JavaScript is disabled in your browser. Please enable JavaScript to view this website.
AB172614

重组Anti-U2AF35/U2AF1抗体[EPR12649(B)]

Anti-U2AF35/U2AF1 antibody [EPR12649(B)]

5

(1 Review)

|

(10 Publications)

Rabbit Recombinant Monoclonal U2AF35/U2AF1 antibody. Suitable for IHC-P, IP, WB, ICC/IF and reacts with Human, Mouse samples. Cited in 10 publications.

查看别名

U2AF35, U2AFBP, FP793, U2AF1, Splicing factor U2AF 35 kDa subunit, U2 auxiliary factor 35 kDa subunit, U2 small nuclear RNA auxiliary factor 1, U2 snRNP auxiliary factor small subunit

5 Images
Immunocytochemistry/ Immunofluorescence - Anti-U2AF35/U2AF1 antibody [EPR12649(B)] (AB172614)
  • ICC/IF

Supplier Data

Immunocytochemistry/ Immunofluorescence - Anti-U2AF35/U2AF1 antibody [EPR12649(B)] (AB172614)

Immunofluorescent analysis of HeLa cells labeling U2AF35/U2AF1 with ab172614 at 1/50 dilution.

Immunohistochemistry (Formalin/PFA-fixed paraffin-embedded sections) - Anti-U2AF35/U2AF1 antibody [EPR12649(B)] (AB172614)
  • IHC-P

Supplier Data

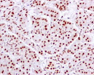
Immunohistochemistry (Formalin/PFA-fixed paraffin-embedded sections) - Anti-U2AF35/U2AF1 antibody [EPR12649(B)] (AB172614)

Immunohistochemical analysis of paraffin-embedded Human pancreas tissue labeling U2AF35/U2AF1 with ab172614 at 1/50 dilution.

Perform heat mediated antigen retrieval before commencing with IHC staining protocol.

Immunohistochemistry (Formalin/PFA-fixed paraffin-embedded sections) - Anti-U2AF35/U2AF1 antibody [EPR12649(B)] (AB172614)
  • IHC-P

Supplier Data

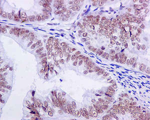
Immunohistochemistry (Formalin/PFA-fixed paraffin-embedded sections) - Anti-U2AF35/U2AF1 antibody [EPR12649(B)] (AB172614)

Immunohistochemical analysis of paraffin-embedded Human endometrial carcinoma tissue labeling U2AF35/U2AF1 with ab172614 at 1/50 dilution.

Perform heat mediated antigen retrieval before commencing with IHC staining protocol.

Immunoprecipitation - Anti-U2AF35/U2AF1 antibody [EPR12649(B)] (AB172614)
  • IP

Supplier Data

Immunoprecipitation - Anti-U2AF35/U2AF1 antibody [EPR12649(B)] (AB172614)

Western blot analysis on immunoprecipitation pellet from HeLa cell lysate immunoprecipitated using ab172614 at 1/10 dilution.

All lanes:

Immunoprecipitation - Anti-U2AF35/U2AF1 antibody [EPR12649(B)] (ab172614)

Predicted band size: 28 kDa

false

Western blot - Anti-U2AF35/U2AF1 antibody [EPR12649(B)] (AB172614)
  • WB

Supplier Data

Western blot - Anti-U2AF35/U2AF1 antibody [EPR12649(B)] (AB172614)

All lanes:

Western blot - Anti-U2AF35/U2AF1 antibody [EPR12649(B)] (ab172614) at 1/1000 dilution

Lane 1:

HeLa cell lysate at 10 µg

Lane 2:

293T cell lysate at 10 µg

Lane 3:

NIH/3T3 cell lysate at 10 µg

Lane 4:

Ramos cell lysate at 10 µg

Predicted band size: 28 kDa

false

不同偶联物与剂型 (1)

  • Carrier free

    Anti-U2AF35/U2AF1 antibody [EPR12649(B)] - BSA and Azide free

关键信息

宿主种属

Rabbit

克隆

Monoclonal

克隆号

EPR12649(B)

亚型

IgG

不含载体蛋白

No

反应种属

Mouse, Human

应用

IP, WB, ICC/IF, IHC-P

applications

免疫原

The exact immunogen used to generate this antibody is proprietary information.

反应性数据

{ "title": "Reactivity Data", "filters": { "stats": ["", "Species", "Dilution Info", "Notes"], "tabs": { "all-applications": {"fullname" : "All Applications", "shortname": "All Applications"}, "IHCP" : {"fullname" : "Immunohistochemistry (Formalin/PFA-fixed paraffin-embedded sections)", "shortname":"IHC-P"}, "IP" : {"fullname" : "Immunoprecipitation", "shortname":"IP"}, "FlowCyt" : {"fullname" : "Flow Cytometry", "shortname":"Flow Cyt"}, "WB" : {"fullname" : "Western blot", "shortname":"WB"}, "ICCIF" : {"fullname" : "Immunocytochemistry/ Immunofluorescence", "shortname":"ICC/IF"} }, "product-promise": { "all": "all", "testedAndGuaranteed": "tested", "guaranteed": "expected", "predicted": "predicted", "notRecommended": "not-recommended" } }, "values": { "Human": { "IHCP-species-checked": "testedAndGuaranteed", "IHCP-species-dilution-info": "1/50 - 1/100", "IHCP-species-notes": "<p></p>", "IP-species-checked": "testedAndGuaranteed", "IP-species-dilution-info": "1/10 - 1/100", "IP-species-notes": "<p></p>", "FlowCyt-species-checked": "notRecommended", "FlowCyt-species-dilution-info": "", "FlowCyt-species-notes": "<p></p>", "WB-species-checked": "testedAndGuaranteed", "WB-species-dilution-info": "1/1000 - 1/5000", "WB-species-notes": "<p></p>", "ICCIF-species-checked": "testedAndGuaranteed", "ICCIF-species-dilution-info": "1/50 - 1/100", "ICCIF-species-notes": "<p></p>" }, "Mouse": { "IHCP-species-checked": "guaranteed", "IHCP-species-dilution-info": "", "IHCP-species-notes": "", "IP-species-checked": "guaranteed", "IP-species-dilution-info": "", "IP-species-notes": "", "FlowCyt-species-checked": "notRecommended", "FlowCyt-species-dilution-info": "", "FlowCyt-species-notes": "<p></p>", "WB-species-checked": "testedAndGuaranteed", "WB-species-dilution-info": "1/1000 - 1/5000", "WB-species-notes": "<p></p>", "ICCIF-species-checked": "guaranteed", "ICCIF-species-dilution-info": "", "ICCIF-species-notes": "" }, "Rat": { "IHCP-species-checked": "predicted", "IHCP-species-dilution-info": "", "IHCP-species-notes": "", "IP-species-checked": "predicted", "IP-species-dilution-info": "", "IP-species-notes": "", "FlowCyt-species-checked": "notRecommended", "FlowCyt-species-dilution-info": "", "FlowCyt-species-notes": "", "WB-species-checked": "predicted", "WB-species-dilution-info": "", "WB-species-notes": "", "ICCIF-species-checked": "predicted", "ICCIF-species-dilution-info": "", "ICCIF-species-notes": "" } } }

产品详情

Patented technology
Our RabMAb® technology is a patented hybridoma-based technology for making rabbit monoclonal antibodies. For details on our patents, please refer to RabMAb® patents.

What are the advantages of a recombinant monoclonal antibody?
This product is a recombinant monoclonal antibody, which offers several advantages including:

  • - High batch-to-batch consistency and reproducibility
  • - Improved sensitivity and specificity
  • - Long-term security of supply
  • - Animal-free batch production

For more information, read more on recombinant antibodies.

性能和储存信息

形式
Liquid
纯化工艺
Affinity purification Protein A
存储溶液
pH: 7.2 - 7.4 Preservative: 0.01% Sodium azide Constituents: PBS, 40% Glycerol (glycerin, glycerine), 0.05% BSA
运输条件
Blue Ice
推荐的短期储存时间
1-2 weeks
推荐的短期储存条件
+4°C
推荐的长期储存条件
-20°C
分装信息
Upon delivery aliquot
储存信息
Avoid freeze / thaw cycle

补充信息

This supplementary information is collated from multiple sources and compiled automatically.

U2AF35 also known as U2AF1 is a protein weighing approximately 35 kDa. It interacts importantly in the pre-mRNA splicing process where it binds to the 3' splice site of introns. The protein is a subunit of the U2 auxiliary factor and its expression occurs across various tissues with particular concentrations in the developmental stages of tissues and in dynamic cellular environments. U2AF35 functions by recognizing the AG dinucleotide at the 3' end of introns a task critical for the accurate splicing of precursor mRNA.
Biological function summary

This protein plays an important role in the removal of introns from pre-mRNA impacting the processing of mRNA which ultimately affects gene expression. U2AF35 is a component of the spliceosome complex particularly influencing the recruitment of U2 small nuclear ribonucleoprotein (snRNP) to the branch point. The activity of U2AF35 ensures proper mRNA maturation which is essential in controlling the flow of genetic information from DNA to protein synthesis. It also contributes to the alternative splicing allowing cells to produce diverse protein isoforms from a single gene.

Pathways

U2AF35 is critically involved in the mRNA splicing pathway and the regulation of alternative splicing events. U2AF35 partners with another subunit U2AF65 in the spliceosome to facilitate these processes. It actively connects with several other proteins within the spliceosome machinery including SF3b and SF3a complexes. The interaction between U2AF35 and these elements ensures the correct assembly of the spliceosome directly influencing the pathway governing pre-mRNA processing.

Mutations in the U2AF35 gene can result in specific types of cancer such as myelodysplastic syndromes (MDS) where abnormal splicing patterns occur. Such mutations often affect the interaction of U2AF35 with other splicing factors like SF3B1. Additionally alterations in U2AF35 have associations with lung adenocarcinoma where changes in the mRNA splicing landscape empower cancer progression and malignancy. Understanding its role in splicing provides insight into how disruptions can lead to disease development.

产品实验方案

For this product, it's our understanding that no specific protocols are required. You can visit:

靶点信息

Plays a critical role in both constitutive and enhancer-dependent splicing by mediating protein-protein interactions and protein-RNA interactions required for accurate 3'-splice site selection. Recruits U2 snRNP to the branch point. Directly mediates interactions between U2AF2 and proteins bound to the enhancers and thus may function as a bridge between U2AF2 and the enhancer complex to recruit it to the adjacent intron.
See full target information U2AF1

文献 (10)

Recent publications for all applications. Explore the full list and refine your search

Molecular medicine (Cambridge, Mass.) 30:179 PubMed39425009

2024

Prostate cancer cell-derived exosomes ZNF667-AS1 reduces TGFBR1 mRNA stability to inhibit Treg expansion and DTX resistance by binding to U2AF1.

Applications

Unspecified application

Species

Unspecified reactive species

Zhenfeng Shi,Wenjing Pu,Min Li,Mierzhayiti Aihemaitijiang,Shuo Li,Xiaoan Zhang,Bide Liu,Min Sun,Jiuzhi Li,Zhiwei Li

Nature communications 15:5237 PubMed38898005

2024

Therapy-induced secretion of spliceosomal components mediates pro-survival crosstalk between ovarian cancer cells.

Applications

Unspecified application

Species

Unspecified reactive species

Victoria O Shender,Ksenia S Anufrieva,Polina V Shnaider,Georgij P Arapidi,Marat S Pavlyukov,Olga M Ivanova,Irina K Malyants,Grigory A Stepanov,Evgenii Zhuravlev,Rustam H Ziganshin,Ivan O Butenko,Olga N Bukato,Ksenia M Klimina,Vladimir A Veselovsky,Tatiana V Grigorieva,Sergey Y Malanin,Olga I Aleshikova,Andrey V Slonov,Nataliya A Babaeva,Lev A Ashrafyan,Elena Khomyakova,Evgeniy G Evtushenko,Maria M Lukina,Zixiang Wang,Artemiy S Silantiev,Anna A Nushtaeva,Daria D Kharlampieva,Vassili N Lazarev,Arseniy I Lashkin,Lorine K Arzumanyan,Irina Yu Petrushanko,Alexander A Makarov,Olga S Lebedeva,Alexandra N Bogomazova,Maria A Lagarkova,Vadim M Govorun

Cellular and molecular neurobiology 43:1199-1218 PubMed35748966

2022

LncRNA Pnky Positively Regulates Neural Stem Cell Migration by Modulating mRNA Splicing and Export of Target Genes.

Applications

Unspecified application

Species

Unspecified reactive species

Jiannan Du,Yuan Li,Yuting Su,Wenqian Zhi,Jiale Zhang,Cheng Zhang,Juan Wang,Wensheng Deng,Shasha Zhao

Nucleic acids research 50:5263-5281 PubMed35489070

2022

Reovirus μ2 protein modulates host cell alternative splicing by reducing protein levels of U5 snRNP core components.

Applications

Unspecified application

Species

Unspecified reactive species

Simon Boudreault,Mathieu Durand,Carole-Anne Martineau,Jean-Pierre Perreault,Guy Lemay,Martin Bisaillon

Nature communications 12:4545 PubMed34315864

2021

The upstream 5' splice site remains associated to the transcription machinery during intron synthesis.

Applications

Unspecified application

Species

Unspecified reactive species

Yodfat Leader,Galit Lev Maor,Matan Sorek,Ronna Shayevitch,Maram Hussein,Ofir Hameiri,Luna Tammer,Jonathan Zonszain,Ifat Keydar,Dror Hollander,Eran Meshorer,Gil Ast

RNA biology 17:857-871 PubMed32150510

2020

The core spliceosomal factor U2AF1 controls cell-fate determination via the modulation of transcriptional networks.

Applications

Unspecified application

Species

Unspecified reactive species

Abdelhamid Mahdi Laaref,Laurent Manchon,Yacine Bareche,Laure Lapasset,Jamal Tazi

Nature communications 10:5712 PubMed31836708

2019

Functional significance of U2AF1 S34F mutations in lung adenocarcinomas.

Applications

Unspecified application

Species

Unspecified reactive species

Mohammad S Esfahani,Luke J Lee,Young-Jun Jeon,Ryan A Flynn,Henning Stehr,Angela B Hui,Noriko Ishisoko,Eric Kildebeck,Aaron M Newman,Scott V Bratman,Matthew H Porteus,Howard Y Chang,Ash A Alizadeh,Maximilian Diehn

Genes & development 33:482-497 PubMed30842218

2019

The splicing factor U2AF1 contributes to cancer progression through a noncanonical role in translation regulation.

Applications

Unspecified application

Species

Unspecified reactive species

Murali Palangat,Dimitrios G Anastasakis,Dennis Liang Fei,Katherine E Lindblad,Robert Bradley,Christopher S Hourigan,Markus Hafner,Daniel R Larson

Cancer cell 34:119-135.e10 PubMed29937354

2018

Apoptotic Cell-Derived Extracellular Vesicles Promote Malignancy of Glioblastoma Via Intercellular Transfer of Splicing Factors.

Applications

Unspecified application

Species

Unspecified reactive species

Marat S Pavlyukov,Hai Yu,Soniya Bastola,Mutsuko Minata,Victoria O Shender,Yeri Lee,Suojun Zhang,Jia Wang,Svetlana Komarova,Jun Wang,Shinobu Yamaguchi,Heba Allah Alsheikh,Junfeng Shi,Dongquan Chen,Ahmed Mohyeldin,Sung-Hak Kim,Yong Jae Shin,Ksenia Anufrieva,Evgeniy G Evtushenko,Nadezhda V Antipova,Georgij P Arapidi,Vadim Govorun,Nikolay B Pestov,Mikhail I Shakhparonov,L James Lee,Do-Hyun Nam,Ichiro Nakano

Oncology letters 13:587-592 PubMed28356933

2017

DKK4 enhances resistance to chemotherapeutics 5-Fu and YN968D1 in colorectal cancer cells.

Applications

Unspecified application

Species

Unspecified reactive species

Shengli He,Jie Shen,Nanhua Hu,Xuanfu Xu,Jin Li
View all publications

Abcam Product Promise

我们致力于为您的研究提供高质量的试剂,为您科研的每一步提供支持。若我们的产品未能达到预期性能,我们向您提供 Abcam Product Promise 保障。
详情请参阅我们的条款与条件。

Please note: All products are 'FOR RESEARCH USE ONLY. NOT FOR USE IN DIAGNOSTIC OR THERAPEUTIC PROCEDURES'.

For licensing inquiries, please contact partnerships@abcam.com