JavaScript is disabled in your browser. Please enable JavaScript to view this website.
AB37530

Anti-U2AF65抗体

Anti-U2AF65 antibody

5

(2 Reviews)

|

(31 Publications)

Rabbit Polyclonal U2AF65 antibody. Suitable for IP, ChIP, WB, ICC/IF, IHC-P and reacts with Human, Zebrafish, Mouse samples. Cited in 31 publications.

查看别名

U2AF65, U2AF2, Splicing factor U2AF 65 kDa subunit, U2 auxiliary factor 65 kDa subunit, U2 snRNP auxiliary factor large subunit, hU2AF(65), hU2AF65

5 Images
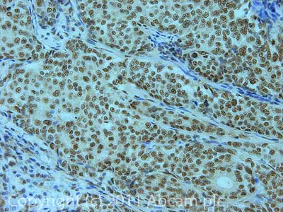
Immunohistochemistry (Formalin/PFA-fixed paraffin-embedded sections) - Anti-U2AF65 antibody (AB37530)
  • IHC-P

Unknown

Immunohistochemistry (Formalin/PFA-fixed paraffin-embedded sections) - Anti-U2AF65 antibody (AB37530)

IHC image of ab37530 staining in Human breast adenocarcinoma formalin fixed paraffin embedded tissue section, performed on a Leica BondTM system using the standard protocol F. The section was pre-treated using heat mediated antigen retrieval with sodium citrate buffer (pH6, epitope retrieval solution 1) for 20 mins. The section was then incubated with ab37530, 5µg/ml, for 15 mins at room temperature and detected using an HRP conjugated compact polymer system. DAB was used as the chromogen. The section was then counterstained with haematoxylin and mounted with DPX.

For other IHC staining systems (automated and non-automated) customers should optimize variable parameters such as antigen retrieval conditions, primary antibody concentration and antibody incubation times.

Immunocytochemistry/ Immunofluorescence - Anti-U2AF65 antibody (AB37530)
  • ICC/IF

Lab

Immunocytochemistry/ Immunofluorescence - Anti-U2AF65 antibody (AB37530)

ab37530 staining U2AF65 in HeLa cells. The cells were fixed with 100% methanol (5 min), permeabilized with 0.1% PBS-Triton X-100 for 5 minutes and then blocked with 1% BSA/10% normal goat serum/0.3M glycine in 0.1%PBS-Tween for 1h. The cells were then incubated overnight at 4°C with ab37530 at 5µg/ml and ab7291, Mouse monoclonal [DM1A] to alpha Tubulin - Loading Control. Cells were then incubated with ab150081, Goat polyclonal Secondary Antibody to Rabbit IgG - H&L (Alexa Fluor® 488), pre-adsorbed at 1/1000 dilution (shown in green) and ab150120, Goat polyclonal Secondary Antibody to Mouse IgG - H&L (Alexa Fluor® 594), pre-adsorbed at 1/1000 dilution (shown in pseudocolour magenta). Nuclear DNA was labelled with DAPI (shown in blue). Also suitable in cells fixed with 4% paraformaldehyde (10 min).Image was acquired with a high-content analyser (Operetta CLS, Perkin Elmer) and a maximum intensity projection of confocal sections is shown.

Immunoprecipitation - Anti-U2AF65 antibody (AB37530)
  • IP

Lab

Immunoprecipitation - Anti-U2AF65 antibody (AB37530)

U2AF65 was immunoprecipitated using 0.5mg SHSY5Y whole cell extract, 5µg of Rabbit polyclonal to U2AF65 and 50µl of protein G magnetic beads (+). No antibody was added to the control (-).
The antibody was incubated under agitation with Protein G beads for 10min, SHSY5Y whole cell extract lysate diluted in RIPA buffer was added to each sample and incubated for a further 10min under agitation.
Proteins were eluted by addition of 40µl SDS loading buffer and incubated for 10min at 70oC; 10µl of each sample was separated on a SDS PAGE gel, transferred to a nitrocellulose membrane, blocked with 5% BSA and probed with ab37530.
Secondary : Mouse monoclonal [SB62a] Secondary Antibody to Rabbit IgG light chain (HRP) (ab99697).
Band : 65kDa : U2AF65.

All lanes:

Immunoprecipitation - Anti-U2AF65 antibody (ab37530)

Predicted band size: 54 kDa

false

Western blot - Anti-U2AF65 antibody (AB37530)
  • WB

Ap

Western blot - Anti-U2AF65 antibody (AB37530)

Although the predicted band size is 53kDa based on Swiss-prot data, a band of 65kDa has been previously observed. J Biol Chem. 2004 Nov 26;279(48) : 49773-9 (PMID : 15377657)

All lanes:

Western blot - Anti-U2AF65 antibody (ab37530) at 1/250 dilution

Lane 1:

HeLa (Human epithelial carcinoma cell line) Whole Cell Lysate at 10 µg

Lane 2:

Western blot - Jurkat whole cell lysate (<a href='/products/cell-lysates/jurkat-whole-cell-lysate-ab7899'>ab7899</a>) at 10 µg

Lane 3:

Western blot - A-431 whole cell lysate (<a href='/products/cell-lysates/a-431-whole-cell-lysate-ab7909'>ab7909</a>) at 10 µg

Lane 4:

Western blot - HEK-293 whole cell lysate (<a href='/products/cell-lysates/hek-293-whole-cell-lysate-ab7902'>ab7902</a>) at 10 µg

Lane 5:

Hep G2 whole cell lysate (<a href='/products/unavailable/hep-g2-whole-cell-lysate-ab7900'>ab7900</a>) at 10 µg

Lane 6:

MCF-7 (Human breast adenocarcinoma cell line) Whole Cell Lysate at 10 µg

Lane 7:

SHSY-5Y (Human neuroblastoma cell line) Whole Cell Lysate at 10 µg

Lane 8:

U2OS (Human osteosarcoma cell line) Whole Cell Lysate at 10 µg

Secondary

All lanes:

Rabbit IgG secondary antibody (ab28446) at 1/10000 dilution

Predicted band size: 54 kDa

Observed band size: 65 kDa

false

Western blot - Anti-U2AF65 antibody (AB37530)
  • WB

Unknown

Western blot - Anti-U2AF65 antibody (AB37530)

All lanes:

Western blot - Anti-U2AF65 antibody (ab37530) at 1/250 dilution

Lane 1:

Marker

Lane 2:

Zebrafish brain homogenate at 20 µg

Lane 3:

Zebrafish heart homogenate at 10 µg

Lane 4:

Zebrafish liver homogenate at 10 µg

Lane 5:

Zebrafish skeletal muscle homogenate at 10 µg

Lane 6:

HeLa (Human epithelial carcinoma cell line) Whole Cell Lysate at 10 µg

Secondary

All lanes:

Goat polyclonal to Rabbit IgG – H&L – Pre-Adsorbed (HRP) at 1/6000 dilution

Predicted band size: 54 kDa

Observed band size: 53 kDa

true

Exposure time: 5min

关键信息

宿主种属

Rabbit

克隆

Polyclonal

亚型

IgG

不含载体蛋白

No

反应种属

Human, Zebrafish, Mouse

应用

ChIP, IHC-P, ICC/IF, IP, WB

applications

免疫原

The exact immunogen used to generate this antibody is proprietary information.

反应性数据

{ "title": "Reactivity Data", "filters": { "stats": ["", "Species", "Dilution Info", "Notes"], "tabs": { "all-applications": {"fullname" : "All Applications", "shortname": "All Applications"}, "IP" : {"fullname" : "Immunoprecipitation", "shortname":"IP"}, "ChIP" : {"fullname" : "ChIP", "shortname":"ChIP"}, "WB" : {"fullname" : "Western blot", "shortname":"WB"}, "ICCIF" : {"fullname" : "Immunocytochemistry/ Immunofluorescence", "shortname":"ICC/IF"}, "IHCP" : {"fullname" : "Immunohistochemistry (Formalin/PFA-fixed paraffin-embedded sections)", "shortname":"IHC-P"} }, "product-promise": { "all": "all", "testedAndGuaranteed": "tested", "guaranteed": "expected", "predicted": "predicted", "notRecommended": "not-recommended" } }, "values": { "Human": { "IP-species-checked": "testedAndGuaranteed", "IP-species-dilution-info": "", "IP-species-notes": "<p></p>", "ChIP-species-checked": "guaranteed", "ChIP-species-dilution-info": "", "ChIP-species-notes": "<p></p>", "WB-species-checked": "testedAndGuaranteed", "WB-species-dilution-info": "1/250", "WB-species-notes": "<p></p>", "ICCIF-species-checked": "testedAndGuaranteed", "ICCIF-species-dilution-info": "1 µg/mL", "ICCIF-species-notes": "<p></p>", "IHCP-species-checked": "testedAndGuaranteed", "IHCP-species-dilution-info": "5 µg/mL", "IHCP-species-notes": "<p></p>" }, "Mouse": { "IP-species-checked": "predicted", "IP-species-dilution-info": "", "IP-species-notes": "", "ChIP-species-checked": "guaranteed", "ChIP-species-dilution-info": "", "ChIP-species-notes": "<p></p>", "WB-species-checked": "predicted", "WB-species-dilution-info": "", "WB-species-notes": "", "ICCIF-species-checked": "predicted", "ICCIF-species-dilution-info": "", "ICCIF-species-notes": "", "IHCP-species-checked": "predicted", "IHCP-species-dilution-info": "", "IHCP-species-notes": "" }, "Cow": { "IP-species-checked": "predicted", "IP-species-dilution-info": "", "IP-species-notes": "", "ChIP-species-checked": "predicted", "ChIP-species-dilution-info": "", "ChIP-species-notes": "", "WB-species-checked": "predicted", "WB-species-dilution-info": "", "WB-species-notes": "", "ICCIF-species-checked": "predicted", "ICCIF-species-dilution-info": "", "ICCIF-species-notes": "", "IHCP-species-checked": "predicted", "IHCP-species-dilution-info": "", "IHCP-species-notes": "" }, "Xenopus laevis": { "IP-species-checked": "predicted", "IP-species-dilution-info": "", "IP-species-notes": "", "ChIP-species-checked": "predicted", "ChIP-species-dilution-info": "", "ChIP-species-notes": "", "WB-species-checked": "predicted", "WB-species-dilution-info": "", "WB-species-notes": "", "ICCIF-species-checked": "predicted", "ICCIF-species-dilution-info": "", "ICCIF-species-notes": "", "IHCP-species-checked": "predicted", "IHCP-species-dilution-info": "", "IHCP-species-notes": "" }, "Zebrafish": { "IP-species-checked": "guaranteed", "IP-species-dilution-info": "", "IP-species-notes": "", "ChIP-species-checked": "guaranteed", "ChIP-species-dilution-info": "", "ChIP-species-notes": "<p></p>", "WB-species-checked": "testedAndGuaranteed", "WB-species-dilution-info": "1/250", "WB-species-notes": "<p></p>", "ICCIF-species-checked": "guaranteed", "ICCIF-species-dilution-info": "", "ICCIF-species-notes": "", "IHCP-species-checked": "guaranteed", "IHCP-species-dilution-info": "", "IHCP-species-notes": "" } } }

性能和储存信息

形式
Liquid
纯化工艺
Affinity purification Immunogen
存储溶液
pH: 7.4 Preservative: 0.02% Sodium azide Constituents: PBS
运输条件
Blue Ice
推荐的短期储存时间
1-2 weeks
推荐的短期储存条件
+4°C
推荐的长期储存条件
-20°C
分装信息
Upon delivery aliquot
储存信息
Avoid freeze / thaw cycle

补充信息

This supplementary information is collated from multiple sources and compiled automatically.

U2AF65 also known as U2 small nuclear RNA auxiliary factor 2 (U2AF2) is a splicing factor structured around 65 kilodaltons in mass. It interacts with RNA as part of the spliceosome to facilitate proper pre-mRNA splicing. The protein ensures the precise recognition and binding of the polypyrimidine tract at the 3' splice site. It is expressed in various human tissues playing an important role in RNA processing across different cell types.
Biological function summary

The U2AF65 protein contributes to the assembly of the spliceosome a major RNA-protein complex involved in splicing pre-messenger RNA. It works as part of the heterodimeric U2AF complex along with U2AF35 enhancing the precise selection of splice sites. This activity is essential to ensure accurate and efficient splicing which is necessary for proper gene expression and regulation.

Pathways

The activity of U2AF65 is an integral part of the RNA splicing pathway which plays a critical role in modulating gene expression. U2AF65 acts in coordination with other splicing factors such as SF1 and SF3B1 ensuring the correct assembly of the functional spliceosome. The accurate regulation of this pathway is essential for generating diversity in protein expression and for maintaining cell homeostasis.

Misregulation of U2AF65 activity has implications in diseases like cancer and spinal muscular atrophy. Alterations in the expression or function of U2AF65 can lead to aberrant splicing events which affect gene expression profiles. In cancer U2AF65 interacts with various oncogenes and tumor suppressor proteins potentially contributing to tumour progression. In spinal muscular atrophy alterations in splicing factors including U2AF65 influence the expression of survival motor neuron proteins intricately linking U2AF65 to the pathology of these conditions.

产品实验方案

For this product, it's our understanding that no specific protocols are required. You can visit:

靶点信息

Plays a role in pre-mRNA splicing and 3'-end processing (PubMed : 17024186). By recruiting PRPF19 and the PRP19C/Prp19 complex/NTC/Nineteen complex to the RNA polymerase II C-terminal domain (CTD), and thereby pre-mRNA, may couple transcription to splicing (PubMed : 21536736). Induces cardiac troponin-T (TNNT2) pre-mRNA exon inclusion in muscle. Regulates the TNNT2 exon 5 inclusion through competition with MBNL1. Binds preferentially to a single-stranded structure within the polypyrimidine tract of TNNT2 intron 4 during spliceosome assembly. Required for the export of mRNA out of the nucleus, even if the mRNA is encoded by an intron-less gene. Represses the splicing of MAPT/Tau exon 10. Positively regulates pre-mRNA 3'-end processing by recruiting the CFIm complex to cleavage and polyadenylation signals (PubMed : 17024186).
See full target information U2AF2

文献 (31)

Recent publications for all applications. Explore the full list and refine your search

Cell biology and toxicology 41:84 PubMed40366468

2025

U2AF65 mediated circPVT1 promotes NSCLC cell proliferation and inhibits ferroptosis through the miR-338-3p/GPX4 axis.

Applications

Unspecified application

Species

Unspecified reactive species

Lujuan He,Zezhi Zhou,Jufen Wang,Jiehan Jiang,Shenggang Liu

eLife 13: PubMed39495216

2024

Nuclear translocation of SIRT4 mediates deacetylation of U2AF2 to modulate renal fibrosis through alternative splicing-mediated upregulation of CCN2.

Applications

Unspecified application

Species

Unspecified reactive species

Guangyan Yang,Jiaqing Xiang,Xiaoxiao Yang,Xiaomai Liu,Yanchun Li,Lixing Li,Lin Kang,Zhen Liang,Shu Yang

Nature structural & molecular biology 31:1341-1354 PubMed38658621

2024

Alternative splicing of CARM1 regulated by LincGET-guided paraspeckles biases the first cell fate in mammalian early embryos.

Applications

Unspecified application

Species

Unspecified reactive species

Jiaqiang Wang,Yiwei Zhang,Jiaze Gao,Guihai Feng,Chao Liu,Xueke Li,Pengcheng Li,Zhonghua Liu,Falong Lu,Leyun Wang,Wei Li,Qi Zhou,Yusheng Liu

The Journal of cell biology 222: PubMed37956386

2023

Stress-induced nuclear speckle reorganization is linked to activation of immediate early gene splicing.

Applications

Unspecified application

Species

Unspecified reactive species

Hsu-Min Sung,Johanna Schott,Philipp Boss,Janina A Lehmann,Marius Roland Hardt,Doris Lindner,Joris Messens,Ivan Bogeski,Uwe Ohler,Georg Stoecklin

Bladder cancer (Amsterdam, Netherlands) 9:29-40 PubMed38994477

2023

SH3BP5-AS1/IGF2BP2/VDAC2 Axis Promotes the Apoptosis and Ferroptosis of Bladder Cancer Cells.

Applications

Unspecified application

Species

Unspecified reactive species

Yong Shao,Yunhui Chan,Rong Zhao

Cell cycle (Georgetown, Tex.) 22:276-290 PubMed36588458

2023

LncRNA HOXA10-AS promotes the progression of esophageal carcinoma by regulating the expression of HOXA10.

Applications

Unspecified application

Species

Unspecified reactive species

Jinghua Kuai,Kangkang Wu,Ting Han,Wenzhe Zhai,Ruijie Sun

Cancer cell 41:164-180.e8 PubMed36563682

2022

Modulation of RNA splicing enhances response to BCL2 inhibition in leukemia.

Applications

Unspecified application

Species

Unspecified reactive species

Eric Wang,Jose Mario Bello Pineda,Won Jun Kim,Sisi Chen,Jessie Bourcier,Maximilian Stahl,Simon J Hogg,Jan Phillipp Bewersdorf,Cuijuan Han,Michael E Singer,Daniel Cui,Caroline E Erickson,Steven M Tittley,Alexander V Penson,Katherine Knorr,Robert F Stanley,Jahan Rahman,Gnana Krishnamoorthy,James A Fagin,Emily Creger,Elizabeth McMillan,Chi-Ching Mak,Matthew Jarvis,Carine Bossard,Darrin M Beaupre,Robert K Bradley,Omar Abdel-Wahab

iScience 25:105270 PubMed36304109

2022

A seven-transmembrane protein-TM7SF3, resides in nuclear speckles and regulates alternative splicing.

Applications

Unspecified application

Species

Unspecified reactive species

Roi Isaac,Yaron Vinik,Martin Mikl,Shani Nadav-Eliyahu,Hadas Shatz-Azoulay,Adi Yaakobi,Natalie DeForest,Amit R Majithia,Nicholas J G Webster,Yaron Shav-Tal,Eytan Elhanany,Yehiel Zick

Cell cycle (Georgetown, Tex.) 21:1795-1810 PubMed35491865

2022

LINC00173 promotes Wilms' tumor progression through MGAT1-mediated MUC3A -glycosylation.

Applications

Unspecified application

Species

Unspecified reactive species

Qingliang Zhu,Deming Zhan,Yongguo Yang,Yankun Chong,Haoliang Xue,Peng Zhu

Clinical and translational medicine 11:e613 PubMed34709743

2021

A novel tumour suppressor protein encoded by circMAPK14 inhibits progression and metastasis of colorectal cancer by competitively binding to MKK6.

Applications

Unspecified application

Species

Unspecified reactive species

Lu Wang,Jiahui Zhou,Chuan Zhang,Ranran Chen,Qingyang Sun,Peng Yang,Chaofan Peng,Yuqian Tan,Chi Jin,Tuo Wang,Jiangzhou Ji,Yueming Sun
View all publications

Abcam Product Promise

我们致力于为您的研究提供高质量的试剂,为您科研的每一步提供支持。若我们的产品未能达到预期性能,我们向您提供 Abcam Product Promise 保障。
详情请参阅我们的条款与条件。

Please note: All products are 'FOR RESEARCH USE ONLY. NOT FOR USE IN DIAGNOSTIC OR THERAPEUTIC PROCEDURES'.

For licensing inquiries, please contact partnerships@abcam.com