goat Anti-Rabbit IgG H&L (Alexa Fluor® 488) antibody at 1/1000 dilution (Green). Confocal image showing nuclear and weak cytoplasmic staining in RAW 264.7 cell line. ab195889 Anti-alpha Tubulin antibody (Alexa Fluor® 594) was used to counterstain tubulin at 1/200 dilution (Red). The Nuclear counterstain was DAPI (Blue).

Secondary antibody only control : Secondary antibody is ab150077 Goat Anti-Rabbit IgG H&L (Alexa Fluor® 488) at 1000 dilution.

Immunoprecipitation - Anti-UBE3A antibody [EPR23077-14] (AB272168)
  • IP

Unknown

Immunoprecipitation - Anti-UBE3A antibody [EPR23077-14] (AB272168)

UBE3A was immunoprecipitated from 0.35 mg RAW 264.7 (mouse abelson murine leukemia virus-induced tumor macrophage) (treated with 10 μM MG-132 for 4 hours) whole cell lysate with ab272168 at 1/30 dilution (2ug in 0.35mg lysates). Western blot was performed on the immunoprecipitate using ab272168 at 1/1000 dilution. VeriBlot for IP Detection Reagent (HRP)(ab131366) was used at 1/5000 dilution.

Lane 1 : RAW 264.7 (mouse abelson murine leukemia virus-induced tumor macrophage) treated with 10 μM MG-132 for 4 hours, whole cell lysate 10 ug

Lane 2 : ab272168 IP in RAW 264.7 treated with 10 μM MG-132 for 4 hours, whole cell lysate

Lane 3 : Rabbit monoclonal IgG (ab172730) instead of ab272168 in RAW 264.7 treated with 10 μM MG-132 for 4 hours, whole cell lysate

Blocking and dilution buffer and concentration : 5% NFDM/TBST.

Exposure time : 10 seconds

A 37 kDa degraded band is observed.

All lanes:

Immunoprecipitation - Anti-UBE3A antibody [EPR23077-14] (ab272168)

Predicted band size: 100 kDa

Observed band size: 100 kDa,37 kDa

false

Western blot - Anti-UBE3A antibody [EPR23077-14] (AB272168)
  • WB

Lab

Western blot - Anti-UBE3A antibody [EPR23077-14] (AB272168)

Blocking and diluting buffer and concentration : 5% NFDM/TBST.

Fresh lysate was used in lane 2.

Exposure time : Lane 1 : 3 minutes; Lane 2 : 48 seconds.

All lanes:

Western blot - Anti-UBE3A antibody [EPR23077-14] (ab272168) at 1/1000 dilution

Lane 1:

HeLa (human cervix adenocarcinoma epithelial cell) treated with 10 uM MG-132 for 24 hours, whole cell lysate at 20 µg

Lane 2:

HEK-293T (human embryonic kidney epithelial cell) whole cell lysate at 20 µg

Secondary

All lanes:

Goat Anti-Rabbit IgG, (H+L), Peroxidase conjugated (<a href='/products/secondary-antibodies/goat-rabbit-igg-h-l-hrp-ab97051'>ab97051</a>) at 1/100000 dilution

Predicted band size: 100 kDa

Observed band size: 100 kDa

false

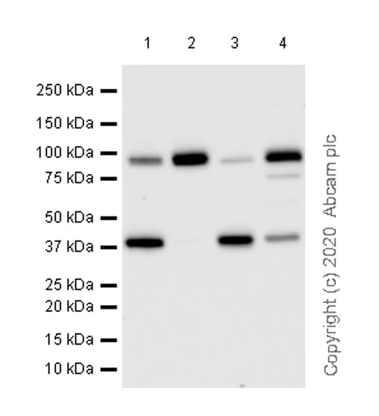
Western blot - Anti-UBE3A antibody [EPR23077-14] (AB272168)
  • WB

Lab

Western blot - Anti-UBE3A antibody [EPR23077-14] (AB272168)

Blocking and diluting buffer and concentration : 5% NFDM/TBST.

The 37 kDa band might be a degraded band (not verified). MG132 treatment or freshly made lysates can decrease the degradation.

All lanes:

Western blot - Anti-UBE3A antibody [EPR23077-14] (ab272168) at 1/1000 dilution

Lane 1:

Mouse spleen tissue lysate at 20 µg

Lane 2:

Rat brain tissue lysate at 20 µg

Lane 3:

HeLa (human cervix adenocarcinoma epithelial cell) whole cell lysate at 20 µg

Lane 4:

K-562 (human chronic myelogenous leukemia lymphoblast) whole cell lysate at 20 µg

Lane 5:

HepG2 (human hepatocellular carcinoma epithelial cell) whole cell lysate at 20 µg

Lane 6:

HEK-293T (human embryonic kidney epithelial cell) whole cell lysate at 20 µg

Lane 7:

A549 (human lung carcinoma epithelial cell) whole cell lysate at 20 µg

Secondary

All lanes:

Goat Anti-Rabbit IgG, (H+L), Peroxidase conjugated (<a href='/products/secondary-antibodies/goat-rabbit-igg-h-l-hrp-ab97051'>ab97051</a>) at 1/100000 dilution

Predicted band size: 100 kDa

Observed band size: 100 kDa,37 kDa

false

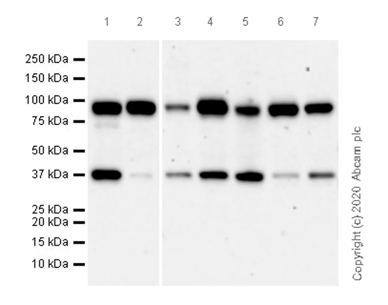
Western blot - Anti-UBE3A antibody [EPR23077-14] (AB272168)
  • WB

Supplier Data

Western blot - Anti-UBE3A antibody [EPR23077-14] (AB272168)

Blocking and dilution buffer : 5% NFDM/TBST.

Exposure time : 3 minutes.

The 37-kDa band might be a degraded fragment (not verified), which can be inhibited/reduced by MG-132 treatment (lanes 2 and 4).

All lanes:

Western blot - Anti-UBE3A antibody [EPR23077-14] (ab272168) at 1/1000 dilution

Lane 1:

PC-12 (rat adrenal gland pheochromocytoma ) whole cell lysate at 20 µg

Lane 2:

PC-12 treated with 10 μM MG-132 for 4 hours, whole cell lysate at 20 µg

Lane 3:

RAW 264.7 (mouse abelson murine leukemia virus-induced tumor macrophage) whole cell lysate at 20 µg

Lane 4:

RAW 264.7 treated with 10 μM MG-132 for 4 hours, whole cell lysate at 20 µg

Secondary

All lanes:

Western blot - Goat Anti-Rabbit IgG H&L (HRP) (<a href='/products/secondary-antibodies/goat-rabbit-igg-h-l-hrp-ab97051'>ab97051</a>) at 1/100000 dilution

Predicted band size: 100 kDa

Observed band size: 100 kDa,37 kDa

false

不同偶联物与剂型 (2)

关键信息

宿主种属

Rabbit

克隆

Monoclonal

克隆号

EPR23077-14

亚型

IgG

不含载体蛋白

No

反应种属

Mouse, Rat, Human

应用

ICC/IF, IP, I-ELISA, Flow Cyt (Intra), WB

applications

免疫原

The exact immunogen used to generate this antibody is proprietary information.

反应性数据

{ "title": "Reactivity Data", "filters": { "stats": ["", "Species", "Dilution Info", "Notes"], "tabs": { "all-applications": {"fullname" : "All Applications", "shortname": "All Applications"}, "IP" : {"fullname" : "Immunoprecipitation", "shortname":"IP"}, "IELISA" : {"fullname" : "Indirect ELISA", "shortname":"I-ELISA"}, "WB" : {"fullname" : "Western blot", "shortname":"WB"}, "IHCP" : {"fullname" : "Immunohistochemistry (Formalin/PFA-fixed paraffin-embedded sections)", "shortname":"IHC-P"}, "ICCIF" : {"fullname" : "Immunocytochemistry/ Immunofluorescence", "shortname":"ICC/IF"}, "FlowCytIntra" : {"fullname" : "Flow Cytometry (Intracellular)", "shortname":"Flow Cyt (Intra)"} }, "product-promise": { "all": "all", "testedAndGuaranteed": "tested", "guaranteed": "expected", "predicted": "predicted", "notRecommended": "not-recommended" } }, "values": { "Human": { "IP-species-checked": "testedAndGuaranteed", "IP-species-dilution-info": "1/30", "IP-species-notes": "<p></p>", "IELISA-species-checked": "guaranteed", "IELISA-species-dilution-info": "", "IELISA-species-notes": "", "WB-species-checked": "testedAndGuaranteed", "WB-species-dilution-info": "1/1000", "WB-species-notes": "<p></p>", "IHCP-species-checked": "notRecommended", "IHCP-species-dilution-info": "", "IHCP-species-notes": "<p></p>", "ICCIF-species-checked": "testedAndGuaranteed", "ICCIF-species-dilution-info": "1/100", "ICCIF-species-notes": "<p></p>", "FlowCytIntra-species-checked": "testedAndGuaranteed", "FlowCytIntra-species-dilution-info": "1/50", "FlowCytIntra-species-notes": "<p></p>" }, "Mouse": { "IP-species-checked": "testedAndGuaranteed", "IP-species-dilution-info": "1/30", "IP-species-notes": "<p></p>", "IELISA-species-checked": "guaranteed", "IELISA-species-dilution-info": "", "IELISA-species-notes": "", "WB-species-checked": "testedAndGuaranteed", "WB-species-dilution-info": "1/1000", "WB-species-notes": "<p></p>", "IHCP-species-checked": "notRecommended", "IHCP-species-dilution-info": "", "IHCP-species-notes": "<p></p>", "ICCIF-species-checked": "testedAndGuaranteed", "ICCIF-species-dilution-info": "1/100", "ICCIF-species-notes": "<p></p>", "FlowCytIntra-species-checked": "testedAndGuaranteed", "FlowCytIntra-species-dilution-info": "1/50", "FlowCytIntra-species-notes": "<p></p>" }, "Rat": { "IP-species-checked": "guaranteed", "IP-species-dilution-info": "", "IP-species-notes": "", "IELISA-species-checked": "guaranteed", "IELISA-species-dilution-info": "", "IELISA-species-notes": "", "WB-species-checked": "testedAndGuaranteed", "WB-species-dilution-info": "1/1000", "WB-species-notes": "<p></p>", "IHCP-species-checked": "notRecommended", "IHCP-species-dilution-info": "", "IHCP-species-notes": "<p></p>", "ICCIF-species-checked": "guaranteed", "ICCIF-species-dilution-info": "", "ICCIF-species-notes": "", "FlowCytIntra-species-checked": "guaranteed", "FlowCytIntra-species-dilution-info": "", "FlowCytIntra-species-notes": "" }, "Recombinant fragment - Human": { "IP-species-checked": "notRecommended", "IP-species-dilution-info": "", "IP-species-notes": "", "IELISA-species-checked": "testedAndGuaranteed", "IELISA-species-dilution-info": "1 µg/mL", "IELISA-species-notes": "<p></p>", "WB-species-checked": "notRecommended", "WB-species-dilution-info": "", "WB-species-notes": "", "IHCP-species-checked": "notRecommended", "IHCP-species-dilution-info": "", "IHCP-species-notes": "", "ICCIF-species-checked": "notRecommended", "ICCIF-species-dilution-info": "", "ICCIF-species-notes": "", "FlowCytIntra-species-checked": "notRecommended", "FlowCytIntra-species-dilution-info": "", "FlowCytIntra-species-notes": "" } } }

产品详情

Patented technology
Our RabMAb® technology is a patented hybridoma-based technology for making rabbit monoclonal antibodies. For details on our patents, please refer to RabMAb® patents.

What are the advantages of a recombinant monoclonal antibody?
This product is a recombinant monoclonal antibody, which offers several advantages including:

  • - High batch-to-batch consistency and reproducibility
  • - Improved sensitivity and specificity
  • - Long-term security of supply
  • - Animal-free batch production

For more information, read more on recombinant antibodies.

性能和储存信息

形式
Liquid
纯化工艺
Affinity purification Protein A
存储溶液
pH: 7.2 - 7.4 Preservative: 0.01% Sodium azide Constituents: PBS, 40% Glycerol (glycerin, glycerine), 0.05% BSA
运输条件
Blue Ice
推荐的短期储存时间
1-2 weeks
推荐的短期储存条件
+4°C
推荐的长期储存条件
-20°C
分装信息
Upon delivery aliquot
储存信息
Avoid freeze / thaw cycle

补充信息

This supplementary information is collated from multiple sources and compiled automatically.

UBE3A also known as ubiquitin protein ligase E3A is an enzyme with a molecular mass of approximately 100 kDa. It plays a central role in the ubiquitination process by adding ubiquitin to specific substrate proteins. UBE3A is found in many tissues but has high expression levels in the brain especially in neurons. The proper function of UBE3A requires its interaction with the ubiquitin-conjugating enzyme E2 marking target proteins for proteasomal degradation or other cellular processes.
Biological function summary

The role of UBE3A is connected to protein homeostasis and turnover. It is part of the ubiquitin-proteasome system which regulates the degradation of damaged or unneeded proteins. UBE3A does not work alone; it functions as part of a larger E3 ligase complex. This complex selectively identifies and modifies proteins determining their fate within the cell. The precision of UBE3A in these processes is necessary for normal neural development and synaptic plasticity.

Pathways

UBE3A is involved in the synaptic transmission and neuronal signaling pathways. It interacts with proteins such as HERC2 and RAD18 which are involved in DNA damage response and repair. UBE3A's involvement in these pathways highlights its importance in maintaining neuronal health. This protein’s activity influences downstream signaling events affecting processes like synaptic function and neuronal communication.

Disruptions in UBE3A activity link to Angelman syndrome and autism spectrum disorders. Angelman syndrome results from the loss of function of the maternal UBE3A gene leading to severe neurological impairments. UBE3A's relationship with proteins like MECP2 involved in gene regulation suggests a broader role in neurodevelopmental disorders. Research continues to explore how UBE3A and its interaction partners contribute to the underlying mechanisms of these diseases.

产品实验方案

For this product, it's our understanding that no specific protocols are required. You can visit:

靶点信息

E3 ubiquitin-protein ligase which accepts ubiquitin from an E2 ubiquitin-conjugating enzyme in the form of a thioester and transfers it to its substrates (PubMed : 10373495, PubMed : 16772533, PubMed : 19204938, PubMed : 19233847, PubMed : 19325566, PubMed : 19591933, PubMed : 22645313, PubMed : 24273172, PubMed : 24728990, PubMed : 30020076). Several substrates have been identified including the BMAL1, ARC, LAMTOR1, RAD23A and RAD23B, MCM7 (which is involved in DNA replication), annexin A1, the PML tumor suppressor, and the cell cycle regulator CDKN1B (PubMed : 10373495, PubMed : 19204938, PubMed : 19325566, PubMed : 19591933, PubMed : 22645313, PubMed : 24728990, PubMed : 30020076). Additionally, may function as a cellular quality control ubiquitin ligase by helping the degradation of the cytoplasmic misfolded proteins (PubMed : 19233847). Finally, UBE3A also promotes its own degradation in vivo. Plays an important role in the regulation of the circadian clock : involved in the ubiquitination of the core clock component BMAL1, leading to its proteasomal degradation (PubMed : 24728990). Acts as transcriptional coactivator of progesterone receptor PGR upon progesterone hormone activation (PubMed : 16772533). Acts as a regulator of synaptic development by mediating ubiquitination and degradation of ARC (By similarity). Required for synaptic remodeling in neurons by mediating ubiquitination and degradation of LAMTOR1, thereby limiting mTORC1 signaling and activity-dependent synaptic remodeling (By similarity). Synergizes with WBP2 in enhancing PGR activity (PubMed : 16772533).. (Microbial infection) Catalyzes the high-risk human papilloma virus E6-mediated ubiquitination of p53/TP53, contributing to the neoplastic progression of cells infected by these viruses.
See full target information UBE3A

文献 (3)

Recent publications for all applications. Explore the full list and refine your search

FASEB journal : official publication of the Federation of American Societies for Experimental Biology 39:e70559 PubMed40277210

2025

Dietary Intake of Octanoic Acid Restores UBE3A Expression and Improves the Behavioral Phenotypes in a Mouse Model of Angelman Syndrome.

Applications

Unspecified application

Species

Unspecified reactive species

Song Qu,Xingying Guan,Hongyan Li,Jian Yang,Pu Sun,Cui Song,Natalia Surzenko,Yanyan Wang

eLife 13: PubMed40213945

2025

Loss function of tumor suppressor FRMD8 confers resistance to tamoxifen therapy via a dual mechanism.

Applications

Unspecified application

Species

Unspecified reactive species

Weijie Wu,Miao Yu,Qianchen Li,Yiqian Zhao,Lei Zhang,Yi Sun,Zhenbin Wang,Yuqing Gong,Wenjing Wang,Chenying Liu,Jing Zhang,Yan Tang,Xiaojie Xu,Xiaojing Guo,Jun Zhan,Hongquan Zhang

Cell death & disease 15:758 PubMed39424627

2024

The interaction between UBR7 and PRMT5 drives PDAC resistance to gemcitabine by regulating glycolysis and immune microenvironment.

Applications

Unspecified application

Species

Unspecified reactive species

Maoxiao Feng,Qinlian Jiao,Yidan Ren,Xiaoyan Liu,Zihan Gao,Zhengjun Li,Yunshan Wang,Miaoqing Zhao,Lei Bi
View all publications

Abcam Product Promise

我们致力于为您的研究提供高质量的试剂,为您科研的每一步提供支持。若我们的产品未能达到预期性能,我们向您提供 Abcam Product Promise 保障。
详情请参阅我们的条款与条件。

Please note: All products are 'FOR RESEARCH USE ONLY. NOT FOR USE IN DIAGNOSTIC OR THERAPEUTIC PROCEDURES'.

For licensing inquiries, please contact partnerships@abcam.com