JavaScript is disabled in your browser. Please enable JavaScript to view this website.
AB109286

重组Anti-Ube2N / Ubc13抗体[EPR5162]

Anti-Ube2N / Ubc13 antibody [EPR5162]

Be the first to review this product! Submit a review

|

(8 Publications)

Rabbit Recombinant Monoclonal Ube2N / Ubc13 antibody. Suitable for IHC-P, WB and reacts with Human samples. Cited in 8 publications.

查看别名

BLU, UBE2N, Ubiquitin-conjugating enzyme E2 N, Bendless-like ubiquitin-conjugating enzyme, E2 ubiquitin-conjugating enzyme N, Ubc13, UbcH13, Ubiquitin carrier protein N, Ubiquitin-protein ligase N

2 Images
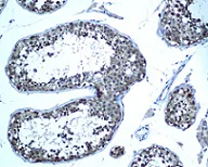
Immunohistochemistry (Formalin/PFA-fixed paraffin-embedded sections) - Anti-Ube2N / Ubc13 antibody [EPR5162] (AB109286)
  • IHC-P

Unknown

Immunohistochemistry (Formalin/PFA-fixed paraffin-embedded sections) - Anti-Ube2N / Ubc13 antibody [EPR5162] (AB109286)

Immunohistochemical analysis of paraffin-embedded Human testis tissue using ab109286 at 1/100 dilution.

Perform heat mediated antigen retrieval via the pressure cooker method before commencing with IHC staining protocol.

Western blot - Anti-Ube2N / Ubc13 antibody [EPR5162] (AB109286)
  • WB

Unknown

Western blot - Anti-Ube2N / Ubc13 antibody [EPR5162] (AB109286)

All lanes:

Western blot - Anti-Ube2N / Ubc13 antibody [EPR5162] (ab109286) at 1/1000 dilution

Lane 1:

Jurkat cell lysate at 10 µg

Lane 2:

Daudi cell lysate at 10 µg

Lane 3:

Human heart lysate at 10 µg

Predicted band size: 17 kDa

false

不同偶联物与剂型 (1)

  • Carrier free

    Anti-Ube2N / Ubc13 antibody [EPR5162] - BSA and Azide free

关键信息

宿主种属

Rabbit

克隆

Monoclonal

克隆号

EPR5162

亚型

IgG

不含载体蛋白

No

反应种属

Human

应用

WB, IHC-P

applications

免疫原

The exact immunogen used to generate this antibody is proprietary information.

反应性数据

{ "title": "Reactivity Data", "filters": { "stats": ["", "Species", "Dilution Info", "Notes"], "tabs": { "all-applications": {"fullname" : "All Applications", "shortname": "All Applications"}, "IHCP" : {"fullname" : "Immunohistochemistry (Formalin/PFA-fixed paraffin-embedded sections)", "shortname":"IHC-P"}, "IP" : {"fullname" : "Immunoprecipitation", "shortname":"IP"}, "FlowCyt" : {"fullname" : "Flow Cytometry", "shortname":"Flow Cyt"}, "WB" : {"fullname" : "Western blot", "shortname":"WB"} }, "product-promise": { "all": "all", "testedAndGuaranteed": "tested", "guaranteed": "expected", "predicted": "predicted", "notRecommended": "not-recommended" } }, "values": { "Human": { "IHCP-species-checked": "testedAndGuaranteed", "IHCP-species-dilution-info": "1/100 - 1/250", "IHCP-species-notes": "<p></p>", "IP-species-checked": "notRecommended", "IP-species-dilution-info": "", "IP-species-notes": "<p></p>", "FlowCyt-species-checked": "notRecommended", "FlowCyt-species-dilution-info": "", "FlowCyt-species-notes": "<p></p>", "WB-species-checked": "testedAndGuaranteed", "WB-species-dilution-info": "1/1000 - 1/10000", "WB-species-notes": "<p></p>" }, "Mouse": { "IHCP-species-checked": "predicted", "IHCP-species-dilution-info": "", "IHCP-species-notes": "", "IP-species-checked": "notRecommended", "IP-species-dilution-info": "", "IP-species-notes": "", "FlowCyt-species-checked": "notRecommended", "FlowCyt-species-dilution-info": "", "FlowCyt-species-notes": "", "WB-species-checked": "predicted", "WB-species-dilution-info": "", "WB-species-notes": "" }, "Rat": { "IHCP-species-checked": "predicted", "IHCP-species-dilution-info": "", "IHCP-species-notes": "", "IP-species-checked": "notRecommended", "IP-species-dilution-info": "", "IP-species-notes": "", "FlowCyt-species-checked": "notRecommended", "FlowCyt-species-dilution-info": "", "FlowCyt-species-notes": "", "WB-species-checked": "predicted", "WB-species-dilution-info": "", "WB-species-notes": "" } } }

产品详情

Patented technology
Our RabMAb® technology is a patented hybridoma-based technology for making rabbit monoclonal antibodies. For details on our patents, please refer to RabMAb® patents.

What are the advantages of a recombinant monoclonal antibody?
This product is a recombinant monoclonal antibody, which offers several advantages including:

  • - High batch-to-batch consistency and reproducibility
  • - Improved sensitivity and specificity
  • - Long-term security of supply
  • - Animal-free batch production

For more information, read more on recombinant antibodies.

性能和储存信息

形式
Liquid
纯化工艺
Affinity purification Protein A
存储溶液
pH: 7.2 - 7.4 Preservative: 0.05% Sodium azide Constituents: 50% Tissue culture supernatant, 40% Glycerol (glycerin, glycerine), 9.85% Tris glycine, 0.1% BSA
运输条件
Blue Ice
推荐的短期储存条件
+4°C
推荐的长期储存条件
-20°C
储存信息
Stable for 12 months at -20°C

补充信息

This supplementary information is collated from multiple sources and compiled automatically.

Ube2N also known as Ubc13 is a ubiquitin-conjugating enzyme with a molecular mass of around 17 kDa. It plays an important role in the ubiquitination process by forming a complex with Uev1A which assists in catalyzing the attachment of ubiquitin to substrate proteins. Expression of Ube2N is found in various tissues particularly in those with high rates of protein modification and signal regulation. Mechanically Ube2N works by forming polyubiquitin chains linked through lysine 63 on ubiquitin molecules a step essential for signaling rather than protein degradation.
Biological function summary

Ube2N has a significant role in DNA repair and immune response. It teams up with other proteins as part of larger complexes like the E2/E3 ligase complexes facilitating non-degradative polyubiquitin chains that activate signaling pathways. These chains contribute to the repair of DNA double-strand breaks by involving in the activation of DNA repair proteins and maintaining genomic integrity. Furthermore Ube2N is pivotal in modulating the immune response by activating NF-kB a transcription factor important for immune and inflammatory responses.

Pathways

Ube2N's activities impact the important signaling pathways such as NF-kB and DNA damage response pathways. In the NF-kB pathway K63-linked polyubiquitination by Ube2N leads to the activation of IKK complex subsequently mobilizing NF-kB to the nucleus to initiate transcription of immune genes. In DNA damage response Ube2N interacts with proteins like Ubc13 and Rnf8 to enhance DNA repair processes. These interactions highlight Ube2N's connection within a network of proteins maintaining cell health.

Ube2N is linked to cancer progression and immune system dysfunctions. Abnormal activity or expression of Ube2N can lead to unchecked cellular proliferation seen in various types of cancer. Additionally Ube2N associates with immune disorders where deregulated NF-kB activity contributes to chronic inflammation and auto-immune conditions. Its interaction partners like Uev1A can also play a role in the dysregulated pathways contributing to these diseases.

产品实验方案

For this product, it's our understanding that no specific protocols are required. You can visit:

靶点信息

The UBE2V1-UBE2N and UBE2V2-UBE2N heterodimers catalyze the synthesis of non-canonical 'Lys-63'-linked polyubiquitin chains. This type of polyubiquitination does not lead to protein degradation by the proteasome. Mediates transcriptional activation of target genes. Plays a role in the control of progress through the cell cycle and differentiation. Plays a role in the error-free DNA repair pathway and contributes to the survival of cells after DNA damage. Acts together with the E3 ligases, HLTF and SHPRH, in the 'Lys-63'-linked poly-ubiquitination of PCNA upon genotoxic stress, which is required for DNA repair. Appears to act together with E3 ligase RNF5 in the 'Lys-63'-linked polyubiquitination of JKAMP thereby regulating JKAMP function by decreasing its association with components of the proteasome and ERAD. Promotes TRIM5 capsid-specific restriction activity and the UBE2V1-UBE2N heterodimer acts in concert with TRIM5 to generate 'Lys-63'-linked polyubiquitin chains which activate the MAP3K7/TAK1 complex which in turn results in the induction and expression of NF-kappa-B and MAPK-responsive inflammatory genes. Together with RNF135 and UB2V1, catalyzes the viral RNA-dependent 'Lys-63'-linked polyubiquitination of RIGI to activate the downstream signaling pathway that leads to interferon beta production (PubMed : 28469175, PubMed : 31006531). UBE2V1-UBE2N together with TRAF3IP2 E3 ubiquitin ligase mediate 'Lys-63'-linked polyubiquitination of TRAF6, a component of IL17A-mediated signaling pathway.
See full target information UBE2N

文献 (8)

Recent publications for all applications. Explore the full list and refine your search

BMC pulmonary medicine 24:542 PubMed39472837

2024

TRIM11 Prevents Ferroptosis in model of asthma by UBE2N-TAX1BP1 signaling.

Applications

Unspecified application

Species

Unspecified reactive species

Na Li,Guoqing Qiu,Xiangqin Xu,Yan Shen,Yuming Chen

Biology direct 19:35 PubMed38715121

2024

UBE2N promotes cell viability and glycolysis by promoting Axin1 ubiquitination in prostate cancer cells.

Applications

Unspecified application

Species

Unspecified reactive species

Bo Yang,Weihua Chen,Tianyi Tao,Jun Zhang,Dehui Kong,Jidong Hao,Chao Yu,Guoqiang Liao,Hua Gong

Autophagy 20:1314-1334 PubMed38174993

2024

Targeting cancer-associated fibroblast autophagy renders pancreatic cancer eradicable with immunochemotherapy by inhibiting adaptive immune resistance.

Applications

Unspecified application

Species

Unspecified reactive species

Xiaozhen Zhang,Mengyi Lao,Hanshen Yang,Kang Sun,Yunfei Dong,Lihong He,Xinchi Jiang,Honghui Wu,Yangwei Jiang,Muchun Li,Honggang Ying,Xinyuan Liu,Jian Xu,Yan Chen,Hanjia Zhang,Ruhong Zhou,Jianqing Gao,Xueli Bai,Tingbo Liang

The European respiratory journal 59: PubMed34049951

2022

Novel insights into surfactant protein C trafficking revealed through the study of a pathogenic mutant.

Applications

Unspecified application

Species

Unspecified reactive species

Jennifer A Dickens,Eimear N Rutherford,Susana Abreu,Joseph E Chambers,Matthew O Ellis,Annemarie van Schadewijk,Pieter S Hiemstra,Stefan J Marciniak

Scientific reports 8:3476 PubMed29472602

2018

HPV-transformed cells exhibit altered HMGB1-TLR4/MyD88-SARM1 signaling axis.

Applications

WB

Species

Unspecified reactive species

Mirian Galliote Morale,Walason da Silva Abjaude,Aline Montenegro Silva,Luisa Lina Villa,Enrique Boccardo

Nature communications 8:814 PubMed28993672

2017

Oligomerization-primed coiled-coil domain interaction with Ubc13 confers processivity to TRAF6 ubiquitin ligase activity.

Applications

Unspecified application

Species

Unspecified reactive species

Lin Hu,Jiafeng Xu,Xiaomei Xie,Yiwen Zhou,Panfeng Tao,Haidong Li,Xu Han,Chong Wang,Jian Liu,Pinglong Xu,Dante Neculai,Zongping Xia

Molecular & cellular proteomics : MCP 16:469-484 PubMed28087594

2017

A Human Proteome Array Approach to Identifying Key Host Proteins Targeted by Kinase ROP18.

Applications

Unspecified application

Species

Unspecified reactive species

Zhaoshou Yang,Yongheng Hou,Taofang Hao,Hee-Sool Rho,Jun Wan,Yizhao Luan,Xin Gao,Jianping Yao,Aihua Pan,Zhi Xie,Jiang Qian,Wanqin Liao,Heng Zhu,Xingwang Zhou

PLoS pathogens 12:e1005584 PubMed27082114

2016

HTLV-1 Tax Functions as a Ubiquitin E3 Ligase for Direct IKK Activation via Synthesis of Mixed-Linkage Polyubiquitin Chains.

Applications

Unspecified application

Species

Unspecified reactive species

Chong Wang,Wenying Long,Chao Peng,Lin Hu,Qiong Zhang,Ailing Wu,Xiaoqing Zhang,Xiaotao Duan,Catherine C L Wong,Yuetsu Tanaka,Zongping Xia
View all publications

Abcam Product Promise

我们致力于为您的研究提供高质量的试剂,为您科研的每一步提供支持。若我们的产品未能达到预期性能,我们向您提供 Abcam Product Promise 保障。
详情请参阅我们的条款与条件。

Please note: All products are 'FOR RESEARCH USE ONLY. NOT FOR USE IN DIAGNOSTIC OR THERAPEUTIC PROCEDURES'.

For licensing inquiries, please contact partnerships@abcam.com