JavaScript is disabled in your browser. Please enable JavaScript to view this website.
AB109231

重组Anti-TYRO3抗体[EPR4308]

Anti-TYRO3 antibody [EPR4308]

Be the first to review this product! Submit a review

|

(16 Publications)

Rabbit Recombinant Monoclonal TYRO3 antibody. Suitable for IHC-P, IP, WB and reacts with Human, Mouse, Rat samples. Cited in 16 publications.

查看别名

BYK, DTK, RSE, SKY, TIF, TYRO3, Tyrosine-protein kinase receptor TYRO3, Tyrosine-protein kinase BYK, Tyrosine-protein kinase DTK, Tyrosine-protein kinase RSE, Tyrosine-protein kinase SKY, Tyrosine-protein kinase TIF

7 Images
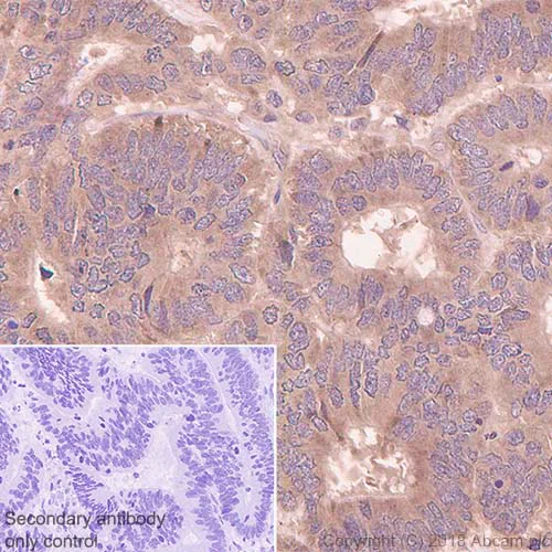
Immunohistochemistry (Formalin/PFA-fixed paraffin-embedded sections) - Anti-TYRO3 antibody [EPR4308] (AB109231)
  • IHC-P

Unknown

Immunohistochemistry (Formalin/PFA-fixed paraffin-embedded sections) - Anti-TYRO3 antibody [EPR4308] (AB109231)

Immunohistochemistry (Formalin/PFA-fixed paraffin-embedded sections) analysis of Human colon carcinoma tissue sections labeling TYRO3 with purified ab109231 at 1 : 500 dilution (7.44 μg/ml). Heat mediated antigen retrieval was performed using ab93684 (Tris/EDTA buffer, pH 9.0). ImmunoHistoProbe one step HRP Polymer (ready to use)was used as the secondary antibody. Negative control : PBS instead of the primary antibody. Hematoxylin was used as a counterstain.

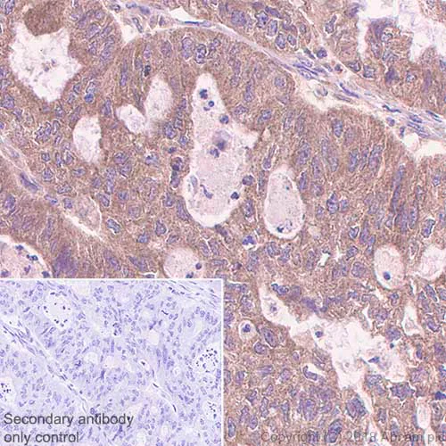
Immunohistochemistry (Formalin/PFA-fixed paraffin-embedded sections) - Anti-TYRO3 antibody [EPR4308] (AB109231)
  • IHC-P

Unknown

Immunohistochemistry (Formalin/PFA-fixed paraffin-embedded sections) - Anti-TYRO3 antibody [EPR4308] (AB109231)

Immunohistochemistry (Formalin/PFA-fixed paraffin-embedded sections) analysis of Human ovarian carcinoma tissue sections labeling TYRO3 with purified ab109231 at 1 : 500 dilution (7.44 μg/ml). Heat mediated antigen retrieval was performed using ab93684 (Tris/EDTA buffer, pH 9.0). ImmunoHistoProbe one step HRP Polymer (ready to use)was used as the secondary antibody. Negative control : PBS instead of the primary antibody. Hematoxylin was used as a counterstain.

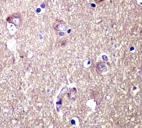
Immunohistochemistry (Formalin/PFA-fixed paraffin-embedded sections) - Anti-TYRO3 antibody [EPR4308] (AB109231)
  • IHC-P

Unknown

Immunohistochemistry (Formalin/PFA-fixed paraffin-embedded sections) - Anti-TYRO3 antibody [EPR4308] (AB109231)

Immunohistochemical analysis of TYRO3 in paraffin embedded Human brain tissue, using ab109231 at a 1/100 dilution.

Perform heat mediated antigen retrieval before commencing with IHC staining protocol.

Immunoprecipitation - Anti-TYRO3 antibody [EPR4308] (AB109231)
  • IP

Unknown

Immunoprecipitation - Anti-TYRO3 antibody [EPR4308] (AB109231)

ab109231 (purified) at 1 : 200 dilution (2μg) immunoprecipitating TYRO3 in SH-SY5Y whole cell lysate.
Lane 1 (input) : SH-SY5Y (Human neuroblastoma epithelial cell) whole cell lysate 10μg
Lane 2 (+) : ab109231 & SH-SY5Y whole cell lysate
Lane 3 (-) : Rabbit monoclonal IgG (ab172730) instead of ab109231 in SH-SY5Y whole cell lysate
For western blotting, VeriBlot for IP Detection Reagent (HRP) (ab131366) was used for detection at 1 : 2000 dilution.
Blocking and diluting buffer : 5% NFDM/TBST.

All lanes:

Immunoprecipitation - Anti-TYRO3 antibody [EPR4308] (ab109231)

Predicted band size: 97 kDa

false

Western blot - Anti-TYRO3 antibody [EPR4308] (AB109231)
  • WB

Lab

Western blot - Anti-TYRO3 antibody [EPR4308] (AB109231)

All lanes:

Western blot - Anti-TYRO3 antibody [EPR4308] (ab109231) at 1/1000 dilution

All lanes:

Mouse hippocampus lysates at 15 µg

Secondary

All lanes:

Western blot - Goat Anti-Rabbit IgG H&L (HRP) (<a href='/products/secondary-antibodies/goat-rabbit-igg-h-l-hrp-ab97051'>ab97051</a>) at 1/20000 dilution

Predicted band size: 97 kDa

Observed band size: 120 kDa

false

Western blot - Anti-TYRO3 antibody [EPR4308] (AB109231)
  • WB

Unknown

Western blot - Anti-TYRO3 antibody [EPR4308] (AB109231)

All lanes:

Western blot - Anti-TYRO3 antibody [EPR4308] (ab109231) at 1/1000 dilution

Lane 1:

fetal brain lysates at 10 µg

Lane 2:

fetal hippocampus lysates at 10 µg

Lane 3:

MCF7 cell lysates at 10 µg

Secondary

All lanes:

HRP labelled goat anti-rabbit at 1/2000 dilution

Predicted band size: 97 kDa

false

Western blot - Anti-TYRO3 antibody [EPR4308] (AB109231)
  • WB

Lab

Western blot - Anti-TYRO3 antibody [EPR4308] (AB109231)

All lanes:

Western blot - Anti-TYRO3 antibody [EPR4308] (ab109231) at 1/1000 dilution

Lane 1:

Rat hippocampus lysates at 20 µg

Lane 2:

Rat brain lysates at 20 µg

Lane 3:

Human fetal brain lysates at 15 µg

Secondary

All lanes:

Goat Anti-Rabbit IgG (HRP) with minimal cross-reactivity with human IgG at 1/2000 dilution

Predicted band size: 97 kDa

Observed band size: 120 kDa

false

不同偶联物与剂型 (8)

关键信息

宿主种属

Rabbit

克隆

Monoclonal

克隆号

EPR4308

亚型

IgG

不含载体蛋白

No

反应种属

Mouse, Rat, Human

应用

IHC-P, WB, IP

applications

免疫原

The exact immunogen used to generate this antibody is proprietary information.

特异性

The mouse and rat recommendation is based on the WB results. We do not guarantee IHC-P for mouse and rat.

反应性数据

{ "title": "Reactivity Data", "filters": { "stats": ["", "Species", "Dilution Info", "Notes"], "tabs": { "all-applications": {"fullname" : "All Applications", "shortname": "All Applications"}, "IHCP" : {"fullname" : "Immunohistochemistry (Formalin/PFA-fixed paraffin-embedded sections)", "shortname":"IHC-P"}, "IP" : {"fullname" : "Immunoprecipitation", "shortname":"IP"}, "FlowCyt" : {"fullname" : "Flow Cytometry", "shortname":"Flow Cyt"}, "WB" : {"fullname" : "Western blot", "shortname":"WB"} }, "product-promise": { "all": "all", "testedAndGuaranteed": "tested", "guaranteed": "expected", "predicted": "predicted", "notRecommended": "not-recommended" } }, "values": { "Human": { "IHCP-species-checked": "testedAndGuaranteed", "IHCP-species-dilution-info": "1/500", "IHCP-species-notes": "<p><strong>For unpurified use at 1/100 - 1/250.</strong></p><p>Heat up to 98 °C, below boiling, and then let cool for 10-20 minutes.</p><p>The mouse and rat recommendation is based on the WB results. We do not guarantee IHC-P for mouse and rat.</p> Perform heat-mediated antigen retrieval before commencing with IHC staining protocol.", "IP-species-checked": "testedAndGuaranteed", "IP-species-dilution-info": "1/200", "IP-species-notes": "<p><strong>For unpurified use at 1/10 - 1/100.</strong></p>", "FlowCyt-species-checked": "notRecommended", "FlowCyt-species-dilution-info": "", "FlowCyt-species-notes": "<p></p>", "WB-species-checked": "testedAndGuaranteed", "WB-species-dilution-info": "1/1000 - 1/10000", "WB-species-notes": "<p></p>" }, "Mouse": { "IHCP-species-checked": "guaranteed", "IHCP-species-dilution-info": "", "IHCP-species-notes": "", "IP-species-checked": "guaranteed", "IP-species-dilution-info": "", "IP-species-notes": "", "FlowCyt-species-checked": "notRecommended", "FlowCyt-species-dilution-info": "", "FlowCyt-species-notes": "<p></p>", "WB-species-checked": "testedAndGuaranteed", "WB-species-dilution-info": "1/1000 - 1/10000", "WB-species-notes": "<p></p>" }, "Rat": { "IHCP-species-checked": "guaranteed", "IHCP-species-dilution-info": "", "IHCP-species-notes": "", "IP-species-checked": "guaranteed", "IP-species-dilution-info": "", "IP-species-notes": "", "FlowCyt-species-checked": "notRecommended", "FlowCyt-species-dilution-info": "", "FlowCyt-species-notes": "<p></p>", "WB-species-checked": "testedAndGuaranteed", "WB-species-dilution-info": "1/1000 - 1/10000", "WB-species-notes": "<p></p>" } } }

产品详情

Patented technology
Our RabMAb® technology is a patented hybridoma-based technology for making rabbit monoclonal antibodies. For details on our patents, please refer to RabMAb® patents.

What are the advantages of a recombinant monoclonal antibody?
This product is a recombinant monoclonal antibody, which offers several advantages including:

  • - High batch-to-batch consistency and reproducibility
  • - Improved sensitivity and specificity
  • - Long-term security of supply
  • - Animal-free batch production

For more information, read more on recombinant antibodies.

Species reactivity
Rat: We have preliminary internal testing data to indicate this antibody may not react with this species.
Please contact us for more information.

性能和储存信息

形式
Liquid
纯化工艺
Affinity purification Protein A
存储溶液
pH: 7.2 - 7.4 Preservative: 0.01% Sodium azide Constituents: PBS, 40% Glycerol (glycerin, glycerine), 0.05% BSA
运输条件
Blue Ice
推荐的短期储存条件
+4°C
推荐的长期储存条件
-20°C
储存信息
Stable for 12 months at -20°C

补充信息

This supplementary information is collated from multiple sources and compiled automatically.

TYRO3 also known as Tyrosine-protein kinase receptor TYRO3 is a membrane protein involved in various cellular processes. The protein has a molecular mass of approximately 104 kDa. TYRO3 expresses in a range of tissues with high levels noted in the central nervous system reproductive system and immune cells. The protein is part of the TAM family of receptor tyrosine kinases which includes AXL and MERTK and it participates in binding to specific ligands for signal transmission.
Biological function summary

TYRO3 influences multiple cellular activities such as cell survival proliferation and immune regulation. It acts within a signaling complex that includes ligands like Gas6 and Protein S. TYRO3 plays roles in phagocytosis of apoptotic cells and regulation of inflammatory responses. The protein's signaling pathways support tissue homeostasis and modulate immune responses making it an important player in maintaining cellular balance.

Pathways

TYRO3 is engaged in the PI3K/AKT and MAPK pathways which facilitate cell cycle progression and survival. In these pathways it interacts with other proteins such as AXL MERTK and downstream effectors like AKT and ERK. These interactions ensure proper cellular functions with TYRO3-mediated pathways contributing to normal cellular homeostasis and protective responses against stress.

Disruptions in TYRO3 function associate with cancer and autoimmune diseases. Its overexpression or mutations can lead to abnormal cell growth linking TYRO3 to certain cancers. The protein also intersects with immune-related disorders where an imbalance in TYRO3 signaling contributes to diseases like systemic lupus erythematosus. Proteins like AXL and MERTK closely related to TYRO3 often share these pathological associations emphasizing the interconnected nature of the TAM receptor family in disease pathogenesis.

产品实验方案

For this product, it's our understanding that no specific protocols are required. You can visit:

靶点信息

Receptor tyrosine kinase that transduces signals from the extracellular matrix into the cytoplasm by binding to several ligands including TULP1 or GAS6. Regulates many physiological processes including cell survival, migration and differentiation. Ligand binding at the cell surface induces dimerization and autophosphorylation of TYRO3 on its intracellular domain that provides docking sites for downstream signaling molecules. Following activation by ligand, interacts with PIK3R1 and thereby enhances PI3-kinase activity. Activates the AKT survival pathway, including nuclear translocation of NF-kappa-B and up-regulation of transcription of NF-kappa-B-regulated genes. TYRO3 signaling plays a role in various processes such as neuron protection from excitotoxic injury, platelet aggregation and cytoskeleton reorganization. Also plays an important role in inhibition of Toll-like receptors (TLRs)-mediated innate immune response by activating STAT1, which selectively induces production of suppressors of cytokine signaling SOCS1 and SOCS3.. (Microbial infection) Acts as a receptor for lassa virus and lymphocytic choriomeningitis virus, possibly through GAS6 binding to phosphatidyl-serine at the surface of virion envelope.. (Microbial infection) Acts as a receptor for Ebolavirus, possibly through GAS6 binding to phosphatidyl-serine at the surface of virion envelope.
See full target information TYRO3

文献 (16)

Recent publications for all applications. Explore the full list and refine your search

Scientific reports 15:23065 PubMed40595270

2025

Clinical significance of TAM receptor in the minor salivary glands of patients with Sjögren's disease.

Applications

Unspecified application

Species

Unspecified reactive species

Sung-Eun Choi,Ji-Hyoun Kang,Dong-Jin Park,Nah Ihm Kim,Ji Shin Lee,Kyung Chul Yoon,Shin-Seok Lee

Molecular carcinogenesis 62:1325-1337 PubMed37212497

2023

Overexpression of TYRO3 indicates poor prognosis and induces gastric cancer progression via AKT-mTOR pathway.

Applications

Unspecified application

Species

Unspecified reactive species

Junfeng Wang,Zhengwu Cheng,Dafei Dai,Hao Li,Xinyu Shao,Menglin Xu

Pharmaceuticals (Basel, Switzerland) 16: PubMed37242486

2023

Gas6/Axl Axis Activation Dampens the Inflammatory Response in Osteoarthritic Fibroblast-like Synoviocytes and Synovial Explants.

Applications

Unspecified application

Species

Unspecified reactive species

Juliana P Vago,Natália Valdrighi,Esmeralda N Blaney-Davidson,Daniel L A H Hornikx,Margot Neefjes,María E Barba-Sarasua,Nathalie G M Thielen,Martijn H J van den Bosch,Peter M van der Kraan,Marije I Koenders,Flávio A Amaral,Fons A J van de Loo

PLoS pathogens 19:e1011090 PubMed36634130

2023

Exosomes mediate Coxsackievirus B3 transmission and expand the viral tropism.

Applications

Unspecified application

Species

Unspecified reactive species

Yuxuan Fu,Sidong Xiong

JCI insight 8: PubMed36454644

2023

TYRO3 agonist as therapy for glomerular disease.

Applications

Unspecified application

Species

Unspecified reactive species

Fang Zhong,Hong Cai,Jia Fu,Zeguo Sun,Zhengzhe Li,David Bauman,Lois Wang,Bhaskar Das,Kyung Lee,John Cijiang He

The Journal of biological chemistry 298:102471 PubMed36089062

2022

A cathelicidin antimicrobial peptide from Hydrophis cyanocinctus inhibits Zika virus infection by downregulating expression of a viral entry factor.

Applications

Unspecified application

Species

Unspecified reactive species

Jing Wang,Bingyan Jiang,Kezhen Wang,Jianfeng Dai,Chunsheng Dong,Yipeng Wang,Peng Zhang,Min Li,Wei Xu,Lin Wei

Frontiers in neurology 11:590884 PubMed33329339

2020

Rapamycin Alleviates the Symptoms of Multiple Sclerosis in Experimental Autoimmune Encephalomyelitis (EAE) Through Mediating the TAM-TLRs-SOCS Pathway.

Applications

Unspecified application

Species

Unspecified reactive species

Xiao-Ling Li,Bo Zhang,Wei Liu,Meng-Jiao Sun,Ya-Lan Zhang,Hui Liu,Man-Xia Wang

Scientific reports 10:20493 PubMed33235311

2020

Endothelial specific YY1 deletion restricts tumor angiogenesis and tumor growth.

Applications

Unspecified application

Species

Unspecified reactive species

Huan Liu,Yikai Qiu,Xiuying Pei,Ramamurthy Chitteti,Rebbeca Steiner,Shuya Zhang,Zheng Gen Jin

Journal of immunology research 2020:9690832 PubMed32964059

2020

Selective Increment of Synovial Soluble TYRO3 Correlates with Disease Severity and Joint Inflammation in Patients with Rheumatoid Arthritis.

Applications

Unspecified application

Species

Unspecified reactive species

Julia Vullings,Juliana P Vago,Claire E J Waterborg,Rogier M Thurlings,Marije I Koenders,Peter L E M van Lent,Peter M van der Kraan,Flavio A Amaral,Fons A J van de Loo

Cancer cell international 20:430 PubMed32908453

2020

circRAE1 promotes colorectal cancer cell migration and invasion by modulating miR-338-3p/TYRO3 axis.

Applications

Unspecified application

Species

Unspecified reactive species

Jiabin Du,Jianhua Xu,Junxing Chen,Weinan Liu,Pengcheng Wang,Kai Ye
View all publications

Abcam Product Promise

我们致力于为您的研究提供高质量的试剂,为您科研的每一步提供支持。若我们的产品未能达到预期性能,我们向您提供 Abcam Product Promise 保障。
详情请参阅我们的条款与条件。

Please note: All products are 'FOR RESEARCH USE ONLY. NOT FOR USE IN DIAGNOSTIC OR THERAPEUTIC PROCEDURES'.

For licensing inquiries, please contact partnerships@abcam.com